
Department of Zoology, Women’s Collage, Ain Shams University, Cairo, Egypt
Email: Thanaa.badr@women.asu.edu.eg
Received: 08 Aug 2020, Revised and Accepted: 10 Sep 2020
ABSTRACT
Objective: The aim of the present investigation was to study the potential effect of sweet orange juice against liver genotoxicity induced by lannate.
Methods: adult 36 female rats were divided into 6 groups: group C (control group), group L (lannate group) injected intraperitoneal (i. p.) with 1 mg/kg b. wt. lannate for one day, group J (orange juice group) orally administered a dose of 0.1 ml/10 g b. wt. of orange juice for 48 h, group J+L received the orange juice prior to lannate, group J with L received lannate in continuous with the orange juice and group L+J received lannate prior to the orange juice. Tested parameters were DNA fragmentation, micronucleus, histopathology examination and biochemical analysis.
Results: it was found that, the intake of lannate caused high DNA fragmentation and significant increase (P<0.001) in the number of micronucleated polychromatic erythrocytes in the bone marrow. Furthermore, lannate exhibited some pathological changes in the liver tissues as well as a significant (P<0.001) decrease in the total antioxidative capacity (TAC) and a significant increase in the total oxidative capacity (TOC). On the other hand, orange juice administration of all treatments (pre-treatment, continuous and post-treatment) gave some amelioration against liver damage induced by lannate. While the best results were evidenced in the continuous treatment group where the juice could attenuate liver DNA fragmentation and significantly decreased (P<0.001) the number of micronucleated polychromatic erythrocytes. In addition, it improved the induced degenerative histopathological changes as well as ameliorated the changes occurred in TAC and TOC significantly (P<0.001).
Conclusion: the antigenotoxic impact of orange juice against lannate was therapeutic and hence can counteract the poisonous effect of the pesticide in people who exposed to it.
Keywords: Lannate, Micronucleus, Fragmentation, Orange juice, Carbamate pesticides
© 2020 The Authors. Published by Innovare Academic Sciences Pvt Ltd. This is an open access article under the CC BY license (http://creativecommons.org/licenses/by/4.0/)
DOI: http://dx.doi.org/10.22159/ijpps.2020v12i11.39332. Journal homepage: https://innovareacademics.in/journals/index.php/ijpps.
Liver injuries due to chemicals such as alcohol overconsumption, medicine administrations, and environmental pollutants can induce cascades of pathological processes, the consequences of which are usually not restricted within the liver but can affect overall health [1]. Pesticides or crop-protection chemicals can be used to kill pests such as mites and aphids which cause diseases in plants. A serious environmental and health problems to the humans and livestock has been caused by the excessive use of pesticides in agriculture [2]. Although the pesticides exhibit useful features in agriculture, they also have toxic, immunotoxic, mutagenic, and carcinogenic effects on organisms [3]. Lannate is a carbamate pesticide which broadly used for the control of a large variety of pests (leafhoppers), on many crops such as fruits, vegetables, grains soybeans, cotton and ornamentals throughout the world [4]. The active ingredient in lannate is a methomyl, (S-methyl-N-(methylcabomyl)-thioacetimidate), a compound of the oxime carbamate group [5]. Methomyl has been classified as a pesticide of category-I exceedingly toxicity [6, 7].
Human exposures to methomyl divided into three toxicity categories based on exposure route: I, oral exposure (highly toxic); II, inhalation (moderately toxic); and III, dermal exposure (slightly toxic) [8, 9]. Like other carbamates, its fundamental activity is through the obstruction of acetylcholinesterase action, resulting in tissue damage and possible cell death [10]. Methomyl is a strongly genotoxic substance that stimulates cell DNA damage and apoptosis in vitro in Drosophila S2 cells, Human cervical carcinoma HeLa cells and human embryo kidney HEK293 cells [11]. Moreover, methomyl resulted in micronuclei formation in mice [12], and high levels of sister chromatid exchange and chromosomal aberrations in mice and cultured cells [13, 14].
Large numerous natural products have been examined, illustrating their powerful hepatoprotective effects, including foodstuffs such as blueberry and cactus fruits, through their mechanisms in reducing oxidative stress, decreasing inflammation, suppressing apoptosis, alleviating necrosis, recovering DNA damage, and modulating primary bile acid biosynthesis and lipid metabolism, and/or controlling intestinal permeability. Such abilities of repairing the structure and function of hepatocytes enable them to be used as promising alternatives in the selection of a healthy nutrition and potential candidates for the development of functional foods and pharmaceuticals [1]. Citrus fruits are recognized as one of the most healthful components of the human diet [15].
Citrus fruits are member of the family of Rutaceae, are one of the major fruit tree crops grown throughout the world [16, 17]. All citrus fruits participate in common their sweet and sour flavor. They have refreshing juice and are obtainable nearly all round the year [18]. Citrus fruit contain much amount of flavonoids and exhibit potent efficacy for free radical scavenging [19]. It was reported that citrus fruit components possess anticancer properties. Bioactive components existing in citrus fruits that are implicated in degenerative disease inhibition comprise vitamin C, β-carotene, flavonoids, limonoids, folic acid and dietary fibers. Vitamin C, flavonoids and β-carotene are strong antioxidants against oxidation of biomolecules such as DNA, protein and lipid membranes, therefore lowering the risk of cancers and cardiovascular diseases. Limonoids can protect against a lot of cancers by motivating Glutathione S-transferase action to neutralize carcinogenic free radicals. Folic acid plays an important role in amino acid metabolism and hence, it is a critical factor for growth [20].
