
1Department of Pharmacology, SET’s College of Pharmacy, Dharwad, Karnataka 580002, India, 2Department of Pharmacognosy, SET’s College of Pharmacy, Dharwad, Karnataka 580002, India, 3Sami Labs Limited, Peenya Industrial Area, Bangalore, Karnataka 560058, India
*Email: chetan.savant@yahoo.com
Received: 10 Nov 2020, Revised and Accepted: 13 Mar 2021
ABSTRACT
Objective: The present study was carried out to evaluate the combined cardioprotective effect of standardized extract of Tinospora cordifolia extract (TCE) with atenolol (AT) and propranolol (PP) in isoproterenol (ISO) induced cardiac necrosis in rats.
Methods: Myocardial infarction (MI) or cardiac necrosis was induced by subcutaneous administration of ISO for two days consecutively at an interval of 24 h. Rats were pre-administered with test drugs for 21 d followed by ISO was administration on 20 and 21st day. 24 h after final ISO administration, mean arterial blood pressure (MAB), Heart rate (HR), electrocardiogram (ECG), heart bio-marker enzyme, and histopathological study of cardiac tissue were evaluated from control and experimental groups and analyzed statistically by one-way ANOVA followed by Tukeys’s test.
Results: Rats administered with ISO showed significant (p<0.001) changes in ECG, HR, MAB, heart bio-marker enzyme, antioxidant parameters, and histopathology of the heart. The activities of biomarkers have reduced in serum and there is a significant (p<0.001) increase in antioxidants in the heart tissue of animals treated with drug combination. Similarly, ECG, MAB, and HR were restored to normalcy in drug-treated animals.
Conclusion: It may be concluded that the herb-drug combinations i. e TCE (500 mg/kg)+AT (10 mg/kg) and TCE (500 mg/kg)+PP (10 mg/kg) has shown increased cardioprotective activity than they were used alone.
Keywords: Atenolol, Cardiac toxicity, Isoproterenol, Propranolol, Tinospora cordifolia
© 2021 The Authors. Published by Innovare Academic Sciences Pvt Ltd. This is an open access article under the CC BY license (https://creativecommons.org/licenses/by/4.0/)
DOI: https://dx.doi.org/10.22159/ijpps.2021v13i5.40218. Journal homepage: https://innovareacademics.in/journals/index.php/ijpps.
INTRODUCTION
Currently, cardiovascular diseases are major contributors to the high incidence of mortality occurring globally. Hence, there is a need for extensive research for the effective treatment of these cardiovascular diseases. For the experiment on cardiac tissue necrosis, often chemical-induced animal models are preferred, and a β receptor agonist such as ISO is used widely to screen the cardio-protective effect of different test drugs. Severe oxidative stress is caused by ISO in the myocardial cells, and at increased doses, it produces MI-like changes in the heart tissue [1]. It is a well-known fact that the ISO-generated free radicals initiate the lipid peroxidation of membrane-bound polyunsaturated fatty acids, which leads to structural as well as functional cardiac tissue injury [2, 3].
Tinospora cordifolia (Menispermaceae) is reported in scientific literature as a constituent of many active compound formulations used in the treatment of general diseases like dyspepsia, fever, and urinary diseases. In the Ayurvedic literature, Tinospora cordifolia (Amrita) is mentioned in various classical texts, like Sushrut samhita, Charak samhita, and Ashtang Hridaya and other treaties like Dhanvantari Nighantu, and Bhava Prakash under other synonyms such as Amritvalli, Chinnodebha, Amara, Vatsadani, and Chinnarrhuha, etc [4]. Conventional medicines like atenolol, propranolol which are β blockers, are very often prescribed in the treatment of hypertension, angina pectoris, and arrhythmias [5]. However, on the combined effects of a TCE and β-adrenergic blockers, the investigation is almost nil. Therefore, an attempt was made to evaluate the combined effect of TCE with AT and PP if any, in the ISO-induced myocardial damage that is known to induce myocardial necrosis and cardiotoxicity [6-8].
