1Department of Chemistry, University of Burdwan, Burdwan, West Bengal, India, 2Department of Immunoregulation and Immunodiagnostics, Chittaranjan National Cancer Institute, 37, S. P. Mukherjee Road, Kolkata, India, 3Children’s Hospital of Pittsburgh of UPMC, Pittsburgh, PA, USA.
Email: kundup_7@yahoo.co.in
Received: 04 Nov 2014 Revised and Accepted: 30 Nov 2014
ABSTRACT
Objective: Unique immune modulatory function of an aqueous preparation of neem leaf (NLP) in relation to cancer has already been reported. The objective of this present study is to find out the active component present in NLP.
Methods: NLP was exposed to a gradient of temperature, pH and enzymes to use for mice immunization before tumor inoculation. Glycoprotein extracted from NLP was purified and analyzed by using Folin’s phenol reagent, polyacrylamide gel electrophoresis, scanning electron microscopy and amino acid analysis. Carbohydrate moiety of this protein was analysed by GLC-MS. Immunogenicity was checked by ELISA and immunoblotting.
Results: Exposure of NLP to adverse temperature and pH causes significant reduction in tumor growth restricting function of NLP. Treatment of NLP with proteolytic enzymes results abolition of the tumor growth restriction in mice. Biochemical assays indicated the presence of a glycoprotein in NLP, designated as neem leaf glycoprotein (NLGP) which appeared in non-denatured PAGE as a single band, and as three bands in SDS-PAGE having molecular weights 48 Kda, 24 Kda and 15 Kda. NLGP constitutes the carbohydrate moiety of about 33% consisting of arabinose, galactose and glucose. This glycoprotein consisted of seventeen amino acids of which nine were essential. Immunogenecity of this protein was defined by strong reaction of the ant-NLGP sera with NLGP by ELISA and immunoblot.
Conclusion: Overall results demonstrated the immense potential of newly identified NLGP, present in NLP as an immunoprophylactic agent for tumor growth restriction.
Keywords: Neem leaf preparation, Glycoprotein, Immunoprophylaxis, Tumor growth restriction.
INTRODUCTION
Azadirachta indica A. juss (Neem) is well known in India and its neighboring countries for more than 2000 years as one of the most versatile medicinal plant [1]. Various parts of ‘Sarbaroganibarani’ neem (Azadirachta indica) are used to cure different human diseases from the dawn of civilization [2]. However, its recognition is chiefly limited among the poor rural Indians [3]. The International Scientific communities neglected neem for a long time too. In 1992, US National Academy of Science published a report entitled, ‘Neem-a tree for solving global problem’.
Immunoprophylactic function of an aqueous preparation from neem leaf to prevent the growth of murine Ehrlich’s carcinoma and B16 melanoma was already reported [4]. This preparation was designated as neem leaf preparation (NLP), which is nontoxic, hematostimulatory and immunostimulatory [5]. Studies utilizing adoptive cell transfer technology suggest that activation of various immunocompetent cells by neem leaf component may be responsible for tumor growth restriction [6]. NLP also acts as an adjuvant by inducing an active antitumor immunity in the murine model against B16 melanoma surface antigen [7], breast tumor associated antigen [8] and carcinoembryonic antigen [9]. NLP has an instructive role to drive the immune functions towards Th1 bias [8]. Moreover, NLP mediated immune activation protects mice from leukepenia, caused by cyclophosphamide chemotherapy in murine tumor model [10]. NLP stimulated release of cytotoxic factors (IFNγ, IL-12, TNFα) from human peripheral blood mononuclear cells either regulates NK [11] and T cell [12, 13] mediated killing or induces apoptosis to different cancer cells [14,15]. NLP also stimulates the chemotaxis of CXCR3B+ cells to the tumor site by regulating ligand-receptor interaction [16]. So, the active part present in the NLP is found to restrict the growth of cancer and recent studies showed that unlike chemotherapy drugs, this component does not kill tumors but helps increase the proliferation of immune cells that attack cancer cells.
