
aDepartment of Food Science and Human Nutrition, College of Agriculture and Veterinary Medicine, Qassim University, KSA, bDepartment of Nutrition and Clinical Nutrition, College of Veterinary Medicine, Cairo University, Egypt
Email: drhodaali@hotmail.com
Received: 01 Feb 2020, Revised and Accepted: 13 Mar 2020
ABSTRACT
Objective: This study aims to explore the adjuvant effect of multi-strain probiotics with either saffron, cardamom, ginger, or cinnamon herbs to achieve synergistic management for controlling type 2 diabetes (T2D).
Methods: Eighty-eight adult male, Wistar rats were used. Eight rats were kept as healthy control. Eighty rats were used to induce type 2 diabetic rats (T2DR) and were randomly assigned to ten groups. One group was an offer to 0.2 ml multi-strain probiotics orally. The rest of T2DR were gavage with 100 mg/kg aqueous extract of saffron, cardamom, ginger, or cinnamon without or with 0.2 ml multi-strain probiotics orally. Bodyweight gain (BWG), and feed efficiency ratio (FER) were recorded. Determination of oral glucose tolerance test (OGTT), serum insulin, C-peptide, HDL, LDL, HDL/total cholesterol ratio were performed. Serum antioxidant activity, Th1and Th2 cytokines and histopathology of the pancreas were done.
Results: Comparable with T2DR, solely multi-strain probiotics or with herbs caused a significant reduction in BWG (P<0.05). Groups fed saffron, cardamom, and ginger and enriched with multi-strain probiotic showed significant improvement in OGTT, serum insulin, C-peptide and lipid abnormalities (P<0.05) compared to T2DR. Besides, they had antioxidant and anti-inflammatory effects. The group received ginger alone exerted anti-hyperglycemia and anti-inflammatory effects. However, cinnamon had a moderate anti-diabetic effect and solely probiotics did not show a significant benefit for all parameters except BWG.
Conclusion: Cardamom, saffron, and ginger enriched with multi-strain probiotics achieve a synergistic relationship for managing T2D. This finding exhibits a possible new hypothesis to manage diabetes that needs further study.
Keywords: Type 2 diabetes, Probiotics, Saffron, Cardamom, Ginger, Cinnamon, Synergistic relationship
© 2020 The Authors. Published by Innovare Academic Sciences Pvt Ltd. This is an open access article under the CC BY license (http://creativecommons.org/licenses/by/4.0/)
DOI: http://dx.doi.org/10.22159/ijpps.2020v12i5.37008. Journal homepage: https://innovareacademics.in/journals/index.php/ijpps
Obesity and diabetes mellitus (DM) are the most common metabolic disorders lead to morbidity and mortality. It becomes rapidly increased in Eastern societies as in the Kingdom of Saudi Arabia (KSA), due to the modern diet lifestyle [1]. KSA among the top ten countries worldwide with a high prevalence of diabetes [2, 3]. Recently KSA is eighth on a list of top 10 countries for the number of children diagnosed per year [4, 5].
It well knows that diet and physical exercise only, were failed to control glycemia caused by type 2 DM; consequently; it is necessary to treat them with anti-diabetic pharmacotherapy [6]. Unfortunately, medical drug remains a controversial issue [7, 8]. These have taken challenged to use alternative therapy for DM based on nutraceuticals and functional foods [9].
Medical herbs may delay the development of diabetic complications and correct metabolic abnormalities [10, 11]. Saffron, cardamom, ginger, and cinnamon are an example of the most popular herbs used in KSA, use as an additive for Arabian coffee. Saffron (Crocus sativus) exerted anti-diabetic, anti-obesity, anti-inflammatory, antioxidant, and hypolipidemic properties [12-15]. Regarding cardamom (Elettaria cardamomum), it is a dietary spice that has nutraceutical effects; such as antioxidant, anti-inflammatory and hypolipidemic activities, which may improve DM [16, 17]. Ginger (Zingiber officinale) showed anti-hyperglycaemic, anti-hyperlipidemic and promote glucose uptake in adipocytes in type 2 diabetic mice [18-21]. Cinnamon (Cinnamomum verum) has insulin-like actionable to stimulate insulin receptors that deal with the beta, improving blood sugar levels [11, 22-24].
Nevertheless, many research data deal with herbs as anti-diabetes remains inconsistent. Saffron, cardamom, ginger, and cinnamon had beneficial effects on cholesterol, but not on measures of glycemic control, oxidative stress, and inflammation [25]. Besides, ginger consumption had an insignificant effect on blood glucose and blood lipids [26, 27]. Cardamom and cinnamon have adverse effects on DM; therefore, further study is recommended [28, 29].
Recent studies revealed that changes in gut colonization result in altered energy balance and contribute to obesity and metabolic disorders, such as diabetes [30, 32]. Lactobacillus improve gut flora and have hypoglycemic and hypolipidemic activity against diabetic mice [33], and decreased pro-inflammatory cytokines IL-1 and IL-6 and increased anti-inflammatory IL-10 associated with DM [34]. Whereas Samah et al. [35] reported a moderate hypoglycaemic effect of probiotics.
Based on previous contradictory results of herbs benefit, besides, they have not reached the level that Food and Drug Administration (FDA) approved as medications require to manage type2 diabetes (T2D) [19]. On the other hand, from our knowledge, many studies have been conducted to study the effect of herbs or probiotics separately, as an antidiabetic agent, but no work was performed to study the concept that probiotics can be useful as an adjuvant therapy with herbs for complementary impact forming a synergistic relationship to control glycemia. Therefore, the current work aimed to explore, for the first time, the adjuvant effect of multi-strain probiotics with popular herbs used in Saudi Arabia (saffron, cardamom, ginger, and cinnamon) for controlling T2D complications by achieving synergistic management.
Ethical approval
The approval number “cavm-2018-1-14-S-3478” to perform this research was recommended by the Deanship of Scientific Research, Qassim University, Kingdom of Saudi Arabia.
Animal
Adult male Wistar rats (weight 200–250 g) were obtained from the King Saud University laboratory center, Riyadh, Saudi Arabia. The animals were transferred in suitable housing rooms at the Department of Food Science and Human Nutrition, College of Agriculture and Veterinary Medicine, Qassim University, Saudi Arabia. For adaptation to the new environment, rats were kept in cages at constant room temperature (22±2 ᵒC) under a photoperiod 12 h light/dark cycle with free access to water and commercial diet obtained from General Company of Feed Silo and Powder Mint. The commercial diet formulated to supply NRC requirements [36]. The experimental conditions carried according to the Guidelines for the ethics of animals in Qassim University. After one week of acclimatization, the animals were prepared for the induction of diabetes, type 2.
Induction of diabetes type 2
Animals were offered to a high-fat diet (HFD) mixed in Faculty Lab. to induce obesity (table 1). HFD furnished 45% of calories as fat [37]. After two weeks from received HFD, overnight-fasted animals were dosed intravenously (i. v) once with 50 mg/kg Streptozotocin (STZ Santa Cruz, Germany) [38]. After three days from STZ treatment, rats that had reached an elevated blood glucose plateau were included in the study i.e., when rats became diabetic as indicated by the blood glucose levels ≥ 200 mg/dl.
Herbs
Herbs seeds: saffron (Crocus sativus L.) family [IRIDACEAE], cardamom (Elettaria cardamomum L. Maton) family [ZINGIBERACEAE], ginger (Zingiber officinale Roscoe) family [ZINGIBERACEAE], and cinnamon (Cinnamomum verum J. Presl) family [LAURACEAE] were purchased from the local market, Qassim, Saudi Arabia. The voucher specimens were deposited at Janaki Ammal Herbarium, IIIM, Jammu under G. No.13. Accession number, 2772 for Crocus sativus L, G. No.14. Accession number, 2751 for Elettaria cardamomum L. Maton, G. No.15. Accession number, 2753, for Zingiber officinale Roscoe, and G. No.16. Accession number, 2483 for Cinnamomum verum J. Presl. The dried herb's seeds were ground separately into a fine powder and kept for analysis and preparation of the aqueous extract.
