
1Department of Pharmacology, KLE College of Pharmacy, Bengaluru, Karnataka, India
Email: yuvrajsurana@gmail.com
Received: 23 Apr 2020, Revised and Accepted: 12 Jun 2020
ABSTRACT
Objective: To evaluate the synergistic protective effect of Momordica charantia and Phyllanthus amarus combination (MC+PA) of doses 200 and 400 mg/kg on the liver in different experimental models of hepatotoxicity.
Methods: The hepatoprotective activity was evaluated in ethanol and anti-tubercular drugs (isoniazid-INH, rifampicin-RIF) induced hepatotoxicity models. Hepatotoxicity in both models was induced to all groups except the normal control. Intoxicated rats were treated with silymarin and various doses of MC+PA for 8 d in ethanol-induced and 21 d in INH+RIF induced hepatotoxicity models. At the completion of study, the biochemical markers and the anti-oxidant status (SOD and MDA) were measured and also the histopathological evaluation of the liver tissue was carried out.
Results: Combination therapy remarkably reduced the elevated profile of the biochemical markers and thereby improved the anti-oxidant status, thus exhibiting the synergistic hepatoprotective effect when compared with the positive control group (p<0.001). Histopathological evaluation demonstrated that MC+PA decreased the liver damage significantly in comparison with the positive group.
Conclusion: The current work suggests that the combined extract showed synergistic effects on ethanol and anti-tubercular drugs induced hepatotoxicity models by significantly decreasing the liver damage.
Keywords: Hepatoprotective, Hepatotoxicity, Ethanol, INH+RIF, MC+PA
© 2020 The Authors. Published by Innovare Academic Sciences Pvt Ltd. This is an open access article under the CC BY license (http://creativecommons.org/licenses/by/4.0/)
DOI: http://dx.doi.org/10.22159/ijpps.2020v12i8.38020. Journal homepage: https://innovareacademics.in/journals/index.php/ijpps.
Liver is one of the heaviest and largest organ which plays a vital role in metabolism of carbohydrate, fat and protein, involved in the secretion of bile and also detoxifies and excretes xenobiotics and drugs [1]. Since the liver is involved in biotransformation and excretion of the external chemicals, the exposure to these chemicals in significant concentrations may cause to improper functioning and injury to the cell may, which leads to organ failure.
The usual causative agent which causes liver injuries is toxic chemicals, drugs, alcohol consumption and microbial agents [2]. Consumption of alcohol leads to various intra and extrahepatic diseases, metabolic disorders etc., as it gets oxidized to a toxic product called acetaldehyde, which causes alkylation of proteins and increases lipid peroxidation. Alcoholic liver disease is a major problem worldwide and has three main indications in the form of steatosis, hepatitis and cirrhosis [3]. Drug-induced liver injury is the major confront to the industries and RA, as it may be the main clinical problem which leads to liver failure and liver transplantation. An increasing number of acute liver failure cases have been reported every year and the drugs contribute the majority of them (eg: Anti-TB drugs, NSAID’s, Statins, etc) among which the anti-tubercular drugs-induced hepatotoxicity is the commonest, where the incidence of hepatotoxicity is higher (8-10%) in combination therapy of the first-line anti-TB drugs (isoniazid, rifampin) when compared to monotherapy (1-2%) [4].
