
Department of Internal Medicine at Wangaya Hospital in Denpasar, Bali, Indonesia
Email: ketutsuryana@gmail.com
Received: 23 Feb 2020, Revised and Accepted: 23 Mar 2020
ABSTRACT
Pneumocystis Carinii Pneumonia (PCP) and Pulmonary Tuberculosis (PTB) are the most frequent Opportunistic Infection (OI) in People living with HIV/AIDS (PLWHA), especially whose CD4 counts<200 cells/µL. There is no pathognomonic sign and symptom of pneumocystis, radiographic imaging (chest radiograph) and blood examination. An intractable microorganism cannot be isolated or sustained in culture. The diagnosis of PCP is complicated, based on the presumptive diagnosis. PCP should be treated optimally as soon as possible in order not to be fatal. We report a complicated case of a female 26 y-old, diagnosed with HIV infection on Highly Active Anti Retro Viral Therapy (HAART), PTB on Anti Tuberculosis Drugs (ATD) concurrent with PCP. She also has a history of various Drug Hypersensitivity Reactions (DHR) include Rifampycin, Ciprofloxacin and Cotrimoxazole. DHR is unpredictable, and Clindamycin and Primaquin are the recommended alternative drugs for PCP, the strategic therapy is by Desensitization Protocols.
Keywords: People living with HIV/AIDS, Pneumocystis Carinii Pneumonia, Pulmonary Tuberculosis, Drug Hypersensitivity Reactions
© 2020 The Authors. Published by Innovare Academic Sciences Pvt Ltd. This is an open access article under the CC BY license (http://creativecommons.org/licenses/by/4.0/)
DOI: http://dx.doi.org/10.22159/ijpps.2020v12i5.37247. Journal homepage: https://innovareacademics.in/journals/index.php/ijpps
Acquired Immunodeficiency Syndrome (AIDS) is a syndrome caused by the Human Immunodeficiency Virus (HIV) infection. Cluster of Differentiation (CD)-4 lymphocytes, which plays an important role in the immune system is the main target of HIV infection [1-3].
PCP is an OI caused by Pneumocystis jirovecii, well-known as a major clinical manifestation of PLWHA defining diseases [4-6]. After the HIV pandemic, PCP and PTB became 2 of the frequent etiologic agents of OI associated with AIDS. The concurrent PCP and PTB are still as major causes of morbidity and mortality in PLWHA [7-9]. HIV infection causes immune deficiency, also leads to disregulation of the immune system, which increases DHR risk [10]. DHR in HIV infected patients often occurs; the previous study found to occur 100 times more frequently than non-HIV patients [11]. In the case with DHR, which is unpredictable, the therapeutic approach is Rapid Desensitization [12-14].
We report a complicated case,a female 26 y-old, who was confirmed AIDS on HAART, PTB on treatment, also with the history of DHR (rifampycin, ciprofloxacin, cotrimoxazole), and developed PCP.
A female patient, 26 y-old, came to Emergency Unit at General Hospital in Denpasar, Bali, Indonesia with shortness of breath (fig. 1).

Fig. 1: The patient
Shortness of breath felt since 7 d before admission. Shortness of breath was not influenced by the positional changes and activity. At the last 3 d admissions the shortness of breath was getting worse, she got a sleep disturbance. Patient also with productive cough, yellow mucus, without blood. She also complained chest pain when coughing. Fever since 7 d before admission, loss of appetite 3 d before admission. No history of asthma, no history of smoking. The patient was confirmed with HIV infection previously with CD4 lymphocyte count 13 sel/µl and has been taking HAART routinely. The HAART regimens were Tenofovir (TDF), Lamivudin (3TC) and Efavirenz (EFV). She also confirmed with PTB, took ATD, but she was hypersensitive to ATD, so the ATD was stopped. The ATD provocation test was performed with the conclusion hypersensitive to Rifampicin. Therefore ATD was continued by Rifampycin 450 mg oral Rapid Desensitization protocols, but there was an anaphylactic reaction to Rifampicin and therefore, the ATD was continued without giving Rimfapycin. She also has a history of DHR to Cotrimoxazole and Ciprofloxacin. In her family, there is no history of drug hypersensitivity. The social status; she is a laboratory worker and she has some sexual partner.