Gas chromatography-mass spectral analysis (GC/MS)
GC/MS analysis of methanol extracts of the plants (table 2) [39].
Table 1: High-fat diet composition
| Ingredients | % | Kcal/gm | Chemical composition |
| Casein | 23.31 | o.9324 | Nutrients |
| L-Cystine | 0.35 | 0.014 | Protein |
| Corn Starch | 8.49 | 0.3396 | Carbohydrate |
| Malt dextrin | 11.63 | 0.4652 | Fat |
| Sucrose | 20.13 | 0.8052 | Kcal/gm |
| Cellulose | 5.82 | - | |
| Sunflower Oil | 2.91 | 0.2619 | |
| Beef Tallow | 20.72 | 1.8648 | |
| Mineral Mix* | 5.48 | - | |
| Vitamin Mix** | 1.16 | 0.0464 | |
| Total | 100 | 4.7264 |
Mineral Mix*: containing all minerals recommended by NRC requirements [37], Vitamin Mix**: containing all vitamins recommended by NRC requirements [37].
Preparation of plant extracts for antioxidants activity
Sample (0.1 g) and 10 ml 50% aqueous ethanol were stirred for 3 min in a 25 ml universal bottle at 25 000 rpm using a homogenizer (IKA, Germany). Samples were then centrifuged at 3500 rpm 10 min, and the supernatants were used for further analyses [40]. Antioxidant activity of herbs extracts was evaluated by total phenolic content (TPC), 2, 2-Diphenyl-1-picrylhydrazyl (DPPH), and 2, 2'-Azino-Bis-3-Ethylbenzothiazoline-6-Sulfonic Acid (ABTS) antioxidant assay methods.
Determination of TPC radical scavenging activity assay
The TPC was estimated using the Folin-Ciocalteu method using gallic acid as the standard. Plant extract (100-μl) was oxidized with diluted Folin-Ciocalteu reagent. After 5 min, the mixture was neutralized with 1 ml sodium carbonate (7.5%, w/v), and incubated for 120 min. The TPC is expressed as mg gallic acid equivalents (GAE) per 100 g dry weight of samples [41].
Determination of DPPH radical scavenging activity assay
The DPPH assay method of Brand-Williams was modified to determine antioxidant activity [42]. For assays, 2 ml methanolic DPPH solution (40 mg/l) was mixed with 100 μl sample extract. Samples were incubated in the dark at room temperature for 30 min, and then the absorbance of the solution was measured at 517 nm.
Determination of ABTS radical scavenging activity
The ABTS radical cation decolorization assay method of Re was modified to determine antioxidant activity using Trolox as the standard [43]. ABTS radical cations were generated by oxidizing 7 mmol ABTS with 2.45 mmol potassium persulfate, and the mixture was kept in the dark at room temperature for 12 h before use. The ABTS solution was diluted with distilled. For assays, 1 ml ABTS cation solution was mixed with 100 μl sample extract, and the decrease in absorbance at 734 nm was measured.
Preparation of herbs aqueous extracts for gavage
Air-dried powder (10 g) of each herb was mixed well separately in 100 ml distilled water and kept at room temperature for 24 h. The solution was filtered using a cotton cloth. The filtrate was centrifuged at 5000 rpm for 15 min. The obtained supernatant was filtered through Whatman filter No. 1, and the filtrate was collected in a pre-weighed test tube. Aqueous extracts were prepared in a final concentration of 100 mg/ml [44].
Probiotics
Eight strains of probiotics bacteria were established in this study as follows: Lactobacillus acidophilus, Bifidobacterium lactis, Bifidobacterium longum, Lactobacillus rhamnosus, Bfidobacterium breve, Lactobacillus casei, Lactobacillus plantarum, and Lactobacillus salivarius. The bacterial strains were obtained from iHerb Company, Danisco, USA as a mixture of lyophilized strains. The activity of strains was 1x 109 cfu per rat as oral intake. The lyophilized mixture strains were added to sterilize phosphate buffer saline (PBS) and were daily administrated by oral gavage in 0.2 ml of PBS [45].
Experimental design
Eighty-eight rats were divided into eleven groups eight per each. Animals received the treatment as follows; Group (1) healthy control rats fed a commercial diet with no supplementation, Group (2): induced type 2 diabetic rats (T2DR) kept as a positive control. Group (3): T2DR received 0.2 ml multi-strain probiotics in PBS orally. Group (4, 5): T2DR gavaged with saffron aqueous extract 100 mg/kg without or with 0.2 ml probiotics in PBS orally, respectively. Group (6, 7): T2DR gavaged with cardamom aqueous extract 100 mg/kg without or with 0.2 ml multi-strain probiotics in PBS orally respectively. Group (8, 9): T2DR gavaged with ginger aqueous extract 100 mg/kg without or with 0.2 ml multi-strain probiotics in PBS orally, respectively. Group (10, 11): T2DR gavaged with cinnamon aqueous extract 100 mg/kg without or with 0.2 ml multi-strain probiotic in PBS orally, respectively. Animals were subjected to the treatment for 10 w; through it herbs extract aqueous were dissolved in water and administered orally once a day. At the end of the experiment, rats were anesthetized by diethyl ether, bleed and sacrificed. Serum was prepared, labeled, and stored deep-frozen (-20°C) until used for biochemical analysis.
Measurements
Feed intake, body weight, and feed efficiency ratio
Feed intake and changes in body weight were measured weekly. The feed efficiency ratio (FER) was calculated by the equation: FER = body weight gain (g)/feed intake (g).
Oral glucose tolerance test (OGTT)
After animal’s starvation for 16 h, blood samples were collected via the tail vein to measure fasting blood glucose levels (FBG). The animals were fed glucose (1.0 g/kg) solution by oral administration. After 2 h, blood samples were collected via the tail vein for measurement of postprandial 2 h blood glucose levels (PB2). Glucose levels were measured with Blood Glucose Monitoring System Glucometer (One-Touch Basic; Med. Net GmbH 48163 Munster, Germany) [46].
Lipid profile
Serum total cholesterol, HDL cholesterol, and triglyceride levels were examined by colorimetric kit (Linear Chemicals. S. L. Barcelona, Spain). HDL/total cholesterol ratio (HTR) (%) was calculated by the equation: HTR (%) = (HDL–cholesterol/total cholesterol) ×100.
Serum Antioxidant activity
Was assayed by measurement the activity of enzymes glutathione peroxidase (GSH-Px) (Biodiagnostic Kits, CAT. No. 2524, UK), superoxide dismutase (SOD) (Biodiagnostic Kits, CAT. No. 2521, UK), and catalase (CAT) (Biodiagnostic Kits, CAT. No. 2517, UK).
Serum C-peptide and insulin
Quantitative determination of serum C-peptide level was performed using ELISA Kits (SE120040-1KT. Lot No. CPT4779, Sigma Aldrich, USA). Serum insulin level was done using ELISA Kits. (SE120069-1KT. Lot No. INS4565, Sigma Aldrich, USA).
Serum cytokines
Th1 pro-inflammatory cytokines, including tumor necrosis factor-alpha (TNFα) and Interleukin-6 (IL-6) were determined using ELISA kits (Assaypro, 30 Triad South Drive, St Charles MO 63304, USA). Th2 anti-inflammatory cytokines including Interleukin-4 (IL4) and Inter-leukin-10 (IL10) were assayed by ELI-SA kit (Cusabio Biotech Co., Ltd. Lot: 004152651, Wuhan, China). The manufacturer’s instructions were followed, and the color change was measured spectrophotometrically at a wavelength of 450 nm.
