aDepartment of Chemistry, College of Basic Sciences and Humanities, G. B. Pant University of Agriculture & Technology, Pantnagar. U. S. Nagar, Uttarakhand, India, bDepartment of Pathology, College of Veterinary & Animal Sciences, G. B. Pant University of Agriculture & Technology, Pantnagar. U. S. Nagar, Uttarakhand, India, cDepartment of Epidemelogy and preventive medicine, College of Veterinary & Animal Sciences, G. B. Pant University of Agriculture & Technology, Pantnagar. U. S. Nagar, Uttarakhand, India.
Email: oporgchem@gmail.com
Received: 06 Nov 2014 Revised and Accepted: 28 Nov 2014
ABSTRACT
Objective: The present study aims to evaluate hepatoprotective activity, antioxidant activity and total phenolic content of methanolic extract from rhizomes of A. malaccensis.
Methods: The hepatoprotective activity in mice was studied by inducing oral dose at 250 mg/kg and 500 mg/kg b. wt., antioxidant activity was evaluated by different method viz; the superoxide anion scavenging activity, hydroxyl radical scavenging activity, nitric oxide scavenging activity, DPPH radical scavenging activity and total phenolic content.
Results: The mice were significantly re established from hepatotoxicity evident by analyzing the factors such as triglycerides, ALT, AST, glucose, cholesterol, total protein, bilirubin, albumin and urea levels. Further more histopathological results revealed the significant improvement of liver. Methanolic extracts of rhizomes of A. malaccensis showed abilities to scavenge hydroxyl, superoxide free radicals, nitric oxide, DPPH with IC50 values of 50.42, 71.19, 96.38, 61.46 µg/ml and reducing power ability with the RP50 value of 183.54 µg/ml. The methanolic extract was found to have a total phenolic content of 48.18 µg/ml.
Conclusion: Our study reveals the therapeutic effect of A. malaccensis on treated mice as well as the strong antioxidant potential with its total phenolic content. A. malaccensis so may be used as herbal medicine to replace synthetic one.
Keywords: Alpinia malaccensis, Hepatoprotective, Rhizomes, Antioxidant, Total phenols.
INTRODUCTION
In the last few decades the demand of crude extracts of herbs and many plant materials are increasing tremendously in view of their safety, vast chemical diversity, versatility, antioxidant characterstics and bioregulatory properties in comparison to that of the synthetic material [1]. Several plant materials are extensively used in perfumery and food industry, pharmaceuticals, cosmetics and are recommended as efficient antioxidants [2].
India is rich in the diversity of Zingiberaceae and the family is represented by 24 genera and 191 species [3]. Genus Alpinia is widespread and cultivated for its rhizomes in tropical areas of South and East India and possess vast chemical diversity. The rhizomes of Alpinia are used in bronchial troubles and as a carminative [4]. A. malaccensis (Indian name- Jangali adrak) is a perennial plant growing widely in the subtropical and tropical regions. It is a tall herb growing in forests. Its rhizomes are fibrous in nature [5]. Traditionally tuber paste of A. malaccensis is applied on sores for its cure [6]. It is cultivated as an ornamental plant. Fruits of this herb are used and applied on gastralgia, and for bathing feverish people [7].
Literature survey revealed the analysis of antioxidant activity of methanolic extracts of rhizomes of A. malaccensis [8]. Based on the antioxidant potential the plant is capable to scavenge the harmful free radical. Hence it may also possess hepatoprotective activity. However to the best of our knowledge there is no published report regarding the hepatoprotective activity of such an important herb. The present investigation was performed to evaluate the antioxidant activity and hepatoprotective activity of the rhizome extracts of this plant.
MATERIALS AND METHODS
Collection of plant material
Fresh rhizomes of A. malaccensis were collected from the Tarai region of Kumaun hills in India. The plant was identified and authenticated by Dr. D. S. Rawat (Plant taxonomist), Department of Biological Science, G. B. Pant University of Agriculture and Technology, Pantnagar, India. The voucher specimen has been deposited in the Department of Botany, for future reference.
