Department of Chemistry and Biosciences, Srinivasa Ramanujan Centre, SASTRA University, Kumbakonam 612001 Tamil Nadu, South India.
Email: deepabaskaran76@src.sastra.edu
Received: 23 Apr 2014 Revised and Accepted: 23 Jun 2014
ABSTRACT
Objective: To investigate the proteomics status of human blood and urine in diabetic nephropathy.
Methods: In the present study 90 patients were selected. The study was comprised of 30 Diabetic mellitus (DM) with microalbuminuria patients (Group 3), 30 DM without microalbuminuria patients (group 2), 30 healthy controls (Group 1). Fasting glucose, post prandial glucose, lipid profile, fructosamine in serum and micro albumin in urine were investigated in all the patients.
Results: The significant increase in serum fructosamine, fasting and post prandial glucose levels along with increased microalbuminuria observed in group 3 patients compared to group 2 and group 1 patients. Hyperglycemia increases fructosamine, cholesterol, triglycerides with decrease in HDL-cholesterol levels, indicates the major risk of atherogenicity. To study the effect of age, smoking, DM duration on DN, patients were grouped in different way and analysed.
Conclusion: The results suggested that smoking, age and prolonged DM influences DN. Normal and DN patients serum and urine samples were selected and protein was separated by SDS-PAGE and identified by LC-MS. Results of LC-MS showed the difference in proteomics of normal and DN patients.
Keywords: Diabetic mellitus, SDS-PAGE, LC-MS, Lipid profile, Diabetic nephropathy.
INTRODUCTION
Diabetes mellitus is considered as one of the five leading causes of death in the world. More than 150 million people suffering from diabetes worldwide. By the year 2010, the total number of people with Diabetes Mellitus is projected to reach more than 300 million. The world wide prevalence of diabetes in adults was estimated to be 4% in 1995 and to rise 5.4% in the 2025 [1]. There will be 4.2% increase from 51 million to 72 million in the developed countries including 17% increases from 84 million to 228 million in the developing countries. It is a major risk factor for the development of cardio vascular disease. About 70-80% of deaths in diabetic patients are due to vascular disease [2]. India has today become the diabetic capital of the world with over 20 million diabetics and this number is set to increase to 57 million by 2025.
Diabetes mellitus is a metabolic disorder characterized by chronic hyperglycemia resulting from defects in insulin secretion, Insulin action or both resulting in impaired function in carbohydrate, lipid and protein metabolism. It is a chronic health disorder which causes serious health problems include kidney failure, heart disease, stroke and blindness [3]. Diabetic nephropathy will affect approximately 30% of all patients with diabetes. Diabetic nephropathy (DN) is one of the most common micro vascular complications of diabetes defined as rise in urinary albumin excretion rate, often associated with an increase in blood pressure, but without evidence of other causes of renal disease [4].
A Pub Med search using the keywords ‘proteomics’ or ‘proteomic’ or ‘proteome’ together with ‘diabetic nephropathy’ retrieved 86 articles published between 2002 and 2010. This number underscores the great potential of proteomics in the investigation of DN. Clinical proteomics studies employ two main technological approaches. On one hand, a combination of a protein separation technique and mass spectrometry (MS) to discover biological markers of disease and, on the other, protein micro arrays to use the biomarkers discovered for diagnostic or therapeutic purposes used in proteomics studies are below [5]. The proteomic method of protein analysis permits a rapid assessment of the proteome, which is the complete inventory of proteins expressed within a biological sample. With this method, biological samples, such as the urine, plasma, or serum, can be systematically analyzed with the goal of identifying, quantifying and discerning the function of all observable proteins. Urine and plasma proteomics have gained much attention as tools for the identification of diagnostic and prognostic biomarkers of renal diseases and may represent an important step forward in the non-invasive diagnosis of kidney diseases.
Although currently available tests for urine proteins measure either the total level of proteinuria or the presence of a single protein species, emerging proteomic technologies allow simultaneous examination of the patterns of multiple urinary and plasma proteins [6].
The aim of the present study is to evaluate the prevalence of Diabetic Nephropathy in Diabetes Mellitus patients and to determine the variation in protein expression during Diabetic Nephropathy in blood and urine.
MATERIALS AND METHODS
Collection of sample
The study was designed to assess the prevalence of nephropathy in DM patients and to compare albumin levels with glycemic control in a population thereby the progression of DM patients to DN can be constrained early through screening them. The blood and urine were collected from hospitals and laboratory in Kumbakonam, Thanjavur district, Tamil Nadu. Totally 63 diabetic patients were selected for the study. Patients were grouped in different way based on their age, smoking and alcoholism. Based on age patients were grouped into 3 groups.
Group I: Patients from age 45 to 55. (Blood and Urine)
Group II: Patients from age 55 to 65. (Blood and Urine)
Group III: Patients from age 65 to 75. (Blood and Urine)
The following biochemical parameters were analysed in the blood and urine of selected patients.
