1Department of Pharmacology, P Ramy Reddy college of Pharmacy. Kadapa, A. P, 2Professor and Principal, CES college of Pharmacy. Kurnool, A. P, 3Professor and Head, Department of Chemistry, JNTUA, Anantpur, A. P.
Email: rupeshkanhere@rediffmail.com
Received: 01 Dec 2014 Revised and Accepted: 28 Dec 2014
ABSTRACT
Objective: Evaluation of anti-diabetic potential ofIxorapavetta in streptozotocin induced diabetic rats
Methods: Diabetes was induced by thesingle dose of streptozotocin (65 mg/kg body weight i. p.) to female Wistarrats. Diabetic rats were stabilized for six day and from seventh day butenolic fraction of Ixorapavetta(BIP) was administered at a dose of 250 mg/kg, p. o. and 500 mg/kg for 3 weeks. Glibenclamide 10 mg/kg P. O. was used as a standard. The effects of BIP and standard drug on following parameters were recorded - body weight, blood glucose and various biochemical parameters like serum lipid profile eg. total cholesterol (TC) and triglyceride (TG), HDL-C, LDL-C and VLDL. At the end of the study oxidative stress markers like CAT, GSH, and lipid peroxidation were analyzed in the pancreases. Histopathological changes were studied in pancreases of representative animals of the each group.
Results: Administration of butenolic fractionof Ixorapavetta(BIP) at a dose of 250 mg/kg, p. o. and 500 mg/kg, p. o did not show any significant change in blood glucose level of normoglycemic rats, whereas, oral glucose tolerance test depicted significant (P<0.001) reduction in blood glucose level at 30 to 60 min. In streptozotocininduced diabetic rats, BIP was found significantly beneficial in controlling elevated blood glucose level and serum lipid parameters. The findings were strengthening by improved antioxidant status in diabetic rats as well as protection towards pathological damage of pancreases. The results showed by 500 mg/kg of butenol fractionof Ixorapavettawere comparable with standard treatment of Glibenclamide 10 mg/kg.
Conclusion: Butenolfractionof Ixorapavettapossessanti-diabetic action in streptozotocin induced diabetic rats.
Keywords: Ixorapavetta, Anti-diabetic, Streptozotocin, OGTT.
INTRODUCTION
Diabetes mellitus (DM) is a metabolic disorder resulting from a defect in insulin secretion, insulin action or both. Insulin deficiency in turn leads to chronic hyperglycemia with disturbances of carbohydrate, fat and protein metabolism [1]. The world prevalence of diabetes among adults is expected to be 6.4%, affecting 285 million adults. By 2030, the population of diabetic affected adults is expected to 439 million adults. There will be a 69% increase in numbers of adults with diabetes in developing countries and a 20% increase in developed countries [2]. As the disease progresses tissue or vascular damage ensues leading to severe diabetic complications such as retinopathy, neuropathy, nephropathy, cardiovascular complications, and ulceration. Thus, diabetes covers a wide range of heterogeneous diseases [3]. Among the two major types of diabetes, i. e. type 1 and type 2, type 2 DM is the commonest form of diabetes constituting 90%-95% of the diabetic population. It was also documented that the number of people diagnosed with type 2 DM globally is estimated to be at 2%-3% of the world population and is rising at a rate of 4%-5% [4]. Drugs are used primarily to save the life and alleviate symptoms and secondary aims are to prevent long-term diabetic complications. Use of Oral hypoglycemic agents and diet as well as lifestyle modifications, are considered the cornerstone of the treatment and management of type 2 DM. yntheticantidiabetic agents may induce serious side effects thus are not suitable for use during pregnancy. In view of the adverse effects associated with the synthetic drugs, conventional antidiabetic plants exploration has aroused wide interest among researchers [5]. There are more than 1200 plants species worldwide that are used in the treatment of diabetes mellitus and a substantial number of plants have shown effective hypoglycemic activity after laboratory testing [6]. The use of herbal medicine is becoming popular due to toxicity and side effects of allopathic medicines. Medicinal plants play an important role in the development of potent therapeutic agents. There are over 1.5 million practitioners of traditional medicinal system using medicinal plants in preventive, promotional and curative applications [7].