Solvent extraction
For preparation of the methanol extract of A. malaccensis (AMRME) its rhizomes (500 gm) were shade dried and powdered. The powder was then subjected to cold extraction with 1000 ml methanol for 5 days. The dried methanol extract was obtained by evaporation of the solvent using a rotatory vacuum evaporator at 45 ºC±5 ºC and kept in a refrigerator until required for further investigation. The dried extracts were dissolved in distilled water before oral administration to different treatment groups.
Hepato protective activity
Experimental animals
Female albino mice 2-2.5 months old weighing between 23-28 gm, were obtained from the animal facility, IVRI (Indian Veterinary Research Institute), Barielly. The animals were maintained under standard management condition and acclimatized for two weeks before the start of the experiment. Feed and water were given ad libitum throughout the study. All the animal experiments were conducted according to the ethical norms approved by the Institutional ethical committee of CPCSEA, New Delhi (Ref.: IAEC/Chem/CBSH/118).
Experimental design
To evaluate the hepatoprotective potential of AMRME in carbon tetrachloride (CCl4) - induced hepatic damage, thirty mice was randomly divided into five equal groups. Group I served as a control. Group II to V received a single dose of CC14 (3 ml/kg. b wt., i m) (99.8% MERCK Specialties Pvt. Ltd.) the on first day. Group III served as a positive control and was given a single daily oral dose of silymarin (3 mg/kg b. wt.) for seven days. Groups IV, V was fed on a diet containing AMRME at 250 mg/kg and 500 mg/kg b. wt. for seven days. The mice in each group were sacrificed humanely after seven days and blood was collected by cardiac puncture and transferred to sterilized non-heaparinized syringes to separate serum for biochemical analysis and liver was collected and preserved for histopathological examinations. The serum was stored at -10 ºC until biochemical analysis which was carried out within 24 hrs.
Biochemical profile
Biochemical parameters including serum cholesterol, total protein, urea, triglyceride, albumin, glucose, bilirubin and serum AST, ALT and alkaline phosphatase levels were determined using diagnostic kits (MERCK). [9-14]
Histopathological examination
The sections of liver were processed for histopathological examination involving tissue fixation and were then mounted using DPX for microscopic examinations [15].
Antioxidant activity
DPPH radical scavenging activity
It is a quick method to study the scavenging ability of the antioxidants. A standard protocol developed was followed for the same [16]. In brief different concentration of AMRME (50-250 µg/ml) was added to 5 ml of a 0.004% methanol solution of DPPH. Finally the absorbance was read against a blank at 515 nm after 30 min of incubation in the dark. All the observations were taken as triplicate. BHT, catechin and gallic acid were used as the standard antioxidant. Inhibition of free radical by DPPH in percent (IC %) was calculated by using the equation, IC % = (A0 – At/A0) × 100, where A0 and At are the absorbance values of the control and test sample respectively. Percent inhibition was plotted against concentrations and the equation for the line was used to obtain the IC50 value. A lower IC50 value indicates more radical scavenging activity.
Hydroxyl radical scavenging activity
This activity was evaluated using the method as reported earlier [17]. 60 µl of FeSO4.7H2O (1 mM) was added to 90 µl of aqueous 1,10 phenanthroline (1 mM), 2.4 ml of 0.2 M phosphate buffer (pH 7.8) was added to the above mixture, followed by addition of 150 µl of hydrogen peroxide (0.17 mM) and 1.5 ml in different concentrations of AMRME (50-250 µg/ml). The absorbance of the mixture was read at 560 nm against blank after 5 min. Ascorbic acid was used as the standard. The % inhibition was calculated as, % hydroxyl radical scavenging capacity (IC %) = [(A0- At)/A0] ×100, where A0 and At are the absorbance values of the control and the test sample respectively. The lower IC50 value indicates greater hydroxyl radical scavenging ability.
