Tanta University, Faculty of Science, Botany Department, Mycology Research Lab., Tanta 31527, Egypt, Albaha University, Faculty of Science, Biology Department, Albaha, Saudi Arabia.
Email: Yehiamah@gmail.com
Received: 15 Nov 2014 Revised and Accepted: 10 Dec 2014
ABSTRACT
Objective: Pityriasis versicolor (PV) is a superficial fungal infection of the skin characterized by changes in skin pigment due to colonization of the stratum corneum by a dimorphic lipophilic fungus of the normal flora of the skin, known as Malassezia furfur. Currently, there is no antimycotic drug against tinea versicolor with high fungicidal activity and without relapse.
Methods: Dill seed hot water extract was chosen based upon preliminary studies which included different types of essential oils and other seed extracts where it produced the highest inhibition zone of 60 mm against M. furfur. Dill seed water extract antimicrobial activity was carried out by disc diffusion method. The minimal inhibitory concentration of dill extract was estimated and found to be 6 mg/ml which were used for the formulation of ointment to treat M. furfur infected albino rabbits as an animal model.
Results: Topical application of Dill seed extract ointment (6 mg/g) two times daily succeeded in curing severe human tinea versicolor in a time course of 2 weeks, and with complete healing, which might be used in the treatment regimen after testing its safety. Histopathological effects of Dill seed extract ointment in treating rabbit skin declared no significant toxic effects.
Conclusion: Present study indicates that dill seed extract can be used as potential candidates for preparation of antidermatophyic drug formulations and thus may be useful in the treatment of tinea versicolor inhuman.
Keywords: Tinea versicolor, Malassezia sp, Anethum graveolens.
INTRODUCTION
Dermatomycosis is an infection caused by fungal invasion of the skin tissues [1] as in Pityriasis versicolor (PV) which is characterized by changes in skin pigment due to colonization with the dimorphic lipophilic fungus of the normal flora of the skin, known as Malassezia sp. which are human saprophytes [2]. The epidemiology of tinea versicolor varies geographically, but commonly occurs in warm and tropical climates; its frequency is variable and depends on different climatic, occupational and socioeconomic conditions.
In Central African, Belec, et al., [3] carried out 5 years studies, recording 870 tinea versicolor cases. Moreover, the incidence of tinea versicolor was noticeable in Egypt by [4], they reported 60 cases of tinea versicolor in rural areas of the Assiut governorate during the 1 year. While Mubarak and El Wakiel [5] revealed 272 cases of tinea versicolor during 1 year in the El Gharbiah governorate, Egypt.
Eleven species have been described of which the majority is lipophilic. [6, 7] Studies within the past ten years indicated that the pathogen most frequently associated with tinea versicolor is M. furfur followed by M. globosa [8]. Also, Ljubojevic et al., [9] isolated M. furfur as abundant causative organisms of tinea versicolor in Corwatia (87 %). Malassezia furfur was common and cause (70 %) of tinea versicolor cases as recorded by [10].
Malassezia furfur was believed to play the main role in the pathogenesis of tinea versicolor between Tunisian patients as stated by [11]. Tinea versicolor in Central African was mainly caused by M. furfur acting as the causative organism. [3] M. furfur is readily killed by almost all topical and systemic antifungal [12] but since the organism is part of the normal flora of human skin, it is impossible to eradicate it permanently. As a consequence, relapse tends to occur sooner or later in predisposed individuals [12].
No one treatment gives prompt satisfactory results in controlling signs and symptoms of tinea versicolor. A new trend in the management of fungal infections is to use plant extracts depending upon their safety. Therefore, the efficacy of dill seed extract against tinea versicolor was evaluated on human volunteers infected with Malassezia furfur that has been chosen as a model because it is the most prevalent caustic agent all over the world
MATERIALS AND METHODS
Organism
Malassezia furfur was isolated and identified from patients clinically diagnosed to have tinea versicolor, Dermatology department at Tanta University Hospital, Tanta, Egypt. Malassezia furfur has been isolated and purified on sterile Sabouraud’s dextrose agar (SDA) medium; each 1 liter of distilled water contained 30 g dextrose, 10 g peptone, 20 g agar, and 0.5 g from each chloramphenicol and cycloheximide were added. Few drops of olive oil (100 µl) must be added to enhance yeast growth [13]. The plates were incubated at 37°C for 4 to 15 days.
