School of Biochemistry, Devi Ahilya University, Khandwa Road, Indore-452001, M. P., India.
Email: deepakbioch@yahoo.co.in
Received: 26 Oct 2014 Revised and Accepted: 25 Nov 2014
ABSTRACT
Objective: Vitex negundo, commonly known as “nirgundi” is widely used in traditional as well as in folk medicines to cure many ailments such as fever, rheumatism, gum and skin diseases and liver disorders, etc. The present study evaluated the antioxidant potency of hydroethanolic extract of Vitex negundo leaves (VNE) in Freund’s complete adjuvant (FCA) induced arthritis.
Methods: Acute oral toxicity test of VNE at various increasing doses and its effect on biochemical markers of hepatotoxicity and renal toxicity along with histopathology were studied. The experimental arthritis was induced by subcutaneous injection of FCA at the right hind paw of male albino rats. Treatment with indomethacin (10 mg/kg body weight) and VNE (200 mg/kg body weight) was given to arthritic rats to study the effects on liver and erythrocytes malondialdehyde (MDA) and antioxidant status. Anti-inflammatory activities were studied by inhibition in paw edema.
Results: The results showed that the use of VNE, up to the dose of 5 g/kg body weight was nontoxic. Oral administration of VNE significantly modulated antioxidant status and reduced MDA content. VNE also exhibited anti-inflammatory activity shown by inhibition in paw edema of arthritic rats.
Conclusion: Vitex negundo leaves possess potent antioxidant and anti-inflammatory activity by modulating the oxidant/antioxidant in favor of reducing oxidative stress and thereby; the inflammation in FCA induced RA.
Keywords: Freunds complete adjuvant, Anti-inflammatory, Lipid peroxidation, Antioxidants, Vitex negundo.
INRODUCTION
Rheumatoid arthritis (RA) is an autoimmune disease, characterized by chronic inflammatory reactions that lead to progressive, erosive and chronic polyarthritis of synovial joints. Although the etiology of RA is not known, but it was found that free radicals and reactive oxygen species (ROS) play an important role in the pathogenesis and progression of the disease [1]. The production of ROS beyond the scavenging ability of antioxidants, may contribute to the oxidation of various intracellular constituents such as proteins, lipids, nucleic acids as well as extracellular matrix components such as proteoglycans and collagens. An intracellular defense system that consists of enzymes, nonenzymatic and metabolic antioxidants counteract with oxidants by various mechanisms of actions to scavenge the free radicals and thus prevent the biological system from oxidative damages [2].
Plants and plant derived products are practiced from ancient times in various traditional and folk medicines to cure such pathological conditions. Nevertheless, proper justification with a scientific background is continually being researched for their medicinal use. The free radical eliminating effects of herbal medicines in oxidative stress may delay or inhibit the complications associated with diseases.
Vitex negundo, a member of family Verbenaceae is an important medicinal plant used in different regions of India as well as China, Nepal, Shri Lanka, Thailand, Malaysia and eastern Africa [3]. Different parts of the plant have been employed for the management of fever, inflammation, headache, leucoderma, enlargement of the spleen, rheumatoid arthritis, gonorrhea, bronchitis, cold and cough [4, 5]. Phytochemical analysis of V. negundo leaves revealed the presence of alkaloid (nishundine), flavonoids (flavones), glucoside, iridoid glycosides and essential oil with some other constituent such as vitamin C, carotene, glucononital, benzoic acid, β-sitosterol and C-glycoside [6]. These phytoconstituents are accountable for its different biological actions. The present study was undertaken to investigate the effects of V. negundo leaves extract on in vivo antioxidant status by measuring lipid peroxidation and antioxidant enzyme activity along with anti-inflammatory activity by measuring changes in paw volume in FCA induced arthritic rats.
MATERIALS AND METHODS
Chemicals and reagents
Freund’s Complete Adjuvant (FCA) was procured from Difco Laboratories, Detroit, Michigan, USA. HPLC grade acetonitrile were purchased from Merck Chemicals, Mumbai, India. Pyrogallol, ethylenediamine tetra acetic acid (EDTA) and other chemicals and solvents of AR grade were purchased from Hi Media Co. Mumbai, India.
