Associate Professor, Department of Genetic Engineering and Biotechnology, University of Rajshahi, Rajshahi-6205, Bangladesh.
Email: kmfhoque03_gen@yahoo.com
Received: 20 Oct 2014 Revised and Accepted: 18 Nov 2014
ABSTRACT
Objective: Bungarus caeruleus (common krait) is a venomous snake in Bangladesh as well as whole over the Indian subcontinent and causing a significant number of mortality due to most of the snakebites in this region. The present study was aimed to evaluate the extinct of damage caused by intraperitoneal introduction of krait crude venom at a sublethal dose on liver, kidney and heart tissues of rodent animal.
Methods: Twelve mice were divided mainly into two groups as control and envenomated group. Lyophilized Bungarus caeruleus venom was dissolved in 0.9% NaCl solution and injected intraperitoneally as dose equivalent to 1/2 LD50 (0.08 mg/Kg) in the mice of envenomared groups. The animals were sacrificed after 24 hour of envenoming for histological study.
Results: Results were indicated inflammatory cellular infiltration, vacuolation in hepatocytes, congestion in the central vain and hemorrhage in hepatic tissue. Renal tissue showed inflammatory infiltration, cytoplasmic vacuolation, glomerular and vessels congestion, shrinking of glomeruli, hemorrhage as well as necrosis of proximal tubules. Cardiac tissue also presented heart-hemorrhage, multifocal areas of myocardial fiber along with separation of the muscle fibers of envenomated groups compared with regular and compact organization of their control respectively.
Conclusion: From these observations, we can be concluded that such injury could be considered among the factors that lead to death caused by Bungarus caeruleus envenoming and by considering the site and the mode of action of this poison on tissue level, this findings may contribute for the discovery of antivenom related valuable pharmaceutical products.
Keywords: Bungarus caerulus, Cardiac tissue, Hepatic tissue, Histology, Krait, Renal tissue, Venom.
INTRODUCTION
Snakes envenoming is a serious health hazard often faced by village dweller, farmers and farm laborers of tropical and subtropical countries like Bangladesh. It is a major health problem and causing a significant numbers of mortality and morbidity particularly in the rural areas of Bangladesh. The highest recorded snakebite related morbidity and mortality is seen in the rural poor communities of tropical countries mostly in South Asia, Southeast Asia, and sub-Saharan Africa probably due to insufficiency of proper medication and transportation [1-3]. In spite of snake envenoming is an important health hazard in Bangladesh; it is a neglected tropical disease of global importance and received virtually no appropriate attention from the planners and professionals [4].
Kasturiratne et al. (2008) reported that yearly at least 1.2 million snakebites, 421,000 envenomings, and 20,000 deaths occur due to snake envenoming in the whole over the world [1]. Though there is a limited number national data of snake bite cases in Bangladesh till now registered, a statistical record calculated by Faiz (1999) raveled 4.3 people per 100,000 civilian are the victims of snake bite in Bangladesh [5]. There are about 82 species of snakes identifiable in Bangladesh, among them 28 are known venomous (cobras, kraits, green pit vipers and sea snakes in coastal areas etc). Snake venom is highly modified saliva containing a complex mixture of several biochemical substances, like as toxins, enzymes, growth factors, activators as well as inhibitors with broad spectrum biological activities stored in venom glands at the back of the head and mainly used to breakdown of food into soluble compounds help for proper digestion [6- 10].
In spite of containing different biochemical components, a few numbers are mainly responsible for toxic effect and causes serious clinical injury of victims are pro-coagulant enzymes, cytolytic or necrotic toxins, hemolytic and myolytic phospholipases A2, pre- and post-synaptic neurotoxins, and haemorrhagins. Common krait (Bungarus caerulus) is one of the venomous snakes in Bangladesh as well as south eastern Asia and causing 10,000 fatalities per year in India alone [11]. This envenoming mortality rate may reaches at 70-80% where there is no treatment or poor and ineffective treatment (e. g., no use of mechanical ventilation, low quantities of antivenom, poor management of possible infection). Bungarus caerulus is under Elapidae family having 13 species and five subspecies. Krait bites result in severe abdominal cramps, accompanied by progressive paralysis without significant local effects and requiring artificial respiratory support due to involvement of diaphragm and death occurs usually four to eight hours after the bite mainly for respiratory failure and suffocation. Its fatal effect mainly attributed due to presence potent neurotoxin (bungarotoxin), which generally affect the nerve endings near the synaptic cleft of the brain inducing muscle paralysis [12].