Even though various synthetic drugs are available in the market to treat hepatic disorders, still there is a need for the development of new drugs to compensate their lack of efficacy and undesirable adverse effects. Hence, phytomedicines has a very crucial role in the treatment of hepatic disorders because of their fewer side effects and synergistic action when given in the form of combination [5]. In this regard, the current investigation involves the use of the combined extract of Momordica charantia [6] (Cucurbitaceeae) and Phyllanthus amarus [7] (Euphorbiaceae). Both the plants contain important phytoconstituents such as alkaloids, flavonoids, polyphenols, etc., and are reported to have anti-oxidant [8], anti-inflammatory [7], hepatoprotective [9] activities etc., Since this particular combination was not tested previously, an effort was made for evaluating the synergistic effect of the combination of plants Momordica charantia and Phyllanthus amarus for hepatoprotective activity on experimentally-induced various models of hepatotoxicity.
Drugs and chemicals
All the chemicals are of AR grade and were procured from SD Fine Chem Ltd., Mumbai. Drugs like isoniazid (Solonex DT), rifampicin (R-Cin 150 mg capsule) and silymarin (Silybon 140 mg) were purchased from the commercial sources. All the drugs were freely soluble in distilled water and were administered orally for experimental purpose.
Plant material
Combination of the extract was obtained as gift sample from Green Chem Herbal Extracts and Formulations, Domlur, Bangalore.
Experimental animals
Healthy male wistar albino rats in the weight range of (150-200g) were procured from Commercial registered breeder for hepatoprotective activity. The experimental protocol was approved by IAEC, of KLE College of Pharmacy, Bengaluru (Ref. no. 02/PA/2018).
Experimental design
Acute oral toxicity study
Acute oral toxicity study for the combined extract was conducted as per OECD TG 425. Healthy male wistar albino rats weighing 150-180g were used. Weighed quantity of stock solution was prepared by dissolving the extract in distilled water. Aqueous combined extract at various doses up to 2000 mg/kg b. w by oral route were administered. Following this, initially, the animals were observed carefully for the first 4 h, and daily thereafter up to 14days for any behavioral changes and mortality [10].
Hepatoprotective activity
Ethanol-induced hepatotoxicity
Healthy wistar albino male rats were chosen and randomly assigned into groups of five, where each group consists of 6 animals (n=6).
Group I: Normal control.
Group II: Positive control (50% ethanol 12 ml/kg b. w, p. o. for 8 d)
Group III: Standard (Silymarin 100 mg/kg b. w, p. o)+Ethanol
Group IV: MC+PA (Dose I 200 mg/kg b. w, p. o)+Ethanol
Group V: MC+PA (Dose II 400 mg/kg b. w, p. o)+Ethanol
