
1Biotechnology Research Institute, 2Borneo Marine Research Institute, Universiti Malaysia Sabah, Jalan UMS, 88400 Kota Kinabalu, Sabah, Malaysia
Email: driqbalmohammad@gmail.com
Received: 06 Jul 2020, Revised and Accepted: 20 Aug 2020
ABSTRACT
Objective: The present study was designed to demonstrate the antioxidant, hypolipidemic and hypoglycaemic potentials of aqueous extract of O. corymbosa against alloxan-induced diabetes in rats.
Methods: O. corymbosa extract was tested for phytochemical screening, total phenolic, flavonoids content and DPPH free radical scavenging activity. Diabetes was induced in Sprague Dawley rats by administration of alloxan monohydrate (65 mg/kg b. w i. v). The aqueous extract of O. corymbosa at a dose of 100 mg/kg and 200 mg/kg were administered through gavage feeding daily to diabetic induced rats for 14 d. The effect of aqueous extract of O. corymbosa was assessed on blood glucose, body weight, lipid peroxidation, catalase activity, glutathione and lipid profile. Pancreatic tissues were also examined by haematoxylin and eosin staining methods.
Results: Phytochemical screening shows the presence of tannins, saponins, phlobatannins and flavonoids. Total phenolic content was found to be 22.85±0.21 mg/g, IC50 is 450±1.39 µg/ml and total flavonoids content was found to be 4.25±0.09 mg/g of extract. The results of the present study showed that O. corymbosa can lower blood glucose and lipid parameters except for HDL. The levels of antioxidant enzymes CAT and GSH were increased along with the decreased in LPO level by the pre-treatment of animals with O. corymbosa. Microscopic examination of pancreatic sections revealed that diabetic rats treated with O. corymbosa extracts at either dose have normal architecture structure of islets.
Conclusion: These results indicate that O. corymbosa may be effective as a hypoglycaemic and antihyperlipidemic agent.
Keywords: O. corymbosa, Alloxan, Hypoglycaemic, Hypolipidemic, Antioxidative, Diabetes mellitus
© 2020 The Authors. Published by Innovare Academic Sciences Pvt Ltd. This is an open access article under the CC BY license (http://creativecommons.org/licenses/by/4.0/)
DOI: http://dx.doi.org/10.22159/ijpps.2020v12i10.38951. Journal homepage: https://innovareacademics.in/journals/index.php/ijpps.
Diabetes mellitus has affected the lives of many people from around the world suffering from it and Malaysia has 3.2 million cases of diabetes reported in the year 2014 alone [1]. The word diabetes means a condition of a person which secretes out “sweet urine” and also experiences a major loss of muscle which is due to a condition known as hyperglycaemia where the level of blood glucose increases, thus causes the spillage of glucose into the urine. Hyperglycaemia is caused by the absence or insufficient amount of insulin produced in the body [2] and this condition is the landmark of diabetes [3]. There are two types of diabetes which are type 1 and type 2. Patients with type 1 diabetes cannot produce insulin thus Type 1 diabetes is also known as insulin-dependent or juvenile-onset. On the other hand, patients with Type 2 diabetes or also known as non-insulin-dependent or adult-onset can produce insulin however the insulin produced cannot convert the food into energy [4].
Diabetes is currently treated by using insulin and oral hypoglycaemic agents which has recorded huge successes in addition to the adjustment of lifestyle [5]. However, treating diabetes with insulin or oral hypoglycaemic agents comes with several serious side effects such as recurrent cases of hypoglycaemic coma [5]. Besides that, diabetes patients are facing the risks of impairment of hepatic and other body functions with every shot of insulin they take [3]. These two medications are therefore not sufficient in preventing diabetic complications. Due to the problems associated with the current treatments, scientists have now looking for alternative remedies from potential plants. There are more than 800 plant species from around the world that have been used as a treatment for diabetes and proven to have antihyperglycemic activity [6]. Thompson Coon and Earnst [7] stated that there are several plants that have additional potentials such as ameliorate the abnormalities of lipid metabolism besides correcting the blood glucose levels in diabetes patients. The significant of research on medicinal plants is validated by the fact that many types of new drugs have been developed from plants, for example, Galega officinalis L. which is used to synthesis metformin as well as other bisguanidine-type anti-diabetic drugs [8]. Biologically active compounds in plants are recommended to be used to reduce the number of diabetes complications and also delaying their development [9].
O. corymbosa Linn or also known as Hedyotis corymbosa (L.) Lam is from the Rubiaceae family [10]. O. corymbosa is generally called as “Rumput mutiara” and it is said that the whole O. coymbosa plant (leaves, stem, roots, flowers and seeds) can be used as medicine [10]. According to Endrini [10], O. corymbosa has been reported to have many medicinal values such as for the treatment of jaundice [11]. Besides that, O. corymbosa has anticancer activity and high antioxidant activities and also contains flavonoids and phenolic compounds [10]. O. corymbosa is also used traditionally in India and China to treat hepatic disorders [12]. Therefore, it is worth conducting research work on O. corymbosa to find out whether or not it has anti-diabetic activity since it shows many potentially bioactive compounds that may play important roles in anti-diabetic activities.