Survey of antifungal materials
Seventeen plant essential oils were obtained from the Faculty of Pharmacy at Tanta University, Egypt (Table 1). Also, three mixed oils were used (that has the greatest antifungal activity).
Three plant extracts were used. Dill and fennel seeds were obtained from Agriculture Research Institute EL– Gemmiza, Egypt, while Zorbeih leaves were collected from irrigation canal bank at Tanta city, Egypt as in (Table 2).
Seed extraction, preparation
Seeds of Anethum graveolens and Foeniculum vulgare were surface sterilized using 1 % mercuric chloride (HgCl2), then washed by sterile distilled water and crushed using pestle and mortar. Hot water extracts of seeds were prepared by weighting (40 mg) amount of seeds that was extracted in a known volume of water (10 ml) for 24 hours to get the desired concentration (4mg/ml), then each extracted material was filtered through Whatman filter paper no. 1 and centrifuged at 10000 RPM for 15 min and the supernatant was used for testing its antifungal activity [14].
Leaf extraction, preparation
The fresh leaves of Chenopodium ambrosioides were a shade dried and reduced to powder form. A powdered sample (40mg) was extracted with 10 ml of distilled water for 3 days to get the desired concentration (4mg/ml), then the mixture was filtered and evaporated in a water bath at 45 ºC to yield the desired extract, which extract was stored in a refrigerator at 4 °C until be used [15].
Determination of antifungal activity
Cut plug method recorded by Pridham, et al. [16] was employed to determine the antifungal activity of the chosen materials.
Freshly prepared cells suspension of M. furfur (0.5 ml of about 106 cells / ml) was mixed with 9.5 ml of sterile Sabouraud's dextrose medium at 45ºC, poured on sterile Petri dishes, and left to solidify at room temperature. Regular wells were made in the inoculated agar plates by a sterile cork borer with 0.8 mm diameter. Each well was aseptically filled up with 200 µl of essential oil with the concentration of 1 % (v/v) that was prepared in 100 ml distilled waters containing 2 % Tween 80. Also, the well was filled with 200 µl of each plant extract with a concentration of (4 mg/ml). However, in case of synthetic compounds, each well was filled with 4 mg of each compound as it was finely powdered and suspended in distilled water.
Three replicas were made for each tested suspension and the average was taken throughout all experiments, then all plates were incubated at 37 ºC for 3 days. Then the average diameters of inhibition zones was recorded, and compared in all plates. The obtained results indicated that the most efficient antifungal material was dill seed extract that was compared with other commercially used antifungal agent (ketoconazole) for inhibition of M. furfur growth as a positive control.
Effect of different concentrations of Dill seed extract on M. furfur growth
Cells suspension of M. furfur (0.5 ml of 106 cells/ml) was mixed with 9.5 ml of sterile Sabouraud's dextrose medium at 45 ºC, poured on sterile Petri dishes, and left to solidify at room temperature. Regular wells were made in the inoculated agar plates by a sterile cork borer with 0.8 mm diameter. Dill seed extract and ketoconazole were prepared with different concentrations (0, 2, 4, 6, 8, 10 mg/ ml) from each material. Then, each well was aseptically filled up with 200 µl from each concentration of each material. Three replicas were made for each tested suspension and all plates were incubated at 37 ºC for 3 days. Then the average diameters of inhibition zones were recorded, and compared in all plates.
