Int J Pharm Pharm Sci, Vol 7, Issue 3, 118-122Original Article


EVALUATION OF ANTI-THYROID ACTIVITY OF FICUS RACEMOSA LINN BARK IN MALE RATS

MOHAMMED AZHARUDDIN*1, MOHAMMED ATIF2, MOHAMMED IBRAHIM AHMED2,
SYED ASADULLA BAKHTIARY1, MOHAMMED IBRAHIM1

1Nizam Institute of Pharmacy, Deshmukhi, Nalgonda, Telangana 508284, 2Shadan College of Pharmacy, Peerancheru, Hyderabad, Telangana 500008
Email: azharpharma2014@gmail.com

Received: 07 Dec 2014 Revised and Accepted: 27 Dec 2014


ABSTRACT

Objective: The present study was formulated in order to evaluate the Antithyroid potential of Ficus racemosa Linn bark in Albino rats.

Methods: Ficus racemosa (L.) (Family: Moraceae), is used in the mythical system for abortion, diabetes and urinary disorders. The genus of Ficus exhibited the presence of tyrosine which is responsible for the formation of T3 and T4 hormones. Hyperthyroidism was induced in experimental rats by administering Thyroxine (600µ/kg/ml) orally for 14 days. Hyper thyroid male albino rats weighing 150-200 g were treated with oral doses of 250 mg/kg, 350 mg/kg and 450 mg/kg of Ficus racemosa ethanolic extract for a period of 21 days. Methimazole 0.04% w/v for 21 days served as the standard.

Results: In this study, morphological assessment demonstrated that thyroxine treated gathering demonstrates increased levels of Triiodo-L-thyronine and L-thyroxine. Simultaneous administration of ethanolic extracts of Ficus racemosa bark lowered the increased levels. The decrease in the levels of T3 and T4 by the extracts was compared with the reference drug Methimazole.

Conclusion: The Antithyroid activity is evident from the decreased T3 and T4 levels. It can be said that Ficus racemosa significantly by virtue of the presence of tyrosine, which may be useful for further molecular studies to determine the exact mechanism for its Antithyroid activity.

Keywords: Thyroxine, Hyperthyroidism, Ficus racemosa, Ethanolic extract.


INTRODUCTION

Herbal medicines have as of late pulled in much consideration as option prescription valuable for treatment and anticipation of way of life related disorder [1]. Nonetheless, moderately almost no information is accessible about their mode of activity and security. The most punctual recorded utilization of herbal cures originates from Hippocrates, who bolstered utilization of straightforward plants, for example, garlic, neem [2].

L-thyroxine (T4 or tetraiodo-L-thyronine) and liothyronine (T3 or triiodo-L-thyronine) are the regular hormones of the thyroid organ. T4 is a less dynamic forerunner of T3/ which is the real arbiter of physiological impact.

Hypothyroidism is a state in which the thyroid organ does not make enough thyroid hormone. Iodine insufficiency is frequently referred to as the most well-known reason for hypothyroidism overall however it can be brought about by numerous different variables. It can come about because of the absence of a thyroid organ or from iodine-131 treatment, and can likewise be connected with expanded anxiety. Serious hypothyroidism in babies can bring about cretinism. A 2011 studies concluded that about 8% of women over 50 and men over 65 in the UK suffer from an under-active thyroid and that as many as 100,000 of these people could benefit from treatment they are currently not receiving [3].

The pervasiveness of underactive thyroid extents from 1-2% in territories with sufficient iodine supply to 4-5% in regions with deficient iodine supply [4]. It is more regular in ladies than in men and event climbs with age. By the age of 60, 17% of the ladies and 9% of men experience the ill effects of an underactive thyroid [5].

