
1Biotechnology Research Institute, 2Borneo Marine Research Institute, Universiti Malaysia Sabah, Jalan UMS, 88400 Kota Kinabalu, Sabah, Malaysia
Email: driqbalmohammad@gmail.com
Received: 01 Jul 2020, Revised and Accepted: 04 Aug 2020
ABSTRACT
Objective: The pathogenesis of various liver injuries involves oxidative damage. This research was planned to examine the effects of Mereemia borneensis extract on hepatic oxidative damage caused by carbon tetrachloride (CCl4) in rats.
Methods: Sprague Dawley rats were exposed to M. borneensis (125 and 250 mg/kg b. wt.) once daily for 14 d followed by two doses of CCl4 (1.2 ml/kg b. wt.). After 2 w, the rats were sacrificed and hepatoprotective analysis was done.
Results: Orally administration of CCl4 enhances serum transaminase (ALT; alanine transaminase and AST; aspartate transaminase), γ-glutamyl transpeptidase, lipid peroxidation, reduction in glutathione, catalase, glutathione reductase, glutathione peroxidase, quinone reductase and glutathione S-transferase. Pretreatment of rats with M. borneensis at 125 and 250 mg/kg body weight significantly reduced levels of ALT, AST, γ-glutamyl transpeptidase and lipid peroxidation of CCl4 treated rats. Pretreatment with M. borneensis against rats treated with CCl4, hepatic enzymatic and non-enzymatic antioxidant molecules have increased significantly. A decreased histopathological change in the liver is further evidence of the protective effect of M. borneensis.
Conclusion: Our data suggest that M. borneensis can be a potential hepatoprotective agent in preventing or treating degenerative diseases that involve oxidative stress.
Keywords: Merremia borneensis, Oxidative stress, Carbon tetrachloride, Hepatoprotective activity, Histopathology
© 2020 The Authors. Published by Innovare Academic Sciences Pvt Ltd. This is an open access article under the CC BY license (http://creativecommons.org/licenses/by/4.0/)
DOI: http://dx.doi.org/10.22159/ijpps.2020v12i10.38905. Journal homepage: https://innovareacademics.in/journals/index.php/ijpps.
A rise in the generation of reactive oxygen species (ROS) including oxygen free radicals are caused by oxidative stress, which is responsible for different degenerative diseases including inflammation, carcinogenesis, Parkinson’s disease, neurodegenerative diseases, retinal degeneration, Alzheimer’s disease, mutagenesis, diabetes mellitus and liver disease [1, 2].
Carbon tetrachloride (CCl4) is the most widely used chemical inducer for experimental hepatic damage, involves hepatic necrosis by bioactivation of microsomal cytochrome P450-dependent monooxygenase system, resulting in the generation of ROS and trichloromethyl free radicals which trigger protein damage and lipid peroxidation [3, 4]. Studies have been shown that a high amount of polyphenolic compounds extracted from plants may prevent liver damage due to the presence of an antioxidant, antifibrotic and immunomodulatory [5, 6].
Merremia borneensis, is a creepy plant and it belongs to the family Convolvulaceae. The young leaves of the plant are brown but at maturity, turn to green colour. The leaves are big with eight veins, intervened with each other. A productive tree has wide leaves of up to one foot wide and the diameter of each stem can reach up to two inches. The plant is distributed in Malaysia and other South Asian countries. The plant is used by local people for the treatment of different diseases, including breast cancer [7]. There is, however, no scientific evidence concerning the hepatoprotective function of plant’s leaves. Therefore it is necessary to conduct further research for the hepatoprotective potential of M. borneensis leaves and to verify the claim using a model of hepatic injury induced by CCl4 in Sprague Dawley rats.
Reagents and chemicals
Carbon tetrachloride (CCl4), bovine serum albumin (BSA), trichloroacetic acid (TCA), 5,5’-dithio-bis-2-nitrobenzoic acid (DTNB), β-nicotinamide adenine dinucleotide phosphate reduced (NADPH), 2,6-dichloroindophenol, 1-chloro-2,4-dinitrobenzene (CDNB), sulfosalicylic acid (SSA), thiobarbituric acid (TBA), flavin adenine dinucleotide (FAD), hydrogen peroxide (H2O2), tween 20, tris HCl, glutathione reductase, oxidized and reduced glutathione, L-γ-glutamyl-p-nitroaniline, sodium azide, ethylene diamine tetraacetic acid (EDTA) and glycyl glycine, D,L-alanine, α-ketoglutarate, D,L-aspartate, 2,4 dinitrophenyl hydrazine (DNPH), sodium hydroxide were obtained from either Aldrich, USA or Sigma Chemical Company, St Louis, MO, USA. The other solvents and chemicals used were either industrial grade or commercially available with the highest purity.