Effect of Dill seed extract and ketoconazole on M. furfur surviving ratio and their minimal inhibitory concentration
The percentage, of surviving cells of M. furfur was measured in the absence and presence of different concentrations of Dill seed extract (0, 2, 4, 6, 8, 10 mg/ml) as the most promising antifungal agent and ketoconazole (a well known antifungal agent, used for comparison) according to Nokashima, et al.[17] as follows:
Cells suspension of M. furfur (0.5 ml of 106 cells/ ml) was mixed with 9.5 ml of each concentration in a sterile test tube and incubated for 24 hrs at 37ºC. Then 0.2 ml of each mixture was spread into the surface of previously sterile Sabouraud’s dextrose agar plates for 48 hours at 37ºC. Colony forming units were counted, and the MIC was recorded for both antifungal materials [18]. Three replicas were made for each tested suspension. Then the average percentages of surviving cells were recorded, and compared by all palates.
Treatment of tinea versicolor on experimental animal
Healthy albino rabbits of 1 Kg average weight was used and fresh isolates of M. furfur were utilized to perform artificial infections with the pathogen. During one year, several trials were carried out for causing infection in the experimental animals, but the most effective and succeeded were conducted during spring (March). As the rabbits were first infected with the fungus in a sterilized area by swapping the yeast cells of M. furfur fresh isolates on the center of rabbits ear as the inoculation area was the unshaven glabrous follicle-rich inside of the rabbit ear [19]. Then 0.1 ml of sterile olive oil was added to the inoculate.
The infected area was under plastic occlusion using plastic film covered with leucoplast tape and the rabbits were left for a time to allow the infection to form a definite lesion which appeared after one to two weeks. To be sure that the infection was conducted, some scales were collected from the infected lesion and cultured on Sabouraud’s agar medium with olive oil which gives rise to a new colony of M. furfur.
Dill seed extract ointment was prepared by dissolving 600 mg of dill seeds after crushing in 100 ml hot distilled waters to adjust the minimal inhibitory concentration of Dill seed extract that was used in vitro against M. furfur. Then the extracted material was filtered through Whatman filter paper no. 1 and centrifuged at 10000 RPM for 15 min and the supernatant was incorporated with 3 g from methyl cellulose as a gel base. The gel was stirred well till dissolved giving the desired ointment and then the ointment was cooled in the refrigerator until used [20].
Ketoconazole cream treatment was prepared by adding 0.3g of cream base (Eva-pharmaceutical product) to ketoconazole cream (Nizoral-JANSSEN) to adjust the MIC concentration of ketoconazole that was used in vitro against M. furfur.
The prepared gel was applied on the lesion separately twice a day (two rabbits for gel preparation treatment) for a period of two weeks and compared with ketoconazole cream that was applied for another two infected rabbits. Also, positive control was conducted by leaving the infected lesions without treating in two other rabbits. After applying the different treatments; the periods of curing were recorded. Photos were picked up for infected rabbits before treatments, then everyone week of treatments as well as after curing.
Histology
Histopathological examinations of rabbit’s ear, skin tissues
Histopathological examination was carried out for 4 rabbits, the first one was for healthy rabbit’s skin tissues as a negative control, the second was infected rabbit’s skin tissues with tinea versicolor (untreated) that considered as a positive control, the third was for infected and treated rabbit’s skin tissues with Dill seed extract ointment and the last one was for infected treated rabbit’s skin tissues with ketoconazole. This was to distinguish between the presence and the absence of tinea versicolor infection in rabbit’s skin tissues and also to approve the effectiveness and the safety of Dill ointment to be applied topically on the skin. This examination was, according to the procedure of Bancroft et al., [21].
Separation of rabbit’s ear tissues
Treated, and control ears were excised from rabbits under aseptic conditions using sterile Aicon shortcut pointed surgical blade (size no.: 11) order to avoid injury of the ear. Excised ear samples were immediately soaked in 10% formaldehyde fixative solution, and left for 24 hrs.