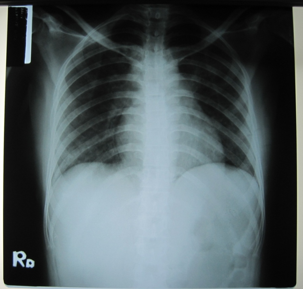
The patient showed seriously ill, dyspnoe/chest discomfort, compos mentis, blood pressure 100/60 mmHg, pulse rate 104 x/minute regularly, respiratory rate 26 x/menit, 37.5 °C axillar temperature. On the Eye, Ear, Nose and Troat there were no abnormalities found, no Lymph node enlargment, no oral candidiasis and no cardiac abnormality. On the chest auscultation, we found bronchovesicular breath sounds; additional sound was rales at the left and right lungs, no wheezing. The Chest X-Ray impression: bilateral bronchopneumonia (fig. 2).

Fig. 2: Chest radiograph (Chest X-Ray)
The laboratory results: CBC; WBC 14,2 x 103/µl, neutrophil 11,0 x 103/µl (77.3%), lymphocyte 2,1 x 103/µl (14.1%), monocyte 1 x 103/µl (7.1%), eosinophyl 0.1 x 103/µl (0.8%), basophyl 0,0 x 103/µl (0,2%), haemoglobine 11.9 g/dL, MCV 83.6 fL, MCH 28.2 pg, HCT 35.5%, PLT 351 K/µl. Blood Chemistry: liver and renal function within normal limits, On the Blood Gas Analysis; hypoxemia (pH: 7,42; pCO2: 39 mmHg; pO2 80 mmHg; HCO3: 25,3 mmol/l; BE 0,8 mmol/l; SO2 99%), Na 132 mmol/l; K: 3.2 mmol/l.
Finally, the diagnosis was HIV infected patient (WHO stage IV) on HAART. She was also diagnosed with PTB concurrent with PCP. This patient had a history of DHR. Initial treatment was giving high calorie and high protein diet, isotonic infusion fluid, oxygen, 500 mg paracetamol tablet 3 time a day, bromhexin syrup 3xC1, 40 mg prednisone tablet 2 time a day, HAART (TDF/3TC/EFV).
For PCP with Cotrimoxazole hypersensitive (Anaphylactic reaction) treated by giving an alternative antibiotic orally: 600 mg Clindamycin 4 time a day, 15 mg primaquin once a day. for 21 d with following Desensitization Protocols. Clindamycin with total dose 2,400 mg a day with the initial dose 1/48 of 2,400 mg (50 mg) and primaquine 15 mg a day with the initial dose 1/10 of 15 mg (1,5 mg). The Drug Provocation Test was followed by observation for 6 h as awareness to the drug hypersensitivity risk. There was no drug hypersensitivity reaction on the first and the second-day clindamycin oral provocation test (table 1).
Table 1: Clindamycin oral provocation test (First and second day) [12]
| Step | Time (min) | Cumulative time (min) | Drug concentration | Dose (mg) | Cumulative dose (mg) |
| 1 | 0 | 0 | 1/48 | 50 | 50 |
| 2 | 30 | 30 | 2/48 | 100 | 150 |
| 3 | 30 | 60 | 4/48 | 200 | 350 |
| 4 | 30 | 90 | 8/48 | 400 | 750 |
| 5 | 30 | 120 | 16/48 | 800 | 1,550 |
| 6 | 30 | 150 | 17/48 | 850 | 2,400 |
On the third day treatment (Clindamycin Rapid Desensitization Protocols), at the step-4, cumulative time: 90 minutes, drug concentration 8/48, dose: 400 mg (Threshold dose) and cumulative dose: 750 mg, the patient complained a skin rash, itching.
Table 2: Clindamycin oral provocation test (Third day) [12]
| Step | Time (min) | Cumulative time (min) | Drug concentration | Dose (mg) | Cumulative dose (mg) |
| 1 | 0 | 0 | 1/48 | 50 | 50 |
| 2 | 30 | 30 | 2/48 | 100 | 150 |
| 3 | 30 | 60 | 4/48 | 200 | 350 |
| 4* | 30 | 90 | 8/48 | 400 | 750 (DHR+) |
| 5 | 30 | 120 | 6/48 | 300 | 1,050 |
6 7 8 9 10 |
30 30 30 30 30 |
150 180 210 240 270 |
6/48 6/48 6/48 6/48 3/48 |
300 300 300 300 150 |
1,350 1,650 1,950 2,250 2,400 |
*DHR= Drug Hypersensitivity Reactions, Under threshold dose estimation was 300 mg
The estimation of safe and optimal under-threshold dose was 300 mg Clindamycin orally each 30 min until the usual daily dose was reached.
