1Department(s) and institution(s) : Dept. of Bio Medical Laboratory Science and Management, Vidyasagar University, Midnapore-721102, 1*Dept. of Bio Medical Laboratory Science and Management, Vidyasagar University, Midnapore 721102.
*Email: debidas_ghosh@yahoo.co.in
Received: 09 Dec 2014 Revised and Accepted: 30 Dec 2014
ABSTRACT
Objective: The present study was to evaluate the dose-dependent effects of Cuminum cyminum (C. cyminum) on testicular gametogenic and androgenic activities in adult rat.
Methods: The hydro-methanolic extract was administered orally at the dose of 30mg, 60mg and 120mg/100g body weight of rats for 28 days. The effects of the treatment on reproductive organs and testicular steroidogenesis were investigated. Toxicity studies were also carried out.
Results: Treatment with this extract resulted in significant reduction in the weights of relative sex organs. A significant decrease in the androgenic key enzyme activities, plasma testosterone level, seminal fructose level, along with an increase in the level of testicular cholesterol in respect to the control was observed. Values of spermatological parameters and the activities of anti oxidative enzymes were reduced significantly, whereas the end products of lipid peroxidation in testis, epididymis and sperm pellet were significantly increased in treated groups. After the extract treatment, the count of different generations of germ cells at the stage VII of the spermatogenic cycle and Seminiferous Tubular Diameter (STD) were decreased significantly. Activities of Glutamate Oxaloacetate Transaminase (GOT) and Glutamate Pyruvate Transaminase (GPT) in liver and kidney tissue were not altered significantly from the control. The said effects were exhibited in a dose dependent fashion, but all these effects were more significant at the dose of 60 mg/100g body weight.
Conclusion: It may be concluded that 60 mg dose of the hydro-methanol extract showed a promising contraceptive activity by the diminution in testicular gametogenesis and androgenesis without producing any toxicity.
Keywords: Cuminum cyminum, Contraception, Oxidative stress, Spermatogenesis, Steroidogenesis.
INTRODUCTION
Elevating human population throughout the world more particularly in developing and undeveloped parts has negative effects on the life fortifying the system on earth. The possibility of an efficacious check on human fertility may soon be realized through biological means. Fertility regulation, comprising contraception and management of infertility forms a paramount component of reproductive health [1]. Though, considerable progress has been made in the development of highly efficacious, acceptable and reversible methods of contraception among females, progress and possibilities on males are still slow and circumscribed. With recent progress towards a better understanding of male reproductive physiology there is a need to develop incipient contraceptive modalities for male. Several potential approaches for induction of infertility have been investigated over a long period, including hormonal, chemical and immunological approach, though the safety of their prolonged exposure is controversial [2]. In the present scenario, it is an alarming time to think some alternatives. Hence, an approach to identify new antifertility agents can be made with the search for their presence in natural resources. Our present study is also an ongoing attempt to investigate the fertility regulatory substance of plant source. C. cyminum is a minute, slender annual herb having seedlike fruits, locally identified as Jeera. The cumin seed is extensively utilized as commixed species and for flavoring curries, soups, bread and cakes. In indigenous medicine, cumin seed has long been considered a stimulant, carminative, stomachic, and astringent and utilizable in diarrhoea, dyspepsia [3] as well as in assuaging sleeplessness, prevalent cold and fevers [4]. Cumin has already proven as antibacterial activity [5], hypolipidemic [6] and antihyperglycemic [7] effects. The abortifacient activity of the seeds has been investigated by fewer workers [8]. Al-Khanis and Parmar [9] reported the anti implantation and abortifacient activity of the aqueous extract of C. cyminum in female rats.
As a pilot work, we have studied the different solvent extracts (aqueous, methanol, ethanol, hydro-methanol (2:3) hydro-ethanol (2:3)) of C. cyminum to determine their male contraceptive efficacy. Here, the hydro-methanol extract showed an outstanding male contraceptive activity on androgenic as well as biochemical sensors also. The present experiment was carried out to select the minimum dose of a hydro-methanol extract of seed of C. cyminum having maximum contraceptive efficacy in male rats.