Chemicals and reagents
Alloxan monohydrate, 1,2-dithio-bis-nitrobenzoic acid (DTNB), bovine serum albumin (BSA), folin-ciocalteu reagent (FCR), thiobarbituric acid (TBA), hydrogen peroxide (H2O2), sulfosalicylic acid (SSA), gallic acid, catechin, 1,1-diphenyl-2-picrylhydrazyl (DPPH), haematoxylin, eosin and trichloroacetic acid (TCA) were purchased from Sigma-Aldrich Chemical Company, USA. All other solvents and chemicals used were either of analytical grade or of the highest purity commercially available.
Collection of plant
O. corymbosa plant was collected from Universiti Malaysai Sabah. The plant sample was identified based on morphological characteristics (voucher number: Caysandra 01) by Mr. Johnny Gisil, a botanist from Institut Biologi Tropika dan Pemuliharaan, Universiti Malaysia Sabah.
Preparation of plant extract
The whole plant of O. corymbosa (except roots) were washed under running tap water to remove dirt and foreign materials. The whole plant of O. corymbosa (except roots) were then dried under shade for 3 to 4 w. After the plant sample had been dried completely under a shade, the sample was then crushed into a coarse powder using heavy-duty blender and placed in air tight containers. Next, the aqueous extraction of plant sample was prepared following Yuan et al. [13].
Phytochemical screening
For the identification of the constituents present in the O. corymbosa, the extract obtained was subjected to six qualitative tests which are tannins, phlobatannins, saponins, flavonoids, terpenoids, and cardiac glycosides according to methods reported by Krishnaiah et al. [14].
Determination of total phenolic content
The total phenols in aqueous extract of O. corymbosa were estimated by Folin-Ciocalteu’s phenol reagent according to Shingleton et al. [15] expressed as milligram gallic acid equivalents (GAE) per gram dry weight of the extract.
Determination of antioxidant activity
The ability of plant extract to scavenge DPPH free radicals was determined according to Hatano et al. [16] method.
Determination of total flavonoids content
Total flavonoids content in O. corymbosa plant extract was measured by aluminium chloride colourimetric assay [13]. Total flavonoid content was expressed in milligrams of catechin equivalents per gram of plant extract.
Sprague-Dawley rats
Animal study was approved by Animal Ethics Committee (AEC) of Universiti Malaysia Sabah. Twenty four male Sprague-Dawley rats weighing between 150 g-300 g and age between 6 to 12 w old were purchased from Fakulti Sains Makanan dan Pemakanan, Universiti Malaysia Sabah. All 24 rats were placed in Animal Biosafety Laboratory of Biotechnology Research Institute, Universiti Malaysia Sabah, in colony plastic cages and provided with water ad libitum and standard food pellet. The rats were put under 12-hour light and 12-hour dark cycles with 24-28 °C temperature. One week time was given to allow the rats to adapt to the environment.
Experimental design
After an overnight fast with water provided, the rats were then made diabetic by intravenously injecting alloxan monohydrate, 65 mg/kg body weight [17] dissolved in normal saline as reported by Kumar et al. [18] (Alloxan; Sigma Co., St. Louis, USA). Rats in the control group were only injected with normal saline. Blood from each rat was taken from the lateral veins of the tail and the blood sugar levels were then subjected to a glucometer to read the blood sugar level. Only rats with blood sugar level more than 200 mg/dl (diabetic) were used in the experiment. The rats were put into five groups randomly with three rats per group (n=3). The blood glucose levels and body weight of each rat in each group were measured weekly for two weeks. The rats were sacrificed at the 15th day by first anaesthetizing them, 24 h after their respective daily dosages.
Group 1: Normal rats administered normal saline (normal control)
Group 2: Diabetic rats administered with normal saline (diabetic control)
Group 3: Normal rats administered with O. corymbosa (200 mg/kg b. wt)
Group 4: Diabetic rats treated with O. corymbosa (100 mg/kg b. wt)
Group 5: Diabetic rats treated with O. corymbosa (200 mg/kgb. wt)
The weight of all treated rats was determined by using a physical balance (Sartorius, 6202-1S) before and after treatment. The rats were sacrificed at the 15th day after their last doses of plant extracts by cervical dislocation and were first anaesthetized by using light ether. After that, the rats’ pancreases were dissected out quickly. Extraneous material was cleaned from the pancreases and washed with ice-cold saline (0.85% w/v, sodium chloride) and then dipped in 0.1M, pH 7.4 phosphate buffer and later stored at-80 ͦC for further biochemical and histopathological investigations.