Nitric oxide radical scavenging activity
The nitric oxide scavenging activity of AMRME was determined by the method reported earlier [18]. 2 ml of sodium nitroprusside (SNP) (10 mM) in phosphate buffer saline (PBS) pH 7.4 was mixed with different concentration of AMRME (50-250 µg/ml) and incubated at 25°C for two and a half hours. To the above sample 1 ml of Griess reagent (1% sulphonamide, 0.1% naphthylethylene diamine dichloride and 2 ml orthophosphoric acid) was added. As a result pink colour was obtained and the absorbance was read at 546 nm. The % inhibition was calculated by the equation. % Nitric oxide scavenging capacity (IC%) = (A0–At/A0) × 100 where A0 and At are the absorbance values of the control sample and the test sample respectively. The percent inhibition was plotted against concentration, and the equation for the line was used to obtain the IC50 value. A lower IC50 value indicates greater antioxidant activity.
Superoxide anion scavenging activity
Superoxide anion scavenging activity of AMRME was determined by the method reported earlier [19] with slight modifications. In brief 1 ml of nitroblue tetrazolium (NBT) solution (100 μM of NBT in 100 mmol/l phosphate buffer, pH 7.4), 1 ml of NADH (468 μmol in 100 mM/l phosphate buffer, pH 7.4) solution and varying concentration of AMRME (50-250 µg/ml) were mixed well. The reaction was started by the addition of 100 μl of Phenazine methosulfate solution (PMS) (60 mM of 100 mM/l phosphate buffer, pH 7.4). The reaction mixture was incubated at 30 °C for 15 min. The absorbance was measured at 560 nm in a spectrophotometer. All the readings were taken in triplicate and ascorbic acid was used as the standard. The % inhibition was calculated by the equation. % superoxide scavenging capacity (IC%) = (A0–At/A0) × 100 where A0 and At are the absorbance values of the control sample and the test sample respectively. Percent inhibition was plotted against concentration, and the equation for the line was used to obtain the IC50 value. A lower IC50 value indicates higher antioxidant activity.
Reducing power
The reducing power of AMRME was determined by the method developed earlier [16]. Varying concentrations of AMRME (50- 250 µg/ml) were mixed with 2.5 ml of the phosphate buffer (200 mM, pH 6.6) and 2.5 ml of 1% potassium ferricyanide K3Fe(CN)6. The mixtures were incubated at 5000C for 20 minutes. After incubation, 2.5 ml of 10% trichloroacetic acid was added to the mixtures, followed by centrifugation at 650 rpm for 10 min. The upper layer (5 ml) was mixed with 5 ml of distilled H2O and 1 ml of 0.1% ferric chloride and absorbance of the resulting solution were measured at 700 nm using spectrophotometer. All the readings were taken in triplicate and BHT (Butylated hydroxyl toluene), catechin and gallic acid were taken as the standard. The reducing power of samples was calculated by the following formula: RP (%) = (A0 –At)×100; where: A0 and At are the absorbance values of the control sample and the test sample respectively. Percent inhibition was plotted against concentration, and the equation for the line was used to obtain the RP50 value. The lower RP50 value indicates greater reducing power ability.
Total phenols
The total phenolic content of AMRME was estimated by using the Folin–Ciocalteu reagent [20] using gallic acid as a standard. 0.5 ml of AMRME solution was mixed with 1.0 ml of Folin–Ciocalteau reagent, 1.0 ml of aqueous solution of 7% sodium carbonate and 5 ml of distilled water. The reaction mixture was mixed thoroughly and was allowed to stand for 30 min. The absorbance was read at 765 nm. The same procedure was also applied to the standard solutions of gallic acid. The calibration equation for gallic acid obtained was y = 0.011x + 0.031 (R² = 0.998) where y is the absorbance and x is the concentration of gallic acid in µg/ml. All tests were carried out in triplicate and the obtained results were the mean values and the standard deviation.
Statistical analysis
Experiments were performed in triplicate and data analyzed are mean ± SE subjected to one way ANOVA by using SPSS 16 (Statistical Package for the Social Science). Means were separated by the Tukey’s multiple range test when analysis of variance (ANOVA) was significant (p<0.05). Pearson correlation test was used to assess correlations between means.