MATERIALS AND METHODS
Chemicals/material
Testosterone, Dehydroepiandrosterone (DHEA), Nicotinamide Adenine Dinucleotide (NAD), Pyrogallol were used of analytical grade obtained from Hi Media, Mumbai, India, or Sigma, St. Louis, MO, USA. Kits for the ELISA and various enzyme assays were obtained from Lilac Medicare Pvt. Ltd. Mumbai, India and Crest Biosystems, Goa, India. All other analytical grade reagents were locally purchased.
Preparation of the plant extract
Fresh seeds of C. cyminum was collected from the local market of Midnapore town and authenticated by the Department of Botany and Forestry, Vidyasagar University, Midnapore-721102, West Bengal, India and the voucher specimen have been deposited in the Herbarium of the same Department. The seeds were washed under tap water and dried in an incubator thoroughly at 37°C for 2 days and grinded to fine powder utilizing blender. Then 50 g of powder was suspended in 250 ml of hydro-methanol (2:3 v/v) solvent mixture and kept in an incubator at 37°C. After 48 hrs, the extract was filtered and the filtrate was evaporated under reduced pressure utilizing rotary evaporator (HAHN-SHIN HS-2000NS, Korea) at 40°C for consummate abstraction of methanol and the resulting plain aqueous extract was lyophilised and preserved in refrigerator at 4°C until use for the experiment.
Experimental animals
Twenty four Wistar strains male albino rats for three months of age and weighing about 120 ± 10g were used for the present study. Animals were housed in cages at an ambient temperature of 25 ± 2°C under 12 hr: 12 hr light-dark cycles and were kept for 15 days for acclimation prior to experimentation. They were provided with standard rat chow diet and water ad libitum. The Institutional Animal Ethical Committee (IAEC) approved the study and all the instructions given by our IAEC were followed throughout the experimentation.
Experimental design
After 15 days of acclimation of twenty four rats, body weight of each rat was measured and they were divided into four groups, each group contained six animals. The daily dose of the hydro-methanolic extract was prepared by suspending the extract in olive oil and administered to each animal through oral route by gavage in the morning (at 8.00 AM). The duration of the experiment was 28 days. The treatment schedule of each group was as follows
Group I (Vehicle- treated control): Rats of this group received 0.5 ml of olive oil /100g body weight once a day.
Group II (Hydro-methanol extract treated group at the dose of 30 mg): Rats of this group was treated with the hydro-methanol extract at the dose of 30 mg/0.5 ml olive oil/100g body weight once a day.
Group III (Hydro-methanol extract treated group at the dose of 60 mg): Animals of this group were treated with the hydro-methanol extract at the dose of 60 mg/ 0.5 ml olive oil /100g body weight once a day.
Group IV (Hydro-methanol extract treated group at the dose of 120 mg): Rats were treated with hydro-methanol extract at the dose of 120 mg / 0.5 ml olive oil /100g body weight /day.
After completion of the experimental schedule, all the animals were sacrificed by light ether anesthesia after taking the body weight. Blood was collected using heparinized syringe and the plasma was isolated and kept in -20°C for testosterone assay. Reproductive organs i. e. the testes, epididymis, seminal vesicles were dissected out. Fat and connective tissues were abstracted from the surface of the organs and weights of these organs were recorded. Liver, kidney and left testis were kept at -20°C for enzymatic studies and the right testis of each animal was placed in Bouin’s fluid for histological studies.
Epididymal sperm motility, count, viability assessment
Epididymal spermatozoa were obtained through an incision of the caudal part of epididymis of each rat of all the groups, followed by dispersion in physiological saline solution.
