
1Assistant Professor of Physiology at Zoology Department, Faculty of Women for Arts, Science and Education, Ain Shams University, Asmaa Fahmy Street Heliopolis, Cairo, Egypt, 2Demonstrator at Zoology Department, Faculty of Women for Arts, Science and Education, Ain Shams University, Asmaa Fahmy Street Heliopolis, Cairo, Egypt, 3Professor of Physiology at Zoology Department, Faculty of Women for Arts, Science and Education Ain Shams University, Asmaa Fahmy Street Heliopolis, Cairo, Egypt
Email: bosy.azmy@women.asu.edu.eg
Received: 23 May 2020, Revised and Accepted: 25 Jun 2020
ABSTRACT
Objective: Rifampicin (RIF) could be a recognized therapeutic and preventive agent against tuberculosis. Still, high rates of many side effects and symptoms related to hepatotoxicity have identified during treatment. So, the current study was aimed to evaluate the antioxidant and hepatoprotective activity of methanolic extract of Annona Squamosa Linn (MEAS) and N-Acetyl Cysteine (NAC) against RIF induced hepatic injury in male rats.
Methods: The hepatoprotective effects of MEAS (500 mg/kg b.wt.) and NAC (100 mg/kg b.wt.) or co-treatment were assessed in a model of hepatotoxicity by RIF (300 mg/kg b. wt.) in male rats daily for 21 d. Moreover, bilirubin, total protein, albumin, ALT, AST, ALP, GGT, MDA, and GSH were estimated. In addition, the levels of IL-6, IL-10, 8(OH)dG, and Bcl2 were evaluated.
Results: The oral administration of MEAS and NAC or their combination resulted in significant reductions in the levels of bilirubin, albumin, hepato-specific markers namely ALT, AST, ALP, GGT, and MDA as compared to the RIF group. Furthermore, MEAS and NAC or the combination of MEAS and NAC treatment significantly up-regulated the levels of total protein, glutathione reductase with concomitant decrease in inflammatory marker level IL-6 and apoptotic marker level 8(OH)dG as well as increment the level of anti-inflammatory marker IL-10 and anti-apoptotic marker Bcl2 as compared to the RIF group. Histological examination of the liver tissue indicated that co-treatment with MEAS and NAC completely abolished the inflammation and degeneration in hepatocytes and restore the liver tissue to its normal structure.
Conclusion: The present findings demonstrated that a co-treatment of MEAS and NAC seems to be more productive and curative than alone MEAS or NAC treatment and strongly compensated the liver damage induced by RIF.
Keywords: Rifampicin, hepatotoxicity, Annona Squamosa, N-acetyl Cysteine, Inflammation, Apoptosis
© 2020 The Authors. Published by Innovare Academic Sciences Pvt Ltd. This is an open access article under the CC BY license (http://creativecommons.org/licenses/by/4.0/)
DOI: http://dx.doi.org/10.22159/ijpps.2020v12i8.38424. Journal homepage: https://innovareacademics.in/journals/index.php/ijpps.
Tuberculosis (TB) remains one of the fatal infectious diseases triggered by bacillus mycobacteria, mainly Mycobacterium tuberculosis. It proceeds to be a major global health problem, responsible for ill-health among millions of people each year. Concurring to the World Health Organization (WHO), in 2010, 8.8 million people go to be ill with TB, and 1.45 million died, mainly in developing countries [1]. TB positions being as the second leading reason for death from an infective disease worldwide, after the human immunodeficiency infection [2]. The foremost efficient first-line anti-TB drug, rifampicin, come to be available in 1960 [3]. However, drug-induced hepatotoxicity continues to be a great problem in the management of TB [4]. It is the main cause of disruption during a tuberculosis treatment course and may lead to hospitalization or life-threatening events [3, 5]. It is reported to be mediated through oxidative stress, which leads to lipid peroxidation and an alteration in antioxidant levels in the body. It has been recognized that oxidative stress remains one of the mechanisms for Isoniazid (INZ) and RIF initiated hepatic injury [6]. But, reactive oxygen species (ROS) strengthened RIF-INZ-induced hepatotoxicity, cardiovascular diseases, cancer, inflammatory diseases, autoimmune diseases (diabetes), neurodegenerative diseases, and aging decline [7].
Therapeutic drugs from natural products are still promising trends in the modulation of liver toxicity associated with antituberculous drug (ATD) treatment. Consequently, numerous traditional cures from plant origin are tested for its possible antioxidant and hepatoprotective liver damage in the investigational animal model [8]. Annona squamosa Linn (AS) is a multiuse tree with appetizing fruits and medicinal properties. Massive biological research has been conducted on this plant because of the presence of valuable annonaceous acetogenins in various parts of the plant leaves, bark, stems, and seedcake [9]. It is confirmed to have antioxidant properties, free radical scavenging action, hypoglycemic and antidiabetic activity [10]. Numerous bioactive components like acetogenin, flavonoids, aporphine alkaloids, glycoside, and squamoline were isolated from the bark and leaves of this plant [11].
Among the possible antioxidant chemicals, N-acetyl Cysteine (NAC) known to be utilized within the treatment of various disorders [12]. Moreover, it was demonstrated that NAC, a thiol-containing antioxidant, acts as a direct scavenger of free radicals and a precursor for GSH biosynthesis [13, 14]. It can inhibit the induction of pro-inflammatory cytokines and can also block the tumor necrosis factor-α (TNF-α)-induced apoptotic cell death [15]. It appears that NAC supplementation increases glutathione and plays an important role in the neutralization of toxic substances and has a strong protective effect on the cells [16].