MATERIALS AND METHODS
Chemicals
Standardized methanolic leaves extract of Tinospora cordifolia was obtained from Sami Labs Limited, Peenya Industrial Area, Bangalore, Karnataka 560058 as gift samples. Isoproterenol hydrochloride was purchased from TCI Chemicals (India) Pvt. Ltd. Tambaram, Chennai, Tamilnadu–600045, India. Creatine kinase-MB (CK-MB), creatine phosphokinase (CPK), lactate dehydrogenase (LDH), aspartate aminotransferase (AST), and alanine aminotransferase (ALT) standard kits were purchased from ARKRAY Healthcare Pvt. Ltd. Santacruz (East) Mumbai 400055, INDIA. Other chemicals used were purchased from SD Fine Chemicals Ltd. (Mumbai, India). All chemicals used for the experiment were of analytical grade.
Experimental animals
Experiments were carried out using male Albino Wister rats weighing 150 to 200g were supplied by Sri Venkateshwara Enterprises, No. 4304, 13th main, 2nd cross, Subramanyanagar, Bangalore 560021, Karnataka, India. They were housed in polypropylene cages (47 cm x34 m x20 cm) lined with husk, renewed every 24 h under a 12:12 h light-dark cycle. The animals had free access to water and food, ad libitum. The animals were fed on a standard pellet diet. The experiment was carried out according to the guidelines of the Committee for the Purpose of Control and Supervision of Experiments on Animals (CPCSEA), New Delhi, India, and approved by the Animal Ethical Committee of SET’s College of Pharmacy (Reg. No. 112/PO/ReS/1999/CPCSEA, Ref No. SET/CP/IAEC/487/1 dated 7/02/2017) S. R. Nagar, Dharwad, Karnataka, India.
Preparation and dose selection of TCE, AT, PP and ISO
TCE, AT, PP were dissolved in distilled water for oral administrations to the rats. The doses for TCE 250 mg/kg and 500 mg/kg [9], AT 10 mg/kg [10], PP 10 mg/kg [11] were selected on the basis of previous studies. Similarly, previous experiments for dose-finding indicate ISO 85 mg/kg injected subcutaneously [12] twice at an interval of 24 h induces cardiac tissue necrosis in the rats and significant changes in biochemical parameters; therefore, 85 mg/kg was selected.
Experimental design
The rats were divided into 10 groups of 6 animals each. Group I termed as the control group, received distilled water at 1 ml/kg p. o daily for 21 d; Group II termed as ISO control, received two injections of ISO at 85 mg/kg, s. c at 24 h of interval on 20th and 21st days; Group III termed as TCE250, received TCE at 250 mg/kg p. o daily for 21 d and ISO (85 mg/kg s. c) on 20th and 21st days at 24 h of interval; Group IV termed as TCE500, received TCE at 500 mg/kg p. o daily for 21 d and ISO (85 mg/kg s. c) on 20th and 21st days at 24 h of interval; Group V termed as AT10, received Atenolol (AT) at 10 mg/kg p. o daily for 21 d and ISO (85 mg/kg s. c) on 20th and 21st days at 24 h of interval; Group VI termed as PP10, received Propranolol (PP) at 10 mg/kg p. o daily for 21 d and ISO (85 mg/kg s. c) on 20th and 21st days at an 24 h of interval; Group VII termed as TCE250+AT10, received TCE at 250 mg/kg p. o and AT at 10 mg/kg p. o daily for 21 d and ISO (85 mg/kg s. c) on 20th and 21st days at 24 h of interval; Group VIII termed as TCE500+AT10, received TCE at 500 mg/kg p. o and AT at 10 mg/kg p. o daily for 21 d and ISO (85 mg/kg s. c) on 20th and 21st days at 24 h of interval; Group IX termed as TCE250+PP10, received TCE at 250 mg/kg p. o and PP at 10 mg/kg p. o daily for 21 d and ISO (85 mg/kg s. c) on 20th and 21st days at 24 h of interval; Group X termed as TCE500+PP10, received TCE at 500 mg/kg p. o and PP at 10 mg/kg p. o daily for 21 d and ISO (85 mg/kg s. c) on 20th and 21st days at 24 h of interval [12].