The plant parts like leaves are used as an Antioxidant [6], Anti-inflammatory [7] and in Hypoglycemia [8]. In spite of the way that step by step home grown medications are picking up much vitality for their reasonable and safe nature, investigative examinations towards the alleviation of thyroid issue by the plant concentrates are small [9]. As the Ficus species has showed the presence of tyrosine the endeavor of the present study was to try and figure out a plant concentrate that can manage the levels of both the thyroid hormones (T3 and T4).

MATERIALS AND METHODS

Preparation of drug solution

Ethanolic extract of Ficus racemosa bark was prepared using Dimethyl sulphoxide (DMSO) {as it is highly miscible with the ethanolic extract of the plant} for oral administration. The concentrations of extract selected were 250mg/kg, 350mg/kg and 450mg/kg body weights.

Collection and authentication of the plant material

Bark of Ficus racemosa commonly known as Ambar (Hindi), Gular (Sanskrit), Arri (Telugu), Cluster Fig, Cluster Tree (English) and the plant was checked for data in www. plantlist. org with the following statement (This name is accepted name of a species in the genus Ficus (family Moraceae). The record derives from WCSP (in review) which reports it as an accepted name with original publication details: Sp. Pl. 636 1753. The barks of Ficus racemosa were procured from local market. The plant sample was identified and authenticated by Dr. K. Madhava Chetti, Department of Botany, Sri Venkateshwara University, Tirupati.

Experimental animals

Wistar Albino rats weighing about (120-160 gm) of either sex were obtained from animal house. The animals were maintain under standard condition i. e., housed in polypropylene cages and maintained at a temperature 27 ± 20C, relative humidity 65 ± 10% under 12 hour light and dark cycle. The animals were acclimatized for 10 days under laboratory condition before carrying out the experiments. The animal house approved by the Committee for the Purpose of Control and Supervision on Experimental Animals (CPCSEA)-Registration number – (1330/AC/10/CPCSEA). The study was carried out after the approval by the institutional animal ethical committee (IACE) [10].

Chemicals

All the chemicals were Analytical grade. Thyroxine, Methimazole and Ethanol were obtained from SD chemicals, Hyderabad.

Preparation of extract

Exploration for Anti-thyroid activity requires the drug powder to be subjected to extraction with increasing polarity of solvents. Dried powder was successively extracted with different solvents such as petroleum ether, chloroform, ethyl acetate, methanol and ethanol with their increasing order of polarity by soxhlation for 12 hours for the extraction. For the extraction, 500gr of dried coarse powdered sample was used with 1000 ml of the solvents. Then the extracts obtained were collected separately and kept for further analysis.

Preliminary phytochemical screening

The solution of Petroleum ether, chloroform, ethylacetate, methanol and ethanolic extract was prepared using distilled water and subjected to preliminary phytochemical screening. Test for common phytochemicals were carried out by standard methods described in practical pharmacognosy by Kokate, Khandelwal and Trease and Evans [11-12].

Acute toxicity (LD50) studies

An attempt was made to determine LD50 of Ethanolic extracts of Ficus racemosa bark at a dose of 2000 mg/kg p. o., in male albino rats. The extracts were found devoid of mortality of the animals. Hence 5000 mg/kg was considered as cut off value. Therefore, the screening doses (Ethanolic extract 250 mg/kg, 350 mg/kg and 450 mg/kg.) Selected for the evaluation of Anti-thyroid activity as per OECD guidelines No. 423 [13].

Evaluation of anti-thyroid activity

Experimental design

Six groups of animals, six in each received the following treatment schedule:

Anti-Thyroid activity [14]

Group I: Normal diet (control)

Group II: Hyperthyroid induced animals (Thyroxine-600µg/kg/ml) for 14 days.

Group III: Hyperthyroid induced animals treated with standard drug (Methimazole 0.04% w/v) for 21 days.

Group IV: Hyperthyroid induced animals treated with plant extract (250mg/kg) for 21 days.

Group V: Hyperthyroid induced animals treated with plant extract (350mg/kg) for 21 days.

Group VI: Hyperthyroid induced animals treated with plant extract (450mg/kg) for 21 days.

