1Biology Department, Faculty of Science, Taif University, Al-Hawyeia 888, Saudi Arabia, 2Zoology Department, Faculty of Science, Zagazig University, Zagazig 44519, Egypt, 3Zoology Department, Faculty of Science, Al-Azhar University, Cairo, Egypt, 4Zoology Department, Faculty of Science, Cairo University, Giza 12613, Egypt.
Email: dr_reham_z@yahoo.com
Received: 15 Oct 2014 Revised and Accepted: 11 Nov 2014
ABSTRACT
Objective: The objective of the present study was to evaluate the antioxidant potential of Al-Taif Pomegranate Peel extract (PPE) and juice (PJ) induced by atrazine (Atra) and malathion (Mal) toxicity in male mice by using biochemical and histopathological assays.
Methods: Male mice were divided into ten groups and treated orally as following: Negative control; Mal group (27 mg/kg); Atra group (120 mg/kg); PPE group (0.4 g/Kg); PJ group (0.4 g/Kg);Mal + PPE group (27 mg/Kg + 0.4 g/Kg, respectively); Mal + PJ group (27mg/Kg + 0.4 g/Kg, respectively); Atra + PPE group (120mg/Kg + 0.4 g/Kg, respectively); Atra + PJ group (120mg/Kg + 0.4 g/Kg, respectively); Mal + Atra + PPE + PJ combined co-administration group.
Results: Biochemical results showed a significant decrease in the antioxidant enzyme levels represented by SOD, GPxand CAT for Mal or Atra groups, while they afforded a highly significant increase in lipid peroxidation end product, MDA level. In contrast, co-administration of PPE and/or PJ and Atra and/or Mal-treated groups restored almost most of these antioxidant defense capacities to normal levels. On the other hand, treatmentwith eitherAtra or Mal resulted in histopathological hepatic alterations. However, co-administration of PPEand/or PJ and Atra and/or Mal-treated animals improved the hepatic damage and alleviated pesticides toxic effect.
Conclusion: The present study suggested that Atra and Mal exposure lead to oxidative damage in the liver tissues of mice and concomitant treatment with different extracts of Al-Taif Pomegranate protected the liver tissues from oxidative damage.
Keywords: Malathion, Atrazine, Pomegranate peel, Hepatic functions, Oxidative stress.
INTRODUCTION
While pesticides have been and continue to be useful against agricultural pests, the risk they pose was a major focus of the global interest because their use has led to numerous health risk effects on non-target species, especially humans [1]. According to their chemical compositions, they belong to more than 100 chemical classes of compounds, of which the most famous are organochlorine, organophosphorus (e. g., Malathion), and organonitrogen with triazines (e. g., Atrazinе) [2].
Triazine herbicides constitute one of the largest groups of herbicides that have been used throughout the world. Among the triazines, Atrazinе (Atra) is one of the most commonly used herbicides to control dicotyledonous weed plants in maize, cereals, Lucerne and sugarcane[3]. As a result of its widespread use, Atra residues have contaminated not only plants, soil, water and cultivated ground, but also agricultural products like fruits, milk, butter, and sugar beet [4]. Deleterious effects of pesticides on human and animal health have been well documented in literature [5]. Studies have also indicated that pesticide exposure is associated with chronic health problems or health symptoms such as respiratory problems, memory disorders, dermatologic conditions, cancer, depression, neurologic deficits, miscarriages, and birth defects [6]. Various in vitro studies have shown the ability of Atra to induce genetic damage in human and animal [7]. Further, it has been reported that pesticides such as alachlor, acephate, chlorpyriphos and Atra induce DNA damage [8] and chromosomal aberrations among farm workers [9].
Malathion (Mal)[O, O-dimethyl-S-(1,2-dicarcethoxyethyl) phosphorodithioate] is an organophosphate pesticide that is used extensively in agriculture and household products that is widely used to control pests. It is extensively used over the whole world, especially by developing countries, to control or eradicate disease-inducing arthropods targeted by public health programs; it is also used to eliminate animal ectoparasites, human head and body lice, and household insects, and to protect grain in storage [10]. Mal is known by its major role in inhibiting acetylcholinesterase activity in target tissues and has been linked to the dysfunction of several organ systems, including the liver, the pancreas, and the reproductive system. For example, acute exposure to Mal has been shown to disrupt lipid metabolism, thereby led to elevated Low-density lipoprotein (LDL) and triglyceride levels [11].
