Department of Pharmacy, Sumandeep Vidyapeeth, Piparia, Vadodara 391760, Gujarat, India.
Email: rajpharma2007@gmail.com
Received: 03 Nov 2014 Revised and Accepted: 31 Nov 2014
ABSTRACT
Objectives: This study was aimed to investigate the effect of coenzyme Q10 and its combination with rosuvastatin on STZ-nicotinamide induced diabetic neuropathy.
Methods: Diabetic neuropathy in rats were induced with streptozotocin-nicotinamide. The diabetic rats were treated with coenzyme Q10 or rosuvastatin or their combination. Various parameters like muscular grip strength, paw withdrawal response, tail flick response and markers of oxidative stress such as malondialdehyde (MDA) level, superoxide dismutase (SOD) and reduced glutathione (GSH) in the sciatic nerve were measured. All treated animal was subjected to histopathological changes of sciatica nerve.
Results: In diabetic control group, muscular grip strength was significantly decreased and increased paw withdrawal response, tail flick response as compared to normal control rats. In addition, STZ-nicotinamide caused nerve cell damage with a higher MDA level, depletion of SOD and GSH level along with marked degeneration of the nerve cell. The treatment of diabetic rats with coenzyme Q10 or rosuvastatin or their combination ameliorate STZ-nicotinamide induced nerve damage due to improvement in the muscular grip strength, paw withdrawal response, tail flick response, reduction in oxidative stress along with histopathological changes.
Conclusion: This finding suggests that treatment with coenzyme Q10 or rosuvastatin showed significant neuroprotective effect against STZ-nicotinamide induced diabetic neuropathy. However, concomitant administration of both showed a better neuroprotective effect than coenzyme Q10 or rosuvastatin alone treatment.
Keywords: Diabetic neuropathy, Coenzyme Q10, Rosuvastatin, Muscular grip strength, Oxidative stress.
INTRODUCTION
Diabetic neuropathy is most common long-term complications of diabetes affecting 50% of the patient worldwide [1–3]. Diabetic nephropathy occurs as a result of damage to the nervous system due to persistent hyperglycemia can affect many parts of the body. The symptoms of diabetic neuropathy include pain, numbness, tingling. Neuropathic pain is usually considered to be one of the most upsetting complications affecting diabetic patients [4,5]. Current treatment for neuropathic pain includes antidepressant (duloxetine, citalopram, venlafaxine), anticonvusants (pregabalin, gabapentin, carbamazepine) and opioid and opioid-like drugs (tramadol, oxycodone). Pain relief with existing therapy is associated with many side effects [6-8]. It was previously reported that persistent and chronic hyperglycemia responsible for generation of reactive oxygen species and yield in the oxidative stress due to depletion of antioxidant defense system and damage to the peripheral neurons [9-11].
Coenzyme Q10 or ubiquinone has a potent antioxidant, scavenging free radicals and antidiabetic effect [12-14]. The 3-hydroxy-3-methylgluraryl-coenzyme A (HMG-CoA) reductase inhibitors (statins) have pleiotropic effects on cerebrovascular, cardiovascular, and micro-vascular diseases independent of their cholesterol-lowering effect [15].
Therefore, it was thought to combine antioxidant like coenzyme Q10 and rosuvastatin to study their neuroprotective effect in experimentally induced neuropathy. Hence, the present study was aimed to investigate the protective effect of coenzyme Q10 alone and its combination with rosuvastatin on STZ-nicotinamide induced diabetic neuropathy.
MATERIALS AND METHODS
Drugs and chemicals
Rosuvastatin and coenzyme Q10 were obtained from Zydus Cadila, Ahmedabad, India. Streptozotocin and nicotinamide were purchased from Himedia (Mumbai, India). All other chemicals and reagents used in the study were of analytical grade.
Experimental animals
The experimental protocol in the present study was approved by the Institutional Animal Ethics Committee (IAEC) and the Committee for the Purpose of Control and Supervision of Experiments on Animals (CPCSEA). The experiment was carried out on healthy adult Wistar rats weighing 200-250 g of either sex. Rats were housed in polypropylene cages, maintained under standardized condition (12-h light/dark cycle, 24°C, 35 to 60% humidity) and allowed free access to diet (Nav Maharashtra Oil Mills Pvt. Ltd., Pune) and purified drinking water ad libitium.