Thirty six adult rats which have assigned into six groups each having six animals were selected for the study. Serum from the experimental rats were analyzed for thyroid hormone level (ELISA METHOD [15, 16]) and lipid profile (KIT METHOD [17]) before and during the experiment. Blood was collected by retro-orbital puncture under light diethyl ether anesthesia. Serum was separated by centrifugation at 2000rpm for 15 min in normal centrifuge and used for the analysis. Hyperthyroidism was induced in experimental rats by administrating Thyroxine (600µg/kg/ml) orally for fourteen days [18] and induction of hyperthyroidism was confirmed by analyzing the serum thyroid hormone level.

Statistical analysis

The experimental results were expressed as the mean ± S. E. M (n=6). Data was assessed by the method of analysis of ANOVA followed by Dunnett test. P value of ≤ 0.05 and ≤ 0.01 was considered as statistically significant. Data was processed with graph pad prism version 5.0 [13].

RESULTS

Preliminary phytochemical analysis

The phytochemical screening of different bark extracts of Ficus racemosa revealed the presence of Alkaloids, Glycosides, flavonoids, saponins, steroids, tannins and Triterpenoids (Table 1). As the ethanolic extract possessed the most phytochemical constituents, it was selected for evaluation of Anti-thyroid activity.

Table 1: Phytochemical screening

PE

C

EA

M

E

1) Alkaloids

+

+

-

-

+

2) Glycosides

-

+

+

-

+

3) Flavonoids

-

+

+

+

+

4) Saponins

-

-

-

+

+

5) Steroids

-

-

-

+

+

6) Carbohydrates

-

+

-

+

-

7) Tannins

+

-

+

-

+

8) Triterpenoids

-

-

+

-

+

+ = Presence; - = absence; PE = Petroleum ether; C = Chloroform; EA = Ethyl acetate; M = Methanol; E = Ethanol

Acute toxicity studies

The acute toxicity studies of Ficus racemosa ethanolic bark extract was carried out as per OECD guideline no. 423. There was no gross evidence of any abnormality observed up to a period of 4-6 hrs or mortality up to a period of 24 hrs at the maximum tolerated dose level of 2000 mg/kg body weight p. o. Further pharmacological screening were carried out with three dose ranges i. e. 250 mg/kg b. w. p. o, 350 mg/kg b. w. p. o. and 450 mg/kg b. w. p. o.

Effect of Ficus racemosa ethanolic extract on thyroxine induced hyperthyroidism

Effect on T3, T4 and thyroid stimulating hormone (TSH) level

T3, T4 and TSH of the control animals were found to be 1.26 ng/ml, 6.33 µg/dl and 3.87µIU/ml respectively. The T3 and T4 values increased to 2.68 ng/ml and 17.29 µg/dl while TSH level decreased to 0.54 µIU/ml significantly in hyperthyroid induced rats. T3 and T4 were decreased to 1.30 ng/ml and 7.01 µg/dl whereas TSH was increased to 3.60 µIU/ml for those rats treated with standard drug. Rats treated with Ficus racemosa bark extract in three different concentrations (250mg/kg, 350mg/kg and 450 mg/kg) showed decrease in T3 and T4 levels and increase in TSH levels (table 2). Group treated with 450mg/kg of ethanolic extract of Ficus racemosa bark showed better result than the other two concentrations and was found to be effective as the standard drug (Methimazole).

Effect on total cholesterol, HDL, LDL and VLDL

Lipid irregularities may ascribe to the disabled thyroid capacity. Before the accessibility of serum thyroid hormone estimations, serum cholesterol level was utilized to help in the judgment of the thyroid issue.

Total cholesterol, HDL, LDL, VLDL and triglycerides were discovered to be 121, 42.22, 78.69, 7.09 and 35.68 mg/dl separately in control rats. The aggregate cholesterol, HDL and LDL got diminished to 85, 20.26 and 50.68 mg/dl though VLDL and triglycerides was expanded to 12.14 and 50.21 mg/dl in hyperthyroid rats (table 3).

