*Laboratory of Plant Biochemistry and Natural Substances, Department of Biology, Faculty of Biology, University of Oran, Algeria, **Laboratory of Plant Biochemistry and Natural Substances, University Center of Naama, Algeria.
Email: rihabhaddi@yahoo.fr
Received: 08 Sep 2014 Revised and Accepted: 05 Oct 2014
ABSTRACT
Objective: The aim of this study is to evaluate the inhibition of the xanthine oxydase (XO) by the crude extract of Pistacia lentiscus L. leaves and their subsequent fractions (chloroformic, ethyl acetate, butanolic and aqueous) in order to find a natural substitute which could have a superior effect of inhibiting XO activity and can be used as an alternative to allopurinol witch is used in therapeutic and clinical management of gout.
Methods: The degree of XO inhibitory activity was determined by measuring the absorbance spectrophotometrically at 295 nm, which is associated with uric acid formation. The different extracts were subjected to chemical screening for preliminary identification of the secondary metabolites. Phenolic acids and flavonoids detected were quantitatively determined.
Results: The results have shown that the crude and ethyl acetate extracts were found to have XO inhibitory activity reaching more than 50 % at a concentration of 100 mg/mL (ethyl acetate fraction with 60.2 %, Necessary concentration to inhibe 50% of xanthine oxidase (IC50) = 2.50, the crude with 55.3 %, IC50 = 2.57), for the butanolic fraction the inhibition reaches 17.5 %, the aqueous 15.4 % and chloroformic 4.5 %.
The comparison was also made with a positive control allopurinol at a concentration of 100μg/mL. The result shows a slight difference, allopurinol has exhibited the highest XO inhibitory activity (71.8 %).
The phytochemical tests show various fluorescence, the quantitative dosage of total phenolic compounds and flavonoids shows respectively a quantities of 246.7 mg gallic acid equivalent (GA) eq /g and 70.9 mg catechin equivalent (Cat) eq /g of lyophilized powder for the crude extract.
Conclusion: These results suggest that the crude and ethyl acetate extracts of Pistacia lentiscus leaves can be used as an alternative to allopurinol due to their high inhibition activity of XO.
Keywords: Pistacia lentiscus L, Xanthine oxydase inhibitor, TLC, Phenolic compounds, Flavonoids.
INTRODUCTION
Xanthine Oxidase (EC 1.2.3.2.) is an enzyme responsible for catalyzing the oxidation of hypoxanthine to xanthine that subsequently generates uric acid [1]. XO is distributed most abundantly in the liver and intestine [2]. It acts at the end of a catabolic sequence of the purine nucleotide metabolism in humans and few other uricotelic species [3]. It generates superoxide radical (O2-) during oxidation of substrates [2], subsequently plays an important role in various forms of inflammatory diseases [4], several types of tissue and vascular injuries [5], and chronic heart failure [6].
The overproduction and/or under excretion of the uric acid lead to the incidence of hyperuricemia such as gout and recurrent attacks of arthritis [7]. One of the therapeutic approaches to treat gout is the use of XO inhibitors [8, 3] that block the biosynthesis of uric acid from purine in the body [3] and it is believed that either by increasing the excretion of uric acid or reducing the uric acid production helps to reduce the risk of gout [9].
Allopurinol is one of the many known synthetic XO inhibitors that is widely used in the therapeutic and clinical management of gout [6]. Since, allopurinol generates superoxide [5], it gives inevitably rise to the severe adverse effects such as hepatitis [10], nephropathy, allergic reactions and 6-mercaptopurine toxicity, a fatal complication known as “allopurinol hypersensitivity syndrome” [11]. Therefore, there is an urgent need to search for new XO inhibitors.
The appropriate uses of botanical plants to treat various diseases are gaining new interest [3, 12-13]. The plants and their phytochemicals are worth to be explored as potential XO inhibitory as they are already used as food or food supplements for many years and found safe for human bodies [14]. Polyphenols [15], flavonoids [16, 17], coumarins [18], ellagic acid, valoneic acid dilactone (VAD) [3] have been reported to be potent plant-based XO inhibitors.
This research will contribute to value at best the potential health of the Algerian plants and in the treatment of the main degenerative pathologies which affect a big part of the population.