Collection of blood
The blood sample of each rat was collected by using cardiac punctures technique after cervical dislocation before their heart-beats stop. The blood samples were collected in separated BD Vacutainer® Blood Collection Tubes and later centrifuged at 1375 x g for 30 min and the serum was separated.
Post mitochondrial supernatant preparation
The pancreases of the animal in every group were washed immediately in ice-cold saline (0.85% w/v, sodium chloride). After that, the pancreases of rats were homogenized in a chilled phosphate buffer (0.1 M, pH 7.4) containing KCI (1.17 % w/v, potassium chloride) using a homogenizer (Polytron PT 1200E). The homogenate sample was centrifuged at 2000 x g for 10 min at 4 °C to separate nuclear debris. Next, the supernatant obtained was centrifuged again at 10,000 x g for 30 min at 4 °C to obtain post-mitochondrial supernatant which was used for determination of malondialdehyde and reduced glutathione content. The supernatant obtained was kept in-80 °C before further analysis.
Determination of reduced glutathione
Reduced glutathione was determined by using the method described by Jollow et al. [19]. The yellow colour was developed indicating reduced glutathione and was read at 412 nm using a spectrophotometer. The result was expressed as micromoles of GSH/gram of tissues by using a molar extinction coefficient of 13.6 x 103M-1 cm-1.
Determination of lipid peroxidation
Lipid peroxidation was measured using the method reported by Buege and Aust [20]. The absorbance was measured using a spectrophotometer with a wavelength of 535 nm. The results were expressed as the amount of MDA formed in each of the samples by using a molar extinction coefficient of 1.56 x 105 M-1 cm-1.
Determination of catalase activity
Catalase activity was carried out using the Claiborne [21] method with slight modification. The changes in absorbance were recorded at 240 nm for every 30 seconds for 3 min using a spectrophotometer and the enzyme activity was calculated as nmol H2O2 consumed/min/mg protein by using a molar extinction coefficient of 6.4 x 103 M-1 cm-1.
Determination of total protein content
Total protein contents were determined by Lowry assay using Folin-Ciocalteau reagent [22].
Determination of total cholesterol
The serum concentration of total cholesterol was measured using Chod-Pap method as described in instruction provided with the kit (BIOLABO, France).
Determination of high-density lipoprotein cholesterol
The serum concentration of high-density lipoprotein cholesterol was measured using the direct method as described in instruction provided with the kit (BIOLABO, France).
Determination of low-density lipoprotein cholesterol
The serum concentration of low-density lipoprotein cholesterol was measured using the direct method as described in instruction provided with the kit (BIOLABO, France).
Histopathological examination
The pancreases of sacrificed rats were removed and immediately immersed in 10% phosphate-buffered formalin solution. Before the embedding process in paraffin wax, the tissues were first processed using a tissue processing machine with the standard procedure. The tissue sample was first embedded with paraffin wax. After that, the specimens were cut into 5 µm thick sections and then immediately mounted on the slide for haematoxylin and eosin staining (H and E). The specimens were evaluated for degree of haemorrhage, edema, necrosis, inflammation and other changes.
Statistical analysis
All results were expressed as mean±SD. The results were analysed for statistical significance by one-way analysis of variance (ANOVA) followed by Dunnett t-test multiple comparison using SPSS statistical analysis software. A p-value less than 0.05 is considered statistically significant.
Phytochemical screening (qualitative analysis)
O. corymbosa showed the presence of tannins, saponins, phlobatannins and flavonoids. Terpenoids and cardiac glycosides were not detected. The results obtained from phytochemical screening are summarized in table 1 where (+) sign indicates the presence of the bioactive compound and (-) sign indicates the absence of the bioactive compound.
Table 1: Phytochemical constituents of O. corymbosa
| Constituents | Test | O. corymbosa | |
| Tannins | + | ||
| Phlobatannins | + | ||
| Saponins | + | ||
| Flavonoids | + | ||
| Terpenoids | - | ||
| Cardiac glycosides | - |
Key = (+) present; (-) absent
Total phenolic content
The total phenols of O. corymbosa which was found to be 22.85±0.21 mg/100 g expressed as milligram gallic acid equivalents (GAE) per gram dry weight of the extract.
Antioxidant activity using 2, 2-diphenyl-2-picrylhydrazyl (DPPH)
The antioxidant activity of free radical scavenging activity of O. corymbosa was determined using DPPH assay as shown in table 2. Ascorbic acid was used as a reference standard to determine the antioxidant potential of O. corymbosa.
Total flavonoid content
The concentration of flavonoids in O. corymbosa was found to be 4.25±0.09 mg/g expressed in terms of catechin equivalent, mg/g of extract.
Blood glucose levels in rats
Blood glucose levels in rats (5 groups; 3 rats per group) were monitored and recorded since day-4 for pre-treatment until day 15, the last day of treatment. Blood glucose levels in rats are summarized in table 3. The blood glucose level in diabetic rats showed significant P<0.05 increment as compared to normal control rats.