Hepatotoxicity was induced by administering ethanol to all groups except group I for 8days. Group III, IV and V animals obtained treatment 2hour prior to the ethanol administration. After the completion of the study on 8thday, 6hr after the last dose was given, blood samples were collected by retro-orbital sinus and then centrifuged for 10 min at 3000 rpm for separating serum, which was used to carry out the biochemical estimations. Following this, the animals were sacrificed by an excess dose of anesthesia and the liver was isolated for histopathological study and to assess the antioxidant activity [11].
Anti-tubercular drugs-induced hepatotoxicity
Healthy wistar albino male rats were chosen and randomly assigned into groups of five, where each group consists of 6 animals (n=6).
Group I: Normal control.
Group II: Positive control (INH+RIF 50 mg/kg b. w each p. o)
Group III: Standard (Silymarin 100 mg/kg b. w, p. o)+(INH+RIF)
Group IV: MC+PA (Dose I 200 mg/kg b. w, p. o)+(INH+RIF)
Group V: MC+PA (Dose II 400 mg/kg b. w, p. o)+(INH+RIF)
Hepatotoxicity was induced by administering INH+RIF to all groups except Group I for 21days. Group III, IV and V animals obtained treatment 1hour prior to the ethanol administration. After the completion of the study on 21st day, 6hr after the last dose was given, samples of blood were collected by retro-orbital sinus and then centrifuged for 10 min at 3000rpm for separating serum which was used to carry out the biochemical estimations. Following this, the animals were sacrificed by an excess dose of anesthesia and liver was isolated for histopathological study and to assess the antioxidant activity [12].
Evaluation of biochemical parameters
The evaluation of biochemical parameters like AST, ALT, ALP, Bilirubin, Urea, Creatinine and Gamma GT in the serum were evaluated by Semi Auto Analyzer (RMS biochemical auto-analyzer Model: BCA 201) using diagnostic kits (Agappe diagnostics, Kerala). Estimation of superoxide dismutase [13] levels and malondialdehyde [14] levels in liver tissue were carried out.
Statistical analysis
Values are expressed as mean±SEM, n=6; Statistical analysis by ANOVA Followed by Dunnett’s posttest using Graph-pad prism. Symbols represent statistical significance: #p<0.05, ##p<0.01, ###p<0.001 when compared to normal. *p<0.05, **p<0.01,***p<0.001 when compared to positive.
Acute toxicity test
Acute oral toxicity for the combined extract was conducted as per OECD TG 425. There was no sign of behavioral changes and mortality and the combination tested was safe up to 2000 mg/kg b.w.
Hepatoprotective activity in ethanol and Anti-tubercular drugs induced hepatotoxicity models
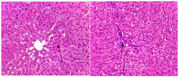
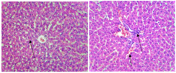
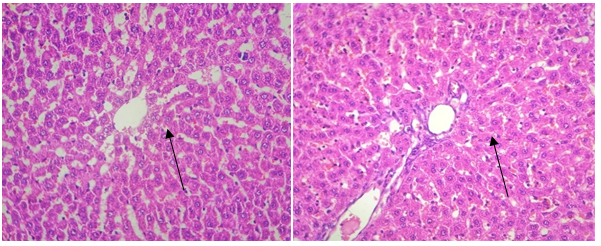
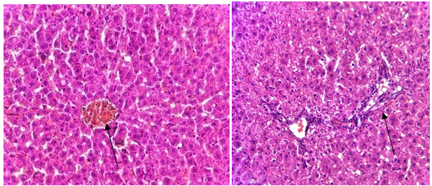
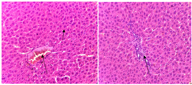
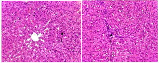
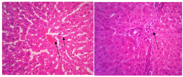
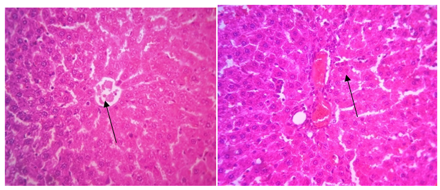
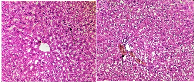
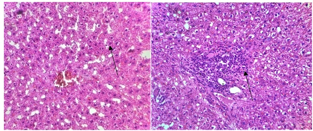