Biochemical estimation
Glucose was estimated by Glucose Oxidase Method [7]. Protein was estimated by the method of Lowry et al., [8]. Albumin globulin ratio by Rothschild, (1990). Blood urea and serum Creatinine assayed by the method of Walton marsh, et al.,[10] and Andrew Rule et al., [11]. Cholesterol was estimated by the method of Varley [12]. HDL was estimated by the method of Alian[13]. Triglyceride was estimated by the method of Fossati Lorenzo, [14]. Hb estimated by the method of Varley [12]. Glycosylated Hb estimated by the method of Varley [12]. SDS-PAGE (Sodium dodecyl sulphate poly acryl amide gel electrophoresis) Protein Electrophoresis and SDS – PAGE [15].
The proteins, in their SDS-containing Laemmli sample buffer, are separated on a gel with a matrix that acts to sieve the proteins by size upon addition of an electric current. A polyacrylamide gel is positioned in a buffer-filled chamber between two electrodes, protein samples are placed in wells at the top of the gel, and the electrodes are connected to a power supply that generates a voltage gradient across the gel. The SDS-coated, negatively charged proteins migrate through the gel away from the negatively charged anode toward the cathode, with the larger proteins moving more slowly than the smaller proteins.
Isolation of protein from urine and serum samples of diabetic and normal
1 ml of sample was taken and added 1 ml of 1X PBS, lyses the cells gently and transferred to a fresh 1.5 ml eppendorf tube. Centrifuged at 3000 rpm for 10 minutes at 4 °C. Collected the pellet and 500ul of 1X RIPA buffer. Using a syringe mixed gently and incubates at 4 °C for 10 minutes. Centrifuged at 3000 rpm for 10 minutes at 4 °C. Carefully transfer the supernatant to a new eppendorf which the required protein.
Quantification of protein using nano drop
The amount of protein is quantified using Nano drop instrument and with the help of a software. The protein is estimated in µg/l. While loading the samples in the gel, the amount of protein and the sample loading buffer must be equal. Hence the amount of protein to be added can be calculated accordingly.
Sds page electrophoresis
Prepared 10% resolving gel as mentioned above and pour the gel onto rectangular glass plates separated by spacer’s up to ¾thof the plate. The gel was over layered with water saturated Butanol (1 ml) to prevent meniscus formation of the gel. The gel was allowed to solidify. Prepared the stacking gel as mentioned above and place the comb so that the wells are formed. The samples were loaded onto the wells and run at 120 V and 100 mA until the dye front reaches the end of the gel.
Gel was carefully taken and keeps on the Commassie Brillient Blue (G-250) solution for overnight at room temperature. Wash the gel with 2% NaCl for overnight at room temperature. Then the protein profiles are well developed.
Liquid Chromatography - Mass spectrometry (LC-MS/MS)
Proteins were analyzed in LC MS according to a method described by Shen,[16]. Briefly, proteins were separated using reverse-phase Acclaim120, RP-C18 120 Å, 2.1 × 150 mm, 3.0 μm column (Dionex, USA), held at 15°C. Mobile phase consisting of Acetonitrile (A) and 1% aqueous formic acid v/v (B), was used with a discontinuous gradient; 0 min 95% B, to 40% B in 10 min, to 0% B in the next 2 min and was maintained at 0%B for next 6 min, at 23rd min B reaches 90% B until the run ends at 29th min, with a flow rate of 0.1 mL/min. Chromatographic profiles were acquired in the wavelength at 214 nm. Injection volume was 75 μL. Eluted components were ionized by electro spray ion source (ESI), using N2 for nebulization (pressure of 34.8 psi) and drying (flow of 7 L/min, temperature of 300°C). Set capillary voltage was 4500 V, end plate offset -500 V, Collision energy 35eV, collision cell RF 400.0 Vpp, energy transfer time of 80.0 µs, pre pulse storage of 10.0 µs. Data were acquired in MS (Auto) scanning mode with m/z range 400- 3000 m/z. Based on the Total Ion Chromatogram of MS/MS generated, each intense peaks were analyzed using Spectrum analyzer and total mass of the corresponding protein was calculated by deconvolution of mass and its respective charge state.
RESULTS AND DISCUSSION
In total 63 patients were selected for the study. The selected patients were categorized in to three groups (45 to 55), (55 to 65), (65 to 75) according to their Age, Sex, Smoking habit and alcoholism. The fasting blood glucose and post parandial (pp) glucose level of various age group patients is given in Table 1. Average fasting sugar level of below 45 years of age was 104 mg/dl which is found to be lower. The highest average fasting blood sugar was noticed in the age group of 65 -75 as 262.4 mg/dl. Above the age 55 fasting sugar was above 225mg/dl which is dangerous. Average pp glucose level was highest for patients in age group of 65-75 (298.2 mg/dl). Lowest average pp glucose level was 178.5 mg/dl in patients below 45 years of age. When compare to male and female number of male affect was more 41 and female 22. Nearly male are affected 50% more than that of female. At present, the diagnosis of diabetes or pre diabetes is based in an arbitrary cut-off point for a normal blood sugar level. A normal sugar level is currently considered to be less than 100 mg/dL when fasting and less than 140 mg/dl two hours after eating. But in most healthy people, sugar levels are even lower.