Currently, oxidative stress is considered to be one of the most important subjects in environmental chemical toxicology [12], as herbicides, including Atra and pesticides, including Mal have been evaluated to be directly involved in this process. Growing evidence has proved that Atra had the potential to induce oxidative stress [13], DNA damage and endocrine disruption in different organisms. In addition, recently, it has been reported that the metabolism of Mal produced reactive oxygen species that have led to the onset of oxidative stress [14]. A more recent pilot study has pointed out that oxidative stress and DNA damage were possibly linked to pesticides-induced adverse health effects in agricultural workers [15].
Pomegranate (Punica granatum L.) is one of the most investigated fruits in recent years. Numerous studies have been published regarding antioxidant [16], antihypertensive [17], and anti-cancer [18] effects of PJ. Pomegranate peels which constitute up to 40% of the whole fruit remain as a byproduct after PJ production. Antibacterial, anti-inflammatory, and anti-allergic activities of PPEs have been studied. Antimicrobial activities of PPEs have been proved against Staphylococcus aureus, Listeria monocytogenes, Escherichia coli and Yersinia enterocolitica[19].
The objective of the present study was to evaluate the antioxidant effect of PPE and PJ induced by Atra and Mal in male mice. The antioxidant activity of PPE and PJ was investigated histopathologically, in addition to the antioxidant enzyme level estimation including: catalase (CAT), superoxide dismutase (SOD), glutathione peroxidase (GPx) and lipid peroxidation (represented by Malonaldahyde (MDA)) in the liver tissue of Atra and Mal treated mice comparing with negative control.
MATERIAL AND METHODS
Animals
This study was performed on 70 mature male mice, weighing about 35–45 g bw. Animals were obtained from the animal house of the King Fahd Center for Medical Research, King Abd El-Aziz University in Jeddah. They were bred in a well-ventilated room with the temperature ranging between 22 and 25 ˚C and maintained under standardized conditions away from any stressful conditions with 12/12 light and dark cycle with free access to humidity and were fed dry, balanced meals for experimental animals provided by the General Organization for Grain Silos and Flour Mills in Jeddah, with a constant source of water.
All experimental procedures and animal maintenance were conducted in accordance with the accepted standards of animal care per cage (Council of Europe, European Convention for the protection of vertebrate animals 2006). We have followed the European community Directive (86/609/EEC) and national rules on animal care.
Chemicals
Mal and Atra were produced by Misr for Agricultural Development Company, Cairo, Egypt. Atra in commercial product as Cotrazine 80WP (an 80% wettable powder) was obtained from Alderelm limited UK. Pomegranate was supplied by local market in Al-Taif city, Saudi Arabia, the peel of the pomegranate was washed and then dried and then was grounded by using an electrical mixer and then was prepared for intraperitoneal injection in male mice, also we used the juice of the pomegranate fruit.
Experimental protocols
Mice were divided into ten groups, seven mice/group. Group1:Negative control group treated with 1 mg/Kg bw corn oil/day; Group2: Mal group (27 mg/kg bw (1/50) of the LD50 for an oral dose) per day in corn oil via gavage[20]; Group3: Atragroup treated daily with 0.24 ml vehicle suspension of 80% (w/w) Atra equivalent to 120 mg/kg body weight mg/Kg bw per day in corn oil gavage [21]; Group4: PPEgroup treated with PPE (0.4 g/Kg bw/day in corn oil); Group5: PJ group treated with PJ (0.4g/Kg bw/day in corn oil); Group6: Mal+PPE co-administration group (27 mg/Kg bw+0.4 g/Kg bw/day, respectively); Group7: Mal +PJco-administration group (27mg/Kg bw/day +0.4g/Kg bw/day, respectively); Group8: Atra +PPE co-administration group (120mg/Kg bw+0.4g/Kg bw/day, respectively); Group9: Atra+PJ co-administration group (120mg/Kg bw/day +0.4g/Kg bw/day, respectively); Group10: Mal + Atra + PPE + PJ combined co-administration group treated in the same doses as previously discussed.
The doses of either PPE and/or PJ were chosen on the basis of previous studies [22]. The substances were administered in the morning (between 07.00 and 8.30 am) to non-fasted mice. Mice were injected orally with Atra and/or Mal followed by the PPE and/or PJ after 30 mins daily for successive 30 days as the treatment schedule that previously mentioned. All animals were sacrificed and dissected. The liver tissues were quickly excised for light microscope investigations (Jenaval microscope; Carl Zeiss, Germany) and biochemical evaluation.