RESULTA AND DISCUSSION
The results of biochemical parameters recorded seven days post-treatment to evaluate hepatoprotective efficacy of AMRME in mice with CCl4-induced hepatotoxicity are presented in Table1. The biochemical parameters indicative of hepatotoxicity were significantly increased in the CCl4-treated group in comparison with the untreated control. A significant (p<0.05) reduction in triglycerides levels from 90.66 mg/dl to 72.92 mg/dl in AMRME treated groups IV and V at the dose levels of 250 mg/kg b. wt. and 500 mg/kg b. wt. was observed, respectively in comparison to the silymarin - treated group III (102.31 mg/dl).
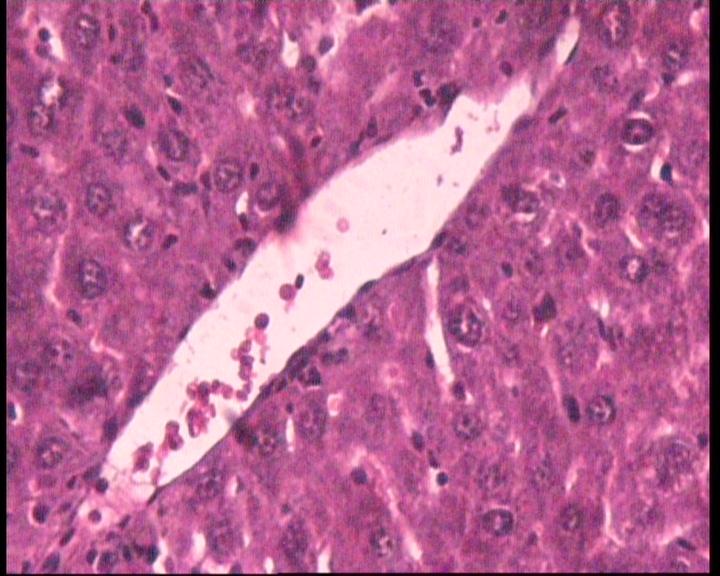
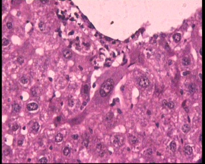
A significant (p<0.05) reduction in ALT levels (41.50 IU/l) in AMRME treated groups IV at the dose level of 250 mg/kg b. wt. Was observed, while at the higher dose level of 500mg/kg b. wt. the level was decreased to 31.69 IU/l in AMRME treated group V respectively in comparison to the silymarin - treated group III. However a non-dose dependency was observed in the AST levels in the groups treated with AMRME (IV, V) at dose level of 250 and 500 mg/kg b. wt. respectively. The result showed that AMRME was effective against the hepatic damage based on serum enzyme AST level. A significant (p<0.05) reduction in AMRME was observed in the glucose level from was 98.19 mg/dl to 81.55 mg/dl at the selected dose levels of 250 mg/kg b. wt. and 500 mg/kgb. wt. respectively in comparison to the with the CCl4- treated group II, however, these values were significantly (P<0.05) higher than in the silymarin- treated group III. A significant (p<0.05) reduction in the elevated serum cholesterol levels was observed 82.47 mg/dl and 67.70 mg/dl in the AMRME treated groups IV and V at dose level of 250 mg/kg b. wt. and 500 mg/kg b. wt. respectively in comparison to the CCl4- treated group II (117.31mg/dl) and silymarin - treated group III (89.81mg/dl). A significant (p<0.05) reduction in AMRME for total protein was observed in dose dependent manner at the selected dose levels of 250 mg/kg b. wt. and 500 mg/kg b. wt. The maximum reduction of total protein was 7.06 g/dl in AMRME at the higher dose level of 500mg/kg b. wt. in comparison to the standard drug silymarin treated group III (7.33g/dl). A significant (p<0.05) reduction in the bilirubin levels was observed in AMRME at the higher dose levels of 500 mg/kg b. wt. as indicated by the statistical values of 0.52mg/dl, in comparison to the standard drug silymarin (0.76mg/dl). At lower dose level of 250 mg/kg b. wt the statistical values for AMRME group IV was 1.05 mg/dl which indicated the dose dependent reduction of bilirubin. A significant (p<0.05) reduction in albumin levels from 4.53 to 4.36 mg/dl in the groups IV and V treated AMRME at dose level of 250 and 500 mg/kg b. wt. was observed in comparison to the CCl4- treated group II. The order of the reduction of the elevated level of albumin in a dose dependent manner is an indicative of effectiveness of AMRME towards liver protection. However a non-dose dependency was observed in the urea levels in the groups treated with AMRME (IV, V). The histopathological result of all the groups is shown in (Fig. 1 A & B). In CCl4 –treated group II, the liver exhibited severe vacuolar degeneration of the hepatocytes and loss of sinusoidal spaces (Fig. 1A). The liver from group III exhibited mild congestion of central vein along with mild vacuolar degeneration of hepatocytes (Fig. 1B).