Histopathological observation
Specimens of pancreases were fixed in 10% formal saline and processed using routine paraffin wax for histopathological examination. The pancreatic specimens stained with Hematoxylin, and Eosin (H and E) [47].
Statistical analysis
Obtained data were calculated and statistically analyzed by SPSS 19 version for Windows. The differences between groups were determined with variance analysis (one-way analysis of variance [ANOVA]). When the differences were significant, the Student-Newman-kuels test was performed.
Chromatographic analysis of herbs by GC–MS
The main active compounds of herbs extract detected by GC–MS were illustrated in table 2, which in agreement with many researches.
Table 2: Active compounds detected by area% of varies herbs used in the experiment
| Cardamon | Saffron | Ginger | Cinnamon | ||||
| Name of compound | Area % | Name of compound | Area % | Name of compound | Area % | Name of compound | Area % |
| 3-Cyclohexene-1-methanol,alpha,alpha,4-trimethyl-,acetate | 47.10 | Safranal (2,6,6-trimethyl-1,3-cyclohexadiene-1-carboxaldehyde) C10H14O | 58.32 | 1,3-Cyclohexadiene, 5-(1,5-dimethyl-4-hexenyl)-2-methyl-,[S-(R*,S*)]-(Zingiberene) | 25.47 | (E)-Cinnamaldehyde | 62.47 |
| Eucalyptol | 9.59 | 1,8-cineole | 15.42 | Bicyclo[3.1.1]hept-2-ene, 2,6-dimethyl-6-(4-methyl-3-pentenyl)-(α-Bergamotene) | 22.87 | Linaloolb | 21.68 |
| Eucalyptol Trifluoroacetyl-alpha-terpineol | 5.79 | 4-keto-isophorone | 10.50 | Benzene, 1-(1,5-dimethylhexyl)-4-methyl-(AR-curcumene | 20.15 | Limonene | 6.54 |
| Eucalyptol p-Menth-2-en-7-ol,cis | 5.55 | β-Isophorone (=3,5,5-trimethyl-3-cyclohexen-1-one) | 7.82 | Cyclohexene,1-methyl-4-(5-methyl-1 | 15.33 | a-Terpineolb | 5.74 |
| 1,6-octadien-3-ol,3,7-dimethyl-,acetate | 4.79 | 1,6-octadien-3-ol,3,7-dimethyl-,acetate | 2.46 | Cyclohexene, 3-(1,5-dimethyl-4-hexenyl)-6-methylene-, [S-(R*,S*)]-(β- esquiphellandrene) |
10.89 | Methyl eugenolb | 5.01 |
Antioxidants activity of herbs (TPC, DPPH and ABTS radical scavenging)
Fig. 1 revealed that cinnamon had the highest ABTS, DPPH, and TPC activity, followed by ginger and saffron. However, cardamom recorded lowest ABTS, DPPH, and TPC activity.
Bodyweight change, feed intake, and FER
The obtained body weight gain in T2DR was significantly higher than that of those in the healthy control group (P<0.05). However, the body weights of all supplemented groups were lower than T2DR group (table 3). The reduction in body weight gain was significantly in groups enriched with probiotics and those fed herbs and enriched with probiotics at (P<0.05). There was a considerable decrease in feed intake in all experimental animals compared with the healthy control group. No significant differences in FER observed among the supplemented groups.
OGTT
Animals in the healthy control group had normal FBG levels after 16 h starvation (87±5.48) mg/dl at week 10. In contrast, T2DR showed a significant rise in fasting blood glucose level (253±10.12) mg/dl (P<0.05), whereas all experimental treatments recorded an improvement in FBG in a variable manner. Nevertheless, the improvement in FBG in groups received probiotic, or cinnamon alone was moderate. Groups offered to saffron, cardamom, and ginger with or without probiotics recorded a significant reduction in FBG if compared with T2DR (P<0.05). The decline in blood glucose levels reached its highly significant level in T2DR received ginger with a probiotic (P<0.05) (table 4). Postprandial glucose level after 2 h (PG2) follows the same pattern of FBG. Animals received saffron, cardamom or ginger with probiotic suppressed postprandial hyperglycemia by 49 and 51%, respectively as compared to T2DR. However, rats fed cinnamon or probiotics had only 35, 37% reduction in PG2 respectively relative to T2DR (table 3). In general, blood glucose level was improved in rats fed herbs with probiotics as compared to those fed herbs or probiotics alone.

Fig. 1: Antioxidant activity of saffron, cardamom, ginger, and cinnamon extracts: Total Phenolic Content (TPC) expressed as mg gallic acid equivalents (GAE) per 100 g, 2, 2-Diphenyl-1-picrylhydrazyl (DPPH) express percentage inhibition of the DPPH radical, and 2, 2'-Azino-Bis-3-Ethylbenzothiazoline-6-Sulfonic Acid (ABTS). Error bars represent mean±SE
Table 3: Effect of herbs aqueous extracts without or with probiotics on body weight gain (BWG), feed intake and feed efficiency ratio (FER) in type 2 diabetic rats (T2DR)
| Parameters | |||||
| Groups | Initial BW (g) |
Final BW (g) |
BWG (g/10 w) |
Feed intake (g/10 w) |
FER |
| Healthy control | 201±2.25 | 296±2.10 | 95.3±1.37 | 1274.8±4.11 | 0.074 |
| T2DR | 204±2.86 | 354±4.74 | 150.5±1.45* | 1022.4±5.33 | 0.147 |
| T2DR+probiotics | 210±3.58 | 340±3.85 | 130.7±2.63a | 1062.6±4.46 | 0.123 |
| T2DR+saffron | 200±2.75 | 346±3.63 | 146.2±2.27 | 1124.1±6.28 | 0.130 |
| T2DR+saffron+probiotics | 206±3.74 | 328±2.01 | 122.7±1.49a | 1085.5±4.09 | 0.113 |
| T2DR+cardamom | 211±4.29 | 354±3.78 | 143.3±2.54 | 1099.2±5.54 | 0.130 |
| T2DR+cardamom+probiotics | 209±3.87 | 335±2. 95 | 126.9±1.14a | 1120.3±3.25 | 0.113 |
| T2DR+ginger | 205±3.21 | 340±4.50 | 135.4±1.06a | 1106.6±5.12 | 0.122 |
| T2DR+ginger+probiotics | 206±2.58 | 334±3.53 | 128.6±1.29a | 1127.7±1.32 | 0.114 |
| T2DR+cinnamon | 213±3.93 | 351±4.28 | 138.1±1.97 | 1063.5±7.55 | 0.129 |
| T2DR+cinnamon+probiotics | 210±3.52 | 339±4.71 | 129.8±1.47a | 1113.8±320 | 0.116 |
Values in the same column with the mark (*) of the T2DR group were differ significantly from the value of healthy control at P<0.05. Values of the treated groups with the litter (a) were differed significantly from the value of the T2DR group at P<0.05. mean±Standard error (SE)
Table 4: Effect of herbs aqueous extract without or with probiotics on oral glucose tolerance test (OGTT), serum insulin and C-peptide levels in type 2 diabetic rats (T2DR)
| Parameters | OGTT | Insulin (uU/ml) |
C-peptide (ng/ml) |
|
| Groups | Fasting blood glucose (mg/dl) |
Postprandial 2 h glucose (mg/dl) |
||
| Healthy control | 87.34±5.48 | 114±8.34 | 15.83±2.94 | 7.11±0.46 |
| T2DR | 243.61±10.12* | 282±14.80* | 20.39±1.19* | 11.58±1.01* |
| T2DR+probiotics | 158.14±12.65 | 191±16.22 | 17.11±1.93 | 10.86±0.65 |
| T2DR+saffron | 129.51±9.23a | 154±11.87a | 16.45±1.04 | 9.69±0.82 |
| T2DR+saffron+probiotics | 115.43±5.32a | 142±9.64a | 15.24±1.21a | 8.54±0.44 |
| T2DR+cardamom | 130.22±8.47a | 168±10.11a | 17.76±1.54 | 8.27±0.61 |
| T2DR+cardamom+probiotics | 119.16±9.11a | 151±7.76d | 15.79±0.83a | 7.22±0.32 |
| T2DR+ginger | 130.72±8.83a | 153±12.97a | 16.94±1.01 | 7.58±o.27 |
| T2DR+ginger+probiotics | 110.43±7.35a | 136±10.49a | 15.88±0.78a | 7.78±0.33 |
| T2DR+cinnamon | 159.11±11.92 | 186±13.74 | 17.58±1.02 | 8.55±0.43 |
| T2DR+cinnamon+probiotics | 132.11.±9.14 | 165±12.58 | 16.12±0.53 | 7.51±0.54 |
Values in the same column with the mark (*) of the T2DR group were differ significantly from the value of healthy control at P<0.05. Values of the treated groups with the litter (a) were differed significantly from the value of the T2DR group at P<0.05. mean±Standard error (SE)
Serum insulin and C-peptide
Serum insulin and C-peptide levels were found to be significantly higher in the T2DR than the healthy control group (P<0.05). All experimental treatments showed an insignificant decrease in serum insulin and C-peptide comparable to T2DR (table 4). Animals received saffron, cardamom, and ginger with probiotics recorded a significant reduction in serum insulin in comparison to T2DR (P<0.05).