The numbers of motile spermatozoa in 100 µl suspensions were counted under the microscope, and the result was expressed as a percentage after counting 100 spermatozoa in each field [10].
The microscopical count for spermatozoa was performed with haemocytometer following the standard method and expressed as the number of spermatozoa per ml of suspension [11].
The microscopical observation for percentage of viable (with an intact plasma membrane) spermatozoa in a semen sample was performed by the Eosin-Nigrosin staining according to the standard protocol [10].
Estimation of seminal plasma fructose level
The seminal plasma fructose level was quantified in samples according to the standard method [12]. The seminal plasma was de proteinised by adding 50 µl of zinc sulphate and 50 µl of sodium hydroxide to make a total dilution of seminal plasma 1:16, followed by centrifugation at 4000 g for 15 min.
Two hundred millilitres of this clear supernatant was used for the analysis. The optical density of the standard and sample was quantified against blank at 470 nm. The concentration of fructose was obtained by plotting the value in the standard curve.
Assay of plasma testosterone level
Plasma level of testosterone was quantified by following the immune enzymatic method by an ELISA reader [13]. 10 µl of each standard or sample was dispensed into felicitous well followed by integration of 100 µl of enzyme conjugate containing horse-radish peroxidase (HRP) and mixed. The strips were incubated for 60 min at 37°C. The reaction solution was decanted forcefully from all the wells followed by three washings. 100 µl of tetramethyl benzidine (TMB) substrate containing chromogen was included and after the scheduled time the reaction was stopped by addition of stop solution supplied in the kit. The absorbance of standards and samples were read against the blank at 450 nm.
Biochemical estimation of testicular cholesterol
Testicular cholesterol was estimated utilizing the kit following the supplied protocol [14].
Estimation of testicular Δ5, 3β-hydroxysteroid dehydrogenase (Δ5, 3β-HSD) and 17β-hydroxysteroid dehydrogenase (17β-HSD) activities
Testicular key androgenic Δ5, 3β-HSD and 17β-HSD enzyme activities were quantified spectrophotometrically utilizing the testicular homogenate following standard laboratory protocol [15]
Biochemical estimation of catalase, peroxidase, superoxide dismutase (SOD) and glutathione-s-transferase (GST) activities
The activities of catalase, peroxidase, SOD and GST in testis, epididymis and sperm pellet were performed biochemically following standard protocol [16].
Estimation of end products of lipid peroxidation (CD and MDA)
For quantification of end products of lipid peroxidation, i. e., conjugated diene (CD) and malondialdehyde (MDA), the sample tissue was homogenised at the tissue concentration of 50 mg/ml in 0.1 M of ice-cold phosphate buffer (pH 7.4), and the homogenates were centrifuged at 10000g at 4°C for 5 min. Supernatant was used for the spectrophotometrical estimation of the CD and MDA following the standard laboratory method [17].
Glutamate oxaloacetate transaminase (GOT) and Glutamate pyruvate transaminase (GPT) activities of liver and kidney
For the assessment of metabolic toxicity, GOT and GPT activities of liver and kidney were estimated [18].
Histological study
Testes were imgded in paraffin block, sectioned at 5 µm thickness and stained with hematoxylin-eosin. The prepared slides were observed under high power objective in a Trinocular microscope, which was handled with a computer. A photograph of a particular field was taken. Seminiferous tubular diameter (STD) was measured with the DeWinter Calipro-3.0 Softwares. Quantitative analysis of gametogenesis was carried out at the stage VII of the seminiferous epithelial cell cycle according to the method of Leblond and Clermont [19].
Statistical analysis
Data were expressed in mean ± SEM. For statistical analysis of data, Analysis of Variance (ANOVA) followed by multiple comparison two tail t-test was employed and p<0.05 was considered significant [20].
RESULTS
Body and organ weights
Throughout the experiment, there was no alteration in body weight in hydro-methanol extract treated groups when compared to the control group. Relative weights of testis, seminal vesicle and epididymis were significantly (p<0.05) decreased in all the treated groups in respect to the control.