Plant material and preparation of the extract
V. negundo leaves were procured from the local market and to prepare the extract of V. negundo (VNE) 1.0 g of powdered leaves was added to 25 ml ethanol: water (1:1) mixture. This mixture was left overnight at room temperature in dark and subsequently centrifuged at 13000 xg for 30 min. The supernatant was filtered and used as the test sample.
Animals
Male albino rats of Wistar strain weighing 180-200 g were kept in polypropylene cages at an ambient temperature. Animals had free access to feed and water. The experiments were performed according to the guidelines of the Institutional Animal Ethics Committee (IAEC).
Acute toxicity test
The extracts prepared in ethanol: water (1: 1, v/v) was concentrated in dry air and orally administered to female rats at different doses of 1.0, 2.0, 3.0 and 5.0 g/kg body weight. The rats were observed for behavioral responses such as changes in body weight, ataxia, convulsion, diarrhea and mortality for 72 hr. After 72 hr, the blood sample was collected to analyze biochemical markers of hepatotoxicity and nephrotoxicity. Histopathological examinations of liver and kidney were performed to study any structural changes in response to the effects of the extract.
Measurement of serum biochemical parameters
Blood was collected from an acute toxicity group of rats and allowed to clot at room temperature. The serum samples were analyzed by a biochemical autoanalyzer (Erba Chem. 7, India) using commercially available kits (Beacon Diagnostics, Navsari, India) for alanine aminotransferase (ALT), aspartate aminotransferase (AST), alkaline phosphatase (ALP), creatinine, urea, uric acid and total protein.
Histopathology
To study the toxic effect of different doses of VNE, liver and kidney was excised and fixed in 10 % formalin. The haemotoxylin and eosin (H and E) stained sections were visualized under a light microscope.
Induction of arthritis
FCA containing 10 mg/ml of dry heat killed Mycobacterium tuberculosis (H 37 Ra) in sterile paraffin oil was used to induce arthritis. FCA (0.1 ml) was injected s. c. to the plantar surface of right hind paw of the animal on day 0. The FCA injected animals were monitored continuously for joint diameter (paw edema) and inflammation.
Experimental design
The rats were divided into four groups of 6 animals each. The groups in the study were control without any treatment (Group 1), FCA induced arthritic rats (Group 2), rats treated with indomethacin (10 mg/kg/day, p. o.) from 15thday of arthritis induction to day 28th(Group 3) and rats treated with VNE (200 mg/kg/day, p. o.) from day 15thto day 28th after the induction of arthritis (Group 4).
Measurement of paw volume
Increase in paw volume, a measure of edema caused due to inflammation was studied in various groups of animals. The paw volume of all the animals was measured by plethysmometer (Scientech, Indore, India) at every 3rd day from the day of arthritis induction (day 0) to the end of treatment (day 28th). The % inhibition in paw volume due to the effect of indomethacin and VNE were calculated from the following formula
% inhibition = 1– Vt/Vc × 100
Where, Vt is the mean paw volume of FCA induced arthritic animal treated with the test sample and Vc is the mean paw volume of FCA induced arthritic animal.
Collection and processing of biological samples
The animals were sacrificed under mild ether anesthesia. Liver homogenate (10 %) was prepared using Potter-Elvehjem Homogenizer (Remi, Mumbai, India) in ice cold PBS (1: 9, v/v) followed by centrifugation at 16000 xg for 30 min at 4°C. Blood was collected by cardiac puncture in citrated tubes. Erythrocytes lysate was prepared as described earlier [7]. The supernatant obtained after centrifugation of tissue homogenate and erythrocytes lysate were immediately used to determine antioxidant enzymes and protein content.
Determination of malondialdehyde levels
Malondialdehyde (MDA) content in liver and erythrocytes was measured by HPLC method [8].
Determination of antioxidant status
The activity of superoxide dismutase (SOD), catalase (CAT) and glutathione-S-transferase (GST) in tissue homogenate and erythrocytes lysate and reduced GSH content in tissue homogenate and blood was determined [9-12].