These arrays of immunomodulatory activities of NLP in relation to the inhibition of the tumor growth prompted us to identify the active component in the neem leaf responsible for such functions. In the present study, effort has been given to know the reason of tumor growth restriction in relation to the biochemistry of an active component present in NLP. Accordingly, NLP was exposed to various conditions influencing its biophysical as well as biochemical properties. Based on this information, identification and some chemical studies of the active component are incorporated in the present studies.
MATERIALS AND METHODS
Neem Leaf Preparation (NLP)
NLP was prepared by the method as described earlier [4]. Matured neem leaves of same size and color (indicative of the same age), procured from a standard source were shade-dried to pulverize. Neem powder was soaked overnight in phosphate buffered saline (PBS), pH 7.4 just one day before the experiment. Supernatant was collected by centrifugation at 1500 rpm and was membrane (0.22 µ) filtered for in vivo or in vitro uses. Endotoxin content of the freshly prepared NLP was determined by the Limulus Amebocyte Lysate (LAL) test as per manufacturer’s (Salesworth India, Bangalore) instruction. The endotoxin content of all the batches of NLP was found to be less than 6 pg/ml.
Animals and tumor cells
Female Swiss mice (age, 6-8 weeks, body weight, 24-27 gms) were obtained from Animal Care and Maintenance Department of Chittaranjan National Cancer Institute. Dry pellet diet and water were given ad libitum. Maintenance and treatment of animals were given according to the guidelines established by the Institutional Animal Care and Ethics Committee. Ehrlich’s carcinoma (EC) was maintained in Swiss mice by intra peritoneal passage of viable tumor cells (1×107), as determined by trypan blue dye exclusion assay. These EC cells were used for in vivo tumor development.
Exposure of NLP in different temperature, pH and enzymes
Crude and dialyzed NLP were exposed to different temperatures (100oC for 5 mins, 56oC, 37oC and 0oC for 1h) and phosphate buffers with pH 5.7, 6.2, 7.4 and 8.0 for overnight. NLP was also digested with trypsin (SRL) (20 µg/mg NLP), papain (SRL) (50 µg/mg NLP) and neuraminidase (Sigma) (0.6 U with 2 mM PMSF/mg of NLP) for one hour at 37°C. Trypsin and papain were inactivated by rapid chilling and neuraminidase was removed by centrifugation.
Tumor growth restriction assay
Swiss mice were injected with NLP either exposed to various temperatures, pH or digested with different enzymes. Extracts obtained from 0.25 mg of neem powder were used for treatment of each week and NLP treatment was given for 4 weeks in total. After completion of the treatment, each mouse was inoculated with EC cells (1×107) subcutaneously on right hind leg quarter. Growth of solid tumor (in mm3) was monitored weekly by caliper measurement using the formula: (width2 × length)/2. Survival of mice was monitored regularly, till tumor size reached to 25 mm in either direction.
Protein estimation
Protein concentration of NLP was measured by Lowry’s method using Folin’s Phenol reagent [17] and by UV absorption. Optical density was measured at 660 nm and 280 nm respectively.
Purification of protein from NLP
NLP was then extensively dialyzed against PBS, pH 7.4, filtered and concentrated by Centricon Membrane Filter (Millipore Corporation, Bedford, MA, USA) with 10 Kda molecular weight cut off. Filtered preparation was precipitated with 35% ammonium sulfate and dialyzed extensively against PBS, pH 7.4. Ammonium sulfate precipitated fraction was then purified by DEAE-ion exchange column chromatography. Fractions were eluted with 0.15 M, 0.5 M and 1.5 M NaCl.
Polyacrylamide gel electrophoresis (PAGE)
Purified NLP was analyzed by Native-PAGE [18] and SDS-PAGE [19] with different acrylamide concentrations. Molecular weight marker (SC-2035; Santacruz, USA) was electrophorsed in each time to know the molecular weights of protein bands. In some cases, NLP was exposed to different temperature and pH before electrophoretic analysis.
