Int J Pharm Pharm Sci, Vol 7, Issue 4, 376-385Original Article


The role of Honey with Royal jelly in protecting the Graafian follicles from the toxicity of the Adriamycin drug

KASSEM MAHMOUD, TAWEELH ANAS*

Comparative anatomy Lab-Department of Biology-Faculty of Science-Aleppo University Aleppo – Syria.
Email: Anastaweelh83@gmail.com

Received: 11 Dec 2014 Revised and Accepted: 01 Jan 2015


ABSTRACT

Objective: This study aims to investigate the ability of certain mixture of honey with royal jelly (H+R) to prevent the toxic side effects, caused by the Adriamycin drug. One of the most important side effects of this drug is the change in the structure of cell and tissue of the ovary, especially Graafian follicles, which may lead to sexual ovarian hormonal disorders. Consequently, this will lead to menstrual disorders that lead in certain cases to early menopause (infertility), and decrease in the reproductive capacity.

Methods: Twenty-five young adult female Syrian hamsters were injected with (60-75 mg/m2 (Aderiamycin drug and another twenty-five females were injected with Adriamycin drug after oral administration with preventive dose of honey and royal jelly (800 mg/kg/day of Honey and 10 mg/kg/day of royal jelly). Histologically study of the ovaries was conducted with hymatoxylin & eosin staining, and an immunohistochemical study was applied using the immune. (Ki67) specialized for disclosure of cell divisions.

Results: The honey with royal jelly has a clear role in renovating the ovary, enhancing the hormonal balance, and prevents the hormonal disorders, and the occurrence of early menopause caused by Adriamycin.

Conclusion: The Honey with royal jelly contributes, as a preventive dose, in preventing the side effects of Adriamycin drug.

Keywords: Adriamycin, Graafian follicles, Honey, Royal jelly, Syrian hamster.


INTRODUCTION

Chemical treatments of cancerous tumors are considered as a special kind of cellular poison (Cytotoxic) [1], for both normal and tumor tissues, especially the rapid reproductive tissues like ovaries and testes [2]. These effects on the genitals organs may lead to the destruction of the cells, or inhibition of its functions [3], especially the hormonal, menstrual cycle in the female, and the number of sperms in male [4].

Adriamycin is considered the best and the most commonly used anti-cancer drugs in chemotherapy for various cancer tumors [5, 6]. It belongs to the Anthracyclinescompounds that follow a group of antibiotic, anti-tumors [7]. Many studies of the toxic effects of this drug have been concerned precisely on the DNA [8-10], the enzyme Topoisomerasa II [11-13], the structure of phosphoric lipid membranes, and the formation of basic oxygenic roots through peroxide of lipids in cell membranes [14]. All of these mechanisms contribute in killing of reproductive cells, rather than the cells present in the resting phase [7]. Therefore, it is very important to minimize the side effects of these drugs.

The honey with royal food nutrient may be considered as a universal miracle, having several medical properties. This combination contains a wide diversity of, sugars, proteins, enzymes, and minerals, pollen, remains of fungi, algae, yeasts, antioxidants (the glucose oxidase, catalase, ascorbic acid, flavonoids, phenolic acids, carotenoid derivatives), amino acids, proteins [15, 16]. They also contain some hormones such as Estrogen, testosterone, Progesterone, prolactin [16], B complex vitamins (B-1, B-2, B-6), pantothenic acid, folic acid. And some biological factors act as biocatalysts in the process of regeneration of cells within the human body [17]. The present study aims to determine the toxic effects caused by the drug Adriamycin on the Graafian follicles, the division possibility, the sexual hormones, Oocyte, reproductive ability, hence investigates the ability of honey with royal jelly in minimizing these side effects.

