1, 2*Department of Pharmacology, M. M. College of Pharmacy, M. M. University, Mullana, Ambala, (Haryana), India
Email: randhirsingh.dahiya@gmail.com
Received: 05 Dec 2014 Revised and Accepted: 01 Jan 2015
ABSTRACT
Objective: The present work was undertaken to evaluate the effect of Cassia auriculata leaves extract in high fat diet induced obesity in rats.
Methods: Male Wistar rats weighing 150-200 g were divided into orlistat standard, Normal control, HFD control & test groups (6 animals per group). All treatments were given orally, started after 6 weeks feeding with HFD (except normal control group) and continued for six weeks along with HFD. Weight gain, feed intake, BMI, Waist Hip Ratio, obesity index, lipid profile, blood glucose and body fat depots content were the parameters evaluated.
Results: The ethanolic extract of Cassia auriculata leaves at 200 and 400 mg/kg/orally (from the end of 6th week up to 12thweeks) showed reduction in weight gain, feed intake (GM) feed intake (k/Cal) BMI, WHRatio, obesity index and significant decrease in serum glucose, Triglyceride, Total cholesterol, LDL, VLDL and increase in HDL level, and also significantly decreased body fat depots and oxidative stress when compared to high fat diet control group.
Conclusion: It can be concluded that ethanolic Cassia auriculata leaves extracts exhibit significant anti obesity activity against high fat diet induced obesity model. We are reporting the anti obesity activity of the leaves, first time.
Keywords: Herbal treatment, Lipase inhibitor, Obesity, Oxidative Stress, Orlistat, Cassia auriculata, HFD.
INTRODUCTION
Obesity is a risk factor for the development of diseases such as type II diabetes, stroke, cardiovascular disease and certain forms of cancer. Obesity is caused by energy intake (by ingestion) exceeding energy expenditure (by the basal metabolic rate, diet-induced thermogenesis and exercise), with surplus energy stored in the form of fat. In industrialized countries, palatable high-fat foods are easily available. Obesity has been associated with both a preference and elevated consumptions of high-fat foods [1-3]. Furthermore, obese people are more responsive to the palatability of foods, as they were repeatedly found to consume more of palatable foods than healthy weight people [4]. The epidemic of obesity is becoming a global problem, inflicting considerable burden on the individual and society, through rising morbidity and mortality. The treatment of choice for obesity (behaviour weight loss treatment) only results in moderate and transient reduction in body weight [5]. Dieting and exercising to lose weight requires effort, willpower and persistence, making weight-reducing drugs an extremely attractive option, and most obesity prevention programs do not reduce risk for future weight gain [6]. The limited success of these interventions may be due to an incomplete understanding. The obesity epidemic has boosted the interest of the pharmaceutical industry in the development of anti-obesity drugs. The discovery of drugs that have entered the market for the treatment of obesity is characterized by serendipity. Fenfluramine and sibutramine were discovered during the search for new antidepressants, and rimonabant was developed for smoking cessation, among other indications. When it was discovered that these drugs reduce food intake and induce weight loss, the focus was turned towards the treatment of obesity [7-9]. Hence, there is a need to search for novel anti-obesity drug to tackle the obesity problem. Some recent studies have focused on the search for herbal extracts that can suppress weight gain and body fat accumulation induced by a high-fat diet with less significant side effects [10]. Natural products/ dietary photochemical have aroused considerable interest in recent years as potential therapeutic agents to counteract obesity. Out of a large number of plants in the Ayurvedic system of medicine, Cassia auriculata L. of family Caesalpiniaceae (called Tenner’s cassia/Mature tea tree in English and Tarwar in Hindi) is being widely used in Indian folk medicine for the treatment of diabetes mellitus [11].