Scanning electron microscopy
Structural morphology of protein fraction present in NLP was studied using Scanning Electron Microscope [20]. Freeze dried neem leaf protein was mounted on circular aluminium stubs with double sticky tape and coated with 20 nm gold using IB2 Ion coater. The sample was examined and photographed in a scanning electron microscope (Hitachi S-530 SEM, Hitachi Ltd., Tokyo, Japan).
Analysis of carbohydrate moiety
Amount of carbohydrate moiety in protein, present in NLP was estimated using phenol- sulphuric acid method [21]. In brief, 80% phenol (100µl) was mixed with NLP (1 ml) and then concentrated sulphuric acid (1 ml) was added slowly. After 10 mins, absorbance was measured at 490 nm using the microplate reader (Tecan Spectra, Grodig, Austria).
Analysis of sugar moiety by GLC-MS
NLP was hydrolysed with 2 M trifluroacetic acid for 3 hrs at 100oC in a boiling water bath [22]. Myo-inositol was used as internal standard. Hydrolytic losses were accounted for by using standard sugar mixtures containing all the sugars usually present in the cell wall of a plant. After acid hydrolysis, the solution was neutralized with 25% ammonia solution (0.7 ml) and the mono saccharides were reduced with 0.1 ml sodium borohydride in 3 M ammonia solution at room temperature for 1 h. The excess borohydride after reduction was decomposed by addition with acetic acid. Ultimately, the free alditols were obtained as a mixture in dried condition by lyophilizing the above solution. Acetylation of dried sample was first carried out by acetic anhydride and 1-Methylimidazole as catalyst [23]. Derived alditol acetates were then analyzed and identified by GLC-MS. GLC-MS was carried on a Shimadzu GC-MS (QP-5050) instrument (Shimadzu, Japan) with a Flame ionization Detector (FID) and DB-225 (JW) column using helium as carrier gas. The temperature of the injection and detector ports was 250oC and the column oven temperature was maintained at 210oC (isothermal).
Amino acid analysis
Amino acid analysis was performed in a PICO. TAG system according to the PICO. TAG operation manual (Waters, USA). NLP was extensively dialyzed against deionised water for 24 hrs, dried and the protein (20 µg) was hydrolyzed by 6 N HCl containing 1% phenol for 24 hrs at 105oC in the PICO. TAG work station [24]. Hydrolyzed sample and standard amino acid mixture, ‘Standard H’ (0.005 ml) were taken in the respective tubes, introduced into the reaction vial and were dried completely.
These were then derivatized by phenyl isothiocyanate (PITC) solution (ethanol: triethylamine: Water: PITC = 7:1:1:1 by volume) for 20 min at 25oC. The vials were then dried and samples were reconstituted in diluents solution (Na2HPO4. 0.071%, w/w, pH 7.4 containing acetonitrile 5%, v/v). The samples were analyzed at 38oC as per PICO. TAG manual using C18 hydrophobic column (5 μm 3.9 × 150 mm, Waters). Detector setting, chart speed and run time were AT 128 at 254 nm, 2 cm/min and 32 min respectively. Amino acids present in an unknown sample (NLP) were determined quantitatively by comparing the peak areas of amino acids present in ‘Standard H’ (Pierce, Rockford, IL).
Antibody production and ELISA
Swiss mice (six in numbers) were injected with NLP (extract obtained from 0.25 mg of dry neem powder) weekly for 4 weeks in total. Blood was collected after completion of the fourth injection from anaesthetized mice by retro-orbital puncture and serum separated. Serum antibodies were assessed by ELISA [25]. Briefly, the micro titer plates were coated with NLP (10µg/50µl/well) for overnight and blocked with 5% BSA. Anti-NLP sera (1: 50 diluted in 1% BSA) were added in the wells in triplicate and incubated for 2 hours. The plates were washed with PBS containing Tween-20 and goat anti-mouse Ig labeled with peroxidase (Sigma, St. Louis) was added at a dilution of 1: 500. Color was developed with TMB substrate solution (Opt EIATM, BD-Pharmingen). Reaction was stopped with 2N H2SO4 solution and absorbance was measured at 450 nm using the microplate reader (Tecan Spectra, Grodig, Austria).