Lipid profile
T2DR showed significant increases in the serum levels of total cholesterol, LDL and triglycerides (P<0.05), and significantly decreased serum HDL level compared to the healthy control group (P<0.05). A significant decrease (P<0.05) in serum cholesterol, LDL, and triglyceride levels, besides a significant increase (P<0.05) in HTR (%) (P<0.05) were observed in T2DR treated with saffron, cardamom, and ginger and enriched with probiotics. All experimental treatments exerted an improvement in HDL and triglycerides; therefore, HDL level recorded fig. nearly similar to a healthy control group (49.33-53.72 vs 53.27) (table 5).
Antioxidant enzymes GSH-Px, SOD and CAT activities
Antioxidant enzymes GSH-Px, SOD and CAT were significantly decreased in T2DR group (P<0.05). All experimental groups except those offered to probiotics only exerted a significant improvement in enzymatic activity of SOD comparable to T2DR (table 6). Rats fed saffron, cardamom, and ginger and enriched with probiotics showed a significant increase in GSH-Px and CAT activity when compared to T2DR (P<0.05). Neither cinnamon alone nor when enriched with probiotics did not show any significant protection from GSH-Px and CAT inhibition produced in T2DR.
Table 5: Effect of herbs aqueous extract without or with probiotics on cholesterol, HDL, LDL, HTR (%) and triglyceride in type2 diabetic rats (T2DR)
| Parameters | |||||
| Groups | Cholesterol (mg/dl) | HDL (mg/dl) |
LDL (mg/dl) |
HTR (%) |
Triglyceride (mg/dl) |
| Healthy control | 121.53±5.18 | 53.27±2.54 | 38.91±0.85 | 43.8±1.58 | 68.47±4.66 |
| T2DR | 153.63±4.49* | 39.68±1.84* | 56.80±1.47* | 29.6±1.21 | 139.38±8.3* |
| T2DR+probiotics | 127.51±6.48 | 51.25±1.48 | 45.68±1.59 | 33.6±2.46 | 99.36±4.59 |
| T2DR+saffron | 129.76±4.31 | 49.33±1.39 | 47.23±1.34 | 31.1±2.75 | 87.38±5.34 |
| T2DR+saffron+probiotics | 122.43±6.45a | 52.83±2.63 | 42.79±1.61a | 48.2±2.64a | 73.21±6.48a |
| T2DR+cardamom | 125.55±8.13 | 49.69±1.85 | 41.35±0.93 | 43.0±1.89 | 90.54±4.63 |
| T2DR+cardamom+probiotics | 123.75±4.63a | 50.48±2.89 | 40.89±0.89a | 47.2±1.28a | 71.51±4.25a |
| T2DR+ginger | 120.12±4.61 | 50.87±2.53 | 45.32±1.49 | 36.1±1.85 | 83.84±6.10 |
| T2DR+ginger+probiotics | 118.87±5.38a | 53.72±2.45 | 39.82±0.56a | 49.3±1.96a | 80.47±5.64a |
| T2DR+cinnamon | 135.42±8.43 | 49.56±1.96 | 49.47±2.11 | 32.2±2.49 | 98.69±5.73 |
| T2DR+cinnamon+probiotics | 130.11±7.84 | 51.47±1.76 | 44.57±2.01 | 46.7±1.76a | 85.43±5.32 |
Values in the same column with the mark (*) of the T2DR group were differ significantly from the value of healthy control at P<0.05. Values of the treated groups with the litter (a) were differed significantly from the value of the T2DR group at P<0.05, mean±Standard error (SE). HDL/total cholesterol ratio (HTR %) was calculated by the equation: HDL–cholesterol/total cholesterol×100
TNF-α, IL-6, IL4, and IL-10
Analysis of Th1 pro-inflammatory cytokines revealed a considerable elevation in TNF-α and IL-6 and dropped in Th2 anti-inflammatory cytokines (IL4 and IL-10) concentrations in T2DR group as compared to healthy control one. In contrast, there was a significant decrease in IL-6 and an increase in IL-4 in the group received ginger alone in comparison to T2DR (table 7). The decrease or increase in TNF-α and IL-10, respectively recorded in all experimental groups, were not significant compared to T2DR. Groups received probiotics only or cinnamon with or without probiotics did not achieve a significant effect in both Th1 pro-inflammatory and Th2 anti-inflammatory cytokines.
Table 6: Effect of herbs aqueous extract without or with probiotics on glutathione peroxidase (GSH-Px), superoxide dismutase (SOD) and catalase (CAT) activities in type2 diabetic rats (T2DR)
| Parameters | |||
| Groups | GSH-Px (U/ml) |
SOD (U/ml) |
CAT (U/ml) |
| Healthy control | 8.64±0.91 | 124.75±5.49 | 126.85±7.39 |
| T2DR | 4.48±0.05* | 76.84±2.59* | 95.14±6.94* |
| T2DR+probiotics | 5.84±1.06 | 84.72±3.52 | 98.67±6.95 |
| T2DR+saffron | 5.37±1.00 | 115.93±3.82a | 115.40±7.90 |
| T2DR+saffron+probiotics | 7.28±0.69a | 122.64±4.72a | 120.93±5.76a |
| T2DR+cardamom | 6.31±1.00 | 110.48±3.72a | 100.38±5.69 |
| T2DR+cardamom+probiotics | 7.86±0.63a | 115.68±4.63a | 115.83±6.97a |
| T2DR+ginger | 6.05±1.05 | 111.56±4.12a | 123.95±8.54 |
| T2DR+ginger+probiotics | 8.58±0.47a | 128.45±5.49a | 127.74±7.57a |
| T2DR+cinnamon | 5.86±0.97 | 101.14±2.89a | 100.53±8.98 |
| T2DR+cinnamon+probiotics | 6.17±0.65 | 109.46±3.78a | 110.86±9.46 |
Values in the same column with the mark (*) of the diabetic group were differ significantly from the value of healthy control at P<0.05. Values of the treated groups with the litter (a) were differed significantly from the value of the T2DR group at P<0.05. mean±Standard error (SE)
Histopathological observation
Histological observation of pancreatic sections from healthy control rats showed normal distribution of the islets of Langerhans consisting of beta and non-beta cells with predominant exocrine pancreatic tissue which composed of acini with draining ductless. The endocrine portions were found as well capsulated scattered nodules imgded within the acinar portion appeared lightly stained than the surrounding acinar cells, with intact interlobular connective tissue and interlobular duct. Each islet consisted of faintly stained polygonal cells of beta and non-beta cells arranged in cords separated by a network of blood capillaries. T2DR sections showed severe pathological changes of pyknosis, karryorexis, karryolysis and vaculation in both glandular and acinar portion. The pancreas of T2DR enriched with multi-strain probiotics showing moderate degenerative and necrotic changes with amyloid accumulation (fig. 2). The pancreas of T2DR received saffron or cardamom or ginger cinnamon or without multi-strain probiotics were noted a variable moderate pathological and degenerative response. The pancreas of T2DR received herbs with multi-strain probiotics were noted a variable slight pathological response (fig. 3).