24 h after final ISO injection, blood was withdrawn under light ether anesthesia by cardiac puncture and kept aside for 30 min to clot at room temperature. The serum was separated by centrifugation at 3000 rpm at 30 °C for 15 min and used for the estimation of marker enzymes viz., CK-MB, AST, LDH, ALT, and CPK. Animals were sacrificed by cervical dislocation and hearts were isolated immediately, washed with normal saline, and one half was used to prepare 10% (w/v) homogenates in phosphate buffer. The homogenates were centrifuged at 7000 rpm for 10 min at 4 °C and the supernatants were used for the assays of superoxide dismutase (SOD) [13], catalase (CAT) [14], glutathione (GSH) [15]. The remaining half was fixed in 10% (w/v) buffered formalin and sent for histological studies.
Statistical analysis
All the experimental results were expressed as mean±SEM. One-way ANOVA followed by Tukey’s test using GraphPad InStat, version 5.0. The intergroup difference was considered significant when p<0.05.
RESULTS
Effect of standardized extract of Tinospora cordifolia, Atenolol and Propranolol on ECG pattern and haemodynamic changes
Table 1: Effect of standardized extract of Tinospora cordifolia, atenolol and propranolol on ECG pattern and haemodynamic changes
| Groups | MAB (mmHg) | R-amplitude (mV) | ST-segment (mV) | Heart rate (bpm) |
| Normal control | 91.43±3.311 | 0.8351±0.128 | 0.1789±0.117 | 313.8±4.128 |
| Isoproterenol | 48.13±2.577### | 0.4119±0.081### | 0.3429±0.038### | 412.7±5.223### |
| TCE250 | 64.25±2.492* | 0.5912±0.071* | 0.2814±0.065* | 376.9±2.088* |
| TCE500 | 68.38±5.712** | 0.6631±0.044** | 0.2519±0.023** | 369.2±3.721** |
| AT10 | 62.83±3.212* | 0.5824±0.039* | 0.2951±0.058* | 378.3±2.415* |
| PP10 | 61.71±4.429* | 0.5933±0.022* | 0.2868±0.047* | 377.2±3.329* |
| TCE 250+AT 10 | 67.09±4.221** | 0.6529±0.089** | 0.2443±0.054** | 365.4±4.491** |
| TCE 500+AT 10 | 74.18±3.412*** | 0.6909±0.067*** | 0.2193±0.031*** | 348.6±5.231*** |
| TCE 250+PP 10 | 68.92±2.349** | 0.6604±0.058** | 0.2492±0.017** | 364.2±4.092** |
| TCE 500+PP 10 | 74.8±2.581*** | 0.6875±0.092*** | 0.2234±0.020*** | 356.4±4.178*** |
The values are expressed as mean±SEM (n=6) *P<0.05, **P<0.01, ***P<0.001 as compared to ISO treated group. #P<0.05,##P<0.01, ###P<0.001 values compared to control groups.
Table 1 shows the effect of TCE, AT, PP, and the effect of their combination on haemodynamic changes and ECG pattern. ISO-treated animals showed significant alterations in the ECG pattern when compared to normal rats. An increased ST-segment and decrease in R-amplitude was seen in ISO-administered rats when compared to normal rats, which confirms MI in rats. ISO treated control group animals showed a significant (p<0.001) increase in heart rate and decrease MAB compared to normal rats animals. Pre-treatment with TCE 500 mg/kg+AT 10 mg/kg and TCE 500 mg/kg+PP 10 mg/kg showed significant (p<0.001) in decrease in ST-segment and significant (p<0.001) increase in R-amplitude, also significant (p<0.001) reduction in HR and MAB when compared to ISO treated rats. Whereas animals treated with TCE 500 mg/kg, TCE 250 mg/kg+ AT 10 mg/kg, and TCE 250 mg/kg+PP 10 mg/kg showed a significant (P<0.01) decrease in ST-segment and a marked (P<0.01) increase in the R-amplitude as compared to ECGs from ISO treated animals. Animals treated with TCE 500 mg/kg, TCE 250 mg/kg+AT 10 mg/kg and TCE 250 mg/kg+PP 10 mg/kg showed significant (P<0.01) decrease in HR and increase MAB compared to ISO treated rats. Further, rats treated with TCE 250 mg/kg, AT 10 mg/kg, and PP 10 mg/kg showed significant (P<0.05) reduction in ST-segment, elevation in R-amplitude when compared to ECGs from ISO control rats.
