
1Zoology Department, Faculty of Women for Arts, Science and Education, Ain Shams University, 1*Asmaa Fahmy Street Heliopolis, Cairo, Egypt
Email: asmaa.zaazaa@women.asu.edu.eg
Received: 12 Feb 2020, Revised and Accepted: 14 Mar 2020
ABSTRACT
Objective: Excessive oxidative stress is implicated in spleen injury. Platelet-rich plasma (PRP) and quercetin (QUR) have been shown to protect cells against oxidative stress. This study was designed to investigate their effect on dimethyl nitrosamine (DMN) induced spleen injury in male rats.
Methods: Forty male Wistar rats were divided into four groups; Group (1): Negative control group (Con), Group (2): DMN group, DMN was given intraperitonealy at a dose of 4 mg/kg b. wt/day for four weeks for sub-chronic injury of spleen tissue, Group (3): DMN+PRP, rats were injected intraperitonealy with DMN at a dose of 4 mg/kg b. wt/day for four weeks then treated i. v. by single dose 50 μL of PRP, then left for a period of four weeks without any treatments, Group(4): DMN+QUR, rats received intraperitonealy DMN at a dose of 4 mg/kg b. wt/day for four weeks, then treated with quercetin orally at a dose of 50 mg/kg b. wt. in aqueous suspension daily using an intragastric tube for four weeks.
Results: DMN inoculation resulted in significant elevations of oxidative stress, as evidenced by the increased malondialdehyde, hydrogen peroxide and xanthine oxidase levels associated with a significant decrease in Superoxide dismutase and catalase activities in the spleen tissue as compared to the normal control group. Moreover, DMN caused an up-regulation in the values of the splenic C-reactive protein (CRP), interleuckin-6 (IL-6), nuclear factor kappa B (NF-κB), leukotriene-C4 (LT-C4), P53 and Fas levels with a significant decline in anti-apoptotic protein B-cell lymphoma 2 level as compared to the normal control group. PRP and QUR significantly attenuated the DMN-evoked spleen oxidative stress and modulated the activities of antioxidant enzymes as compared to DMN group. In addition, treatment of DMN group with PRP or QUR resulted in an improvement in CRP, IL-6, NF-κB, LT-C4, P53 and Fas levels as compared to DMN group. Caspase-3 expression was positive in DMN group while no difference was present in control, PRP and Quercetin groups. However, the VEGF immunopositive reaction was found in DMN, PRP and Quercetin groups compared to control group. Histopathological results showed degeneration, haemorrhage, inflammatory cells and necrotoic areas in splenic tissue from DMN group compared to the treated groups where signs of recovery were observed in the whole splenic tissue.
Conclusion: These data suggest that PRP and QUR protect rat spleen from DMN-induced oxidative stress, probably via their antioxidant activity, anti-inflammatory and anti-apoptotic effects. So, PRP and QUR are promising pharmacological agents for preventing the potential spleen injury of DMN following occupational or environmental exposures.
Keywords: Dimethylnitrosamine, Platelet-rich plasma, Quercetin, Spleen, Antioxidant, Anti-inflammatory effect, Antiapoptotic effect, Immunohistochemical, Histopathology
© 2020 The Authors. Published by Innovare Academic Sciences Pvt Ltd. This is an open access article under the CC BY license (http://creativecommons.org/licenses/by/4.0/)
DOI: http://dx.doi.org/10.22159/ijpps.2020v12i5.37097. Journal homepage: https://innovareacademics.in/journals/index.php/ijpps
Dimethylnitrosamine (DMN) could be formed during food processing, preservation, and/or preparation from precursor compounds already present in, or added to, the specific food items and causes acute and sub-chronic hepatotoxic and nephron-toxicity effects [1-3]. There are interactions between the existence of N-nitrosamines and different forms of cancer in several organs [4]. Intraperitoneal injection with 50 and 100 mg kg−1 DMN one time declines the proportion of polychromatic erythrocytes that can produce spleen toxicity [5]. Various biological processes involving oxidative stress, apoptosis and inflammation related to DMN induction have been found [6], which can be controlled by various pathways.
Reactive oxygen species (ROS) are detrimental to cells, primarily due to the damaging effect they exert on lipids, proteins and nucleic acids, which lead to structural and functional destruction [7, 8]. ROS give rise to liver destruction via lipid peroxidation, causing suppression of mitochondrial and peroxisomal b-oxidation enzymes, leading in turn to an accumulation of fatty acids in the hepatocytes, causing hepatic steatosis [9]. Various interventions have been recommended to counteract the effects of ROS by boosting the antioxidant defense systems.
Spleen is responsible for safeguarding the body from invading pathogens and is crucial for adaptive reactions to inflammation [10]. It has very vital functions, which can quickly induce T or B lymphocyte-mediated immune responses. Blood transferred antigens have more direct access to the splenic lymphatic tissue than other lymphatic organs due to its open type circulation. Furthermore, the splenic red pulp has a purifying function for the blood that removes the elderly or abnormal erythrocytes or microorganisms [10].
In vivo, organ restoration can be achieved by embryonic or adult stem cells inoculation, or by transporting factors that will improve the healing processes of the organ itself. Within the last decade, numerous efforts have been produced regarding the development of a method for efficient growth factors (GFs) delivery in vivo to initiate cellular repair and tissue regeneration [11]. Platelet-rich plasma (PRP) is an autologous preparation of platelets in intense plasma which contains fundamental amounts of GFs, for example, vascular endothelial growth factor (VEGF), transforming growth factor-beta 1 (TGF-β1), hepatocyte growth factor (HGF), platelet-derived growth factor (PDGF), epidermal growth factor (EGF) and insulin-like growth factor-1 (IGF-1) [12]. The major advantage of PRP over more methods of administering GFs is that it is an inexpensive product, easy to obtain, and there is no risk of rejection or immune reaction because of its autologous preparation. Likewise, PRP containing leukocytes was explained to have an antimicrobial activity, which suggests a low risk of infection [13, 14]. Many GFs released by PRP are recognized to play a key role in angiogenesis and tissue regeneration by managing cell migration, differentiation, proliferation and physiological functions [15, 16].
Antioxidants are scavengers as they prevent cell and tissue damage resulted from reactive oxygen species (ROS) liberated from cellular damage and disease [17]. Quercetin (QUR), as the bioactive phenolic compound in fruits and vegetables, is widely recognized having potential biological properties in mammals, such as anti-inflammation and anti-oxidation [18]. QUR is a plant-derived aglycone type of flavonoid glycosides, which performs an essential role in disease inhibition, such as cancer and cardiovascular diseases [19]. Bureau et al. [20] stated that quercetin could inhibit the mRNA levels of TNF-α and interleukin (IL)-1α, leading to the reduction of neuronal apoptosis. It has been reported that quercetin has anti-cancer [21], disease resistance [22] and anti-obesity effects [23]. Mouria et al. [24] demonstrated that QUR could reduce the growth of pancreatic cancer and stimulate apoptosis through different interactions. Paolillo et al. [25] exhibited that QUR could lessen NO manufacture, cell apoptosis, and has the possibility to treat Salmonella enterica serovar Typhimurium and additional bacterial diseases.
