Department of Pharmaceutical Sciences, University of Kashmir, Hazratbal, Srinagar, Kashmir, Jammu and Kashmir, India.
Email: sabeeha_shafi@yahoo.com
Received: 26 Nov 2014 Revised and Accepted: 18 Dec 2014
ABSTRACT
Objective: To evaluate the toxicity (acute and sub-acute) of hydro-alcoholic extract of Portulaca oleracea (whole plant) in Swiss albino mice.
Methods: Acute oral toxicity study was carried out as per OECD 423 guidelines. The doses that were taken are 500 mg/kg, 1000 mg/kg,1500 mg/kg and 2000 mg/kg b. w. These doses were given once daily. The animals were observed for 72 hours. The parameters of behaviour were observed. The subacute toxicity of the hydro-alcoholic extract was also evaluated. The doses were 200 and 400mg/kg b. w, given daily only once for 14 days and the observations were made for hepatotoxicity the toxicity was assessed by estimating the serum liver function tests. The studies of acute and subacute toxicity were compared with the normal control groups.
Results: In acute oral toxicity study the animals showed different behavioural changes like grooming, hyperactivity, sedation, respiratory arrest, convulsions, increased and decreased motor activity and death. At the dose level of 500 mg/kg b. w, 50% of the animals died and at the dose levels of 1000,1500 and 2000mg/kg b. w, 100% of the animals died thereby indicating that the dose below than 500mg. kg b. w is safe for further pharmacological studies. In subacute studies, the dose of 400mg/kg b. w showed significant hepatic protection.
Conclusion: These observations indicate that the hydro-alcoholic extract of Portulaca oleracea (whole plant) at the dose level of 500 mg/kg can be used for further pharmacological activity and at the dose level of 400mg/kg have significant hepato protection.
Keywords: Hydro-alcoholic extract, Acute oral toxicity, Subacute oral toxicity.
INTRODUCTION
Herbal plants have received very much attention these days because of wider acceptability and lesser side effects. These plants have taken the place of synthetic drugs as 80% of the world's population is dependent on these plants for curing their primary health concerns. In order to render the plant product safe, its toxicity evaluation is necessary and also to find the dose of the plant that can be used for further pharmacological research. The acute oral toxicity test aims at establishing the therapeutic index, i. e. The ratio between the pharmacologically effective dose and the lethal dose on the same strain and species (LD50/ED50). The greater the index the safer the compound and vice versa.
However, the term acute oral toxicity is most often used in connection to lethality and LD determinations [1, 2]. The Organization for Economic Corporation and Development (OECD) panel of experts defines acute toxicity as the adverse effect occurring within a short time of oral administration of a single dose of a substance or multiple doses given within 24 hrs, and subacute toxicity as the advance effects occurring as result of the repeated daily oral dosing of a chemical to experimental animal for part not exceeding 10% of the life span. The National Academy of Sciences (NAS) defines subacute exposure from a few days to 6 months. Subacute toxicity testing gives the valuable information on the cumulative toxicity of a substance at low dose on prolonged exposure. A wide variety of adverse effects can be detected; the results from such studies can provide information in selecting the proper plant product.
A large number of herbal plants have been screened for different pharmacological activities. Portulaca oleracea is one of the plants that have been used extensively these days. Inspite of its popularity, very little literature is known about its toxicity profile. It belongs to Family Portulacaceae (Purslane family) and is commonly called as Common Purslane in English, as Kurfa in Mumbai, as Loni, Ghol in Gujrati, as Kursa, Chhota Lunia in Hindi, as Lonak in Punjabi and as Nunar in Kashmiri. It is a cosmopolitan weed in warm temperate, tropical and subtropical regions of the world [3, 4]. In Srinagar it grows along waste lands and in cultivated gardens. In folk medicine, it is reported that it can be used as a salad and cooked like soups. Its chemical constituents include anti-oxidants,β carotene and omega 3-fatty acids.[5-7]. Reported pharmacological activities of this plant include antifungal [8], antibacterial [9], analgesic, anti-inflammatory [10, 11], gastric antiulcerogenic [12], bronchodilator [13], skeletal muscle relaxant [14], antihypertensive [15], neuropharmacological [16], wound healing [17], antioxidant [18], antifertility [19] and antitumour activities [20]. Therefore, the present study was undertaken to investigate the acute and subacute oral toxicity of this plant particularly its effect on liver enzymes.