Table 2: Effect of standardized extract of Tinospora cordifolia, atenolol and propranolol on cardiac biomarker enzymes
| Groups | CKMB(IU/l) | CPK(IU/l) | LDH(IU/l) | AST/SGOT (IU/l) | ALT/SGP (IU/l) |
| Normal control | 392.3±11.022 | 168.3±3.149 | 352.4±4.221 | 31.58±2.019 | 73.19±4.639 |
| Isoproterenol | 689.5±10.214### | 443.3±6.218### | 689.3±6.343### | 82.41±3.123### | 191.33±5.543### |
| TCE250 | 510.7±10.813* | 264.3±7.658* | 458.4±241* | 62.71±3.448* | 139.69±6.671* |
| TCE500 | 483.8±9.449** | 233.4±5.119** | 431.2±8.170** | 56.71±5.354** | 121.43±4.268** |
| AT10 | 516.2±10.678* | 269.3±4.471* | 461.2±5.338* | 63.20±4.181* | 141.40±3.488* |
| PP10 | 521.3±9.924* | 272.9±7.258* | 463.9±3.512* | 64.49±3.231* | 142.91±6.519* |
| TCE 250+AT 10 | 465.2±10.335** | 248.3±4.329** | 425.9±10.521** | 54.73±4.422** | 115.40±5.371** |
| TCE 500+AT 10 | 438.8±8.336*** | 228.4±5.319*** | 408.4±7.492*** | 48.29±2.188*** | 102.24±4.251*** |
| TCE 250+PP 10 | 471.4±10.567** | 251.7±4.369** | 429.8±6.401** | 55.69±4.551** | 117.40±3.721** |
| TCE 500+PP 10 | 441±7.221*** | 230.3±4.253*** | 413.8±6.581*** | 49.53±3.233*** | 104.53±3.289*** |
The values are expressed as mean±SEM (n=6) *P<0.05, **P<0.01, ***P<0.001 as compared to ISO treated group. #P<0.05, ##P<0.01, ###P<0.001 values compared to control groups.
Effect of standardized extract of Tinospora cordifolia, atenolol and propranolol on heart enzymes
The effects of TCE, AT, PP, and their combinations on serum cardiac marker enzymes such as CKMB, CPK, LDH, AST, and ALT are shown in table 2. Rats administered with ISO showed a significant increase (p<0.001) in cardiac serum marker enzymes compared with the normal control animals. Rats pre-treatment of TCE 500 mg/kg+ AT 10 mg/kg and TCE 500 mg/kg+PP 10 mg/kg for 21 d, in addition, ISO subcutaneously administered on the 20th and 21st days, produced a significant (p<0.001) decreased in the ISO-induced elevated levels of CKMB, CPK, LDH, AST, and ALT. Whereas animals treated with TCE 500 mg/kg, TCE 250 mg/kg+AT 10 mg/kg and TCE 250 mg/kg+PP 10 mg/kg showed significant (P<0.01) decrease in heart marker enzymes. Further, animals administered treated with TCE 250 mg/kg, AT 10 mg/kg, and PP 10 mg/kg showed a significant (P<0.05) decrease in cardiac enzymes compared to normal control animals. The combination treatments (TCE500+AT10 and TCE500+PP10) were significantly better than TCE, AT, PP alone treatment in reducing ISO elevated serum enzyme.

Fig. 1: Effect of Tinospora cordifolia, atenolol and propranolol on heart antioxidant enzymes
Effect of standardized extract of Tinospora cordifolia, Atenolol and Propranolol on heart antioxidants
Effect of different TCE, AT, PP, and their combinations on heart antioxidant parameters like SOD, CAT, and GSH were depicted in fig. 1. ISO treated rats shown a significant decrease (P<0.001) in heart antioxidants compared to normal control rats. SOD, CAT and GSH levels were significantly (P<0.001) increased in TCE 500 mg/kg+AT 10 mg/kg and TCE 500 mg/kg+PP 10 mg/kg administered animals when compared to ISO treated animals. Treatment of TCE 500 mg/kg, TCE 250 mg/kg+AT 10 mg/kg and TCE 250 mg/kg+PP 10 mg/kg showed significant (P<0.01) elevation in antioxidants. Whereas animals treated with TCE 250 mg/kg, AT 10 mg/kg, and PP 10 mg/kg showed significant (P<0.05) increase in heart antioxidants.