Cassia auriculata Linn is distributed throughout hot deciduous forests of India and holds a very prestigious position in Ayurveda and Siddha systems of medicine. The leaves are alternate, stipulate, paripinnate compound, very numerous, closely placed, rachis 8.8-12.5 cm long, narrowly furrowed, slender. Compounds present in Cassia auriculata include an alkane-Nonacosane-6-one [12], Saponins [13] and tannins [14]. Cassia auriculata L. (Caesalpiniaceae) is a shrub that has attractive yellow flowers. Indigenous people use various parts of the plant for diabetes mellitus. It is widely used in ayurvedic medicine as a “Kalpa drug” which contains five parts of the shrub (roots, leaves, flowers, bark and unripe fruits) which are taken in equal quantity, dried and then powdered to give “Avarai Panchaga Choornam”, for the control of sugar levels and reduction of symptoms such as polyuria and thirst in diabetes [15]. The plant is used in the traditional system of medicine for urinary disorders, female infertility, leprosy, worm infestation, diarrhoea, disease of pittam; the bark is used in skin conditions; bark as an astringent; leaves, flowers and fruits as anthelmintic; seeds for eye troubles, diabetes [16-18]. Cassia auriculata has been shown to antiviral activity and antispasmodic activity [19]. Till date, only limited preliminary studies are available showing antihyperglycemic and/or hypolipidemic activity of Cassia auriculata. Pari and Latha [20] reported the effect of Cassia auriculata flowers on blood glucose and lipids in streptozotocin (STZ)-induced diabetic rats. The effect of hydro-ethanolic extract of Cassia auriculata leaves (CLEt) in lowering blood glucose was found in alloxan-induced diabetic rats by Sabu and Subburaju [21]. The hypolipidemic effect of Cassia auriculata leaves was reported in rats with alcoholic liver injury [22]. Thus, the available reports show that very little work has been done with respect to Cassia auriculata leaves, other than its hypoglycemic effects. In the present investigation, Cassia auriculata (L.) Roxb leaves were tested for their anti obesity and antioxidant efficacy.
MATERIALS AND METHODS
Plant material
Cassia auriculata leaves were obtained from Nagercoil, Tamilnadu, India. The plant was identified and authenticated by authenticated by Dr. Shiddamallayyan N from the National Ayurveda Dietetics Research Institute, Bangalore, where a voucher specimen is preserved for further reference.
Preparation of ethanol and aqueous extracts of Cassia auriculata leaves
Powdered Cassia auriculata leaves were placed in the thimble of Soxhlet apparatus and extraction was carried out by using ethanol as solvent for 72 h. The extracts were filtered; ethanol was distilled off using a rotary evaporator to remove excess solvent and used for anti obesity activity.
High fat diet-induced obesity
The male Wistar rats (150-200 g) were procured from animal house facility of Translam Institute of Pharmaceutical Education and Research, Meerut (U. P.), India and then housed in standard polypropylene cages and maintained under controlled room temperature (22±2°C) and humidity (55±5%) with 12 h light and 12 h dark cycle. All the rats were provided with commercially available rodent chow diet (Amrut rat feed, Nav Maharastra Chakan Oil Mills Ltd., Delhi, India) and tap water ad libitum. After 1 week of acclimatization with free access to rodent chow diet and water, animals were used in the study. The guidelines of the committee for the purpose of control and supervision of experiments on animals (CPCSEA), Government of India were followed and protocol was approved by the Institutional Animal Ethics Committee. Rats were fed with prepared HFD and water ad libitum for the period of 12 weeks. Composition of the experimental diet (g/kg diet) was according to the formula of Srinivasan et al. [23] with some modifications as shown in table 1.
Table 1
Composition of HFD |
|
Ingredients |
Diet (g/kg) |
Powdered NPD |
375 |
Lard |
290 |
Casein |
265 |
Corn oil |
10 |
Cholesterol |
10 |
Vitamin and mineral mix |
60 |
Dl-Methionine |
03 |
Yeast powder |
01 |
Sodium chloride |
01 |
Experimental design
In this study, a total of 30 rats was used and divided into five groups of 06 rats each
Group I: Normal Control rats were maintained on a standard chow diet and water ad libitum for twelve weeks. No treatment was given to these rats.