The present study was undertaken to elucidate the antioxidant property of PRP and QUR against DMN-induced splenic toxicity in male Wistar rats along with the expression of lipid peroxidation, antioxidant enzymes, inflammatory, apoptotic and antiapoptotic markers associated with immune-histochemical and histo-pathological changes of the spleen in male rats.
Chemicals and drugs
DMN was provided by Misr Company for Pharmaceutical Industries, Cairo, Egypt. QUR was purchased from Sigma Chemical Co., USA. All other reagents and chemicals used for analysis met the quality criteria in accordance with international standards.
Treatment
DMN was given intraperitonealy at a dose of 4 mg/kg b. wt/day in isotonic saline as Rao, [26]. QUR was administered orally at a dose of 50 mg/kg b. wt. in aqueous suspension daily using an intragastric tube for four weeks [27].
Preparation of platelet-rich plasma (PRP)
Blood was collected by cardiac puncture from 8 normal control rats and stored in tubes with sodium citrate anticoagulant [28]. The procedure was conducted in sterile conditions to prevent platelets to lose their ability to secrete growth factors. Tubes with collected blood samples were centrifuged at 900 rpm for 10 min to separate red, white, and platelet cells [29]. The upper portion of the supernatant, up to the edge of the fog zone that corresponds to plasma and platelets, was collected into new tubes [30]. These tubes were centrifuged at 1800 rpm for 10 min [31]; about 50% of the plasma portion was removed and stored in another tube (portion considered as plasma poor in platelets, PPP). The remaining material containing the platelet pellet was resuspended, originating the PRP portion [30]. PPP presented 733,000 platelets/μl; PRP presented 2,300,000 platelets/μl and was considered suitable for the purpose of the study [31].
Injection of PRP
Rats were injected intraperitoneally by single dose 50 μl of PRP [32, 33].
Animals and experimental model
Animal procedures were performed in accordance with the declaration of Helsinki and the guidelines for the care and use of experimental animals established by the Committee for the purpose of Control and Supervision of Experiments on Animals (CPCSEA) and the National Institutes of Health (NIH) protocol (registration number: 13/165).
This work was achieved in the Biology laboratory of Zoology Department-Faculty of Women for Arts, Science and Education, Ain Shams University, Egypt.
This study was carried out on 40 male Wistar strain rats, weighing (150-200 gm). Rats were maintained at the well-controlled animal house under the following conditions: 25 °C±2 °C, 60% relative humidity, 12 Light: 12 Dark photocycle and pathogen-free conditions. The animals were allowed free access to water and were fed a semi-purified diet that contained (g/kg): 100 g casein, 750 g sucrose, 50 g cellulose, 50 g fat blends, 10 g vitamin mix, and 40g mineral. One week before the start of the experiment, rats were acclimatized. The animals were randomly divided into four experimental groups (n=10) according to the following experimental protocol: Control group: Rats received the vehicle (saline) in which the drugs were dissolved in a manner similar to the treated groups (Con), Dimethyl nitrosamine group: DMN was given intraperitoneally at a dose of 4 mg/kg b. wt/day for four weeks for sub-chronic injury of spleen tissue (DMN), Dimethylnitrosamine+platelet-rich plasma: Rats were injected intraperitoneally with DMN at a dose of 4 mg/kg b. wt/day for four weeks then treated i. v. by single dose 50 μL of PRP then left for a period of four weeks without any treatments (DMN+PRP) and Dimethylnitrosamine+Quercetin: Rats received intraperitoneally a DMN at a dose of 4 mg/kg b. wt/day for four weeks then treated with quercetin orally at a dose of 50 mg/kg b. wt. in aqueous suspension daily using an intragastric tube for four weeks (DMN+QUR).
Sample collection
Blood samples were collected by the method of Boussarie, [34], then, serum was collected for different biochemical analyses.
Tissue preparation
At the end of the experimental period, Spleen tissue (about 0.25 g) was used for the determination of biochemical parameters. Tissue was perfused with a 50 mmol sodium phosphate buffer saline (100 mmol Na2HPO4/NaH2PO4) (pH 7.4) and 0.1 m ethylenediaminetetraacetic acid (EDTA) in situ. Tissues were homogenized in 5 ml cold buffer per gram tissue and centrifuged for half an hour at 2700 × g. The supernatant was stored at-20 °C for different biochemical determinations.
Biochemical determinations
Splenic total protein level was determined by the colorimetric method of Lowry et al. [35].
Oxidative stress markers
Splenic malondialdehyde (MDA), Hydrogen peroxide (H2O2) contents were determined by colorimetric methods using Bio diagnostic kit (Egypt) following the methods of Satoh, [36] and Aebi, [37] respectively.
Determination the enzymatic antioxidants activities
Xanthine oxidase (XO) content was assayed by colorimetric methods using the Sigma-aldrich kit (USA) according to the manufacturer’s instructions. Superoxide dismutase (SOD) and catalase (CAT) activities were determined by colorimetric methods using Bio diagnostic kit (Egypt) following the methods of Nishikimi et al. [38] and Fossati et al. [39] respectively.
Inflammation and tumor markers
Serum C-reactive protein (CRP) level was determined by CRP-HS II LT (Latex Turbidimetric Immunoassay) kit purchased from Wako Chemicals GmbH, according to Whicher, [40]. Splenic interleukin-6 (IL-6) and nuclear factor kappa B (NF-κB) levels were estimated using ELISA technique using kit purchased from Uscn life science Inc., (USA) according to manufacturer's instruction. Leukotriene C4 (LT-C4) content was determined by Rat LT-C4 ELISA Kit purchased from MyBioSource Co. California, San Diego (USA), according to manufacturer's instruction.
Evaluation of apoptosis
Splenic P53 content was assayed by the ELISA technique according to the manufacturer's instruction of ELISA kit of rat p53 purchased from Glory Science Co., Ltd, USA. Fas level in the spleen was assayed by ELISA according to the method of Massaia et al. [41] by using ELISA kit purchased from Bioscience Co., Vienna, Austria, Europe. B-cell lymphoma 2 (Bcl2) level in the spleen tissue was estimated by ELISA technique by using ELISA kit purchased from Glory Science Co., Ltd, USA, according to manufacturer's instruction.
Immunohistochemical Investigation
For immunohistochemical analyses, 5 μ thick sections of splenic tissue were used for the activated Caspase-3 detection system (Biovision activated Caspase-3 [1:100] and Bcl-2 [1:100]). In brief, the deparaffinization procedure was accomplished in Xylene and hydration was done. After immersion in distilled water, sections were washed in PBS and exposed to microwave radiation at 500 W in citrate buffer (10 mmol, pH 6.0) for antigen retrieval. Then the primary antibody was applied in an incubator at 4 °C overnight then washed with PBS. Then, the biotinylated secondary antibody was applied, washed with PBS before incubating with the enzyme conjugate and 3,3-diaminobenzidine tetrahydrochloride. The whole procedure was finished after staining the sections with Mayer's hematoxylin [42].