Immuno blotting
NLP was electrophorsed on 10% SDS-PAGE, transferred on nitrocellulose membrane, blocked with POD blocking substrate (Roche Diagnostics, Mannheim, Germany) and incubated with anti-NLP sera, before and after absorption with NLP, for overnight at 4°C. After washing, blots were incubated with horseradish peroxidase conjugated secondary antibody for two hours at room temperature. Bands were detected using chemiluminescence (Roche Diagnostics, Mannheim, Germany) according to the manufacturer’s manual.
Absorption of immune sera with NLP
NLP generated immune sera was absorbed with NLP (5 µg/ml of 1: 50 diluted sera) for 1 h at 37oC and centrifuged at 5000g for 10 min. Absorbed sera were then tested by ELISA and immunoblotting for their reactivity.
Statistical analysis
All results from in vivo experiments represent the average of two separate experiments involving six mice in each group. Statistical significance was established by using INSTAT 3 software.
RESULTS AND DISCUSSION
Exposure of NLP in different temperature, pH and enzymes
In continuation of immunoprophylactic function of neem leaf preparation (NLP) to restrict the murine tumor growth [4], it is the subject of great interest to know the active principal, present in neem leaf, responsible for such function. To achieve this aim, we have first selected two factors required for the optimum biological reactions. Accordingly, the neem preparation is exposed to a range of temperatures and pHs, before immunization to mice. In such experiment, four groups of Swiss mice were injected with NLP exposed to various temperatures, like, 100oC, 56oC, 37oC and 0oC weekly for four weeks in total. Three days after the last injection mice of all groups were inoculated with Ehrlich carcinoma cells. Minimum tumor growth was demonstrated in mice treated with NLP exposed to 56oC, than those mice immunized with NLP exposed to 0oC and 100oC, suggesting NLP mediated tumor immunoprophylaxis requires its exposure to optimum temperature. Temperature is a crucial factor in maintaining active conformation of a protein molecule [26] and, evidences suggest that 56oC maintains the required structure of neem protein. Accordingly, tumor growth restricting function was noticed.
In relation to pH, similarly, four groups of Swiss mice were injected with NLP soaked in phosphate buffer with different pH, like, pH 5.7, 6.2, 7.4 and 8.0 weekly for four weeks. Three days after last injection mice of all groups were inoculated with Ehrlich carcinoma cells. Maximum tumor growth was observed in mice injected with NLP prepared with pH 5.7 buffer and significant tumor growth restriction was demonstrated when NLP prepared with pH 7.4 and pH 6.2 buffers. Moderate tumor growth restriction was observed during injection with NLP, at pH 8.0.
This result proposed that optimum tumor growth restriction is also dependent on pH of the buffer used for NLP. The pH dependence also confirms the protein nature of the active principal of neem leaf [27]. Results obtained from experiments related to the temperature and pH suggests that maintenance of the conformation of active principal of NLP is required for its biological action. Protein conformation is dependent on temperature and pH and it may be denatured by exposure to adverse temperature and pH [26, 27].
Based on this initial clue, NLP was exposed to three different proteolytic enzymes. Here, four groups of Swiss mice were injected with either NLP or NLP digested with trypsin, papain and neuraminidase weekly for four weeks. Following last injection mice of all groups were inoculated with Ehrlich carcinoma cells. No significant restriction of the tumor growth was noticed when NLP was exposed to all three enzymes, in comparison to mice injected with NLP only. As proteolytic enzymes significantly diminish tumor growth restricting activity of NLP, presence of a proteineous substance as an active principal is suggested.
Protein estimation
Accordingly, we have confirmed our prediction by estimating protein in the neem leaf extracts. Protein concentration of the NLP was measured by Lowry’s method using Folin’s Phenol reagent and by measuring optical density by UV absorption. Determination of the optical density by these two methods confirms the presence of protein and quantitative estimation of NLP protein revealed that 0.1% (w/w) of the total dry weight of neem leaf powder is protein.
