1School of Pharmacy, Bandung Institute of Technology, Indonesia, 2Major of Pharmacy, Faculty of Medical, Tanjungpura University, Pontianak, Indonesia.
Email: inarah.fajriaty@yahoo.com
Received: 21 Apr 2014 Revised and Accepted: 15 Jun 2014
ABSTRACT
Objectives: Natural product which is used as medicines should in compliance with the guidelines that the drug does not cause acute or chronic toxicity and proved efficacious as a medicinal. The present study was carried out to evaluate the safety of ethanol extract of lerak (sapindus rarak. DC) fruits.
Methods: Lerak fruits were extracted by continuous extraction using the Soxhlet apparatus and ethanol 96 %. Extraction results was continued to acute toxicity by using a fixed dose method and sub-chronic toxicity was performed according to the OECD guideline. In an acute toxicity study, a single dose of 2000 and 5000 mg/kg bw of lerak fruits extract was administered p. o (orally) to healthy female Wistar rats following a sighting study. The animals were observed for mortality and clinical signs for 24 hour and then daily for 14 days. In the sub-chronic toxicity study, the extract was administered orally at doses of 50, 100 and 500 mg/kg bw /day. The animals were given by ethanol extract of lerak fruits once daily for 28 days, the administrations were stopped on the 28th day, while for the satellite group still observed until 14 days during the post observation period for assessment of reversibility, persistence or delayed occurrence of toxicity. At the end of the observation, all animals were autopsied and observed in parameters such as blood biochemical parameters, hematology, urine profiles, physical pathology and histological examination.
Results: In the acute toxicity test, oral administration of 2000 and 5000 mg/kg bw produced neither mortality nor changes in behavior or any other physiological activities and indicated that LD50 of the ethanol extract of the lerak fruits (EELF) was greater than 5000 mg/kg bw in Wistar rats. In sub-chronic 28-days repeated dose oral toxicity study, administration of ethanol extract lerak fruits with dose of 50 mg/kg bw, 100 mg/kg bw, 500 mg/kg bw in male and female rats generally showed no significantly differences in parameters abnormalities of organ function, behavior and motor activity, urine parameters, blood biochemical parameters, condition of the gastric mucosa, histology and did not produce mortality in treated groups compared to control group. Ethanol extract of lerak fruits with the dose of 500 mg/kg bb showed increasing in SGOT, decreased in cholesterol and body weight in male and female rats. Obvious histological changes were observed in the heart and liver organ of lerak fruits dose 500 mg/kg bw extract treated animals compared to control.
Conclusions: Based on the finding of this study, the no-observed-adverse-effect-level (NOAEL) of EELF in wistar rats, following oral administration for 28 days was found to be more than 100 mg/kg bw.
Keywords: Acute toxicity, Sub-chronic 28 days repeated oral toxicity, Ethanol extract lerak fruits (EELF).
INTRODUCTION
Traditional medicine/herbal medicine has need with us for ages. Sapindus rarak is members of the genus are commonly known as soapberries [1] or soapnuts because the fruit pulp is used to make soap. The generic name is derived from the latin words saponis, meaning "soap", and indicus, meaning "of India" [2]. It is a deciduous tree up to 42 metres (138 ft) tall native to south and east Asia (from India and SriLanka in the west to south China and Taiwan in the north and to Indonesia in the south). In Indonesia, it is commonly known as lerak or Klerek [3]. Scientific classification of lerak are divisi Magnoliophyta, class Magnoliopsida, subclass Rosidae, order Sapindales, family Sapindaceae, genus Sapindus, species Sapindus rarak DC [4][5]. Lerak fruits are used by empirically to decrease fat effect, eczema, psoriasis, for removing freckles and for decreasing glukosa. Sapindus rarak contains saponins which are a natural surfactant. They have been used for washing for thousands of years by native peoples in Asia as well as Native Americans [6] Soapnuts are being considered [7] and used [8] for commercial use in cosmetics and detergents as well as many other products.
The research of Sapindus rarak contains saponin that has a potential possibility to replace the SLS function as foaming agent [9]. Investigation of the contraceptive capability of plant saponins have shown some spermicidal capacity for certain extracts [10,11].While the Sapindus saponins have not been proven be as effective as more commonly used spermicides it has been shown that they are less irritating than chemical alternatives [12]. An in vitro fermentation was conducted to investigate the effect of saponins containing a methanol extract of Sapindus rarak (MS) on fermentation end products and microbial community structure and their activity with a view to ascertain their influence on rumen fermentation [13]. The research of larvasidal effication of extract of Sapindus rarak de can dole before, known that its has (saponin, alkaloid, steroid, terpenoid) effective as larvaside toward larvae of Aedes aegypti, which the research before, way to get substances is difficult and need complex instruments, so difficult to inform and application to the public society [14].