Also, for vascular endothelial growth factor, samples were taken from the spleen tissue of rats of the different groups and fixed in 10% formalin saline washed, dehydrated and then cleared and imgded in parafin. Sections were then cut into 5 μ thick by sledge microtome then fixed on positive slides. Slides were placed in a coplin jar filled with 200 ml of triology working solution (Cell Marque, CA-USA, Cat. #920P-04), which combines the three pretreatment steps: deparaffinization, rehydration and antigen unmasking. Then, the jar was securely positioned in the autoclave. Sections were then washed and immersed in Tris-buffer saline (TBS) to adjust the pH and these were repeated between each step of the IHC procedure. Quenching endogenous peroxidase activity was performed by immersing slides in 3% hydrogen peroxide. Broad-spectrum LAB-SA detection system (Invitrogen, Cat. #85-8943) was used to visualize any antigen-antibody reaction in the tissue. Background staining was blocked by putting 3 drops of 10% goat non-immune serum blocker on each slide and incubating them in a humidity chamber. Without washing, excess serum was drained, three drops of vascular endothelial growth factor (VEGF) rabbit polyclonal antibody (Thermo Scientific, USA, Cat. #RB-222-R7) were applied and slides were incubated in the humidity chamber overnight. Henceforward, a biotinylated secondary antibody from ultravision detection system anti-polyvalent HRP/DAB (Thermo Scientific, Cat. #TP-015-HD) was applied on each slide, followed by incubation with the streptavidin HRP enzyme conjugate (Thermo Scientific, Cat. #TP-015-HD). Then, 3,3 ́-diaminobenzidine (DAB) chromogen (Thermo Scientific, Cat. #TP-015-HD) was prepared and 3 drops were applied on each slide. DAB was rinsed, after which counterstaining with Mayer hematoxylin and coverslipping were performed as the final steps before slides were examined under the light microscope [42].
Histopathological examination
The Paraffin wax tissue blocks prepared for immunohistochemical investigation were used for histopathological examination after sectioning by sledge microtome into 5μm thick. The obtained tissue sections were collected on glass slides and stained with hematoxylin-eosin (H and E). Then, the slides were examined under the light microscope [43].
Statistical analysis
All results of the present study were expressed as mean±S. E. of the mean. The statistical Package for the Social Sciences (SPSS) program, version 19.0 was used to compare the significance between each two groups. The difference was considered significant when P ˂0.05. Percentage difference representing the percent of variation with respect to the corresponding control group was calculated according to the following formula:

Administration of DMN caused a significant increment (P<0.05) in the splenic levels of MDA, XO and H2O2 associated with significant depletion (P<0.05) in the SOD and CAT activities in spleen tissue as compared to the normal control group (table 1). Treatment of DMN rats with PRP or QUR had restored MDA, XO, H2O2, SOD and CAT levels significantly (p<0.05) compared to DMN group. Interestingly, no significant alteration was detected (p˃0.05) in splenic MDA, XO, H2O2, SOD and CAT between PRP and QUR-treated groups (table 1).
Table 1: Effect of PRP or QUR on some oxidative stress and antioxidant parameters in spleen tissue of male rats treated with dimethylnitrosamine
| Parameters | |||||
| Groups | MDA ng/mg protein |
XO U/gm protein |
H2O2 μg/mg protein |
SOD mg/mg protein |
CAT U/gm protein |
| Con | 65.31±9.81 | 12.09±3.62 | 1.21±0.12 | 16.88±3.56 | 4.21±0.36 |
| DMN | 185.62±15.35a a(184.21%) |
36.54±8.22a a(202.23%) |
4.53±0.35a a(274.38%) |
7.62±0.84a a(-54.86%) |
1.51±0.18a a(-64.13%) |
| DMN+PRP | 78.91±8.69ab a(20.82%) b(-57.49%) |
18.33±4.66ab a(51.61%) b(-49.83%) |
1.56±0.19ab a(28.92%) b(-65.56%) |
14.31±2.31ab a(-15.23%) b(87.79%) |
3.13±0.38ab a(-25.65%) b(107.28%) |
| DMN+QUR | 89.21±10.92ab a(36.59%) b(-51.94%) |
22.64±6.11ab a(87.26%) b(-38.04%) |
1.89±0.21ab a(56.19%) b(-58.27%) |
11.61±2.62ab a(-31.22%) b(52.36%) |
2.62±0.25ab a(-37.77%) b(73.51%) |
Data are represented as mean±SE of 8 rats/group., a: Significant change at P<0.05 in comparison with the normal control group, b: Significant change at P<0.05 in comparison with DMN group.
Data presented in table (2) showed that the treatment of rats with DMN caused a significant elevation (P<0.05) in the levels CRP, IL-6, NFKB and LTC-4 as compared to the normal control group. On the other hand, the concurrent administration of PRP or QUR to the rats treated with DMN significantly (p<0.05) decreased the levels of CRP, IL-6, NFKB and LTC-4 as compared to the DMN group. Again, no significant alteration was detected (p˃0.05) in splenic CRP, IL-6, NFKB and LTC-4 between PRP and QUR-treated groups (table 2).
Table 2: Effect of PRP or QUR on some inflammatory parameters in spleen tissue of male rats treated with dimethylnitrosamine
| Parameters | ||||
| Groups | CRP mg/l |
IL-6 Pg/mg tissue |
NF-κB Pg/mg tissue |
LT-C4 pg/mg tissue |
| Con | 2.32±0.24 | 4.21±0.48 | 7.32±1.31 | 661.40±29.21 |
| DMN | 5.82±0.43a a(150.86%) |
12.24±2.43a a(190.74%) |
16.25±2.13a a(121.99%) |
1272.71±43.45a a(92.43%) |
| DMN+PRP | 2.91±0.32ab a(25.43%) b(-50.00%) |
5.53±0.83ab a(31.35%) b(-54.82%) |
8.42±1.62ab a(15.03%) b(-48.18%) |
755.63±30.22ab a(14.25%) b(-40.63%) |
| DMN+QUR | 3.27±0.32ab a(40.95%) b(-43.81%) |
6.12±1.01ab a(45.36%) b(-50.00%) |
9.15±1.74ab a(25.00%) b(-43.69%) |
781.23±29.51ab a(18.12%) b(-38.62%) |
Data are represented as mean±SE of 8 rats/group., a: Significant change at P<0.05 in comparison with the normal control group, b: Significant change at P<0.05 in comparison with DMN group.
Table 3 represents the levels of P53, Fas as an index of apoptosis and Bcl2 as an antiapoptotic marker in control and treated rats. It was found that P53 and Fas levels in DMN-treated rats were significantly increased (P<0.05) associated with a significant reduction (P<0.05) in Bcl2 level in spleen tissues as compared to the normal control group. Treatment of the DMN rats with PRP or QUR resulted in a significant reduction (P<0.05) in the levels of P53 and Bax accompanied by significant increase (P<0.05) in the Bcl2 level as compared to DMN-treated group. No significant alteration was detected (p˃0.05) in splenic P53, Fas and Bcl2 between PRP and QUR-treated groups (table 3).