Purification of protein from NLP
In an attempt to purify the protein present in neem leaf, NLP was extensively dialyzed against PBS (pH 7.4), dialyzed fraction was filtered through membrane with molecular weight cut off upto 10 Kda, precipitated with 35% ammonium sulphate and chromatographed through DEAE-cellulose ion exchange column. Maximally purified active component was appeared as an unbound fraction eluted with 0.15 M NaCl from DEAE column. As DEAE is an anion exchanger, the desired protein is cationic in nature. In each step of purification, yield of protein was monitored by its estimation using Folin’s Phenol reagent. The concentration of purified neem protein was increased in each step after eliminating contaminating materials. The fractions obtained in each step of purification were tested for its tumor growth restricting ability. It was observed that each fraction preserves the tumor growth restricting ability, as guided by tumor protection assay (Fig. 1).

Fig. 1: In vivo tumor growth restriction by NLP at different steps of purification. Five groups of mice were injected with either PBS or NLP, as obtained in each step of purification, weekly for four weeks. Seven days after the last injection mice were inoculated with EC tumor cells subcutaneously (1 X106) (n=6 in each group). Tumor growth was monitored and survivability was noted. Growth of EC tumor in NLP (at different steps of purification) treated mice. *p<0.001 in comparison to mice injected with various forms of NLP (A). Survival of each group of mice (B).
Polyacrylamide gel electroporesis (PAGE)
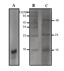
Protein purified from NLP was, then, analyzed by 12% nondenatured PAGE and 20% denatured SDS-PAGE. Nondenatured PAGE and SDS-PAGE demonstrated one and three major protein bands respectively (Fig. 2). Molecular weight of three bands appeared in 20% SDS-PAGE was 48 Kda, 24 Kda and 15 Kda.

Fig. 2: Analysis of dialyzed NLP by PAGE. 20 µg of NLP was analyzed by 12% nondenatured (A) and 20% denatured (C) PAGE. Molecular weight markers were electrophorsed on 20% denatured PAGE (B). Gel was stained with silver nitrate method
Scanning electron microscopy
After detection of protein bands in PAGE, neem protein was visualized in scanning electron microscope (SEM) using different magnifications. SEM micrographs show 3-dimensional structures demonstrating the heterogeneous surface with void spaces (Fig. 3).
Analysis of sugar moiety by GLC-MS
Biochemical estimation reveals the presence of 33.3% carbohydrate in the neem leaf protein; thus, it may be a glycoprotein.
Carbohydrate moiety was analyzed by GLC-MS and results suggests the presence of 53% arabinose, 36% galactose and 11% glucose. Henceforth, the protein present in NLP is termed as neem leaf glycoprotein (NLGP).

Fig. 3: Scanning electron microscopy of NLGP. Structure of NLGP in different magnifications are presented in A, B, C, as indicated on the photographs
Amino acid analysis
In basic biochemical tests for amino acids, we have obtained positive results in Biuret, Millon’s, nitroprusside and xanthoproteic reactions, suggesting the presence of phenylalanine, tyrosin, tryptophan and cystine. As presented in table 1, amino acid composition of protein part of NLGP was further analyzed and presence of seventeen amino acids was revealed, among those nine were essential. The protein (NLGP) is rich in glutamic acid, glycine, threonine and valine, low in methionine, cysteine and histidine but contained no arginine.
Table 1: Amino acids composition of NLGPb
| Name of Amino Acids | g/16 g N |
| Aspartic acid+ Asparagine | 3.72 ± 0.08 |
| Glutamic acid+ Glutamine | 9.66± 0.12 |
| Serine | 6.58± 0.09 |
| Glycine | 8.49± 0.14 |
| Histidinea | 2.68± 0.03 |
| Argininea | - |
| Threoninea | 9.66±0.07 |
| Alanine | 10.20±0.18 |
| Proline | 8.62±0.07 |
| Tyrosine | 5.90±0.04 |
| Valinea | 10.43±0.08 |
| Methioninea | 1.11±0.03 |
| Cysteine | 1.04±0.02 |
| Isoleucinea | 4.44±0.06 |
| Leucinea | 7.34±.012 |
| Phenylalaninea | 6.88±0.11 |
| Lysinea | 3.25±0.04 |
a Essential amino acids, bValues are mean ± SD, n= 3.