Clinically, its venom contains presynaptic and postsynaptic neurotoxins, the latter bind to the acetylcholine receptors at the postsynaptic membrane of the neuromuscular junction and prevents the binding of acetylcholine. This responsible for non-depolarizing type of neuromuscular blocked [13]. Krait envenoming cause’s multiple-organ failure, alteration of immunochemical and biochemical patterns as well as electrolytes of the body resulting death in case of severe envenoming [14-16]. By considering the severity of krait envenoming, the current study was aimed to detect the hepatotoxic, nephrotoxic and cardiototoxic patterns provoked by a sub lethal dose of Bungarus caerulus venom on rodent animals and observing histopathological changes of post krait envenomation. From our current study we obviously showed that the pattern and mode of action of krait venom on tissue level of important organs of rodent animal which leads to different degrees of tissue injury.
MATERIALS AND METHODS
Experimental animals
Twelve matured female albino mice weighing around 26-30 gm (90 days old) were purchased from the Department of Pharmacy of the University of Jahangirnagar, Dhaka, Bangladesh. All mice were handled in accordance with the typical guide for care and use of laboratory animals (under the license of Institutional animal, medical ethics, bio-safety and bio-security committee (IAMEBBC) for experimentations on animal, human, microbes and living natural sources. No. 33/320/IAMEBBC/IBSC).
Bungarus caerulus venom preparation and lethality
Crude krait venom was obtained from Bungarus caerulus snakes collected from the Snake Rescue and conservation centre (SRCC) at Darusha, Rajshahi. Then, the isolated venom was milked, lyophilized and stored in a refrigerator at 4 °C and dissolved in 0.9% NaCl solution prior to use. The LD50 value of crude venom was determined by a technique described by Meier and Theakston (1986) [17]. LD50 value of the venom was estimated by intraperitoneal injection of different concentrations of venom. The dose level was increased by 1 μg venom until 50% mortality was observed within 24 h. We estimated the LD50 value of crude venom as 0.04 mg/kg of mice body weight.
Experimental design
Twelve matured female albino mice were randomly distributed into two groups, as control and envenomated group.
Control group
The first group was injected intraperitoneally with 200 μL physiological saline (0.9% NaCl) solution and marked as control.
Treatment group
The second group was injected intraperitoneally with 1/2 LD50 (0.08 mg/kg b. wt.) of Bungarus caerulus crude venom in 200 μL saline solution at a single dose.
Histological study
After envenomation of 24 hour, the animals were anesthetized using chloroform and sacrificed by cervical dislocation. Liver, kidney and heart were collected carefully and washed thoroughly with 0.9% normal saline to remove any race of blood. The dissected tissue was treated with Bouin’s fluid (fixative) for -16-18 hour and subsequently washed under running tap water for one hour until complete removal of most of the Bouin’s fluid from the tissues. Followed by washing, dehydration of the tissues was conducted by immersing in a series of gradually increasing concentrations of alcohol (50%, 70%, 80%, 95% and absolute alcohol) and embedded into paraffin wax for making blocks. Sectioning of the tissue was performed by using a microtome machine (The microtome machine was sold from Tokyo, Japan by the trade name of SHIBUYA produced by optical. Co LTD). The microtome was pre-set to cut the tissue as thicknesses around 6 µm. Blocks Small ribbons of tissue sections were placed on microscopic slide with help of warm distil water containing a few drops of Mayer’s albumen and deparaffinized with xylene solution. Haematoxylene and eosin yellow solution was used to stain the tissue for preparing permanent slides. Histopathological changes were observed under 20x and 40x of a light microscope (The microscope was purchased from Italy by the trade name optika) and snaps were taken.