Biochemical estimation
Tissue homogenates preparation
Liver was immediately removed; weighed and washed using the chilled saline solution. Tissues were minced and homogenized (10% w/v), separately, in ice-cold sodium, potassium phosphate buffer (0.01 M, pH 7.4) containing 1.15% KCl in a Potter–Elvehjem type homogenizer. The homogenate was centrifuged at 10,000 Xg for 20 min at 4°C, and the resultant supernatant was used for the determination of antioxidant enzyme and lipid peroxidation assays. All used reagents were of the highest grade commercially available.
Lipid peroxidation assay
Thiobarbituric acid reactive substances (TBARS) content was evaluated using the thiobarbituric acid (TBA) test as described by Ohkawa et al. [23]. After incubation of liver homogenate with TBA at 95 ˚C, TBARS reacts to form a colored complex. Absorbance was measured spectrophotometrically at 532 nm to determine the TBARS content.
The specific activity is expressed as nmol/mg protein. This assay was used to estimate lipid peroxidation end product, Malonaldahyde (MDA).
Measurement of superoxide dismutase (SOD)
Superoxide dismutase (SOD) activity was measured according to the method described by Marklund and Marklund [24] by assaying the auto oxidation of pyrogallol at 440 nm for 3 min. One unit of SOD activity was calculated as the amount of protein that caused 50% pyrogallol auto-oxidation inhibition. A blank without homogenate was used as a control for non-enzymatic oxidation of pyrogallol in Tris–EDTA buffer (50 Mm Tris, 10 mM EDTA, pH 8.2). The SOD activity is expressed as U/mg protein.
Measurement of catalase (CAT)
Catalase (CAT) activity was measured according to the method described by Aebi [25] by assaying the hydrolysis of H2O2 and the resulting decrease in absorbance at 240 nm over a 3 min period at 25˚C. Before determination of the CAT activity, samples were diluted 1:9 with 1% (v/v) Triton X-100. CAT activity is expressed as mmol/mg protein.
Measurement of glutathione peroxidase (GPx)
Glutathione peroxidase (GPx) activity was measured using H2O2 as substrate according to the method described by Paglia and Valentine [26]. The reaction was monitored indirectly as the oxidation rate of NADPH at 240 nm for 3 min. A blank without homogenate was used as a control for non-enzymatic oxidation of NADPH upon addition of hydrogen peroxide in 0.1 M Tris buffer, pH 8.0. Enzyme activity was expressed as nmol/mg protein.
Statistical analysis
Data were collected, arranged and reported as mean ± standard error (mean±SE) for all groups (each group was considered as one experimental unit). Student t-test was computed to test the significant difference between different groups. Statistics were carried out using statistical analysis systems (SAS) program (SAS, 2005)®. P<0.05 was considered as the level of significance.
Histopathological evaluation
In the present work, only liver has been subjected to histological studies. The liver was removed from the abdominal cavity, fixed in 10% neutral buffer formalin, washed with tap water, dehydrated in a series of alcohols. The dehydrated tissue was cleared by using xylol, then embedded in paraffin wax at 60˚C, blocks were cut at 5 microns using a microtome.
Liver sections were stained using Haematoxylin and Eosin[27]as a general stain for the investigation of general histological changes and detecting any possible degenerative lesion in the liver tissue.
High Performance Liquid Chromatography (HPLC)
Chromatographic analyses were carried out on a Dionex UltiMate 3000, liquid chromatography apparatus, coupled to a diode array detector. Eluent (A) was 1% aqueous acetic acid, and eluent (B) was 1% acetic acid in MeOH, the flow rate being kept constant throughout the analysis at 0.5 ml/min. Injections were accomplished with a 10 µL fixed loop.
The column was a Dionex Acclaim 120, C18 RP (4.6x150 mm, particle size 5 µm) and temperature was maintained at 30 °C. The elution programme used was from 10% B to 40% B, within 30 min. Chromatograms were monitored at 280 nm, and identification was based on retention times and on-line spectral data, compared with external standards.