So, the current study was designed to evaluate the antioxidant and hepatoprotective activity of MEAS extract and NAC against RIF induced hepatic injury in male rats in order to understand the mechanisms by which the MEAS reduce the risk of hepatotoxicity occurrence.
Chemicals and drugs
RIF as (Rimactane) was purchased from Future Pharmaceutical Industries, Egypt. Each capsule contains 300 mg of the active ingredient rifampicin. NAC was purchased from Sigma-Aldrich Co., (St. Louis, MO, USA). All the other reagents, solvents, and chemicals used for analysis convened the quality criteria in accord with the International Standards.
Collection of plant material
The leaves of AS were collected in April 2018 from the Botanical Garden of the Faculty of Science, Ain Shams University, Egypt. The plant material was identified and the specimen was deposited at the Herbarium, Department of Botany, National Research Centre, Cairo, Egypt, for reference (voucher no. 521). After identification, the plant substance was processed for the extraction process.
Preparation of the plant extract
The leaves of AS were carefully cleaned with water to eradicate dust particles and shade-dry out at room temperature and the shade dried leaves were crushed to get course particles. Just About 200 g of dry powder was extracted with methanol by constant hot percolation, using soxhlet apparatus. The resulted dark brown extract was concentrated up to 100 ml on rota vapor under lowered pressure. The concentrated crude extract (50 g) was lyophilized into powder and stored in the refrigerator (-40 °C) until further than use [11].
Animals
Adult male albino rats weighting (120–140 g) were obtained from the animal house of the National Research Center (NRC, Giza, Egypt). The rats were housed in the air-conditioned atmosphere, at a temperature of 25 °C, relative air humidity (40–60%) with alternatively 12 h light and dark cycles. The animals were acclimated for two weeks before experimentation. Animals were nourished with standard laboratory rat diet and water provided ad libitum. Animal procedures were performed in accordance with the declaration of Helsinki and the guidelines for the care and use of experimental animals established by the Committee for Control and Supervision of Experiments on Animals (CPCSEA) and the National Institutes of Health (NIH) protocol (registration number: 13/165).
Experimental design
A total of 50 adult male albino rats of Wistar strain weighing 120±20g were divided into five equal groups (n=10) with the following treatments: Group 1(con): left without treatment served as control. Group 2(RIF): Rats were orally administrated with RIF (300 mg/kg b. wt.) once daily for 21 d, according to Lian et al. [17]. Group 3 (RIF+MEAS): Rats were orally administrated with RIF(300 mg/kg b. wt.) and then treated orally with MEAS (500 mg/kg b. wt.) once daily for 21 d according to Uduma et al. [11]. Group 4 (RIF+NAC): Rats were orally administrated with RIF(300 mg/kg b. wt.) and then treated orally with NAC (100 mg/kg b. wt.), once daily for 21 d according to Rana et al. [18]. Group 5 (RIF+MEAS+NAC): Rats were orally administrated with RIF(300 mg/kg b. wt.) and then treated orally with MEAS (500 mg/kg b. wt.) and NAC(100 mg/kg b. wt.) once daily for 21 d. At the end of the experiments (day 22), animals were slaughtered to get tissue samples.
Samples collection
At the end of the experiment, all animals were sacrificed. Blood samples were collected and serum samples were obtained in clean and dry test tubes; by leaving to clot for 15 min and then centrifuged at 3000 rpm for 20 min and kept at-20 °C until further analysis. Also, tissue samples from the liver were dissected.
Biochemical assays
Serum total bilirubin was determined by a colorimetric method as described by Kaplan et al. [19] using a diagnostic kit supplied by Biodiagnostic Company (Giza, Egypt). The serum total protein level was determined by the colorimetric method of Lowry et al. [20]. Serum albumin was determined by the colorimetric method using the Biodiagnostic kit (Egypt) following the method of Doumas and Biggs [21]. Serum alanine aminotransferase (ALT) and aspartate aminotransferase (AST) activity were evaluated colorimetrically using a kit purchased from BioMed Diagnostics Company (Egypt) as maintained by Tietz [22]. Serum alkaline phosphatase (ALP) level was determined colorimetrically according to Belfield and Goldberg [23] using a commercial a kit supplied by Diamond Diagnostic Company (Giza, Egypt). Hepatic gamma Glutamyl transferase (GGT) level was determined by the method of Szasz and Persijn [24] using a kit supplied by the Egyptian company for Biotechnology (Egypt). Hepatic MDA content was determined by a colorimetric method using the Biodiagnostic kit (Egypt) following the method of Ohkawa et al. [25]. The activity of glutathione reductase (GSH) level in liver tissue was performed according to the method of Beutler et al. [26]. The level of interleukin-6 (IL-6) was assayed in the liver homogenate with ELISA technique, according to Boulanger et al. [27] using a kit supplied by MyBioSource Company (San Diego, CA, USA). Hepatic level of interleukin-10 (IL-10) was determined with ELISA technique according to the method of Eskdale et al. [28] using a kit obtained from MyBioSource Inc. (San Diego, CA, USA). The activity of hepatic 8-hydroxy-2'-deoxyguanosine (8-OHdG) was carried out by the ELISA technique using a kit purchased from CUSABIO Co., (San Diego, CA, USA), according to manufacturer’s instructions. Liver Bcl2 content was measured by the ELISA technique using a kit purchased from MyBioSource (San Diego, CA, USA) according to the manufacturer’s instructions.