The plant, IxorapavettaAndr is reported for presence of various phytochemicals like essential oil, flavonoids, saponins, resins, phytosterols, alkaloids, tannins. Due to presence of these phytochemicals, various parts of plants like flowers, root and leaves are claimed to have medicinal benefits in various disorders like such as dysentery, leucorrhoea, dysmenorrhea, haemoptysis bitter tonic, aperients, purgative, urinary disorders and is frequently prescribed in visceral obstructions [8, 9]. The earlier biological screening done by several researchers indicates the antimicrobial [10], antioxidant [11], antiulcer [12], analgesic & anti-inflammatory [13] and anti- obesity potential [14] of various parts Ixorapavetta.
However, effect of Ixorapavetta or its phytoconstituents have not reported for anti-diabetic effect. In the present study, the diabetic effects of Ixorapavetta was investigated in streptozotocin-induced diabetic rats by measuring changes body weight, blood glucose and various biochemical parameters like serum lipid profile, oxidative stress markers as well as histopathological studies.
MATERIALS AND METHODS
Collection of plant material, extraction, and fractionation
Leaves of Ixorapavetta was obtained from the local area of Kadapa & authenticated by Sri Madhava Chetty, Dept of Botany, S. V University, Tirupati, (A. P). The specimen voucher of same is kept in the department of pharmacology, PRRM Collage of Pharmacy, Kadapa.
The collected plant material of Ixorapavetta was washed thoroughly with water, and air dried for two weeks. The 500 gm of air dried and coarsely powdered material of plants were extracted with 95% of ethanol by cold maceration method for 72 hrs. Then the extract was filtered through muslin cloth and the filtrate was evaporated under reduced pressure and vacuum dried. This yielded a greenish residue of 20- 25% W/W extract with reference to dry starting material. Further this alcoholic extract was fractioned by successive solvent fractionation method by using non-polar solvents to polar solvents system (Pet ether – Chloroform - Ethyl acetate–n Butenol) and all fractions were tested for preliminary phytochemical tests. Butenol fraction of the plant showed presence of maximum reported phytochemicals and hence this fraction is labeled as Butenol fraction of Ixorapavetta (BIP)
Experimental animals
Healthy adult female albino rats were procured from Raghavendraenterprises, Bangalore weighing between 150-250 gm. They were housed under standard laboratory conditions and food and water were provided ad libitum. The temperature was kept at 22 ± 2º c. The animals were maintained under a 12 h light / 12 h darkness cycle. All animal procedures were approved by the Institutional Animal Ethical Committee of P. Rami Reddy memorial college of pharmacy, Kadapa (Ref No: 1423/PO/a/ 11/CPCSEA/001).
Chemicals
Streptozotocin was purchased from Sigma-Aldrich India. The streptozotocin solution was prepared by freshly dissolving in citrate buffer (0.01 M, pH 4.5). Standard kits for biochemical analysis were purchased from Erba diagnostics. All other chemicals were procured from SD fine chemicals Ltd. India andwere of analytical grade.