Plant material
The leaves of M. borneensis were collected from the campus of Universiti Malaysia Sabah, Malaysia. The plant was identified based on the morphological features and from the database present in the library by a Botanist from Institut Biologi Tropika dan Permulihan (IBTP), Universiti Malaysia Sabah, Malaysia. The plant samples were air-dried and then grind to a fine 1-mm mesh powder [8].
Extract preparation
The powdered leaves (100 g) were exhaustively extracted with (80%) ethanol from soxhlet and concentrated in a rotary evaporator to dryness under reduced pressure to yield dried ethanol extract, which was 14% of the starting material [9].
Experimental animals
In this study, adult female Sprague Dawley rats purchased from Penang, Malaysia (Tes Jaya Laboratory Services) were used. The rats are 4-8 w old, weighing between 150–200 g. They were put up in plastic cages in groups of 3 rats per cage and kept with a 12 h light/dark cycle in a well-maintained room, at 25±1 °C and 50±5% humidity. One week prior to the experiment, the rats were acclimatized with free access to food and water.
Experimental protocol-CCl4 induced hepatotoxicity
Total of 24 Sprague Dawley rats were randomly grouped into four experimental groups of six rats each. Group I served as normal control and was given only normal saline. While group II administered with 1.2 ml/kg b. wt. of CCl4 in the 1:1 ratio with corn oil as a vehicle. Group III and group IV received 14 d of daily M. borneensis (125 and 250 mg/kg b. wt. respectively) extract treatment and CCl4 (1.2 ml/kg b. wt.) treatment. All the animals were sacrificed by cervical dislocation 24 h after administration of the CCl4.
Post-mitochondrial supernatant (PMS) preparation
The standard protocol for preparing tissue homogenate for biochemical assay following a method defined by Iqbal et al. [10] which is adapted from Mohandas et al. [11]. The liver was removed and cleaned free of any debris then immediately perfused with 0.85% w/v cold sodium chloride. The liver was mashed in a cold solution of 0.1 M, pH 7.4 phosphate buffer with 1.17% w/v potassium chloride. The homogenate was then centrifuged in a refrigerated centrifuge at 2,000 x g, 4 °C for 15 min to remove the nuclear debris. The obtained aliquot was centrifuged at 10,000 × g, 4 °C for 30 min to get PMS, that used to evaluate reduced glutathione content and malondialdehyde as well as enzyme source.
Biochemical assays
The procedure by Jollow et al. [12] were adapted to measure liver reduced glutathione by measuring the yellow colour production at wavelength 412 nm through a spectrophotometer. The results were read as reduced glutathione micromoles per gram of tissue.
Hepatic lipid peroxidation in post mitochondrial supernatant was done by calculating the production rate of TBARS using technique as reported by Iqbal et al. [13] modified from Buege and Aust [14]. The results were stated as the quantity of malondialdehyde found in the supernatant of each sample and evaluated by a spectrophotometer at 37 °C, the wavelength of 535 nm. The result calculated using a molar extinction coefficient of 1.56 X 105 M/cm.
Glutathione peroxidase activity was assessed using the Mohandas et al. [11] procedure, as referred by Iqbal et al. [13]. Enzyme activity was calculated using a molar extinction coefficient of 6.22 x 103 M/cm as nmol NADPH oxidized/min/mg protein.
The activity of glutathione reductase was carried out following the method of Carlberg and Mannervik [15], which elaborated in Iqbal et al. [13]. The action of the enzyme was quantitated by calculating the disappearance of NADPH at a wavelength of 340 nm and measured as nmol NADPH oxidized/min/mg protein using a coefficient of molar extinction of 6.22 × 103M/cm.