The results of the ethanol-induced hepatotoxicity model are shown in table 1 and 2. Whereas, the results of anti-tubercular drugs-induced (INH+RIF) hepatotoxicity model are represented in table 2 and fig. 1, 2 and 3. Oral administration of hepatotoxic agents like ethanol and INH+RIF showed a remarkable rise in the serum levels of AST, ALT, ALP, GGT, Urea and creatinine (biochemical markers). Whereas pretreatment with Silymarin (100 mg/kg) and MC+PA at various doses of 200 and 400 mg/kg significantly decreased the elevated profile of the serum biochemical markers when compared to positive groups of two models. Anti-oxidant status was measured using liver homogenate in both the models, and there was a significant reduction in SOD activity caused by ethanol and INH+RIF administration when compared with normal, which was enhanced by treating with the combined extract (MC+PA) at both doses and also by silymarin. Further, the hepatic MDA was also elevated significantly in the positive groups of two models. Pre-treatment with MC+PA (200 and 400 mg/kg) and silymarin reduced the elevated concentrations of MDA in comparison with positive groups of two models (table 2). The histopathological results of positive groups of two models revealed mild degenerative changes of perivenular hepatocytes, distorted architecture, centrilobular necrosis and mild inflammatory cell infiltration. Pre-treatment with silymarin and MC+PA of various doses improved the damaged conditions caused due to ethanol and INH+RIF administration (fig. 4 and 5).
Table 1: Effect of MC+PA on serum biochemical markers in Ethanol-induced hepatotoxicity model
| S. No. | Biochemical markers | Treatment groups | ||||
| Normal | Positive (12 ml/kg) | Standard (100 mg/kg) | Dose I (200 mg/kg) | Dose II (400 mg/kg) | ||
| 1 | AST (U/l) | 38.38±2.29 | 87.24±2.54### | 45.65±2.03*** | 54.09±2.34*** | 49.14±3.53*** |
| 2 | ALT (U/l) | 29.08±1.40 | 70.42±5.88### | 44.49±0.74*** | 50.60±1.85** | 47.11±2.06*** |
| 3 | ALP (U/l) | 61.41±3.93 | 115.96±3.97### | 76.24±1.65*** | 86.16±3.99*** | 81.12±5.88*** |
| 4 | GGT (U/l) | 9.64±0.97 | 15.63±1.65## | 11.00±0.49* | 11.58±0.73* | 11.19±0.92* |
| 5 | Bilirubin (mg/dl) | 0.29±0.04 | 2.07±0.38### | 0.51±0.03*** | 1.18±0.17* | 0.81±0.17** |
| 6 | Urea (mg/dl) | 40.41±5.89 | 68.33±4.06### | 50.83±2.10* | 53.33±1.78* | 51.66±6.11* |
| 7 | Creatinine (mg/dl) | 0.79±0.21 | 3.66±0.25### | 1.22±0.35*** | 1.45±0.30*** | 1.36±0.28*** |
Values are expressed as mean±SEM, n=6. #p<0.05, ##p<0.01, ###p<0.001 when compared to normal.*p<0.05, **p<0.01, ***p<0.001 when compared to positive control.
Table 2: Effect of MC+PA on Anti-oxidant status in Ethanol and Anti-tubercular drugs induced hepatotoxicity models
| Normal | Positive | Standard | Dose I | Dose II | ||
| 1. Ethanol-induced hepatotoxicity | a. SOD (U/mg prot) | 17.41±1.17 | 6.39±0.95### | 13.95±1.49*** | 12.54±0.76** | 13.24±1.08*** |
| b. MDA (nmol/mg prot) | 3.74±0.47 | 7.38±1.08## | 3.88±0.42** | 4.91±0.46* | 4.22±0.28** | |
| 2. Anti-tubercular drugs-induced hepatotoxicity | a. SOD (U/mg prot) | 17.41±1.17 | 5.43±0.92### | 13.24±1.61*** | 11.33±0.74** | 11.90±0.89** |
| b. MDA (nmol/mg prot) | 3.74±0.47 | 9.44±1.35### | 4.09±0.33*** | 5.19±0.67** | 4.56±0.55** |
Values are expressed as mean±SEM, n=6. #p<0.05, ##p<0.01, ###p<0.001 when compared to normal.*p<0.05, **p<0.01, ***p<0.001 when compared to positive control.