Acute toxicity study and gross behavior [15]
Acute toxicity study was performed according to Organisation for Economic Co-operation and Development guidelines. Two groups of rats (n = 3 in each group) were taken for the study. One group was treated with BIP separately 5000 mg/kg p. o. Another group was treated as a control group (administered with vehicle 1% CMC). After oral ingestion animals are observed continuously for 2 h under the following profiles like alertness, restlessness, irritability, fearfulness spontaneous activity, reactivity, touch response, pain response, defecation, and urination. After periods of 24 and 72 h, animals were observed for signs of lethality or for death
Experimental design [4, 6]
Normoglycemic study
Fasted normal rats were divided into 4 groups consisting of 6 animals in each group. Group I rats received vehicle only. Group II and III rats received Butenol fractionof Ixorapavetta(BIP) at the doses of 250 and 500 mg/kg, p. o. suspended in CMC (1 % w/v) in a single dose. Group IV received Glibenclamide (10 mg/kg, p. o.) as standard drug dissolved in distilled water. Blood samples were collected by retro-orbital puncture method just prior to and at 2, 4 and 6 h after dosing and glucose were estimated
Oral glucose tolerance test
Overnight fasted animals were separated into 4 groups of 6 rats each. Animals of all groups were administered with glucose (2 g/kg) orally by means of gastric intubation. Animal in group second and third were treated orally with Butenol fraction of Ixorapavetta(BIP) at a dose of 250 and 500 mg/kg, p. o. respectively and group fourth (positive control) treated with glibenclamide (10 mg/kg), 30 min before the oral administration of glucose orally. Control animals were administered with an equal volume of vehicle only. Blood sample were withdrawn from the retro-orbital plexus of eye of each animals just after oral glucose administration (0, 30, 60, 90 and 120 min) after glucose challenge for determination of blood glucose levels.
Anti-diabetic activity
Induction of diabetes
Diabetes was induced in overnight fasted rats by single intra peritoneal injection (i. p.) of streptozotocin (STZ) (65 mg/kg) prepared in citrate buffer pH 4.5. Rats with marked hyperglycemia (fasted blood glucose level greater than 200 mg/dL) after one week of administration of STZ were selected and used for the study. Animals were randomised based on blood glucose level and grouped into 5 groups of 6 rats in each as follows.
| S. No. | Groups | Treatment |
| I | Normal Control | Un induced normal rats treated with Vehicle only (1 % CMC) (p. o.) |
| II | Diabetic Control | Diabetic rats treated with Vehicle only (1 % CMC) (p. o.) |
| III | Low dose | Diabetic rats treated with BIP at dose of 250 mg/kg, p. o. |
| IV | High dose | Diabetic rats treated with BIP at dose of 500 mg/kg, p. o. |
| V | Standard | Diabetic rats treated with Glibenclamide 10 mg/kg (p. o.) |
The drugs were administered up to 21 days. The day of randomization and first dose administration was considered as Day 0. Blood was collected from by retro-orbital plexus of eye under light ether anesthesia and fasting blood glucose levels were determined by glucose oxidase method on day 0th, 7th, 14th and 21st day. Body weights were monitored weekly once. On 21st day, all rats were euthanized and blood sample was collected from the retro-orbital plexus into fresh centrifuge tubes without any anticoagulant and centrifuged at 2,500 rpm for 15 min to obtain serum. Serum samples were stored at -20°C until utilized for further biochemical parameterestimation. After blood collection, animals were decapitated and cut open to excise the pancreas. Pancreases were divided into two parts. First part was fixed in 10 % formalin and sent for histopathological studies. Another part of the pancreas was perfused with ice-cold saline (0.9% sodium chloride) and homogenized in chilled Phosphate buffer (PH-7.4) using a homogenizer. The homogenates were centrifuged at 800 rpm for 5 minutes at 4°C to separate the nuclear debris. The supernatant so obtained was centrifuged at 10,000 rpm for 20 minutes at 4°C to get the postmitochondrial supernatant which was used to assay catalase and lipid peroxidation and reduced glutathione activity.
Estimation of biochemical parameter and oxidative stress markers
Various biochemical parameter like serum glucose, total cholesterol (TC), HDL, Triglycerides (TG) were estimated by using Erba kit and semi auto analyzer (Maxlyzer, Avecon model no: NB-201). Other parameters like LDL, VLDL were calculated by using equitation-
Oxidative stress markers like Catalase was estimated by the method of Hugo E. Aebi method: hydrogen peroxide: hydrogen-peroxidoreductase[16]. Reduced glutathione was determined by the method of Moranet al., 1979[17]. Lipid peroxidation was determined by the method of Slater and Sawsyer et al., 1971[18].