Table 1: Fasting and post prandial glucose levels of selected patients
| S. No. | AGE(yrs) | Total | Male | Female | Blood glucose(F)mg/dl | Biood Glucose(PP)mg/dl |
| 1 | BELOW
45 |
2±0.14 | 2±0.14 | 0 | 104±7.28 | 178.5±12.49 |
| 2 | 45-55 | 11±0.77 | 7±0.49 | 4±0.28 | 176.8±12.37 | 245.3±17.17 |
| 3 | 55-65 | 15±1.05 | 10±0.7 | 5±0.35 | 227±15.89 | 276.4±19.34 |
| 4 | 65-75 | 21±1.47 | 12±0.84 | 9±0.63 | 262.4±18.36 | 298.2±20.87 |
| 5 | 75-85 | 14±0.98 | 10±0.7 | 4±0.28 | 225.4±15.77 | 260.4±18.22 |
Values are expressed as Mean ± SD
During the day, blood glucose levels tend to be at their lowest just before meals. For most people without diabetes, blood sugar levels before meals hover around 70 to 80 mg/dl. In some, 60 is normal; in others, 90. Again anything less than 100 mg/dl while fasting is considered normal by today's standards. Normal value ranges may vary slightly among different laboratories. Many factors affect a person's blood sugar level. A body's homeostatic mechanism, when operating normally, restores the blood sugar level to a narrow range of about 4.4 to 6.1 mmol/l (79.2 to 110 mg/dl) (as measured by a fasting blood glucose test).
Despite widely variable intervals between meals or the occasional consumption of meals with a substantial carbohydrate load, human blood glucose levels tend to remain within the normal range. However, shortly after eating, the blood glucose level may rise, in non-diabetics, temporarily up to 7.8 mmol/l (140 mg/dl) or slightly more. For people with diabetes maintaining 'tight diabetes control' [17] recommends a post-meal glucose level of less than 10 mmol/l (180 mg/dl) and fasting plasma glucose of 3.9 to 7.2 mmol/l (70–130 mg/dl).
Lipid profile, cholesterol, Triglycerides, LDL, VLDL, HDL, Cho/HDL and LDL/HDL were evaluated (Table 2). Below 45 age group that is in 2 patients the average cholesterol level was 166.2 mg/dl. Highest cholesterol level was found in age group 75 – 85. Patients with age 45 -55 and 75 -85 showed highest cholesterol level 221 and 256 mg/dl respectively. Regarding Triglycerides (TGs) below 45 years of age 154 mg/dl average TGs was recorded for 2 patients. 11 patients of age 45 – 55 showed 176 mg/dl average TGs. 15 patients of age 55 – 65 189 mg/dl of average TGs were found. 177.8 mg/dl of average TGs was present in 65 -75 age group. Highest average TGs was noticed in 14 patients of age 75 -85. The average HDL level of 14 patients of age group 75 – 85 was 53.62 mg/dl. Lowest level was found in 15 patients of 55 -65 age group as 38.72 mg/dl. Average LDL value was lowest 93.6 mg/dl for 21 patients of 65 -75 and highest average was found in 14 patients of age between 75-85 and was found to be 158.3 mg/dl.
The lipid profile is a group of tests that are often ordered together to determine risk of coronary heart disease. The tests that make up a lipid profile are tests that have been shown to be good indicators of whether someone is likely to have a heart attack or stroke caused by blockage of blood vessels. The lipid profile includes total cholesterol, HDL-cholesterol (often called good cholesterol), LDL-cholesterol (often called bad cholesterol), and triglycerides [18]. Sometimes the report will include additional calculated values such as the Cholesterol/HDL ratio or a risk score based on lipid profile results. The lipid profile is used to guide providers in deciding how a person at risk should be treated. The results of the lipid profile are considered along with other known risk factors of heart disease to develop a plan of treatment.
LDL stands for low density lipoprotein. It is called the “bad” cholesterol because it carries cholesterol to your arteries and increases your risk for a heart attack. The higher level of LDL cholesterol in the blood, the greater your risk for heart disease. People with diabetes generally have excess glucose in the blood. The excess blood glucose sticks to the LDL cholesterol. This glucose-coated LDL stays in the blood stream longer and forms plaque, one of the first steps of heart disease. People with diabetes tend to have higher levels of LDL cholesterol. Lowering your level of LDL cholesterol lowers your risk of heart disease. The goal for a person with diabetes or heart disease is to have a blood cholesterol level below 100 mg/dl [19].
In people with either type 1 or type 2 diabetes, single episodes of alcohol consumption (i. e., acute alcohol consumption) generally do not lead to clinically significant changes in blood sugar levels. In fact, some studies have indicated that isolated episodes of drinking with a meal may have a beneficial effect by slightly lowering blood sugar levels that tend to rise too high in diabetics. This potentially beneficial effect was observed in both men and women, regardless of age. The alcohol amounts administered in those studies were usually between 0.5 g/kg (gram per kilogram body weight) and 1 g/kg, leading to blood alcohol levels (BALs) between approximately 0.03 and 0.1 percent2 [20]. Those doses are equivalent to approximately 2.5 to 5 standard drinks.3 interestingly; studies of acute alcohol exposure in non diabetic people have yielded quite variable results, noting decreases, increases, or no changes in glucose levels. Conversely, research has indicated that long-term (i. e., chronic) alcohol consumption in well-nourished diabetics results in increased blood sugar levels (i. e., hyperglycemia).