Statistical analysis
The results obtained were analyzed by the SPSS software package version 20. The mean values obtained for the different groups were compared by one-way ANOVA, followed by post hoc -Tukeys (HSD) test and P< 0.05 was considered significant.
RESULTS
Acute toxicity test
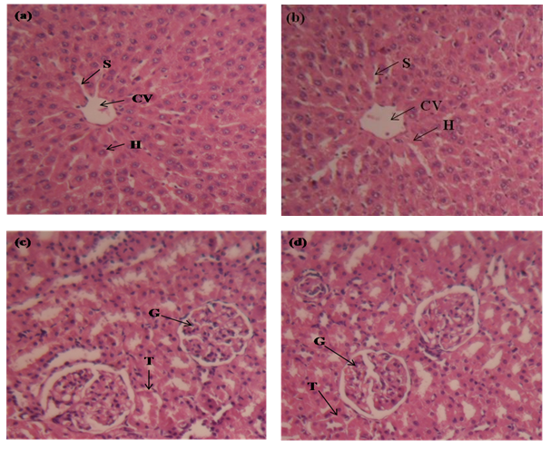
The result of acute toxicity tests showed no noteworthy changes in behavior of any group of animals at all the selected doses (1.0, 2.0, 3.0 and 5.0 g/kg body weight, p. o.) as compared with the control. No mortality was observed till 72 hrs of dose administration. No significant changes were observed in liver and kidney function test in serum (Table 1). Histopathological examination showed normal architecture of the liver, i. e., normal parenchyma and hepatocytes, sinusoids and its lining with distinct central vein (Fig. 1 a and b) at all the doses tested. There were no signs of degenerative changes such as hemorrhage, subintimal edema and cellular necrosis in the liver. Histology of the kidney (Fig. 1 c and d) showed the normal structure without any degenerative changes in the glomerular capsule lining and tubules.
Table 1: It shows the effect of different doses of V. negundo on serum SGPT (U/L), SGOT (U/L), ALP (U/L), Creatinine (mg/dl), Urea (mg/dl), Uric acid (mg/dl) and Total protein level (gm/dl) on liver and kidney of rats
| Group | Dose | AST | ALT | ALP | Creatinine | Urea | Uric acid | Total protein |
| g/kg | (U/L) | (U/L) | (U/L) | (mg/dl) | (mg/dl) | (mg/dl) | (gm/dl) | |
| Control | 0 | 110.38 ± 5.78 | 47.47 ± 1.41 | 104.65 ± 6.77 | 0.80 ± 0.03 | 34.06 ± 1.07 | 0.63 ± 0.03 | 7.09 ± 0.46 |
| V. negundo | 1 | 106.10 ± 5.98 | 55.76 ± 2.95 | 94.30 ± 2.53 | 0.78 ± 0.03 | 26.91 ± 2.43 | 0.67 ± 0.16 | 7.56 ± 0.31 |
| V. negundo | 2 | 109.91 ± 2.16 | 43.96 ± 1.93 | 97.89 ± 6.34 | 0.76 ± 0.03 | 26.56 ± 1.91 | 0.68 ± 0.04 | 7.43 ± 0.33 |
| V. negundo | 3 | 106.34 ± 3.05 | 49.91 ± 1.39 | 88.31 ± 0.81 | 0.70 ± 0.01 | 26.22 ± 2.03 | 0.77 ± 0.02 | 7.30 ± 0.17 |
| V. negundo | 5 | 108.94 ± 3.96 | 40.39 ± 2.39 | 96.08 ± 2.43 | 0.86 ± 0.03 | 31.52 ± 4.23 | 0.65 ± 0.06 | 7.01 ± 0.14 |
Values are mean ± SEM of 6 animals. The data were analyzed by one-way ANOVA, followed by post hoc -Tukeys (HSD) test and P< 0.05 was considered significant. No significant changes were observed in all the dose groups of V. negundo as compared to control.