Table 3: Effect of PRP or QUR on apoptotic, proapoptotic and antiapoptotic markers in spleen tissue of male rats treated with dimethyl nitrosamine
| Parameters | |||
| Groups | P53 Pg/mg protein |
Fas ng/mg protein |
Bcl2 ng/mg protein |
| Con | 48.32±5.32 | 1.42±0.24 | 0.95±0.08 |
| DMN | 85.61±7.64a a(77.17%) |
4.32±0.43a a(204.23%) |
0.24±0.02a a(-74.74%) |
| DMN+PRP | 57.05±6.11ab a(18.06%) b(-33.36%) |
1.91±0.22ab a(34.51%) b(-55.79%) |
0.72±0.06ab a(-24.21%) b(200.00%) |
| DMN+QUR | 68.25±6.90ab a(41.24%) b(-20.28%) |
2.27±0.32ab a(59.86%) b(-47.45%) |
0.59±0.03ab a(-37.89%) b(145.83%) |
Data are represented as mean±SE of 8 rats/group., a: Significant change at P<0.05 in comparison with the normal control group, b: Significant change at P<0.05 in comparison with DMN group.
Immunohistochemical investigations
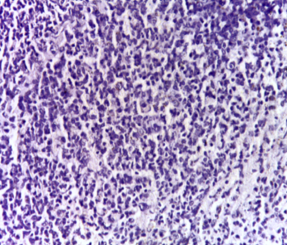
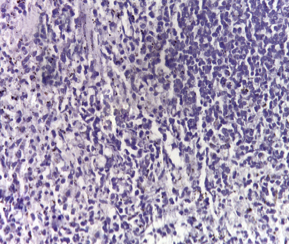
Immunohistochemical determination of the antibody specific for activated caspase-3 of the Control group showed negative results (fig. 1a) compared to the DMN group, as the activated caspase-3 was present in the cytoplasm of cells with morphology consistent with apoptosis (fig. 1b). While the groups injected with PRP and those administered orally with Qeurcetin showed negative results (fig. 1c and fig. 1d respectively).
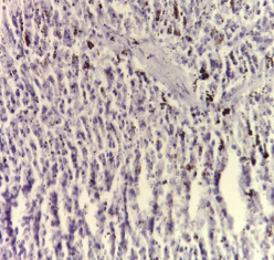
Optical micrograph for immunohistochemical staining of negative control spleen tissue using an antibody against VEGF showed positive immunoreaction for VEGF (fig. 2a). Optical micrograph for immunohistochemical staining of DMN group showed negative immunoreaction for VEGF in splenic tissue (fig. 2b). Furthermore, an optical micrograph for immunohistochemical staining of splenic tissue sections of PRP or those administered orally with Qeurcetin showed positive immunoreaction for VEGF in splenic tissue (fig. 2c and 2d respectively).

Fig. 1(a-d): Immunohistochemical determination of the antibody specific for activated caspase-3 in splenic tissue, (a) Normal control showed a negative reaction, (b) DMN group showed a positive reaction, (c) PRP group showed negative reaction and (d) Qeurcetin group showed negative reaction (a-d X100)

Fig. 2(a-d): Immunohistochemical determination using antibody against VEGF in splenic tissue, (a) Normal control showed positive reaction, (b) DMN group showed negative reaction, (c) PRP group showed positive reaction and (d) Qeurcetin group showed positive reaction (a-d X100)
Histopathological studies
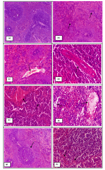
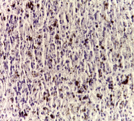
Histological examination of the spleen from the normal control group revealed normal histological architecture as shown in fig. 3a. Spleen tissue from rats from DMN group revealed deviation from normality. Deviations were detected on both macroscopical and microscopical levels. Macroscopical changes were observed in the form of enlargement in the size of an organ after four weeks. Histological examination was characterized by early degenerative changes in the white pulp (fig. 3b) and hemorrhage in blood sinusoids (fig. 3c). Dilated blood vessels with the stagnation of blood and thickened trabecular walls that were lined by inflammatory cells were also a prominent feature (fig. 3d). In addition, hyaline material within congested sinusoids was realized with an aggregation of deeply stained lymphocytes within the red pulp (fig 3e). Moreover, enlargement in the Malpighian bodies, harboring deeply stained lymphocytes encircled by a narrow band of paler stained epithelial cells were also noticed. Necrotic areas were evident along with the whole splenic tissue and haemorrhagic changes were also prominent where red blood cells invaded sinusoidal spaces (fig. 3f).
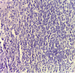
Spleen tissue of animals of the group injected with PRP manifested slight damage as designated by degeneration in the white pulps. Signs of recovery were inspected in some areas. This was represented in the reappearance of well-observed malpighian corpuscles (fig. 3g), which seemed similar to normal architecture. The spleen appeared to partially regain its splenic architecture (fig. 3g).
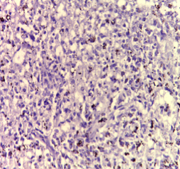
As QUR was orally administrated to DMN group, mild signs of recovery appeared as the degenerative changes in the white pulp and hemorrhage in blood sinusoids still appeared and red blood cells appeared in the sinousoidal spaces (fig. 3h).

Fig. 3(a- h): Histological examination of spleen (H & E.), (a) Normal control group showing normal spleen architecture (X100), (b-f) DMN group showing: (b) degenerative changes with loss of contour of white pulp (X100); (c) haemorrhage in blood sinusoids (X100); (d) Dilated blood vessels with stagnation of blood and thickened trabecular walls lined by inflammatory cells (X400); (e) hyaline material within congested sinusoids and aggregation of deeply stained lymphocytes within the red pulp (X400) and (f) Necrotic areas along whole splenic tissue and red blood cells invaded sinusoidal spaces (X400). (g) PRP injected to DMN group showing reappearance of well-observed malpighian corpusles (X100). (h) QUR administrated to DMN group showing haemorrhage and red blood cells in blood sinusoids (X400).
In the present work, the protective effects of PRP or QUR against DMN-induced acute spleen injury in rats were investigated, and the results showed that they significantly improved DMN-induced acute spleen injury, which indicated that PRP or QUR may be potent candidates for the treatment of toxin-induced acute spleen injury. The spleen is essential for initiating immune responses by white pulp (the marginal zone) and the red pulp (vascular organization, and cellular composition) [44].
The current study documented that the administration of DMN considerably increased splenic MDA, XO and H2O2 values, whereas it revealed a significant decrease in SOD and CAT activities versus the normal control group. It is evident that DMN produced prooxidative activity that could be due to its capability to generate excessive ROS and reactive nitrogen species (RNS) accumulation [45]. The relationship between expanded free radical-mediated reactions and pathological states were detected by Liu et al. [46]. The oxidative stress supported by increasing the free-radical mediated reactions, by HO. and RO. could cause oxidation for various macromolecules of the cell [47]. Ever-increasing the lipid peroxidation as the impact of DMN may be linked to the elevation of H2O2 concentration in spleen homogenates. This could cause disruptions in cell integrity.