Histopathological examination
Liver tissue samples were cut out and washed with normal saline, then fixed in 10% formalin and stained with hematoxylin and eosin stains for histopathological examination, according to Banchroft et al. [29]. Afterward, staining, the slides were viewed under a microscope for degeneration, necrotic changes, and evidence of hepatotoxicity.
Statistical analysis
Results are expressed as mean±S. E of the mean for the ten rats in each group. Statistical Package for the Social Sciences program (SPSS), version 14.0, USA was used to compare significance between every two groups. The difference was considered statistically significant at p ≤ 0.05. Percentage difference representing the percent of variation for the corresponding control group was calculated according to the subsequent formula:
![]()
Effects of treatment with RIF, MEAS, and NAC on liver functions in male rats
The data in table (1) illustrated the effect of RIF, MEAS, and NAC or both on liver functions of male rats. A significant increase (p<0.001) in serum bilirubin, ALT, AST, ALP and GGT levels recorded (582.76%, 212.69%, 82.59%, 100.98% and 319.77%, respectively) was detected in RIF group versus the control group. These recorded increases were significantly improved in the MEAS, NAC and MEAS+NAC groups. However, total serum protein and albumin levels recorded the marked depletion (p<0.01) in the RIF group (-40.39% and-47.76% individually) versus the control group. In contrast, a considerable increment in serum total protein and albumin levels was demonstrated (p<0.01) in the RIF group, which received MEAS (52.89% and 70.48% separately) and MEAS+NAC (59.50% and 84.76% separately) versus RIF group.
Effects of treatment with RIF, MEAS, and NAC on hepatic oxidative stress markers in male rats
The result of this study indicated that a recognized increase (P<0.001) in the hepatic MDA level (116.31%) correlated with a decline in the GSH level (-58.90%) in RIF treated group contrary to control group (table 2). On the other hand, treatment of RIF group with MEAS, NAC or their combination resulted in significant decreases (P<0.01) in MDA levels (-42.04%,-48.69% and-55.60%, separately) and significant increment in the activity of GSH (76.11%, 97.79%, and 115.93%, individually) versus to Rif group.
Table 1: Effects of treatment with RIF, MEAS, and NAC on liver functions in male rats
Groups parameters |
Con | RIF | RIF+MEAS | RIF+NAC | RIF+MEAS+NAC |
| Bilirubin (mg/dl) | 0.29±0.02 | 1.98±0.32a***a(582.76%) | 0.55±0.16a**b***a(89.66%) b(-72.22%) | 0.60±0.19a**b***a(106.90%) b(-69.70%) | 0.43±0.03a*b***a(48.28%) b(-78.28%) |
| Total protein (g/dl) | 2.03±.012 | 1.21±0.10a**a(-40.39%) | 1.85±0.11a*b**a(-8.87%) b(52.89%) | 1.73±0.09a*b**a(-14.78%) b(42.98%) | 1.93±0.04b**a(-4.93%) b(59.50%) |
| Albumin (g/dl) | 2.01±0.10 | 1.05±0.09a**a(-47.76%) | 1.79±0.11a*b**a(-10.95%) b(70.48%) | 1.56±0.07a*b**a(-22.39%) b(48.57%) | 1.94±0.08b***a(-3.48%) b(84.76%) |
ALT (U/l) |
26.17±3.28 | 81.83±6.09a***a(212.69%) | 37.50±1.54a*b**a(43.29%) b(-54.17%) | 48.83±1.91a**b**a(86.59%) b(-40.33%) | 28.17±2.52b***a(7.64%) b(-65.57%) |
| AST (U/l) | 119.67±7.55 | 218.50±8.29a***a(82.59%) | 151.00±5.32a**b**a(26.18%) b(-30.89%) | 159.00±4.84a**b**a(32.87%) b(-27.23%) | 126.33±7.38b***a(5.57%) b(-42.18%) |
| ALP (IU/l) | 137.33±5.08 | 276.00±7.79a***a(100.98%) | 170.33±2.57a*b**a(24.03%) b(-38.29%) | 206.50±3.18a**b**a(50.37%) b(-25.18%) | 150.00±2.42b**a(9.23%) b(-45.65%) |
| GGT (U/g) | 6.83±0.56 | 28.67±1.97a***a(319.77%) | 17.00±0.87a**b**a(148.90%) b(-40.70%) | 14.67±1.26a**b**a(114.79%) b(-48.83%) | 12.00±0.98a**b**a(75.70%) b(-58.14 %) |
(Means±SE, n=10); * indicates P<0.05;** indicates P<0.01; *** indicates P<0.001, a: % of change from the normal control group; b: % of change from the RIF group.
Table 2: Effects of treatment with RIF, MEAS and NAC on oxidative stress markers in male rats
Groups parameters |
Con | RIF | RIF+MEAS | RIF+NAC | RIF+MEAS+NAC |
| MDA (nmol/g tissue) | 8.83±0.54 | 19.10±1.51a*** a(116.31%) |
11.07±0.49a*b** a(25.37%), b(-42.04%) |
9.80±0.95a*b** a(10.99%) b(-48.69%) |
8.48±0.73b***a(-3.96%) b(-55.60%) |
GSH (mg/g tissue) |
5.50±0.32 | 2.26±0.58a*** a(-58.90%) |
3.98±0.31a*b** a(-27.64%) b(76.11%) | 4.47±0.45a*b** a(-18.73%) b(97.79%) | 4.88±0.33b*** a(-11.27%) b(115.93%) |
(Means±SE, n=10); * indicates P<0.05;** indicates P<0.01; *** indicates P<0.001, a: % of change from the normal control group; b: % of change from the RIF group.