RESULTS
Biochemical estimation
Fig. 1 represented the mean values ± standard error (Mean ± SE) of lipid peroxidation end product, Malonaldahyde (MDA), and the level of antioxidant enzymes (SOD, Gpx and CAT). Different data of all experimental groups were evaluated by using the student t-test. All the treated groups showed a significant difference from the negative control group except for all PPE group and a PJ group at the level of MDA and CAT, which could support the safety effect of PPE or PJ.
At the level of SOD, Gpx and CAT, treatment with Mal or Atra led to a significant decrease of their levels in comparison with the negative control group. While the co-administration of PPE or/and PJ with Mal or/and Atra groups led to increasing in the SOD, Gpx and CAT levels but still significantly different from the negative control group. While, the level of SOD, Gpx and CAT of PPE or/and PJ co-administrated groups showed a statistically significant increase when compared with Mal or Atra group, except at the level of SOD for Mal + PJ and CAT level of Mal + PPE groups, they showed a non-significant increase.
At the level of MDA, treatment with Mal or Atra led to a significant increase of the MDA level in comparison to the negative control group. While co-administration of PPE or/and PJ with Mal or/and Atra groups led to decrease of MDA level but still significantly different from the negative control group. While, the level of MDA of PPE or/and PJ co-administrated groups showed a statistically significant decrease when compared with Mal or Atra groups.
Therefore, the present results elicited noticed improvement in the antioxidant capacities of PPE and PJ, especially for the combined co-administration group (Mal + Atra + PPE + PJ), when compared to the negative control group.
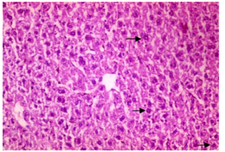
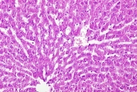
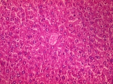
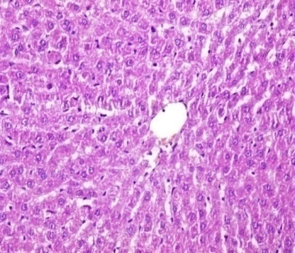
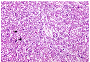
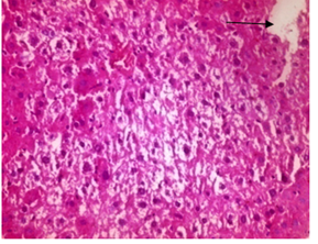
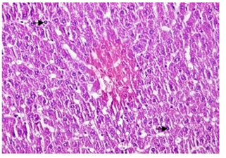
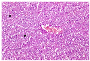
Fig. 2A represented a liver section of the negative control group; it showed a normal hepatic lobular architecture with rounded or polygonal hepatocytes arranged in lobules with elongated blood sinusoids and normal central vein. The hepatocytes exhibited rounded nuclei located either central in the cytoplasm. Treatment of mice with Mal (27 mg/kg)resulted in dilation of the hepatic blood vessels (arrow), hepatocytes appeared irregularly distributed and displayed drastic pathological alterations, clear signs of necrosis, the nuclei disappeared from most of the cells and the cytoplasm became vacuolated or greatly liquefied as shown in fig. 2B. While Atra (120mg/Kg) treatment leads to severe hepatic damage represented by fatty change of hepatocytes with vaculation (arrow heads), necrosis in liver cells in the form of pyknotic nuclei (arrow), markedly increased of endothelial cells in different parts of the hepatic tissue and more eosinophilia of the cytoplasm (fig. 2C). Fig. 2D and 3A represent PPE and PJ groups respectively, they show normal central veins surrounded by cords of hepatocytes with central vesicular nuclei and eosinophilic cytoplasm. They show normal hepatic lobular architecture that is more or less as the negative control group. This means that neither PPE nor PJ has a damaged effect on the hepatic architecture, in another meaning, they have no hepatic side effects.
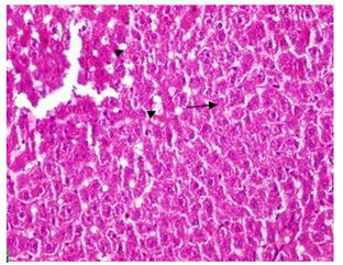
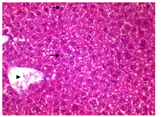
Fig. 3B and 3C represent Mal+ PPE and Mal +PJ groups, respectively. In which the PPE and PJ showed slight effect to overcome the Mal damage to liver tissues. In which, Mal +PPE group showed swollen hepatocytes with foamy finely granular cytoplasm (arrow), while Mal +PJ group showed dilated mildly congested central veins (arrow head), ground glass hepatocytes (arrow) and inflammatory cells appeared in different parts of the hepatic tissue. The effect of PPE and PJ co-administration with Atra, on liver tissue is represented by fig. 3D and 3E, respectively.