The activity of catalase was determined by the Claiborne [16] method as reported by Iqbal et al. [13]. The absorbance changes were reported at wavelength 240 nm, in which the enzyme activity was measured and calculated using a molar extinction coefficient of 6.4 x 103M/cm as nmol H2O2 consumed/min/mg protein.
A modified method by Athar and Iqbal [17] from Habiq et al. [18] were employed using a substrate known as 1-chloro 2,4 dinitrobenzene to determine the glutathione S-transferase activity. At wavelength 340 nm, the changes in absorbance were recorded and calculated using a molar extinction coefficient of 9.6 x 103M/cm as nmol CDNB conjugate formed/min/mg protein.
The modified protocol of Benson et al. [19] by Iqbal et al. [20] was used in the determination of quinone reductase activity. The enzyme reaction was quantified based on the disappearance of 2,6-dichlorophenolindophenol at wavelength 600 nm with 30-s intervals for 3 min. The reaction of the enzyme was estimated using the molar extinction coefficient of 2.1 × 104M-1 cm-1 as nmoles of 2,6-dichlorophenolindophenol reduced/min/mg protein.
Serum transaminases determination
The assessment to determine serum marker AST and ALT were adapted from Reitman et al. method [21]. In short, 0.2 ml serum and 0.5 ml of the AST and ALT substrate (2 mmol α-ketoglutarate and 200 mmol D, L-alanine (ALT) or 200 mmol D, L-aspartate (AST)) was placed in a 37 ° C water bath for 15 min. The reaction was contained after incubation by adding 0.5 ml of 1 mmol DNPH. After 20 min, each tube was added 5 ml of 0.4 NaOH and the reaction was measured at optical density 510 after 30 min using water as the blank.
Histological determination
For histological, livers from all rats were removed and cleaned with ice-cold saline, and a small cross-section of the liver was obtained and fixed in 10% neutral formalin buffered solution. For microscopy examination, the liver section was embedded in wax, cut into 6 µm thick section and stain with hematoxylin and eosin stain (H and E). The tissues were examined under a microscope randomly and without knowledge of the animal or group.
Protein determination
Liver protein contents were measured using BSA as standard using Aitken et al. [22] method.
Data analysis
Data analysis was conducted employing the statistical kit SPSS 17.0 (SPSS Inc., Chicago IL). Analysis of variance (ANOVA) followed by testing with LSD was conducted to evaluate the statistical difference among groups. The values are means±SEM for six rats in each group. P-value<0.05 was considered as significant.
Protective effect of M. borneensis extract on glutathione metabolism
The level of glutathione is significantly depleted in CCl4 treated group when compared to the untreated control group. Rats administered M. borneensis along with CCl4 showed dose dependant rise in the GSH level when compared to the CCl4-treated group (fig. 1). Treatment with CCl4 alone resulted in the depletion of hepatic glutathione by 35% as opposed to the control group. However, 23% and 35% recovery were noted in the pretreatment group with M. borneensis extract at 125 and 250 mg/kg body weight, respectively against CCl4 treated group.

Fig. 1: Effect of pretreatment of rats with M. borneensis extract on glutathione (GSH) levels in the liver in CCl4 induced liver damage. Each value represents mean±SEM of six animals. *Indicates significance at p<0.05 compared to the control group. ** Indicates significance at p<0.05 compared to CCl4 group
Protective effect of M. borneensis extract on lipid peroxidation
As shown in fig. 2, CCl4 treatment enhances the level of lipid peroxidation by 56% compared to the normal control group. Treatment with M. borneensis extract caused reduction in the level of lipid peroxidation by 80% and 66% at a dosage of 125 and 250 mg/kg body weight respectively in contrast to CCl4 treated group.

Fig. 2: Effect of pretreatment of rats with M. borneensis extract on lipid peroxidation levels in the liver in CCl4 induced liver damage. Each value represents mean±SEM of six animals. *Indicates significance at p<0.05 compared to the control group. ** Indicates significance at p<0.05 compared to CCl4 group
Protective effect of M. borneensis on hepatic antioxidant profile
Treatment of CCl4 shows a reduction in the activities of hepatic antioxidant enzymes (table 1) such as catalase, glutathione peroxidase and glutathione reductase by 37%, 31% and 22%. However, treatment with M. borneensis extracts caused the recovery of the antioxidant enzymes by 15%, 15%, and 10% at the lower dose of 125 mg/kg body weight and 28%, 25% and 19% at the higher dose of 250 mg/kg body weight respectively, when compared with the group only treated with CCl4.