Paw volume
A time dependent increase in paw edema was observed in RA (Table 2; Group 2) when compared with control (Group 1).
Treatment with indomethacin and VNE (Group 3 and 4) showed a significant decrease in paw edema from day 21st. VNE showed 36.53 % (Fig. 2) inhibition in paw edema that was comparable with indomethacin (41.51 %).
Tables 2: It shows the mean changes in paw volume in adjuvant-induced arthritis in rats.
| Group | Day 0 | Day 3 | Day 6 | Day 9 | Day 12 | Day 15 | Day 18 | Day 21 | Day 24 | Day 28 |
| Control | 0.22 ± 0.01 | 0.22 ± 0.01 | 0.22 ± 0.01 | 0.22 ± 0.01 | 0.22 ± 0.01 | 0.22 ± 0.01 | 0.22 ± 0.01 | 0.22 ± 0.01 | 0.22 ± 0.01 | 0.22 ± 0.01 |
Arthritic Control |
0.23 ± 0.01 | 0.36 ± 0.01* | 0.39 ± 0.02* | 0.53 ± 0.05* | 0.65 ± 0.03* | 0.71 ± 0.04* | 0.72 ± 0.03* | 0.78 ± 0.02* | 0.83 ± 0.03* | 0.80 ± 0.05* |
Indomethacin (10 mg/kg) |
0.22 ± 0.01 | 0.38 ± 0.02* | 0.43 ± 0.02* | 0.55 ± 0.04* | 0.71 ± 0.04* | 0.75 ± 0.04* | 0.65 ± 0.03* | 0.60 ± 0.03*# | 0.50 ± 0.03*# | 0.47 ± 0.04*# |
V. negundo (200 mg/kg) |
0.22 ± 0.01 | 0.41 ± 0.04* | 0.43 ± 0.03* | 0.58 ± 0.02* | 0.65 ± 0.05* | 0.68 ± 0.04* | 0.63 ± 0.03* | 0.55 ± 0.04*# | 0.55 ± 0.04*# | 0.50 ± 0.03*# |
Mean paw volume (ml) ± SEM of 6 animals. *P < 0.05 = significant as compared to control (Group 1), #P < 0.05 = significant as compared to arthritic control (Group 2).

Fig. 1: a) Liver section of normal control rats showing normal hepatic cells. b) Liver sections of V. negundo (5 g/kg) treated rats showing no structural changes. c) Kidney sections of rats treated of normal control. d) Kidney sections of rats treated with V. negundo (5 g/kg) showing normal cellular architecture. Letters represents S: sinusoids; CV: central vein; H: hepatocytes in liver and T: tubules; G: glomerular capsule in the kidney. (Photomicrographs of liver and kidney sections at lower doses were not shown).
Determination of MDA levels
MDA content was found significantly increased in both the liver and erythrocytes of the arthritic group (Table 3; Group 2) as compared to control (Group 1). A significant inhibition in the liver and erythrocytes LPO was observed with indomethacin (Group 3) and VNE (Group 4) as compared to arthritic control (Group 2). The liver and erythrocytes MDA content of indomethacin and VNE treated group of rats (Group 3 and 4) was comparable to the control group (Group 1).
Determination of antioxidant status
The decrease in SOD activity was significant in the liver, whereas it was non significant in the erythrocytes of arthritic rats (Table 3; Group 2) as compared to control (Group 1). Treatment with indomethacin (Group 3) significantly alleviated the SOD activity in the liver and erythrocytes whereas VNE (Group 4) showed a significant increase in the liver SOD activity with the non significant change in erythrocyte when evaluated against the arthritic group (Group 2). A significant decrease in liver catalase activity with non significant changes in erythrocyte catalase was observed in arthritic animals (Table 3; Group 2) when compared against a control (Group 1).