Results are expressed as mean± standard error (SE), *: Significant difference at* p<0.05., a: Statistically compared with negative control group., b: Statistically compared with Mal group., c: Statistically compared with Atra group.
Fig. 1: The effect of Pomegranate peel extract (PPE) and Juice (PJ) on the level of antioxidant enzymes (SOD, Gpx and CAT) and oxidative stress marker (MDA) in Atrazine (Atra) and Malathion (Mal) treated mice groups. Results analysis represented by Student’s t-test
They show a mild ameliorating effect of PPE or PJ on liver tissue, that was represented by tissue cords of hepatocytes with mild fatty change in the form of central nuclei surrounded by vacuolated cytoplasm(arrow) for Atra+PPE group and also a moderate fatty changes in the hepatocytes for Atra+PJ group (arrow). Moreover, PPE and PJ combined co-administration with Mal + Atra shows tissue cords of hepatocytes with mild congestion surrounded by vacuolated cytoplasm (arrow) as showed in fig. 3F.
HPLC analysis
The high-performance liquid chromatography technique was developed to identify the major compounds present in the Al-Taif PPE. In the present study, we choose to identify the active ingredients of PPE only because of its more antioxidant potent against pesticides (Mal and Atra) damage effect than PJ. In addition, different literature sources estimated that pomegranate rind powder extract has more antioxidant effectiveness than PJ [28]. In the end, the profile of the Al-Taif PPE is presented in Fig.4. The major active ingredients identified were Dihydrocoumaroyl glucoside (retention time (RT)= 2.490, Amides category); Galloyl-hex(retention time (RT)= 4.073, Gallotannins category); Gallic acid(retention time (RT)= 5.00, Phenolic acids category) and Delphinidin-3-glucoside (retention time (RT)= 5.89, Anthocyanins category) as shown in table 1.
Table 1: Active ingredients of PPE at different retention time (RT) with their corresponding categories using HPLC peaks # Solvent’s ingredients used by the instrument and not PPE active ingredients.
| Peak | RT (min) | Compound name | Category |
| 1 | 0.637 | Benzophenone# | |
| 2 | 0.843 | 2-isopropylphenol# | |
| 3 | 0.979 | Decane# | |
| 4 | 1.154 | Mesitylene# | |
| 5 | 2.490 | Dihydrocoumaroyl glucoside | Amides |
| 6 | 4.073 | Galloyl-hex | Gallotannins |
| 7 | 5.00 | Gallic acid | Phenolic acids |
| 8 | 5.89 | Delphinidin-3-glucoside | Anthocyanins |
![]() |
![]() |
| A | B |
![]() |
![]() |
| C | D |
Fig. 2: Photomicrographs of liver section of different mice groups. In which A, represents negative control group; B, Mal group; C, Atra group and D, PPE group. H&E (X200)
![]() |
![]() |
| A | B |
![]() |
![]() |
| C | D |
![]() |
![]() |
| E | F |
Fig. 3: Photomicrographs of liver section of different mice groups. In which A, represents PJ group; B, Mal + PPE group; C, Mal + PJ group; D, Atra + PPE group; E, Atra + PJ group and F, Mal +Atra + PPE + PJ group. H&E (X200)

Fig. 4: Peaks of active ingredients of PPE using HPLC
DISCUSSION
Toxicity assessment is essential to determine the sensitivity of animals to toxic agents and is used to evaluate the degree of damage to target organs and consequent physiological, biochemical, and behavioral alterations [29]. In the present study, mice treated with Mal or Atra showed a decrease in the antioxidant enzymes level of SOD, Gpx and CAT, while it showed an increase of the lipid peroxidation end product, MDA. Our results reported more toxic potential of Atra than mal treatment.
