1Department of Pharmacology, Faculty of Veterinary Medicine, Cairo University, Giza, Egypt 12211, 2Salman bin Abdulaziz University, Faculty of Pharmacy, Department of Pharmacology, Al-Kharj, Saudi Arabia 11942, 3Department of Pharmacology, National Research Centre, Cairo, Egypt 12311.
Email: rehabs2001@yahoo.com
Received: 11 Nov 2014 Revised and Accepted: 05 Dec 2014
ABSTRACT
Objective: The aim of the present study was to investigate the potential hepatoprotective and hepatotherapeutic activities of propolis against D-galactosamine and lipopolysaccharide (D-GaIN/LPS)-induced hepatotoxicity in rats.
Methods: Hepatotoxicity was induced in rats by intra peritoneal injection of GalN (300 mg/kg) and LPS (30 μg/kg). In the hepatoprotection experiment, propolis was administered orally for 10 days before induction of hepatoxicity. In another experiment (hepatotherapy), propolis was dosed immediately after GalN/LPS injection.
Results: Injection of GalN/LPS to rats induced hepatic damage that was manifested by a significant increase in the activities of aminotransferases, alkaline phosphatase, lactate dehydrogenase and levels of tumor necrosis factor-alpha (TNF-α) and total bilirubin in serum. Liver homogenate of intoxicated animals had the lower content of reduced glutathione with increased levels of the hepatic malondialdehyde and caspase-3 enzyme. Histological data presented marked damage in liver sections of intoxicated rats. Oral dosing of propolis before or once immediately after intoxication reversed these altered parameters near to normal values.
Conclusion: Liver apoptotic events such as DNA fragmentation and increased caspase-3 activity observed during intoxication were prevented by pre and post- propolis treatment. These results suggest that propolis could afford significant protection and therapy in alleviation of hepatotoxicity.
Keywords: Propolis, Galactosamine, Lipopolysaccharide, Hepatotoxicity, Rats.
INTRODUCTION
Hepatotoxicity, an injury to the liver, is associated with impaired liver function caused by exposure to drugs, chemicals or noninfectious agents [1]. D-GalN/LPS-induced liver damage is a widely used model that resembles human liver failure [2]. D-GalN is a specific hepatotoxic agent that depletes the uridine triphosphate pool and thereby inhibits macromolecule synthesis [3]. LPS, a major component of the outer membrane of Gram-negative bacteria, is an endotoxin that is thought to contribute significantly to hepatic failure [4].
In D-GalN/LPS-induced hepatic injury, TNF-α plays an important role in the inflammatory response [5]. TNF-α can trigger an inflammatory cascade involving the induction of other pro-inflammatory cytokines including interleukin-1 (IL-1), interleukin-6 (IL-6), interleukin-12 (IL-12) and interferon-gamma (IFN-γ), which are essential for inflammation and consequent liver damage [6].
Pentoxifylline is a methyl xanthine derivative, commonly used for peripheral vascular diseases and appeared to have hepatoprotective effects in experimental liver fibrosis model. The mechanism of action of pentoxifylline is attributed to the inhibition of tumour necrosis factor-α (TNF-α) production, which has been implicated as a major mediator of many effects of septic syndrome [7, 8].
Propolis (bee glue) is the resinous substance collected by bees from the leaf buds and barks of trees, especially poplar and conifer trees. Propolis has a long history of use in folk medicine. It appears to have antibacterial [9], anti-inflammatory [10], antioxidant [11] and immune stimulating activities [12]. Most of these effects have been related to the anti-oxidant and free radical scavenging properties of propolis [13]. Propolis exhibited a remarkable in vitro antioxidant activity at different examined concentrations which could be attributed to its content of flavonoid [14]. Moreover, it has been reported that propolis contains flavonoids, aldehydes, caffeic acid and caffeic acid phenethyl ester [15,16]. According to these studies, it was assumed that propolis might offer protection against D-GalN/LPS-induced acute hepatotoxicity. Therefore, this study examined the hepatoprotective and/or hepatotherapeutic potentials of propolis against hepatic damage induced by D-GalN/LPS in rats in comparison to a well known TNF-α inhibitor as pentoxifylline in a rat model of hepatocellular apoptosis.