In this study we have select a plant from the Anacardiaceae family: Pistacia lentiscus L., our choice was based on the large therapeutic use of this plant by the algerian population.
Pistacia lentiscus L. is an evergreen shrub or tree of the Anacardiaceae family, is a dense bush with a strong characteristic aroma and green leaves, largely distributed in extreme ecosystems of Mediterranean basin [19]. Pistacia lentiscus L. has a long tradition in folk medicine dating from the times of the ancient Greeks [20]. It is used as an antibacterial [21] and antiulcer agent [22]. The aerial parts of this species have traditionally been used in mediterranean area as a popular cure for hypertension and possesses diuretic properties [23].
Flavonoid glycosides have been isolated from the arial parts of Pistacia lentiscus [24] and the polyphenolic composition of the leaves has also been reported [25, 26]. Presence of Triterpens [27], essentials oils [28, 29], saponins [27] and absence of alkaloids [30]. The leaves are used for the treatment of eczema, diarrhea and throat infections coughs, stomach aches, kidney stones and jaundice [22, 31, 32].
Therefore, this research aims to evaluate XO inhibitory activity from crude aqueous extracts of Pistacia lentiscus leaves and its subsequent fractions (chloroformic, ethyl acetate, butanolic and aqueous fractions) as to find a natural substitute of plant origin, which could have a superior effect of inhibiting XO activity and can be used as an alternative to allopurinol.
MATERIALS AND METHODS
Chemicals and reagents
Zyloric® a drug containing allopurinol (100 mg, excipient: lactose) was used, xanthine and xanthine oxidase were purchased from Sigma-Aldrich Chemicals, dimethylsulphoxide (DMSO), hydrochloric acid (HCl), sodium phosphate buffer (sodium dihydrogene phosphate (NaH2PO4, 2 H2O) and disodium hydrogene phosphate (Na2HPO4, 12 H2O) were purchased from Biochem Chemopharma. All organic solvents (analytical-reagent grade) and Thin Layer Chromatography (TLC) sheets (Silicagel 60 F254, 0.2 mm thickness) were purchased from Merck. Gallic acid, catechin, cinnamic acid, vanilic acid and ascorbic acid were obtained from Fluka Chemie.
Plant material
Fully-expanded leaves were collected from adult plants of Pistacia lentiscus L. growing in Misserghin forest in north-west of Algeria at November 2007. The plant material was authenticated by Pr. Abderrazak MAROUF (University of Naama, Laboratory of Plant Biochemistry and Natural Substances).
Preparation of plant extract
The leaves of Pistacia lentiscus were cut into small pieces and dried in hot air oven at 45 °C then grinded. The aqueous extract was prepared by refluxing (60 - 70 °C), 10 g of vegetal powder mixed with 100 mL of distilled water for 30 min. This operation was repeated thrice with fresh solvent each time, followed by filtration. Filtered extracts were collected and lyophilized to dryness.
Fractionation
With the aim of separating the constituents of the aqueous extract, the lyophilized extract was partitioned by using three organic solvents of increasing polarities: chloroform (CHCl3), ethyl acetate (AcOEt) and n-butanol(n-BuOH) fig. 1.
The organics fractions were evaporated to dryness under vacuum (Büchi Rotavapor) and the aqueous fraction was lyophilized.
Xanthine oxidase inhibitory activity assay
The inhibitory effect on XO was measured spectrophotometrically at 295 nm under aerobic condition, following the method reported by [3] and [9]. Allopurinol (100 μg/mL) was used as a positive control for the inhibition test.
The reaction mixture consisted of 300 μL of 50 mM sodium phosphate buffer (pH 7.5), 100 μL of sample solution at different concentrations (10, 25, 50, 75 and 100 mg/mL) dissolved in DMSO, 100 μL of freshly prepared enzyme solution (0.2 units/mL of XO in phosphate buffer) and 100 μL of distilled water.