MATERIALS AND METHODS
Plant material
Portulaca oleracea (whole plant) were collected from Nishat area of the district, Srinagar. This was carried during the months of April to June and authenticated by a plant taxonomist in the Centre of Plant Taxonomy, University of Kashmir, Srinagar. The identification that was done was on the basis of the characters described by Kirtikar and Basu, 1935. Plant sample was deposited in the herbarium of the Department of Taxonomy, University of Kashmir under voucher specimen number 1011(KASH) dated 15-09-2008 for future reference. The plant material was dried in a well ventilated room with outside temperature that was ranging between 18 to 320C.
Preparation of the extract
The dried whole plant was coarsely powdered and 500 gm of the material was allowed to macerate for 48 hrs with 50% ethanol, with occasional shaking. After 48 hrs, the ethanolic extract was filtered through Whatmans filter paper.
The plant material was then macerated again with fresh 50% ethanol and the filtrate obtained from the first and the second maceration was then combined and the solvent was recovered. After the recovery of alcohol, the extract was then evaporated to dryness. The process was repeated several times and the yield was noted. The extract was refrigerated at 40C for future use in experimental studies.
Pharmacological study [21-23]
Animals and exposure conditions
Swiss albino mice whose weight was about 20-25 gm were taken for conducting acute and subacute oral toxicity studies. The animals were procured from the Central Animal House, IIIM (Indian Institute of Integrative Medicine) Jammu & were housed in clean polypropylene cages. Before initiation of an experiment, the mice were acclimatized for a period of 7 days. Standard environmental conditions such as temperature ranging from 18 to 32oC, relative humidity (70%) and 12 hrs dark/light cycle were maintained in the quarantine. All the animals were fed with rodent pellet diet (Ashirwad Industries) and water ad-libitum under strict hygienic conditions. All procedures were performed in accordance to CPCSEA guidelines after approval from the Institutional Animal and Ethics Committee (IAEC) of the Department of Pharmaceutical Sciences, University of Kashmir [No. F-IAEC (Pharm. Sc) APPROVAL / 2008/ 4 Dated Oct 23rd, 2008].
Chemicals and reagents
All the chemicals and reagents used for the study were of analytical grade. Assay kits were used for assay of biochemical parameters and purchased from Transasia Biomedicals Ltd and Accurex Biomedical Pvt Ltd.
Acute oral toxicity study
Hydro-alcoholic extract of Portulaca oleracea (whole plant) (PO) was screened for acute oral toxicity study. The animals were distributed into five groups.
Group I served as Normal Control and received 2% gum acacia.
Group II received 500 mg/kg b. w (PO),
Group III received 1000 mg/kg b. w (PO)
Group IV received 1500 mg/kg b. w (PO)
Group V received 2000 mg/kg b. w (PO).
All extracts were given in 2% gum acacia. After the extract administration, food was withheld for 2 hours. The extracts were administered in a single dose by using specially designed mice oral feeding needle. The observations that were recorded during 72 hours were grooming, hyperactivity, sedation, respiratory arrest, convulsions, increased and decreased motor activity and mortality if any.
Subacute oral toxicity study (14 days)
The hydro-alcoholic extract of Portulaca oleracea whole plant (PO) was administered orally once daily to mice. Before initiation of experiment, the rats were acclimatized for a period of seven days. To study subacute toxicity, animals of either sex (20-25 g body weight) were divided into three groups of six mice each. All the experimental work was carried out in the temperature range of 15-19oC and humidity range of 70-75%. The treatment was given as per the following protocol.
Group I- Normal Control (2% aqueous gum acacia)
Group II PO (200 mg/kg b. w)
Group III PO (400 mg/kg b. w)
The treatment was continued for 14 days. During this period, mice of the control group received only 2% gum acacia. After 14 days, animals were fasted overnight and blood was collected by cardiac puncture. During this period, none of the mice died. Biochemical estimations were done on 15th day. The blood was allowed to clot for one hour and serum was separated by centrifuging and evaluated for different biochemical parameters.