The essential oils in orange juice (Citrus sinensis Linn.) include abundant ingredients, including monoterpenes and sesquiterpenes with d-limonene as a major constituent [21]. Moreover, the protective effect of citrus oils of reticulata (200 mg/kg, orally for thirty days) on isoniazid caused hepatotoxicity in wistar rats [22]. Also, some studied showed some protective role of some of the citrus fruits in adipogenesis and angiogenesis due to proliferating tumors [23]. Thus, the aim of the present study was to investigate whether the sweet orange juice supplementation help to prevent the pesticide lannate genotoxicity in the liver of experimental female rats.
Chemicals
Lannate® 90% active ingredient water soluble powder (SP) was called methomyl, (S-methyl-N-(methylcabomyl)-thioacetimidate), it was obtained from Du Pont, USA. and purchased from Al Gomhouria Company, Cairo, Egypt. while orange fruits were taken from organic local market, Cairo, Egypt.
Juice preparation
Juice was prepared immediately before the test using Citrus sinensis organic blond oranges (free of agrochemicals). Glass recipients containing the juice were covered to avoid light exposure.
Treatments
Thirty-six adult female Swiss albino rats weighing 130-150 g were obtained from central animal house of the National Research Center, Giza, Egypt and The experimental protocols were carried out corresponding to the guidelines for the animal experiment, which was approved by the Ethical Committee of Medical Research of National Center, Dokki, Giza, Egypt (registration number: 13/165). After acclimatization period for one week under laboratory conditions, rats were randomly divided into 6 groups each containing 6 animals as following:
Group C: Untreated rats used as controls received distilled water.
Group L: Rats were injected with the pesticide lannate dissolved in 0.1 ml of distilled water and were sacrificed after 24 h of the treatment. The dose used for i. p. injection of rats represented approximately 1/8-1/10 of the respective LD50 Value [24, 25]. Dose was 1 mg/kg b. wt., used as a positive control according to [26].
Group J: Rats were received 0.1 ml/10 g b. wt. of orange juice by gavage for 48 h [27].
Pre-treatment group (J+L): Rats were given the juice prior to the pesticide injection.
Combined group (J with L): Rats were received the juice in continuous with the pesticide.
Post-treatment group (L+J): Rats were received the pesticide before the juice administration.
Quantification of DNA fragmentation in liver
DNA was isolated from hepatic tissue following the method of [28]. The tissue was homogenized in 0.5% SDS extraction buffer (10 ml of 5 M stock NaCl, 10 ml of 1 M stock Tris base pH 8.0, 25 ml of 0.5 M stock EDTA pH 8.0, 2.5 gm SDS up to 500 ml dist. H2O) and tissue is crushed in buffer until it dispersed then centrifuged at 500 rpm for 5 min. After that 50 µl of proteinase-K solution (10 mg/ml) were added to 20 µl of sample, the tubes are closed and inverted to mix then kept overnight.5 µl of RNase was added for 15 min in room temperature. A mixture of 1 ml (phenol: chloroform: isoamylalcohol in 25:24:1) was added and samples were placed in vortex for 2-5 sec then centrifuged at 12.000 rpm for 15 min. Carefully 400-500ul aqueous layer from each sample removed into a new tube and mixed with 40-50 µl 3M sodium acetate pH 5.3. Ethanol 100% was added till mark 1.5 ml and inverted to mix and to precipitate DNA it let to set at-20 °c overnight then centrifuged at 12.000 rpm for 20 min. The supernatant was removed and DNA pellets were re-suspended in 50 µl of TE buffer (10 mmol tris Hcl pH 7.4, 1 mmol EDTA) overnight till complete dissolving. The gel is prepared by melting 1.2 % agarose in 50 ml running buffer (1 X TBE buffer contains 10.8 gm Tris HCl, 5.5 gm boric acid, 4 ml of 0.5 M EDTA pH 8.0, up to 1000 ml dist. H2O) then 5 µl of ethidium bromide was added to stain the gel and left for 20 min to be solid. The samples were diluted in 6X DNA loading buffer, which then was electrophoresed using 70 volt and 300 ampere for 30 min. The DNA bands were observed and photographed under a UV trans-illuminator.
Micronucleus assay
The frequency of micronucleated erythrocytes in femoral bone marrow preparations was evaluated according to the procedure described by [29]. After the sacrifice of animals, both femurs were desiccated out, cleaned from muscular tissue and both cartilaginous epiphyses were cut off. The marrow was flushed out with 1 ml fetal calf serum (FCS) into a centrifuge tube, using a clean syringe. The samples were centrifuged at 1000 rpm for 10 min. Following centrifugation, the supernatant was discarded, and the cells resuspended in a drop of FCS. The suspensions were spread on slides and air dried. The slides were fixed in methanol for 15 min, stained by Giemsa stain for 10 min, and rinsed in distilled water. A thousand of polychromatic erythrocytes (PCE) was scored. The frequency of micronucleated cells was expressed as percent of total polychromatic cells.
Polychromatic erythrocytes/Normochromatic erythrocytes (PCEs/NCEs) ratio
A total of about 100 erythrocytes of both types PCEs and NCEs were counted for each animal to determine the PCEs/NCEs ratio.
Histopathological study of liver
Autopsy samples were taken from the liver of rats in different groups and fixed in 10% formalin for twenty-four hours. Washing was done in tap water then serial dilutions of alcohol (methyl, ethyl and absolute ethyl) were used for dehydration. Specimens were cleared in xylene and embedded in paraffin at 56 degree in hot air oven for twenty-four hours. Paraffin bees wax tissue blocks were prepared for sectioning at 4 microns thickness by slidge microtome. The obtained tissue sections were collected on glass slides, deparaffinized, and stained by hematoxylin andeosin stain for examination through the light electric microscope [30].
Biochemical assay
The total antioxidative capacity (TAC) as well as total oxidative capacity (TOC) concentrations in liver were assayed by enzyme immunoassay (EIA) technique according to [31, 32]. These kits were manufactured by Labor Diagnostika Nord GmbH and Co. KG, Nordhom, Germany.