Fig. 1: Liquid-liquid fractionation
The assay mixture was pre-incubated at 37 °C for 15 min. Then, 200 μL of substrate solution (0.15 mM of xanthine) was added to the mixture which was incubated at 37 °C for 30 min. Next, the reaction was stopped with the addition of 200 μL of 0.5 M HCl. The absorbance was measured using UV/VIS spectrophotometer (8500 P Double-Beam Spectrophotometer) against a blank prepared in the same way but the enzyme solution was replaced with the phosphate buffer. Another reaction mixture was prepared (control) having 100 μL of DMSO instead of test sample in order to have maximum uric acid formation. The equation reported by [33] was used to evaluate the degree of XO inhibitory activity, in which α is the activity of XO without test extract and β is the activity of XO with test extract.
% XO inhibition = (1 – β / α) x 100
XO inhibitory activity (%) is based on triplicate measurements and the results are expressed as means.
Phytochemical screening
For each fraction of the plant, a phytochemical screening was performed for the presence of secondary metabolites by using TLC analyses. The development was performed on aluminum plates coated with silica gel 60 F254. The volume of each sample was 50 µL, for the phenolic acids the volume used for each standard was 10 µL. The chromatograms were analyzed under 254 and 365 nm UV light and then sprayed with specific reagents according to the class of compounds investigated. The solvent systems and the spray reagents are shown in table 1.
Table 1: Phytoconstituents, solvent systems and spray reagents [34]
| Phytoconstituents | Solvent systems | Spray reagents |
| Flavonoids | Ethyl acetate: Formica cid: Acetic acid: water (100:11:11:26) |
Neu |
| Phenolic acids | Folin-Ciocalteu | |
| Terpenoids | Anisaldehyde | |
| Sesquiterpene lactons | Zimmermann | |
| Coumarins | KOH | |
| Anthracenic derivatives | KOH | |
| Alkaloids | Dichloromethan: Methanol: Amoniac hydroxide (95:5:0.5) |
Dragendorff |
| Saponins | Chloroform: Methanol: Water (64:40: 8) |
Komarowsky |
| Cardiotonic glycosides | Ethyl acetate: Methanol: Water (100: 13.5: 10) |
Antimony chloride III (ASbCl3) |
| Free quinones | Ethyl acetate: Methanol: Water (100: 17: 13) |
KOH |
| Lignans | Chloroform: Methanol: Water (70: 30: 4) |
Vanilline H2SO4 |
Determination of total phenolic compounds
The total phenolic compounds contents in the plant extracts were determined by colorimetric assay, using the Folin-Ciocalteu reagent [35]and gallic acid as a standard, aliquot of 100 µL of the plant extracts in methanol was mixed thoroughly with 500 µL of a 10 % Folin-Ciocalteu reagent (in water). After 5 min of incubation in obscurity, 1.5 mL of a 2 % sodium bicarbonate (NaCO3) in water was added; the mixture was mixed and incubated for 1 h in obscurity. The absorbance was measured at 765 nm against blank prepared similarly, by replacing extract with methanol, using a spectrophotometer. The concentration of total phenolic compounds was determined as mg of (GA) eq/g of lyophilizied powder, using the equation obtained from the standard gallic acid curve.
Determination of total flavonoids
The total flavonoids content was determined using the method described by [36]. An aliquot of 500 µL of plant extracts in methanol was mixed with 1500 µL of distilled water followed by addition of 150 µL of a 5 % Sodium nitrate (NaNO2) in water and the mixture allowed to react for 5 min. Following this, 150 µL of a 10 % chloride of aluminium (AlCl3) in water was added and the mixture stood for further 6 min. Finally, the reaction mixture was treated with 500 µL of 1M sodium hydroxide (NaOH) in water and the absorbance at 510 nm was obtained against a blank prepared similarly, by replacing extract with methanol using a spectrophotometer. Total flavonoids content was calculated from a calibration curve using catechin as standard and expressed as mg of (Cat) eq/g of lyophilized plant extract. The experiment was done in triplicate.
RESULTS
Xanthine oxidase inhibitory activity
The evaluation of XO inhibitory activity of different extracts of Pistacia lentiscus (crude, chloroformic, ethyl acetate, butanolic and aqueous) were conducted at different concentrations. The results are shown in fig. 2.