A B
Fig. 1: (A) Liver section of mice treated with CCl4 (negative control) × 7 days showing severe vacuolar degeneration of the hepatocytes and loss of sinusoidal spaces (B) Liver section of mice treated with CCl4+ silymarin dose (3 mg/kg. b. wt.) × 7 days showing mild congestion of central vein along with mild vacuolar degeneration of hepatocytes
In the lower dose group of IV (250mg/kg b. wt) of AMRME the liver in this group exhibited moderate congestion of large blood vessel and mild vacuolar degeneration in the hepatocytes and in high dose groups V (500 mg/kg b. wt) of AMRME the liver showed almost normal architecture.In this study, an increase in the levels of serum cholesterol, total proteins, urea, albumin, glucose, triglycerides and AST (aspartate aminotransferase), ALT (alanine aminotransferase) and urea were found in CCl4-treated mice indicating liver damage, although, these values were reduced significantly (P<0.05) in the silymarin, treated group.
The liver plays a major role of detoxification of xenobiotics in biological systems. Hepatic damage affects the normal metabolism of the body [21]. The hepatotoxic nature of CCl4 is due to the formation of toxic metabolites (CHCl3) and trichloromethyl peroxy radicals (CCl3OO‑) that attacks the membrane of polyunsaturated fatty acid responsible for lipid peroxidative damages causing degenerative changes and hepatic cirrhosis [22, 23].
An increase in the serum marker enzymes, like AST, ALT in the blood level is useful in the assessment of liver function when liver cell plasma membrane is damaged and indicative of hepatic cellular damage [24, 25]. This is confirmed by the reduction in the level of marker enzymes in the liver of silymaryin – induced mice. During enzymatic breakdown of heme within the reticuloendothelia system the production of Bilirubin as product occurs. Its elevation in the blood stream causes increased hemolysis with the decreased conjugation of impaired bilirubin transport [26].
The reduction in the level of serum cholesterol, bilirubin, total proteins as well as including various enzymes such as ALT in the AMRME treated groups is due to the prevention of the leakage of intracellular enzymes into the blood stream [27, 28]. Liver damages and various diseases associated with it are easily identified by performing the test of liver so that proper treatment can be attained. Blood tests also reveals abnormal levels of bilirubin, cholesterol, serum proteins, urea, ammonia and various enzymes [29, 30]. The most common cause of hepatitis is responsible for acute viral infection and affects the liver predominantly [31, 32].
Thus, AMRME produced hepatoprotective effect by regenerating cellular damage of the hepatocytes [33]. The hepatoprotective effect of AMRME might be due to the maintenance of the structural integrity of the cell membrane of hepatocytes required for the normal function of the liver.
Histopathological study also revealed that structural, changes such as severe vacuolar degeneration of the hepatocytes and loss of sinusoidal spaces were observed in the CCl4-treated group, whereas in AMRME treated groups at 250 mg/kg exhibited moderate congestion of large blood vessel and mild vacuolar degeneration in the hepatocytes whereas at 500 mg/kg b. wt liver showed almost normal architecture. From the results obtained it can be concluded that AMRME at 250 mg/kg and 500 mg/kg b. wt., following oral administration in drinking water produced a dose-dependent hepatoprotective effect in mice with CCl4-induced hepatotoxicity.