Preparation of ear skin sections
Excess fixative components were removed by washing, ear samples with distilled water for 5 min, and then dehydrated by soaking in serial di1utions of ethanol (30, 50, 70, and 80%, respectively) each for 5 min.
Preparation of paraffin blocks with ear samples
Ears were soaked for 5 min in 95 % ethanol with traces of eosin dye to be distinguished during the next preparation of paraffin blocks, then clarified by soaking in xylene for 5 min (miscible with paraffin).
Ear samples were transferred into the molten soft paraffin bath and left for 2 hours to allow the paraffin to infiltrate the skin tissues effectively. Then paraffin blocks were solidified by immersing in cold water immediately. Sections of 5 µm thicknesses were made from paraffin blocks containing ear samples by rotary microtome with clean, sharp heated biconcave knife (Alcon-Couvreur, Belgium).
Sections were floated on clean microscopic glass slides with 0.2% albumin fixative, heated on water vapor at 40°C to be spread on the slides with a clean spatula. Desired sections were adhered to slides by gelatin-blood serum mixture. Paraffin was complete1y dissolved by air dryer, and then adhered sections were soaked with absolute ethanol for 2 min.
Staining of ear skin sections
The principle dye was hematoxylin and the counter dye was eosin. Hematoxylin solution is composed of 2g hematoxylin, 100 ml methanol, 100 ml glycerol, 3g ammonia alum, 100 ml distilled water and 0.24g Na-iodate. Eosin solution is composed of 1g eosin (YC. 1.45360), 5mg glacial acetic acid, and completed to 1000 ml of 70% ethanol.
Deparaffinized slides were stained for 20 minutes with hematoxylin solution. Then was hed for 5 minutes with distilled water destained by 0.5% HCl in 70% ethanol. Ammonia was added drop wise till nuclei come dark against the colorless background. Slides were dehydrated in 70% ethanol. Dehydrated slides were counter stained for 5 minutes with the eosin solution. Excess stain was removed. Slides were dehydrated by serial ethanol dilutions. Clearing of sections was obtained by xylene till visible red tissues with brownish nuclei were observed. Stained sections were permanently mounted by soaking with aqueous Hoyer mounting medium (30g gum Arabic, 200g chloral hydrate, 16 ml glycerol dissolved in 50 ml distilled water). A glass cover was stuck, and left warm overnight.
Light microscopy
Slides of ear skin sections were examined at 10X and 40X objective lenses. Sharp images were photographed with a magnification power of (400X).
Treatment of tinea versicolor on human
Number of volunteers (10) with tinea versicolor (admitted to the outpatient clinic of Dermatology department, at Tanta University Hospital, Egypt) was subjected to the following treatment:
Treatment was carried out by topical application of the new synthesized antifungal ointment of Dill seed extract on the skin of tinea versicolor twice times daily during 2 weeks.
Volunteers were followed up till complete healing of tinea versicolor. The rate of healing was recorded and represented as an example of the appearance of infected skin and photographed at different stages of healing. Complete healing from infection was confirmed by clinical examination.
RESULTS
Table (1 and 2) indicates the names of the studied essential oils and some plant materials to be tested against Malassezia furfur growth.