Table 2: Lipid profile, Cholesterol/HDL, LDL/HDL ratio of selected patients
| S. No. | AGE(yrs) | Total | Male | FEMALE | Totalcholesterol
mg/dl |
Triglycerides
MG/DL |
HDL
mg/dl |
LDL
mg/dl |
VLDL
mg/dl |
CHO/HDL | LDL/HDL |
| 1 | BELOW 45 | 2±0.14 | 2±0.14 | 0 | 166.2± | 154±10.78 | 44.25±3.09 | 108.3±7.58 | 27.45±1.91 | 4±0.28 | 2.35±0.16 |
| 2 | 45-55 | 11±0.77 | 7±0.49 | 4±0.28 | 221±15.47 | 176±12.32 | 49.16±3.44 | 136.6±9.56 | 35.16±2.46 | 4.4±0.30 | 2.68±0.18 |
| 3 | 55-65 | 15±1.05 | 10±0.7 | 5±0.35 | 192.8±13.49 | 189.0±13.23 | 38.72±2.71 | 115.6±8.09 | 38.36±2.68 | 5.04±0.35 | 3.04±0.21 |
| 4 | 65-75 | 21± 1.47 | 12±0.84 | 9±0.63 | 172.5±12.07 | 177.8±12.44 | 43.33±3.03 | 93.68±6.55 | 35.53±2.48 | 4.28±0.29 | 2.32±0.16 |
| 5 | 75-85 | 14±0.98 | 10±0.7 | 4±0.28 | 256±17.92 | 212.8±14.84 | 53.62±3.75 | 158.3±11.08 | 46.02±3.22 | 4.46±0.31 | 2.68±0.18 |
Values are expressed as Mean ± SD
Abnormalities in the levels and metabolism of lipids are extremely common in people with either type 1 or type 2 diabetes and may contribute to those patients’ risk of developing cardiovascular disease [21]. Alcohol consumption can exacerbate the diabetes-related lipid abnormalities, because numerous studies have shown that heavy drinking can alter lipid levels even in non diabetics. Alcohol can induce several types of lipid alterations, including elevated triglyceride levels in the blood (i. e., hypertriglyceridemia), reduced levels of low-density lipoprotein (LDL) cholesterol, and elevated levels of high-density lipoprotein (HDL) cholesterol.
Hypertriglyceridemia is an important risk factor for cardiovascular diseases. Moreover, elevated triglyceride levels can cause severe inflammation of the pancreas (i. e., pancreatitis). In addition to being highly painful and potentially fatal, this inflammation may interfere with the production of insulin, thereby potentially worsening control of blood sugar levels and making hypertriglyceridemia a particularly serious complication in diabetics. Heavy drinking (i. e., more than 140 grams of pure alcohols, or approximately 12 standard drinks, per day) can cause alcohol-induced hypertriglyceridemia in both diabetics and nondiabetics [22].
LDL cholesterol is strongly related to cardiovascular disease and stroke and has been called “bad” cholesterol. Reduction of LDL cholesterol decreases a person’s likelihood of suffering a heart attack or stroke. LDL cholesterol levels tend to be lower in alcoholics than in nondrinkers [23], suggesting that chronic alcohol consumption may have a beneficial effect on cardiovascular risk. However,[24]reported that the LDL cholesterol in alcoholics exhibits altered biological functions and may more readily cause cardiovascular disease. The researchers found that the levels of vitamin E, an agent that in part is bound to LDL cholesterol and which may decrease the risk of cardiovascular disease, also are lower in alcoholics than in nonalcoholics.
HDL cholesterol has a protective effect against cardiovascular disease and is called “good” cholesterol. This protective effect results at least partly from a process called reverse cholesterol transport, in which HDL particles carry cholesterol from blood vessel walls and other sites back to the liver, where it is broken down and subsequently eliminated from the body. Two subtypes of HDL—HDL2 and HDL3—are particularly effective in this reverse cholesterol transport. Studies in alcoholics found that the levels of HDL, and particularly of HDL2 and HDL3, were elevated after a period of chronic drinking and returned to normal levels after several days of abstinence [25]. Moreover, epidemiological data have demonstrated that moderate alcohol consumption of up to three standard drinks per day is associated with a reduced risk of heart attacks and that this effect is partly mediated by alcohol-induced increases in HDL2 and HDL3 levels [26].
Urinary albumin of 63 patients is given in Table 3. The results indicated that the patients were affected by the micro albumin in below age of 45 the level is 67.1mg/l. And other patients have an increase in levels 370.5 mg/l. The hemoglobin, HbA1C levels were also measured in the serum selected patients. Micro albumin level increases above 300 mg/24 hours in DN patients. The results indicated that the highest average micro albumin level as 370.5 mg/day in the patients of 75-85 age. Patients with age below 45 were not affected. They do not have DN.
In an attempt to detect patients at high risk of developing diabetic nephropathy, a longitudinal study of urinary albumin excretion rate (radial immunodiffusion) was carried out in 15 female and 8 male long-term insulin-dependent diabetics without proteinuria (negative Albustix test). Our longitudinal study indicates that early detection of patients at high and low risk of developing persistent proteinuria i. e. Diabetic nephropathy, is possible by using a sensitive method for measuring urinary albumin excretion[27].