Antigenic property of immune sera by ELISA and Immuno blotting
Antigenicity is a unique property of protein molecule. To test its antigenic behavior, mice were immunized with NLGP weekly for four weeks. Blood was collected on seventh day after last injection to separate the serum. Immune sera were strongly reactive with NLGP by ELISA and immunoblotting, demonstrating its nature like a protein antigen (Fig. 4).

Fig. 4: Immune reactivity of anti-NLGP sera with NLGP. Mice were immunized with either NLGP or PBS once weekly for four weeks. Immune sera were absorbed with NLGP and absorbed/non-absorbed sera were reacted with NLGP coated on plates by ELISA (A) or electrophorsed on PAGE by immunoblotting (B)
Moreover, this reactivity of the immune sera was significantly decreased after its absorption with NLGP. Immune sera were also reacted with NLGP exposed to various temperatures, pH and enzymes, by ELISA (Fig. 5A). Maximum immune reactivity was noticed in those conditions where significant tumor protection was obtained. For example, injection with NLP/NLGP exposed to 56oC demonstrated maximum tumor protection and this NLGP reacted maximally with anti-NLGP sera. Differentially treated NLGPs were electrophoreses and partial degradation of the NLGP was detected, in those cases where minimum tumor protection was observed (Fig. 5B).

Fig. 5: Recognition of anti-NLGP sera to NLGP after differential exposure to enzymes, temperatures and pHs. NLGP was exposed to different enzymes (trypsin, papain and neuraminidase), temperatures (100oC, 56oC, 37oC and 0oC) and pHs (pH 8.0, pH 7.4, pH 6.2 and pH 5.7). A. Differentially treated NLGPs were coated on microtitre plates. Anti-NLGP sera (generated by immunization of Swiss mice with NLGP) were tested for its immune reactivity with NLGPs by ELISA. *p<0.01, in comparison to the immune reaction with NLGP, treated with trypsin, papain, neuraminidase; **p<0.01, in comparison to the immune reaction with NLGP exposed to pH 8 and pH 5.7; +p<0.001, in comparison to the immune reaction with NLGP, exposed to 0oC and 100oC. B. Differentially treated NLGPs were electrophorsed on 20% SDS-PAGE and stained with silver nitrate
CONCLUSION
Thus, in the present study, we have identified a unique glycoprotein in the aqueous preparation from neem leaf (NLP), termed NLGP. NLGP in its ideal conformation when introduced within a biological system, it may initiate a series of immune reactions that may be related to the tumor growth restriction, as supported by different investigations performed our group earlier with NLP [4, 6, 11, 13, 15]. Present study discloses the fact that NLGP after exposure to different conditions as mentioned earlier could not be equally reactive with anti-NLGP sera. This observation indirectly suggests that conformation of NLGP is critical to initiate the immune reactions necessary for tumor immunoprophylaxis. In conclusion, it can be stated that we have defined, for the first time, the presence of an immunogenic, temperature, pH and enzyme sensitive glycoprotein in the leaf of the plant neem, a popular tree in Indian subcontinent. This glycoprotein has a unique immunoprophylactic property to restrict the murine tumor growth. This nontoxic neem leaf derived component may have far reaching significance in tumor immunotherapy and anticancer treatment.
ACKNOWLEDGEMENT
The authors are indebted to DSA Project, UGC, New Delhi for financial assistances and University Of Burdwan, Burdwan for infra structural facilities. The work also was supported in part by Department of Science and Technology, New Delhi (Grant No. SR/SO/HS-24/2004). Authors are also thankful to Dr. Jaydip Biswas, Director, CNCI for providing necessary facilities.
CONFLICT OF INTERESTS
Declared None
REFERENCES