Despite knowledge of biological activities of Ethanol extract of lerak fruits, toxicological studies are very few. Although herbal medicines/dietary supplements are not covered under US-FDA drug-regulatory criteria due to the consideration of their being safe, their safety profile may not have been adequately documented. Hence, preclimical acute and sub-chronic toxicological evaluation using an Organisation for Economic Cooperation and Development (OECD) guidelines need to be undertaken to establish safety profiles of drugs of herbal origin [15].
In the present study, we observed that the ethanol extract of lerak fruits with the capacity to increase the body weight and improved hyperlipidemia in high carbohydrate diet induced obese rats. In an empirical study, the usability of ethanol extract of lerak fruits in human obesity indications could be considerable, but the toxicological study on ethanol extract of lerak fruits is limitation. The present study therefore aims an investigating the acute and sub-chronic oral toxicity of ethanol extract of lerak fruits applying the recommended OECD guidelines for safety or dose dependent toxicity in rats.
MATERIALS AND METHODS
Plant materials
In the present study, matured fruits of Sapindus rarak DC. Were collected from local area of Bandung. The plan sample was authenticated in Herbarium Bandungense, School of Life Sciences and Technology, Institute of Technology Bandung, Indonesia.
Extract preparation
The collected fruits of Sapindus rarak DC were washed. Air dried, shaped in to small shape and Lerak fruits was extracted by continuous extraction using Soxhlet apparatus and ethanol 96 %. After exhaustive extraction, the collected extract was dried under reduced pressure using rotapavor and dried at water bath.
Phytochemical screening
To determine the chemical constituents, qualitative phytochemical screening of EELF was carried out following standard procedures routinely [16] and revealed alkaloids (meyer and Dragendoff’s test), tannins (FeCl3 test), saponins (frothing test, foam index n fish index), flavonoids (Schinoda’ test), Phenol (FeCl3), steroid and terpenoids (Liberman Burchard’s test).
Animals
Adult female and male Wistar rats weighing 130-150 grams were used in the present study. They were obtained from Animal Laboratory, School of Pharmacy, Bandung Institute of Technology. They were housed in individually housed in standard mouse cages under standard laboratory conditions of light, temperature, and relative humidity. Animals are given standard rat pellets and drinking water ad libitum.
Acute oral toxicity study
The acute oral toxicity study was conducted using the limits test procedure according to OECD test guideline on acute oral toxicity tes 401 [17]. 5 female 8-week-old Wistar rats were housed individually in hygienic metabolic cages. In sighting study, one single female rats received EELF starting at dose of 2000 mg/kg bw orally. The animal was observed for mortality and clinical signs for 14 days post dosing. As no toxic sign observed until 14 days, another female rat received the highest dose of 5000 mg/kg bw orally and observed for 14 days. The animals were observed for mortality and clinical signs for 24 hour and then daily for 14 days. The signs of toxic effects and/or mortality were observed carefully every 0.5 to 1 h after administration on the first day. LD50 value was calculated following the previous method [18]. The animals were examined particularly for changes in skin, fur, eyes, nucous membrane, an occurrence of secretions, excretions and autonomic activity. Changes in gait, posture, response to handling, presence of clonic or tonic movement, stereotypes or bizzare behaviour were also recorded. Followed by daily observation, individual animal body weights were recorded at one day before dosing (day 0), and everyday until 14 days. All animals were euthanized at end of the observation period and subjected to a complete necroscopy. As no gross phatological findings were encountered in any of the organs, histopathological examination was not conducted.
Subchronic oral toxicity study
The method was performed according to the OECD test guidelines with slight modifications [19]. Sixty wistar rats (weight 130-150 g) age Eight-week-old were housed in the same conditions as described above and rats were randomly assigned into six groups (n=10), five females and five males in each group. The first and second groups of animals, serving as control and control recovery (satellite control), received the vehicle only. The third, fourth, fifth and sixth groups were given by ethanol extract of lerak fruits (EELF) dissolved in CMC-Na was administrated to groups of rats at the concentrations of 50, 100, 500 mg/kg bw and 500 mg/ kg bw (satellite high dose) respectively. All rats were examined daily for signs of toxicity, morbidity and mortality up to 28 days. The extract was administered orally at doses of 50, 100 and 500 mg/kg bw /day. the animals were given by ethanol extract of lerak fruits once daily for 28 days while for the satellite group still observed until 14 days during the post observation period for assessment of reversibility, persistence or delayed occurrence of toxicity. Gross pathology for group EELF was performed on day 29 All animals were supplied with Rodent extruded pelleted feed and aquaguard water ad libitum during the testing periods. At the end of the observation, all animals were autopsied and observed in parameters such as blood biochemical parameters, hematology, urine profiles, physical pathology and histological examination.