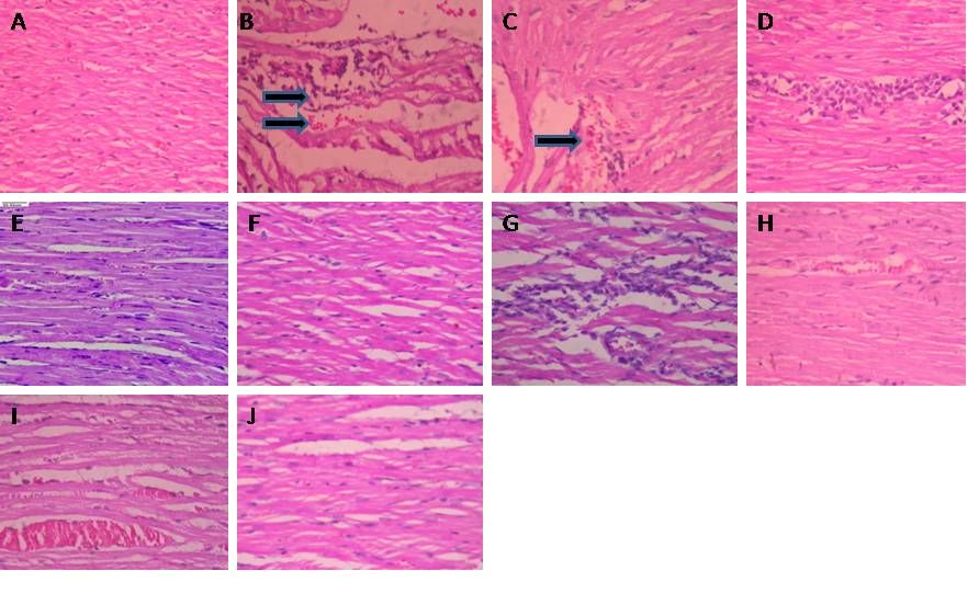
Fig. 2: Histopathological observations in rat cardiac tissue A) Normal control, B) ISO control, C) TCE 250, D) TCE 500 E) AT 10, F) PP 10 G) TCE 250+AT 10 H) TCE 500+AT 10 I) TCE 250+PP 10 J) TCE 500+PP 10
Histopathology study
Histopathological observations of the cardiac tissue (fig. 2) from normal rats (A) showed a normal arrangement of the myocardial cell membrane. No inflammatory cells were observed. (B) Heart tissue of ISO administered animals revealed congestion and necrosis in cardiac cells with the entry of inflammatory cells and also pathological abnormalities along the endocardium. The heart tissue from animals treated with (C) TCE (250 mg/kg), (D) TCE 500, (E) AT (10 mg/kg) and (F) PP (10 mg/kg) showed mild protection against ISO-induced cardiac damage. Animals treated with (G) TCE (250 mg/kg)+AT (10 mg/kg), (H) TCE (500 mg/kg)+AT (10 mg/kg), (I) TCE (250 mg/kg)+PP (10 mg/kg) and (J) TCE 500 (mg/kg)+PP (10 mg/kg) showed minimal-to-mild cardiac cell abnormalities with minimal diffuse of lymphocytic cells along the endocardium.
DISCUSSION
In the present study, MI was produced by treating rats with ISO subcutaneously at a dose of 85 mg/kg for two consecutive days. It has been observed that treatment with ISO at high doses to rats induces ‘infarct-like’ changes in the cardiac tissue similar to in MI patients in humans [16]. The production of free radicals increases lipid peroxides and membrane permeability changes which leads to loss of normal integrity of myocardial membranes. All the large molecules to leak from injured tissues and because of their tissue specificity are the markers of cardiac tissue injury [17, 18].