From the comparative analysis of the relative weights of these sex organs, a significant (p<0.05) decrease in these indices was noted after treatment at a dose of 60 mg or 120 mg/100g body weight in respect to the 30 mg/100g body weight treated group (table-1). The relative kidney and liver weights were not significantly change than the control (table 1).
Table 1: Effect of hydro-methanolic extract of seed of C. cyminum at different doses on body weight and relative organ weights in mature male albino rat
Groups |
Body weight (g) |
Relative organ weights (g/100g body weight) |
|||||
Initial |
Final |
Testis |
Epididymis |
Seminal vesicle |
Liver |
Kidney |
|
Control |
121.12±2.60 |
142.12±2.47 |
1.57±0.08 |
0.37±0.05 |
0.40±0.04 |
4.48±0.32 |
0.68±0.04 |
C. cyminum treated |
128.75±3.75 |
150.37±2.27 |
1.25±0.06* |
0.23±0.04* |
0.24±0.03* |
3.88±0.33 |
0.67±0.05 |
C. cyminum treated |
124.37±2.27 |
147.50±2.23 |
1.10±0.08** |
0.15±0.03** |
0.18±0.03** |
4.12±0.35 |
0.59±0.04 |
C. cyminum treated |
126.87±2.88 |
146.25±2.59 |
1.06±0.09** |
0.14±0.03** |
0.17±0.03** |
3.71±0.35 |
0.64±0.04 |
Values are mean ± S. E. M. (n=6), (ANOVA followed by multiple comparison two tail t-test), *Indicates significance difference compared to the control, **Compared to the control as well as to the low dose experimental group p<0.05.
Sperm count, motility and viability
Sperm count, sperm motility and sperm viability were decreased significantly (p<0.05) after the treatment of hydro-methanol extract at the dose of 30 mg/100g body weight treated group in respect to the control. A significant (p<0.05) low values were noted in the above sensors after the treatment of hydro-methanolic extract at the dose of 60 mg or 120 mg/100g body weight treated group in respect to 30 mg dose treated group. No significant difference in the levels of the said parameters was noted between the groups treated with 60 mg and 120 mg/100g body weight (table-2).
Seminal vesicular fructose
A significant (p<0.05) reduction in seminal vesicular fructose level was noted in all the treated groups in comparison with the control. The level of this parameter was decreased significantly (p<0.05) in 60 mg or 120 mg/100g body weight treated group in respect to 30 mg/100g body weight treated group. No significant difference was noted in the level of this parameter when comparison was made between the groups treated with 60 mg and 120 mg/100g body weight (table-2).
Testicular cholesterol level
The testicular cholesterol level was elevated significantly (p<0.05) in all the treated groups in comparison with the control in a dose dependent manner. The result showed a significant (p<0.05) increased in this parameter when animals were treated at a dose of 60 mg/100g body weight or 120 mg/100g body weight in comparison to 30 mg/100g body weight, though the level of testicular cholesterol did not differ significantly when comparison was made between 60 mg and 120 mg/100g body weight dose treated groups (table-2).
Plasma testosterone
Plasma level of testosterone was decreased significantly (p<0.05) after treatment of a hydro-methanol extract of C. cyminum at a dose of 60 mg or 120 mg/100g body weight in respect of the 30 mg/100g body weight treated group. After treatment with 30 mg/100g body weight, plasma level of testosterone was also diminished significantly (p<0.05) in comparison with the control. But no significant difference in the plasma level of this parameter was noted between 60 mg and 120 mg/100g body weight treated groups (table-2).