Statistical analysis
Data of micronucleus and biochemical assays were coded and entered using the statistical package SPSS version 25. Data was summarized using mean and standard deviation for quantitative variables and frequencies (number of cases). Comparisons between groups were done using analysis of variance (ANOVA) with multiple comparisons post hoc test [33]. P-values equal or less than 0.05 were considered as statistically significant.
Effect on DNA fragmentation
The liver samples of pesticide-intoxicated rats showed smeared DNA fragmentation, as evident from the tailing of the DNA (Lane L) when compared with the control (Lane C) and the orange juice-treated (Lane J) groups. Continuous treatment of pesticide-intoxicated rats with orange juice (Lane J with L) markedly suppressed DNA fragmentation. However, DNA fragmentation was still localized at the starting point in the pretreatment and post-treatment groups with the orange juice (Lane J+L and Lane L+J). There was no difference between the DNA electrophoretic patterns of the orange juice-treated rats (Lane J) and the control group (Lane C) as shown in fig. 1.
Furthermore, the results of gel electrophoresis laddering assay were analyzed using ImageJ software which revealed that treatment of rats with the orange juice alone caused similar low DNA damage to that in control group (table 1). However, lannate treated rats expressed more bands of the damaged DNA compared with the control and orange juice treated rats. In contrary, treatment of rats with orange juice decreased the damage in the DNA caused by lannate in the group treated with pesticide combined with orange juice and also in the post-treated group fig. 2.

Fig. 1: DNA fragmentation detected with agarose gel of DNA extracted from hepatic tissues of rats treated with lannate in the absence and presence of orange juice, to show the shadowing smear of fragmented DNA in the studied groups. Lane M: somatic DNA ladder; Lane C: control group, showed intact band of DNA; Lane J: orange juice-treated group, also showed intact band of DNA; Lane L: lannate-treated group, showed higher degree of DNA damage; Lane J+L: orange juice-treated group prior to lannate, showed moderate degree of DNA damage; Lane L+J: lannate-treated group prior to orange juice, showed slight degree of DNA damage and Lane J with L: orange juice-treated group plus lannate, showed no DNA damage

Fig. 2: Image J software analysis of DNA fragmentation in all studied groups showing number of bands expressed as peaks
Table 1: DNA Fragmentation in rats treated with lannate and/or orange juice values are expressed as band numbers and intensities by using Image J software analysis
| No of bands | Area | Band intensities | Groups |
| 2 | 14425.045 | 22.658 | C |
| 544.376 | 0.855 | ||
| 2 | 17430.744 | 27.379 | J alone |
| 583.134 | 0.916 | ||
| 3 | 8526.045 | 13.392 | L alone |
| 722.912 | 1.136 | ||
| 826.113 | 1.298 | ||
| 3 | 3375.719 | 5.302 | J+L (pre-treatment) |
| 712.255 | 1.119 | ||
| 907.79 | 1.426 | ||
| 2 | 6668.983 | 10.475 | L+J (post-treatment) |
| 703.154 | 1.104 | ||
| 2 | 7730.217 | 12.142 | J With L (combined) |
| 507.841 | 0.798 |
Micronucleus assay
In the control group, 14 of micronucleated polychromatic erythrocytes (PCE), cells were obtained among 1000 examined cells which represent 1.4 %, while in the pesticide treatment group, 211 micronucleated PCE cells were counted which represent 21.1 %. In the orange juice group, there were 20 of micronucleated PCE cells were obtained among 1000 examined cells which represent 2%. The pretreatment with the orange juice gave 141 micronucleated PCE (among 1000 examined cells) with a percentage of 14.1 %, while 62 and 99 micronucleated PCE cells were obtained in continuous and post treatment of the orange juice, respectively which represent 6.2% and 9.9% (table 2).
Table 2: The micronucleus frequency (expressed as percent of micronucleated cells) in polychromatic erythrocytes in the bone marrow of rats in all studied groups
| J with L | L+J | J+L | L | J | C | No of animals per each group (n=6) |
| 10 | 15 | 20 | 38 | 5 | 4 | 1 |
| 12 | 17 | 25 | 40 | 4 | 3 | 2 |
| 9 | 20 | 22 | 37 | 4 | 0 | 3 |
| 10 | 13 | 21 | 35 | 3 | 2 | 4 |
| 13 | 18 | 30 | 30 | 2 | 1 | 5 |
| 8 | 16 | 23 | 31 | 2 | 4 | 6 |
| 62 | 99 | 141 | 211 | 20 | 14 | Total |
| 10.33±1.86*#$@and | 16.5±2.43*#$ | 23.5±3.62*#$@ | 35.17±3.97* | 3.33±1.21# | 2.33±1.63 | mean±SD |
| 6.2 | 9.9 | 14.1 | 21.1 | 2 | 1.4 | % |
Values are presented as mean±SD. *: statistically significant compared to corresponding value in C group (P≤0.05), #: statistically significant compared to corresponding value in L group (P≤0.05), $: statistically significant compared to corresponding value in J group (P≤0.05), @: statistically significant compared to corresponding value in L+J group (P≤0.05), and: statistically significant compared to corresponding value in J+L group (P≤0.05).
The obtained results showed that lannate showed a statistically significant increase (P<0.001) in the frequency of micronucleated PCE compared to control group and the orange juice group. Also, the statistical analysis indicated that a significant decrease (P<0.001) in the frequency of micronucleated PCE of all treatment groups with the orange juice compared to lannate group. In the same time, all the treatment groups with the orange juice are still statistically different (P<0.001) compared to the control group, while the lowest number of micronucleated PCE cells found in continuous treatment of the orange juice with the pesticide, as shown in fig. 3 and 4.