Table 7: Effect of herbs aqueous extract without or with probiotics on TNF-α, IL-6, IL4 and IL-10 (pg/ml) changes in type2 diabetic rats (T2DR)
| Parameters | ||||
| Groups | TNF-α (pg/ml) |
IL-6 (pg/ml) |
IL4 (pg/ml) |
IL-10 (pg/ml) |
| Healthy control | 15.75±0.37 | 15.38±0.54 | 16.86±0.34 | 16.28±0.29 |
| T2DR | 18.73±0.24 | 16.96±0.79 | 13.28±0.16 | 12.16±0.25 |
| T2DR+probiotics | 16.34±0.56 | 14.34±0.28 | 14.47±0.97 | 13.22±0.95 |
| T2DR+saffron | 15.59±0.73 | 14.17±0.29 | 16.95±0.75 | 14.68±0.79 |
| T2DR+saffron+probiotics | 16.83±0.21 | 14.05±0.74* | 16.37±0.48* | 15.49±0.52 |
| T2DR+cardamom | 15.56±0.95 | 14.31±0.68 | 16.55±0.56 | 14.62±0.63 |
| T2DR+cardamom+probiotics | 15.89±0.41 | 14.85±0.28* | 14.39±0.17* | 15.97±0.27 |
| T2DR+ginger | 15.85±0.34 | 13.32±0.47* | 16.14±0.17* | 14.16±0.35 |
| T2DR+ginger+probiotics | 17.21±0.52 | 14.58±0.69* | 16.29±0.58* | 15.37±0.28 |
| T2DR+cinnamon | 15.03±0.65 | 14.64±0.34 | 15.46±0.67 | 14.48±0.66 |
| T2DR+cinnamon+probiotics | 16.22±0.72 | 14.97±0.95 | 15.90±0.46 | 14.38±0.59 |
Values in the same column with the mark (*) of the treated groups were differs significantly from the value of T2DR group at P<0.05. mean±standard error (SE)

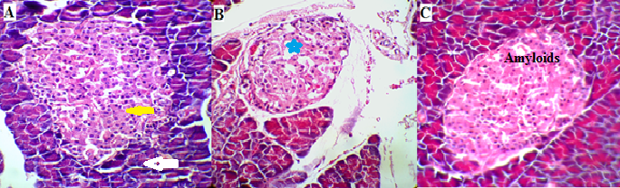
Fig. 2: Histopathology of pancreatic tissues (HandE.400x). Healthy control rats noted normal well defined encapsulated Langerhans islets (yellow arrow) distributed within the predominant exocrine pancreatic acinar portion (white arrow) with intact interlobular connective tissue and interlobular duct (A). Type2 diabetic rats (T2DR) pancreatic section showed severe pathological changes of pyknosis, karryorexis, karryolysis and vaculation (star) in both glandular and acinar portions (B). Pancreas of T2DR enriched with multi-strain probiotics showing moderate degenerative and necrotic changes with amyloid accumulation (C)

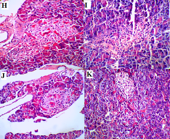
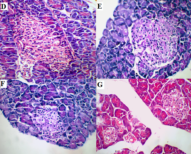
Fig. 3: Histopathology of pancreatic tissues (HandE.400x). Pancreas of type 2 diabetic rats (T2DR) received saffron (D), cardamom (E), ginger (F), and cinnamon (G) without multi-strain probiotics were noted a variable moderate pathological and degenerative response with some degeneration of the β cell (arrow) that imgded in exocrine portion of pancreas. Pancreas of T2DR received saffron (H), cardamom (I), ginger (J), and cinnamon (K) with multi-strain probiotics were noted slight pathological response with normal size islets cells (arrow)
At the end of 10 w, T2DR average body weight gain was significantly higher than that of those in the healthy control group as a result of a high-fat diet used [48]. There was a significant reduction in body weight gain in all groups enriched with probiotics comparable to T2DR (table 3). The obtained data are confirmed by many studies, due to the regulatory impact of gut microbiota upon energy homeostasis by increasing the dietary energy metabolism, which influences body weight [49, 50]. On the other hand, probiotics modulate gut microbiota and have a potential therapeutic effect (reduce inflammation, gut permeability, body weight, and enhanced insulin sensitivity) in a patient who has diabetes caused by obesity [32, 51, 52]. Besides changes in gut colonization result in altered energy balance and contribute to obesity. Probiotics might regulate obesity in both mice and humans depending upon the microbial proportions and diversity [30]. Lactobacillus plantarum has an excellent ability to decrease diet-induced weight gain and insulin resistance [53]. The differences in the bodyweight of rats treated with saffron, cardamom, and cinnamon aqueous extracts were not significant comparable to T2DR; however, it was significant in group fed ginger. This may be due to the ginger compound of 6-Paradol decreased blood glucose, cholesterol, and body weight in high-fat diet fed mice [19]. Regarding the obtained results of feed intake and FER, they did not record any significant difference between treated groups, as concluded by [54].
The obtained result of FBG and PG2 follow the same pattern in all experimental groups. Since probiotics or cinnamon alone exerted an improvement in OGTT, but not reached to be significant (table 4). A moderate hypoglycaemic effect of probiotics was previously recorded [35]. Many studies concluded that cinnamon extract has a moderate effect in reducing fasting plasma glucose levels in diabetic patients [24, 55, 56]. On the contrary, other researchers stated that cinnamon reduces blood glucose on rodent models of diabetes [57, 58]. Groups offered to saffron, cardamom, and ginger with or without probiotics recorded a significant reduction in OGTT if compared with T2DR. The obtained results are confirmed by many studies since the inclusion of ginger extracts led to a significant reduction in blood glucose [19, 20]. The main component of ginger, gingerols, could maintain glucose homeostasis and show anti-hyperglycemic effect in type 2 diabetic mice [18]. Regarding cardamom, its supplementation had glycemic control in type 2 diabetes [16, 59]. Saffron may be implicated as a therapeutic agent against metabolic syndrome and regulate glucose metabolism [14, 15]. On the contrary, an examination of the herbal remedies of cinnamon, cardamom, saffron, and ginger showed that they had not significantly beneficial effects on glycemic control [25].
The significant increase in serum insulin level obtained in the T2DR group comparable to healthy control one may be attributed to type 2 diabetes is associated with obesity (table 4). That is because of adipose tissue serves as an active endocrine organ that produces several hormone-like compounds that can increase insulin resistance [60]. In addition, a reduction in the efficiency of insulin to promote and utilization glucose uptake by tissues, stimulating the body to secrete excessive insulin for maintaining the stability of blood glucose, causing hyperinsulinemia [61]. All the treated groups showed a slight decrease in serum insulin and C-peptide. Whereas animals received saffron, cardamom, and ginger with a probiotics recorded a significant reduction in serum insulin comparable to T2DR. Gut microbiota plays a vital role in insulin resistance and type 2 diabetes by triggering low-grade inflammation [62]. Administration of probiotics resulted in significantly lower fasting blood glucose and HbA1c levels as well as improved insulin resistance [34, 63].