The weight of each rat was recorded at dayly intervals throughout the course of the study. Food and water consumption was measured one time a day. Blood was collected into two tubes: tube 1 was processed immediately for hematological parameters, and tube 2 was centrifuged to obtain serum (strored at -20ºC until analysis). The organs (kidneys, liver, lungs, heart, limpha, testes, vesiculae seminalis, and glands annexes, ovaries, spleen, uterus and pancreas) were weighted. Organ samples were fixed in 10% formalin for histopathological examination.
Hematological and biochemical analysis
Hematological analysis was performed using an automatic hematological analizer (Medonic). Samples of blood were drawn at termination of treatment (day 29) and of the recovery period (day 43). Wistar rats were housed individually in hygienic metabolic cages and the animal was fasted overnight. Parameters included red blood cell (RBC) count, white blood cell (WBC) count, hemoglobin (Hb), hematocrit (Hct), mean corpuscular volume (MCV), mean corpuscular hemoglobin (MCH), mean corpuscular hemoglobin concentration (MCHC), red cell distribution width (RDW), platelets count, and mean platelet volume (MPV).
For biochemical analysis, following parameters were determined: glucose, blood urea nitrogen (BUN), creatinine, aspartate aminotransferase (AST), alanin aminotrasferse (ALT), total cholesterol, triglyserides, high-density lipoproteins (HDL). These levels were determinate using an autoanalyser spektrofotometer (Beckman Coulter DU 720).
Urinalysis
Urinalysis was performed on all animals, at termination of treatment period (day 28) and at the end of the reversal period (day 42). The urine was subjected to qualitative parameters included pH, volume urine, color urin and Bj urin.
Tissue analysis
At termination of treatment period (day 29) and at the end of recovery period (day 43), all rat were sacrificed and complete necropsies were carried out. The tissues were collected and preserved using 10% neutral buffered formalin solution. Necropsy was performed to analyze the macroscopic external features of the brain, heart, liver, lungs, kidneys, adrenals gland, stomach, pancreas, limpha and reproductive organs (uterus and ovary or terticle and seminal vesicle).
These organ were carefully removed and weighted immediately for subsequent analysis. Organ weights were expressed in absolute and relative terms (g and g 100g-1 of body weight, resp.). Histophatological investigation was done according to method described in literature [20]. Tissue samples were prepared routinely and cut into 2 µm slides and tissues were subjected to dehydration prosess, embedded in paraffin, sectioned at 3-5 micron and followed by haematoxylin-eosin staining. The pathological observation of all tissue was performed on gross and microscopic bases then examined using a light microscope.
Statistical analysis
Data are expressed as mean ± standard deviation (SD) for each group of animals at the number in figures. Statistical analysis was performed with one-way analysis of variance (ANOVA). All analysis and comparison were evaluated at 5 % (P< 0.05) level was considered statistically significant.
RESULTS
Phytochemical assay
Phytochemical screening showed that ethanol extraction had more secondary metabolite compouns. EELF revealed the presence of the following classes of chemical compounds: Alkaloids, saponins, tannins, kuinons, steroid/triterpenoid and fenol. Foam index of the ethanol extract of the lerak fruits has 20,000 and fish index has 8,000.
Acute toxicity
The mean body weight of rats increased and no death was recorded during the 14 days of an observation period in the female animal given 2000 mg/kg bw and 5000 mg/kg bw of EELF in sighting study. In the acute toxicity study indicated that the oral LD50values for female rats of the ethanol extract of the lerak fruit must be greater than 5000 mg/kg bw and sapindus rarak. DC. extract caused neither significant visible signs of toxicity, nor mortality had accurred during the study and clinical observations and measurements did not indicate evidences of substance-related toxicity in Wistar rats. After sacrifice on the 14th day, macroscopic and gross phatology observation conducted at the necropsy examination revealed no visible lessionss in any animals.
Sub-chronic toxicity
General signs
No deaths or significant changes in general behavior or other physiological activities were observed in control and treated animals throughout the treatment period of 28 days and also during recovery period. In sub-chronic toxicity study, administration of ethanol extract lerak fruits with dose of 50 mg/kg bw, 100 mg/kg bw, 500 mg/kg bw in male and female rats generally showed no toxicity signs (such as piloerection, alteration in the locomotor activity, or diarrhea) or deaths were recorded during the 4 weeks of treatment via oral route with EELF, no significantly differences in parameters abnormalities of organ function, behavior and motor activity, urine parameters, condition of the gastric mucosa, and did not produce mortality in treated groups compared to control group and satellite group. Body weight gain by male and female rats treated at 50, 100 and 500 mg/kg bw of EELF, body weight was found decreased to control throughout the treatment period but for satellite high dose, body weight increased after stopped treated at 500 mg. kg bw at 29 day until 43 days.