Following twenty one days of treatment with standard medication and Ficus racemosa bark concentrate of three separate fixations (250mg/kg, 350mg/kg, 450 mg/kg) total cholesterol, HDL and LDL levels expanded while VLDL and triglycerides diminished essentially and arrived at normal extent.

Table 2: Effect of Ficus racemosa ethanolic extracts on T3, T4 and TSH levels

Groups Treatment T3 T4 TSH
Group I Normal diet (Control) 1.26±0.083 6.33±0.151 3.87±0.042
Group II Hyperthyroid induced animals (Thyroxine 600µg/kg/ml) for 14 days 2.68±0.086a 17.29±0.133a 0.54±0.028a
Group III Hyperthyroid animals + Standard drug Methimazole (0.04%w/v) for 21 days. 1.30±0.068*** 7.01±0.056*** 3.60±0.053***
Group IV Hyperthyroid animals + Ficus racemosa bark extract (FRBE) 250mg/kg, b. w, p. o for 21 days 2.10±0.084 12.11±0.075 1.71±0.0861
Group V Hyperthyroid animals + Ficus racemosa bark extract (FRBE) 350mg/kg, b. w, p. o for 21 days 1.75±0.032* 10.73±0.151* 2.66±0.095*
Group VI Hyperthyroid animals + Ficus racemosa bark extract (FRBE) 450mg/kg, b. w, p. o for 21 days 1.40±0.075** 8.24±0.088** 3.29±0.0587**

All the values are expressed as Mean ± SEM (n = 6); a compared to normal group (p<0.001), significances values are ***p<0.001, **p<0.01, *p<0.05 (versus Negative control group) (by one -way ANOVA followed by Dunnett multiple comparison test).

Table 3: Effect of Ficus racemosa ethanolic extracts on total cholesterol, HDL, LDL and VLDL levels

Groups Treatment Total Cholesterol HDL LDL VLDL
Group I Normal diet (Control) 121±1.787 42.22±0.369 78.69±0.222 7.09±0.052
Group II Hyperthyroid induced animals (Thyroxine 600µg/kg/ml) for 14 days 85±2.76a 20.26±0.66a 50.68±1.69a 12.14±0.632a
Group III Hyperthyroid animals + Standard drug Methimazole (0.04%w/v) for 21 days. 119±1.142** 41.45±0.482** 80.27±0.718** 7.18±0.128*
Group IV Hyperthyroid animals + Ficus racemosa bark extract (FRBE) 250mg/kg, b. w, p. o for 21 days 98±1.84 25.50±1.306 60.85±1.552 8.12±0.211
Group V Hyperthyroid animals + Ficus racemosa bark extract (FRBE) 350mg/kg, b. w, p. o for 21 days 105±2.204 31.64±0.934 70.85±1.318 7.66±0.080
Group VI Hyperthyroid animals + Ficus racemosa bark extract (FRBE) 450mg/kg, b. w, p. o for 21 days 113±1.514* 38.99±0.979* 78.22±0.707* 6.88±0.144**

All the values represented are Mean ±S. E. M (n=6); a compared to normal group (p<0.001), Significance values are: **P < 0.01 and *P < 0.05. Hyperthyroid control group vs all group (by one -way ANOVA followed by Dunnett multiple comparison test).

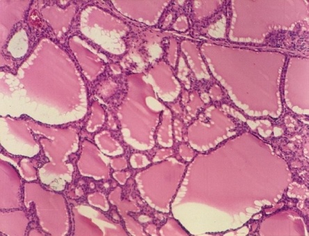
Histopathology

Histopathological studies were embraced to study the tissue section of the thyroid gland of different experimental groups of rats.