Table 1
| S. No. | Liver function tests |
| i | Serum Bilirubin Levels |
| ii | Serum Glutamate Oxaloacetate Transaminase (SGOT) |
| iii | Serum Glutamate Pyruvate Transaminase (SGPT) |
| iv | Serum Total Proteins |
| v | Serum Albumin |
| vi | Serum Alkaline Phosphatase |
Histo pathological studies [29, 30]
After preserving the livers in 10% formalin, the liver sections were processed which involved the following steps.
Preparation of Tissues
Processing of Tissues
Embedding in paraffin
Preparation of sections
Staining
Preparation of tissues
Fixation
Fixation is a process of killing and hardening of tissue. The first phase of fixation is the rapid killing of tissue and the second phase, the hardening of tissue. Tissue was placed in the fixative immediately upon removal from the body to preserve the relation of the tissue elements as they were in life. Blocks were cut enough so that the fixing fluid penetrates the tissue in a reasonably short time. Blocks were not be more than 0.5 cm thick and were immersed in at least twenty times their volume of fixative. 10% formalin is the most widely used fixative because it is compatable with most stains. Length of fixture depends upon the size of the blocks. After fixation the tissue was washed, from 3 to 24 hrs, in running water before dehydration, clearing and embedding: -
Table 2
10% formalin solution |
|
37-40% formaldehyde |
100 ml |
Tap water |
990 ml |
Formalin saline solution |
|
37-40% formaldehyde |
100 ml |
Sodium Chloride |
9.0 gm |
Tap water |
900 ml |
Processing of tissues
Every specimen was marked with an identifying number or name. This identification was copied with a soft lead pencil on a string tag and kept with the tag throughout processing. The surface, from which sections were to be cut, was indicated by notching the opposite surface or marking it with India ink. While embedding the tissue in paraffin, the marked surface of the block was kept uppermost. Fixed tissues were maintained in position by a firm medium so that these uniform sections could be cut. Media suitable for this purpose are paraffin, colloidin, nitrocellulose and carbowax. Embedding in paraffin was accomplished most rapidly and gives the best results when thin sections of soft tissues are wanted. Since paraffin is not miscible with water, the tissue must be dehydrated and then cleared in a solution that is miscible with paraffin. Dehydration is done either by 80%, 90%, 100% alcohol as acetone. Tissue was then ready for embedding.
Embedding in paraffin
Embedding can be accelerated by the use of shallow tin pans. For embedding of multiple blocks, pans with slightly sloping side, ranging from 1 X 2 inches and ¾ inch in depth are satisfactory. The pan was placed on a masonite rack, which holds it about 6 inches above the desk top. The pan was warmed gently with a Bunsen burner and filled with paraffin which had been melted and filtered. Each piece of tissue was placed in position with the appropriate string tag beside it and when all are in place the lowest part of the paraffin was hardened by rubbing an ice cube across the bottom of the pan. The pan was floated on cold water, when the paraffin had collected sufficiently so that a heavy film formed across the top. The paraffin, when hardened throughout, contracts from the sides of the pan and the mass was lifted out and cut into blocks of appropriate size.
Preparation of sections
A properly cared knife was used, since the results produced by histological technique depend greatly upon the knives used to cut the sections. A perfect edge for a microtome knife may be defined in simple terms as the junction of the smooth plane surfaces at an angle of about 14 degree. Various kinds of knives are required for microtomes of different types, 110 mm knife is used for cutting frozen sections, the 120 mm and 185 mm knives for routine paraffin work.
Cutting section
After mounting the paraffin block on the object holder excess of paraffin was cleaned and clamped in the block holder on the microtome. The knife clamp was adjusted towards the paraffin block and sectioning was begun slowly. To facilitate sectioning, wet cotton is applied on to the surface of the block after cutting. Bubbles are removed by putting the ribbon very gently across the long edge of a glass slide half below the section in the water bath. After the section was mounted on the slide, bubbles in the tissues were removed by gentle brushing with a fine camel’s hair brush.
Resealing blocks
After cutting the sections from the paraffin block, it was resealed to prevent drying of the tissue or destruction by insects and to make subsequent cutting easier. The block sealer provided a continuous supply of molten paraffin with which was to seal cut specimen blocks as they are removed from the microtome.
Forming a ribbon
The first section was unrolled with a fine camel’s hair brush and was held down tightly against the knife. The ribbon often forms and follows number 1, 2 & 3. Camel’s hair brush is used to remove the ribbon from knife. The glass slides on which tissue sections are to be mounted are marked before hand with the identifying case number usually with a glass marking pencil.