SOD and CAT enzymes constitute cooperative encouraging enzymes that provide a defense against ROS. SOD establishes an essential role in the biological defense system through the dismutation of endogenous cytotoxic superoxide radicals to H2O2 and O2, which produces damage to polyunsaturated fatty acids and proteins [48]. DMN administration to rats induces free radical production and therefore, the first line defense comes to the rescue as shown by the significant reduction in SOD in DMN-animals. Moreover, the drop-in CAT activity to remove H2O2, which could be converted to toxic hydroxyl radicals that may contribute to oxidative stress due to DMN, also occurs. Deterioration in the activities of these enzymes could be due to their inactivation by excess ROS production.
Meanwhile, CAT protects SOD against inactivation by H2O2. Complementary, SOD protects CAT against superoxide anion. The role of H2O2 in ROS generation has been noticed in other studies [49, 48]. This result is in line with the report of Cheeseman and Slater [50]. Thus, the balance among these enzymes is essential to dislodge superoxide anion and peroxides generated in the spleen. The diminution in the activities of these enzymes and rise in the lipid peroxidation level could indicate the opposing effects of DMN on the balanced antioxidant system in the spleen, a result that could lead to impaired immune functions. Free radicals initially increase due to the induction of DMN as the levels of H2O2 and MDA increased as well as the activity of XO. Lipid peroxidation is linked with wide toxic effects, including decreased membrane fluidity and function, impaired functions of the mitochondria and Golgi apparatus and inhibition of enzymes.
PRP treatment markedly succeeded to reduce the levels of lipid peroxidation products alongside with XO and H2O2 contents. Accordingly, it significantly increased the splenic activities of SOD and CAT enzymes, which indirectly indicates the significant decline in lipid peroxidation. These findings are in accordance with those of Hesami et al. [51] who found that the treatment of rats with PRP five weeks after CCl4-induced toxicity led to the reduction of hepatotoxicity probably due to lipid peroxidation inhibition and effective recovery of the antioxidant defense system. Additionally, Martins et al. [52] detected an improvement of the enzymatic and non-enzymatic antioxidant levels upon the healing of skeletal muscle injuries using PRP. In addition, a study by Bakacak et al. [32] stated that intraperitoneal PRP treatment lessened total oxidant status and oxidative stress index in ischemia and ischemia/reperfusion injury in rat ovary. It has been revealed that PRP may prevent oxidative damage via the stimulation of the transcription factor nuclear factor erythroid 2-related factor 2(Nrf2) antioxidant response element signaling [53]. Moreover, numerous GFs released from PRP can trigger cell activation and activate related signal paths, including the phosphatidylinositol-3 kinase (PI3K)/Akt pathway, which can lessen ROS production and raise the level of resistance to oxidation [54-56].
On the other hand, QUR supplementation significantly enhanced the oxidative stress in this study. QUR are naturally occurring therapeutic molecules that species can inhibit reactive oxygen and safeguard from pro-oxidative impairment and treat diseases caused by oxidative stress [57, 58]. Kaindl et al. [57] stated that QUR was highly effective in protecting against nutrition induced oxidative stress damage.
Inflammation plays an essential role in DMN-induced acute spleen injury. ROS generated by DMN not only directly causes spleen injury but also introduces inflammation [59]. NF-κB is a functional nuclear receptor that mediates cell survival and differentiation, and inflammatory reaction [60]. Hence, inhibition of NF-κB expression in spleen tissue attributes to attenuating inflammatory-induced cytotoxicity and mitigates spleen lesions. Present data represented that splenic NF-κB level was abnormally expressed with a concomitant increase in serious concentrations of CRP, IL-6 and LT-C4 revealing that DMN treated rats organically induced inflammatory recruitment with a series of lesions.
In this work, DMN rats treated with PRP or QUR significantly down-regulated the levels of NF-Κb, CRP, IL-6 and LT-C4 as compared to the DMN group. PRP was notably able to ameliorate these alterations, possibly via its anti-inflammatory activity. Preceding studies support this hypothesis where PRP was stated to raise the intracellular expression of the anti-inflammatory mediators (IL-4, IL-10, and IL-13) known to play the main role in inhibiting inflammation; the anti-inflammatory role of PRP had been determined due to the presence of hepatocyte growth factor (HGF) [61]. Furthermore, the possibility that QUR can regulate NF-kB activity and inhibit inflammatory cytokine expression reducing inflammatory reactions in different systems, has been largely explored in the literature [62-64]. Similar findings have been observed in vivo in other animal models of inflammation [65,66] and in agreement with previous data obtained in vitro [67, 68]. Even though the molecular mechanisms implicated in the suppressive effects of flavonoids on NF-kB are still not clear, numerous hypotheses can be suggested. One of the recommended mechanisms is the direct inhibition of the intracellular signaling pathways leading to the activation of NF-kB. QUR can significantly reduce phosphorylation and degradation of inhibitor of kBa (IkBa) and the nuclear level of NFkB [69, 65]. Based on these observations, one might assume that QUR inhibits inflammatory responses, including the production of inflammatory cytokines and activity of OX, mainly through the suppression of NF-kB activation.
It is well known that p53 is a well-established sensor for DNA damage and cell death [70], which can promote apoptosis by regulating the levels of some apoptotic proteins including caspase-9, casepase-3and Bcl-2 family [71], in which Bcl-2 family plays an important role to regulate mitochondrial signal pathway [72]. Fas and some proapototic proteins can promote cell apoptosis, but Bcl-2 can inhibit apoptosis [73]. Furthermore, Fas/FasL is the upstream regulator of caspase 3. In the present work, DMN treatment significantly increased the levels of P53 and Fas and decreased the Bcl2 level as compared to the normal control group. These findings are in agreement with Zhang et al. [74] who recorded that DMN administration to induce acute liver injury in rats resulted in a significant increase in the expression levels of FasL, Fas, p53, Caspase-3/9, and downregulated Bcl-2 level through increasing Interferon regulatory factor 9 (IRF9) level in apoptosis.