Table 1: Essential oils tested against M. furfur
| Latin name | Vernacular name | Family name |
| Allium sativum | Garlic oil | Alliaceae |
| Eugenia caryophyllus | Clove oil | Myrtaceae |
| Nigella sativa | Black seed oil | Ranunculaceae |
| Trigonella foenum graecum | Fenugreek oil | Fabaceae |
| Aloe vera | Aloe oil | Liliaceae |
| Cinnamomum cassia blume | Cinnamon oil | Laureaceae |
| Ocimum sanctum | Tulsi oil | Lamiaceae |
| Portulaca oleracea | Rigla oil | Portulacaceae |
| Artemisia alba | Artemisia oil | Asteraceae |
| Lavandula angustifolia | Lavander oil | Lamiaceae |
| Majorana hortensis | Marjoram oil | Lamiaceae |
| Allium cepa | Onion oil | Alliaceae |
| Pimpinella anisum | Anise oil | Apiaceae |
| Eucalyptus camaldulensis | Camphor oil | Myrtaceae |
| Daucus carota | Carrot oil | Apiaceae |
| Matricaria recutita | Camomile oil | Asteraceae |
| Mentha spicata | Mint oil | Lamiaceae |
Table 2: Seeds and leaf plant extracts activity tested against M. furfur
| Latin name | Vernacular name | Used plant part | Family name |
Anethum graveolens Foeniculum vulgare Chenopodium ambrosioides |
Dill Fennel Zorbeih |
Seed Seed Leaf |
Apiaceae Apiaceae Chenopodiaceae |
Fig. (1) shows that garlic oil gives the highest inhibition zone (50 mm) among the other oils followed by clove oil (40 mm), black seed oil, Fenugreek oil, aloe oil, Cinnamon oil, Marjoram oil, Onion oil, Carrot oil and Rigla oil. However, Mint oil, Tulsi oil, Artemisia oil, Lavender oil, Anise oil, Camphor oil and camomile oil have no antifungal activity against the tested yeast.
Fig. (2) shows moderate inhibitory effects of some mixed oils as garlic and clove oils at a concentration of 1% (v/v) which gave the best effect (19 mm inhibition zone) followed by garlic and black seed oils and clove and black seed oils at the same concentration. This means that mixing oils decrease their antifungal activity on the inhibition of M. furfur.
Seed extract of dill give the highest inhibitory effect, followed by seed extract of fennel (fig. 3). But leaf extract of Zorbeih has no antifungal activity against M. furfur. Accordingly, several parameters were measured to ensure the effectiveness of the promising antifungal activity of Dill seed extract and its safety to be used in the treatment of tinea versicolor, also ketoconazole was run as a well – known antifungal agent as a positive control.
Fig. (4a) shows the highest inhibitory effect of Dill seed extracts on the growth of M. furfur comparing with ketoconazole. To detect the suitable concentration of Dill seed extract to be used in the treatment of tinea versicolor, minimal inhibitory concentration (MIC) of dill seed extract was determined of 6 mg/ml value. However, ketoconazole needs higher concentration to be effective. Significant differences were observed on the effect of dill and ketoconazole on the growth of M. Fig. by the one-way Anova test as showed in fig. (4b).

Fig. 1: General study for inhibition of M. furfur (isolate no.5) growth by some essential oils of 1% (v/v) concentration

Fig. 2: Inhibition of M. furfur (isolate no. 5) growth by some combinations of the most efficient, tested essential oils, with 1% (v/v) concentration for each component

Fig. 3: General study for inhibition of M. furfur (isolate no.5) growth by some water plant extracts of 4 mg/ml concentration

Fig. 4: A-Effect of water seed extract of Dill on M. furfur growth in comparison to commercial Ketoconazole. B-Anova test to compare between dill and ketoconazole effects
Concentration of testing material (mg/ml) |
Diameter of inhibition zone (mm) |
|
Dill |
Ketoconazole |
|
F. value |
1553.33 |
1561.71 |
P. Value |
0.0001 |
|
Means with the same letters are not significantly different according to Duncan's Multiple Range T.
In vivo evaluation of antifungal effect of Dill seed extract on tinea versicolor infection
After the complete establishment of tinea versicolor lesions, the ointment preparation of Dill seed extract of (MIC) concentration of (6 mg/g) was applied separately on the infected lesions of rabbit's ear as in fig. (5-d). Also, cream preparation of ketoconazole of MIC concentration of (6mg/g) was applied separately on the infected lesions of another rabbit ear as in fig. (5-g).