Table 1: Effect of pretreatment of rats with M. borneensis extract on catalase, glutathione peroxidase and glutathione reductase
| Treatment groups | Catalase (nmol H2O2 Consumed/ min/mg protein) |
Glutathione peroxidase (nmol NADPH oxidized/min/mg protein) |
Glutathione reductase (nmol NADPH oxidized/min/mg protein) |
| mean±SEM | mean±SEM | mean±SEM | |
| Saline control | 328.61±13.1 | 34.77±1.9 | 25.52±0.21 |
| CCl4 (1.2 ml/kg b. wt.) | 207.34±16.9* | 23.92±0.6* | 19.91±0.21* |
| MB (125 mg/kg b. wt.)+CCl4 (1.2 ml/kg b. wt.) | 255.93±11.6** | 29.35±0.5** | 22.46±0.21** |
| MB (250 mg/kg b. wt.)+CCl4 (1.2 ml/kg b. wt.) | 298.36±4.1** | 32.54±1.2** | 24.63±0.24** |
Each value represents mean±SEM of six animals. *Indicates significance at p<0.05 compared to the control group. ** Indicates significance at p<0.05 compared to CCl4 group.
Protective effect of M. Borneensis on hepatic secondary metabolizing enzymes
Table 2 shows that CCl4 treatment causes a decrease in the activity of glutathione S-transferase and quinone reductase by 43% and 76% as compared to the saline control group. At a lower dose 125 mg/kg body weight, M. borneensis treatment increased the activity of glutathione S-transferase and quinone reductase by 19% and 11% and 30% and 18% respectively at the higher dose of 250 mg/kg body weight in contrast to CCl4 treated group.
Table 2: Effect of pretreatment of rats with M. borneensis extract on glutathione S-transferase and quinone reductase
| Treatment groups | Glutathione S-transferase (nmol CDNB conjugate formed/min/mg protein) |
Quinone reductase (nmol of dichloroindophenol reduced/min/mg protein) |
| mean±SEM | mean±SEM | |
| Saline control | 35.09±0.66 | 8.59±0.05 |
| CCl4 (1.2 ml/kg b. wt.) | 20.32±0.55* | 2.07±0.06* |
| MB (125 mg/kg b. wt.)+CCl4 (1.2 ml/kg b. wt.) | 26.71±0.66** | 2.97±0.10** |
| MB (250 mg/kg b. wt.)+CCl4 (1.2 ml/kg b. wt.) | 30.58±1.08** | 3.60±0.13** |
Each value represents mean±SEM of six animals. *Indicates significance at p<0.05 compared to control group. ** Indicates significance at p<0.05 compared to CCl4 group.
Protective effect of M. borneensis on serum markers (ALT and AST)
The data of oral administration of M. borneensis on hepatic serum makers intoxicated with CCl4 is presented in table 3. In contrast to the saline control group, treatment leads to serum ALT and AST level increase about 136% and 87%, respectively. Whereas treatment with M. borneensis extract at both doses resulted in 94%-92%, and 82%-87% reduction in the values of serum ALT and AST respectively as compared with CCl4 treated group.
Table 3: Effect of pretreatment of rats with M. borneensis extract on alanine transferase and aspartate transferase
| Treatment groups | ALT (µmole pyruvate/min/dl) | AST (µmole pyruvate/min/dl) |
| mean±SEM | mean±SEM | |
| Saline control | 0.05±0.003 | 0.07±0.007 |
| CCl4 (1.2 ml/kg b. wt.) | 0.093±0.004* | 0.17±0.004* |
| MB (125 mg/kg b. wt.)+CCl4 (1.2 ml/kg b. wt.) | 0.086±0.002** | 0.16±0.002** |
| MB (250 mg/kg b. wt.)+CCl4 (1.2 ml/kg b. wt.) | 0.081±0.009** | 0.14±0.010** |
Each value represents mean±SE of six animals.*Indicates significance at p<0.05 compared to the control group. **Indicates significance at p<0.05 compared to CCl4 group.