The present data indicated significant improvement in lipid profile in diabetic groups treated with saffron, cardamom, and ginger (except cinnamon) and enriched with probiotics (table 5). These groups recorded a significant decrease in blood cholesterol, LDL, and triglyceride levels, besides a significant increase in HTR (%) and improvement in HDL. The hypolipidemia caused by probiotics may be due to inhibition of cholesterol synthesis in the liver and interference with the cholesterol absorption in the intestine [64]. The attenuation in lipid abnormalities obtained in the current study was compatible with Azimi et al. [25] who concluded that cardamom, ginger, and saffron consumption had significant effects on total cholesterol, LDL, and HDL levels. Ginger Consumption resulted in a significant reduction in blood glucose, triglycerides, total cholesterol, and LDL in diabetic patients [65]. Whereas, many researchers suggested that ginger supplementation had an insignificant effect on blood lipids and glucose [26-27]. The present data showed an insignificant benefit of cinnamon supplementation on lipids profile [66]. Contrary, another study exhibited that the methanol extract of Cinnamomum verum bark is a potent hypolipidemic agent and decreased cholesterol deposition in the aorta and plaque formation process in the coronary artery of high cholesterol diet animals [67].
GSH-Px, SOD and CAT enzymes were used in the current study as a biomarker for oxidative stress (table 6). The significant decrease in GSH-Px, SOD and CAT enzymes recorded in T2DR compared to the healthy control group may be due to hyperglycemia induces overproduction of reactive oxygen species (ROS) leading to increases lipid oxidation [68]. Islet β-cells were detriment by oxidative stress, which expressed by antioxidant enzymes, such as SOD, GSH-Px [69], and CAT [70]. Animals received saffron, cardamom, ginger, and cinnamon recorded significant improvement in SOD activity. GSH-Px and CAT enzymes activity improved significantly in saffron, cardamom, and ginger groups when enriched with probiotics. The significant improvement in SOD, GSH-Px and CAT activity in groups received herbs were compatible with the present results obtained with antioxidant assay (table 2). The beneficial effect of saffron, cardamom, and ginger as antioxidants were consistent with many studies, who indicated that saffron has antioxidant properties, may reduce oxidative stress in diabetic encephalopathy rats [8, 14]. Cardamom can stimulate in vitro SOD, CAT, and GSH-Px activity [71]. Recently studies explained the importance of cardamom on oxidative stress in pre-diabetic and with type 2 diabetes mellitus patients [16, 17]. Ginger had high antioxidant activity at a low concentration of essential oil and a high level of aqueous extract [72]. In general the typical herbs high in antioxidants that are proved in vitro are cinnamon, ginger and cardamom [73]. Contrary, it found that cinnamon, cardamom, saffron, and ginger had no significant beneficial effects on oxidative stress and inflammation [25]. Similarly, the latent study reported that cardamom had no significant effect on oxidative stress biomarkers in diabetic patients [17]. This discrepancy may be attributed to the use of unstandardized herbs powder with different concentrations of the active constituents in each study [74]. The present study revealed that probiotics had no influence in oxidative stress in T2DR [35].
The considerable elevation in TNF-α and IL-6 and drop in IL4 and IL-10 concentrations exerted in T2DR (table 7) were in agreement with previous work of Galassetti et al. [75] who stated that production of anti-inflammatory cytokines (including IL-4, and IL-10) might be reduced in type 2 diabetes. The significant reduction in IL-6 besides, the significant increase in IL4 and IL-10 concentrations recorded in groups offered to ginger, saffron, and cardamom with probiotics or ginger alone indicated that they have an anti-inflammatory effect. Many studies concluded that many herbs had an anti-inflammatory effect, as saffron [7, 8], cardamom [76, 77], and ginger [19]. The present result showed that cinnamon did not influence inflammatory cytokines accompanied by T2DR, which consistent with [25]. It is clear that cinnamon failed to achieve a significant effect as antidiabetic agent in spite it recorded beneficial phytochemicals and high antioxidant activities (table 2 and fig. 1). This may be due to cinnamon dose used, which may be ineffective; besides aqueous extraction method reduces the exposure to cinnamon oil components, so there is not efficiently extracted [78] or because of the species used [79].
Depending upon the overall results obtained in the current work, one can notice that herbs are not enough to control complications associated with type 2 diabetes. Multi-strain probiotics besides herbal supplementation, acted with pleiotropic mechanisms since probiotics act as an adjuvant agent to complement herbs effect for managing type 2 diabetes and achieving a synergistic relationship. This synergism may be due to probiotics being anti-obesity, as the present results of BWG showed since obesity considers the main cause of type 2 diabetes. In truth, ginger alone achieved a good result as an antidiabetic agent as compared with other herbs used. Despite cinnamon, recorded beneficial phytochemicals, and high antioxidants activities, it failed to achieve a significant effect as an antidiabetic agent. Fortunately, the synergistic management between herbs and multi-strain probiotics successes to ameliorate complications associated with type 2 diabetes by improving insulin resistance, lipids abnormalities, oxidative stress, and inflammatory signs. Consequently, this finding exhibits a possible new hypothesis to manage diabetes that needs further study.
The authors gratefully acknowledge Qassim University represented by Deanship of Scientific Research on the material support for this research under the number 3478-cavm-2018-1-14-S.
This work is supported by the Deanship of Scientific Research, Qassim University, KSA, Project No. cavm-2018-1-14-S-3478
Hoda Ali Ali initiated the general idea and planned to design this study. She also suggested data interpretations. Sahar Hassan Mohamed dealt with the probiotics part. Hend Faisal Alharbi and Reham Mohammed Algheshairy performed the data analysis. All authors drafted the manuscript, read, consented and approved it.
The data and research results are honest and the author reports no conflicts of interest in this work.
Musaiger AO, Takruri HR, Hassan AS, Abu Tarboush H. Food-based dietary guidelines for the Arab Gulf countries. J Nutr Metab 2012;11:1-10.
Whiting DR, Guariguata L, Weil C, Shaw J. IDF. Diabetes atlas: global estimates of the prevalence of diabetes for 2011 and 2030. Diabetes Res Clin Pract 2011;94:311-21.
World Health Organization. Global Health Observatory (GHO); 2013. Available from: http://www.who.int/gho/en. [Last accessed on 25 Dec 2019].
International Diabetes Federation (IDF) Diabetes Atlas: Global estimates for the prevalence of diabetes for 2015 and 2040. Diabetes Res Clin Pract 2017;128:40-50.
Alotaibi A, Perry L, Gholizadeh L, Ali Al-Ganmi. Incidence and prevalence rates of diabetes mellitus in Saudi Arabia: an overview. J Epidemiol Glob Health 2017;7:211-8.
Garcia Perez LE, Alvarez M, Dilla T, Gil-Guillen V, Orozco Beltran D. Adherence to therapies in patients with type 2 diabetes. Diabetes Ther 2013;4:175–94.
Milajerdi A, Jazayeri S, Bitarafan V, Hashemzadeh N, Shirzadi E, Derakhshan Z, et al. The effect of saffron (Crocus sativus L.) hydro-alcoholic extract on liver and renal functions in type 2 diabetic patients: a double-blinded randomized and placebo control trial. J Nutr Intermed Metab 2017;9:6-11.
Samarghandian S, Azimi Nezhad M, Farkhondeh T. Immunomodulatory and antioxidant effects of aqueous saffron extract (Crocus sativus L.) on streptozotocin-induced diabetes in rats. Indian Heart J 2017;69:151-9.
Sharma BR, Kim HJ, Rhyu DY. Caulerpa lentillifera extract ameliorates insulin resistance and regulates glucose metabolism in C57BL/KsJ-db/db mice via PI3K/AKT signaling pathway in myocytes. J Transl Med 2015;13:62.