After one week, the treated lesions with Dill seed extract gel ointment were reduced effectively and this result is shown clearly in fig. (5-e). The treatment was very effective after two weeks illustrating complete lesion disappearance without any inflammation as in fig. (5-f), while in the case of ketoconazole cream treatment, small lesions were observed with inflammation at the tip of the ear as in fig. (5-h). Fig. (5-I) revealed that the treatment with ketoconazole after two weeks illustrates partially cure of lesions and inflammation.
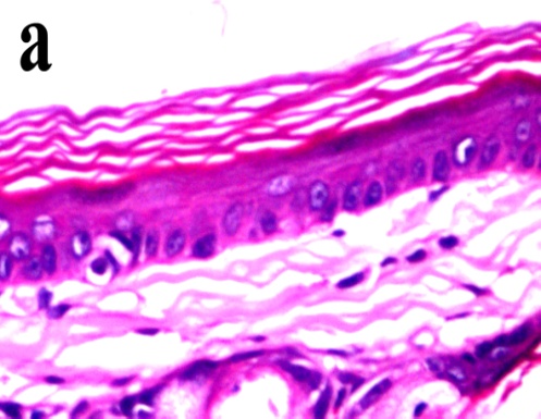
Histologically, skin section for healthy rabbit skin tissues showed normal epidermis as the keratinized fibers of stratum corneum were regularly arranged, appeared condensed without any disruption and the dermis appeared with normal fibroplasts as shown in fig. (6-a), while for skin tissues of infected tinea versicolor rabbit (untreated) as in fig. (6-b) showed round, short elongated cells and some hyphal swellings of Malasezia furfur within the stratum corneum where it’s keratinized fibers appeared loose and disrupted, and the dermis showed chronic inflammatory cellular infilterate mainly formed of lymphocytes and plasma cells.
In comparison with control, Dill seed extract ointment-treated skin section possessed no hyphal swelling, no significant toxic effects; the skin tissues appeared with normal epidermis as the keratinized fibers of stratum corneum were regularly arranged, appeared to condense without any disruption and the dermis appeared normal with minimal inflammatory cellular infiltrate as shown in fig. (6-c). On the other hand, ketoconazole-treated skin section possessed unmoral epidermis as the keratinized fibers of stratum corneum still showed some disruptions and few hyphal swellings of M. furfur which were remained and the dermis showed edema with some inflammatory cellular infiltrate of lymphocytes as illustrated in fig. (6-d).
Dill seed extract ointment of MIC concentration (6mg/g) was used as a topical treatment in human tinea versicolor and during the treatment of hospitalized volunteer, the lesions of skin human tinea versicolor could disappear gradually by this ointment, and succeeded to cure a severe tinea versicolor in a time course about two weeks. There was no hyper – sensitivity or any inflammations. Fig. 7 shows a rapid healing rate of human tinea versicolor lesion by treatment with dill seed extract ointment through two weeks. These results lead us to conclude the high activity, safety of dill seed extract at low concentration in the treatment of tinea versicolor.