Table 2: Comparative analysis of sperm count, sperm motility, viability, testicular cholesterol, seminal vesicular fructose and plasma testosterone after treatment with hydro-methanolic extract of C. cyminum at different doses in mature male albino rat
| Groups | Total sperm count (millions/ ml) |
Sperm motility (%) |
Sperm viability (%) | Testicular cholesterol (mg/gm of tissue) |
Seminal vesicular fructose (µM/gm) |
Plasma Testosterone ng/ml |
| Control | 24.87±1.45 | 81.00±1.79 | 87.62±2.32 | 28.35±1.06 | 0.098±0.010 | 15.96±0.63 |
C. cyminum treated (30 mg/100g) |
19.62±1.17* | 64.75±1.14* | 67.87±1.48* | 33.35±1.37* | 0.063±0.008* | 12.92±0.92* |
C. cyminum treated (60 mg/100g) |
14.37±0.88** | 57.87±1.28** | 60.12±1.71** | 42.27±1.05** | 0.029±0.003** | 8.07±0.61** |
C. cyminum treated (120 mg/100g) |
13.50±0.86** | 55.50±1.34** | 57.37±1.45** | 43.29±1.45** | 0.026±0.003** | 7.30±0.63** |
Values are mean ± S. E. M. (n=6), (ANOVA followed by multiple comparison two tail t-test), *Indicates significance difference compared to the control, **Compared to the control as well as to the low dose experimental group, p<0.05.
Testicular Δ5, 3β-HSD and 17β-HSD activities
Oral administration of the hydro-methanol extract at different doses exhibited a significant (p<0.05) decreased in testicular Δ5, 3β-HSD and 17β-HSD activities of treated rats compared with the control.

Fig. 1: Comparative analysis of the activities of testicular Δ5 3β-HSD and 17β-HSD after treatment with hydro-methanolic extract of C. cyminum at different doses in mature albino rats. Values are given as mean ± SEM, (n=6). Bars with significant difference have been indicated by * and ** (ANOVA followed by multiple comparison two tail t-test): *Compared to the control; **Compared to the control as well as low dose experimental group p<0.05.
A significant (p<0.05) difference in these parameters was noted when comparison was made between 30 mg treated group and 60 mg or 120 mg/100g body weight treated groups though there was no significant difference in the activities of these parameters between the groups treated with 60 mg and 120 mg /100g body weight (fig. 1).
Activities of catalase, peroxidase, superoxide dismutase and glutathione-s-transferase
Activities of catalase, peroxidase, superoxide dismutase and glutathione-s-transferase were decreased significantly (p<0.05) in the testis, epididymis and sperm pellet in all of the hydro-methanol extract treated groups in respect to the control. The activities of all enzymes were significantly (p<0.05) decreased at the dose of 30mg/100g body weight extract treated group in respect to the control. But after the administration of 60 mg or 120 mg doses of the extract resulted a significant diminution in the activity of said enzymes in respect to 30mg dose treated group. There was no significant changes in the level of said enzymes between the dose of 60mg and 120mg/100g body weight of the extract treated group (fig. 2).
Levels of CD and MDA
A significant (p<0.05) elevation in the levels of the CD and MDA in testis, epididymis and sperm pellet were noted in all the treated groups in comparison with the control. However, the levels of these parameters were elevated significantly (p<0.05) when the comparison was made between 30 mg and 60 mg or 120 mg/100g body weight treated groups (fig. 2). No significant difference was noted in the levels of these parameters when comparison was made between the groups treated with 60 mg and 120 mg/100g body weight (fig. 2).