Group II: High Fat Diet Control rats were maintained on the high fat diet for twelve weeks to induce obesity.
Group III: Orlistat (Standard) (30 mg/kg/day p. o., 6 weeks) was administered to rats along with high fat diet at the end of the sixth week and continued up to the end of the twelve weeks.
Group IV-V: Ethanol extract of Cassia auriculata leaves (CaEe) (200 & 400 mg/kg/day p. o., 6 weeks) was administered to rats along with high fat diet at the end of the sixth week and continued up to the end of the twelve weeks.
All the drugs were administered by oral gavage once a day. Food intake was measured daily for the period of 12 weeks at the same time on per cage basis and the average food consumed were calculated. At the end of the experimental period (on 85th day), the animals were anesthetized with Diethyl ether, following overnight fasting. Blood was drawn by retro-orbital method into a tube and the serum was obtained by centrifugation. After collection of blood, rats were sacrificed; Retroperitoneal (RET), epididymal (EPI), mesenteric (MES) adipose tissue and liver were excised immediately, rinsed with phosphate buffer saline and weighed. The serum, liver and adipose tissue samples were stored at-70°C until analysis.
Morphological parameters to measure obesity
The body weights were determined once a week. Body mass index (BMI), WHR, Adiposity index, Obesity index was calculated from the formula:
Sample collection
At the end of the experimental period, all rats were sacrificed and blood samples were collected. Sera was separated and stored in aliquots at-20°C till used for estimation of lipid profile, including; total cholesterol, triglycerides, LDL-cholesterol, VLDL-cholesterol and HDL-cholesterol by enzymatic colorimetric methods using commercial kits. Then the abdomen was opened, liver and adipose tissues (Retroperitoneal, epididymal and mesenteric) were removed, washed three times with ice cold saline and blotted individually on an ash-free filter paper, used for preparation of tissue homogenates for estimating of tissue Malondialdehyde (MDA), superoxide dismutase (SOD), reduced glutathione (GSH) levels and for histological sections.
Biochemical estimation
Estimation of total cholesterol
Total serum cholesterol was estimated by using a Bayer Diagnostic kit (Bayer Diagnostic India Ltd).
Estimation of high density lipoprotein cholesterol
High-density lipoprotein cholesterol was estimated by using a Bayer diagnostic kit (Bayer Diagnostic India Ltd.).
Estimation of triglycerides
Triglyceride level was estimated by using Erba Diagnostics Manheim, Germany kit.
Estimation of Very Low Density Lipoprotein (VLDL) and Low Density Lipoprotein (LDL) Level
VLDL and LDL concentrations were calculated from the Friedewald equation [64]
VLDL Level
LDL Level
![]()
Estimation of serum glucose
Total serum glucose was estimated by the glucose-peroxidase method.
Methods for assessment of oxidative stress
Estimation of Malondialdehyde (MDA)
This method based on the formation of MDA as an end product of lipid per oxidation, which reacts with thiobarbituric acid producing thiobarbituric acid reactive substance (TBARS), a pink chromogen, which can be measured spectrophotometrically at 532 nm and MDA standard was used to construct a standard curve against which readings of the samples were plotted [26].
Estimation of Superoxide dismutase (SOD)
The SOD activity was spectrophotometrically measured using a modified version of the method developed by Marklund and Marklund [27]. Briefly, SOD activity was detected based on its ability to inhibit superoxide-mediated rejection. One unit of SOD activity was defined as the amount of enzyme that inhibited the oxidation of pyrogallol by 50% and was expressed as unit/g Hb and that from the tissue as unit/mg protein.
Estimation of Reduced glutathione (GSH)
The method is based on the reduction of 5, 5 dithiobis (2-nitrobenzoic acid) (DTNB) with reduced glutathione (GSH) to produce a yellow compound. The reduced chromogen is directly proportional to GSH concentration and its absorbance can be measured at 405 nm by using a commercial kit was used (Biodiagnostic, Egypt) [28].