The leakage of CK-MB, CPK, LDH, AST, and ALT from the injured cardiac cells into serum confirms the ISO-induced cardiac necrosis. Other evidence of the cardiac toxic effect of ISO is the histopathological alterations in the heart tissue along with abnormal changes in ECG pattern, especially increased ST-segment and reduction in R-amplitude indicate standard measure used to diagnose MI in humans and animals [19].
The combination of TCE (500 mg/kg)+AT (10 mg/kg) and TCE (500 mg/kg)+PP (10 mg/kg) preserved the structural and functional integrity of the cardiac cell membrane as evident from the reduction in the increased levels of serum cardiac markers and improvement in the ECG of rats pre-treated with the combinations when compared to the individual treatment groups, thereby indicating the cardioprotective effect of the combination of TCE (500 mg/kg)+AT (10 mg/kg) and TCE (500 mg/kg)+PP (10 mg/kg).
Antioxidants are the first-line defense that limits the injury-related to free radicals [19]. Reduction in the levels of SOD, CAT, and GSH was seen in ISO-treated animals. Decreased levels of GSH may be due to its enhanced usage during the free radical production in protecting the ‘SH’ group containing proteins from LPO [21].
Plants containing polyphenols have many pharmacological effects. These polyphenols are secondary metabolites in which functional groups bound to the aromatic ring; hence, they act as donors of electron and hydrogen atom to stop radical chain reaction by forming stable products of free radicals. Flavonoids, tannins, and lignins are the major components of polyphenols. The pharmacological effects of these polyphenols are mainly due to the antioxidant property in scavenging free radicals [22]. The present study results correspond with the earlier results indicating that Tinospora cordifolia has a potent antioxidant property with high total phenolic and total flavonoid content in the methanolic extract [23].
Atenolol and Propranolol are selective β receptor antagonists that are used for the treatment of cardiovascular disease like, high blood pressure, coronary heart diseases, arrhythmias, angina pectoris and also reduce the risk of heart complications following MI [24, 25].
Hence, pre-co-treatment with the combination of TCE (500 mg/kg)+AT (10 mg/kg) and TCE (500 mg/kg)+PP (10 mg/kg) significantly prevented the changes in the levels of serum cardiac markers like CK-MB, CPK, LDH, AST, and ALT. Further antioxidants such as SOD, CAT, and GSH and restored the levels to near normalcy when compared to individual groups. This effect may be due to the free radical scavenging activities of TCE. The histopathological report revealed significant protection against ISO-induced heart tissue necrosis in the rats treated with combinations.
CONCLUSION
From the present study, it may be concluded that the herb-drug combinations i. e TCE (500 mg/kg)+AT (10 mg/kg) and TCE (500 mg/kg)+PP (10 mg/kg) have shown increased cardioprotective activity than they were used alone. However, further dose adjustment and molecular mechanism study need to perform for better understanding.
ACKNOWLEDGEMENT
We thank Principal SET’s College of Pharmacy and President, Soniya Education Trust, Dharwad, Karnataka 580002 for encouragement and support to carry out the research work.
FUNDING
Nil
AUTHORS CONTRIBUTIONS
C. S has performed all the experiments and was responsible for data acquisition; V. H. K was associated in supervising, advising, positioning, and structuring the manuscript; P. V. H, M. M and M. N contributed to the interpretation of data and wrote the first draft. All authors read and made corrections to the finalized manuscript before submission.
CONFLICT OF INTERESTS
The authors declare they have no conflict of interest
REFERENCES
Rona G. Catecholamine cardiotoxicity. J Mol Cell Cardiol 1985;17:291–306.
Jay LZ, Hassan MA. The role of oxidants and free radicals in reperfusion injury. Cardiovasc Res 2006;70:181–90.
Thompson JA, Hess ML. The oxygen-free radical system: a fundamental mechanism in the production of myocardial necrosis. Prog Cardiovasc Dis 1968;28:449–62.
Chishti H. The traditional healer’s handbook: a classic guide to the medicine of avicenna. Bear and company; 1991.
Parfati N, Rani KC. The effect of coprocessed superdisintegrants ratio (crospovidone-sodium starch glycolate) to the physicochemical characteristics of atenolol orally disintegrating tablets. Asian J Pharm Clin Res 2018;1:318-24.