Materials and methods

Animals

Fifty young adult female Syrian hamsters (Mesocricetus auratus), weighing between 85 gm-110 gm, three to four months aged, and lengths between (12Cm-13Cm) were obtained from the breeding colony in the faculty of sciences during the breeding seasons (spring and summer). Animals were housed in plastic cages (16× 31× 42Cm). They were under the same laboratory conditions, including natural light supplemented with artificial light (12 L: 12 D). Ambient temperature in the animal facilities was held constant. The animals were divided into several groups in cages, and subjected to identical environmental conditions (22±2Co). Water and food were accessible to the cages. Some cages with several males were placed close to the females cages in order to fermonal incitement of males. Males were moved to the female cages, two days before bloodletting in order to incite the female ovulation and sexual activity. The animals were handled according to the guidelines of Helsinki declaration rights (1975) of using laboratory animals.

Females were divided into two main studied groups

The first major group (A)

Injected with Adriamycin drug and did not take a preventive dose. This group consists of 25 females, divided into two subsections:

-The first group (natural control) contains five females, orally administrated with tap water for 15 days, and then injected with a physiological solution (Intraperitoneal Injection).

-The Second group (experimental group) contains twenty females, orally administrated with tap water for 15 days and then injected intraperitoneally with Adriamycin drug (Doxorubicin-Ebewe-AUSTRIA) as a single dose (in terms of the dose given to an adult person 60-75 mg/m2 as a single dose every 15 to 21 days [20].

The second major group (H+A)

This group consists of 25 females, injected with Adriamycin drug after the preventive, then divided into two subsections:

-Group I: (witness the preventive dose of honey with royal jelly) and consists of five females oral administrated for 15 days with Sidr honey mixed with royal jelly (was 800 mg/kg/day of Honey and 10 mg/kg/day of royal jelly), they were mixed and dissolved by tap water [15, 16]. This group was not injected with drugs. (References 5 m)

-The second group (group experiment): consists of twenty females administrated with preventive dose with the same ratios mentioned earlier, and then injected intaperitoneally with Adriamycin drug (proportions are similar to the group A).

Laboratory study

-Experimental animals were anesthetized and dissected, and then blood samples of the heart were collected in heparinized tubes, and finally the paired ovaries were collected at different time intervals as follows:

I) Three days after the injection of the drug (A-I).

II) Five days after the injection of the drug (A-II).

III) Ten days after the injection of the drug (A-III).

VI) Fifteen days after ingesting the drug (A-IV).

-The ovaries were fixed, dehydrated in graded alcohol, and embedded in paraffin. Five Micron sections were stained with Hematoxylin& Eosin (H & E) following the routine tissue preparation technique,

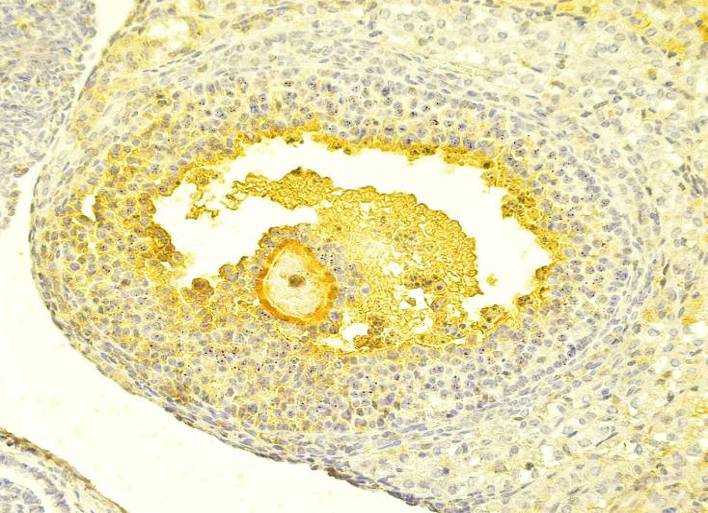
-Immunohistochemical study was applied through histological sections stained with immunoicalstain (Ki67) that specialized for disclosure of cell divisions. Antibody Ki67 (MIB) united with nuclear protein that appears in all stages of cell division (G1, S, G2, M), except the resting phase (G0), in order to determine the effectiveness of cell divisions within the Granulosa cells or reproductive cells (brownish color in the cell divided.