The present results are in agreement with previous results, in which Akunna et al.[30]reported the toxic potential of Atra in rat testicular tissue and Mal in human erythrocytes treatment, respectively. They estimated a significant decrease in the activity level of GPx, SOD and CAT when compared to control group. Further, a significant increase in lipid peroxidation was observed also in Atra and Mal treated group when compared to control group. It has been largely reported that Atra and Mal induced organ toxicity could be as a result of their metabolites which may be involved in electron transfer, reactive oxygen species formation, and oxidative stress [31].
Moreover, the present results reported a liver histopathological damage represented by severe congestion of the hepatic blood vessels and fatty change of hepatocytes, necrosis in liver cells in the form of pyknotic nuclei and more eosinophilia of the cytoplasm due to Mal and Atra treatment, respectively. These results are in agreement with previous studies, in which Kalender et al. [32]evaluated liver distortion induced by Mal treatment represented by inflammatory cell infiltration, hemorrhage, calcification, vascular degeneration, dilation of sinusoids, vascular congestion and necrosis in the rat liver accompanied by a different biochemical parameter change. They concluded that, such liver damage may arise from the toxic effects of Mal,which disturbs the detoxification mechanisms of the liver. In addition, it is possible that Mal, like several other insecticides, adversely affects the cytochrome P450 system or the mitochondrial membrane transport system of hepatocytes [33]. In the same way, Campos-Pereira et al. [34] observed alterations in liver of rats treated with Atra, such as a visibly reduced hepatocyte volume, dilatation of the Disse spaces containing the sinusoids, cytoplasmic vacuolization, cytosol leakage, karyolysis, and nuclear pyknosis. Moreover, Liu et al.[35] described the characteristic events of apoptosis such as pyknosis, chromatin marginalization, and the formation of dense bodies in carp cell cultures(ZC-7901) after treatment with variable concentrations of Atra. They concluded that one of the possible mechanisms of cell death that may have occurred in response to Atra exposure is autophagic cell death, which is characterized by nuclear pyknosis, cellular atrophy, and cytoplasmic vacuolization due to macroautophagy[36].
Co-administration of PPE or/and PJ for Atra or/and Mal treated groups, restored almost most of these antioxidant defense capacities to normal levels and improved the hepatic damage and alleviates the toxic potential of Atra and Mal. This might be explained by their antioxidant potential against pesticide toxicity. We choose to analyze Al-Taif PPE active ingredients using HPLC to detect those active antioxidants and it is not surprising to find that it consists mainly of Dihydrocoumaroyl glucoside (Amides category); Galloyl-hex (Gallotannins category); Gallic acid (Phenolic acids category) and Delphinidin-3-glucoside (Anthocyanins category). Our results were in agreement with previous studies, for example Jain et al. [37],who reported different PPE phenolic components that have different antioxidant potential.
The conception of antioxidant action of phenolic compounds is not novel [38]and Blokhina et al. [39]show that phenolics (especially flavonoids) are able to alter peroxidation kinetics by modifying the lipid packing order. They stabilize membranes by decreasing membrane fluidity (in a concentration-dependent manner) and hinder the diffusion of free radicals and restrict peroxidative reaction. According to Verstraeten et al. [40], in addition to known protein-binding capacity of flavanols and procyanidins, they can interact with membrane phospholipids through hydrogen bonding with the polar head groups of phospholipids. As a consequence, these compounds can be accumulated on the membrane surface, both outside and inside the cells.
Through this kind of interaction, as they suggest, selected flavonoids help maintain membranes’ integrity by preventing the access of deleterious molecules to the hydrophobic region of the bilayer, including those that can affect membrane rheology and those that induce oxidative damage to the membrane components. In addition, in vitro studies have shown that phenolics (mainly flavonoids) can directly scavenge molecular species of active oxygen: ·O2- -superoxide, H2O2 -hydrogen peroxide,. OH-hydroxyl radical, 1O2-singlet oxygen or peroxyl radical. Their antioxidant action resides mainly in their ability to donate electrons or hydrogen atoms [41].
At the end, the current results showed pesticides toxicity represented by Atra and Mal on the liver tissue as a result of oxidative stress. In addition, we evaluate different Al-Taif pomegranate antioxidant potential in ameliorating pesticides toxicity especially the PPE. While these preliminary results appear promising, further studies are required to elucidate different Al-Taif Pomegranate potentials.
CONFLICT OF INTERESTS
Declared None
ABBREVIATIONS
Pomegranate peel extract, PPE; Pomegranate Juice, PJ; Atrazine, Atra; Malathion, Mal.
REFERENCES