(A)

(B)
Fig. 1: Effects of subchronic oral administration of ethanol extract of lerak (Sapindus rarak D. C) fruits (EELF) on body weight in Wistar rats (a) Female, (b) Male
Hematological and biochemical parameters
EELF did not induce any significant change in the hematological parameters such as (RBC) count, white blood cell (WBC) count, hemoglobin (Hb), hematocrit (Hct), mean corpuscular volume (MCV), mean corpuscular hemoglobin (MCH), mean corpuscular hemoglobin concentration (MCHC), red cell distribution width (RDW), platelets count, and,mean platelet volume (MPV) count. The biochemical profile are presented in fig. 2. The plasma levels of glucose, BUN, creatinine, AST, ALT and trigliseride of rats treated with EELF up to 500 mg/kg bw were no significant different. Ethanol extract of lerak fruits with dose of 500 mg/kg bb showed increasing in AST and decreased in cholesterol in male and female rats.

(A)
.
(B)
Fig. 2: Effects of subchronic oral administration of ethanol extract of lerak (Sapindus rarak D. C) fruits (EELF) on ALT and AST parameters on Wistar rats (a) Female, (b) Male, (*) Differens significant compared to control group (P<0,05), ($)Differens significant compared to lerak 500 mg/kg bw group (P<0,05)

(A)

(B)
Fig. 3: Effects of subchronic oral administration of ethanol extract of lerak (Sapindus rarak D. C) fruits (EELF) on biochemical profile in Wistar rats (a). Female, (b) Male, (*) Differens significant compared to control group (P<0,05)

(A)

(B)
Fig. 4: Effects of subchronic oral administration of ethanol extract of lerak (Sapindus rarak D. C) fruits (EELF) on creatinine parameters in Wistar rats (a) Female, (b) Male
Urinalysis
The data on urinalysis evaluated at termination of treatment and also at the end of recovery period did not indicate any abnormality due to treatment with EELF. The data in treated animals and control was found to be comparable.