Histopathological analysis
For histological examination adipose tissue was collected and fixed in 10% neutral buffered formalin, embedded in paraffin. Standard sections of 5 mm thickness were cut, which were then stained with haematoxylin and eosin, and examined by light microscopy.
Drugs and chemicals
Orlistat was obtained from Ranbaxy Research Labs, Gurgaon, India; all other reagents used in this study were of analytical grade.
Statistical analysis
Statistical evaluation of analytical data was done by Student’s t-test using the statistical software-GraphPad Prism 3.0. Data are expressed as the mean±standard error (SE). The biochemical data for random glucose, lipid profile and fat pad weights were statistically analysed using one-way analysis of variance (ANOVA) followed by Bonferroni multiple comparison test p<0.05, The effect of Cassia auriculata leaves ethanol extract on feed intake, body weight, BMI, and Obesity index at different time points were statistically analysed using repeated measure two way ANOVA followed by Bonferroni multiple comparison test p<0.05 was set to be statistically significant.
RESULTS
Morphological Parameters
Effect of Orlistat and ethanolic extracts of Cassia auriculata leaves (CaEe) on Body Weight, Body Mass Index (BMI), Waist Hip Ratio and Feed Intake of Rats
Obesity was induced in normal rats by feeding a high-fat diet for 12 weeks. The mean body weights of the five experimental groups were similar at the start of the experiment.
A significant increase in body weight, body mass index (BMI) and waist hip ratio along with a decrease in feed intake was observed in rats in the HFD control group after 12 weeks, as compared to a normal control group. On the other hand, treatment with standard drug Orlistat (30 mg/kg, p. o.) once daily for six weeks, significantly (p<0.05) decreased the body weight, BMI, waist hip ratio and feed intake as compared to HFD control group. Whereas, once daily treatment for six weeks with CaEe (200 & 400 mg/kg; p. o.), resulted in significant attenuation of body weight, BMI, waist hip ratio and feed intake as compared to HFD control group (fig. 1 & table 2).
Effect of Orlistat and CaEe on fat pad weights, total fat, obesity index and adiposity index of rats
The fat pad weights (Epididymal, Mesenteric, Retroperitoneal and Total fat) were significantly increased in HFD control rats, as compared to those of normal control rats. The once daily oral treatment of animals with standard drug (Orlistat) and CaEe (200 & 400 mg/kg, p. o.), for six weeks significantly (p<0.01) attenuated the fat pad weights, total fat, obesity index and adiposity index as compared to HFD control group (table2-3).

Fig. 1: Effect of various doses of Cassia auriculata leaves ethanol extracts on % body weight gain on Day 84.
All values are represented as mean±S. E; a = P<0.05vs Normal Chow Diet control, b = P<0.05vs HFD control
Biochemical Parameters
Effect of Orlistat and CaEe treatment on high fat diet induced changes in lipid profile of rats
The evaluation of serum lipid profile of rats was carried out for all groups. There was statistically significant (p<0.01) increase in total cholesterol (TC), triglycerides (TG) LDL & VLDL along with decreased high density lipoprotein (HDL) in the HFD control group, as compared to a normal control group. The once daily oral administration of Orlistat for six weeks along with HFD significantly decreased the levels of TC, TG, LDL & VLDL with an increase in HDL as compared to HFD control group. Also, the once daily treatment with CaEe (200 & 400 mg/kg, p. o.) for six weeks significantly attenuated the levels of TC, TG, LDL & VLDL with an increase in HDL as compared to HFD control group and compared to the standard drug (Orlistat) treatment (fig. 2).
Effect of Orlistat and CaEe on high fat diet induced changes in blood glucose level of rats
Random blood glucose levels were measured at the end of the study. Feeding with high fat diet for 12 weeks significantly increased the blood glucose level in the HFD control group as compared to a normal control group. Further, once daily per oral treatment with Orlistat (standard drug) 30 mg/kg for six weeks significantly decreased blood glucose level as compared to HFD control group. Also, treatment of animals with CaEe (200 & 400 mg/kg, p. o.), for six weeks shows significant (p<0.01) difference in blood glucose level, as compared to HFD control rats (fig. 2).