In general inspection, she appeared fatigue, compos mentis, blood pressure 110/70 mm Hg, pulse rate 96 x/min regularly, respiratory rate 22 x/min. The conclusion; DHR to clindamycin and she was treated by diphenhydramine 10 mg injection intramuscular, methylprednisolone 125 mg injection intravenous. In a few minutes after treatment, the patient's condition was getting better.
The therapy was continued by modifaid dose (the estimation of the safe and optimal under-threshold dose was 300 mg Clindamycin), each 30 min of drug concentration 6/48 until the usual daily dose (2,400 mg clindamycin) was reached (table 3).
Table 3: Clindamycin treatment orally with rapid desensitization protocols (by modifaid dose under-threshold): 300 mg (Fourth day until 21 d) [12]
| Step | Time (min) | Cumulative time (min) | Drug concentration | Dose (mg) | Cumulative dose (mg) |
| 1 | 0 | 0 | 6/48 | 300 | 300 |
| 2 | 30 | 30 | 6/48 | 300 | 600 |
| 3 | 30 | 60 | 6/48 | 300 | 900 |
| 4 | 30 | 90 | 6/48 | 300 | 1,200 |
| 5 | 30 | 120 | 6/48 | 300 | 1,500 |
| 6 | 30 | 150 | 6/48 | 300 | 1,800 |
| 7 | 30 | 180 | 6/48 | 300 | 2,100 |
| 8 | 30 | 210 | 6/48 | 300 | 2,400 |
There was no DHR to Clindamycin by giving a modified dose (the estimation of safe and optimal under-threshold dose: 300 mg) each 30 min until the usual daily dose was reached.
On the fourth day treatment, the Clindamycin using dose 300 mg (6/48) every 30 min until the usual daily dose was reached. It was continued for 21 d with some suggestions to be aware of DHR risk. Primaquine Oral Provocation Test for 21 d (table 4).
There was no DHR on the Primaquin Provocation Tests, therefore no primaquine modified dose.
After 2 w follow up, the patient was getting better. The final regimen was Clindamycin 300 mg every 30 min until the usual daily dose was reached (Rapid Desensitization Protocols) and Primaquin 15 mg once daily was continued as an outpatient until 21 d, with some suggestions to be aware of DHR risk.
Table 4: Primaquin oral provocation test [12]
| Step | Time (min) | Cumulative time (min) | Drug concentration | Dose (mg) | Cumulative dose (mg) |
| 1 | 0 | 0 | 1/10 | 1.5 | 1.5 |
| 2 | 30 | 30 | 2/10 | 3 | 4.5 |
| 3 | 60 | 90 | 3/10 | 4.5 | 9 |
| 4 | 90 | 180 | 4/10 | 6 | 15 |
The immune system can control in the early of the HIV infection, but occurred disruption of homeostasis and the function of other cells in the immune system in the advanced condition. Immune deficiency caused by the decreased number of CD4 lymphocytes causes opportunistic infections (OI). Pneumocystis Carinii Pneumonia (PCP) is one of the most frequent OI that might occur in immunocompromised patients, especially in people living with HIV/AIDS (PLWHA) with a CD4 lymphocyte counts less than 200 cells/µL [15, 16].
Th-1 and Th-2 CD4 lymphocytes are two subset of (CD)-4 lymphocytes (T helper/Th), that are differentiated by the release of cytokines. Th-1 cells produce interferon-gamma (IFN-γ) and interleukin (IL)-2 these are the important mediators of cellular immune response. In the other hands Th-2 cells release IL-4, IL-5, IL-6 and IL-10 (the humoral immune respon) that helps B cell lymphocytes release antibodies. HIV infection besides causes the immune deficiency, also leads to dysregulation of the immune system, the cytokines produced by Th-2 (IL-4) increases while the cytokines produced by Th-1 (IL-2) decreases. It supports the shift from predominance Th-1 to Th-2, which is caused by the increasing of hypersensitivity risk [13, 17, 18]. Other OI such Tuberculosis is also commonly found. Drugs Hypersensitivity Reactions (DHR) is hyperresponsiveness to the metabolites of drug based on immunological reactions [19, 20]. DHR is an adverse effect of drugs, and the mechanism may be mediated by T-lymphocytes or immunoglobulin [13, 21, 22].
The risk of DHR in PLWHA is increasing. It as an important cause of morbidity in PLWHA who takes multi medication regimens. The diagnosis and therapy of DHR in PLWHA are essential to reach the optimal HIV infection outcome and to increase the quality of life. The discussion on this case focuses on the DHR [21, 23, 24].