(A)

(B)
Fig. 5: Effects of subchronic oral administration of ethanol extract of lerak (Sapindus rarak D. C) fruits (EELF) on urin index in Wistar rats (a). Female, (b) Male
Histology and tissue analysis
The value of absolute and relative organ weights of male and female rats were treated with EELF at and up to 500 mg/kg bw were found to be comparable to control at termination of the treatment and at the end of recovery period. No treatment-related macroscopic findings were observed in treated animals at necropsy.
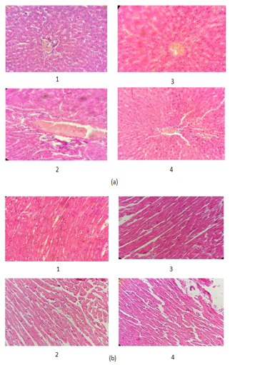
For the histological investigation, pathological examination of the tissues on a gross basis did indicated pathological alteration. Alterations were seen in the microscopic examination of the internal heart and liver organs of animals in EELF dose 500 mg/kg bw (fig. 7). Other organs including lung, kidneys and limpha showed no sign of pathological change compared with the corresponding organ of the controls.

(A)

(B)
Fig. 6: Effects of subchronic oral administration of ethanol extract of lerak (Sapindus rarak D. C) fruits (EELF) on organ weights in Wistar rats (a). Female, (b) Male