Fig. 2: Effect of hydro-methanolic extract of C. cyminum at different doses on catalase, peroxidase, superoxide dismutase and glutathione-s-transferese activities and CD and MDA levels in mature albino rats. Values are given as mean ± SEM, (n=6). Bars with significant difference have been indicated by * and ** (ANOVA followed by multiple comparison two tail t-test): *Compared to the control; **Compared to the control as well as low dose experimental group, p<0.05
Table 3: Glutamate Oxaloacetate Transaminase (GOT) and Glutamate Pyruvate Transaminase (GPT) activities in liver and kidney after treatment with hydro-methanolic extract of C. cyminum at different dose in mature albino rat
Groups |
GOT activity (unit/mg of tissue) |
GPT (unit/mg of tissue) |
||
Liver |
Kidney |
Liver |
Kidney |
|
Control |
28.12±1.78 |
17.67±1.16 |
31.20±1.89 |
25.43±1.62 |
C. cyminum treated (30 mg/100g) |
23.56±1.66 |
20.00±1.50 |
26.06±1.97 |
29.47±2.05 |
C. cyminum treated (60 mg/100g) |
26.20±2.26 |
22.13±1.83 |
30.13±1.68 |
30.35±1.72 |
C. cyminum treated (120 mg/100g) |
25.32±1.94 |
19.54±1.41 |
33.56±1.57 |
28.60±1.57 |
Values are mean ± S. E. M. (n=6), (ANOVA followed by multiple comparison two tail t-test), No significant different between the groups, p>0.05
Toxicity assessment in liver and kidney
Activities of GOT and GPT are most consequential indicators of metabolic toxicity in the liver and kidney. These enzyme activities were not significantly affected by hydro-methanol extract of seed of C. cyminum among those treated groups (table-3).
Quantification of different generation of germ cells at stage VII
Quantitative study of germ cells at the stage VII of seminiferous epithelial cell cycle revealed that treatment with the extract in all of the said doses resulted a significant (p<0.05) decrease in the numbers of ASg, pLSc, mPSc and 7Sd in the extract treated groups in respect to the control in a dose dependent manner.
The numbers of these cells were decreased significantly (p<0.05)on increasing the dose from 30 mg to 60 mg/100g body weight. However, no significant variation in the number of these cells was noted between 60 mg and 120 mg/100g body weight treated groups (table-4).
Histological observation
Treatment with the extract established a significant (p<0.05) reduction in the seminiferous tubular diameter (STD) of the testes in all the treated groups as compared to the control. A significant (p<0.05) reduction in STD was noted after treatment at the dose of 60 mg or 120 mg /100g body weight in comparison to 30 mg/100g body weight treated group without any significant variation between 60 mg and 120 mg treated groups (fig. 3).
Table 4: Effect of hydro-methanol extract of seed of C. cyminum on the number of different generations of germ cells at stage VII of seminiferous epithelial cell cycle
| Groups | ASg | pLSc | mPSc | 7Sd | STD×400 µm |
| Control | 1.75±0.16 | 18.62±0.59 | 17.25±0.88 | 62.50±1.59 | 474.35±12.08 |
| C. cyminum treated(30 mg/100g) | 1.25±0.17* | 14.87±0.71* | 13.12±0.61* | 54.37±2.02* | 383.19±18.23* |
| C. cyminum treated(60 mg/100g) | 0.75±0.16** | 10.62±0.88** | 10.12±0.78** | 45.75±1.38** | 296.37±12.60** |
| C. cyminum treated(120 mg/100g) | 0.62±0.18** | 9.87±0.93** | 9.50±0.82** | 42.75±2.19** | 280.14±13.53** |
Values are mean ± S. E. M. (n=6), (ANOVA followed by multiple comparison two tail t-test), *Indicates significance difference compared to the control, **Compared to the control as well as to the low dose experimental group p<0.05.
![]() |
![]() |
| A | B |
![]() |
![]() |
| C | D |
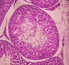
Fig. 3: Histology of testis 400X (Hematoxylin Eosin stain).