Table 2: IC50 values of O. corymbosa by free radical scavenging method
| Sample | Radical scavenging activity (DPPH) IC50 (µg/ml) |
| Ascorbic acid | 15.52±0.59 |
| O. corymbosa | 450±1.39 |
Data are presented as mean±SD of three replicates.
Table 3: Effect of aqueous extract of O. corymbosa on blood glucose levels (mg/dl) in rats
| Group (n=3) | Treatment | Blood glucose levels (mg/dl) | ||||
| -4 d | 0th d | 3rd d | 7th d | 14th d | ||
| I | Normal control | 64.33±13.61 | 62.67±7.09 | 76.67±8.5 | 70.33±10.02 | 75±19.08 |
| II | Diabetic control | 63.67±16.86 | 60±9.85 | 241±24.56* | 248.67±26.5* | 313.33±27.47* |
| III | Normal+O. corymbosa (200 mg/kg) | 73±17.52 | 68.33±5.69 | 70.67±4.73** | 69.33±7.77** | 79.33±10.26** |
| IV | Diabetic+O. corymbosa (100 mg/kg) | 63±12.12 | 56±7.55 | 293±26.91* | 250.33±27.15* | 120.67±26** |
| V | Diabetic+O. corymbosa (200 mg/kg) | 74±18.73 | 53.67±32.88 | 296±23.39* | 122.33±31.09** | 93±14.42** |
Data are presented as mean±SD, Group 2 was compared with Group 1, Groups 3-5 were compared with Group 2, *Significant value at P<0.05 compared to Normal control, **Significant value at P<0.05 compared to Diabetic control
Table 4: Body-weight changes in rats
| Group (n=3) | Treatment | Body-weight (Kg) | ||||
| -4 d | 0th d | 3rd d | 7th d | 14th d | ||
| I | Normal control | 104.2±11.58 | 111.03±5.5 | 122.03±7.8 | 131.03±5.72 | 145.6±9.96 |
| II | Diabetic control | 136.6±30.31* | 146.07±23.29* | 139.1±19.56* | 141.47±16.85* | 133.59±18.99* |
| III | Normal+O. corymbosa (200 mg/kg) | 116.23±20.99 | 110.83±19.88 | 116.2±20.69 | 124±19.18 | 125.43±19.69 |
| IV | Diabetic+O. corymbosa (100 mg/kg) | 129.97±32.16** | 128.83±28.29** | 121.97±30.00** | 126.6±24.2** | 131.2±25.29** |
| V | Diabetic+O. corymbosa (200 mg/kg) | 127.8±27.5** | 132.03±19.51** | 126.47±16.97** | 128.5±19.85** | 132.1±22.6** |
Data are presented as mean±SD, *Significant value at P<0.05 compared to Normal control, **Significant value at P<0.05 compared to Diabetic control
Body-weight changes in rats
Body-weight of rats (5 groups; 3 rats per group) was monitored and recorded since day-4 for pre-treatment until day 15, the last day of treatment. Body-weight changes of the rats are summarized in table 4. Body-weight of all rats showed steady increment from day-4 till day 0. All rats that were induced with alloxan monohydrate, 65 mg/kg b.w., intravenously showed a decrease in appetite and weight loss after 3 d of induction.
Lipid peroxidation
As shown in table 5, the lipid peroxidation value was the highest in the diabetic control group (97.77±2.23 nmol MDA/g of tissue). Alloxan-induced diabetic rats in group IV and V which received O. corymbosa extracts (100 mg/kg and 200 mg/kg respectively) showed the lipid peroxidation levels were significantly reduced and no indicated-any significant difference with the rats in the normal control group.
Table 5: Effect of treatment of alloxan-induced diabetic rats with aqueous extract of O. corymbosa for 14 d on lipid peroxide
| Group (n=3) | Treatment | Lipid peroxidation (nmol MDA/gram of tissue) |
| I | Normal control | 70.03±2.08 |
| II | Diabetic control | 97.77±2.23* |
| III | Normal+O. corymbosa (200 mg/kg) | 75.01±1.61** |
| IV | Diabetic+O. corymbosa (100 mg/kg) | 73.49±1.53** |
| V | Diabetic+O. corymbosa (200 mg/kg) | 72.52±1.24** |
Data are presented as mean±SD, *Significant value at P<0.05 compared to Normal control, **Significant value at P<0.05 compared to Diabetic control
Reduced glutathione
Glutathione (GSH) acts as a free radical scavenger and also involved in the repairmen of damages caused by free radical. GSH is the heart of all immune functions where it acts as the body’s master antioxidant. The values of GSH in alloxan treated and animals that were treated with O. corymbosa treated with alloxan are summarized in table 6. Glutathione value was found lowest in the diabetic control group 5.22±0.24 µmol GSH/g of tissue. Alloxan-induced diabetic rats in Group IV and V which received O. corymbosa extracts (100 mg/kg and 200 mg/kg respectively) showed the GSH levels increased slightly from the GSH value of diabetic control group.