Fig. 3: Histogram of micronuclei percentage in polychromatic erythrocytes in bone marrow of experimental rats. Values are presented as mean±SD. *: statistically significant compared to corresponding value in C group (P≤0.05), #: statistically significant compared to corresponding value in L group (P≤0.05), $: statistically significant compared to corresponding value in J group (P≤0.05), @: statistically significant compared to corresponding value in L+J group (P≤0.05), and: statistically significant compared to corresponding value in J+L group (P≤0.05)

Fig. 4: Different forms for the micronuclei in polychromatic erythrocytes observed in bone-marrow of experimental rats exposed to lannate (Giemsa stain, 1000×)
Polychromatic erythrocytes/Normochromatic erythrocytes (PCEs/NCEs) ratio
The PCE/NCE ratio in pesticide group was statistically significant decreased (P<0.001) when compared to the control group. Meanwhile, there was a statistically significant increase in PCE/NCE ratio in continuous (P<0.001), post-treatment (P=0.001) and pre-treatment groups (P=0.04) when compared to the pesticide group as shown in table 3 and fig. 5.
Table 3: The PCE/NCE ratio in the bone marrow of experimental rats in all studied groups
| PCE/NCE Ratio | ||||||
| J with L | L+J | J+L | L | J | C | No of animals per each group (n=6) |
| 1.8 | 1.43 | 1.16 | 1 | 2.06 | 1.94 | 1 |
| 1.57 | 1.32 | 1.29 | 1 | 1.91 | 2.12 | 2 |
| 1.60 | 1.43 | 1.32 | 1.04 | 1.96 | 1.43 | 3 |
| 1.81 | 1.64 | 1.10 | 1.08 | 1.6 | 1.70 | 4 |
| 1.62 | 1.71 | 1.50 | 0.96 | 1.08 | 1.38 | 5 |
| 1.96 | 1.71 | 1.56 | 1 | 1.17 | 1.77 | 6 |
| 10.36 | 9.24 | 7.93 | 6.08 | 9.78 | 10.34 | Total |
| 1.16±0.06 #and | 1.32±0.1 *#$ | 1.46±0.16 *#$ | 1.72±0.29* | 1.02±0.09 # | 1.01±0.04 | mean±SD |
Values are presented as mean±SD. *: statistically significant compared to corresponding value in C group (P≤0.05), #: statistically significant compared to corresponding value in L group (P≤0.05), $: statistically significant compared to corresponding value in J group (P≤0.05), and: statistically significant compared to corresponding value in J+L group (P≤0.05).

Fig. 5: Histogram of PCE/NCE ratio in the bone marrow of rats. Values are presented as mean±SD. *: statistically significant compared to corresponding value in C group (P≤0.05), #: statistically significant compared to corresponding value in L group (P≤0.05), $: statistically significant compared to corresponding value in J group (P≤0.05), and: statistically significant compared to corresponding value in J+L group (P≤0.05)

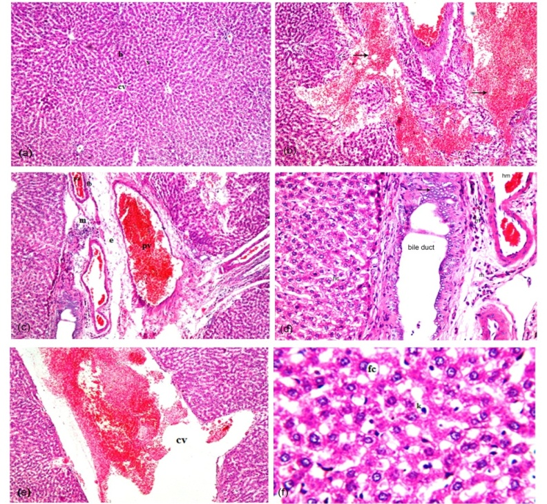
Fig. 6A: Liver paraffin sections stained by haematoxylin and eosin (HandE) for histopathological changes induced by lannate. (a) normal control liver, (b-f) liver treated with lannate. The magnification power was 100x in fig. number (a), (b), (c), and (e) while it was 200x in fig. number (d) and 400x in fig. number (f)
Histopathology examination
The histological examination of the liver tissue of control rats showed normal hepatic lobules formed of radially arranged cords of hepatocytes (h) extended from the central vein (cv), separated by blood sinusoid (s) as shown in fig. 6Aa. Meanwhile, the microscopic examination of the liver sections of lannate group detected multiple focal haemorrhages in the parenchyma (fig. 6Ab) associated with dilated congested portal vein (pv) as well as edema (e) and focal inflammatory cells infiltration (m) in the portal area with fibrous sheath (fb) around portal artery (fig. 6Ac). In addition, there was hyperplasia in the lining epithelium of the dilated bile duct at the portal area (fig. 6Ad), also fibrous sheath (fb) seen around the wall of portal artery with blood haemorrhage (hm) and inflammatory cells infiltration (m) around portal vein and portal artery as well as hydropic change (hc) in some hepatocytes. Sever dilatation and congestion was detected also in the central vein (fig. 6Ae), in addition to diffuse kupffer cells (k) proliferation was detected in between the degenerated and fatty changed (fc) hepatocytes (fig. 6Af).
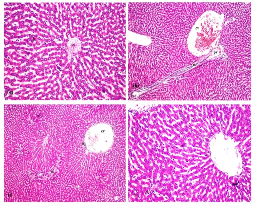
On the other hand, normal hepatic architecture detected in the orange juice treated group (fig. 6Bg). While a dilatation in the central vein associated with few inflammatory cells infiltration in the portal area of the post-treatment group (fig. 6Bh). In the pre-treatment group there are few inflammatory cells infiltration was detected surrounding and adjacent the dilated central vein and in the portal area (fig. 6Bi). Also, a diffuse kupffer cells proliferation with few inflammatory cells infiltration were detected in between the hepatocytes (fig. 6Bj) of continuous group.