Statistical analysis
Values were represented as Mean ± S. E. M. Two-ways ANOVA followed by Bonferroniposttest was performed for normoglycemic, oral glucose tolerance test, effect on body weight. One-way ANOVA followed by Tukey’s multiple comparison test was applied for the statistical analysis of the rest of parameters. GraphPad Prism (version 5) software was used for all statistical analysis. P values <0.05 were considered significant.
RESULTS
Effect of BIP in acute toxicity and gross behavior in rats
The rats treated with Butenol fraction of Ixorapavetta were well tolerated and exhibited normal behavior up to 5000 mg/kg orally. All animals were alert with normal grooming, touch response, pain response and there was no sign of passivity, stereotypy, and vocalization. There was no abnormal change in motor activity, secretary signs as well as their body weight and water intake during drug administration.
Effect of BIP on normoglycemic rats
In normoglycemic rats, BIP at both two doses ie. 250 and 500 mg/kg orally did not reduce the plasma glucose levels in rats. However, the rats treated with glibenclamide 10 mg/kg showed a reduction in glucose level (P<0.01) at 6 hr post administration. (fig. 1)

Fig. 1: It shows the effect of BIP250 mg/kg and 500 mg/kg on Normoglycemic rats. Values were represented as Mean ± S. E. M. *P<0.01 compared to normal control (Two-way ANOVA followed by Bonferroniposttest)
Effect of BIP on oral glucose tolerant test (OGTT)
Administration of BIP at both doses 250 and 500 mg/kg orally half an hour prior to glucose load showed improved glucose tolerance in normal rats. Maximum effect was observed at 30 min after the glucose load in rat treated with BIP 250 mg/kg (P<0.001) while in case of BIP 500 mg/kg, maximum effect was observed 30-60 min after glucose load (P<0.001). Glibenclamide (10 mg/kg) showed a significant (P<0.001) decrease in plasma glucose levels up to 90 mins. (fig. 2)

Fig. 2: It shows the effect of BIP 250 mg/kg and 500 mg/kg on oral glucose tolerance test. Values were represented as Mean ± S. E. M. *P<0.05, ***P<0.001 compared to normal control (Two-way ANOVA followed by Bonferroniposttest)
Effect of BIP on body weights of diabetic rats
The body weight of each group was recorded once a week throughout the study period. The results obtained were shown as Mean ± SEM in fig. No 3.
Diabetic control animals showed significant (P<0.001) decrease in body weight throughout the experimental period as compared un induced normal control. BIP showed dose-dependent recovery of decreased body weight in diabetic rats. BIP 500 mg/kg treatment animals showed significant body weight recovery on Day 14 (P<0.05) and Day 21 (P<0.01) as compared to diabetic rats. Even though body weight gain was observed with BIP 250 mg/kg treatment, results were not significant. Glibenclamide 10 mg/kg treatment offered comparable protection to body weight loss in diabetic rats.

Fig. 3: It shows the effect of BIP 250 mg/kg and 500 mg/kg on Body weights of Diabetic Rats.
Values were represented as Mean ± SEM *P<0.05, **P<0.01 compared to Diabetic control; ###P<0.001 compared to un-induced normal control. (Two-way ANOVA followed by Bonferronipost test)
Effect of BIP on blood glucose of diabetic rats
Serum glucose was estimated on Day 0, 7, 14 and 21 by using Erba glucose kit. The results obtained were shown as Mean ± SEM in fig. No 4 (A-D).
On Day 0, Blood glucose level of the all diabetes induced group was found to be the groups 362-365 mg/dl and was significant (p<0.001) over un-induced normal control. It represents uniform randomization of diabetic animals across the experimental group at the start of the study. BIPtreatments at 250 mg/kg and 500 mg/kg showed dose-dependent reduction of elevated blood glucose level. BIP 250 mg/kg showed significant reduction on day 14 (P<0.05) and Day 21(P< 0.01) while BIP 500 mg/kg treatment showed significant(P<0.001) reduction of blood glucose on Day 7, on Day 14 and on Day 21. Blood glucose reduction by standard drug Glibenclamide 10 mg/kg was significant (P<0.001) on all the days.