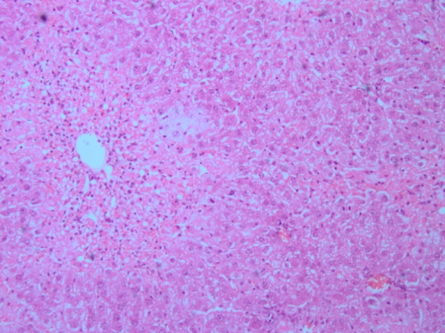
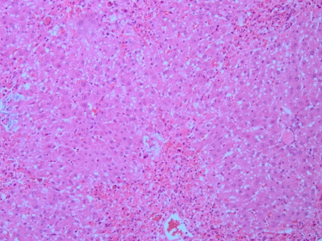
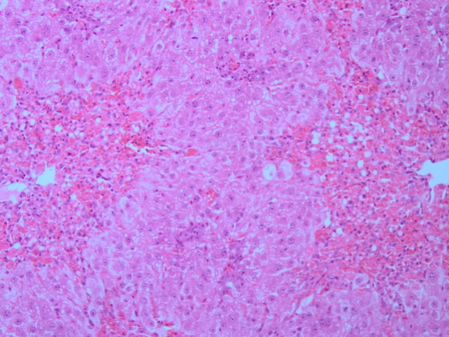
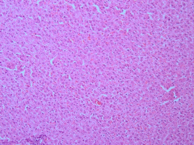
Fig. 3: Effect of M. borneensis on liver histopathological alterations in rats. (A) Saline treated control (B) CCl4 (1.2 ml/kg b. wt.) (C) MB (125 mg/kg b. wt.)+CCl4 (1.2 ml/kg b. wt.) (D) MB (250 mg/kg b. wt.)+CCl4 (1.2 ml/kg b. wt.). Specimens stained with hematoxylin and eosin (a, b, c and d) X 20)
Protective effects of M. borneensis on liver histopathology
The saline control group shows normal liver architecture as indicated in fig. 3 A. CCl4 treated group produced in focal necrosis, dense portal infiltration and inflammation (fig. 3B). Whereas rats treated with M. borneensis showed a minimum grade of necrosis and inflammation (fig. 3 C and D).
Most commonly used hepatotoxins in hepatic disease experimental studies and screening the plant extract is CCl4 [23]. The damages caused by CCl4 are, as a result of the generation of trichloromethyl radicals [23]. These radicals further result in peroxidative degradation of the membranes consisting of polyunsaturated fatty acids [24].
Reduced glutathione plays a vital role as an endogenous antioxidant and in the maintenance of intracellular redox homeostasis [25]. Studies have been shown that GSH conjugation is essential in eliminating toxic metabolites, which mainly cause hepatic pathology [26]. The treatment of CCl4 causes significant depletion of glutathione level. Whereas, the pretreatment of M. borneensis reduces the toxicity of CCl4. The restoration of GSH level may play a role in the mechanism of liver protection by M. borneensis against CCl4 toxicity.
Lipid peroxidation is the main cause of hepatotoxicity caused by the chained reaction of CCl4 free radical derivatives and is accountable in damaging the cell membrane due to the formation of free radical derivatives. The antioxidant activities of some substances play an important role in liver protection [27]. In the current study, elevation in the levels of MDA (the end product of lipid peroxidation) indicates enhanced lipid peroxidation. Pretreatment with M. borneensis significantly reversed these effects. There is a possibility that antioxidants do affect the mechanism of hepatoprotection of M. borneensis.
In our recorded study, the level of serum markers has significantly elevated in the serum after CCl4 treatment, as previously reported [28, 29]. Yet, increased levels of the above enzymes are significantly reduced by pretreatment with M. borneensis, indicating that the extract reduced hepatic damage, which is further supported by the less amount of histopathological injury.
The antioxidant enzymes are vital for the detoxification of ROS [30]. The decreased activities of hepatic antioxidant enzymes in CCl4 induced rats have been reported previously [31]. In our study, CCl4 treatment decreased the activities of the catalase, glutathione peroxidase and glutathione reductase. Administration of M. borneensis significantly increased the level of the above enzymes in a dose-dependent manner. The recovery in their activity with the extract may be due to decreased oxidative load. The plant extract may act by scavenging the reactive oxygen metabolites due to the occurrence of different antioxidant compounds [32].