Otherwise, PRP or QUR treatments significantly decreased the levels of p53, Fas and increased the level of Bcl-2 as compared to DMN group. This concurs with the results of Moussa et al. [61] who noticed that PRP significantly diminished the mRNA level of Bcl-2-associated death promoter (BAD) and caspase-3 and increased the mRNA level of Bcl-2 in human chondrocytes. Moreover, Salem et al. [75] demonstrated a significant elevation in the levels of the anti-apoptotic Bcl-2 marker following PRP infusion in the liver of dimethyl nitrosourea-intoxicated rats compared to their corresponding controls. The mechanism of action of PRP can be implied by the impact of its abundant content of (growth factors) GFs. GFs and the adhesive glycoproteins produced from the activated platelets interact with the cells by binding to their specific cellular membrane receptors. After that, they activate intracellular procedures that stimulate cell proliferation, migration, and survival [76]. The complex downstream interactions of GFs present in PRP that has been described as anti-apoptotic factors were established. Hepatocyte growth factor (HGF), epidermal growth factor (EGF) and the binding of insulin-like growth factor (IGF), to their cell-surface receptor seems to promote the survival of tubular cells by inhibiting apoptosis via activating the extracellular signal-regulated kinase (ERK)/mitogen-activated protein kinase (MAPK) or PI3K/Akt signaling pathway and modulating Bcl-2 family protein expression [77-79]. Moreover, increased apoptosis was due to an increase in oxidative stress and inflammation [74]. In the view that quercetin reduces oxidative stress and inflammation, therefore apoptosis levels in the spleen tissue were also reduced.
DMN administration causes severe damage to splenic tissue [80], in the concurrent study PRP exhibited signs of recovery in some areas. Platelets release many bioactive proteins responsible for attracting macrophages and mesenchymal stem cells, which not only promotes the removal of necrotic tissue but also enhances tissue regeneration and healing [81]. QUR also showed restorative effects in the red and white pulps of the splenic tissue. Previous studies showed that quercetin had anti‐inflammatory effects [82]. The antioxidant properties of quercetin could exert a beneficial effect in inflammation as has previously been described [83].
In conclusion, the present work demonstrated that PRP and QUR markedly attenuated DMN-induced acute spleen injury through attenuating oxidative stress, suppressing inflammation and inhibiting apoptosis associated with an improvement in immunohistochemical markers which were confirmed by histological examination. Present findings suggest that PRP and QUR should be considered as two potent candidates for attenuating toxin-induced acute spleen injury in the future.
This research did not receive any specific grant from funding agencies in the public, commercial, or not-for-profit sectors.
Asmaa M Zaazaa and Nadia Noble-Daoud Aniss created, designed the study, analyzed the data, wrote and revised the manuscript.
All authors declare that there is no conflict of interest.
Oyaizu T, Shikata N, Senzaki H, Matsuzawa A, Tsubura A. Studies on the mechanism of dimethylnitrosamine-induced acute liver injury in mice. Experim Toxicol Pathol 1997;49:375–80.
El-Shenawy NS, Hamza RZ, Ismail HAA, Khaled HE. Efficacy of α–lipoic acid against oxidative stress and histopathological changes of dimethylnitrosamine in liver male mice. Am J Biochem Mol Biol 2016;6:102-12.
Hamza RZ, Ismail HAA, El-Shenawy NS. Oxidative stress, histopathological and electron microscopically alternation induced by dimethylnitrosamine in renal male mice and the protective effect of α–lipoic acid. J Basic Clin Physiol Pharmacol 2017;28:149-58.
Mostafa MH, Helmi S, Badawi A, Tricker AR, Spiegelhalder B, Preussmann R. Nitrate, nitrite and volatile nitroso compounds in the urine of Schistosoma mansoni infected patients. Carcinogenesis 1994;15:619–25.
Krishna G, Kropko ML, Theiss JC. Dimethylnitrosamine-induced micronucleus formation in mouse bone marrow and spleen. Mutat Res 1990;242:345–51.
Zhang W, Yin L, Tao X, Xu L, Zheng L, Han X, et al. Dioscin alleviates dimethylnitrosamine-induced acute liver injury through regulating apoptosis, oxidative stress and inflammation. Environ Toxicol Pharmacol 2016;45:193–201.
Hussain MSB, Hiremath MB. Evulation of in vitro antioxidant, anti-inflammatory activities of aegle marmelos leaf extracts. Asian J Pharm Clin Res 2020;13:209-13.
Al-Attar AM, Al-Rethea HA. Chemoprotective effect of omega-3 fatty acids on thioacetamide-induced hepatic fibrosis in male rats. Saudi J Biol Sci 2017;24:956–65.
Reddy JK, Rao MS. Lipid metabolism and liver inflammation. II. Fatty liver disease and fatty acid oxidation. Am J Physiol Liver Physiol 2006;290:852–8.
Barth SP. Microanatomy and function of the spleen. Adv Anat Embryol Cell Biol 2000;151:1–101.
Little MH. Regrow or repair: potential regenerative therapies for the kidney. J Am Soc Nephrol 2006;17:2390–401.
Weibrich G, Kleis WK, Hafner G, Hitzler WE. Growth factor levels in plateletrich plasma and correlations with donor age, sex, and platelet count. J Craniomaxillofac Surg 2002;30:97–102.
Bielecki TM, Gazdzik TS, Arendt J, Szczepanski T, Krol W, Wielkoszynski T. Antibacterial effect of autologous platelet gel enriched with growth factors and other active substances: an in vitro study. J Bone Joint Surg Br 2007;89:417–20.
Cieslik Bielecka A, Bielecki T, Gazdzik TS, Arendt J, Krol W, Szczepanski T. Autologous platelets and leukocytes can improve healing of infected high-energy soft tissue injury. Transfus Apher Sci 2009;41:9–12.
Lyras DN, Kazakos K, Verettas D, Polychronidis A, Tryfonidis M, Botaitis S, et al. The influence of platelet-rich plasma on angiogenesis during the early phase of tendon healing. Foot Ankle Int 2009;30:1101–6.
Kark LR, Karp JM, Davies JE. Platelet releasate increases the proliferation and migration of bone marrow-derived cells cultured under osteogenic conditions. Clin Oral Implants Res 2006;17:321–7.
Abd El dayem SM, Zaazaa AM, Foda FM, Abd El Aty HE. Quercetin mitigates toxicity and oxidative stress motivated by bisphenol A in the liver of male rats. Int J Pharm Pharm Sci 2016;8:306-10.
Watzl B. Anti-inflammatory effects of plant-based foods and of their constituents. Int J Vitam Nutr Res 2008;78:293–8.
Zhang M, Swarts SG, Yin L, Liu C, Tian Y, Cao Y, et al. Antioxidant properties of quercetin. Adv Exp Med Biol 2011;701:283–9.
Bureau G, Longpre F, Martinoli MG. Resveratrol and quercetin, two natural polyphenols, reduce apoptotic neuronal cell death induced by neuroinflammation. J Neurosci Res 2008;86:403–10.
Tlaskalova Hogenova H, Stepankova R, Kozakova H, Hudcovic T, Vannucci L, Tuckova L, et al. The role of gut microbiota (commensal bacteria) and the mucosal barrier in the pathogenesis of inflammatory and autoimmune diseases and cancer: contribution of germ-free and gnotobiotic animal models of human diseases. Cell Mol Immunol 2011;8:110–20.
Yin YN, Yu QN, Liu XW, Lu FG. Effects of four Bifidobacteria on obesity in high-fat diet-induced rats. World J Gastroenterol 2010;16:3394–401.
Ley RE, Bäckhed F, Turnbaugh P, Lozupone CA, Knight RD, Gordon JI. Obesity alters gut microbial ecology. Proc Natl Acad Sci USA 2005;102:11070–5.