We report a complicated case, a female 26 y, people living with HIV/AIDS (PLWHA) on HAART, PTB on TB treatment (ATD), suspected PCP, with experienced DHR to some antibiotics and ATD. A susceptibility to experience DHR began to occur after the appearance of symptom immunodeficiency. Previous study found that cotrimoxazole hypersensitivity reaction occured about 60% in PLWHA and 5% in immunocompetent. Introducing ATD such as isoniazid, pyrazinamide and rifampicin in PLWHA would be at risk of hypersensitivity reaction 20 times more often than those who non HIV infected. The drugs which were reported hypersensitivity reactions in PLWHA were cotrimoxazole, penicillin, antiretroviral, antituberculosis, anticonvulsants, and non-steroidal anti-inflammatory drugs (NSAIDs) [11, 25, 26].
The dysregulation of the immune system caused by the predominace Th1 to Th2 which is followed by the cytokine profile likely plays a role besides other factors, such as oxidative stress, hyperactivation of the immune system, changes in drug metabolism, genetic susceptibility are suspected to contribute to the mechanism [11, 27, 28].
In this case, the patient has a hypersensitive reaction when consuming ATD, a skin rash and itching over all the body. The conclusion of ATD provocation test is anaphylactic reaction to Rifampycin, therefore the ATD is continued without giving Rifampycin. The case also with PCP and has history anaphylactic reaction to Cotrimoxazole. The management in the event of hypersensitivity reactions to drug in PLWHA is discontinued or to avoid drugs trigger hypersensitivity reactions and to replace other drugs with the same therapeutic purpose. Rapid desensitization is the recommended therapeutic approach, with the main purpose for the underlying disease in hypersensitivity reactions will disappear along with the recovery of the immune system [29-31].
We reported a case, a female 26 y old, Balinese with HIV infected patient (WHO stage IV) on HAART, Pulmonary Tuberculosis on Treatment, Pneumocystis Carnii Pneumonia and drug hyper-sensivity to Cotrimoxazole, Cyprofloxacine and Clindamycin. Rapid Desensitization is the therapeutic approach protocols, with the aim essentially for the underlying disease in which hypersensitivity reactions will disappear along with the improvement of the immune system.
The author would like to thank to the patient and her family for the cooperation and also to thank to all of the staffs who support during preparing of this case report.
Nil
All authors contributed equally
Declared none
Singh A. Acquired immunodeficiency syndrome (AIDS): a review. Pharma Tutor 2016;4:29-32.
Caceres NDA, Viera MMC, Vieira IF, Monteleone VF, Neto LJM, Bonafe S. Opportunistic infections in AIDS patients. Int Med J 2015;7:1-17.
Asma HS, Mustafa M, Chan YY, Zaidah AR, Nurhaslindawati AR, Sarimah A, et al. Pneumocystis pneumonia among HIV patients in malaysia. Southeast Asian J Trop Public Health 2009;40:1293-7.
Lee N, Lawrence D, Pate B, Ledot S. HIV-related pneumocystis jirovecii pneumonia managed with caspofungin and veno-venous extracorporeal membrane oxygenation rescue therapy. Br Med J Case Rep 2017. Doi:10.1136/bcr-2017-221214.
Ngwenya S. Pnejmocystis carinii pneumonia; last lives in pregnancy: chemoprophylaxis saves lives. Pulm Res Respir Med Open J 2016;3:41-4.
Yanagisawa K, Nojima Y. HIV and pneumocystis pneumonia (PCP): an up to date. J Infect Dis Ther 2015;3:1-2.
Unprasert P, Permpalung N, Srivali N, Bischof EF, Edmonds LC. Pneumocystis pneumonia during primary HIV infection: a case report and review of the literature. J Infect Chemother 2013. Doi:10.1007/s10156-013-0568-y.
Janmeja AK, Mohapatra PR, Shivaprakash MR, Khurana A, Aggarwal D. Concurrent Infection of pneumocystis pneumonia and pulmonary tuberculosis in an HIV-seronegative patient. Indian J Chest Dis Allied Sci 2008;50:369-71.
Castro JG, Manzi G, Espinoza L, Campos M, Boulanger C. Concurrent PCP and TB pneumonia in HIV infected patients. Scand J Infect Dis 2007;39:1054-8.