Glycated haemoglobin (HbA1c) was initially identified as an “unusual” haemoglobin in patients with diabetes over 40 years ago[28]. After that discovery, numerous small studies were conducted correlating it to glucose measurements resulting in the idea that HbA1c could be used as an objective measure of glycaemic control. The A1C-Derived Average Glucose (ADAG) study included 643 participants representing a range of A1C levels. It established a validated relationship between A1C and average glucose across a range of diabetes types and patient populations [29].
HbA1c was introduced into clinical use in the 1980s and subsequently has become a cornerstone of clinical practice [30]. HbA1c reflects average plasma glucose over the previous eight to 12 weeks [29]. It is unclear whether HbA1c or blood glucose is better for predicting the development of retinopathy, but a recent report from Australia has shown that a model including HbA1c for predicting incident retinopathy is as good as or possibly better than one including fasting plasma glucose [31].
Selected patients were grouped into smoking and non – smoking and the average values of glucose, lipid profile, Hb, HbA1C were calculated (Table 4). Regarding Smokers below 45 years of age 120.3 mg/dl average Smokers was recorded for 2 patients. 11 patients of age 45 – 55 showed 131.1 mg/dl average smokers. 15 patients of age 55 – 65 143.8 mg/dl of average smokers was found. 21 patients of age 65-75 showed 149.4mg/dl average smokers. Highest average smokers were noticed in 14 patients of age 75-85. 150.2 mg/dl.
Table 3: Microalbumin, Hb and HbA1C levels of selected patients
| S. No. | Age(yrs) | Total | Male | Female | Microalbumin in Urine
(mg/l) |
HbA1C
(%) |
Hb (gm/dl) |
| 1 | BELOW 45 | 2±0.14 | 2±0.14 | 0 | 67.1±4.69 | 5.5±0.38 | 10±0.7 |
| 2 | 45-55 | 11±0.77 | 7±0.49 | 4±0.28 | 314.2±21.99 | 6.3±0.44 | 11.2±0.78 |
| 3 | 55-65 | 15±1.05 | 10±0.7 | 5±0.35 | 352.6±24.68 | 5.2±0.36 | 12±0.84 |
| 4 | 65-75 | 21±1.47 | 12±0.84 | 9±0.63 | 323.4±22.63 | 7.5±0.52 | 10.9±0.76 |
| 5 | 75-85 | 14±0.98 | 10±0.7 | 4±0.28 | 370.5±25.93 | 5.0±0.35 | 11.3±0.79 |
Values are expressed as Mean ± SD
Table 4: Fasting Blood glucose and Post prandial glucose, microalbumin HbA1c and Hb of smokers in selected patients
| S. No. | AGE
(yrs) |
Total | Smokers | Blood Glucose
(F) mg/dl |
Blood Glucose
(PP) mg/dl |
LDL/HDL
Ratio |
Microalbumin in Urine
mg/l |
HbA1C% | Hb gm/dl |
| 1 | BELOW 45 | 2±0.14 | 2±0.14 | 120.3±8.42 | 154.6±10.82 | 2.25±0.15 | 119.1±8.33 | 6.5±0.455 | 10.5±0.73 |
| 2 | 45-55 | 11±0.77 | 7±0.49 | 131.1±9.17 | 165.4±11.57 | 2.58±0.18 | 298.2±20.87 | 7.5±0.52 | 12.2±0.85 |
| 3 | 55-65 | 15±1.05 | 10±0.7 | 143.8±10.06 | 172.5±12.07 | 3.0±0.21 | 315.6±22.09 | 6.2±0.43 | 12.4±0.86 |
| 4 | 65-75 | 21±1.47 | 15±1.05 | 149.4±10.45 | 182.0±12.74 | 3.32±0.23 | 343.4±24.03 | 7.0±0.49 | 11.9±0.83 |
| 5 | 75-85 | 14±0.98 | 4±0.28 | 150.2±10.51 | 184.4±12.90 | 4.68±0.32 | 360.5±25.23 | 6.0±0.42 | 12.3±0.86 |
Values are expressed as Mean ± SD
Table 4a: Lipid profile, Cholesterol/HDL, LDL/HDL ratio of smokers in selected patients
| S. No. | AGE
(yrs) |
Total | Smokers | Triglycer- ides
mg/dl |
HDL
mg/dl |
LDL
mg/dl |
VLDL
mg/dl |
CHO/HDL
Ratio |
LDL/HDL
Ratio |
| 1 | BELOW 45 | 2±0.14 | 2±0.14 | 144±10.08 | 46.25±3.23 | 118.3±8.28 | 26.45±1.85 | 3.9±0.27 | 2.25±0.15 |
| 2 | 45-55 | 11±0.77 | 7±0.49 | 173±12.11 | 49.34±3.45 | 146.6±10.26 | 37.16±2.60 | 4.2±0.29 | 2.58±0.18 |
| 3 | 55-65 | 15±1.05 | 10±0.7 | 179.0±12.53 | 38.72±2.710 | 125.6±8.79 | 39.36±2.75 | 5.55±0.38 | 3.0±0.21 |
| 4 | 65-75 | 21±1.47 | 15±1.05 | 187.8±13.14 | 53.33±3.73 | 97.68±6.83 | 41.53±2.90 | 4.65±0.32 | 3.32±0.23 |
| 5 | 75-85 | 14±0.98 | 4±0.28 | 222.8±15.59 | 53.82±3.76 | 168.3±11.78 | 44.02±3.08 | 5.46±0.38 | 4.68±0.