Paraffin sections are attached to slides in several ways. A small drop of Maeyer’s egg albumin is smeared our surface of the slide with the finger and the excess rubbed off with the help of the hand. A clean foam rubber sponge is usually preferred so that the epithelial cells from the fingers do not adhere to the slides and produce artifacts when stained.
Staining
Sections picked up on albuminized slides were dried before staining as they may be stained singly by carrying each section through various solutions with a bent glass rod. Paraffin section (5 microns thick) was stained with haematoxylin and eosin.
Statistical analysis
All the results were expressed as mean ± SEM. One way analysis of variance (ANOVA) was used for the statistical analysis of data. Students “t” test was used for determining the significance. A probability value of p > 0.05 was considered as non significant, *p< 0.05 – significant, **p< 0.01- highly significant and ***p<0.001 as very highly significant.
RESULTS
Acute oral toxicity tests (72 hour study)
Portulaca oleracea administered at four dose levels (500, 1000, 1500 and 2000 mg/kg b. w) revealed the following effects during the acute toxicity studies conducted in mice for 72 hours. Control mice which had received 2% of gum acacia showed normal behavior. After, 48 and 72 hours, no grooming was observed at all the four dose levels. PO extract at the administered dose levels had no effect on the activity of mice which remained normal. 100 % of animals in the dose range of 1000,1500 and 2000 mg/kg b. w showed sedation, respiratory arrest, convulsions, decreased motor activity and mortality.
Subacute toxicity study (14 days)
Hydro-alcoholic extract of the whole plant of Portulaca oleracea (PO)(whole plant) was evaluated for hepatotoxicity in Swiss albino mice.
Table 3: Effect of hydro-alcoholic extract of portulaca oleracea (whole plant) on liver enzymes in swiss albino mice
| Treatment | Dose Mg/kg |
Bilirubin Levels |
SGOT | SGPT | Total Proteins |
Albumin | Serum alkaline phosphatase |
Normal Control |
0.58 | 60.03 | 46.24 | 6.81 | 3.45 | 72.16 | |
| PO | 200 | 0.52 | 57.88 | 30.78* | 6.49 | 3.64 | 70.38 |
| PO | 400 | 0.42 | 52.62* | 20.47** | 6.93 | 4.00 | 60.47** |
The observations are mean ± SEM of 6 animals, *p<0.05 is considered as significant and **p<0.01 as highly significant compared to that of Normal Control group (One way ANOVA followed by students “t “test).
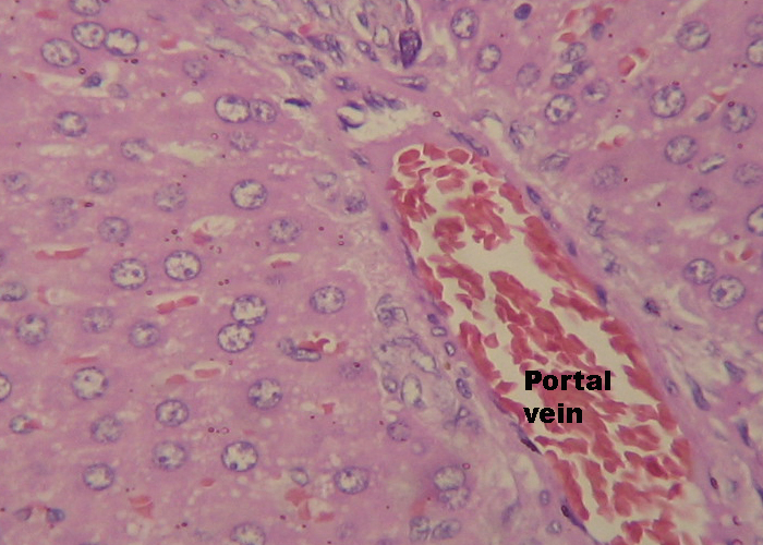
| Studies on liver of Swiss albino mice |



Fig. 1: Group –I –Normal Control photomicrograph of mice showing the normal portal triad area. No abnormality is seen. (14 Day Study)
Histopathology results
Histopathology results shown no abnormality in liver when doses of 200mg/kg and 400mg/kg were given to suiss albino mice. Results were almost comparable to normal control mice (Fig. 1-3).