Fig. 1: Effect of MC+PA on serum AST, ALT, ALP and GGT levels in Anti-tubercular drugs-induced hepatotoxicity model, values are expressed as mean±SEM, n=6. #p<0.05, ##p<0.01, ###p<0.001 when compared to normal.*p<0.05, **p<0.01, ***p<0.001 when compared to positive control

Fig. 2: Effect of MC+PA on serum bilirubin and creatinine levels in Anti-tubercular drugs-induced hepatotoxicity model, values are expressed as mean±SEM, n=6. #p<0.05, ##p<0.01, ###p<0.001 when compared to normal.*p<0.05, **p<0.01, ***p<0.001 when compared to positive control

Fig. 3: Effect of MC+PA on serum Urea levels in Anti-tubercular drugs-induced hepatotoxicity model, values are expressed as mean±SEM, n=6. #p<0.05, ##p<0.01, ###p<0.001 when compared to normal.*p<0.05, **p<0.01, ***p<0.001 when compared to positive control
Normal:

Positive:

Standard:

Dose I:

Dose II:

Fig. 4: Effect of MC+PA on histopathological changes in Ethanol-induced hepatotoxicity model
Normal:

Positive:

Standard:

Dose I:

Dose II:

Fig. 5: Effect of MC+PA on histopathological changes in Anti-tubercular drugs-induced hepatotoxicity model
The present study investigates the use of the combined extract of Momordica charantia and Phyllanthus amarus at different doses to evaluate the synergistic hepatoprotective activity in ethanol and anti-tubercular drugs-induced hepatotoxicity model in rats.
Alcohol was identified as a direct hepatotoxin and metabolism of ethanol in the liver generates a reactive product called acetaldehyde, which is highly toxic even at its low concentrations in the blood which leads to oxidative stress, hypoxia, immunological mechanisms and carcinogenesis. The drug isoniazid reacts with macromolecules to form toxic acetyl-hydrazine and hydrazine. Rifampicin synergistically acts with isoniazid and increases the rate of formation of toxic metabolites leading to liver necrosis. Under liver injury conditions, there is a loss of structural integrity of the hepatocytes where the liver functional markers get released into circulation, which results in an elevation in their levels.
AST and ALT are primarily present in the liver, whereas ALP may be produced from heart, kidney, bone, placenta, liver and intestine. When there is no evidence of bone disease and pregnancyit can be confirmed that the elevation of ALP is due to hepatobiliary disease. Bilirubin is an important indicator of liver function and it can only be confirmed in in vivo models. Elevated profile is seen in the conditions of icterus, hepato-biliary disease, Drug-induced liver injury etc. GGT is an enzyme mainly present in the liver, renal tubules, intestinal cells, etc. and is found to be elevated in individuals with alcohol abuse and hepatobiliary disease.
Elevated concentrations of ALP, GGT and Bilirubin cause hepatobiliary obstruction and leads to alcoholic liver disease. Impairment of liver function lead to an increase in urea and creatinine levels in positive group of both models compared to normal control which is because of the circulatory changes, changes in blood flow and blood vessel tone of the kidney, which demonstrates nephrotoxicity along with hepatotoxicity. This is due to the condition called as Hepato-renal syndrome, which usually develops due to liver cirrhosis, alcoholic hepatitis and fulminant liver failure [15, 16].
This work clearly demonstrates that the MC+PA and the standard Silymarin significantly decreased the elevated profiles of the serum enzymes, bilirubin, thereby improving the hepatobiliary function. And also the levels of urea and creatinine were decreased in comparison with the hepatotoxic group of ethanol and anti-TB drugs-induced hepatotoxicity models by exhibiting the nephroprotective effect along with the hepatoprotective activity.
The damage to the hepatic parenchymal cells due to toxins acting on the liver leads to the formation of reactive oxygen species (ROS) which further leads to oxidative stress. In oxidative stress condition, there is an imbalance between the levels of ROS and intrinsic anti-oxidant enzyme system, which causes oxidation of lipids and proteins, DNA damage, etc. SOD is one of the important antioxidant enzymes which catalyze the dismutation of superoxide radicals to produce H2O2 and molecular oxygen, hence diminishing the toxic effects caused by the radical. Measurement of MDA is an index of lipid peroxidation. Standard and MC+PA (200 and 400 mg/kg) increased the SOD levels and decrease the MDA concentrations thus contributing to its potential antioxidant effect.