Table 6: Effect of treatment of alloxan-induced diabetic rats with aqueous extract of O. orymbosa for 14 d on glutathione
| Group (n=3) | Treatment | GSH (µmol GSH/g of tissue) |
| I | Normal control | 10.62±1.49 |
| II | Diabetic control | 5.22±0.24* |
| III | Normal+O. corymbosa (200 mg/kg) | 9.83±0.07** |
| IV | Diabetic+O. corymbosa (100 mg/kg) | 6.43±0.19* |
| V | Diabetic+O. corymbosa (200 mg/kg) | 7.52±0.36** |
Data are presented as mean±SD, *Significant value at P<0.05 compared to Normal control, **Significant value at P<0.05 compared to Diabetic control
Catalase activity
The values of catalase activity on the treated rats are summarized in table 7. Catalase activity was found to be lowest in the diabetic control group was found to be 10.72±0.99 U H2O2 consumed/min/mg protein. Alloxan-induced diabetic rats in Group IV and V which received O. corymbosa extracts (100 mg/kg and 200 mg/kg respectively) showed the catalase activities were significantly increased and not indicated any significant difference with the rats in the normal control group.
Table 7: Effect of treatment of alloxan-induced diabetic rats with aqueous extract of O. corymbosa for 14 d on catalase
| Group (n=3) | Treatment | CAT (U H2O2 consumed/min/mg protein) |
| I | Normal control | 25.17±0.65 |
| II | Diabetic control | 10.72±0.99* |
| III | Normal+O. corymbosa (200 mg/kg) | 22.18±0.28** |
| IV | Diabetic+O. corymbosa (100 mg/kg) | 21.87±0.18** |
| V | Diabetic+O. corymbosa (200 mg/kg) | 25.35±0.27** |
Data are presented as mean±SD, *Significant value at P<0.05 compared to Normal control, **Significant value at P<0.05 compared to Diabetic control
Total cholesterol, LDL and HDL
Total cholesterol, LDL and HDL are expressed in mg/dl and the results obtained are shown in table 8. Total cholesterol was the highest in the diabetic control group with a total cholesterol value 152.49±0.95 mg/dl. Groups IV and V which received treatment of plant extracts of 100 mg/kg and 200 mg/kg respectively showed lower total cholesterol as compared to the diabetic control group. Similarly, LDL was the highest in the diabetic control group with LDL value of 165.83±1.00 mg/dl. Groups IV and V which received treatment of plant extracts of 100 mg/kg and 200 mg/kg respectively showed significantly lower LDL values as compared to the diabetic control group. In contrast, HDL was the lowest in the diabetic control group with HDL value of 23.61±2.34 mg/dl. Groups IV and V which received treatment of plant extracts of 100 mg/kg and 200 mg/kg respectively showed significantly higher HDL values as compared to the diabetic control group.
Histopathology examination
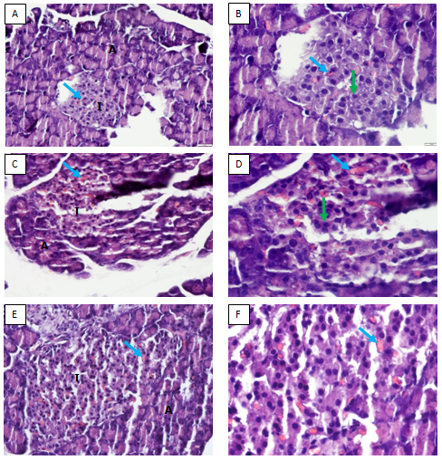
Sections of the pancreas of rats from each group were stained with haematoxylin and eosin (H and E) and examined under the microscope (FSX 100 fluorescence microscope, Tokyo, Japan). Islets of Langerhans displaying degenerative and damaged acinar cells were seen in diabetic control fig. 1 C, D. However, most of the changes were alleviated by pretreatment of animals with O. corymbosa as shown in fig. 2 C, D, E and F.