-The sexual hormones were analyzed (FSH & LH & Progesterone &Estradiol) using Roche Cobas e 411 hormones analyzer, (4th Generation) that belong to 4th generation, and work according to Chemiluminiscence (ECL) mechanism.

Results and Discussion

In a previous my study published in 2010 [18] about the effect of Adriamycin drug on the ovaries of white mice, we pointed out that the Graafian follicles are the most affected ovarian follicles by the toxicity of this drug. This was attributed to the high reproductive divisive ability as compared to the rest of the follicles. The toxicity of the drug appears clearly, whenever the cells are multiplied rapidly. Furthermore, the Graafian follicles predominate on the rest of the ovarian follicles, which are almost completely stopped from development and cell division. This is likely to be due to the role of the Graafian follicles hormonal control (hormone Estradiol) that effect indirectly the rest sexual hormones, such as the hormones of the anterior lobe of the pituitary gland (LH & FSH) as a result of the feedback mechanism that inhibits the development of other follicles. Thus, the decomposition of Graafian follicles was larger than other follicles, especially after placing the injected females with males, which stimulate the process of ovulation (the evolution of the Graafian follicles) through sexual attraction.

First group: the injected group with Adriamycin drug without preventive dose (A)

A. Histological study of the Graafian follicles

A-1. The normal control group

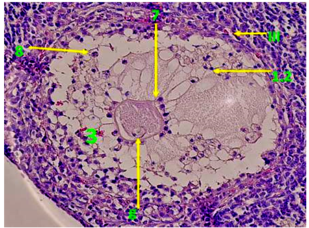
The Theca folliculi of the Graafian follicles for the control group individuals is divided into two parts: Theca externa, which is composed of a thin layer of fusiform cells, through which the blood vessels pass toward the second part which is called Thecaenterna. This part consists of a large-sized, oval-shaped Fibrocystic cells, and interspersed with a dense network of capillaries, which distributed along its border in order to supply the follicle with blood. Inside the Theca folliculi there are several layers of cuboidal shape of Granulosa cells, with a cylindrical central nucleus. Among the Granulosa cell groups there is the antrum, also any Granulosa cells are surrounding the Oocyte, forming the Cumulus operas, or Corona radiate. The Oocyte and the Cumulus are separated by a transparent area called the Zonapellucida, occupied by microscopic villi joining the Granulosa cells and the Oocyte.

The Oocyte has a large size and spherical shape with central positioning nuclei [19]. fig. 1. Granulosa cells in the Graafian follicles have a high divisive-capacity with exceeding the rest of the developing ovarian follicles (fig. 2).

Fig. 1: Transverse section of Graafian follicles in the control group. (H & E x400) Fig. 2: Transverse section in the early stages of division in the Graafian follicles in the control group (Ki67x400)