Fig. 2: XO inhibitory activity (%) by crude extract and subsequent fractions of Pistacia lentiscus
The crude and ethyl acetate extracts were found to have XO inhibitory activity reaching more than 50 % at a concentration of 100 mg/mL. The highest XO inhibitors activity was the ethyl acetate fraction with 60.2 % (IC50 = 2.50 mg/mL), the crude with 55.3 % (IC50= 2.57 mg/mL), butanolic 17.5 %, aqueous 15.4 % and chloroformic 4.5 %.
The comparison was also made between the different extracts of Pistacia lentiscus and the positive control allopurinol at a concentration of 100 μg/mL. The result shows a slight difference of the inhibition activity between the crude extract (55.3 %), ethyl acetate (62.3 %) and allopurinol witch has exhibited the highest XO inhibitory activity (71.8 %). The results are shown in fig. 3.

Fig. 3: XO inhibitory activity (%) of the crude extract and subsequent fractions of Pistacia lentiscus at 100 mg/mL compared to allopurinol at 100 µg/ml
Qualitative and quantitative analysis of the secondary metabolites
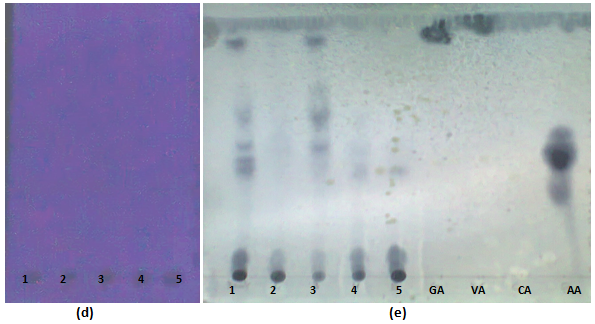
The crude extract of Pistacia lentiscus leaves and its organic fractions were subjected to chemical screening for preliminary identification of the secondary metabolites that may be accounted for XO inhibitory activity employing previously described methodologies [34]. The results are recapitulated in table 2 and fig. 4.
Table 2: Phytochemical screening of Pistacia lentiscus extracts
| Phytoconstituents | Crude extract | Chloroformic fraction | Ethyl acetate fraction | Butanolic fraction | Aqueous fraction |
| Phenolic acids | +++ | - | +++ | ++ | + |
| Flavonoids | +++ | - | +++ | ++ | + |
| Alkaloids | - | - | - | - | - |
| Saponins | +++ | - | +++ | ++ | ++ |
| Coumarins | ++ | - | ++ | + | - |
| Lignans | ++ | - | ++ | + | + |
| Free quinones | +++ | - | +++ | ++ | - |
| Sesquiterpene lactones | ++ | - | ++ | + | + |
| Triperpenes | ++ | - | ++ | + | + |
| Cardiotonic glycosides | + | - | + | + | - |
| Anthracenic derivatives | + | - | + | + | - |
Strong presence: +++, moderate presence: ++, trace: +, negative result: -
The phytochemical tests carried out on the crude extract of Pistacia lentiscus and subsequent fractions (mainly in the ethyl acetate fraction) made it possible to highlight various fluorescences (yellow, yellow orange, yellow green, orange, blue green, blue, purple) witch explain the presence of several classes of secondary metabolites: flavonols (yellow color), flavones (purple), anthocyanes (red color), phenolic acids as gallic acid and ascorbic acid, saponins, terpenoids, free quinones.
The secondary metabolites mainly phenolic acids and flavonoids detected in the crude extract of Pistacia lentiscus leaves were quantitatively determined according to the previously reported methodologies [35, 36].
The amount of total phenolics acids of the crude extract are obtained from a standard curve of gallic acid (y = 104.4 x – 0.002, R2 = 0.996). This extract contains 246.7 mg (GA) eq /g of lyophilized powder. Using the AlCl3 reagent and catechin as standard (y = 0.0414x – 0.0026, R2= 0.996) the amount of total flavonoids is 70.9 mg (Cat) eq /g of lyophilized powder
DISCUSSION
The results obtained show the richness of the crude extract and ethyl acetate fraction of Pistacia lentiscus by diverse chemical structures of secondary metabolites (table 2, figure3). The leaves of Pistacia lentiscus contain mainly phenolic acids: vanillic acid, cafeic acid [37], gallic acid and derivatives, quinic acid and coumaric acid [38, 39].