Table 1: Effect of AMRME on serum Triglycerides (mg/dl), ALT (IU/l), AST (mg/dl), Glucose (mg/dl), Cholestrol (mg/dl), Total protein (g/dl), Bilirubin (mg/dl), Albumin (mg/dl) and Urea (mg/dl) against CCl4 induced liver toxicity in mice
| Groups | Triglycerides (mg/dl) (mean ±SE) |
ALT (IU/l) (mean±SE) |
AST (mg/dl) (mean ±SE) |
Glucose (mg/dl) (mean ±SE) |
Cholesterol (mg/dl) (mean ±SE) |
Total Protein (g/dl) (mean ±SE) |
Bilirubin (mg/dl) (mean ±SE) |
Albumin (mg/dl) (mean ±SE) |
Urea (mg/dl) (mean ±SE) |
| I | 89.65±0.37ab | 23.77±0.91ab | 41.97±0.33ab | 53.61±0.36ab | 80.82±0.62ab | 6.52±0.02ab | 0.48±0.01ab | 3.73±0.01ab | 33.62±0.32ab |
| II | 111.96±0.57bc | 52.78±0.48bc | 72.13±0.47bc | 135.01±0.41bc | 117.31±1.24bc | 9.53±0.02bc | 1.27±0.01bc | 4.54±0.04bc | 71.56±0.38bc |
| III | 102.31±0.34ac | 32.79±0.57ac | 57.43±0.40ac | 67.45±1.67ac | 89.18±1.14ac | 7.33±0.05ac | 0.76±0.01ac | 3.42±0.01ac | 52.34±0.55ac |
| IV | 90.66±0.35ab | 41.50±0.40abc | 51.90±0.16abc | 98.19±0.47abc | 82.47±1.06ab | 8.54±0.01abc | 1.05±0.01abc | 4.44±0.016bc | 21.82±0.33abc |
| V | 72.92±0.45abc | 31.69±0.74ac | 53.61±0.31abc | 81.55±0.80abc | 67.70±0.66abc | 7.06±0.12ac | 0.52±0.01abc | 4.15±0.01abc | 26.25±0.35abc |
ap<0.05 vs negative control group, bp<0.05 vs positive control group, cp<0.05 vs w. r. t. control group, I = Control, II CCl4 (3 ml/kg i. m. b. wt), III CCl4 (3 ml/kg i. m. b. wt)+Silymarin (3mg/kg. b. wt), IV CCl4 (3 mL/kg i. m. b. wt)+ AMRME (250 mg/kg. b. wt.), V CCl4 (3 ml/kg i. m. b. wt)+ AMRME (500 mg/kg b. wt.), i. m. = intramuscular, b. wt. = body weight.
Antioxidant activity
DPPH radical scavenging activity
DPPH a stable free radical is frequently employed to investigate the scavenging power of the natural compounds. Compounds having antioxidant power donate the proton to DPPH resulting in the discolouration of the deep violet colour. AMRME exhibited strong DPPH radical scavenging activity in a dose dependent manner. The radical scavenging potential of AMREO in the form of their IC50 values revealed the order ascorbic acid (IC50= 32.46 µg/ml) > BHT (IC50= 33.81 µg/ml) > catechin (IC50= 42.99 µg/ml) > gallic acid (IC50= 49.27µg/ml) > AMRME (IC50 = 61.46 µg/ml). In the radical form DPPH had an absorbance at 517 nm which disappeared after acceptance of an electron or hydrogen radical from an antioxidant compound to become a stable diamagnetic molecule [34]. Thus the antioxidant power of AMRME might be attributed to their hydrogen donating ability to DPPH free radical.
Hydroxyl radical scavenging activity
Perusal of table 2 reveals that AMRME scavenge the OH free radical as function of amounts in a selected dose levels in comparison to the standard antioxidant ascorbic acid. The minimum IC50 values indicated higher scavenging activity thus revealing good antioxidant activity of the samples under investigation. The results obtained of AMRME for their good antioxidant potential in terms of IC50 values was 50.42 µg/ml slightly greater than IC50 of standard ascorbic acid was observed 44.36 µg/ml.