A-2. The experiment group injected with the drug without preventive dose

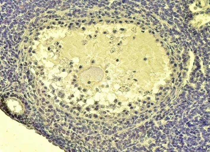
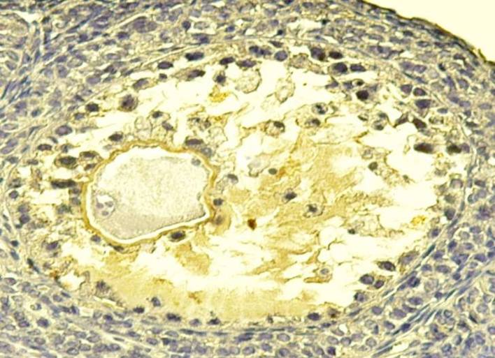
  1. After three days of Adriamycin drug injection (A-I), it has been noted that the Graafian follicles were the most affected ovarian follicles. The toxicity of the drug caused the disappearance of the most of the natural Graafian follicles from the ovary. Furthermore, most of the follicles that have been seen in the ovary during this period are decomposed follicles with abnormal structures. In addition, a complete destruction of the Cumulus oophorous has been observed, with the spread of the Granulosa cells in the antrum. This is due to the loss of contact within the Granulosa cells, and the rush of its nuclei toward the antrum and the Zona pellucid. Consequently, this causes the destruction of the chromatin in some cells and its accumulation on the basement membrane of other cells, and thinning of the thickness of Theca folliculi. In addition, we noticed the presence of spaces in theca folliculi and migration of the Granulosa cells from the basement membrane, and partly the breadth of the Zonapellucidabecause of the loss of desmosomes between the oocyte and the cells. Regarding the Oocyte, the position of the nucleus is laterally with partial Granulosa decomposition of the nucleus membrane. In addition to the decomposition of the nucleus in some Graafian follicles (fig. 3), a clear reduction in the divisive ability of the Granulosa cells is seen compared to the normal control (fig. 4).
  2. After five days of injecting the drug (A-II), a clear and complete decomposition in all the Graafian follicles has been observed. This decomposition, compared with the first time (AI), is represented in a total destruction in Cumulus oophoroushas, and more spacing of Granulosa cells and increase in the spread towards the antrum. It is accompanied with the breadth of the Zonapellucidabecause of the loss of desmosomes among themselves, more spacing in Theca folliculi, and the increase in its thinning, and more condensation of chromatin to the degree of increase its Condensation on the Granulosa cell membrane. Concerning the Oocyte there will be an entire decomposition of the egg and the dissolution of the lateral nucleus. (fig. 5). This is in addition to increase in weakness, in the divisive ability in the Granulosa cells (fig. 6).
  3. After ten days of Adriamycin drug injection (A-III), no maturity Graafian follicles were seen, but we noticed the emergence of a small number of the Graafian follicles in its early stages. The decomposition observed in the full maturity follicles is almost a full destruction of the cumulus oophorous has. Furthermore, a continuing spreading of the Granulosa cells in the antrum. Furthermore, we noticed a continues expansion of the Zonapellucida accompanied by the presence of some of the follicles, which still suffer from condensation of chromatin toward the cell membrane of the Granulosa cells, and then continues moving away of cells from the basement membrane, with thinning Theca folliculi and the presence of voids in it. Regarding the Oocyte, the nucleus still laterally with a fatty gaps in it (fig. 7). However, for the granulosa cell division, a light improvement in the division has been observed (fig. 8).
  4. Fifteen days after the drug injection (A-IV) the presence of a very few number of the semi-normal young Graafian follicles has been observed. This is produced from the development of previous ovarian follicles, with light decomposition in the Cumulus oophorous and thinning in the Theca folliculi. However, for the full maturity Graafian follicles, some sort of full decomposition appears; whereas the Oocyte in the Graafian follicles shows a very little degeneration with the persist of the lateral positioning of the nucleus, and the presence of greasy gaps in the Oocyte cytoplasm (fig. 9). Similarly, there have been a clear improvement in the level of the Granulosa cells divisive capacity. Nevertheless, these changes did not arrive at the normal level (fig. 10).

An investigation of the previous results shows that the highest pathological changes, ovarian tissue alteration, and the reduction divisive ability appear at the beginning of the injection process, and until the beginning of the third time. The second time (the fifth day of the time of injection) was the most affected time concerning the histological changes of the other times in the Graafian follicles. Then the gradual recovery stage started from the beginning of the third time and afterwards. This can be attributed to the strong toxicationattack, which occurred at the beginning of the Adriamycin drug injection of the tissues with divisive activity, such as the Granulosa cells and the Oocyte cells. In fact, the intraperitoneal injection helps in allowing the drug to reach the area-surrounding ovary at the same level. Therefore, a clear reduction in the divisive activity took place in the beginning. This is demonstrated in sections stained by the immunohistochemistry dye (Ki67where a complete halt in the cell division (in time II) is shown. Then, the body started to resist the poisoning of the drug, and dispose of toxic effects through gradual subtraction of the drug and its metabolic outputs (through urine, feces and bile) [20]. Therefore, start very slowly a gradual recovery, regeneration of tissue, and proliferative divisive activity. However, the disposal of the toxic is greater for the rapid reproduction than that of the moderate divisive activity tissues [2]. This, in fact explains the relatively high number of immature Graafian follicles in the third time, and the fourth time, because of the full decomposition of the Graafian follicles infected by the cell apoptosis. This led to the demise of the inhibitory effect of the other follicles development, and thus, incomplete follicles returned to the growth and development, forming a young Graafian follicle resulting from the development of immature follicles. Nevertheless, there will still be a number of Graafian follicles below the normal. level, as compared with the control group. This is because of the remaining of the toxic effects of the drug.