Induction of diabetic neuropathy
Type 2 diabetes was induced in overnight fasted adult albino Wistar rats (200-250g) by a single intraperitoneal (i. p.) Injection of 65 mg/kg streptozotocin (dissolved in citrate buffer, pH 4.5), followed by the i. p. administration of 110 mg/kg of nicotinamide (dissolved in normal saline) [16]. Hyperglycemia was confirmed by elevated blood glucose levels at 72 h and then on day 7 after injection. Those animals with fasting blood glucose level greater than 200 mg/dl were considered as diabetic and were used for diabetic neuropathy studies.
Experimental design
Diabetic rats were randomly divided into five groups each consisting of six animals.
Group I: Normal control rats (distilled water10 ml/kg, p. o.).
Group II: Diabetic control rats.
Group III: Diabetic rats treated with 10 mg/kg coenzyme Q10 (1% aqueous solution of Tween 80, p. o.) [17].
Group IV: Diabetic rats treated with rosuvastatin (10 mg/kg, p. o) [18].
Group V: Diabetic rats treated with the combination of coenzyme Q10 and rosuvastatin.
All the aforementioned treatments were started one week (7 days) after injection of streptozotocin-nicotinamide and treatments continued for 42 days.
At the end of experiments, muscle grip strength was evaluated using the Rota-rod apparatus. The test was used to evaluate muscle strength in rodents. The apparatus consists of 3 cm diameter horizontal metal rod coated with rubber and attached to motor with speed adjusted to 25 rpm/min. the rod is 92 cm in length and is divided into six compartments, thereby allowing simultaneous testing of six rats. Only those animals which showed the ability to remain on the rotating rod for at least 1 min were used for the test. The fall off time was measured. This can be read from the timer which was stopped by the fall of an animal.
The sensory function was evaluated by hot plate test and hot immersion test. The hot plate test and hot immersion test were carried out according to the previous method described by Eddy’s et al. and Sharma et al, respectively [19,20]. In hot plate test, animals were placed on hot plates maintained at 55±1°C, withdrawal response was measured. The cut-off time for hot plate test was 10 s. In hot immersion test, the tail of the rat was immersed in hot water maintained 55±1°C, tail flick responses (tail withdrawal response) were observed. The cut-off time 15 s.
Estimation of biomarkers of oxidative stress
Sciatic nerve was removed and kept in cold conditions. The tissues were cross chopped with surgical scalpel into fine slices in chilled 0.25 M sucrose, quickly blotted on a filter paper. They were minced and homogenized in 10 mM Tris-HCl buffer, pH 7.4 (10 %w/v) with 25 strokes of tight Teflon pestle of glass homogenizer at a speed of 10,000 ×g at 0 C using the Remi cooling centrifuge. The clear supernatant obtained was used for assay of lipid peroxidation (MDA content), endogenous antiperoxidative enzymes such as superoxide dismutase (SOD) and GSH. Lipid peroxidation or malondialdehyde (MDA) formation was estimated by the method of Slater and Sawyer [21]. SOD was determined by the method of Mishra and Fridovich [22]. GSH was determined by the method of Moron and Depierre [23].
Histopathology
After sacrifice, Sciatic nerve tissues of each group were rapidly dissected out and washed immediately with saline and fixed in 10% phosphate buffered formalin. Paraffin-embedded specimens were cut into 5 μm-thick sections and stained with hematoxylin and eosin (H&E). The sections were examined under the light microscope (Olympus BX10, Tokyo, Japan) for the presence of histopathological changes and photomicrographs (Olympus DP12 camera, Japan) were taken. The observer performing histopathological evaluation was blinded to the animal treatment group.
Statistical Analysis
All of the data are expressed as mean ± SEM. Statistical significance between more than two groups was tested using one-way ANOVA followed by Bonferroni multiple comparisons test or unpaired two-tailed student’s t-test as appropriate using computer based fitting program (Prism, Graphpad). The significance level was set at P < 0.05 for all tests.