32 |
Values are expressed as Mean ± SD
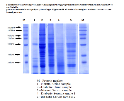
Plate 1: SDS –PAGE of urine and blood of normal and DN patients
Regarding non Smokers below 45 years of age patients are not smokers (Table 5). 11 patients of age 45 – 55 showed 122.1 mg/dl average Non smokers. 15 patients of age 55 – 65 138.8 mg/dl of average smokers was found. 21 patients have 145.4 mg/dl average of Non smokers was present in 65 -75 age group. Highest average Non smokers were noticed in 14 patients of age 75-85 149.2mg/dl.
There is a growing body of evidence to show that smoking is a risk factor for Type 2 diabetes. Several hypotheses have been proposed to explain this link. Smoking has been identified as a possible risk factor for insulin resistance (see below), a precursor for diabetes. Smoking has also been shown to deteriorate glucose metabolism which may lead to the onset of type 2 diabetes[32] PM There is also some evidence which suggests that smoking increases diabetes risk through a body mass index independent mechanism. [33]. Smoking has been associated with a risk of chronic pancreatitis and pancreatic cancer, suggesting that tobacco smoke may be toxic to the pancreas. [34].
A systematic review of 25 studies found that all but one revealed an association between active smoking and an increased risk of diabetes. [35]On the basis of this review, it is estimated that 12% of all type 2 diabetes in the United States may be attributable to smoking [36].
Regarding drinkers below 45 years of age patients are drinkers 136.1mg/dl (Table 6). 11 patients of age 45 – 55 showed 142.2 mg/dl average drinkers.
15 patients of age 55 – 65 151.5 mg/dl of average drinkers was found. 156.8 mg/dl of average drinkers was present in 65 -75 age group. Highest average drinkers were noticed in 14 patients of ages 75-85 159.1 mg/dl.
Regarding non-drinkers below 45 years of age 2 patients are non-drinkers 126.1mg/dl (Table 7).
11 patients of age 45 – 55 showed 132.2 mg/dl average non-drinkers. 15 patients of age 55 – 65 142.5 mg/dl of average non-drinkers were found. 153.1 mg/dl of average non-drinkers was present in 65 -75 age groups. Highest average non-drinkers were noticed in 14 patients of ages 75-85 154.2 mg/dl.
Table 5: Fasting Blood glucose and Post prandial glucose, Lipid profile, Cholesterol/HDL, LDL/HDL ratio, Micro albumin, Hb and HbA1C of non-smokers in selected patients
| S. No. | AGE(yrs) | Total | Non Smokers | Blood Glucose(F)
mg/dl |
Biood Glucose(PP)
mg/dl |
Total Cholesterol-mg/dl | Triglycerides-mg/dl | HDL-mg/dl | LDL-mg/dl | VLDL-mg/dl | CHO/HDL-Ratio | LDL/HDL-Ratio | Microalbumin IN URINE-mg/l | HbA1C-% | Hb- gm/dl |
| 1 | BELOW 45 | 2±0.14 | 0 | - | - | 156.2±10.93 | 135.1±9.45 | 44.25±3.09 | 108.3±7.58 | 23.45±1.64 | 3.6±0.25 | 2.0±0.14 | 98.1±6.86 | 5.5±0.38 | 11.5±0.80 |
| 2 | 45-55 | 11±0.77 | 4±0.28 | 122.1±8.57 | 146.4±10.24 | 198.5±13.89 | 158±11.06 | 47.34±3.31 | 126.6±8.86 | 35.16±2.46 | 4.0±0.28 | 2.25±0.15 | 253.2±17.72 | 6.5±0.455 | 12.0±0.84 |
| 3 | 55-65 | 15±1.05 | 5±0.35 | 138.8±9.71 | 153.5±10.74 | 187.8±13.14 | 160.0±11.2 | 35.72±2.50 | 115.6±8.09 | 38.33±2.68 | 5.0±0.35 | 2.9±0.20 | 298.6±20.90 | 5.8±0.40 | 12.1±0.84 |
| 4 | 65-75 | 21±1.47 | 6±0.42 | 145.4±10.17 | 160.0±11.2 | 170.5±11.93 | 175.8±12.30 | 50.35±3.52 | 93.68±6.55 | 40.53±2.83 | 4.35±0.30 | 2.32±0.16 | 304.4± 21.30 | 6.0±0.42 | 10.9±0.76 |