Thyroid gland of normal rats (Group-I) showed numerous follicles some of which contain colloid (fig. 1). A colloid varies from thick to thin with occasional scalloping. The follicular cells have round nuclei surrounded by a clear cytoplasm. Thyroid gland of rats induced with Thyroxine showed follicles lined by follicular epithelial cells. Thyroid follicle shows 65-75% of luminal colloids. In about 15% of follicles, the lumen is completely filled with colloid. There is no papillary infolding of the epithelium (Group-II). Thyroid section of Methimazole treated rats showed round nuclei surrounded by a clear cytoplasm (Group-III). Section of thyroid gland of hyperthyroid rats treated with Ficus racemosa plant extracts (Group-IV, V and VI) showed follicle lined by follicular epithelial cells which appeared normal. Many of follicular colloids showed scalloping. There is no papillary infolding of the epithelial cells.

Histopathology of thyroid glands

a b
c d
e

Fig. 1: Histopathology of thyroid glands in different groups a) Normal Control rat b) Hyperthyroid induced rat c) Hyperthyroid induced rat treated with Methimazole d) Hyperthyroid induced rat treated with FRBE 250mg/kg e) Hyperthyroid induced rat treated with FRBE 350mg/kg f­) Hyperthyroid induced rat treated with FRBE 450mg/kg

DISCUSSION

Herbs have dependably been the standard type of drug in India. Albeit extremely less reports are accessible on the antagonistic impacts of thyroid solution. A percentage of the symptoms of the opposition to thyroid prescriptions incorporate a possibly lethal diminishment in the level of white platelets, agranulocytosis, granulocytopenia, aplastic weakness, fulminant liver dis appointment, rashes and fringe neuritis.

In the present study one the locally available plant Ficus racemosa was selected. Hyperthyroidism was induced by Thyroxine. T3, T4 and TSH levels were evaluated for determining the Anti-thyroid activity of the plant. Histopathological examination was conducted in order to determine the effectiveness of Methimazole and test extracts.

Thyroid hormone fortifies the rate of digestion system and high temperature generation has been known over a century. Hyperthyroidism impelled rats demonstrated a decline in TSH level and increment in T3 and T4 levels which may be in charge of diminishing in body weight. Hyperthyroid rats have expanded oxygen utilization than the typical rats bringing about expanded T3 and T4 levels and diminished TSH level. Hyperthyroidism displays an upgraded discharge of cholesterol bringing about a decline of aggregate, HDL and LDL cholesterol while LDL and triglycerides levels expanded.

From the study, it was discovered that hyper thyroid actuated rats when treated with the standard medication methimazole and three separate centralizations of the ethanolic concentrate of Ficus racemosa bark i. e. 250, 350 and 450mg/kg of body weight for 21 days indicated typical thyroid hormone level and lipid profile. The gathering treated with the most astounding amassing of plant concentrate demonstrated great come about as that of the standard medication. This shows that ethanolic concentrate of Ficus racemosa bark can possibly cure hyperthyroidism in test rats.

Histopathology’s of thyroid organ of the hyper thyroid instigated and treated rats were considered and were contrasted with control rats. The thyroid organ of control rats has lesser measure of colloid in follicular epithelial cells however demonstrated an increment in hyper thyroid instigated rats which got to be typical in the wake of getting treatment with the plant concentration.

It was accounted for that thyroid follicles of hyper thyroid rodent contain colloid with cell flotsam and jetsam and stained unevenly, and apical microvillus were spasmodic and essentially lessened in a few follicles. Thyroid follicles of hyper thyroid rodent were loaded with homogenous colloid and the organs indicating cuboidal covering epithelium of the follicles.

CONCLUSION

The present findings inferred that the gathering treated with the most noteworthy convergence of plant concentrate indicated great come about as that of the standard medication and was underpinned by histopathological investigations of the thyroid gland of exploratory rats. In this manner, it could be inferred that ethanolic concentration of Ficus racemosa bark can possibly overcome hyperthyroidism in albino rats.