MATERIALS AND METHODS
Preparation of ethanolic extract of propolis
Propolis was purchased from a local market during April, 2010 and stored at 2-4 °C. Dried milled, crude propolis (100 g) was extracted in a dark place at 4 ºC for 3 days using one litre of 80% ethanol. The extract was filtered using the Büchner apparatus then concentrated under vacuum using the rotatory evaporator (40 ºC) to yield 40g of dried propolis ethanolic extract. The extract was chilled in the refrigerator until use [17].
Experimental animals
Sixty four mature Wistar rats of both sexes (180–200 g) were obtained from the Animal House Colony of The National Research Centre (NRC), Egypt. Animals were maintained under standard conditions of temperature (22±1°C) and 12 –h light: 12- h dark cycle, and fed a standard pellet diet and water was provided ad libitum. They were housed in standard polypropylene cages with wire mesh top. All animals were acclimatized to the laboratory conditions for 7 days before the beginning of the experiment. All animal procedures were performed after approval from the Ethics Committee of NRC, Egypt and in accordance with the recommendations of the proper care and use of laboratory animals.
Experimental protocol
Wistar rats of both sexes were randomly divided into four groups; each of 8 animals. Rats of the 1st (normal control) and 2nd (hepatotoxic control) groups received the vehicle in a dose of 5 mL/kg b. wt. Animals of the 3rd group were given the ethanolic extract of propolis (500 mg/kg b. wt), while those of the 4th group (reference) were administered pentoxyphylline in a dose of 20 mg/kg b. wt.
Hepatoprotective study
All treatments were given by oral gavage for 10 consecutive days. On the 7th day of administration, hepatotoxicity was induced in all groups (except normal control) by intraperitoneal (ip) injection of D-GalN and LPS at doses of 300 mg/kg and 30 µg/kg, respectively [18].
Hepatotherapeutic study
Another four groups of Wistar rats of both sexes; each of 8 animals were used. The vehicle, propolis extract and pentoxyphylline were given once by oral gavage, immediately after liver intoxication.
Blood and tissue samplings
In both experiments, blood and liver samples were taken after 24 h of intoxication. Blood samples (2 mL) were collected from the retro-orbital venous plexus of each rat (under ether anaesthesia) and kept for 30 min at 4 °C. Serum was separated by centrifugation at 3000 rpm for 10 min and used for the biochemical estimations.
Serum levels of TNF-α were quantified using an enzyme-linked immunosorbent assay (ELISA) kit [19]. Serum activities of aspartate aminotransferase (AST), alanine aminotransferase (ALT) [20], alkaline phosphatase (ALP) [21] and lactate dehydrogenase (LDH) [22] and levels of total bilirubin [23], total proteins [24] and albumin [25] were estimated.
After blood sampling, rats were sacrificed by cervical dislocation and the liver of each rat was excised and divided into 3 parts. The 1st part was kept at (-80 °C) for estimation of reduced glutathione; GSH [26,27], lipid peroxidation; MDA [28], nitric oxide; NO [29] and caspase-3 activity [30] in liver homogenates. The 2nd part was kept in Tris- EDTA (pH 7.4) for further isolation and purification of DNA. The remaining part was preserved in 10% phosphate buffered formalin for further immunohistochemical and histopathological investigations.
Determination of DNA damage
Qualitative determination of fragmented DNA was done using agarose gel electrophoresis technique. DNA was isolated from liver tissues following an adapted procedures [31]. Quantitative determination of DNA fragmentation was carried out using diphenylamine (DPA) colorimetric assay [32, 33].
Immunohistochemical study
This technique was performed using kits of Thermo® Scientific for the immunohistochemical analysis of caspase- liver sections [34].
Histopathological examination
Liver samples were fixed in 10% neutral-buffered formalin and subsequently embedded in paraffin [35]. Sections were stained with hematoxylin and eosin and analyzed by light microscopy.
Statistical analysis
Statistical analysis was performed using SPSS 17.0 statistical software, Chicago, USA. Results were expressed as means ± S. E. Differences among groups were statistically analyzed by the least significant difference test (LSD) followed by Dunnett’s multiple comparisons test. The minimal level of significance was identified at P<0.05.
RESULTS AND DISCUSSION
D-GalN/LPS hepatotoxicity is considered as an experimental model of acute hepatitis and it does not affect other organs [36]. In this study, the potential hepatoprotective and hepatotherapeutic activities of the ethanolic extract of propolis were evaluated in D-GalN/LPS intoxicated rat model and compared with a reference drug; pentoxiphylline.