Zhou R, Xu Q, Zheng P, Yan L, Zheng J, Dai G. Cardioprotective effect of fluvastatin on isoproterenol-induced myocardial infarction in rat. Eur J Pharmacol 2008;586:244–50.
Pinelli A, Trivulzio S, Tomasoni L, Brenna S, Bonacina E, Accinni R. Isoproterenol-induced myocardial infarction in rabbits Protection by propranolol or labetalol: a proposed non-invasive procedure. Eur J Pharm Sci 2004;23:277–85.
Cruickshank JM, Prichard BNC. Beta-blockers in clinical practice London: Churchill Livingstone; 1996.
Rao PR, Kumar VK, Viswanath RK, Subbaraju GV. Cardioprotective activity of alcoholic extract of Tinospora cordifolia in ischemia-reperfusion induced myocardial infarction in rats. Biol Pharm Bull 2005;28:2319-22.
Xu LP, Shen FM, Shu H, Miao CY, Jiang YY, Su DF. Synergism of atenolol and amlodipine on lowering and stabilizing blood pressure in spontaneously hypertensive rats. Fund Clin Pharmacol 2004;18:33-8.
Chakraborty M, Asdaq SM. Interaction of Semecarpus anacardium L. with propranolol against isoproterenol-induced myocardial damage in rats. Indian J Exp Biol 2011;49:200-6.
Panda VS, Naik SR. Evaluation of cardioprotective activity of Ginkgo biloba and Ocimum sanctum in rodents. Altern Med Rev 2009;14:161-71.
Sun M, Zigman S. An improved spectrophotometric assay for superoxide dismutase based on epinephrine auto-oxidation. Anal Biochem 1978;90:81–9.
Clairborne A. Catalase activity. In: Greenwald RA. editor. CRS handbook of methods in oxygen radical research. Boca Raton, FL: CRS Press; 1991. p. 283–4.
Ellman GL. Tissue sulfhydryl groups. Arch Biochem Biophys 1959;82:70–7.
Vennila L, Pugalendi KV. Protective effect of sesamol against myocardial infarction caused by isoproterenol in wistar rats. Redox Rep 2010;15:36–42.
Jalaiah M, Sarvanan R, Gowtham CH, Vinay Y, Akhila Y. Evaluation of cardioprotective activity of Allium cepa aerial leaves. Int J Curr Pharm Res 2017;9:27-30.
Nugraheni K, Saputri FC. The effect of secang extract (Caesalpinia sappan Linn) on the weight and histology appearance of white male rats’ hearts induced by isoproterenol. Int J Appl Pharm 2017;9:59-61.
Saravanan G, Ponmurugan P, Sathiyavathi M, Vadivukkarasi S, Sengottuvelu S. Cardioprotective activity of Amaranthus viridis Linn: effect on serum marker enzymes, cardiac troponin and antioxidant system in experimental myocardial infarcted rats. Int J Cardiol 2013;165:494-8.
Sun F, Hamagawa E, Tsutsui C, Sakaguchi N, Kakuta Y, Tokumaru S, Kojo S. Evaluation of oxidative stress during apoptosis and necrosis caused by D-galactosamine in rat liver. Biochem Pharmacol 2003;65:101–7,
Halliwell B. How to characterize a biological antioxidant. Free Radical Res Commun 1990;9:1-32.
Kattupalli S, Vesta V, Vangara S, Spandana U. The multi-activity herbaceous vine-Tinospora cordifolia. Asian J Pharm Clin Res 2019;12:23-6.
Rajurkar NS, Hande SM. Estimation of phytochemical content and antioxidant activity of some selected traditional Indian medicinal plants. Indian J Pharm Sci 2011;73:146–51.
Lopez Sendón J, Swedberg K, McMurray J, Tamargo J, Maggioni AP, Dargie H. Expert consensus document on β-adrenergic receptor blockers. Eur Heart J 2004;25:1341–62.
Talhouni AA, Alkrad JA, Al-dabbagh MM, Abazid H, Hussein-al-ali SH. Transdermal of atenolol via microemulsions. Int J Appl Pharm 2019;11:164-71.