DISCUSSION
The major hindrance to the use of traditional herbal preparations is the lack of scientific and clinical data in support of better understanding of the efficacy and safety of the drugs. This is due largely to the negligence of the evaluation of the toxicity and adverse drug reactions of herbal medicines, as they are considered natural and thus safe. Some plant extracts could be inherently dangerous, containing naturally occurring toxins, which may be cytotoxic or carcinogenic. Accordingly most of the herbal preparations do not have drug regulatory approval to demonstrate their safety and efficacy. It is therefore pertinent to establish the safety of these preparations through toxicological assessments. Liver, being the primary organ for detoxification could be assessed to establish the safety of a substance. In the current study therefore, liver function parameters of animals treated with subacute doses of the hydro-alcoholic extract of Portulaca oleracea were assessed. Studies have reported that Portulaca oleracea whole plant (PO) contains alkaloids coumarins, tannins, flavonoids, glycosides, carbohydrates, fixed oil, saponins, proteins, amino acids, steroids and omega-3-fatty acids. [5-7]
Swiss albino mice weighing 20-25g were procured from IIIM Jammu and kept in clean polypropylene cages under uniform conditions of food, water, temperature and degree of nursing care. It was ensured that the animals were in good health and free from any infectious diseases. Male and female animals were kept in separate cages so that there was no interference in the evaluation of biochemical parameters during the period of study. The temperature and the humidity of the room in which the animals were housed were in the range of 15-25oC and 70-75 % respectively.
The oral administration of 50% ethanolic extract of the whole plant in doses of 500-2000 mg/kg b. w showed that 50% of animals died in the dose range of 500 mg/kg b. w and 100 % of animals died in the dose range of 1000, 1500 and 2000 mg/kg b. w. w after 72 hours.
The observations regarding behaviour showed that there was effect on grooming, sedation, respiratory arrest, convulsions. There was decreased motor activity before death. It can be concluded that LD50 of the plant is 500mg/kg b. w which means that doses below 500 mg/kg b. w are safe for oral administration. Since LD50 of the hydro-alcoholic extract was 500mg/kg b. w, so the present studies were carried at the dose levels of 200 and 400 mg/kg b. w/day.
The liver plays a key role in many metabolic process of not only itself but of other tissues as well. This fact demonstrates the biochemical nature of this organ. Severe hepatic injury, as a result of the metabolism of some of the toxic phytochemicals found in medicinal plants and failure of the metabolic products to be eliminated by the liver may be associated with marked distortion of these functions. Albumin is the most abundant of the plasma proteins with the physiological role of maintenance of osmotic pressure, transportation of both endogenous and exogenous substances and serving as the protein reserve. The ability of the liver to synthesize albumin is diminished if the synthetic function of the organ is affected. Plasma concentration of proteins may decrease as a result of over hydration and impaired protein synthesis.
Bilirubin is a useful index of the excretory function of the liver. Serum alanine aminotransferase (ALT) and aspartate aminotransferase (AST) are useful indices for identifying inflammation and necrosis of the liver. ALT has its highest concentration in the liver with kidney and skeletal muscles having lesser activity of the enzyme. The activity of AST is located in the microsomal and mitochondrial portions of the liver cells as well as in the skin, skeletal and cardiac muscles, pancreas and kidney. ALT measurements are more liver specific than the AST and its activity is usually greater than AST activity at early or acute hepatocelluar disease. The activity of Alkaline phosphatase (ALP) is increased in liver diseases. Accordingly, serum ALP is a useful diagnostic, screening of cholestatic hepatobiliary lesions.
CONCLUSION
In view of the serum biochemical parameters of the animals treated with both the acute and sub-acute doses of the oral hydro-alcoholic whole plant extract of Portulaca oleracea, it may be apparent to suggest that the plant extract may be safe, especially at the therapeutic dose which is far lower than the tested doses. The nontoxicity observed in sub-acute studies may not be unconnected with the fact that the secondary plant metabolites that may likely to cause toxicity may be absent from the extract or if present may only be present in very minute non-toxic levels.
ACKNOWLEDGEMENT
We are highly thankful to University Grants Commission for financial assistance. The facilities provided by the Department of Pharmaceutical Sciences University of Kashmir for carrying out this work also need appreciation.
CONFLICT OF INTEREST
We declare that we have no conflict of interest
REFERENCES