Fig. 7: (a) Photomicrocrographs of liver of control (1) and 500 mg/kg bb EELF (2) male Wistar rats and control (3) and 500 mg/kg bb EELF (4) female Wistar rats. (b), Photomicrocrographs of heart of control (1) and 500 mg/kg bb EELF (2) male Wistar rats and control (3) and 500 mg/kg bb EELF (4) female Wistar rats stained with hematoxyline and eosin (400x).
DISCUSSION
The present study are used ethanol 96% as solvent commonly used for extraction of fresh samples and it is able to dissolve any substance, whether polar, semi-polar and non-polar as well as its ability to precipitate proteins and inhibit the action of the enzyme so that it can avoid hydrolysis and oxidation proceses as well as having lower toxicity than other organic solvents such as methanol, chloroform and hexane.
The results of the acute toxicity study indicated that EELF via oral route with the doses 2000 and 5000 mg/kg bw did not produce any sign of toxicity, changes in behavior or death in rats, suggesting a LD50 above 5000 mg/kg bw via oral route. Thus, referring to the Hodge and Stemer scale [21], the orally administered EELF could be considered non toxic.
In sub-chronic 28 day repeated dose toxicity studies are conducted to evaluate the adverse effects of a test substance after prolonged use and are carried out to provide information about the possible health hazards likely to arise from repeated exposure over a relatively limited period of time including information about target organs, the possibilities of cumulative effects and to find out the reversibility of any observed toxic effects or with drawal syndrome and an estimate of the dose at which there is no observed adverse effect. The subchronic treatment indicated that EELF in doses of 50, 100 and 500 mg/kg bw every day during 28 consecutive days did not produce any deaths or clinical signs of toxicity. A decrease in body weight would be an indicator of adverse effects [22][23], there were no significant changes in animal behavior, food and water consumptions, and decrease in body weight in EELF-treated group at any dosage but in satellite groups dose 500 mg/kg bb the body weight increase after stop treatment. Analysis of blood parameters is relevant to risk evaluation of alterations of the haematological system in humans [24]. No significant alterations of the haematological and biochemical parameters of both male and female-treated rats can be attributed to the plant extract. Observation on biochemical parameters was performed to evaluate any toxic effect in liver and heart function.
The level of urea and creatinine are indicators used to diagnose functioning of kidneys and change in serum creatinine concentration are more reliably reflect change in gromerular filtration rate. Kidney is a sensitive organ, whose function is known to be affected by anumber of factors such as drugs including phytochemicals of plant origin that ultimately lead to renal failure [25]. Assessment of possible renal damage due to EELF was made by assaying plasma urea and creatinine levels [26]. Results show no significant alteration in the plasma urea and creatinine levels due to EELF treatment. Moreover, There was no effect on the level of ALT but there was effect increase on the level of AST, which are considered to be sensitive indicators of hepatocellular damage and within limits can provide a quantitative evaluation of the degree of damage to the liver ang heart [27]. That EELF doses 500 mg/kg bw induce any change of cell to the liver and heart. Elevation in AST and ALT are an indicator of liver and heart damage. After 28 days of extract administration there were significantly different in the value of AST and cholesterol. It indicates the extract was toxic for liver and heart and affected lipid metabolism. This is further confirmed by the histological assessment of these organs, and the fact that plasma cholesterol levels decreased, the latter being an indirect indicator of liver function [28]. No difference was observed in the weight and structure of the other organs between the control and the treated and satellite group. Altogether, the subchronic study indicates that EELF ingestion did not induce detrimental change and morphological alterations in these organs.
In sub-cronic toxicity study, administration of ethanol extract lerak fruits with dose of 50 mg/kg bw, 100 mg/kg bw, 500 mg/kg bw in male and female rats generally showed no significantly differences in parameters abnormalities of organ function, behavior and motoractivity, urine parameters, blood biochemical parameters, condition of the gastric mucosa, histology and did not produce mortality in treated groups compared to control group. Ethanol extract of lerak fruits with dose of 500 mg/kg bb showed increasing in SGOT, decreased in cholesterol and body weight in male and female rats. Obvious histological changes were observed in heart and liver organ of lerak fruits dose 500 mg/kg bw extract teated animals compared to control. There were change observed in microscopic presentation of liver and heart in lerak 500 mg/ kg bw group. Liver microscopic histology was shown in Fig.7. Microscopic appearance of central vein and hepatocytes were different with control group. There were kuffer cell in sinusoidal spaces which might indicate the absence of pathological changes to the liver. Histological condition of liveris characterized by vacuolations, varying shapes and sizes of nuclei in hepatocytes, loss of sinusoidal spaces, inflammatory cells scattered all over hepatic tissue and there will be dilated of hepatic tissue and there will be dilated of central vein filled with blood. It can be defined as the no-observed-adverse-effect level (NOAEL) for Wistar rats of both sexs under the experimental condions used. Information will help for future clinical studies of the medicinal safety and in vivo experimental studies of the pharmacological potentialities of this mode of administration of the plant medicine. However, it should be emphasized that this NOAEL was derived from a subchronic study only. Since toxicity in humans cannot always be entirely extrapolated from animal studies, clinical evaluation should be performed to precisely define the safe dosage to advice in humans. For a more reliable safety evaluation performed on the basis of the acceptable dayly intake concept, data on the chronic toxicity, reproductive toxicity, genotoxicity and carcinogenicity of EELF would also be required
CONCLUSION
In the acute toxicity study indicated that LD50 of the ethanol extract of the lerak fruit was greater than 5000 mg/kg bw and sapindus rarak. DC. extract caused neither significant visible signs of toxicity, nor mortality in Wistar rats. In sub-chronic toxicity study, administration of ethanol extract lerak fruits with dose of 50 mg/kg bw, 100 mg/kg bw, 500 mg/kg bw in male and female rats generally showed no significantly differences in parameters abnormalities of organ function, behavior and motor activity, urine parameters, blood biochemical parameters, condition of the gastric mucosa, histology and did not produce mortality in treated groups compared to control group. Ethanol extract of lerak fruits with dose of 500 mg/kg bb showed increasing in AST, decreased in cholesterol and body weight in male and female rats. Obvious histological changes were observed in heart and liver organ of lerak fruits dose 500 mg/kg bw extract teated animals compared to control. Thus, the plant, at least its ethanol extract, could be considered with a wide margin of safety for oral use. Since toxicity in humans cannot always be entirely extrapolated from animal studies, clinical evaluation should be performed to precisely define the safe dosage to advice in humans.
ACKNOWLEDGMENT
The authors are highly grateful to Bandung Institute of Tecnology Research Project, Bandung, Indonesia.
CONFLICT OF INTEREST
None to declare.
REFERENCES