Fig. 4 A-D: It shows the effect of BIP 250 mg/kg and 500 mg/kg blood glucose of diabetic rats.
Values were represented as Mean ± S. E. M, A: Blood glucose level on Day 0; ***P<0.001compared to un-induced normal control, B: Blood glucose level on Day 7; ***P<0.001compared to Diabetic control, C: Blood glucose level on Day 14; *P<0.05, ***P<0.001compared to Diabetic control, D: Blood glucose level on Day 21; **P<0.01, ***P<0.001compared to Diabetic control.(One-way ANOVA followed by Dunnett’s multiple comparisontest)
Effect of BIP on lipid profile
Serum lipid profilewas estimated by using Erba kit. The results obtained were shown as Mean ± SEM in table no 1. The diabetic control animals showed the significant increase(P<0.0001) in lipid parameters like Total Cholesterol (TC), Triglycerides (TG), VLDL andLDL level when compared to the normal un-induced group animals. HDL level of diabetic control animals were found be significantly decreased (P<0.01) as compared to the normal un-inducedgroup animals. BIP treatment reversed the diabetes induced hyperlipidemia. BIP 500 mg/kg treatment resulted in thesignificant reduction (P<0.0001) of TC, TG, VLDL and LDL Cholesterol as well as asignificant increase (P<0.05) of HDL. Standard drug treatment i. eGlibenclamide 10 mg/kg showed significant improvement in all parameters which were comparable to results shown by high dose treatment of BIP.
Table 1: It shows the effect of BIP 250 mg/kg and 500 mg/kg on Lipid profile like Total Cholesterol (mg/dl), Triglyceride (mg/dl), HDL-C (mg/dl), LDL-C (mg/dl) and VLDL (mg/dl)
| Group | Treatment | TC(mg/dl) | TG(mg/dl) | HDL –C(mg/dl) | LDL-C(mg/dl) | VLDL(mg/dl) |
| I | Un-Induced Control | 86.17 ± 6.19 | 83.33 ± 6.46 | 37.83 ± 2.43 | 31.67 ± 6.63 | 16.67 ± 1.29 |
| II | Diabetic Control | 169.40 ± 11.47#### | 194.80 ± 18.07#### | 24.20 ± 2.63## | 106.24 ± 11.87#### | 38.96 ± 3.61#### |
| III | BIP 250 mg/kg | 142.17 ± 9.64 | 141.50 ± 12.13* | 29.50 ± 1.88 | 84.37 ± 11.04 | 28.30 ± 2.43* |
| IV | BIP 500 mg/kg | 103.00 ± 8.61*** | 112.67 ±9.34*** | 34.33 ± 3.84* | 46.13 ± 7.74*** | 22.53 ± 1.87*** |
| V | Glibenclamide10 mg/kg | 98.17 ± 6.87*** | 96.17 ± 9.71*** | 36.33 ± 2.36** | 42.60 ± 8.16*** | 19.23 ± 1.94*** |
Values were represented as Mean ± SEM. *P<0.05, **P<0.01, ***P<0.001 compared to Diabetic control; ##P<0.01, ####P<0.0001 compared to un-induced normal control.(One-way ANOVA followed by Dunnett’s multiple comparison test)
Effect of BIP on Oxidative stress Markers
Effect of BIP on oxidative stress markers like enzymatic activity (CAT), non- enzymatic activity (GSH) and Lipid peroxidation (TBARS) of the pancreatic homogenate were summarized in table 2. The significant (P< 0.001) decrease of CAT and GSH level and assign ificant increase of TBARS (P<0.001) level was observed in the diabetic control animals as compared to un-induced normal control. This indicates oxidative stress in the pancreases due to the diabetic condition. 21 days treatment of Glibenclimade and BIP to diabetic rats reversed these changes. The results with BIP 500 mg/kg treatment resulted in significant (P<0.05) improvement of CAT, GSH and TBARS level as compared to diabetic control animals.