Table 8: Effect of treatment of alloxan-induced diabetic rats with aqueous extract of O. corymbosa for 14 d on total cholesterol, LDL and HDL
| Group (n=3) | Treatment | Total cholesterol (mg/dl) | LDL (mg/dl) | HDL (mg/dl) |
| I | Normal control | 98.09±1.56 | 51.97±1.59 | 35.48±3.13 |
| II | Diabetic control | 152.49±0.95* | 165.83±1.00* | 23.61±2.34* |
| III | Normal+O. corymbosa (200 mg/kg) | 112.93±4.64** | 65.49±3.16** | 34.19±2.52** |
| IV | Diabetic+O. corymbosa (100 mg/kg) | 127.9±6.52** | 123.35±4.50** | 32.42±1.25** |
| V | Diabetic+O. corymbosa (200 mg/kg) | 92.56±5.49** | 115.71±3.20** | 34.47±1.67** |
Data are presented as mean±SD, *Significant value at P<0.05 compared to Normal control, **Significant value at P<0.05 compared to Diabetic control

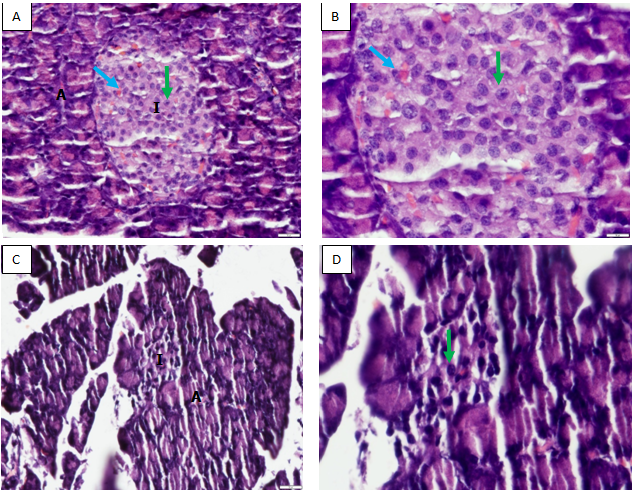
Fig. 1: Haematoxylin and eosin (H and E) stained histopathological sections of the pancreas after 14 d of treatment. (A) Normal control with 20X magnification: Native architecture of islets and pancreatic tissue. (B) Normal control with 40X magnification. (C) Diabetic control with 20X magnification on Islets of Langerhans displaying degenerative and damaged acinar cells can be seen. (D) Diabetic control with 40X magnification, I: Islets of Langerhans; A: Acinar cells; Blue arrow: Red blood cells; Green arrow: β-cells

Fig. 2: Haematoxylin and eosin (H and E) stained histopathological sections of the pancreas after 14 d of treatment. (A) Plant control with 20X magnification: Native architecture of islets and pancreatic tissue. (B) Plant control with 40X magnification. (C) Diabetic+100 mg/kg O. corymbosa extract with 20X magnification: Islets of Langerhans showing evenly distributed β-cells with an increased number of β-cells. Red blood cells were spotted and the acini cells appeared to be normal. (D) Diabetic+100 mg/kg O. corymbosa extract with 40X magnification. (E) Diabetic+200 mg/kg O. corymbosa extract with 20X magnification. Islets of Langerhans showing evenly distributed β-cells with an increased number of β-cells. Red blood cells were spotted and the acini cells appeared to be normal. (F) Diabetic+200 mg/kg O. corymbosa extract with 40X magnification, I: Islets of Langerhans; A: Acinar cells; Blue arrow: Red blood cells; Green arrow: β-cells
Phytochemicals can be defined as a large group of plant-derived compounds which can benefit the human-kind in health improvement and diseases prevention against several diseases such as diabetes and cancer [23, 24]. Based on the results obtained in this study, O. corymbosa showed the presence of tannins, phlobatannins, saponins and flavonoids as of its phytochemical constituents and possesses antioxidant activity and this result is also supported by previous studies conducted by Fatema and Hossain [12]. Various studies have been shown that medicinal plants possess anti-diabetic properties in search of cure or treatment for diabetes that has little side effects. Thus, the present study was undertaken to demonstrate the anti-diabetic effect of O. corymbosa in alloxan-induced diabetic rats.
In the present study, a significant elevation of blood glucose and a decrease in body weight were observed after alloxan injection. The decrease in body weight in diabetic induced rats was due to the process known as catabolism of fats and proteins [25] and may be caused by stress and deranged metabolism which leads to anorexia and reduced digestion [26]. The administration of aqueous extract of O. corymbosa to diabetic rats showed increased in body weight as compared to diabetic control rats which according to Balamurugan et al. [25] this is a positive indicator in which the plant has a preventive effect on the degradation of structural proteins [25] and also the plant studied in this current research might have the ability to control muscle wasting [27]. The elevation of blood glucose level in diabetic induced rats after administration of alloxan may be caused by the reduction of insulin production by β-cells of pancreas or insulin resistance in peripheral tissues [25, 26]. In the present study, the aqueous extract of O. corymbosa was found to reduce the blood glucose levels in diabetic rats and showed no effect on blood glucose of normal rats. The hypoglycaemic action of O. corymbosa may be due to the increase in the activities of the enzymes which responsible in the utilization of glucose by insulin-dependent pathway or regeneration of damaged β-cells in the pancreas [28]. The hypoglycaemic effect of O. corymbosa may be attributed to the bioactive compounds present in it. Khan et al. [26] suggested that the presence of bioactive ingredients in plant extracts is responsible in the anti-hyperglycaemic effect of herbal plants which causes restoration of pancreatic tissues function.