Shoaib A, Salem Bekhit MM, Siddiqui HH, Dixit RK, Bayomi M, Khalid M, et al. Antidiabetic activity of standardized dried tubers extract of Aconitum napellus in streptozotocin-induced diabetic rats. 3 Biotech 2020;10:56.
Singh U, Singh S, Kochhar A. Therapeutic potential of antidiabetic neutraceuticals. J Phytopharmacol 2012;2:144-69.
Farahmand SK, Samini F, Samini M, Samarghandian S. Safranal ameliorates antioxidant enzymes and suppresses lipid peroxidation and nitric oxide formation in aged male rat liver. Biogerontology 2013;14:63–71.
Hemmati M, Asghari S, Zohoori E, Karamian M. Hypoglycemic effects of three Iranian edible plants; jujube, barberry and saffron: correlation with serum adiponectin level. Pak J Pharm Sci 2015;28:2095-9.
Samarghandian S, Azimi Nezhad M, Samini F. Ameliorative effect of the aqueous saffron extract on hyperglycemia, hyperlipidemia, and oxidative stress on diabetic encephalopathy in streptozotocin-induced experimental diabetes mellitus. Biomed Res Int 2014;2014:1-12.
Razavi BM, Hosseinzadeh H. Saffron: a promising natural medicine in the treatment of the metabolic syndrome. J Sci Food Agric 2017;97:1679-85.
Aghasi M, Ghazi Zahedi S, Koohdani F, Siassi F, Nasli Esfahani E, Keshavarz A, et al. The effects of green cardamom supplementation on blood glucose, lipids profile, oxidative stress, sirtuin-1 and irisin in type 2 diabetic patients: a study protocol for a randomized placebo-controlled clinical trial. BMC Complem Altern Med 2018;18:1-6.
kazemi S, Yaghooblou F, Siassi F, Rahimi A, Ghavipour M, Koohdani F, et al. Cardamom supplementation improves inflammatory and oxidative stress biomarkers in hyperlipidemic, overweight, and obese prediabetic women: a randomized double-blind clinical trial. J Sci Food Agric 2017;97:5296-301.
Son MJ, Miura Y, Yagasaki K. Mechanisms for antidiabetic effect of gingerol in cultured cells and obese diabetic model mice. Cytotechnology 2015;67:641–52.
Wei CK, Tsai YH, Korinek M, Hung PH, El-Shazly M, Cheng YB, et al. 6-Paradol and 6-shogaol, the pungent compounds of ginger, promote glucose utilization in adipocytes and myotubes, and 6-paradol reduces blood glucose in high-fat diet-fed mice. Int J Mol Sci 2017;18:168.
Semwal RB, Semwal DK, Combrinck S, Viljoen AM. Gingerols and shogaols: Important nutraceutical principles from ginger. Phytochemistry 2015;117:554-68.
Danwilai K, Konmun J, Sripanidkulchai BO, Subongkot S. Antioxidant activity of ginger extract as a daily supplement in cancer patients receiving adjuvant chemotherapy: a pilot study. Cancer Manag Res 2017;9:11.
Forouhar E, Sack P. Non-traditional therapies for diabetes: fact or fiction. J Community Hosp Intern Med Perspect 2012;2:18447.
Khan A, Safdar M, Ali Khan MM, Khattak KN, Anderson RA. Cinnamon improves glucose and lipids of people with type 2 diabetes. Diabetes Care 2003;26:3215–8.
Yilmaz Z, BCPS, Fawad Piracha, Leeann Anderson, Nissa Mazzola. CDE supplements for diabetes mellitus a review. Literature J Pharm Pract 2017;30:631-8.
Azimi P, Ghiasvand R, Feizi A, Hariri M, Abbasi B. Effects of cinnamon, cardamom, saffron and ginger consumption on markers on glycemic control, lipid profile, oxidative stress and Inflammation in type 2 diabetes patients. Rev Diabet Stud 2014;11:258–66.
Akhani SP, Vishwakarma SL, Goyal RK. Anti‐diabetic activity of Zingiber officinale in streptozotocin‐induced type I diabetic rats. J Pharm Pharmacol 2004;56:101-5.
Weidner MS, Sigwart K. The safety of a ginger extract in the rat. J Ethnopharmacol 2000;73:513-20.
Daneshi Maskooni M, Keshavarz SA, Mansouri S, Qorbani M, Alavian SM, Badri-Fariman M, et al. The effects of green cardamom on blood glucose indices, lipids, inflammatory factors, paraxonase-1, sirtuin-1, and irisin in patients with nonalcoholic fatty liver disease and obesity: study protocol for a randomized controlled trial. Trials 2017;18:260.
Ranasinghe P, Galappaththy P, Constantine GR, Jayawardena R, Weeratunga HD, Premakumara S, et al. Cinnamomum zeylanicum (Ceylon cinnamon) as a potential pharmaceutical agent for type-2 diabetes mellitus: study protocol for a randomized controlled trial. Trials 2017;18:446.
Kübeck R, Bonet Ripoll C, Hoffmann C, Walker A, Müller VM, Schuppel VL, et al. Dietary fat and gut microbiota interactions determine diet-induced obesity in mice. Mol Metab 2016;5:1162-74.
McCabe LR, Parameswaran N. Advances in probiotic regulation of bone and mineral metabolism. Calcified Tissue Int 2018;102:480-8.
Naito E, Yoshida Y, Kunihiro S, Makino K, Kasahara K, Kounoshi Y, et al. Effect of Lactobacillus casei strain Shirota-fermented milk on metabolic abnormalities in obese prediabetic Japanese men: a randomised, double-blind, placebo-controlled trial. Biosci Microb Food H 2018;37:9-18.
Wang G, Li X, Zhao J, Zhang H, Chen W. Lactobacillus casei CCFM419 attenuates type 2 diabetes via a gut microbiota dependent mechanism. Food Funct 2017;8:3155-64.
Firouzi S, Majid HA, Ismail A, Kamaruddin NA, Barakatun-Nisak MY. Effect of multi-strain probiotics (multi-strain microbial cell preparation) on glycemic control and other diabetes-related outcomes in people with type 2 diabetes: a randomized controlled trial. Eur J Nutr 2017;56:1535-50.
Samah S, Ramasamy K, Lim SM, Neoh CF. Probiotics for the management of type 2 diabetes mellitus: a systematic review and meta-analysis. Diabetes Res Clin Pract 2016;118:172-82.
NRC (National Research Council). Guide for the care and use of laboratory animals. Rev National Institutes of Health, Bethesda, MD; 1985.
Research Diets. Inc. Obesity. Open formula purified diets for lab animals; 2009. p. 3000-2-09. Available from: www.researchdiets.com [Last accessed on 25 Dec 2019]
Skovsø Søs. Modeling type 2 diabetes in rats using high fat diet and streptozotocin. J Diabetes Invest 2014;5:349–58.
Soumya V, Muzib YI, Venkatesh P, Hariprasath K. GC-MS analysis of cocus nucifera flower extract and its effects on heterogeneous symptoms of polycystic ovarian disease in female wistar rats. Chin J Nat Med 2014;12:677-84.
Musa KH, Abdullah A, Jusoh K, Subramaniam V. Antioxidant activity of pink-flesh guava (Psidium guajava L.): effect of extraction techniques and solvents. Food Anal Methods 2011;4:100-7.
Slinkard K, Singleton VL. Total phenol analysis: automation and comparison with manual methods. Am J Enol Viticult 1977;28:49-55.
Brand Williams W, Cuvelier ME, Berset CL. Use of a free radical method to evaluate antioxidant activity. LWT-Food Sci Technol 1995;28:25-30.
Re R, Pellegrini N, Proteggente A, Pannala A, Yang M, Rice Evans C. Antioxidant activity applying an improved ABTS radical cation decolorization assay. Free Radical Bio Med 1999;26:1231-7.