CCl4 administration has also lowered the level of phase 2 enzymes, glutathione S-transferase and quinone reductase. Quinone reductase protects the tissue by the elimination of toxic compounds and also stops the semiquinones formation by reduction of one-electron, thus reduces free radical generation from the auto-oxidation of semiquinones [19, 33]. The level of phase 2 enzymes is restored by M. borneensis.
The toxicity of CCl4 has caused such extensive vascular degenerative changes and centrilobular necrosis in hepatocytes. Treatment with different doses of ethanolic extract of leaves of M. borneensis produced slightly degenerative changes and lowered the necrotic zones in the hepatocytes, indicating its hepatoprotective efficiency.
These results thus suggest that significantly decreased level of hepatic GSH and lipid peroxidation (MDA) along with normalizing activities of antioxidant enzymes and plasma markers (ALT, AST) suggest that M. borneensis extract has protective effects against CCl4-induced hepatotoxicity by reducing the oxidative stress. A reduction in the histopathological alternation in the liver is further supporting the biochemical findings.
Financial support for this research was provided by UMS Priority Area Scheme SBK0315-2017. Authors are also thankful to Dr. Zarina Amin, Director, Biotechnology Research Institute, Universiti Malaysia Sabah for support and encouragement.
Muhammad Dawood Shah, Senty Vun-Sang and Riana Binti Awang Saman conducted the experiments and prepared the manuscript. Dr. Mohammad Iqbal-Helped in designing and conduction the experiment.
The authors declare that there are no conflicts of interest.
Poli G. Liver damage due to free radicals. Br Med Bull 1993;49:604-20.
Sun Y. Free radicals, antioxidant enzymes and carcinogenesis. Free Rad Biol Med 1990;8:583-99.
MacCay PB, Lai EK, Poyer JL, Dubose CM, Janzen EG. Oxygen-and carbon-centered free radical formation during carbon tetrachloride metabolism. Observation of lipid radicals in vivo and in vitro. J Biol Chem 1984;259:2135-43.
Halliwell B, Gutteridge JMC. Role of free radicals and catalytic metal ions in human disease: an overview. Methods Enzymol 1990;105:105-14.
Halliwell B. Polyphenols: antioxidant treats for healthy living or covert toxins. J Sci Food Agric 2006;86:1992-5.
Halliwell B. Dietary polyphenols: good, bad, or indifferent for your health. Cardiovasc Res 2007;73:341-7.
Patino S, Jeffree C, Grace J. The ecological role of orientation in tropical convolvulaceous flowers. Springer 2006;130:373-9.
Antonio A, Souza A, Brito RM. Oral anti-inflammatory and anti-ulcerogenic activities of a hydroalcoholic extract and partitioned fraction of Turnera ulmifolia (Turneaceae). J Ethnopharmacol 1998;61:215-28.
Sultana S, Perwaiz S, Iqbal M, Athar M. Crude extracts of hepatoprotective plants Solanum nigrum and Cichorium intybus inhibit free radical-mediated DNA damage. J Ethnopharmacol 1995;45:89-92.
Iqbal M, Giri U, Giri DK, Alam MS, Athar M. Age-dependent renal accumulation of 4-hydroxy-2-nonenal (HNE)-modified proteins following parenteral administration of ferric nitrilotriacetate commensurate with its differential toxicity: implications for the involvement of HNE-protein adducts in oxidative stress and carcinogenesis. Arch Biochem Biophys 1999;365:101-12.
Mohandas J, Marshall JJ, Duggin GG, Horvath JS, Tiller DJ. Differential distribution of glutathione and glutathione related enzymes in rabbit kidney: Possible implications in analgesic neuropathy. Cancer Res 1984;44:5086-91.
Jollow DJ, Mitchell JR, Zampagilone N, Stripp B, Hamrick M, Gillette JR. Bromobenzene-induced liver necrosis: protective role of glutathione and evidence for 3,4-bromobenzene oxides as a hepatotoxic intermediate. Pharmacol 1974;11:151-69.