Increase in the levels of LPO was observed in the diabetic induced rats. An increase in the levels of LPO in the diabetic induced rats may be due to the increase in oxidative stress in the cells which resulted from depletion of antioxidant scavenger systems [29]. In the current study, a significant decrease in LPO levels was observed in diabetic rats that received 100 mg/kg and 200 mg/kg of O. corymbosa extracts respectively as compared to the diabetic control group. This might be due to the antiperoxidative effect of bioactive compounds present in O. corymbosa which inhibit the oxidative damage. Concomitantly, a decrease in GSH and catalase activity was observed in the diabetic rats. The results presented in this study are in agreement with the other authors where they also reported decreased levels of GSH in diabetic rats [29, 30]. A significant elevation of GSH levels and catalase in diabetic induced rats were observed after treatment with O. corymbosa extracts might be due to its protective efficacy.
Lipids play an important role in the pathogenesis of diabetes [31]. Significant elevation of total cholesterol (TC) and low-density lipoprotein (LDL) with a decreased level of high-density lipoprotein (HDL) are usually observed in diabetes cases and such conditions represent a risk factor for coronary heart disease [32]. The significantly high levels of TC and LDL as compared to normal control rats, may be due to the deficiency or absence of insulin as insulin functions to disturb in the regulation of the activity of the hormone-sensitive enzyme, lipase which is responsible in converting triglycerides to free fatty acids and glycerol [33]. On administration of aqueous extract of O. corymbosa to the diabetic rats, a significant reduction on the TC and LDL levels were observed. Khan et al. [26] reported that the presence of phenolic and flavonoids compounds in the extracts have a positive correlation with the reduction in blood glucose level as well as a lipid profile. The restoration of the TC, LDL and HDL values near to or at normal values could be attributed with bioactive compounds present in O. corymbosa. The histopathological examination undertaken on the pancreas has also shown recovery of the damaged and ruptured islet as well as an increase in the number of β-cells after treatment with O. corymbosa extracts.
Our data suggest that aqueous extract of O. corymbosa at a dose of 100 mg/kg and 200 mg/kg body weight lowers blood glucose and lipid parameters except HDL. Significant restoration in GSH, LPO and CAT was observed in dose dependent manner. Histopathological examination of pancreatic sections revealed that diabetic rats treated with O. corymbosa extracts at either dose have normal architecture structure of islets. These results indicate that O. corymbosa may be effective as a hypoglycaemic and antihyperlipidemic agent.
Financial support for this research was provided by UMS Priority Area Scheme SBK0192-SKK-2015. Authors are also thankful to Dr. Zarina Amin, Director, Biotechnology Research Institute, Universiti Malaysia Sabah for support and encouragement.
Caysandra Audrey Michelle Elwon conducted the experiment and prepared the manuscript. Associate Professor Dr. Mohammad Iqbal helped in designing and conducting the experiment. Dr Muhammad Dawood Shah proofread and edited the manuscript.
The authors declare that there are no conflicts of interest.
Diabetes in Malaysia 2014. International Diabetes Federation (IDF); 2015.
Gupta PD, De A. Diabetes mellitus and its herbal treatment. Int J Res Pharm Biomed Sci 2012;3:706-21.
Yadav JP, Sushila S, Kalia AN, Dangi AS. Hypoglycaemic and hypolipidemic activity of ethanolic extract of Salvadora oleoides in normal and alloxan-induced diabetic rats. Ind J Pharm 2008;40:23-7.
Radhika S, Smila KH, Muthezhilan R. Antidiabetic and hypolipidemic activity of Punica granatum Linn on alloxan induced rats. World J Med Sci 2011;6:178-82.
Ojewale AO, Olaniyan OT, Yemitan OK, Odukanmi OA, Dare BJ, Akingbade AM, et al. Antihypoglycemic and antihypolipidemic activities of ethanolic roots extract of Crossopteryx febrifuga in alloxan-induced diabetic rats. Min J Pharm Med Sci 2013;2:48-51.
Mamun-or-Rashid AMN, Hossain MS, Hassan N, Dash BKD, Sapon MA, Sen MK. A review on medicinal plants with antidiabetic activity. J Pharmacogn Phytochem 2014;3:149-59.
Thompson Coon JS, Earnst E. Herbs for serum cholesterol reduction systemic review. J Farm Pract 2003;52:468-78.
Mohammad A, Kumar D, Rizvi SI. Antidiabetic potential of some less commonly used plants in traditional medicinal systems of India and Nigeria. J Int Ethnopharmacol 2015;4:78-85.
Maniyar Y, Bhixavatimath P. Antihyperglycemic and hypolipidemic activities of aqueous extract of Carica papaya linn. leaves in alloxan-induced diabetic rats. J Ayur Int Med 2012;3:70-4.