RESULTS
Effects on hepatic tissue
The histological sections of the liver tissue of the control mice showed a regular and compact configuration with well hepatic cell, central vain, and sinusoid and associated other accessory vain and capillaries (Fig. 1A). However, liver sections of envenomated mice showed some severe histological alterations. Histological evaluation of envenomated hepatic tissue indicated that Bungarus caerulus envenomation caused an inflammatory cellular infiltration, vacuolation in hepatocytes, congestion in the central vain and hemorrhages in hepatic tissue (fig-1B).
Effects on renal tissue
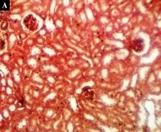
Renal tissues of control mice (Fig. 2A) showed the normal organization of the renal corpuscles with intact Bowman's capsules each enclosing by a tuft of glomerular capillaries. The renal tubules included intact proximal and distal convoluted tubules, loop of Henle and collecting tubules.

Fig. 1: Hepatic organization of albino mice. (A) Compact configuration of hepatic tissue of control mice. (B) Congestion in the central vain (arrow headed), vacuolation in hepatocytes (arrow headed) and mild hemorrhages (arrow headed) inside the tissues of envenomated group
Injection of the krait venom induced different degrees histopathological alterations in kidney tissues. Histological evaluation of renal tissue demonstrated that Bungarus caerulus envenoming caused an inflammatory infiltration, vacuolation in renal tubules, glomerular and vessels congestion, shrinking of glomeruli, hemorrhage and necrosis of proximal tubules in renal tissue (fig-2B).


Fig. 2: (A) Control renal tissue shows normal architecture. (B) Histological section from envenomated renal tissue appeared with moderate inflammatory cellular, vacuolation in renal tubules (arrow headed), glomerular and vessels congestion, shrinking of glomeruli (arrow headed), hemorrhage (arrow headed) and necrosis of proximal tubules in renal tissue
Effects on cardiac tissue
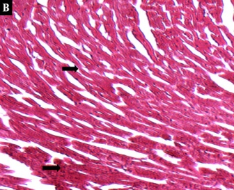
The cardiac tissues of control mice showed normal organization of cardiac muscle fibers surrounded by an endomysium of delicate connective tissue with rich capillary network (Fig-3A). Administration of the krait venom induced variable degrees histopathological alterations in cardiac tissues as heart-hemorrhage, multifocal areas of myocardial fiber and separation of the muscle fibers which appeared to contain separate myofibrils (fig-3B).


Fig. 3: (A) The image from control cardiac muscle showing normal and compact configuration. (B) Whereas, the heart section of envenomated mice showing a range histological alterations as heart-hemorrhage (arrow headed), multifocal areas of myocardial fiber and separation of the muscle fibers (arrow headed)
DISCUSSION
At present, snake venom appeared as the most potentially investigated natural raw materials for sophisticated research. Snake venoms are the complex mixtures of different kinds of biological and biochemical substances. Among them proteins and peptides make 90–95% of the dry weight of venom and at least 25 enzymes are present in the venom gland (but no single venom contains all of them). Other then bioactive components, snake venoms possesses several inorganic cations such as sodium, calcium, potassium, magnesium and small amounts of zinc, nickel, cobalt, iron, manganese. Some snake venoms also have carbohydrate, lipid, biogenic amines and free amino acids [18]. Krait envenoming and related mortality is a burning issue in our country. Though there are a limited work about the histotoxic effect of Bungarus caerulus in the Bangladesh as well as south eastern countries till now recorded. But sufficient studies have already been done on other venomous snakes such as cobra species even other krait species in different part of the world. Previous studies demonstrated that sublethal doses of Bungarus fasciatus and N. haje venom induces severe histopathological, histochemical, and pathophysiological changes in the heart, liver, kidney, and brain of rats [19- 21]. The degree of tissue alterations following snake envenomation mainly rely on the snake species responsible for bite, the composition of its venom component and also on the susceptibility of the tissue for a particular component of the venom [22]. Liver is the primary detoxifying organ in the body could be affected by various types of toxic components in venom. Since the effectiveness of neurotoxins of krait venom is lower for the liver tissue, it