Fig. 2: It shows the percentage inhibition in paw volume of indomethacin (10 mg/kg) and V. negundo extract (200 mg/kg) treated rats as compared to adjuvant induced arthritic rats on different days of treatment. Values are expressed as Mean ± SEM (n=6). #P < 0.05 as compared to the arthritic control on the respective days. One-way ANOVA followed by post hoc -Tukeys (HSD) test
Though the treatment with indomethacin and VNE restored the liver and erythrocyte catalase activity to the normal level, but the increase was not significant as compared to arthritic control (Group 2). GST activity in the liver was significantly decreased in arthritic animals (Table 4; Group 2) when compared against a control (Group 1) though the decrease in GST activity was not significant in erythrocytes. VNE significantly restored GST activity in the liver and erythrocytes, whereas indomethacin improved only liver GST activity as compared to arthritic control (Group 2). A non significant decrease in GSH content of liver and erythrocytes was observed as compared to control (Table 4; Group 1). Indomethacin and VNE both improved GSH levels in the liver when evaluated against arthritic animals (Group 2). However, no remarkable change was observed in erythrocytes GSH content in indomethacin and VNE treated group (Group 3 and 4) as compared to control (Group 1) and arthritic group (Group 2).
DISCUSSION
Rheumatoid arthritis (RA) is an inflammatory disease of the joints, which is associated with activation and proliferation of immune-mediated cells, such as T cells, macrophages, neutrophils and plasma cells. The activated cells of the immune system such as macrophages and neutrophils are known to produce a variety of ROS and nitrogen species such as superoxide radical (O2.-), nitric oxide radical (NO.), chloride radical (Cl.-) etc. [13]. Reports indicated that the antioxidant system was impaired in RA, which contribute to oxidative modification of vital molecules that may be reflected in its functional activity [14]. Several groups have demonstrated increased oxidative enzyme activity with inhibited antioxidants in RA sera and synovial fluids [15, 16].
Table 3: It shows the effect of V. negundo leaf extracts on liver and erythrocyte LPO (MDA nmole/min/mg of protein), SOD (unit/mg of protein) and CAT (units/mg of protein) in adjuvant induced arthritic rats.
Group |
LPO1 |
SOD2 |
CAT3 |
|||
|
Liver |
Erythrocytes |
Liver |
Erythrocytes |
Liver |
Erythrocytes |
Control |
0.10 ± 0.05 |
ND |
15.09 ± 0.86 |
128.42 ± 2.30 |
394.67 ± 19.87 |
517.58 ± 53.14 |
Arthritic |
0.41 ± 0.04** |
30.31 ± 2.56** |
8.02 ± 0.56** |
80.09 ± 2.01 |
287.44 ± 19.43* |
391.87 ± 49.37 |
Indomethacin (10 mg/kg) |
0.07 ± 0.05## |
1.43 ± 1.43## |
13.69 ± 0.89## |
161.79 ± 6.40## |
380.00 ± 41.41 |
440.75 ± 56.03 |
V. negundo (200 mg/kg) |
0.09 ± 0.04## |
12.91 ± 6.31# |
12.85 ± 0.63## |
164.15 ± 40.61 |
386.49 ± 49.51 |
615.17 ± 91.07 |
Values are mean ± SEM of 6 animals. *P < 0.05 &**P < 0.01 = significant as compared to control (Group 1), #P < 0.05 & ##P < 0.01 = significant as compared to arthritic control (Group 2), ND = not detected, 1 = nmoles MDA formed/mg protein in liver and nmoles MDA formed/g of Hb for erythrocytes, 2 = units/mg protein, 3 = µmoles H2O2 decomposed/min/mg protein.
Table 4: It shows the effect of V. negundo leaf extract on liver and erythrocytes GST activity and GSH content in FCA induced arthritic rats.