When liver cells are injured, serum transaminases, ALP and LDH leak into the blood stream and manifest significant elevation in their serum levels. The extent of liver damage is in conformity with the elevated serum levels of these enzymes. The level of serum transaminases is most widely used to document the magnitude of the hepatocyte injury. In this view, D-GalN/LPS caused a significant elevation in serum activities of transaminases (ALT and AST), ALP and LDH is an indication of hepatocellular injury and rupture of the plasma membrane [37]. The data in tables (1) and (2) revealed that, after 24 h of D-GalN/LPS intoxication, there was a significant exaggerated increase in the activities of serum marker enzymes of hepatic damage (AST, ALT, ALP and LDH) and level of total bilirubin as compared to the corresponding normal control groups. In the present study, the reduction in levels of transaminases, ALP and LDH by the pre- or post-treatment of rats with propolis extract is an indication of repair of hepatic tissue damage caused by D-GalN/LPS. This was also confirmed by the results of histological examination, as evidenced by a decrease in the incidence and severity of pathological hepatic lesions. In addition, the rise in the levels of serum bilirubin is the most sensitive and confirms the intensity of hepatitis [38]. The ability of propolis (500 mg/kg) to reduce the level of serum total bilirubin when dosed either before or after D-GalN/LPS intoxication, suggests its potential in clearing bilirubin from the serum when its level is elevated.
In the present study, oral administration of propolis extracts (500 mg/kg) or pentoxyphylline (20 mg/kg) to rats for 10 days before or immediately after induction of hepatotoxicity exhibited hepatoprotective and hepatotherapeutic activities, respectively. They remarkably reduced the elevated serum levels of marker enzymes of hepatic damage and total bilirubin as shown in tables (1) and (2). They significantly blocked the increase in the serum level of TNF-α induced by D-GalN/LPS as presented in fig (1) and (2). No significant change was observed in the levels of total protein and albumin in serum of intoxicated rats (data not shown).
Early studies on the mechanism of D-GalN/LPS hepatotoxicity suggested that the injury to hepatocytes is caused by the over production of reactive oxygen species (ROS) and TNF-α [39]. A first indication of hepatic damage induced by D-GalN/LPS was obtained by the evaluation of the serum level of TNF-α. Our study confirmed the dramatic increase in the serum level of TNF-α 24 h following D-GalN/LPS intoxication in rats. Oral administration of propolis (500 mg/kg) and pentoxifylline (20 mg/kg), for 10 days before or immediately after intoxication significantly reversed the level of serum TNF-α produced by D-GalN/LPS and caused a subsequent recovery towards normalization. Hence, the possibility of the mechanism of hepatoprotection and hepatotherapeutic activities of propolis may be due to its ability to reduce the production of TNF-α.
Table 1: Effect of propolis administration before D-GalN/LPS- intoxication on serum biochemical parameters in rats, (n=8) ± S. E
| Groups | AST (U/ml) |
ALT (U/ml) |
ALP (U/L) |
LDH (U/L) |
Total Bilirubin (mg/dl) |
| Normal Control | 138.1±4.91 b | 66.2±2.79 b | 121.7±4.32 b | 380.6±8.81 b | 0.7±0.03 b |
| GalN/LPS | 286.6±6.02 a | 232.8±5.61a | 223.2±6.01 a | 1137.5±16.62 a | 1.7±0.06 a |
| Propolis + GalN/LPS | 162.7±4.22 ab | 90.3±3.43 ab | 163.2±4.77 ab | 437.1±9.05 b | 0.9±0.03 ab |
| Pentoxifylline + GalN/LPS | 199.3±5.59 ab | 120.7±4.02ab | 159.1±4.56 ab | 465.8±9.04 b | 0.9±0.03 ab |
The groups that are statistically differed from control and from hepatotoxic group, were marked as (a) and (b), respectively (LSD followed by Dunnett's test)
Table 2: Effect of propolis administration immediately after D-GalN/LPS- intoxication on serum biochemical parameters in rats, (n=8) ± S. E
| Groups | AST (U/ml) |
ALT (U/ml) |
ALP (U/L) |
LDH (U/L) |
Total Bilirubin (mg/dl) |
| Normal Control | 140.8±4.45 b | 71.6±1.56 b | 115.4±4.55 b | 372.5±7.04 b | 0.8±0.02 b |
| GalN/LPS | 294.1±6.11a | 237.9±5.2 a | 215.9±5.53 a | 1152.3±17.01 a | 1.8±0.05 a |
| GalN/LPS + Propolis | 191.4±5.78 a b | 119.4±3.23 ab | 170.9±4.26 a | 469.3±8.79 b | 0.9±0.03 b |
GalN/LPS + Pentoxiphylline |
226.1±5.66 ab | 175.7±4.51 ab | 164.9±4.99 a | 624.8±9.92 ab | 0.9±0.04 b |
The groups that are statistically differed from control and from hepatotoxic group, were marked as (a) and (b), respectively (LSD followed by Dunnett's test)