Oxidative stress assessment
Effect of Orlistat and CaEe on HFD Induced changes in MDA, SOD & GSH level of rats
A significant (p<0.05) decrease in reduced glutathione (GSH), superoxide dismutase (SOD) and along with increased malondialdehyde (MDA) in the HFD control group, as compared to a normal control group. The once daily oral administration of Orlistat for six weeks along with HFD significantly increased the levels of GSH and SOD with a decrease in MDA when compared to HFD control group. Also, the once daily treatment with CaEe (200 & 400 mg/kg, p. o.), for six weeks significantly attenuated the levels of GSH and SOD with a decrease in MDA (p<0.05) as compared to HFD control group and compared to the standard drug (Orlistat) treatment (table 4).
Table 2: Effect of various doses of Cassia auriculata leaves ethanol extracts on HFD-induced changes on BMI, feed intake in kilocalories (Kcal) and in gram, WHRatio, obesity index, adiposity index (%) on Day 84
Para |
Normal Chow Diet Control |
High Fat Diet Control |
Orlistat 30 |
Cassia auriculata Ethanol extract |
|
200 mg/kg |
400 mg/kg |
||||
BMI |
1.13±0.087 |
1.57±0.10a |
0.98±0.08b |
1.36±0.16b |
1.19±0.19b |
Feed Intake (gm) |
21.66±6.31 |
17.18±2.88a |
4.17±1.47b |
14.00±2.10b |
7.73±0.95b |
Feed intake (Kcal) |
78±22.74 |
61.86±4.83a |
15.0±5.29b |
50.4±7.55b |
27.84±3.42b |
WHRatio |
0.84±0.023 |
1.09±0.016a |
0.92±0.43b |
1.02±0.05b |
0.94±0.042b |
Obesity Index |
345.9±8.07 |
368.5±6.06a |
333.7±3.17b |
345.4±7.9b |
331.9±4.08b |
Adiposity Index (%) |
2.68±0.08 |
5.00±0.20a |
2.89±0.23b |
4.45±0.28b |
3.40±0.20b |
All values are represented as mean±S. E; a = p<0.05vs Normal Chow Diet control, b = p<0.05vs HFD control.
Table 3: Effect of various doses of Cassia auriculata leaves ethanol extracts on HFD-induced changes on various fat pads on Day 84.
Para meter |
Normal Chow Diet Control |
High Fat Diet Control |
Orlistat 30 |
Cassia auriculata Ethanol extract |
|
200 mg/kg |
400 mg/kg |
||||
Epididymal Fat (gm) |
2.83±0.49 |
7.4±0.62a |
2.75±0.69b |
6.23±1.19b |
3.73±1.14b |
Retroperitonial Fat (gm) |
1.26±0.54 |
4.26±0.65a |
1.22±0.65b |
3.11±0.79b |
1.88±0.35b |
Mesenteric Fat (gm) |
2.86±0.25 |
7.06±0.55a |
2.67±0.52b |
4.88±0.73b |
3.30±0.93b |
Total Fat (gm) |
6.97±0.49 |
18.75±1.34a |
6.63±1.44b |
14.23±1.95b |
8.41±1.08b |
All values are represented as mean±S. E; a = p<0.01vs Normal Chow Diet control, b = p<0.01vs HFD control.