RESULTS
Effect of coenzyme Q10, rosuvastatin or combination of both on muscular grip strength, paw withdrawal response and tail flick response
Measurement of muscular grip strength was used to evaluate diabetic neuropathy after streptozotocin-nicotinamide injection. In diabetic control group, muscular grip strength was significantly (P < 0.001) decreased as compared to normal control rats. The treatment of diabetic rats with coenzyme Q10 or rosuvastatin or their combination showed a significant (P < 0.01; P < 0.05; P < 0.001) increase in muscular grip strength as compared to diabetic control rats. On the other hand, co-administration of coenzyme and rosuvastatin showed a significant (P < 0.05) increase in muscular grip strength than when coenzyme Q10 or rosuvastatin administered singly (fig. 1A).
In diabetic rats, there was a significant (P < 0.001) increase in paw withdrawal response and tail flick response as compared to normal control rats showing significant nerve damage in diabetic animals. The treatment of diabetic rats with coenzyme Q10 or rosuvastatin or coenzyme Q10 + rosuvastatin showed a significant decrease in paw withdrawal response (P < 0.001; P < 0.01; P < 0.001) and tail flick response (P < 0.01; P < 0.01; P < 0.001) as compared to diabetic control rats. Moreover, treatment with coenzyme Q10 + rosuvastatin did not show any significant alterations in paw withdrawal response as compared to mono-therapy (coenzyme Q10 or rosuvastatin) (fig. 1B-C).

Fig. 1: Effect of coenzyme Q10, rosuvastatin or combination of both on (A) Muscular grip strength (B) Paw withdrawal response (C) Tail flick response
Values are expressed as mean ± SEM ; n=6, a vs.b, ### P< 0.001; b vs. c, b vs. d, b vs. e, *P < 0.05; **P < 0.01; ***P < 0.001, c vs. e,^P < 0.05; d vs. e, !P < 0.05.
Effect of coenzyme Q10, rosuvastatin or combination of both on markers of oxidative stress in sciatic nerve tissue
The content of MDA, end product of lipid peroxidation and marker of oxidative stress was significantly (P < 0.001) increased in sciatic nerve tissue of diabetic control rats as compared to non diabetic rats after six weeks of study. There was a significant (P < 0.001) decrease in the levels of GSH, an endogenous antioxidant and antiperoxidative enzymes (SOD) in sciatic nerve tissue as compared to normal control group.
The treatment of diabetic rats with coenzyme Q10 or rosuvastatin or their combination showed a significant decrease in the levels of MDA (P < 0.01; P < 0.01 and P < 0.001) and increase GSH (P < 0.001), SOD (P < 0.01; P < 0.05 and P < 0.001) as compared to diabetic control rats (fig. 2A-C).
Histopathological studies
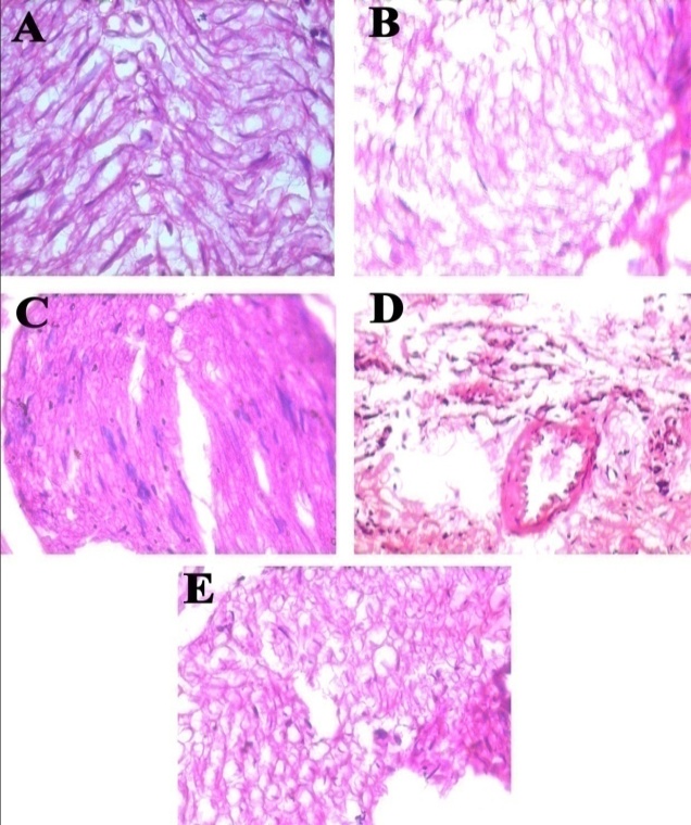
Histopathology of sciatic nerve in normal control rats showed normal structure, while sciatica nerve revealed that the nerve cells of the diabetic control rats showed marked degenerations. However, the treatment with coenzyme Q10, rosuvastatin or combination of both showed a significant increase in tissue regeneration capacity. In contrast, co-administration of coenzyme Q10 and rosuvastatin showed more tissue regeneration capacity when compared to diabetic control group as well as mono-therapy (coenzyme Q10 or rosuvastatin) (fig. 3).