(a): Flavonoids, (b): Coumarins, (c): Terpenoids, (d): Alkaloids, (e): Phenolic acids, (f): Lignans,, (g): Saponins, (h): Sesquiterpens lactones
1: crude extract, 2: chloroformic fraction, 3: ethyl acetate fraction, 4: butanolic fraction, 5: aqueous fraction Samples of phenolic acids: GA: gallic acid, VA, vanilic acid, CA: cinnamic acid, AA: ascorbic acid
Fig. 4: Some of the secondary metabolites detected in the crude extract and subsequent fractions of Pistacia lentiscus
Several classes of flavonoids are also detected among flavones (luteolin, tricin and chrysoeriol), flavonols (myricetin, quercetin) and kaempferol [37, 39], anthocyanins (delphinidin 3-O-glycoside and cyanidin 3-O-glucoside) [38], triterpens [40] catechic and gallic tannins [30], heterosides (orientin, isoorientin, vitexin and rutin) [37] and saponins [40]. Concerning the detection of alkaloids, our results show the absence of these compounds which matches the sudy of Lamnaouer [30].
These compounds have a powerful antioxidant capacity, a capacity to decrease the peroxidation degree [41], as well as hepatoprotective, anti-inflammatory, and anticancer effects [37, 38, 39, 42].
Many studies estimated the inhibitive effect of various plants on the activity of XO [43,44,45], this inhibitive activity can be atributed to the presence of different bioactive compounds such as polyphenols [46], tannins [47] and flavonoids including myricetin, apigenin, quercetin and isovitexin [48,49], coumarins and kaempferol [15, 18, 50,51].
The results demonstrated a lower XO inhibitory activity in butanolic, aqueous and chloroformic fractions which is probably due to limited bioactive compounds presence depending on the solvent used for extraction.
The ethyl acetate solvent has shown better capacity to extract XO inhibitors, so better characteristic in obtaining high percentage of XO inhibitors activity [52].
Many studies showed that the flavonoids are natural inhibitors of XO and they act as competitive inhibitors by the existence of similarity between the cycle A of flavonoids and purinic noyau of hypoxanthine and xanthine [50,51]. These substances inhibit the XO by blocking the fixation of the substrate in active sites of enzyme [53].
Cos and collaborators [54] determined the relation between chemical structure of flavonoids and their inhibitive activity of XO. They showed the existence of double bounds between the carbons C2 and C3, and absence of hydroxyle groups in C3 increasing their inhibitive activity. They also showed that glycosyled flavonoids have lower activity than non glucosyled flavonoids, example the rutin is almost ten times less active than the quercetin.
Our result matches with the study of [55] which shows a XO inhibition of allopurinol starting from a concentration of 5 μg/mL. The highest percentage reaches a 93.69 % at a concentration of 100 µg/mL.
Based on these results, allopurinol remains the higher inhibitor used for the treatment of gout and other related-inflammatory diseases [6]. Due to the many side effects caused by allopurinol, it is better to utilize natural XO inhibitors instead of it. These results could be helpful in the use of Pistacia lentiscus leaves as an alternative to allopurinol.
CONCLUSION
The aim of this research was to evaluate the inhibition of XO by different extracts of Pistacia lentiscus leaves in order to substitute a medicine (allopurinol) used in the treatment of gout.
The phytochemical screening of the crude extract and ethyl acetate fraction showed the presence of several classes of secondary metabolites mainly: phenolic acids and flavonoids which were quantified by spectrophotometer method. These two extracts presented the highest inhibitive activity of XO due to their abundance in bioactive compounds. These results suggest that the crude and ethyl acetate extracts of Pistacia lentiscus leaves can be used as an alternative to allopurinol.
Corresponding author
Rihab HADDI, Laboratory of Plant Biochemistry and Natural Substances, Department of Biology, Faculty of Biology, University of Oran, Algeria.
CONFLICT OF INTERESTS
Declared None
REFERENCES
, Sanz MJ, Paya M. Hypotensive effect of pistacia lentiscus L. Pharm Biol 1987;25(1):1–3.
, Sanz MJ, Paya M. Hypotensive effect of pistacia lentiscus l. Pharm Biol 1987;25(1):1–3.