Fig. 6B: Liver paraffin sections stained by H and E showing ameliorated hepatic architecture in the orange juice treated groups with or without lannate. (g) orange juice treated group, (h) post-treatment group, (i) pre-treatment group, (j) continuous group. The magnification power was 100x in fig. number (h) and (i) while it was 200x in fig. number (g) and (j)

Fig. 7: Histogram of TOC and TAC concentration (mmol L−1) in the serum of experimental rats. Values are presented as mean±SD. *: statistically significant compared to corresponding value in C group (P≤0.05), #: statistically significant compared to corresponding value in L group (P≤0.05), $: statistically significant compared to corresponding value in J group (P≤0.05), @: statistically significant compared to corresponding value in L+J group (P≤0.05), and: statistically significant compared to corresponding value in J+L group (P≤0.05)
Biochemical assay
TOC was significantly higher (P<0.001) in pesticide group (0.39±0.01) compared to the control group (0.26±0.02) while TOC of the orange juice-treatment groups was significantly lower (P<0.001) compared to the pesticide group where the mean±SD was 0.35±0.01, 0.31±0.01 and 0.31±0.01 in pre-treatment, continuous and post treatment respectively.
In addition, TAC was decreased significantly (P<0.001) after the treatment of pesticide (1.14±0.02) compared to the control group (1.27±0.02). Meanwhile, TAC was increased significantly in the orange juice of pre-treatment (P=0.002, 1.18±0.01), continuous (P<0.001, 1.22±0.02) and post treatment (P<0.001, 1.19±0.02) groups compared to the pesticide group. TOS and TAC were similar in the control group and the orange juice group (fig. 7).
Recently, the pesticides problem has been in the focus of public interest. The excessive use of pesticides to eliminate pests or to regulate crop growth led to pesticide residues in soil, air, water, stored grains, crops and plants at concentration levels which exceed the legal limits [34]. Prolonged exposure to such agrochemicals may lead to heritable disorders, carcinogenesis, reproductive dysfunction, and birth defects [35]. Therefore, this study was designed to deal with that problem by using natural product such as orange juice. Citrus fruits and its juices are known as one of the most healthful components of the human diet. They are accepted for their cost is very cheap, their nutritive and medicinal value as well as for providing particular flavor to a wide sorts of food products, making it very popular among food product. Although methomyl is degenerated rapidly and its metabolic remnant has little toxicity, however, long-term exposure to methomyl may induce genetic damage in humans [36]. Methomyl caused chromosome aberrations, sister-chromatid exchanges, micronuclei and DNA single strand breaks in agricultural workers peripheral blood [37]. Most studies conducted to assess the biological activity of fruit and vegetable juices and extracts have focused on isolated phytochemicals. Moreover, full mixtures have been mainly estimated by in vitro test systems. Thereby, this work aims to evaluate the therapeutic effect of orange juice on the genotoxicity of the pesticide lannate in vivo.
In the current study, liver damage induced by pesticide lannate was confirmed by DNA fragmentation and results revealed that lannate exhibit high degree of DNA fragmentation in the liver samples of experimental rats due to lannate could disrupt the balance between the production of free radicals and antioxidant defenses, leading to DNA damage. These results are similar to those of [11] who found that liver and kidney of Swiss CD1 mice treated intraperitoneally with a single dose of methomyl 5 mg/kg showed a significant increase in oxidative damage after 4 h of treatment due to the formation of 8-hydroxy guanosine (OH8dG) which considered to be a relevant factor for DNA damage and potential genotoxic and carcinogenic effects due to reactive oxygen species [38]. Moreover, pesticides may raise oxidative damage because they are more active to oxygen free radical that re-oxidizes to make superoxide or the pesticides may itself be free radicals or they may deplete antioxidants defenses [9]. Furthermore, methomyl is a strongly genotoxic agent that induces cell DNA damage [11]. On the other hand, continuous treatment markedly suppressed DNA fragmentation. So, it is clear that orange juice may prevent the toxic effects of the pesticides on DNA because it is rich source of useful phytochemicals, such as vitamins C, flavonoids, limonoids, and other compounds. This results in agreement with the previous results of [27].
Vitamin C is a vital micronutrient primarily required as a co-factor for enzymes included in oxi-reduction responses [39, 40 and 41]. Vitamin C can compete with DNA as a target for alkylation, decreasing the genotoxicity of alkylating agents [42]. Moreover, vitamin C has a role in the regulation of DNA repair enzymes [43]. Vitamin C is not protein bound and is degraded with an elimination half-life of 10 h [44]. Also, Phenolic compounds are another constituent of orange juice. They can protect biological systems by different ways [45, 46, 47 and 48]. Some flavonids, like hesperetin, can selectively prevent human Cytochrome P450 [49], decreasing the absorption of toxic compounds. Other phenolic compounds, such as limonoids are inducers of the detoxifying enzyme gluthatione S-transferase. The stimulation of detoxifying enzymes can facilitate the elimination of toxic compounds, significantly affecting the toxic potential of endogenous and exogenous chemicals [48]. Moreover, phenolic compounds such as myricetin can stimulate DNA repair pathways, through transcription regulation or mRNA stabilization [50]. In pre-treatment, phenolic compounds and vitamin C in a minor extent (due to the shorter half-life) could have competed as target site for alkylation. With respect to continuous and post-treatments, both phenolic compounds and vitamin C together could have affected the kinetics of repair.