DISCUSSION
Obesity is considered to be a disorder of energy balance, occurring when energy expenditure is no longer in equilibrium with daily energy intake, so as to ensure body weight homeostasis [29]. Although the aetiology of obesity is complex, dietary factors, particularly the consumption of an HFD, is considered a risk factor for its development [30]. Cassia auriculata, a traditionally well known medicinal plant has shown diverse biological activities and pharmacological functions, including reduction of blood glucose and serum lipids [31]. It has long been used to treat diabetes mellitus [31-34] renal injury [35] and related antiperoxidative efficacy [36-37]. Its leaf extracts are found to be effective against alcoholic liver injury [38] and cancer [39]. Various parts of the plant have also been shown to act against leprosy, asthma, gout, rheumatism and diabetes [35, 40-41]. Although phytochemical analysis of the plant has shown several active constituents with antioxidant activity [31-32, 42-43], the studies on the anti obesity activity of the plant are lacking. In the present study, we have evaluated the anti obesity activity of CaEe in HFD-induced obese rats. Obesity was induced by feeding HFD for a period of 12 weeks. It is well established that fat over-consumption lead to obesity in a number of animal models including rats [44]. The current results showed that body weight increased significantly in the HFD group compared with the normal group (fig. 1), a result, in accordance with that of ankur et al 2014 [45]; this is associated with increased food intake. It is a well known that HFD elevates TC and TG in blood by altering the hepatic lipid metabolism [46]. This HFD model has been used as a screening method for anti obesity activity and also for elucidating lipid metabolism [47]. CaEe exhibited anti obesity activity in a dose-dependent manner and the maximum effect was observed at 400 mg/kg b. wt. Consumption of the HFD led to obesity because it facilitates the development of a positive energy balance leading to an increase in visceral fat deposition; this led to abdominal obesity in particular. Moreover, Schrauwen-Hinderling et al [48] found that HFD feeding is accompanied by molecular adaptations that favours fat storage in muscle rather than oxidation. In the current study, rats fed HFD consumed considerably more food than the control rats throughout the experiment (table 2 and fig. 1). So their caloric intake was increased (table no. 2) and they showed a large increase in perennial visceral adipose tissue mass (table 3), suggesting that the excess energy led to the buildup of adiposity.
This is the source of the increase in body weight. Rat is consuming the high fat diet actually received about more kilocalories, more weight, and had larger fat pads than rats fed only chow. Our results showed a significant decrease in food intake, whole body weight, and adipose tissue accumulation from oral administration of CaEe 400 mg/kg b. wt. (tables 2 & 3).
Table 4: Effect of various doses of Cassia auriculata leaves ethanol extracts on HFD-induced changes on antioxidant enzyme activities on Day 84
Para meter |
Normal chow diet control |
High fat diet control |
Orlistat 30 |
Cassia auriculata ethanol extract |
|
200 |
400 |
||||
MDA (nmol/g protein) |
23.02±0.88 |
32.68±2.11a |
24.43±0.65b |
28.06±1.33b |
25.05±0.98b |
GSH (µg/mg protein) |
30.07±3.86 |
12.26±1.28a |
28.67±2.14b |
18.95±1.56b |
24.64±1.65b |
SOD (unit/mg protein) |
7.54±0.17 |
5.48±0.04a |
6.86±0.12b |
5.66±0.54b |
6.13±0.43b |
All values are represented as mean±S. E; a = p<0.05vs Normal Chow Diet control, b = p<0.005vs HFD control.
The decrease in the weight may due to decrease fat pad mass by reducing the formation of new adipocyte from precursor cells (adipocyte differentiation) or decreased adipocyte size due to fat storage (adipocyte hypertrophy) [49]. It has earlier been reported that the relative weight of the total visceral fat-depots (epididymal, mesenteric, and retroperitoneal) of the rats fed the HFD was significantly greater than the ND rats [50-53]. Therefore, three adipose tissues (epididymal, retroperitoneal, mesenteric fat depots) were weighed in the present study as an index of adiposity and size of adipose tissue was examined histologically using the light microscope. It is reported that high-fat diet promotes hyperglycaemia and whole-body insulin resistance [54-55]. In the present study there was a significant increase in serum glucose level in the HFD fed rats as compared to normal diet fed rats. We observed that obese rats showed hyperglycaemia, accompanied by dyslipidemia [56-57], ie. characterized by an increase in TC, LDL, VLDL, TG and fall in HDL. CaEe decreases blood glucose the reason may be leaves contain more constituents such as alkaloids, steroids & tannins. As per literature alkaloids, steroids & tannins known to reduce blood glucose level [58]. Serum TC, TG, LDL and VLDL levels were decreased significantly (p<0.01) in CaEe treated obese rats (fig. 2) via decreased synthesis of triglycerides by the liver or by inhibition of triglyceride release from the liver accompanied by increased levels of HDL.