Effects of treatment with RIF, MEAS, and NAC on inflammatory markers in male rats
The findings represented in table 3 exhibited the effect of MEAS, NAC, and their combination treatment on the inflammatory mediator's levels of RIF treated rats. The results showed that the levels of IL-6 Production dramatically increased (411.99%) after RIF treatment. In contrast, RIF-induced IL-6 production was dose-dependently suppressed by administration of MEAS, NAC, and MEAS+NAC recorded (-39.00%,-55.21% and-56.07%, individually) when compared with the RIF group. Meanwhile, RIF administration decreased significantly (P<0.001) the level of IL-10 as compared to the control group. On the other hand, increased levels of IL-10 were recorded following the treatment of the RIF group with MEAS, NAC, or MEAS+NAC compared to the RIF group.
Table 3: Effects of treatment with RIF, MEAS, and NAC on inflammatory and anti-inflammatory markers in male rats
Groups parameters |
Con | RIF | RIF+MEAS | RIF+NAC | RIF+MEAS+NAC |
| IL-6 (pg/mg protein) | 15.85±1.36 | 81.15±4.76a***a(411.99%) | 49.50±1.91a***b*a(212.30%)b(-39.00%) | 36.35±3.89a**b**a(129.34%), b(-55.21%) | 35.65±2.39a***b**a(124.92%), b(-56.07%) |
| IL-10 (Pg/mg protein) | 127.85±8.05 | 59.40±1.78a*** a(-53.54%) | 98.05±2.57a**b** a(-23.31%) b(65.07%) | 105.95±2.45a*b** a(-17.13%) b(78.37%) | 118.00±2.14b*** a(-7.70%) b(98.65%) |
(Means±SE, n=10); * indicates P<0.05;** indicates P<0.01; *** indicates P<0.001, a: % of change from the normal control group; b: % of change from the Rif group.
Effects of treatment with RIF, MEAS, and NAC on apoptotic markers in male rats
As shown in table 4, administration of RIF significantly (P<0.001) upregulation the level of 8-(OH)dG (298.95%), indicating acceleration of apoptosis manifested by significant (P<0.01) downregulation in the level of Bcl2 (-62.87%) contrary to the control group. However, treatment of Rif group with MEAS or MEAS and NAC significantly improved the levels of 8-(OH)dG and Bcl2 near to normal levels compared to both of Rif and control groups (table 4).
Table 4: Effects of treatment with RIF, MEAS, and NAC on apoptotic and anti-apoptotic markers in male rats
Groups parameters |
Con | RIF | RIF+MEAS | RIF+NAC | RIF+MEAS+NAC |
8(OH)dG (ng/mg protein) |
0.95±0.04 | 3.79±0.41a***a(298.95%) | 2.18±0.07a***b*a(129.47%)b(-42.48%) | 1.91±0.06a**b** a(101.05%) b(-9.60%) | 1.14±0.04b** a(20.00%) b(-69.92%) |
Bcl2 (ng/mg protein) |
8.35±0.09 | 3.10±0.40a** a(-62.87%) | 4.95±0.72a**b* a(40.72%) b(59.68%) | 4.70±0.12a**b* a(-43.71%) b(51.61%) | 6.21±0.11a*b** a(-25.63%) b(100.32%) |
(Means±SE, n=10); * indicates P<0.05;** indicates P<0.01; *** indicates P<0.001, a: % of change from the normal control group; b: % of change from the RIF group.
Histopathological investigation
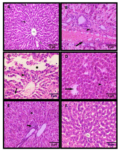
The liver tissue of healthful control rats showed an abundant central vein surrounded by an anastomose network of healthy hepatocytes and blood sinusoids in between (fig. 1A). But the administration of RIF caused marked damage in the liver as evident by dilatation of portal veins, scattering of a great amount of inflammatory cells, necrotic lesions, and degeneration of hepatocytes (fig. 1B, C). On the other hand, treatment with NAC revealed some changes in the liver tissue demonstrated by the degeneration of liver cells with necrotic foci (fig. 1B, D). Moreover, numerous scattered inflammatory infiltrative cells appeared in the tissue besides to dilatation in portal vein was noted in rats treated with MEAS (fig. 1E). However, The co-treatment with MEAS+NAC showed great improvement in the liver tissue evidenced by the appearance of healthy hepatocytes arranged to some extent normal architecture (fig. 1F).