Fig. 2: Effect of coenzyme Q10, rosuvastatin or combination of both on (A) MDA (B) SOD (C) GSH in sciatic nerve
Values are expressed as mean ± SEM ; n=6, a vs.b, ### P< 0.001; b vs. c, b vs. d, b vs. e, *P < 0.05; **P < 0.01; ***P < 0.001.

Fig. 3: Light microscopy of sciatic nerve from rats (A) Control group, (B) Diabetic control group, (C) Coenzyme Q10 (D) Rosuvastatin (E) Coenzyme Q10 + Rosuvastatin
DISCUSSION
It was previously reported that streptozotocin is most commonly used to induce diabetes in experimental animals and administration of streptozotocin-nicotinamide caused diabetic neuropathy [24,25]. Development of diabetic neuropathy was evident from alteration in muscle grip strength, nociception (paw withdrawal and tail flick response) and biochemical changes including oxidative stress. In the present study, it was shown that after six weeks of streptozotocin-nicotinamide treatment, muscular grip strength in diabetic rats was found to be reduced as compared to normal control rats. Nociception was evaluated by increased in paw withdrawal response and tail flick response (hyperalgesia). These results are in accordance with the earlier study in which it was shown that metformin alone produced a beneficial effect on diabetic nephropathy [26-28]. However, the treatment of diabetic rats with coenzyme Q10 or rosuvastatin or their combination showed a significant increase in muscular grip strength as compared to diabetic control rats. On the other hand, co-administration of coenzyme and rosuvastatin showed a significant increase in muscular grip strength than when coenzyme Q10 or rosuvastatin administered singly. Coenzyme Q10 or rosuvastatin or coenzyme Q10 + rosuvastatin treated rats showed a significant decrease in paw withdrawal response and tail flick response when compared to diabetic control rats. In this study, there was a significant increase MDA level and decrease in the level of GSH, an endogenous antioxidant and antiperoxidative enzymes (SOD) in the untreated diabetic rat sciatic nerve. Thus, it was concluded that the elevated level of MDA might be responsible for the decrease in enzymatic and non-enzymatic antioxidant of defense systems in diabetic rats. Similarly, in an earlier study, it was shown that increased MDA level and depletion of GSH and SOD have been found in sciatic nerve of diabetic rats [29-31]. In our study, it was shown that treatment with coenzyme Q10 or rosuvastatin or their combination prevented the increased in the levels of MDA and decreased GSH, SOD in sciatic nerve. Histopathological study of sciatic nerve of rats in diabetic group showed a significant degeneration of nerve tissue, while combined treatment of coenzyme Q10 and rosuvastatin showed normal sciatic nerve growth.
CONCLUSION
These results indicate that treatment with coenzyme Q10 or rosuvastatin showed significant neuroprotective effect against STZ-nicotinamide induced diabetic nephropathy. However, concomitant administration of both showed a better neuroprotective effect than coenzyme Q10 or rosuvastatin alone treatment by virtue of amelioration of lipid peroxidation as well as due to improvement in muscular grip strength, paw withdrawal response and tail flick response along with histopathological changes. Finally, it was concluded that adjuvant therapy of coenzyme Q10 with antidiabetic drug might prevent or delay the diabetic neuropathy.
CONFLICTING INTEREST
The Author(s) declare(s) that they have no conflicts of interest to disclose
REFERENCES