Table 2: It shows the effect of BIP 250 mg/kg and 500 mg/kg on oxidative stress markers like CAT (µ mol. H2O2 consumed/min/mg protein), TBARS (n mol/mg protein) and GSH (µgram /mg tissue)
| Group | Treatment | CAT(µ mol. H2O2 consumed/min/mg protein) | TBARS(n mol/mg protein) | GSH (µgram /mg tissue) |
| I | Un-Induced Control | 238.46 ± 23.18 | 22.07 ± 2.03 | 4.67 ± 0.42 |
| II | Diabetic Control | 133.46 ± 13.19### | 51.00 ± 5.91### | 1.52 ± 0.27### |
| III | BIP 250 mg/kg | 166.76 ± 9.46 | 43.07 ± 5.50 | 1.90 ± 0.30 |
| IV | BIP 500 mg/kg | 206.05 ± 10.62* | 31.34 ± 1.66* | 3.08 ± 0.31* |
| V | Gliben 10 mg/kg | 215.18 ± 17.19** | 30.00 ± 5.36* | 4.20 ± 0.45*** |
Values were represented as mean ± SEM *P<0.05, **P<0.01, ***P<0.001 compared to Diabetic control; ###P<0.001 compared to un-induced normal control.(One-way ANOVA followed by Dunnett’s multiple comparison test)
Histo-pathological Report
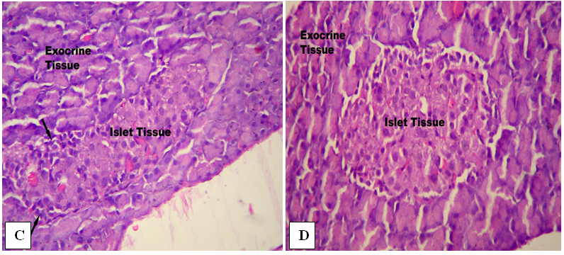
The representative animal from each group was sent for detailed histopathological examination and results are shown in fig. 5 (A-E)



Fig. 5 A-E: It shows the protective effect of BIP 250 mg/kg and 500 mg/kg towards Histopathological Changes in pancreases
A: Pancreas of un induced Normal rat. Pancreas of rat from uninduced Control Group is showing a normal architecture of the pancreatic tissue. There is no lymphocytic infiltration seen in or around the Islet, B: Pancreas of Diabetic Control rat. Pancreas from an STZ treated diabetic control group rat is only showing a small Islet with several lymphocytes seen in the peripheral portion of the Islet, C: Pancreas of rat administered BIP at a dose of 250 mg/kg b. w. also showing a relatively larger islet with several Insulin producing beta cells. Lymphocytic infiltration is seen at the upper and lower margins of one end of the Islet, D: Pancreas of rat administered BIP at a dose of 500 mg/kg b. w. showing a relatively larger islet with several Insulin producing beta cells. A single layer of lymphocytic infiltration is seen around the Islet cells, E: Pancreas from Glibenclamide 10 mg/kg Treatment Group. Pancreas of rat administered Glibenclamide 10 mg/kg b. w. is showing complete recovery form necrotic damage and large Islet. There is very less lymphocytic infiltration seen in or around the Islet
DISCUSSION
Streptozotocin is a nitrosourea compound produced by Streptomyces achromogenes, which specifically induces DNA strand breakage in β-cells causing diabetes mellitus. Therefore, streptozotocin has been widely employed to induce diabetes in experimental animals [6]. In this study, intraperitoneal administration ofstreptozotocin (65 mg/ kg) effectively induced diabetes in normal rats. Diabetes is reflected by glycosuria, hyperglycemia, polyphagia, polydipsia and body weight loss when compared to normal rats [19]. In diabetes, the increased blood sugar levels might be due to either insulin resistance of the body cells or decreased secretion of insulin from beta cells manifest in the decreased serum insulin levels. In this animal model, streptozotocin selectively destroys the pancreatic cells and induces hyperglycemia [6, 20].