Fig. 1: Histopathological analysis of liver tissue of control rats and different studied groups (H and E X 400). (A) Photomicrographs of liver sections of control showing normal hepatocytes (H) arranged around a central vein (CV) and separated by hepatic sinusoid (HS) containing kupffer cell (arrows). (B, C) hepatic Section of RIF treated rats displayed thickened dilated and congested portal vein (arrow) surrounded by scattered leucocytic inflammatory cell (head arrow), disorganized hepatic strands with dilated blood sinusoid (arrow), pyknosis (head arrow) and necrotic foci (*). (D) Liver Section of rats treated with NAC showing relatively healthy liver tissue with necrotic foci (arrow) and activation of kupffer cells (head arrow). (E) Liver section of rats treated with MEAS showing inflammatory cells (arrow) and vacuolar degeneration (head arrow). (F) The hepatic section of rats treated with MEAS and NAC showing the almost normal hepatic structure and central vein (CV)
The liver is an important organ that regulates numerous physiological processes. It contributes to the synthesis of vital molecules such as albumin, fibrinogen, cholesterol, and bile acid. It is a source of enzymes capable of transforming foreign molecules. As a result, it metabolizes and detoxifies various endogenous and exogenous compounds [30]. In view of this idea, the present study showed that rats treated with anti-tubercular drug RIF recorded a dose-dependent, significant (p<0.05) elevation in liver biomarkers enzymes as bilirubin, ALT, AST, ALP and GGT levels accompanied by decreases in the levels of total protein and total albumin when compared with the normal control group. These results may be due to a consequence of hepatic damage occur by RIF [31, 32]. The reduction in total protein and total albumin levels indicates that Rif administration caused an impairment of liver function through decreases the capacity of the liver to synthesis albumin from the hepatic parenchyma [33]. Also, the increase in serum bilirubin indicates to hepatobiliary disease and severe disturbance of hepatocellular function [34]. Furthermore, the present findings are also, consistent with Saraswathy et al. [35] who attributed the decrease in total protein level to the biotransformation of RIF into its active metabolism, 25-desacetyl rifampicin which reduced the drug-metabolizing enzymes and specifically binds to RNA polymerase which inhibits the nucleic acid and protein synthesis responsible for hepatotoxicity. Moreover, the disaggregation of polyribosomal profiles induced by antituberculosis drugs is also associated with the inhibition of protein synthesis, which may be parallelly responsible for the fatty liver, although it contributes to disabling of the cell [36].
The elevations in the levels of ALP and GGT in the present work may be due to the consequence of liver damage induced by RIF administration. Whereas ALP is mainly excreted by the liver in the cytoplasm of hepatocytes and the synthesis of ALP is increased when the liver cells are damaged, which leads to the increase of its level in the blood [37]. Moreover, GGT is considered one of the best indicators of liver damage, whereas it is embedded in the hepatocytes plasma membrane in the canalicular domain, and its liberation into serum indicates damage of the cells [38]. Interestingly, it has been reported that, in cases of liver damage with hepatocellular lesions and parenchymal cell necrosis, the liver marker enzymes are released from the damaged tissues into the bloodstream [39].
The results of the present study demonstrated that the co-administration of MEAS and NAC reduced significantly the toxic effects induced by RIF in the liver via decreasing the histopathological changes in the liver tissue and inhibiting the leakage of liver aminotransferases and ALP into the blood. Compatible with the present results, other studies reported that treatment with MEAS and NAC induced a significant decrease in serum ALT, AST, ALP and GGT activities reflected by increases in the levels of serum bilirubin, serum total protein and albumin in rats treated with the RIF in combination with other anti-tuberculosis drugs [40, 41]. In addition, the reduction is shown in the present study in the bilirubin levels and GGT activity in the RIF group treated with combined doses of MEAS and NAC probably proved their hepatoprotective and antioxidative effects.
It has been recognized that a high level of ROS may cause uncontrolled oxidative stress (Imbalance of prooxidants and antioxidants towards prooxidants) [42]. Furthermore, the alteration in lipid outline is the main factor for excessive lipid peroxidation and oxidative stress that resulted from the increase in ROS production and a reduction in antioxidant enzymes [43, 44]. Moreover, GSH is the most abundant thiol in mammalian tissue involved in the protection of the cell against damage from electrophiles free radicals and ROS formed during xenobiotic metabolism [45]. In the view of the aforementioned studies, the present results showed that oral administration of RIF produced a significant elevation in MDA levels associated with decreases in the levels of GSH. This could be attributed to the free radical formed either via the reaction of drug’s radicals with oxygen or through the interaction of superoxide radicals with hydrogen peroxide, which appeared to initiate lipid peroxidation in RIF-treated rats, suggesting that increased lipid peroxidation might be associated with cellular damage [17]. Also, the reduction found in GSH levels in RIF administered rats may be due to its increased utilization for enhancing the activities of GSH related enzymes GPX and GR [46]. Besides, previous studies stated that RIF alone or in combination with other anti-tuberculosis drugs caused a significant decrease in the hepatic antioxidant defense system and a significant increase in the MDA levels, probably due to excessive production of ROS [17].
The present data indicated that treatment with MEAS and NAC or both resulted in significant decreases in MDA levels reflected by increases in GSH levels as compared to the RIF group. This could be due to MEAS and NAC exerted antioxidative and hepatoprotective activity, leading to reducing the hepatic oxidative stress and liver injury. In accordance with current results, Nandhakumar and Indumathi, [47] and Kalidindi et al. [48] reported that MEAS displayed significant inhibition of free radical scavenging activity including of α, α-diphenyl-β-picrylhydrazyl (DPPH) radical scavenging activity, NO scavenging activity, O2 scavenging activity and OH scavenging activity, which suggest that methanol extract has higher antioxidant activity due to a higher presence of phenolic and flavonodal constituents in the methanol extract.
On the other hand, NAC generated from thiol-including amino acid cysteine, is an antioxidant and is a precursor for glutathione [49]. Due to the existence of thiol or sulfhydryl group (-SH), it could exert antioxidant action by stimulating intracellular GSH production. Therefore, it substitutes intracellular non-enzymatic antioxidant status like glutathione as well as enhances the activity of glutathione-s-transferase along with the up-regulation of other intracellular antioxidant enzyme level and thus it could be able to influence detoxification [50].