The micronucleus induction assay was utilized as an extra sensitive biological indicator of the injury to somatic cell genome of organisms exposed to pesticides. It is known that the appearance of micronucleus is related to the loss of chromosome fragments due to chromosome breaks [51]. Our results revealed that there was elevation in the number of micronuclei in the lannate exposed animals. Because micronucleus could be the consequence of the mitotic spindle malfunction, it is possible that the lannate could also express an aneugenic mode of action as inhibiting cell division and mitotic spindle apparatus. Micronucleus formation observed in animals clearly indicate that this pesticide interacts with chromatin DNA and induce damage there. Such interactions/DNA damage may be caused by an increased incidence of alkali labile sites in DNA [52]. Our results are in agreement with those of [11, 13].
On the other hand, the present study indicated that the combination of orange juice with lannate significantly reduced that elevation in micronucleated PCE cells and that coincide with the findings of [53]. There are several studies evaluating the antioxidant potential of orange juice, mostly in vitro. All in vitro studies have shown that orange juice has considerable antioxidant potential. The high content of flavonones in orange juice is linked to its antioxidant potential. Juices rich in flavonones are the second-best antioxidants, after fruits rich in anthocyanins (red, purple, or blue fruits) [54, 55]. To date, it is not clear how much each orange juice constituent contributes to the overall antioxidant activity. It is possible that some compounds act at short-term losing their antioxidant capacity (vitamin C) and other such as phenolics might retain their antioxidant potential for longer periods [56, 57].
The histological examination of liver tissues of lannate group detected hepatic destruction may be due to oxidative stress generating by free radicals which damage cell components. These results are in agreement with those of [58] who showed that much pesticide induce some toxic and adverse effects on the liver, kidney and other biological systems, when tested on various types of experimental animals through their mode of action or by production of free radicals that damage all cell components. Also, methomyl causes disturbance in fetal development and histological changes in female rats [59]. Moreover, the pesticide methomyl, even at low doses, can induce hepatocytes dysfunction, oxidative stress, and histopathological damage in liver of male rats [60]. On the other hand, all treatment groups (pre, post and continuous) of orange juice have improved the architecture of the liver tissue and decreased all the histopathological damage induced by lannate, these results are in agreement with [61].
In the present investigation the pesticide lannate also induced a significant increase in total oxidative stress (TOS) and that in agreement with those results of [9] who reported the methomyl induces oxidative stress. Also, mice treated with methomyl cleared elevation in oxyradicals which enhanced increase in total superoxide dismutase activity in erythrocytes [62].
In addition, total antioxidant capacity (TAC) which considered the cumulative effect of all antioxidants present in all the body was significantly decreased by lannate. This is possibly owing to the depletion of the antioxidant molecules, due to their consumption in the process of protecting cells against reactive oxygen species generated by the lannate. These results are similar to those of [63, 64]. On the other hand, TOS in orange juice-treatment groups were significantly decreased while TAC was significantly increased. This suggested that the orange juice can prevent the oxidative stress caused by lannate and, thus, the orange juice may have antioxidant properties modulating the toxic effects of the pesticide.
Our results revealed that the lannate’s mutagenicity was counterbalanced in by the inhibitor capacity of orange juice, probably through its antioxidant properties. Pre-treatment with orange juice slightly reduced the level of DNA damage and other parameters induced by lannate, while continuous treatment followed by post treatment both induced a significantly higher reduction in DNA damage as well as micronucleated polychromatic erythrocytes, improved histopathological changes and ameliorated biochemical parameters. Damage reduction was higher because all compounds could act as reactive species quenchers and DNA repair pathways modulators. Thus, we advise individuals who are constantly exposed to the pesticide to drink more orange juice through period of exposure.
First and above all, we would like to thank God Almighty for providing us the strength, knowledge, ability and opportunity to proceed successfully this research study. Without his blessings, this achievement would not have been possible.
Nil
All the authors have contributed equally.
Declared none
Meng X, Li Y, Li S, Gan RY, Li HB. Natural products for prevention and treatment of chemical-induced liver injuries. Compr Rev Food Sci F 2018;17:472-95.
Ojha A, Yaduvanshi SK, Pant SC, Lomash V, Srivastava N. Evaluation of DNA damage and cytotoxicity induced by three commonly used organophosphate pesticides individually and in mixture, in rat tissues. Environ Toxicol 2013;28:543–52.
Rasolonjatovoa MA, Cemeka M, Cengizb MF, Ortaça D, Konuka HB, Karamana E, et al. Reduction of methomyl and acetamiprid residues from tomatoes after various household washing solutions. Int J Food Prop 2017;20:2748–59.
World Health Organization WHO. Methomyl. IPCS, Environmental health criteria. Geneva; 1996. p. 33.
Seleem AA. Teratogenicity and neurotoxicity effects induced by methomyl insecticide on the developmental stages of Bufo arabicus. Neurotoxicol Teratol 2019;72:1–9.
Dong MH, Krieger RI, Ross JH. Calculated reentry interval for table grape harvesters working in california vineyards treated with methomyl. Bull Environ Contam Toxicol 1992;49:708-14.
World Health Organization and International Programme on Chemical Safety. The WHO recommended classification of pesticides by hazard and guidelines to classification 2009. World Health Organization; 2010.
Van Scoy AR, Yue, Deng MX, Tjeerdema RS. Environmental fate and toxicology of methomyl. Rev Environ Contam Toxicol 2013;222:93–109.
Patil JA, Patil AJ, Govindwar SP, Sontakke AV. Protection of liver Injury by vitamin c, e and gsh after methomyl toxicity in rat. J Pharm Chem Biol Sci 2016;3:506-17.
Yi MQ, Liu HX, Shi XY, Liang P, Gao XW. Inhibitory effects of four carbamate insecticides on acetylcholinesterase of male and female carassius auratus in vitro. Comp Biochem Physiol 2006;143:113-6.