| 5 | 75-85 | 14±0.98 | 10±0.7 | 149.2±10.44 | 179.4±12.55 | 203.5±14.24 | 200.8±14.05 | 51.61±3.61 | 148.3±10.38 | 42.02±2.94 | 5.06±0.35 | 3.68±0.25 | 343.5±24.04 | 6.5±0.455 | 12.5±0.87 |
Values are expressed as Mean ± SD
Table 6: Fasting Blood glucose and Post prandial glucose, Lipid profile, Cholesterol/HDL, LDL/HDL ratio, Micro albumin, Hb and HbA1C of alcoholic of selected patients
| S. No. | AGE(yrs) | Total | Drinkers | Blood Glucose(F)
mg/dl |
Biood Glucose(PP)
mg/dl |
Total
Cholesterol mg/dl |
Triglyceridesmg/dl | HDL- mg/dl | LDL mg/dl | VLDL-mg/dl | CHO/HDL-Ratio | LDL/HDL-Ratio | Microalbumin IN URINE -mg/l | HbA1C-% | Hb -gm/dl |
| 1 | BELOW 45 | 2±0.14 | 2±0.149.52 | 136.1± | 158.5±11.09 | 176.2± 12.34 | 128.1±8.96 | 48.75±3.41 | 128.3±8.98 | 30.55±2.13 | 4.9±0.34 | 2.55±0.17 | 175.1±12.25 | 6.8±0.47 | 12.8±0.89 |
| 2 | 45-55 | 11±0.77 | 7±0.49 | 142.2± | 153.8±10.76 | 234.1±16.38 | 134.5±9.41 | 54.10±3.78 | 142.6±9.98 | 38.08±2.66 | 4.6±0.32 | 2.67±0.186 | 300.2±21.01 | 6.5±0.45 | 13.4±0.93 |
| 3 | 55-65 | 15±1.05 | 10±0.7 | 151.5± | 172±12.04 | 243.8±17.06 | 144.5±10.11 | 42.74±2.99 | 135.6±94.92 | 41.30±2.89 | 5.5±0.38 | 3.15±0.22 | 345.6±24.19 | 7.8±0.54 | 12.6±0.88 |
| 4 | 65-75 | 21±1.47 | 15± | 156.8±10.97 | 179.8±12.58 | 223.7±15.65 | 157.2±11.00 | 39.23±2.74 | 123.68±8.67 | 37.35±2.61 | 4.85±0.33 | 3.42±0.23 | 366.4±25.64 | 6.9±0.48 | 12.0±0.84 |
| 5 | 75-85 | 14±0.98 | 4±0.28 | 159.1±11.13 | 182.5±12.77 | 245.23±17.16 | 161.4±11.29 | 54.63±3.82 | 140.0±9.8 | 45.03±3.15 | 5.56±0.38 | 5.68±0.39 | 385.5±26.98 | 7.2±0.50 | 12.3±0.86 |
Values are expressed as Mean ± SD
Table 7: Fasting Blood glucose and Post prandial glucose, Lipid profile, Cholesterol/HDL, LDL/HDL ratio, Micro albumin, Hb and HbA1C of non – alcoholic of selected patients
| S. No. | AGE
(yrs) |
Total | Non Drinkers | Blood Glucose(F)
mg/dl |
Biood Glucose(PP)
mg/dl |
Total
Cholesterol mg/dl |
Triglycerides mg/dl | HDL mg/dl | LDL mg/dl | VLDL mg/dl | CHO/HDL Ratio | LDL/HDL Ratio | Microalbumin in Urine mg/l | HbA1C% | Hb gm/dl |
| 1 | BELOW 45 | 2±0.14 | 0 | 126.1±8.82 | 138.5±9.69 | 156.3±10.94 | 118.1±8.26 | 42.45±2.97 | 92.54±6.47 | 23.45±1.64 | 4.5±0.31 | 2.25±0.15 | 156.1±10.92 | 5.8±0.40 | 10.8±0.75 |
| 2 | 45-55 | 11±0.77 | 4±0.28 | 132.2±9.25 | 143.8±10.06 | 228.1±15.96 | 124.5±8.71 | 45.24±3.16 | 128.5±8.99 | 34.25±2.39 | 4.0±0.28 | 2.50±0.175 | 288.2±20.17 | 6.2±0.43 | 12.4±0.8 |
| 3 | 55-65 | 15±1.05 | 5±0.35 | 142.5±9.9 | 156±10.92 | 188.9±13.22 | 133.5±9.34 | 37.40±2.61 | 120.6±8.44 | 37.46±2.62 | 5.1±0.35 | 3.0±0.21 | 335.6±23.49 | 5.8±0.40 | 11.4±0.79 |
| 4 | 65-75 | 21±1.47 | 6±0.42 | 153.1±10.71 | 169.3±11.85 | 180.3±12.62 | 139.2±9.74 | 38.67±2.70 | 96.5±6.75 | 35.24±2.46 | 4.35± | 3.22±0.22 | 353.4±24.73 | 6.8±0.47 | 11.0±0.77 |
| 5 | 75-85 | 14±098 | 10±0.7 | 154.2±10.79 | 176.5±12.35 | 238.1±16.66 | 152.4±10.66 | 53.61±3.75 | 123.8±8.66 | 39.45±2.76 | 5.25± | 5.38±0.37 | 364.5±25.51 | 7.0±0.49 | 11.3±0.79 |
Values are expressed as Mean ± SD
LC-MS/MS analysis
MS mode, Mass and intensity values were taken into consideration while searching for probable Protein in MASCOT search with Protein sequence query database, using Carboxymethyl (C) as fixed modification and Oxidation (M) as variable modification. Search was made in Viridiplantae (Green plant). All given samples were lyophilized and then diluted using Milli Q Water (2 mL). The mass spectral analysis indicates that there is a difference in protein expression of normal and DN patient’s blood and urine.