In the current investigations, RIF administrated to rats increased significantly the productions of hepatic inflammatory and apoptotic markers IL-6 and 8-OHdG complemented by a significant reduction in the hepatic IL-10 and B-cl2 compared with the normal control group. This result was in line with the observations reported in previous studies, which demonstrated that prolonged rifampicin treatment can induce inflammation and necrosis in the kidney cells and acute kidney injury [51]. Moreover, it has been shown that patients being given tuberculosis therapy are at greater risk of the immune reorganization inflammatory syndrome, an immediate inflammation and cytokine storm syndrome [52]. Furthermore, Nathiya et al. [53] confirmed that oral administration of antitubercular drugs enhances the expression of NF-κB and TNF-α, which could be due to the triggering of the extrinsic apoptotic pathway by the ROS. Interestingly, Over-production of ROS can cause liver inflammation and progressive liver inflammation promotes the production of interleukins 1 and 6, which act as fibroblast growth factors, by Kupffer cells [54].
The present findings have further shown that the administration of MEAS, NAC, or their combination to RIF treated rats markedly down-regulated the levels of hepatic IL-6, 8-OHdG and up-regulated the hepatic levels of IL-10 and B-cl2. This could be attributed to their antioxidant and free radicals-scavenging activities, which confirmed their antioxidant effects in protecting cells against free radical and nuclear DNA damage related to RIF. The synergetic action of MEAS in enhancing the antioxidant status and reducing stress-mediated DNA damage explained depending on the fact that Annona squamosa contains flavonoids which might have scavenged the free radical offering hepatoprotection [11]. Moreover, Reliene and Schiestl [55] reported that NAC inhibited chemically-induced oxidative stresses and DNA damage through directly binding to chemical groups such as thiol group or DNA base in different models. Furthermore, Earlier studies have shown that NAC can exert a cytoprotective effect in different thiol-depleting cell death through binding to TNF-α and attenuate apoptosis via inhibiting the expression of some apoptosis-related genes [56, 57].
The present data of histological analysis revealed that RIF induced major impairments on liver tissue displayed by dilatation in portal veins with destruction in its walls; heavy leucocytic infiltration surrounded by necrotic lesions was observed. Also, Hepatic cells suffered severely from degeneration and karyolysis. This result coincides with the study of Abrar et al.[58] who observed varying degrees of damage in hepatic tissue after RIF treatment, as inflammation and dilation of central and portal vein with congestion. In addition to, swelling of hepatocytes, fatty degeneration, vacuolization and alterations were also observed. Moreover, leucocytic infiltration and necrotic lesions were abundant in the tissue. Besides, an increase in the number of kupffer cells and destruction in the whole architecture of the hepatic cells [33, 59]. In the present study, the administration of MEAS or NAC alone showed minor histopathological alterations in the liver tissue as evidenced by cytoplasmic degeneration, cellular necrosis, minimal inflammation and vacuolar degeneration [11, 40]. This observation was compensated by the co-administration of MEAS and NAC and restored the liver tissue to its normal architecture.
Finally, the current histopathological observations confirmed biochemical findings, possibly through declining oxidative stress, DNA damage, and restoring homeostasis, indicating that co-treatment of MEAS and NAC conferred a marked hepatoprotection against RIF induced hepatotoxicity in male rats.
The present findings demonstrated that the co-treatment of MEAS and NAC seems to be more effective and curative than alone treatment of MEAS or NAC and strongly compensated the liver damage induced by rifampicin via enhancing the antioxidant status and reducing lipid peroxidation, as well as reducing the inflammation and apoptosis. The present study suggested that the combination of MEAS and NAC treatment has a significant therapeutic benefit when administered with rifampicin treatment to overcome the hepatotoxicity due to the anti-inflammatory and anti-apoptotic effect of MEAS and NAC.
This research did not receive any specific grant from funding agencies in the public, commercial, or not-for-profit sectors.
All authors responsible for the concept of the study, design of experiments and supervision of experimental work; Bosy A Abd El-Motelp and Hader F Darwish were analyzed the data, wrote and revised the manuscript; Samiha M Abd El Dayem participated in the revision of the manuscript; All authors have read and approved the final manuscript.
All authors declare that they have no conflicts of interest that influenced this work.
Kumar V, Sharma A, Machawal L, Khan AA. the beneficial role of herbal hepatoprotectants: a novel approach to prevent hepatotoxicity due to antituberculosis treatment. J Biomed Pharm Res 2013;2:181-93.
WHO. Global TB report. 20th edition. World health organization; 2015.
Kishore PV, Palaian S, Paudel R, Mishra P, Prabhu M, Shankar PR. Drug-induced hepatitis with antitubercular chemotherapy: challenges and difficulties in treatment. Kathmandu Univ Med J 2007;5:256-60.
Baskaran UL, Sabina EP. Clinical and experimental research in antituberculosis drug-induced hepatotoxicity: a review. J Integr Med 2017;15:27–36.
Singh J, Garg PK, Tandon RK. Hepatotoxicity due to antituberculosis therapy. Clinical profile and reintroduction of therapy. J Clin Gastroenterol 1996;22:211-4.
Sodhi CP, Rana SV, Mehta SK, Vaiphei K, Attari S, Mehta S, et al. Study of oxidative-stress in isoniazid-rifampicin induced hepatic injury in young rats. Drug Chem Toxicol 1997;20:255-69.
Aruoma OI. Methodological considerations for characterizing potential antioxidant actions of bioactive components in food plants. Mutat Res 2003;920:523–24.
Suja SR, Latha PG, Pushpangadan P, Rajasekharan S. Aphrodisiac property of Helminthostachys zeylanica in mice. J Trop Med Plant 2002;3:191–5.