![]() |
![]() |
![]() |
![]() |
![]() |
![]() |
![]() |
![]() |
![]() |
Fig. 5: In vivo healing of M. furfur growth in a rabbit tinea versicolor lesion at different stages: Control: a: Non-infected, non-treated rabbit ear, b: Infected, non-treated rabbit ear at start of infection, c: Infected, non-treated rabbit ear with high occurrence of tinea versicolor lesions, Dill aqueous seed extract ointment (6 mg/g) treatment: d: Infected rabbit ear at start of treatment, e: Partially healed rabbit ear after 1 week of treatment, f: Completely healed rabbit ear after 2 weeks of treatment, Ketoconazole cream (6 mg/g) treatment: g: Infected rabbit ear at start of treatment, h: Non-healed rabbit ear after 1 week of treatment, i: Partially healed rabbit ear after 2 weeks of treatment
![]() |
![]() |
![]() |
![]() |
Fig. 6: Histopathological effects of Dill seed extract treatment for tinea versicolor infection on rabbit's ear skin lesion against ketoconazole; a: Negative control: healthy skin, b: Positive control: infected non-treated skin, c: Dill-treated, healed skin, d: Ketoconazole-treated, partially healed skin

Fig. 7: In vivo healing of M. furfur growth in a human tinea versicolor lesion by Dill seed aqueous extract (ointment preparation of conc.= 6 mg/g); a: clinical representation of a volunteer case at the beginning of a tinea versiclor infection; b: a healing stage after 1 week of treatment; c: complete healing after 2 weeks of treatment
DISCUSSION
The process of microbial resistant development and the severe side effects of synthetic antimicrobial agents associated with their use favor the use of an alternative or complementary use of compounds of natural origin. Tinea versicolor is a severe disease resistant to ordinary systemic antifungal drug causing complicated problems in treatment in many countries especially in the developing world. The present study represents a trial to to find out new safe antifungal agents suitable for topical treatment of tinea versicolor without relapse. In vitro antimicrobial activity of dill extract was surprising for its high antifungal activity against M. furfur, followed by ketoconazole and some natural oils, respectively. The high inhibitory activity of dill seed extract might due its high secondary metabolite contents were, the phytochemical analysis of dill seed oil showed that the presences of tannins, glycosides, saponins, steroids, terpenoids and reducing sugars [22]. They also, recorded antimicrobial activity for dill seed oil against both Gram-positive bacteria such as Staphylococcus aureus, S. aureus multi-drug resistant, Enterococcus sp. and and Gram-negative Escherichia coli, Pseudomonas aeruginosa, Klebsiella pneumonia. Earlier study carried out by Pascal et al. [23] indicated antimicrobial activity of dill extract against Saccharomyces cerevisiae and Listeria monocytogenes.
The present survey shows the antifungal activity of some oils such as garlic, clove and black seed oils possessed moderate effect against M. furfur in comparison with dill seed extract. Although other trials explained the high antimicrobial activity of these oils against different pathogenic fungi [24, 25].
Malassezia strains could develop resistance to known antifungal drugs such as a zole compounds. Kalyani [26] studied the Susceptibility of Malassezia species to ketoconazole, fluconazole and Clotrimazole using disc diffusion method. Out of 100 clinically suspected cases of pityriasis versicolor, 32 yielded growth for Malassezia species. Among which 12 were M. furfur, 12 M. globosa and 8 M. obtusa. 25% of M. furfur and 33.3% of M. globosa showed resistance to ketoconazole.
Dill seed extract inhibitory activity was supported by its observable activity at low concentrations, at which a very low bacterial resistance appeared during the measurement of its inhibitory action against E. coli, Staphylococcus aureus and B. subtilis [27].
In the present study, a great decrease of M. furfur growth rate by dill seed extract was observed, which was similar to the growth reduction of Candida albicans and Saccharomyces cerevisiae by dill seed extract, as recorded by [28]. High effect of dill seed extract was revealed by its low minimal inhibitory concentration (MIC) which recorded a value of 6 mg/ml against M. furfur.
Finally, histopathological examination of skin sections treated with dill seed extracts possessed no significant toxic effects, and appeared with the normal appearance of the epidermis and dermis as the keratinized fibers. It appeared regularly arranged and condensed without any vaculations in comparison with normal skin and the healing of tinea versicolor on a volunteer were highly accelerated by the simple preparation of dill seed extract ointment for a period of 14 days without any inflammation. Additionally, dill seeds extract has a positive effect on human skin, wherein study carried by Sohm [29] showed that the dill extract could improve elasticity of dermis equivalents in vitro as well as skin biomechanical properties and appearance in vivo.
Conclusion current : our data indicate that dill seed extract can be used as potential candidates for preparation of antidermatophyic drug formulations and thus may be useful in the treatment of tinea versicolor inhuman.
CONFLICT OF INTEREST
The authors declare that we have no conflict of interest.
REFERENCES