Endrini S. Antioxidant activity and anticarcinogenic properties of “Rumput Mutiara” {Hedyotis corymbosa (L.) Lam.} and “pohpohan” {Pilea trinervia (Roxb.)Wight}. J Med Plants Res 2011;5:3715-8.
Chimkode R, Patil MB, Jalapure S, Pasha TY, Sarkar S. A study of hepatoprotective activity of Hedyotis corymbosa. Linn in albino rats. Anc Sci Life 2009;28:32-5.
Fatema UK, Hossain MS. Analgesic effect of ethanol extract of Hedyotis corymbosa whole plant. Int Res J Pharm 2014;5:21-4.
Yuan YV, Bone DE, Carrington MF. Antioxidant activity of dulse (Palmaria palmata) extract evaluated in vitro. Food Chem 2005;91:485-94.
Krishnaiah D, Devi T, Bono A, Sarbatly R. Studies on phytochemical constituents of six Malaysian medicinal plants. J Med Plants Res 2009;3:67-72.
Stankovic MS. Total phenolic content, flavonoid concentration and antioxidant activity of Marrubium peregrinum L. extracts. J Sci 2011;33:63-72.
Hatano T, Kagawa H, Yasuhara T, Okuda T. Two new flavonoids and other constituents in licorice root: their relative astringency and radical scavenging effects. Chem Pharm Bull 1988;36:1090-2097.
Szkudelski T. The mechanism of alloxan and streptozotocin action in beta cells of the rat pancreas. Physiol Res 2001;50:536-46.
Kumar RP, Sujatha D, Saleem TSM, Chetty CM, Ranganayakulu D. Potential antidiabetic and antioxidant activities of Morus indica and Asystasia gangetica in alloxan-induced diabetes mellitus. J Exp Pharm 2010;2:29-36.
Jollow DJ, Thorgeirsson SS, Potter WZ, Hashimoto M, Mitchell JR. Acetaminophen-induced hepatic necrosis II. Role of covalent binding in vivo. J Pharm Exp Ther 1974;187:195-202.
Buege JA, Aust SD. Microsomal lipid peroxidation. Methods Enzy 1978;52:302-10.
Claiborne AL. Catalase activity. CRC handbook of methods for oxygen radical research; 1985. p. 283-4.
Lowry OH, Rosebrough NJ, Farr AL, Randall RJ. Protein measurement with the folin phenol reagent. J Biol Chem 1951;193:265–75.
Chede PS. Phytochemical analysis of Citrus sinensis peel. Int J Pharma Bio Sci 2013;4:339-43.
Mishra C, Singh B, Singh S, Siddiqui MJA, Mahdi AA. Role of phytochemicals in diabetes lipotoxicity: an overview. Int J Res Dev Pharma Life Sci 2015;4:1604-10.
Balamurugan K, Nishanthini A, Mohan VR. Antidiabetic and antihyperlipidaemic activity of ethanol extract of Melastoma malabathricum linn. leaf in alloxan induced diabetic rats. Asian Pac J Trop Biomed 2014;4:442-8.
Khan TY, Raina R, Verma PK, Sultana M, Jyoti MK. Phytochemical constituents and antidiabetic potential of Ipomoea carnea leaves extracts. J Exp Integ Med 2014;4:137-42.
Ragini V, Prasad KV, Bharathi K. Antidiabetic and antioxidant activity of Shorea tumbuggaia rox. Int J Innov Pharmal Res 2011;2:113-21.
Mall GK, Mishra PK, Prakash V. Antidiabetic and hypolipidemic activity of Gymnema sylvestre in alloxan induced diabetic rats. Global J Biotech Biochem 2009;4:37-42.
Zhang Z, Lv G, Pan H, Sandos LFF, Fan M, Soccol CR, et al. Antidiabetic activities of ethanol extract of dry matters of culture broth of Coriolus versiolor in submerged culture. Braz Arch Biol Tech 2011;54:701-8.
Pari L, Latha M. Antidiabetic effect of Scoparia dulcis: effect on lipid peroxidation in streptozotocin diabetes. Gen Physiol Biophys 2005;24:13-26.
Shrestha D, Pandey J, Gyawali C, Lamsal M, Sharma S, Rokaya RK, et al. Study of in vitro antioxidant and antidiabetic activity by Mussandra macrophylla root extract. Intl J Curr Pharm Res 2020;12:70-4.
Indradevi S, Havenil S, Kaleeswaran B, Srigopalram S, Ravikumar S. Ethanolic extract of Crinum asiaticum attenuates hyperglycaemia-mediated oxidative stress and protects hepatocytes in alloxan induced experimental diabetic rats. J King Saud Uni Sci 2010;24:171-7.
Bako HY, Mohammad JS, Waziri PM, Gwarzo MY, Zubairul MM. Lipid profile of alloxan-induced diabetic wistar rats treated with methanolic extract of Adansonia digitata fruit pulp. Sci World J 2014;9:19-24.