Mariod AA, Abdelwahab SI, Elkheir S, Ahmed YM, Fauzi PN, Chuen CS, et al. Antioxidant activity of different parts from Annona squamosa and Catunaregam nilotica methanolic extract. Acta Sci Pol Technol Aliment 2012;11:249-58.
Kaleem M, Asif M, Ahmed QU, Bano B. Antidiabetic and antioxidant activity of Annona Squamosa extract in streptozotocin-induced diabetic rats. Singapore Med J 2006;47:670-5.
Uduma MSTS, Sundarapandian R, Muthumanikkam A, Kalimuthu G, Parameswari A, Srinivas TRV, et al. Protective effect of methanolic extract of Annona Squamosa Linn in isonizid-rifampicin induced hepatoxicity in rats. Pak J Pharm Sci 2011;24:129-34.
Nakano H, Boudjema K, Jaeck D, Alexandre E, Imbs P, Chenard MP, et al. Amelioration of hepatocellular integrity and inhibition of sinusoidal oxidative stress by N-acetylcysteine pretreatment in cold ischemia-reperfusion injury of rat liver. Eur Surg Res 1996;28:245-55.
Tobwala S, Khayyat A, Fan W, Ercal N. Comparative evaluation of N-acetylcysteine and N-acetylcysteineamide in acetaminophen-induced hepatotoxicity in human hepatoma HepaRG cells. Exp Biol Med 2005;240:261–72.
Thampi A, Joy J, Kumar G, Sreekrishnan TP, Ajith V. N-acetylcysteine in non acetaminophen-related acute liver injury. Asian J Pharm Clin Res 2016;9:7-8.
Sen H, Deniz S, Yedekci AE, Inangil G, Muftuoglu T, Haholu A, et al. Effects of dexpanthenol and N-acetylcysteine pretreatment in rats before renal ischemia/reperfusion injury. Ren Fail 2014;36:1570–4.
Attri S, Rana SV, Vaiphei K, Sodhi CP, Katyal R, Goel RC, et al. Isoniazid-and rifampicin-induced oxidative hepatic injury protection by N-acetylcysteine. Hum Exp Toxicol 2000;19:517-22.
Lian Y, Zhao J, Xu P, Wang Y, Zhao J, Jia L, et al. Protective effects of metallothionein on isoniazid and rifampicin-induced hepatotoxicity in mice. PLoS One 2013;8:0-72058.
Rana SV, Attri S, Vaiphei K, Pal R, Attri A, Singh K. Role of N-acetylcysteine in the rifampicin-induced hepatic injury of young rats. World J Gastroenterol 2006;12:287-91.
Kaplan A. Bilirubin clin chem the C. V. mosby co. st louis. Toronto Princeton 1984;436,650:1238-41.
Lowry OH, Rosebrough NJ, Farr AL, Randall RJ. Protein measurement with the folin phenol reagent. J Biol Chem 1951;193:265-75.
Doumas BT, Biggs HG. Standard methods of clinical chemistry, Academic Press, NY; 1976;7:175.
Tietz NW. Fundamentals of clinical chemistry. 2nd Edn. WB Saunders. Philadelphia; 1976. p. 878.
Belfield A, Goldberg DM. Revised assay for serum phenyl phosphatase activity using 4-amino antipyrine. Enzyme 1971;12:561-73.
Szasz G, Persijn JP. Method for γ–glutamyltransferase (γGT). Clin Chem Clin Biochem 1974;12:228.
Ohkawa H, Ohish N, Yagi K. Assay for lipid peroxidase in animal tissues by thiobarbituric acid reaction. Anal Biochem 1979;95:351-8.
Beutler E, Duron O, Kelly BM. Improved method of the determination of blood glutathione. J Lab Clin Med 1963;61:882-8.
Boulanger MJ, Chow D, Brevnova EE, Garcia KC. Hexameric structure and assembly of the interleukin-6/IL-6 alpha-receptor/gp130 complex. Science 2003;300:2101-4.
Eskdale J, Kube D, Tesch H, Gallagher G. Mapping of the human IL10 gene and further characterization of the 5' flanking sequence. Immunogenetics 1997;46:120–8.
Banchroft JD, Stevens A, Turner DR. Theory and practice of histological techniques. 4th ed. New York, London, San Francisco, Tokyo: Churchil Livingstone; 1996. p. 766.
Bedi O, Bijjem KRV, Kumar P, Gauttam V. Herbal induced hepatoprotection and hepatotoxicity: a critical review. Indian J Physiol Pharmacol 2016;60:6-21.
Rafiq S, Iqbal T, Jamil A, Khan FH. Pharmacokinetic studies of rifampicin in healthy volunteers and tuberculosis patients. Int J Agric Biol 2010;12:391–5.
Jadhav VB, Thakare VN, Suralkar AA, Deshpande AD, Naik SR. Hepatoprotective activity of Luffa acutangula. Indian J Exp Biol 2010;48:822-9.
Shabana MB, Ibrahim HM, Khadre SEM, Elemam MG. Influence of rifampicin and tetracycline administration on some biochemical and histological parameters in albino rats. J Basic Appl Zool 2012;65:299–308.
Kissler HJ, Hauffen J, Hennig R, Gepp H, Schwille PO. Glucose and lipid metabolism after liver transplantation in inbred rats: consequences of hepatic denervation. Metabolism 2005;54:881-90.
Saraswathy SD, Devi CSS. Modulating effect of Liv.100, an ayurvedic formulation on antituberculosis drug-induced alterations in rat liver microsomes. Phytother Res 2001;15:501–5.