Aboubakr M, Abdelazem MA. Hepatoprotective effect of aqueous extract of cardamom against gentamicin induced hepatic damage in rats. Int J Basic Appl Sci 2016;5:1-4.
Park KY, Kim B, Hyun CK. Lactobacillus rhamnosus GG improves glucose tolerance through alleviating ER stress and suppressing macrophage activation in db/db mice. J Clin Biochem Nutr 2015;56:240-6.
Kim SH, Choung SY. Antihyperglycemic and antihyperlipidemic action of Cinnamomi Cassiae (Cinnamon bark) extract in C57BL/Ks db/db mice. Arch Pharm Res 2010;33:325-33.
Day CE. Histopathology; methods and protocols. Springer New York Heidelberg Dordrecht London. Human Press; 2014. p. 3-31.
Yamamoto N, Kanemoto Y, Ueda M, Kawasaki K, Fukuda I, Ashida H. Anti-obesity and anti-diabetic effects of ethanol extract of Artemisia princeps in C57BL/6 mice fed a high-fat diet. Food Funct 2011;2:45-52.
Tremaroli V, Backhed F. Functional interactions between the gut microbiota and host metabolism. Nature 2012;489:242-9.
Ziętak M, Kovatcheva Datchary P, Markiewicz LH, Stahlman M, Kozak LP, Bäckhed F. Altered microbiota contributes to reduced diet-induced obesity upon cold exposure. Cell Metab 2016;23:1216-23.
Jayaswal RP, Vijayasimha M, Prabhakar PK. Gut microbiota and diabetes mellitus-an interlinkage. Asian J Pharm Clin Res 2018;11:13-6.
Balakumar M, Prabhu D, Sathishkumar C, Prabu P, Rokana N, Kumar R, et al. Improvement in glucose tolerance and insulin sensitivity by probiotic strains of Indian gut origin in high-fat diet-fed C57BL/6J mice. Eur J Nutr 2018;57:279-95.
Lee E, Jung SR, Lee SY, Lee NK, Paik HD, Lim SI. Lactobacillus plantarum strain ln4 attenuates diet-induced obesity, insulin resistance, and changes in hepatic mRNA levels associated with glucose and lipid metabolism. Nutrients 2018;10:643.
Kim SH, Hyun SH, Choung SY. Anti-diabetic effect of cinnamon extract on blood glucose in db/db mice. J Ethnopharmacol 2006;104:119-23.
Leach MJ, Kumar S. Cinnamon for diabetes mellitus. The Cochrane Database of Syst Rev. Published by John Wiley and Sons, Ltd; 2012. p. 1-41.
Costello RB, Dwyer JT, Saldanha L, Bailey RL, Merkel J, Wambogo E. Do cinnamon supplements have a role in glycemic control in type 2 diabetes? A narrative review. J Acad Nutr Diet 2016;116:1794-802.
Couturier K, Qin B, Batandier C, Awada M, Hininger Favier I, Canini F, et al. Cinnamon increases liver glycogen in an animal model of insulin resistance. Metab 2011;60:1590-7.
Li J, Liu T, Wang L, Guo X, Xu T, Wu L, et al. Antihyperglycemic and antihyperlipidemic action of cinnamaldehyde in C57BLKS/J db/db mice. J Tradit Chin Med 2012;32:446-52.
Ahmed AS, Ahmed Q, Saxena AK, Jamal P. Evaluation of in vitro antidiabetic and antioxidant characterizations of Elettaria cardamomum (L.) Maton (Zingiberaceae), Piper cubeba L. f. (Piperaceae), and Plumeria rubra L. (Apocynaceae). Pak J Pharm Sci 2017;30:113–26.
Jackson MB, Ahima RS. Neuroendocrine and metabolic effects of adipocyte-derived hormones. Clin Sci (Lond) 2006;110:143–52.
Chen G, Xueping Yang, Xiaoyu Yang, Lingli Li, Jinlong Luo, Hui Dong, et al. ameliorates type 2 diabetes by improving β cell function and reducing insulin resistance in diabetic rats. BMC Complem Altern Med 2017;17:507.
Shen J, Obin MS, Zhao L. The gut microbiota, obesity and insulin resistance. Mol Aspects Med 2013;34:39–58.
Hulston CJ, Churnside AA, Venables MC. Probiotic supplementation prevents high-fat, overfeeding-induced insulin resistance in human subjects. Br J Nutr 2015;113:596-602.
Kvit KV. Kharchenko role of gut microbiota in lipid metabolism. Asian J Pharm Clin Res 2018;11:4-8.
Andallu B, Radhika B, Suryakantham V. Effect of aswagandha, ginger and mulberry on hyperglycemia and hyperlipidemia. Plant Foods Hum Nutr 2003;58:1–7.
Baker W, Gutierrez Williams G, White M, Kluger J, Coleman C. Effect of cinnamon on glucose control and lipid parameters. Diabetes Care 2008;31:41–3.
Joshi SC, PK Jain, P Sharma. Antiatherosclerotic and lipid lowering effects of Cinnamomum verum in cholesterol-fed rabbits. Int J Curr Pharm Res 2017;9:75-80.
Madawala SR, Andersson RE, Jastrebova JA, Almeida M, Dutta PC. Novel conjugates of 1, 3-diacylglycerol and lipoic acid: synthesis, DPPH assay, and RP-LC-MS-APCI analysis. J Lipids 2011:1-10. DOI:10.1155/2011/419809
Salar Amoli J, Hejazy M, Esfahani TA. Comparison between some oxidative Stress Biomarkers values in serum and plasma of clinically healthy adult camels (Camelus dromedarius) in Iran. Vet Res Commun 2009;33:849-54.
Saleh MA, Mahran OM, Al-Salahy MB. Circulating oxidative stress status in dromedary camels infested with sarcoptic mange. Vet Res Commun 2011;35:35-45.
Kandikattu HK, Rachitha P, Jayashree GV, Krupashree K, Sukhith M, Majid A, et al. Anti-inflammatory and anti-oxidant effects of Cardamom (Elettaria repens (Sonn.) Baill) and its phytochemical analysis by 4D GCXGC TOF-MS. Biomed Pharmacother 2017;91:191–201.
Kumari JA, Venkateshwarlu G, Choukse MK, Anandan R. Effect of essential oil and aqueous extract of ginger (Zingiber Officinale) on oxidative stability of fish oil-in-water emulsion. J Food Process Technol 2014;6:412-6.
Kale MA, Bindu SMP. Khadkikar role of antioxidants and nutrition in oxidative stress: a review. Int J Appl Pharm 2015;7:1-4.
Gong F, Fung YS, Liang YZ. Determination of volatile components in ginger using gas chromatography-mass spectrometry with resolution improved by data processing techniques. J Agric Food Chem 2004;52:6378–83.
Galassetti PR, Rosa JS, Heydari S, Oliver SR, Flores RL, Pontello AM, et al. Inflammatory cytokine profiles during exercise in obese, diabetic, and healthy children. J Clin Res Pediatr E 2011;3:115.
Winarsi H, Sasongko ND, Purwanto A, Nuraeni I. Cardamom leave extract lowers atherogenic index of diabetic rats alloxan-induced. Agritech 2013;33:273-80.
Winarsi H, Yuniaty A, Nuraeni I. Improvement of antioxidant and immune status of atherosclerotic rats adrenaline and egg-yolks-induced using cardamom-rhizome-ethanolic-extract: an initial study of functional food. Agric Agric Sci Procedia 2016;9:264-70.
Cheng N, Luo L, Jiang KO. Inventors; beijing tang an nutrition, healthcare products co ltd, assignee. Process for preparing water extract of cinnamon. United States patent US 8,329,232; 2012.
Rychlik M. Quantification of free coumarin and its liberation from glucosylated precursors by stable isotope dilution assays based on liquid chromatography-tandem mass spectrometric detection. J Agric Food Chem 2008;56:796–801.