The treatment of ethanolic concentrate of bark of Ficus racemosa have indicated noteworthy changes in thyroid hormone level and lipid profile level in diverse exploratory gatherings of rats. The measurement of Ficus racemosa extract 450 mg/kg is found to be intense and strong towards the opposition to thyroid action, when contrasted and control. Our preliminary results are encouraging, but further molecular studies are needed to clarify the exact mechanism behind the anti-thyroid activity of Ficus racemosa.

ACKNOWLEDGMENT

First and foremost, I take this opportunity to express my sincere thanks to my guide Dr. Syed Asadulla Bakhtiary, M. pharmacy, PhD, Professor & Head of Department, Department of Pharmacology, Nizam Institute of Pharmacy, for his guidance and support to make this project a success and helping me complete the project. It was a great experience to work under his inspiring guidance.

CONFLICT OF INTERESTS

Declared None

REFERENCES

  1. Agyare C. An ethnopharmacological survey and in vitro confirmation of ethnopharmacological use of medicinal plants used for wound healing in bosomtwi-atwima-kwanwoma area, Ghana. J Ethnopharmacol 2009;125(3):393-403.
  2. Rivlin RS. Historical perspective on the use of garlic. J Nutr 2001;131(3s):951-4.
  3. "100,000 Older People Missing Thyroid Treatment—Study". Available from:  http://www.bbc.co.uk/news/health-12252813
  4. Khan A. Thyroid disorders, Etiology and prevalence. J Med Sci 2002;2:89-94.
  5. Be Thyroid Aware; http://www.thyroidweek.com/en/be-thyroid-aware/
  6. Jahan IA, Nahar N, Mosishuzzaman M. Hypoglycaemic and antioxidant activities of Ficus racemosa linn fruits. Nat. Prod. Res 2008;23:399-408.
  7. Mandal SC, Maity TK, Das J, Saba BP, Pal M. Antiinflammatory evaluation of Ficus racemosa linn leaf extract. J Ethnopharmacol 2000;72:87-92.
  8. Baslas RK, Agha R. Isolation of hypoglycaemic principle from the bark of Ficus glomerata Roxb. Himalayan Chem Pharm Bull 1985;2:13-4.
  9. Winterhoff H, Sourgens H, Kemper FH. Antihormonal effects of plant extracts/pharmacodynamic effects of Lithospermum officinale on the thyroid gland of rats; comparison with the effects of iodide. Hormone Metab Res 1983;15:503-7.
  10. Kokate CK. A textbook of pharmacognosy 45th ed. Vallabh Prakashan: New Delhi; 2010.
  11. Khandelwal KR. Practical pharmacognosy techniques and experiments, Second edition. Nirali Prakashan, Pune; 2000. p. 149-56.
  12. Trease GE, Evans WC. A textbook of pharmacognosy, 13th edition. Bailliere Tindall Ltd: London; 1989.
  13. Kulkarni SK. Handbook of experimental pharmacology, second ed. Vallabh Prakashan, Mumbai; 1993.
  14. Vasundhara S, Dharamveer, Rajiv G, Shubhini AS. Ficus carica leaf extract in regulation of thyroidism using ELISA technique. Asian J Pharm Clin Res 2012;5(2):44-8.
  15. Shuurs AHWM, Van WBK. Review. Enzyme Immunoassay. Clin Chem 1977;81:1.
  16. Soos M, Siddle K. Enzymes immuno assay for the quantitative determination of TSH. J Immunol Methods 1982;51:57-68.
  17. Wybenga DR, Pileggi. Diagnostic reagent kit for the in vitro determination of Cholesterol and HDL cholesterol in serum/plasma. Clin Chem 1970;16:980.
  18. Chakrabarti S, Guria S, Samata I, Das M. Thyroid dysfunction modulates glycol regulatory mechanism in rats. Indian J Exp Biol 2007;45:549-53.