Balakrishnan A, Menon PV. Effect of hesperdin on nicotine toxicity and histological studies. Toxicol Mechan Methods 2007;17:233-9.
Sheweita SA, Abd EM, Bastawy M. Carbon tetrachloride-induced changes in the activity of phase ii drug-metabolizing enzyme in the liver of male rats: role of antioxidants. Toxicology 2001;165:217-24.
Hussain T, Siddiqui HH, Fareed S, Vijiayakumar M, Rao CV. Evaluation of chemo-preventive effect of Fumaria indica against N-nitroso-diethylamine and CCL4-induced hepatocellular carcinoma in wistar rats. Asian Pac J Trop Med 2012;5:623-9.
Farrell GC. Drug-induced liver disease. Churchill Living Stone, London; 1995. p. 413–30.
Qader GI, Aziz RS, Ahmed ZA, Abdullah ZF, Hussain SA. Protective effects of quercetin against isoniazid and rifampicin induced hepatotoxicity in rats. Am J Pharmacol Sci 2014;2:56-60.
Farazi A, Sofian M, Jabbarias M. Efficacy of N-acetylcysteine on prevention of antituberculosis drug-induced hepatotoxicity. World J Med Sci 2015;12:413-8.
Ayala A, Munoz MF, Arguelles S. Lipid peroxidation: production, metabolism and signaling mechanisms of malondialdehyde and 4-hydroxy-2-nonenal. Oxidative Med Cell Long 2014;6:360-438.
Abd El Dayem MS, Fouda MF, Ali HAE, Abd El Motelp BA. The antitumor effects of tetrodotoxin and/or doxorubicin on Ehrlich ascites carcinoma-bearing female mice. Toxicol Indus Health 2012:1-14. https://doi.org/10.1177/ 0748233711434955.
Serki E, Hemmati M, Pourtalebi Firoozabadi A. A preliminary study of comparison of the preventive and therapeutic effect of green and white tea against rifampicin-induced chronic hepatotoxicity in rats. Am J Clin Exper Med 2017;5:145-50.
Meister A. Glutathione deficiency produced by inhibition of its synthesis, and its reversal; applications in research and therapy. Pharmacol Ther 1991;51:155–94.
Kumar S, Gangulay NK, Kohli KK. Inhibition of cellular glutathione biosynthesis by rifampicin in Mycobacterium smegmatis. Biochem lnt 1992;26:468-76.
Nandhakumar E, Indumathi P. In vitro antioxidant activities of methanol and aqueous extract of Annona squamosa (L.) fruit pulp. J Acupunct Meridian Stud 2013;6:142-8.
Kalidindi N, Thimmaiah NV, Jagadeesh NV, Nandeep R, Swetha S, Kalidindi B, et al. Antifungal and antioxidant activities of organic and aqueous extracts of Annona squamosa Linn leaves. J Food Drug Anal 2015;23:795-802.
Hamid ZA, Tan HY, Chow PW, Harto KAW, Chan CY, Mohamed J, et al. The role of n-acetylcysteine supplementation on the oxidative stress levels, genotoxicity and lineage commitment potential of ex vivo murine hematopoietic stem/progenitor cells. Sultan Qaboos Univ Med J 2018;18:130-6.
Dash M, Maity M, Dey A, Perveen H, Khatun S, Jana L, et al. The consequence of NAC on sodium arsenite-induced uterine oxidative stress. Toxicol Rep 2018;5:278–87.
Chang C, Yen Fu C, Vin Cent W, Chin Chung S, Chih Hsin L, Jann Yuan W, et al. Acute kidney injury due to anti-tuberculosis drugs: a five-year experience in an aging population. BMC Infect Dis 2014;14:23.
Müller M, Wandel S, Colebunders R, Attia S, Furrer H, Egger M, et al. Immune reconstitution inflammatory syndrome in patients starting antiretroviral therapy for HIV infection: a systematic review and meta-analysis. Lancet Infect Dis 2010;10:251–61.
Nathiya S, Rajaram S, Abraham P. Hesperidin alleviates antitubercular drug induced oxidative stress, inflammation and apoptosis in rat liver. Internat J Biomed Res 2016;7:439-46.
Hoek JB, Pastorino JG. Ethanol, oxidative stress, and cytokine-induced liver cell injury. Alcohol 2002;27:63–8.
Reliene R, Schiestl RH. Antioxidant n-acetyl cysteine reduces the incidence and multiplicity of lymphoma in atm deficient mice. DNA Repair (Amst) 2006;5:852–9.
Liu B, Andrieu Abadie N, Levade T, Zhang P, Obeid LM, Hannun YA, et al. Glutathione regulation of neutral sphingomyelinase in tumor necrosis factor-alpha-induced cell death. J Biol Chem 1998;273:11313–20.
Kang R, Li R, Dai P, Li Z, Li Y, Li C, et al. Deoxynivalenol induced apoptosis and inflammation of IPEC-J2 cells by promoting ROS production. Environ Pollut 2019;251:689-69.
Abrar H, Naqvi SNH, Ahmed MR, Ali AB, Yasin H, Perveen R, et al. Effect of propranolol on hepatic blood flow for reduction of the hepatotoxicity of rifampicin in rabbits. Med Forum 2017;28:105-9.
Awodele O, Akintonwa A, Osunkalu VO, Coker HAB. Modulatory activity of antioxidants against the toxicity of rifampicin in vivo. Rev Inst Med Trop S Paulo 2010;52:43–6.