The above results were supported by the histopathological changes in liver tissues. The combined extract exhibited a potent hepatoprotective role in a dose-dependent manner by improving the pathological changes caused by ethanol and anti-tubercular drugs. There is a need for further investigations to understand the mechanism of action of the plant extract through which it is exhibiting the hepatoprotective effect. From the above results, it can be concluded that the synergistic effect of the combined extract is may be due to the presence of phytoconstituents like flavonoids, alkaloids, and polyphenols which are highly responsible for exhibiting hepatoprotective and anti-oxidant activities. Hence, this study represents a novel and attractive ideas to prevent the hepatic injury caused due to the consumption of ethanol and the drugs used in anti-tuberculosis treatment.
The authors are thankful to Green Chem Herbal Extracts and Formulations, Domlur, Bangalore.
Nil
Dr. Purnima Ashok: The present work was initiated by the author, Lavanya P: Author has contributed the major experiment part, Hemanth K.: Author has contributed in experiment work, Sandesh KM: Author has contributed in evaluating anti-oxidant activity, Yuvraj Singh Surana: Author has helped in statistical analysis.
The authors declare that they have no conflicts of interest.
Balakrishna V, Lakshmi T. Hepatoprotective activity of ethanolic extract of Terminalia chebula fruit against ethanol-induced hepatotoxicity in rats. Asian J Pharm Clin Res 2017;10:55-8.
Gulati K, Reshi MR, Rai N, Ray A. Hepatotoxicity: its mechanisms, experimental evaluation and protective strategies. Am J Pharmacol 2018;1:1-9.
Harshmohan. Textbook of pathology. 7thedition. Jaypee brother’s medical publishers; 2017. p. 577-623.
Tayal V, Kalra BS, Agarwal S, Khurana N, Gupta U. Hepatoprotective effect of tocopherol against isoniazid and rifampicin induced hepatotoxicity in albino rats. Indian J Exp Biol 2007;45:1031-6.
Samuel AJSJ, Kalusalingam A, Vimala AGKA, Muthumani M. Hepatoprotective activity of extracts of beta vulgaris bulb. Int J Res Ayurveda Pharm 2018;9:71-5.
Gupta M, Sharma S, Gautam AK, Bhadauria. Momordica charantia linn (Karela): Nature’s Silent Healer. Int J Pharm Sci Res 2011;11:32-7.
Meena J, Sharma RA, Rolania R. A review on phytochemical and pharmacological properties of Phyllanthus amarus schum and thonn. Int J Pharm Sci Res 2018;9:1377-86.
Aljohi A, Nasri SM, Ahmed N. Antiglycation and antioxidant properties of Momordica charantia. Plos One 2016;11:1-14.
Zahra K, Malik MA, Mughal NS, Arshad M, Sohail MI. Hepatoprotective role of extracts of Momordica charantia L. in acetaminophen-induced toxicity in rabbits. J Anim Plant Sci 2012;22:273-7.
OECD guidelines for the testing of chemicals, Acute oral toxicity; 2001. p. 1-26
Iqbal SS, Mujahid M, Kashif SM, Khahid M, Badruddeen, Arif M, et al. Protection of hepatotoxicity using Spondias pinnata by prevention of ethanol-induced oxidative stress, DNA-damage and altered biochemical markers in wistar rats. Integr Med Res 2016;5:267-75.
Rao CV, Rawat AKS, Singh AP, Singh A, Verma N. Hepatoprotective potential of ethanolic extract of Ziziphus oenoplia L. Mill roots against anti-tubercular drugs induced hepatotoxicity in experimental models. Asian Pac J Trop Med 2012. p. 283-8.
Kakker P, Das B, Viswanathan PN. A modified spectrophotometric assay of superoxide dismutase. Indian J Biochem Biophys 1984;21:130-2.
Okhawa H, Ohishi N, Yagi K. Assay for lipid peroxides in animal tissues by the thiobarbituric acid reaction. Anal Biochem 1979;95:351-8.
Obogwu MB, Akindele AJ, Adeyemi OO. Hepatoprotective and in vivo antioxidant activities of the hydroethanolic leaf extract of Mucuna pruriens (Fabaceae) in anti-tubercular drugs and alcohol models. Chin J Nat Med 2014;12:273-83.
Francoz C, Glotz D, Moreau R, Durand F. The evaluation of renal function and disease in patients with cirrhosis. J Hepatol 2010;52:605-13.