In the urine of diabetic patients, collagen fragments played the most important role even 3–5 years before onset of macroalbuminuria. Collagen fragments, especially fragments of the collagen a-1 (I) chain, are major constituents of the low–molecular weight urinary proteome [37]. These peptides are likely the result of normal physiological turnover of the extracellular matrix. Hence, it has been assumed that diminished activity of matrix metalloproteinases may be responsible for the accumulation of proteins in the extracellular matrix and collagens that typify the fibrotic kidney [38]. This effect may be interpreted as an indication of increased tissue levels of inhibitors of matrix metalloproteinases. Accumulation of extracellular matrix as predominantly observed in diabetic nephropathy was recently shown to be associated with decreased excretion of several specific collagen fragments [39].
Clusterin (apolipoprotein J) has been known to be associated in diabetes[40], and a number of papers have been published on the possible use of urinary clusterin concentration analysis in the assessment of proteinuria and renal function disorders [41]. A-1-antitrypsin seems to be a good marker for the differentiation between DN case and control subjects, but for the early diagnosis of DN the amplitude levels are not significantly different in the progressors compared with nonprogressors.

Fig. 1: Normal Urine Protein identified by LC-MS/MS
UFM1_HUMAN Mass: 9170 Score: 40 Expect: 1.8 Matches: 11
Ubiquitin-fold modifier 1 OS=Homo sapiens GN=UFM1 PE=1 SV=1

Fig. 2: Diabetic Urine Protein identified by LC-MS/MS
YP008_HUMAN Mass: 6603 Score: 38 Expect: 3.6 Matches: 9
Putative uncharacterized protein PRO2289 OS=Homo sapiens GN=PRO2289 PE=5 SV=1

Fig. 3: Normal Serum Protein identified by LC-MS/MS
CF203_HUMAN Mass: 28038 Score: 42 Expect: 1.3 Matches: 25
Uncharacterized protein C6orf203 OS=Homo sapiens GN=C6orf203 PE=1 SV=1

Fig. 4: Diabetic Serum Sample - 1 Protein identified by LC-MS/MS
TSR3_HUMAN Mass: 34155 Score: 39 Expect: 2.7 Matches: 30
Ribosome biogenesis protein TSR3 homolog OS=Homo sapiens GN=TSR3 PE=1 SV=1

Fig. 5: Diabetic Serum Sample–2 Protein identified by LC-MS/MS
WBS22_HUMAN Mass: 32208 Score: 36 Expect: 5.5 Matches: 17
Ribosome biogenesis methyltransferase WBSCR22 OS=Homo sapiens GN=WBSCR22 PE=1 SV=2
Diabetes mellitus (DM) or simply diabetes is a group of metabolic diseases in which a person has high blood sugar. This high blood sugar produces the symptoms of frequent urination, increased thirst, and increased hunger. Untreated, diabetes can cause many complications. Acute complications include diabetic ketoacidosis and nonketotic hyperosmolar coma. Serious long-term complications include heart disease, kidney failure, and damage to the eyes. Diabetic nephropathy (nephropatia diabetica), also known as Kimmelstiel–Wilson syndrome, or nodular diabetic glomerulosclerosisand intercapillary glomerulonephritis, is a progressive kidney disease caused by angiopathy of capillaries in the kidney glomeruli. It is characterized by nephrotic syndrome and diffuse glomerulosclerosis. It is due to longstanding diabetes mellitus, and is a prime indication for dialysis in many Western countries. It is classified as a micro vascular complication of diabetes. Diabetic nephropathy is one of the major complications of diabetes mellitus characterized by frequent microalbuminuria, elevated arterial blood pressure, a persistent decline in glomerular filtration rate and a high risk of cardiovascular morbidity and mortality. In present study 90 patients were selected. The study comprised of 30 Diabetic mellitus (DM) with microalbuminuria patients (Group 3), 30 DM without microalbuminuria patients (group 2), 30 healthy controls (Group 1). Fasting glucose, post prandial glucose, lipid profile, fructosamine in serum and and microalbumin in urine were investigated in all the patients. The significant increase in serum fructosamine, fasting and post prandial glucose levels along with increased microalbuminuria observed in group 3 patients compared to group 2 and group 1 patients. Hyperglycemia increases fructosamine, cholesterol, triglycerides with decrease in HDL-cholesterol levels, indicates the major risk of atherogenicity. To study the effect of age, smoking, DM duration on DN, patients were grouped in different way and analysed. The results suggested that smoking, age and prolonged DM influences DN. Normal and DN patients serum and urine samples were selected and protein were separated by SDS-PAGE and identified by LC-MS. Results of LC-MS showed the difference in proteomics of normal and DN patients.
CONFLICT OF INTERESTS
None to declare
REFERENCES