Nitric oxide radical scavenging activity
Through their nitric oxide scavenging ability AMRME exhibited antioxidant activity as indicated by the IC50 values obtained from it. However the order of nitric oxide scavenging activity was found to be Ascorbic acid (IC50 = 62.03 µg/ml) > AMRME (IC50 = 96.38 µg/ml)
Super oxide anion scavenging activity
Oxidative enzymes of body and non enzymatic reaction produced superoxides by reacting with oxygen [35]. In present study, AMRME was found to scavenge the superoxides with different rates in terms of different IC50 values for the samples as presented in table 2. AMRPE, AMRHE, AMRDE, AMRME and AMREO were able to scavenge the superoxide anion with an IC50 of 71.19 µg/ml as compared to the IC50 value for ascorbic acid, which was found to be 32.28 µg/ml.
Reducing power
It have been indicated that the antioxidant potential of certain compounds is related to their reducing power and serve as an important indicator of antioxidant activity. In this assay, ferric ions (Fe3+) are reduced to ferrous ions (Fe2+) with change in color from yellow to bluish green. The intensity of color depends on the reducing potential of the compounds present in the reaction medium, consequently, related to the antioxidant activity [36].
In present study the Fe3+to Fe2+reducing activity to exhibit the antioxidant ability in terms of their RP50 values of AMRME and various standards were obtained in the order ascorbic acid (RP50= 115.63 µg/ml) > BHT (RP50= 117.88 µg/ml) > catechin (RP50= 143.91 µg/ml) > gallic acid (RP50= 151.47µg/ml) > AMRME (RP50= 183.54 µg/ml).
Total phenols
The total phenols in AMRME was obtained as 48.18±0.2 µg/ml as given in table 2. The phenols have been reported to possess the antioxidant activities [37]. The antioxidant activity of AMRME from present study might be possibly due to the presence of phenols and hydrogen donating molecules present in it. In present study the total phenols were correlated with IC50/RP50 values of different methods used for the determination of antioxidant assay in AMRME.
The results obtained and recorded in table 2 showed negative correlation of total phenols with the IC50 values of superoxides anion scavenging activity and reducing power ability at α=0.01 or 0.05 (level of significance).
Table 2: Antioxidant activity of AMRME using five different testing method and total phenolic content along with their correlation
Sample/ Standard |
Total phenols |
Antioxidant assay |
||||
DPPH Scavenging activity/IC50(µg/ml) |
. OH scavenging activity/IC50 (µg/ml) |
Nitric oxde radical scavenging activity/ IC50(µg/ml) |
Superoxide anion scavenging activity/ |
Reducing power ability/ |
||
AMRME |
48.18±0.2 |
61.46±0.5d |
50.42±2.6b |
96.38±0.4b |
71.19±4.8b |
183.54±0.8d |
BHT |
|
33.81±0.4a |
- |
- |
- |
117.88±0.3a |
Catechin |
|
42.99±2.7b |
- |
- |
- |
143.91±0.6b |
Gallic acid |
|
49.27±1.1c |
- |
- |
- |
151.47±0.6c |
Ascorbic acid |
1 |
32.46±0.29a |
44.36±4.5a |
62.03±0.3a |
32.28±1.2a |
115.63±0.30a |
- = Not applicable, Values are means of three replicates ± SD. Within a column, mean values followed by the same letter are not significantly different according to Tukey’s test (p<0.05).
CONCLUSION
The methanolic extract of A. malaccensis significantly exhibited hepotoxicity against the liver damages. Also the methanolic extract exhibited good antioxidant activity. The total phenolic conetent was found to be 48.18 µg/ml, as this extract showed very good antioxidant activity it might be attributed to its total phenolic content. The results of the present study suggest that Alpinia malaccensis rhizome possess potential antioxidant bioactive compounds and can be used for commercial purposes. It also exhibited importance as therapeutic agent for prevention of the disease against oxidative damage. Attempts would be made to isolate and characterize phytoconstituents in methanolic extract which might be beneficial for the humans.
ACKNOWLEDGEMENT
Authors are thankful to University Grants Commission (UGC) and DST-Inspire, New Delhi, India for financial assistance. G. B. P. U. A. & T., Pantnagar, Uttarakhand, India is thankfully acknowledged for providing lab facility.
CONFLICT OF INTERESTS
Declared None
REFERENCES