Guanggang X, Diqiu L, Jianzhong Y, Jingmin G, Huifeng Z, Mingan S, et al. Carbamate insecticide methomyl confers cytotoxicity through DNA damage induction. Food Chem Toxicol 2013;53:352-8.
Bolognesi C, Peluso M, Degan P, Rabboni R, Munnia A, Abbondandolo A. Genotoxic effects of the carbamate insecticide, methomyl II. In vivo studies with pure compound and the chemical formulation lannate 25. Environ Mol Mutagen 1994;24:235-42.
Wei LY, Chao JS, Hong CC. Assessment of the ability of prpoxur, methomyl, and aldicarb, three carbamate insecticides, to induce micronuclei in vivo in BALB/C mice. Environ Mol Mutagen 1997;29:386-93.
Lin CM, Wei LY, Wang TC. The delayed genotoxic effect of N-nitroso Npropoxur insecticide in mammalian cells. Food Chem Toxicol 2007;45:928-34.
da Silvaa SAV, Clementea A, Rochaa J, Direito R, Marquesa HC, Sepodesa B, et al. Anti-inflammatory effect of limonin from cyclodextrin (un)processed orange juices in in vivo acute inflammation and chronic rheumatoid arthritis models. J Funct Food 2018;49:146-53.
Okwu DE, Emenike IN. Evaluation of the phytonutrients and vitamins content of citrus fruits. Int J Mol Med Adv Sci 2006;2:1-6.
Mehl F, Marti G, Boccard J, Debrus B, Merle P, Delort E, et al. Differentiation of lemon essential oil based on volatile and non-volatile fractions with various analytical techniques: a metabolomic approach. Food Chem 2014;143:325–35.
Roger GDP. Encyclopedia of medicinal plants, Education and Health. Library editorial safeliz S. L. Spain 2005;153-154:265-7.
Alam MA, Subhan N, Rahman MM, Uddin SJ, Reza HM, Sarker SD. Effect of citrus flavonoids, naringin and naringenin, on metabolic syndrome and their mechanisms of action. Adv Nutr 2014;5:404-17.
Aschoff JK, Kaufmann S, Kalkan O, Neidhart S, Carle R, Schweiggert RM. In vitro bioaccessibility of carotenoids, flavonoids, and vitamin c from differently processed oranges and orange juices [Citrus sinensis (L.) Osbeck]. J Agric Food Chem 2015;63:578-87.
Graciela OR, Fredy Y, Betzabe SF, Lilibeth C. Volatile fraction composition of Venezuelan sweet orange essential oil (Citrus sinensis (L.) Osbeck). Ciencia 2003;11:55-60.
Kangralkar VA, Gavimath CV, Venkatesh V, Gowri B, Vinay RH, Priya M. Protective effect of essential oils of citrus reticulata on isoniazid induced hepatotoxicity in wistar rats. Int J Pharm Appl 2010;1:59-61.
Sarkar P, Thirumurugan K. Modulatory functions of bioactive fruits, vegetables and spices in adipogenesis and angiogenesis. J Funct Foods 2019;53:318-36.
Fakhr IMI, El-Dardery M, Mostafa IY, Zayed SMAD. Short term toxicity studies of 'Dursban' and 'Gardona' in mice. Egypt Med Assoc 1982;65:71.
Fahmy MA. Assessment of the genotoxicity of the insecticides: 'Trichlorphon' 'Malathion' and 'Sevin' in the mouse. PhD Thesis, Department of Zoology, Faculty of Science, Ain Shams University, Egypt; 1990.
Amer SM, Fahmy MA, Donya SM. Cytogenetic effect of some insecticides in mouse spleen. J Appl Toxicol 1996;16:1-3.
Franke SIR, Pr D, Erdtmann B, Henriques JAP, Silva JD. Influence of orange juice over the geotoxicity induced by alkylating agents: an in vivo analysis. Mutagenesis 2005;20:279-83.
Bortner CD, Oldenburg NBE, Cidlowski JA. The role of DNA fragmentation in apoptosis. Trends Cell Biol 1995;5:21-6.
Adler ID. Cytogenetic tests in mammals. Venitt S, Parry JM. (eds) Mutagenicity testing (a practical approach). IRI Press: Oxford; 1984. p. 275-306.
Banchroft JD, Stevens A, Turner DR. Theory and practice of histological techniques. Fourth Ed. Churchil Livingstone, New York: London, San Francisco, Tokyo; 1996.
Flohe L, Gunzler WA. Oxygen radicals in biological systems. Methods Enzymol 1984;105:114-212.
Cao G, Alessio H, Cutler R. Oxygen radical absorbance capacity assay for antioxidants. Free Radic Biol Med 1993;14:303-11.
Chan YH. Biostatistics102: quantitative data–parametric and non-parametric tests. Singapore Med J 2003;44:391-6.
Süsse H, Müller H. Pesticide analysis by micellar electrokinetic capillary chromatography. J Chromatography A 1996;730:337-43.
Hammam FM, Abd El Mottaleb EM. Studies of the genotoxic and histopathological effects of the organophosphorous insecticide 'Profenofos' on white rats. Egypt J Hosp Med 2007;29:685-706.
Bonatti S, Bolognesi C, Degan P, Abbondandolo A. Genotoxic effects of the carbamate insecticide methomyl. I. in vitro studies with pure compound and the technical formulation "Lannate 25". Environ Mol Mutagen 1994;23:306-11.
Heikal TM, Mossa ATH, Khalil WKB. Protective effects of vitamin c against methomyl-induced injures on the testicular antioxidant status and apoptosis-related gene expression in rat. J Anal Toxicol 2014;5:1-7.