Mouria M, Gukovskaya AS, Jung Y, Buechler P, Hines OJ, Reber HA, et al. Food‐derived polyphenols inhibit pancreatic cancer growth through mitochondrial cytochrome C release and apoptosis. Int J Cancer 2002;98:761–9.
Paolillo R, Carratelli CR, Rizzo A. Effect of resveratrol and quercetin in experimental infection by salmonella enterica serovar typhimurium. Int Immunopharmacol 2011;11:149–56.
Rao GS. N-nitrosamines from drugs and nitrite: a potential source of chemical carcinogens in humans? Pharmacol Intern 1980;1:187–90.
Wang J, Pan Y, Hong Y, Zhang Q, Wang X, Kong L. Quercetin protects against cadmium-induced renal uric acid transport system alteration and lipid metabolism disorder in rats. J Evidence Based Complementary Altern Med 2012;1-14.
Vendruscolo CP, Carvalho AM, Moraes LF, Maia L, Queiroz DL, Watanabe MJ, et al. Evaluating the effectiveness of different protocols for preparation of platelet rich plasma for use in equine medicine. Pesquisa Veterinaria Brasileira 2012;32:106-10.
Alves SBCR, Monteiro MPG, Pires NR, Santos AVP. Metodologia para obtenção do plasma rico em plaquetas: Estudo preliminar. Rev Eletron Novo Enfoque 2012;15:83-9.
Junior RR, Negriros RM, Elias FM, Jorge WA. The use of bone graft with plate rich plasma in the healing of bone defects. Rev Odontol Univ Cidade Sao Paulo 2008;20:295-300.
Usnayo MJG, Andrande LEC, Alarcon RT, Oliveira JC, Silva GMF, Bendet I, et al. Study of the frequency of HLA-DRB1 alleles in Brazilian patients with rheumatoid arthritis. Rev Bras Reumatol 2011;51:474-83.
Bakacak M, Bostanci MS, İnanc F, Yaylali A, Serin S, Attar R, et al. Protective effect of platelet-rich plasma on experimental ischemia/reperfusion injury in rat ovary. Gynecol Obstet Investig 2016;81:225–31.
Franciele D, Malin H, Parmis B, Love T, Vinicius FB, Jefferson B, et al. Effect of platelet-rich plasma on rat achilles tendon healing is related to microbiota. Acta Orthop 2017;88:416-21.
Boussarie D. Hematologie des rongeurs et lagomorphes de compagnie. Bulletin de l'Academie Veterinaire de France 1999;72:209–16.
Lowry OH, Rosebrough NJ, Farr AL, Randall RJ. Protein measurement with the Folin phenol reagent. J Biol Chem 1951;193:265-75.
Satoh K. Serum lipid peroxide in cerebrovascular disorders determined by a new colorimetric method. Clin Chim Acta 1978;90:37-43.
Aebi H. Catalase in vitro. Methods Enzymol 1984;105:121–6.
Nishikimi M, Roa NA, Yogi K. The occurrence of superoxide anion in the reaction of reduced phenazine methosulfate and molecular oxygen. Biochem Bioph Res Common 1972;46:849–54.
Fossati P, Prencipe L, Berti G. Use of 3,5-dichloro-2-hydroxybenzenesulfonic acid/4-aminophenazone chromogenic system in direct enzymic assay of uric acid in serum and urine. Clin Chem 1980;26:227–31.
Whicher J. C-eactive protein. In: Clinical laboratory diagnostics: use and assessment of clinical laboratory results/ed. by Lother Thomas. 1st Edition. Frankfurt/Main; 1998. p. 700-10.
Massaia M, Borrione P, Attisano C, Barral P, Beggiato E, Montacchini L, et al. Dysregulated FAS and Bcl-2 expression leading to enhanced apoptosis in T cells of multiple myeloma patients. Blood 1995;85:3679–87.
Bancroft JD, Gamble M. Theory and practice of histological techniques. 6th ed. Churchill Livingstone-Elsevier; 2008. p. 433-69.
Bancroft JD, Stevens A, Turner DR. Theory and practice of histological techniques. 4th ed. Churchill Livingstone Philadelphia PA USA; 1996. p. 25-90.
Cesta MF. Normal structure, function, and histology of the spleen. Toxicol Pathol 2006;34:455–65.
Melo ES, Barbeiro HV, Ariga S, Goloubkova T, Curi R, Valasco IT, et al. Immune cells and oxidative stress in the endotoxin tolerance mouse model. Braz J Med Biol Res 2010;43:57–67.
Liu Q, Raina AK, Smith MA, Sayre LM, Perry G. Hydroxynonenal, toxic carbonyls, and Alzheimer's disease. Mol Aspects Med 2003;24:305–13.
Halliwell B, Gutteridge JMC. Oxygen toxicity, oxygen radicals, transition metals, and disease. Biochem J 1984;218:1–14.
El-Shenawy NS, AL-Harbi MS, Hamza RZ. Effect of vitamin E and selenium separately and in combination on biochemical, immunological and histologicalchanges induced by sodium azide in male mice. Experim Toxicol Pathol 2014;67:65–76.
Hamza RZ, Ismail HAA, Khaled HE, El-Shenawy NS. Antioxidant effect of Lcysteineon sodium-valproate-induced oxidative stress in rat liver: biochemical andul trastructural approaches. Toxicol Environ Chem 2015;97:1041–56.
Cheeseman KH, Slater TF. An introduction to free radical biochemistry. Br Med Bull 1993;49:481–93.
Hesami Z, Jamshidzadeh A, Ayatollahi M, Geramizadeh B, Farshad O, Vahdati A. Effect of platelet-rich plasma on CCl4-induced chronic liver injury in male rats. Int J Hepatol 2014;932930:1-7.
Martins RP, Hartmann DD, de Moraes JP, Soares FA, Puntel GO. Platelet-rich plasma reduces the oxidative damage determined by a skeletal muscle contusion in rats. Platelets 2016;27:784–90.
Tohidnezhad M, Wruck CJ, Slowik A, Kweider N, Beckmann R, Bayer A, et al. Role of platelet-released growth factors in detoxification of reactive oxygen species in osteoblasts. Bone 2014;65:9–17.
Kajstura J, Fiordaliso F, Andreoli AM, Li B, Chimenti S, Medow MS, et al. IGF1 overexpression inhibits the development of diabetic cardiomyopathy and angiotensin II-mediated oxidative stress. Diabetes 2001;50:1414–24.
Zhou YJ, Yang HW, Wang XG, Zhang H. Hepatocyte growth factor prevents advanced glycation end products induced injury and oxidative stress through a PI3K/Akt dependent pathway in human endothelial cells. Life Sci 2009;85:670–7.
Zheng L, Ishii Y, Tokunaga A, Hamashima T, Shen J, Zhao QL, et al. Neuroprotective effects of PDGF against oxidative stress and the signaling pathway involved. J Neurosci Res 2010;88:1273–84.