is possible that these alterations are resulting from another toxic component in the venom other than neurotoxins [23]. The findings from our present study (fig-1B) are in accord with the observations reported by Nanayakkara et al (2009) which showed that Inflammatory infiltrates in periportal and perivenular regions, hemorrhages and congestion in the central vain and hemorrhages [23]. Lougin M. Abdel Ghani et al, (2009) reported a large number of inflammatory cells, cellular necrosis, swollen and completely damaged hepatocytes of envenomated mice injected with ¼ LD50 and ½ LD50 Naja nigricollis crude venom [24]. Krait venom also contains phospholipases which showed wide ranges of deleterious impacts on different tissues. These enzymes hydrolyze phospholipids in the cell membrane and disturb the cell membrane structure with the subsequent influx of Na+ and water [25, 26]. In the present study, the histopathological alterations, mainly inflammatory infiltration and necrotic nature probably due to leakage of membrane caused by the action of this phospholipases. On the other hand, kidney is the main route of excretion of elapid toxins. So kidney injury is among the common and most serious symptoms of krait envenoming. In the current study injection of sub lethal doses of krait venom resulting variable degrees of histological alterations in renal architecture (fig-2B) in a similar way previously reported by Nanayakkara et al (2009) which indicated inflammatory infiltration, glomerular congestion, hemorrhages and focal necrosis [23]. Mirajkar et al (2005) also reported congestion of the vessels, hemorrhage and necrosis in the renal organization after injecting the rat with sub lethal dose of 60 μg/kg B. caeruleus venom [16]. Amany A et al (2014) reported inflammatory cellular infiltration, vacuolation in the tubule and shrinking in the glomeruli appeared in most cases in renal structure envenoming the mice with 1/2 LD50 N. haje venom [27]. Cytoplasmic vacuolation in renal tubules probably due to the disturbances in lipid inclusions and fat metabolism happening under pathological cases [28]. Krait venom might affect directly for the presence of such components which have an acute effect on the function or structure of the renal tissue, whereas the indirect action might be due to the lethal effect brought about by reactive metabolites or mediators produced in the kidney during envenoming [29]. All blood samples of higher organism are circulated from heart, so any toxic substances in blood may cause heart injury. Lower molecular weight toxins in krait venom are rapidly absorbed and promptly circulated through the blood stream [30]. Skeletal muscles of cardiac tissue are affected in the presence of myotoxic substances in the venom. Congestion of myocardial blood vessels and petichial hemorrhages are the common histological signs of krait envenoming. The present study showed different degrees of histological alterations (fig-3B) in a manner similar with the findings reported by Kiran et al (2004) which showed heart-hemorrhage, multifocal areas of myocardial fiber in the cardiac tissue; necrosis-and constriction of blood vessels of all rat envenomed with sublethal dose (25 μg/kg) of B. caeruleus venom [31]. There are sufficient studies indicated that the manner of cardiac association in neurotoxic snake envenomation might be caused of one of the myriad toxins of the venom, which lead to morphological changes [31], enzyme alterations [32], ultrastructural turbulence and genetic modification [33] of the myocardial tissue. We mainly focused form our current study that a sub lethal dose of Krait venom induces variable degrees of histopathological alterations in hepatic, renal and cardiac tissues which are main feature toxicity on tissue level and leading to death of envenomated people at higher doses.
CONCLUSION
From considering all views of points it can be concluded that intraperitoneally injection of Bungarus caerulus venom encourages significant histopathological changes in hepatic, renal and cardiac tissue of all envenomed mice. Therefore, further studies need to be carried out for the isolation and purification of Krait venom and applying this valuable natural raw materials in sophisticated research for discovery of anti venom related drug and other pharmaceutical valuable product.
CONFLICT OF INTERESTS
Declared None
ACKNOWLEDGEMENT
I would like to acknowledge ministry of science and technology of Bangladesh for financial support.
REFERANCES