Niesink RJM, Vries JD, Hollinger MA. Toxicology: principles and applications. C RC Press: INC; 1996.
Fenech M, Ferguson L. Vitamins/minerals and genomic stability in humans. Mutat Res 2001;475:1-6.
Halliwell B. Vitamin C and genomic stability. Mutat Res 2001;475:29-35.
Edenharder R, Krieg H, K€ottgen V, Platt KL. Inhibition of clastogenicity of benzo[a]pyrene and of its trans-7,8-dihydrodiol in mice in vivo by fruits, vegetables, and flavonoids. Mutat Res 2003;537:169-81.
Vijayalaxmi KK, Venu R. In vivo anticlastogenic effects of L-ascorbic acid in mice. Mutat Res 1999;438:47-51.
Cooke MS, Evans MD, Podmore ID, Herbert KE, Mistry N, Mistry P, et al. Novel repair action of vitamin C upon in vivo oxidative DNA damage. FEBS Lett 1998;439:363-7.
Schwedhelm E, Maas R, Troost R, Boger RH. Clinical pharmacokinetics of antioxidants and their impact on systemic oxidative stress. Clin Pharmacokinet 2003;42:437-59.
Yu MH. Environmental toxicology: impacts of environmental toxicants on living systems. 1st edn. Lewis Publishers, USA; 2000. p. 255.
Tassaneeyakul W, Vannaprasaht S, Yamazoe Y. Formation of omeprazole sulphone but not 5-hydroxymeprazone is inhibited by grapefruit juice. Br J Clin Pharmacol 2000;49:139-44.
Edenharder R, Sager JW, Glatt H, Muckel E, Platt KL. Protection by beverages, fruits, vegetables, herbs, and flavonoids against genotoxicity of 2-acetylaminofluoreno and 2-amino-1-methyl-6-phenylimidazol [4,5-6] pyridine (PhIP) in metabolically competent V79 cells. Mutat Res 2002;521:57-72.
Kelly C, Jewell C O’Brien NM. The effect of dietary supplementation with the citrus limonoids, limonin and nomilin on xenobiotic-metabolizing enzymes in the liver and small intestine of the rat. Nutr Res 2003;23:681-90.
Doostdar H, Burke D, Mayer RT. Bioflavonoids: selective substrates and inhibitors for cytochrome P450 CYP1A and CYP1B1. Toxicol 2000;144:31-8.
Abalea V, Cillard J, Dubos MP, Sergent O, Cillard P, Morel I. Repair of iron-induced DNA oxidation by the flavonoid myricetin in primary rat hepatocyte cultures. Free Radic Biol Med 1999;26:1457-66.
Heddle JA, Cimino MC, Hayashi M, Romagna F, Shelby MD, Tucker JD, et al. Micronuclei as an index of cytogenetic damage: past, present, and future. Environ Mol Mutagen 1991;18:277-91.
Peluso M, Munnia A, Bolognesi C, Parodi S. 32P-postlabeling detection of DNA adducts in mice treated with the herbicide roundup. Environ Mol Mutagen 1998;31:55-9.
Hassanane MM, Kassem SM, Safinaz E, Eltoukhy SE. Orange juice reduced genetic and biochemical alterations induced by herbicide Glyphosate in mice. Cell Biol 2014;2 Suppl a14:1-7.
Proteggente AR, Pannala AS, Paganga G, Van Buren L, Wagner E, Wiseman S, et al. The antioxidant activity of regularly consumed fruit and vegetables reflects their phenolic and vitamin C composition. Free Radical Res 2002;36:217-33.
Del Caro A, Piga A, Vacca V, Agabbio M. Changes of flavonoids, vitamin C and antioxidant capacity in minimal lyprocessed citrus segments and juices during storage. Food Chem 2004;84:99-105.
Sentandreu E, Navarro JL, Sendra JM. Effect of technological processes and storage on flavonoids content and total cumulative fast-kinetics and cumulative slow-kinetics antiradical activities of citrus juices. Eur Food Res Technol 2007;225:905-12.
Tabart J, Kevers C, Pincemail J, Defraigne JO, Dommes J. Comparative antioxidant capacities of phenolic compounds measured by various tests. Food Chem 2009;113:1226-33.
Khan SM. Protective effect of black tea extract on the levels of lipid peroxidation and antioxidant enzymes in liver of mice with pesticide induced liver injury. Cell Biol Funct 2006;24:332-72.
Alharbi FK. Effect of methomyl on fetal development and histological changes in female rats. Egypt J Chem Environ Health 2017;3:110-23.
Mansour SA, Ali AR, Mohamd RI. Ameliorating effect of green tea, sage, and their mixture against methomyl-induced physiological, biochemical, and histopathological alterations in male rats. Egypt Pharmaceut J 2018;17:223-36.
Ke ZL, Pan Y, Xu XD, Nie C, Zhou ZQ. Citrus flavonoids and human cancers. J Food Nutr Res 2015;3:341-51.
Chelly M, Chelly S, Ben Salah H, Athmouni K, Bitto A, Sellami H, et al. Characterization, antioxidant and protective effects of edible Rumex roseus on erythrocyte oxidative damage induced by methomyl. J Food Meas Charact 2020;14:229-43.
Ogunro PS, Ogungbamigbe TO, Ajala MO, Egbewale BG. Total antioxidant status and lipid peroxidation in HIV-1 infected patients in a rural area of south western Nigeria. Afr J Med Sci 2005;24:221-5.
Chabane K, Khene MA, Zaida F, Ainouz L, Giaimis J, Mameri SS, et al. Subacute and subchronic methomyl exposure induced toxic effects on intestines via oxidative stress in male albino rats: biochemical and histopathological study. Drug Chem Toxicol 2020. https://doi.org/10.1080/01480545.2020.1727496.