Fig. 2: Effect of various doses of Cassia auriculata leaves ethanol extracts on HFD-induced changes on random serum glucose and lipid profile on Day 84. All values are represented as mean±S. E; a = P<0.01vs Normal Chow Diet control, b = P<0.01vs
HFD control. HFD-High Fat Diet, GLU-glucose, TC-total cholesterol, TG-triglyceride, HDL-High Density Lipoprotein, LDL-Low Density Lipoprotein, VLDL-Very Low Density Lipoprotein
Treatment with CaEe significantly (p<0.01) decreased the serum TC at a dose of 400 mg/kg b. wt. Most of the antiobesity drugs do not decrease TG level, however, interestingly, we observed a significant reduction of the TG level after treatment with CaEe. Among the lipoproteins, LDL & VLDL plays a crucial role in the development of atherosclerotic lesions, progress of fatty steaks and ulcerated plaques [59-60]. In the present study, LDL & VLDL level decreased and the serum HDLcholesterol level increased after administration of CaEe. It is well known that an increase in HDL is beneficial in hyperlipidemic conditions [61]. HDL exerts an antiatherogenic effect by counteracting LDL & VLDL oxidation and facilitating the translocation of cholesterol from peripheral tissue like arterial walls to liver for catabolism [62]. Thus, combined reduction of TC, TG, LDL & VLDL reduces the fat mass of obese rats. Treatment with CaEe fraction in normal rats did not exert any changes in the lipid profile. Our results clearly showed that CaEe possessed antiobesity activity.
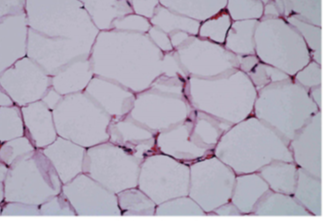
HFD generates oxidative stress in obese rats as shown by a marked increase in the levels of MDA and a distinct diminution in hepatic GSH, as well as SOD. All showed reduced activity in obese rats (table 4). Our results indicated that CaEe produced a significant inhibition of MDA production and a significant increase in GSH and SOD (table 4). CaEe reduces significantly the content of thiobarbituric acid reactive substances (TBARS), and causes a marked increase in activity of catalase in obese rats [63]. The beneficial effect of high dose of CaEe in preventing the high fat diet induced body weight gain has been observed to be almost similar to the effect produced by orlistat, well reported pancreatic lipase inhibitor. Moreover, our histological examinations revealed that the sizes of the adipocytes were significantly reduced in CaEe treated rats (fig. 3). However, CaEe supplementation noticeably attenuated the extent of steatosis, suggesting that CaEe may regulate lipid storage and mobilization in adipocytes.
![]() |
![]() |
| Normal Control | HFD Control |
![]() |
![]() |
| Orlistat (30mg/kg) | CaEe (200mg/kg) |
![]() |
|
| CaEe (400mg/kg) |
Fig. 3: Effect of CaEe (200 & 400 mg/kg, p. o.), on adipose tissue of HFD fed Rats (Magnification-40x)
CONCLUSION
Literature proves substantial progress that links obesity with crude extracts and bioactive scaffolds from edible and medicinal plants. Till date, there are numerous reports for the anti-obesity activity of the different parts and different extracts of Cassia auriculata. In continuing our focus on anti obesity potential of Cassia auriculata leaves, in this study, we have observed the antiobesity effect of ethanol extract of Cassia auriculata leaves.
ABBREVIATION
NC-Normal control, CaEe-Cassia auriculata ethanol extract, HFD-High Fat Diet, b. w-Body weight, p. o.-Per oral, gm/kg-Gram per kilogram,
CONFLICT OF INTERESTS
Declared None
REFERENCES