Fig. 1: Effect of propolis administration before D-GalN/LPS- intoxication on serum TNF-α of rats. The groups that are statistically differed from hepatotoxic group were marked as (*), (LSD followed by Dunnett's test)

Fig. 2: Effect of propolis administration immediately after D-GalN/LPS- intoxication on serum TNF-α of rats. The groups that are statistically differed from hepatotoxic group were marked as (*), (LSD followed by Dunnett's test)
The liver homogenates of intoxicated animals had the lower content of GSH when compared with the corresponding normal control groups. As indicated in tables (3) and (4), ip injection of D-GalN/LPS increased the hepatic MDA level to more than 3 fold that of the corresponding control animals. Further, caspase-3 enzyme activity and DNA damage in livers of D-GalN/LPS groups were significantly increased when compared with the corresponding control groups. Administration of propolis (500 mg/kg) and pentoxyphylline (20 mg/kg) before or immediately after liver intoxication significantly inverted the liver content of GSH toward the range of the corresponding control values. The elevated levels of liver MDA and caspase-3 enzyme activity that induced by D-GalN/LPS were attenuated as shown in tables (3) and (4). Propolis and pentoxiphylline resulted in a significant decrease in caspase-3 positive cells as compared to the corresponding hepatotoxic groups. No significant change was observed in the levels of NO in liver homogenates of intoxicated rats (data not shown). As seen in fig. (3) and (4), very little DNA fragmentation was quantified in livers of rats either pre- or post-treated with propolis as compared to the corresponding hepatotoxic groups using DPA assay. Moreover, clear genomic internucleosomal cleavage was observed in the livers of rats 24 h after D-GalN/LPS intoxication on agarose gel, which was visualized as ladders; a hallmark of apoptosis. Genomic DNA fragmentation in livers of intoxicated rats was reduced following propolis medication either before or immediately after D-GalN/LPS injection as presented in fig. (5) and (6).
Excessive level of ROS in the body leads to a variety of pathological conditions, including apoptosis and lipid peroxidation. Products of lipid peroxidation may causes damage to the biological membranes leading to serious cellular injury and leakage of serum marker enzymes like AST, ALT and ALP [40]. The prevention of this phenomenon can be considered as hepatoprotective activity [41]. The main byproduct of lipid peroxidation; MDA is used as an indicator of lipid peroxidation and tissue damage. Compared with normal group, there is significant increase in the level of MDA to more than 3-fold level in D-GalN/LPS intoxicated groups, suggesting the development of peroxidation to liver tissue. In this respect GSH depletion is closely related to the lipid peroxidation which is recognized as a potential mechanism of cell injury [42,43]. It has been suggested that depletion of cellular GSH constitute an early event of the apoptotic cascade and makes cells sensitive to various death-inducing agents [44]. GSH plays a major protective role in many mammalian tissues as a scavenger of free radicals that combines with non-protein thiols to abolish free radical toxicity [45]. Because GSH plays an important role in the antioxidant defense system [46], it becomes the key determinant in the D-GalN/LPS-induced hepatotoxicity. Prophylactic and therapeutic treatment with propolis succeeded to antagonize the acute hepatotoxicity induced by D-GalN/LPS, as evidenced by the reduction in the level of MDA and maintenance of intracellular level of GSH. Therefore, it is suggested that propolis has potent beneficial effects in lipid peroxidation and oxidative stress.
Table 3: Effect of propolis administration before D-GalN/LPS- intoxication on some liver parameters in rats, (n=8) ± S. E.
| Groups | (µmol/g tissue) | MDA (nmol/g tissue) |
Caspase-3 (pNA picomol/mg protein) |
Caspase-3 +ve cells/5 microscopic fields |
| Normal Control | 8.9±0.14 b | 37.8±1.26 b | 10.8±0.16 b | 1.9±0.23 b |
| GalN/LPS | 5.7±0.42 a | 139.5±7.69 a | 17.8±0.64 a | 12.3±0.31 a |
Propolis + GalN/LPS |
8.1±0.21 b | 59.8±1.69 b | 12.6±0.42 ab | 4.6±0.18 ab |
Pentoxiphylline + GalN/LPS |
8.2±0.18 b | 61.4±1.87 b | 13.5±0.07 ab | 3.9±0.29 ab |
The groups that are statistically differed from control and from hepatotoxic group, were marked as (a) and (b), respectively (LSD followed by Dunnett's test).