Kaindl U, Eyberg I, Rohr Udilova N, Heinzle C, Marian B. The dietary antioxidants resveratrol and quercetin protect cells from exogenous pro-oxidative damage. Food Chem Toxicol 2008;46:1320–6.
Kumar R, Kaur K, Uppal S, Mehta SK. Ultrasound processed nanoemulsion: a comparative approach between resveratrol and resveratrol cyclodextrin inclusion complex to study its binding interactions, antioxidant activity and UV light stability. Ultrason Sonochem 2017;37:478–89.
Lin HL, Parsels LA, Maybaum J, Hollenberg PF. N-nitrosodimethylamine-mediated cytotoxicity in a cell line expressing P4502E1: evidence for apoptotic cell death. Toxicol Appl Pharmacol 1999;157:117–24.
Varfolomeev E, Goncharov T, Vucic D. Roles of c-IAP proteins in TNF receptor family activation of NF-κB signaling. NF-kappa B. Methods Protoc 2015;1280:269–82.
Moussa M, Lajeunesse D, Hilal G, El Atat O, Haykal G, Serhal R, et al. Platelet-rich plasma (PRP) induces chondroprotection via increasing autophagy, anti-inflammatory markers, and decreasing apoptosis in human osteoarthritic cartilage. Exp Cell Res 2017;352:146–56.
Cho SY, Park SJ, Kwon MJ, Jeong TS, Bok SH, Choi WY, et al. Quercetin suppresses proinflammatory cytokines production through MAP kinases and NF-kappaB pathway in lipopolysaccharide-stimulated macrophage. Mol Cell Biochem 2003;243:153-60.
Martinez Florez S, Gutierrez Fernandez B, Sanchez Campos S, Gonzalez Gallego J, Tunon MJ. Quercetin attenuates nuclear factor-kappaB activation and nitric oxide production in interleukin-1beta-activated rat hepatocytes. J Nutr 2005;135:1359-65.
Indra MR, Karyono S, Ratnawati R, Malik SG. Quercetin suppresses inflammation by reducing ERK1/2 phosphorylation and NF kappa B activation in leptin-induced human umbilical vein endothelial cells (HUVECs). BMC Res Notes 2013;6:275.
Chang YC, Tsai MH, Sheu WH, Hsieh SC, Chiang AN. The therapeutic potential and mechanisms of action of quercetin in relation to lipopolysaccharide-induced sepsis in vitro and in vivo. PLoS One 2013;8:e80744.
Comalada M, Camuesco D, Sierra S, Ballester I, Xaus J, Galvez J, et al. In vivo quercitrin anti-inflammatory effect involves release of quercetin, which inhibits inflammation through the downregulation of NF-B pathway. Eur J Immunol 2005; 35:584-92.
Min YD, Choi CH, Bark H, Son HY, Park HH, Lee S, et al. Quercetin inhibits expression of inflammatory cytokines through attenuation of NF-κB and p38 MAPK in HMC-1 human mast cell line. Inflamm Res 2007;56:210-5.
Nair MP, Mahajan S, Reynolds JL, Aalinkeel R, Nair H, Schwartz SA, et al. The flavonoid quercetin inhibits proinflammatory cytokine (tumor necrosis factor-alpha) gene expression in normal peripheral blood mononuclear cells via modulation of the NF-kappa beta system. Clin Vac Immunol 2006;13:319-28.
Kang CH, Choi YH, Moon SK, Kim WJ, Kim GY. Quercetin inhibits lipopolysaccharide-induced nitric oxide production in BV2 microglial cells by suppressing the NFĸB pathway and activating the Nrf2-dependent HO-1 pathway. Int Immunopharmacol 2013;17:808-13.
Patel N, Joseph C, Corcoran GB, Ray SD. Silymarin modulates doxorubicin-induced oxidative stress, Bcl-xL and p53 expression while preventing apoptotic and necrotic cell death in the liver. Toxicol Appl Pharmacol 2010;245:143-52.
Weng SY, Yang CY, Li CC, Sun TP, Tung SY, Yen JJY, et al. Synergism betweenp53 and Mcl-1 in protecting from hepatic injury, fibrosis and cancer. J Hepatol 2011; 54:685–94.
Lee TY, Chang HH, Wang GJ, Chiu JH, Yang YY, Lin HC. Water-soluble extract of Salbia miltiorrhiza ameliorates carbon tetrachloride-mediated hepatic apoptosis in rats. J Pharm Pharmacol 2006;58:659–65.
Kong M, Ba M, Liang H, Ma L, Yu Q, Yu T, et al. 5'-Aza-dC sensitizes paraquat toxic effects on PC12 cell. Neurosci Lett 2012;524:35–9.
Zhang C, Wang F, Zhang Y, Kang Y, Wang H, Si M, et al. Celecoxib prevents pressure overload-induced cardiac hypertrophy and dysfunction by inhibiting inflammation, apoptosis and oxidative stress. J Cell Mol Med 2016;20:116–27.
Salem NA, Hamza A, Alnahdi H, Ayaz N. Biochemical and molecular mechanisms of platelet-rich plasma in ameliorating liver fibrosis induced by dimethyl nitrosourea. Cell Physiol Biochem 2018;47:2331–9.
Kim DH, Je YJ, Kim CD, Lee YH, Seo YJ, Lee JH, et al. Can platelet-rich plasma be used for skin rejuvenation? Evaluation of the effects of platelet-rich plasma on human dermal fibroblast. Ann Dermatol 2011;23:424–31.
Wu Z, Yu Y, Niu L, Fei L, Pan S. IGF-1 protects tubular epithelial cells during injury via activation of ERK/MAPK signaling pathway. Sci Rep 2016;6:28066.
Iwayama H, Ueda N. Role of mitochondrial Bax, caspases, and MAPKs for ceramide-induced apoptosis in renal proximal tubular cells. Mol Cell Biochem 2013;379:37–42.
Zhang J, Yang J, Liu Y. Role of Bcl-xL induction in HGF-mediated renal epithelial cell survival after oxidant stress. Int J Clin Exp Pathol 2008;1:242–53.
Xiaorong C, Cheng L, Yunfei l, Zongguo Y, Zhen L, Qingnian X, et al. Paeoniflorin regulates macrophage activation in dimethylnitrosamine-induced liver fibrosis in rats. BMC Complement Altern Med 2012;12:254.
Sampson S, Gerhardt M, Mandelbaum B. Platelet-rich plasma injection grafts for musculoskeletal injuries: a review. Curr Rev Musculoskelet Med 2008;1:165.
Camuesco D, Comalada M, Rodriguez Cabezas ME, Nieto A, Lorente MD, Concha A, et al. The intestinal anti‐inflammatory effect of quercitrin is associated with an inhibition in iNOS expression. Br J Pharmacol 2004;143:908–18.
Galvez J, De la Cruz JP, Zarzuelo A, Sanchez de Medina F, Jimenez J, Sanchez de la Cuesta F. Oral administration of quercitrin modifies intestinal oxidative status in rats. Gen Pharmacol 1994;25:1237–43.