Scherer K, Brockow K, Aberer W, Gooi JH, Demoly P, Romano A, et al. Desensitization in delayed drug hypersensitivity reactions-an EAACI position paper of the drug allergy interest group. Allergy 2013;68:844-52.
Minhajat R, Djaharuddin I, Halim R, Benyamin AF, Bakri S. Drugs hypersensitivity reaction in patients with human immunodeficiency virus (HIV) infection. J Allergy Ther 2017;8:1.
Macy E, Romano A, Khan D. Practical management of antibiotic hypersensitivity in 2017. J Allergy Clin Immunol Pract 2017;5:577-86.
Sanchez LDLV, Alenazy LA, Neuer MG, Castells MC. Drug hypersensitivity and desentizations: mechanisms and new approaches. Int J Mol Sci 2017;18:1316. Doi:10.3390/ijms18061316.
Benito N, Moreno A, Miro JM, Torres A. Pulmonary infections in HIV-infected patients: an update in the 21st century. Eur Respir J 2012;39:730-45.
Monteiro MLR, Rocha LP, Silva ACSD, Pereira LHM, Silva MVC, Correa RRM, et al. Pulmonary coinfection by pneumocystis jiroveci, cryptococcus neoformans and cytomegalovirus in HIV patient without antiretroviral treatment. Rev Patol Trop 2018;47:199-206.
Gigliotti F, Wright TW. Immunopathogenesis of pneumocystis carinii pneumonia. Expert Rev 2005;7:1-16.
Pate MB, Smith JK, Chi DS, Krishnaswamy G. Regulation and dysregulation of immunoglobulin E: a molecular and clinical perspective. Clin Mol Allergy 2010;8:1-13.
Sumintarti, Ruslin M, Yusuf H. Oral hairy leukoplakia manifestations related to CD4 count in HIV/AIDS patients at Dr Wahidin Sudirohusodo hospital. Int J Appl Pharm 2019;11:57-9.
Ide H, Yamaji Y, Tobino K, Okahisa M, Murakami K, Goto Y, et al. Pneumocystis jirovecii pneumonia in an immunocompetent Japanese man: a case report and literatire review. Case Report Pulmonol 2019. Doi:10.1155/2019/3981681.
Castro JG, Bryant MM. Management of pneumocystis jirovecii pneumonia in HIV infected patients: current options, challenges and future directions. HIV/AIDS Res Palliative Care 2010;2:123-34.
Schrijvers R, Gilissen L, Chiriac AM, Demoly P. Pathogenesis and diagnosis of delayed-type drug hypersensitivity reactions, from bedside to bench and back. Clin Trans Allergy 2015;5:31.
Messad D, Sahla H, Benahmed S, Godard P, Bousquet J, Demoly P. Drug provocation test in patients with a history suggesting an immediate drug hypersensitivity. Ann Intern Med 2004;140:1001-6.
Huang L, Cattamanchi A, Davis L, den Boon S, Kovacs J, Meshnick S, et al. HIV-associated pneumocystis pneumonia. Proc Am Thorac Soc 2011;8:294-300.
Davis CM, Shearer WT. Diagnosis and management of HIV drug hypersensitivity. J Allergy Clin Immunol 2008;121:826-32.
Thong BY. Clinical applications of drug desensitization in the Asia Pasific region. Asia Pasific Allergy 2011;1:2-11.
Cernadas JR, Brockow K, Romano A, Aberer W, Torres MJ, Bircher A, et al. General considerations on rapid desensitization for drug hypersensitivity–a consensus statement. Allergy 2010. Doi:10.1111/j.1398-9995.2010.02441.x
Rial Prado MJ, Rico DMA, Cosgaya CA, Cuesta HJ. A new rush schedule for cotrimoxazole desensitization: a report of 2 cases. J Investig ALlergol Clin Immunol 2018;28:267-9.
Groot HD, Mulder WMC, Tereehorst I. Utility of desensitization for allergy to antibiotics. Neth J Med 2012;70:58-62.
Tamay Z, Gokcay G, Dilek F, Balci MC, Ozeeker D, Demirkol M, et al. Rapid desensitization for immediate hypersensitivity to galsulfase therapy in patients with MPS VI. JIMD Reports 2016. Doi:10.107/8904_2016_542.
Riedla MA, Casillas AM. Adverse drug reactions: types and treatment options. Am Fam Physician 2003;68:1781-90.
Absar M, Daneshvar H, Beall G. Desensitization to trimethoprim/sulfamethoxazole in HIV-infected patients. J Allergy Clin Immunol 1994;93:1001-5.