The ability of BIP to effectively control increased blood glucose level in diabeticrats may be attributed to its antihyperglycemic effect as normoglycemic study revealed that BIP did not cause any reduction in blood glucose level. However, BIP was administered to glucose loaded normal fasted rats resulting in hypoglycemia which suggest that, animals treated with the extract have better glucose utilization capacity suggesting its mechanism being similar to biguanides. Biguanides do not increase insulin secretion. They promote tissue glucose uptake and reduce hepatic glucose output, thereby producing antihyperglycemic effect and not hypoglycemic effect [21].
Loss of body weight in diabetic animals is one of the major characterizations. It is reported that the loss in body weight in diabetic animals is due to wasting of proteins due to unavailability of carbohydrates to utilize as energy sources [22]. In the present study untreated diabetic animals showed significant body weight loss throughout the study period. Treatment with BIP and glibenclamide showed significant improvement to body weight loss. The treatment with BIP, as well as glibenclamide, may result in the proper utilization of carbohydrates and responsible for improvement of body weight.
Hyperlipidemia is another complication of diabetes mellitus characterized by elevated levels of cholesterol, triglycerides, and other lipid profile. This increased lipid parameters may be results into diabetes-induced risk of coronary heart disease [23]. Increases serum lipid levels in diabetic Mellitus are may be due to inactivation of lipoprotein lipase enzyme. In normal circumstances, insulin activates the enzyme lipoprotein lipase which is responsible for hydrolysis of triglycerides.
However in diabetic stage, due to insulin deficiency this enzyme is not activated, and results into hyperlipidemia [4]. In the present study, BIP treatment restores the elevated lipid level to normal in diabetic rats indicating its hypolipidemic effect. These results are in accordance with our earlier work, where BIP showed a beneficial effect in high-fat diet-induced obesity model [14].
The increased concentration of lipid peroxidation due to hyperglycemia induces oxidative damage by increasing peroxy and hydroxyl radicals [24]. This oxidative stress leads to change in antioxidant status of the body and may responsible for further damage due to free radicals. The increase lipid peroxidation in diabetic animals can be observed as remarkable elevation in TBARS levels. BIP treatment at higher doses reduced elevated TBARS levels indicating protection towards lipid peroxidation. This finding is strengthening by observed increased levels of Catalase and GSH due to BIP treatment. The disturbance in antioxidant status of the body is characterized by decreased level of antioxidant enzymatic (SOD. CAT) and non-enzymatic (GSH) defense system.
The decrease in these antioxidants leads to excess availability of hydrogen peroxides and superoxide anion in the biological system, which generates hydroxyl radicals, resulting in initiation and propagation of lipid peroxidation. The results of increased activity of catalase and glutathione suggested that BIP possess free radical scavenging activity. Histopathological study finding of pancrease indicates that Diabetic animals showed small Islet with several lymphocytes seen in the peripheral portion of the Islet. On other hand, BIP treatment protects from islet destruction and reduces the lymphocytes infiltration.
CONCLUSION
In conclusion, the present study indicates that butenol fractionof Ixorapavetta(BIP)have significant antidiabetic activity in STZ induced diabetic mellitus. The antidiabetic activity may be due to improvement of glucose tolerance and utilization. Antioxidant potential of BIP may reduce the risk of secondary complication of diabetes. Phytochemical analysis of the butenol fractionof Ixorapavetta showed presence of flavanoids, phenolic compounds alkaloids and steroids. Several authors reported that alkaloids, flavonoids, steroids/terpenoids, phenolic compounds areknown to be bioactive antidiabetic principles. The observed antidiabetic activity of BIPmay be due tosynergistic effect of different classes of compounds. Further studies to understand actual underlying mechanism, as well as studies on isolation, and structural determination of active principles are in progress.
CONFLICT OF INTERESTS
Declared None
REFERENCES