Table 4: Effect of propolis administration immediately after D-GalN/LPS- intoxication on some liver parameters in rats, (n=8) ± S. E.
| Groups | (µmol/g tissue) | MDA (nmol/g tissue) |
Caspase-3 (pNA picomol/mg protein |
Caspase-3 +ve cells/5 microscopic fields |
| Normal Control | 8.2±0.15 b | 37.4±1.78 b | 11.1±0.18 b | 2.3±0.17 b |
| GalN/LPS | 6.0±0.29 a | 135.9±9.09 a | 16.9±0.7 a | 11.9±0.72 a |
GalN/LPS + Propolis |
7.8.9±0.64 b | 39.4±2.88 b | 13.1±0.69 b | 6.6±0.42 ab |
GalN/LPS + Pentoxiphylline |
7.5±0.81 b | 51.4±2.21 b | 13.9±0.74 b | 6.8±0.53 ab |
The groups that are statistically differed from control and from hepatotoxic group, were marked as (a) and (b), respectively (LSD followed by Dunnett's test)

Fig. 3: Quantitative determination of fragmentation in rats' liver (DPA method) after oral administration of propolis before induction of hepatotoxicity. The groups that are statistically differed from hepatotoxic group were marked as (*), (LSD followed by Dunnett's test)

Fig. 4: Quantitative determination of fragmentation in rats' liver (DPA method) after single oral administration of propolis immediately after induction of hepatotoxicity. The groups that are statistically differed from hepatotoxic group were marked as (*), (LSD followed by Dunnett's test)

Fig. 5: fragmentation pattern of rats genomic DNA; Lane 1: Propolis for 10 days followed by hepatotoxicity induction, Lane 2: pentoxiphylline for 10 days followed by hepatotoxicity induction, Lane 3: control group, Lane 4: hepatotoxic group 24 hours after intoxication

Fig. 6: fragmentation pattern of rats genomic DNA; Lane M: marker, Lane 1: control group, Lane 2: hepatotoxic group 24 hours after intoxication. Lane 3: Propolis single administration followed by hepatotoxicity induction, Lane 4: pentoxiphylline single oral administration followed by hepatotoxicity induction
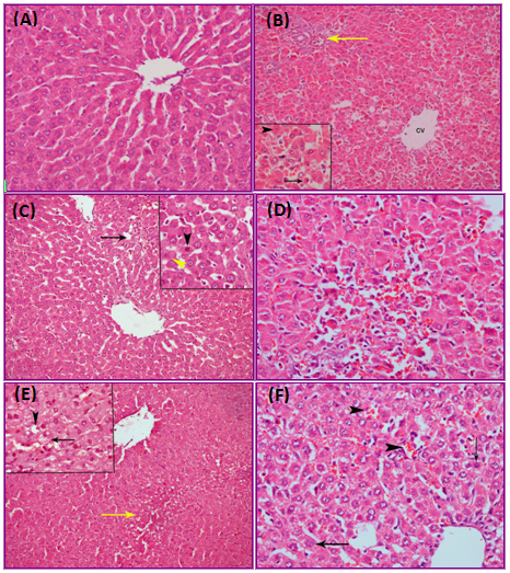
In the immunohistochemical assay, ip injection of D-GalN/LPS revealed strong expression of caspase-3 as seen in fig. 7-B, whereas in contrast, hardly any expressions were observed in the normal control group as seen in fig. 7-A. Caspase-3 positive cells in liver sections obtained from rats treated with propolis (500 mg/kg) before or immediately after intoxication significantly decreased when compared with the corresponding intoxicated groups as shown in fig. 7-C and 7-D. The histological profile of the normal liver sections showed normal hepatocytes with uniform cytoplasm, prominent nucleus and central veins were visible (Fig. 8-A). The liver sections of the intoxicated rats revealed severe damage. The blood sinusoids showed marked dilatation and engorgement with diffuse cellular infiltrates and increased number of Kupffer cells as shown in fig. 8-B. There were variable degrees of apoptosis such as pyknotic and fragmented nuclei. Histological picture of the liver of rats treated with propolis before or immediately after intoxication did not reveal pathological signs and was comparable to that of control as seen in fig. 8-C and 8-D. Most of the hepatocytes appear healthy except for a very few cells that show pyknosis.