Group |
GST1 |
GSH2 |
||
Liver |
Erythrocytes |
Liver |
Erythrocytes |
|
Control |
0.84 ± 0.07 |
2.13 ± 0.45 |
41.32 ± 3.84 |
35.81 ± 2.63 |
Arthritic |
0.57 ± 0.05* |
1.34 ± 0.16 |
32.33 ± 1.79 |
31.14 ± 1.90 |
Indomethacin |
0.95 ± 0.07## |
2.89 ± 0.79 |
45.22 ± 0.70## |
34.43 ± 1.50 |
V. negundo |
0.91 ± 0.11# |
2.98 ± 0.45# |
44.03 ± 2.13## |
34.68 ± 4.57 |
Values are mean ± SEM of 6 animals. *P < 0.05 & **P < 0.01 = significant as compared to control (Group 1), #P < 0.05 & ##P < 0.01 = significant as compared to arthritic control (Group 2), 1 = µmoles GSH conjugated/min/mg protein. 2 = µmoles DTNB conjugated/mg protein in liver and µmoles DTNB conjugated /g of Hb for erythrocytes,
In the acute oral toxicity test, no toxicity signs or fatality was observed in any group of animals, indicating the safety of VNE for the treatment of conditions, associated with experimental arthritis. The non toxic effect of the extract was also confirmed by unaltered level of serum biochemical parameters and normal architecture of liver and kidney as shown in the histopathology. The LD50 for VNE was greater than 5 g/kg according to the present study and was in agreement with the study of Tandon and Gupta [17] showing LD50 of V. negundo greater than 7.5 g/kg. Administration (s. c.) of FCA at the plantar surface causes activation of the immune system and inflammatory changes such as accumulation of tissue fluid at the site of injection in hind paw that appears in the form of edema. VNE administration was found to significantly decrease paw edema and was comparable to standard anti-inflammatory drug indomethacin treated animals.
MDA is a measure of lipid peroxidation (LPO) caused due to oxidation of membrane lipid in conditions of oxidative stress. The increased MDA in liver and erythrocytes of RA animals than those of controls was indicative of ROS mediated propagation of chain reaction leading to LPO. The increase in MDA content might be due to diminished activity of an antioxidant defense system to sufficiently scavenge free radicals generated in FCA induced RA. The report showed increased MDA due to a compromised antioxidant defense system that may be a cause of inflammation and related complications in RA [18]. VNE treatment showed a marked inhibition in LPO and thereby reduction in MDA level. The result indicates that the VNE strengthened the antioxidant system by providing antioxidants and facilitated inhibition of propagation of lipid peroxidation. An earlier study showed hepatoprotective effects of V. negundo with inhibition in MDA [19]. The free radicals are neutralized by different antioxidant enzymes that act in a synchronized manner to reduce the cytotoxic effects of reactive oxygen and nitrogen species. The activities of these enzymes may alter in RA pathology. Polymorphonuclear cells are activated in RA and play a major role in producing superoxide radicals and stimulate production of other reactive species and thus contribute in disease progression [20]. The superoxide radicals are dismutated by SOD to form hydrogen peroxide followed by its decomposition into water and oxygen by catalase. Liver and erythrocytes SOD activity was decreased in RA as compared to control. This might be due to excessive production of superoxide radical that inhibit the activity of SOD, which consequently improved after VNE treatment. The decreased activity of the liver and erythrocyte catalase was observed in FCA induced RA that was non significantly restored by VNE. The decrease in liver and erythrocytes GST activity in RA might be due to insufficient availability of reducing equivalents that detoxify the oxidants and protect the cell from oxidative injuries. VNE treatment normalized the GST activity in both liver and erythrocytes of arthritic rats. There were no changes observed in the liver and erythrocytes GSH content in arthritic animals; however, treatment with VNE enhanced the liver GSH content that can be used as reducing equivalents in the GSH dependent reactions to neutralize the free radicals. However, the erythrocytes GSH content remained unaffected.
CONCLUSION
The present study demonstrated the antioxidative and anti-inflammatory activity of hydroethanolic extract of Vitex negundo (VNE) in Freund’s adjuvant induced arthritis. VNE potentially modulated the impaired antioxidant defense and thereby, inflammation in arthritic rats. Thus, the study strengthens the use of Vitex negundo leaves in the therapeutics of rheumatoid arthritis by limiting oxidative stress and associated complications.
ACKNOWLEDGEMENT
The authors thank the Madhya Pradesh Council of Science and Technology, Bhopal for financial support.
CONFLICT OF INTEREST
The authors declare that there are no conflicts of interest.
REFERENCES