[A] Representative microphotography of testicular section at the stage VII of seminiferous cell cycle showing different generations of germ cells at the stage VII of seminiferous epithelial cell cycle and STD in the control group. [B] Testicular cross section after treatment with hydro-methanolic extract of C. cyminum at a dose of 30 mg/100g body weight in rat focusing a diminution in the number of different generations of germ cells at stage VII and STD in respect to the control. [C] Representative of the testicular cross section after treatment with hydro-methanolic extract of C. cyminum at a dose of 60 mg/100g body weight in rat showing a decreased in the number of different generations of germ cells at stage VII and STD in respect to the control as well as 30mg treated rats. [D] Microphotography of testicular cross section at a dose of 120 mg/100g body weight in rats, STD and number of different generations of germ cells at stage VII were decreased significantly in respect to the control and 30 mg dose treated group
DISCUSSION
The present experiment provided a number of observations regarding the effect of hydro-methanol extract of C. cyminum on testicular function in mature albino rats. Treatment with the extract at the dose of 60mg is the most efficacious dose showed maximum efficacy in comparison with the doses of 30mg and 120mg. From the result it has been revealed that there was no significant alteration in somatic growth in treated rats compared to the control. This suggests that this seed extract has no general toxic effect on body growth. Weight reduction of the reproductive organs of treated rats clearly denoted that the extract caused structural and functional alteration in testis, epididymis and seminal vesicle and lowered the testosterone as these organs are androgen dependent [21].
The diminution in the activities of testicular Δ5, 3β-HSD and 17β-HSD, the key enzymes of androgenesis [22, 23] may be inhibited by low level of pituitary gonadotropins secretion [24-26]. This inhibition supported here by the low plasma testosterone level. This view has been further supported here by the testicular cholesterol assessment which was elevated that may be due to inhibition in testicular androgenesis because cholesterol is the mother molecule for gonadal steroidogenesis [27]. This was further confirmed by the quantification of seminal fructose as fructose quantity in seminal plasma is regulated by testosterone [28].
The diminution in epididymal sperm count and the number of different generations of germ cells at the stage VII of seminiferous epithelial cell cycle in the seed extract treated rats may be due to a low plasma level of pituitary gonadotropins and testosterone, which are the major regulators of spermatogenesis [29-32]. Moreover, diminution in STD in seed extract treated rats also supported the low plasma level of testosterone as STD is one of the designators of plasma level of testosterone [33].
To find out whether the extract besides modulating the pituitary testicular axis inhibits the testicular activity by inducing oxidative stress, several oxidative stress parameters were considered. Assessment of the activities of catalase, peroxidase, superoxide dismutase and glutathione-s-transferase and quantification of the CD and MDA levels in testis, epididymis and sperm pellet, which are the indicators of oxidative stress were changed significantly in a further oxidative stress generation. This result supports the fact that the extract may additionally affect male reproduction by developing oxidative stress [34] and it may have some direct spermicidal effect on the germ cells. Oxidative stress additionally affects the sperm motility and sperm viability [35].
To determine whether the doses of the seed extract of C. cyminum that induce antigonadal effect have any metabolic toxicity, we measured GOT, and GPT activities in the liver and kidney because these enzymes are the indicators of metabolic toxicity [36]. Because there was no significant alteration in the hepatosomatic and renosomatic indices, hence, it may be stated that the applied dose of the extract has no specific toxic effect on such metabolic organs. Specific enzyme assay for toxicity study indicated that there was no significant alteration in the GOT, and GPT activities in liver and kidney of extract-treated rats. Therefore, it may be claimed that the applied doses of the extract of C. cyminum have antigonadal effect without any toxic effect on metabolic organs.
CONCLUSION
It may be concluded that hydro-methanolic extract of C. cyminum affected gonadal activity in a dose dependent manner showing maximum contraceptive effect at a dose of 60 mg/100g body weight without causing any metabolic toxicity.
ACKNOWLEDGEMENT
The financial support from the Department of Science & Technology (DST), INSPIRE programme Division, Govt. of India, Ref. No. DST/INSPIRE FELLOWSHIP/2013/41 to conduct this project work is gratefully acknowledged.
CONFLICT OF INTERESTS
The authors have declared that there is no conflict of interest
REFERENCES