Many toxic agents are capable of stimulating the production of ROS which may induce damage to DNA [44]. In our study, a significant increase in caspase-3 activity and DNA fragmentation in the hepatocytes was observed 24 h after D-GalN/LPS injection compared to normal control group.
The presence of DNA fragmentation and the increase in caspase-3 activity in the liver were used as characteristic markers of hepatocyte apoptosis [34, 47]. Caspases exist as inactive precursors known as procapases. When procaspases are cleaved and activated, they induce DNA fragmentation [48]. Caspase-3 is the central effector caspase leading to cleavage of different cellular substrates and finally to apoptotic cell death. Oral administration of propolis to rats for 10 days before- or once, immediately after D-GalN/LPS injection resulted in a significant decrease in caspase-3 activity and DNA damage in their livers as compared to intoxicated group.
The present finding correlates with the previous findings that the crude ethanol extract of green propolis had inhibitory effect on the ROS produced by rabbit neutrophils [49]. The toxic effect of d-GalN/LPS was confirmed by histological observations associated with severe damage of hepatocytes with variable degrees of apoptosis such as pyknotic and fragmented nuclei. These hepatic lesions were remarkably ameliorated by either pre- or post-medication with propolis extract. This is in a good agreement with the results of serum aminotransferases activity and hepatic oxidative stress level.

Fig. 7: Liver immune histochemical reaction showing number of caspase-3 positive apoptotic cells (stained in brown) in liver sections of: A- Normal control group. B- GalN/LPS intoxicated animals. C- Propolis treated group daily for 10 days before intoxication. D- Propolis treated group once immediately after intoxication. E- Pentoxiphylline treated group daily for 10 days before intoxication. F- Pentoxiphylline treated group once immediately after intoxication

Fig. 8: A- Liver histology of control animals showing normal hepatocytes (H&E, ×100). B- Liver histology of D-GalN/LPS treated animals showing increased number of Kupffer cells. The high magnification part shows variable degrees of apoptotic changes such as pyknotic nucleus with acidophilic cytoplasm (black arrow) and fragmented nucleus (arrow head), (H&E, ×100& 200). C- Liver histology of the animals treated with propolis for 10 days before intoxication showing mild dilatation of blood sinusoids (arrow). The high magnification area shows very few cells with pyknosis (black arrow head) or fragmentation (yellow arrow head), (H& E, ×100&200). D- Liver histology of the animals treated with propolis once immediately after intoxication showing a focal area of dilated and congested blood sinusoids with marked cellular infiltration (H& E, ×200). E- Liver histology of the animals treated with pentoxiphylline for 10 days before intoxication showing some dilated blood sinusoids. The high magnification area shows some apoptotic cells (arrow head) and vacuolar degenerated cells (black arrow) (H& E, ×200). F- Liver histology of the animals treated with pentoxiphylline once immediately after intoxication showing few cells that show fragmented chromatin (arrow) with minimal congestion and dilatation of blood sinusoids (arrow head), (H& E, ×200)
CONCLUSION
Overall, the current study suggests that propolis has a potent hepatoprotective and hepatotherapeutic effects on D-GalN/LPS-induced liver injury in rats. Since flavonoids have hepatoprotective activity [50], it may be speculated that these constituents of propolis are responsible for the observed protective effects.
ACKNOWLEDGMENT
Thanks to Dr. Nermeen M. Shaffie, NRC, Egypt, for carrying out the histopathological investigation. Thanks to Dr. Abdel Razik Hussein Farrag, NRC, Egypt and Dr. Abeer Kamal Shaalan, Oral Pathology Department- Cairo University for their help in carrying out histochemical investigation.
ABBREVIATIONS
D-galactosamine and lipopolysaccharide (D-GaIN/LPS), tumor necrosis factor-alpha (TNF-α), interleukin-1 (IL-1), interleukin-6 (IL-6), interleukin-12 (IL-12), interferon-gamma (IFN-γ), enzyme-linked immunosorbent assay (ELISA), aspartate aminotransferase (AST), alanine aminotransferase (ALT), alkaline phosphatase (ALP), lactate dehydrogenase (LDH), intraperitoneal (ip)
CONFLICTS OF INTEREST
There are no conflicts of interest.
REFERENCES