Iqbal M, Rezazadeh H, Ansar S, Athar M. Alpha-tocopherol (vitamin-E) ameliorates ferric nitrilotriacetate (Fe-NTA)-dependent renal proliferative response and toxicity: diminution of oxidative stress. Human Exp Toxicol 1998;17:163-71.
Buege JA, Aust SD. Microsomal lipid peroxidation. Method Enzyme 1978;52:302-10.
Carlberg I, Benson B. Glutathione reductase levels in rat brain. J Biol Chem 1975;250:5475-80.
Claiborne A. Catalase activity. In: Green Wald RA. (ed.) CRC handbook of methods for oxygen radical research. CRC Press: Boca Raton; 1985. p. 283-4.
Athar M, Iqbal M. Ferric nitrilotriacetate promotes N-diethylnitrosamine-induced renal tumorigenesis in rat: implications for the involvement of oxidative stress. Carcinogenesis 1998;19:1133-9.
Habig WH, Pabst MJ, Jokoby WB. Glutathione S-transferase: the first enzymatic step in mercapturic acid formation. J Biol Chem 1974;249:7130-9.
Benson AM, Hunkeler AJ, Talalay P. Increase of NADPH: quinone reductase activity by dietary antioxidants: possible role in protection against carcinogenesis and toxicity. Proc Natl Acad Sci USA 1980;77:5216-20.
Iqbal M, Sharma SD, Rahman A, Trikha P, Athar M. Evidence that ferric nitrilotriacetate mediates oxidative stress by down-regulating DT-diaphorase activity: implications for carcinogenesis. Cancer Lett 1999;141:151-7.
Reitman S, Frankel S. A colorimetric method for the determination of serum glutamic oxalacetic and glutamic pyruvic transaminases. Am J Clin Pathol 1957;28:56–63.
Atiken A, Learmonth M. Protein determination by UV absorption. The protein protocols handbook edited by JM Walker. Humana Press: Inc, Totowa, New Jersey, USA; 1990. p. 3-6.
Johnston DE, Kroening C. Mechanism of early carbon tetrachloride toxicity in cultured rat hepatocytes. Pharmacol Toxicol 1998;83:231-9.
Cotran RS, Kumar V, Robbins SL. Cell injury and cellular death. In: Robbin’s pathologic basis of disease. 5th Edition. Prism Book Pvt. Ltd; 1994. p. 379-430.
Miesel R, Sanocka D, Kurpisz M, Kroger H. Anti-inflammatory effects of NADPH oxidase inhibitors. Inflammation 1995;19:347–62.
Yang J, Li Y, Wang F, Hunfu CW. Hepatoprotective effects of apple polyphenols on CCl4-induced acute liver damage in mice. J Agric Food Chem 2010;58:6525-31.
Ozturk IC, Ozturk F, Gul M, Ates B, Cetin A. Protective effects of ascorbic acid on hepatotoxicity and oxidative stress caused by carbon tetrachloride in the liver of wistar rats. Cell Biochem Funct 2009;27:309-15.
Banne Y, Ponidjan TS, Dumanauw JM. Antioxidant and hepatoprotective activity of Abelmoschus manihot L., medik leaf fraction against CCl4-induced liver damage in rats. Int J Appl Pharm 2019;11:17-9.
Campo GM, Squadrito F, Ceccarelli S, Calo M, Avenoso A, Campo S, et al. Reduction of carbon tetrachloride-induced rat liver injury by IRFI 042, a novel dual vitamin E-like antioxidant. Free Radical Res 2001;34:379–93.
Shaw S, Rubin K, Lieber CS. Depressed hepatic glutathione and increased diene conjugates in alcoholic liver disease: evidence of lipid peroxidation. Dig Dis Sci 1993;23:585-9.
Mahdi AA, Singh R, Singh RK. Role of reactive oxygen species and antioxidants in human disease. In: V Rai, ML Nait, C Monoharacharry. (eds). An overview of perspectives in biology, Rampur: world laser graphics; 1996. p. 55-70.
Gupta SK, Prakash J, Srivastava S. Validation of traditional claim of Tulsi Osmium sanctum linn. As a medicinal plant. Ind J Experiment Bio 2002;40:765-73.
Lind C, Hochstein P, Ernster L. DT-diaphorase as a quinine reductase: a cellular control device against semiquinone and superoxide radical formation. Arch Biochem Biophys 1982;216:178-85.