The obtained result shows a good agreement with that of other studies [21, 22], In other words, both studies confirm the negative impact of the Adriamycin drug on the supporting cells of Oocytes. Such as the Granulosa cells or the Theca follicle cells, which causes changes in the growth and maturation of ovarian follicles. This will eventually result in the decomposition of ovarian follicles. On the other hand, the results of this work agree with that of (the Andreeva et al [23]), about the impact of Adriamycin drug in the female reproductive system in rats. Both studies show a decrease in the number of mature Oocytes and an increase in the rate of fertilized Oocytes death after a month of use of the single dose. This result is also inconsistent with the study of (Shima [24]) on mice, females injected with Adriamycin drug. The latter study showed a steady decline in the number of the Graafian follicles, and a decrease in the fertility rate as compared with the natural average in a direct proportion with the amount of the dose. Finally, the obtained result agrees with that of (Borovskaya [25]). The latter work referred to the impact of the two on traseklinat (Adriamycin and Alvarmorubisan) in preventing the occurrence of any pregnancy for female rats, which matted after one day of the use of the drug. The study attributed the result to toxicity influence of these compounds on the Graafian follicles.

B. Changes study and sexual hormone disorders

Through the hormonal analysis conducted on the main group injected with the drug without preventive dose (A), and its comparison with the control group (table 2) and the standard field for each phase of the ovary for each of the sex hormones (FSH & LH & Estradiol & Progesterone) (table 1) in order to identify the phases of ovarian accurately, the following has been observed:

-The presence of hormonal disorder cases, which has some of them led to early menopause (infertility, sexual) with a ratio of (2/5), this event took place after the third day of the drug injection (in the first time (AI). It then increases until reaches (4/5), after the fifth day of the injection (in the second time (A-II). At the third time (A-III) it back down to the rate of (2/5), and reaches (1/5) in the fourth time (A-IV). This is attributed to the partial disposal of the drug as a result of the drug metabolized and its secretion in the urine and feces [20]. However, the mutation of effect continues.

-Devoid of all members of this group of Ovulation phases or Luteal phase, except the appearance of a single case of the Luteal phase in the fourth time (A-IV). However, the rest of the follicular phases are primitive. This sexual hormonal disorder is related to the imbalance in the histological structure of the ovary. These findings are inconsistent with that of our previous study [18], which is conducted on women, used the Adriamycin drug. The results showed the presence of temporary menstruation outages, at the beginning of the usage of the drug with a ratio (92.5%). It then followed by disorders of menstruation during the treatment period with ratio reached (86.41 %). This led 15.38 % to reach an early postmenopause, as a result of the sexual hormones (FSH & LH & Estradiol) disorders. These findings also agree with several studies about the impact of Adriamycin drug at the level of female hormones (Salmon and his colleagues [26]). The latter investigation showed disturbances in the level of hormones for women had undergone a chemotherapy that consists of a group of drugs (5-fluorouracil, Adriamycin Cyclophosphamide, and BCG). The results also consist with the results of (Shamberger and colleagues [27]). This study referred to the presence of disorder in the menstrual cycle, and a temporary menopause, when women had undergone chemotherapy with Adriamycin, Ayclophosphamide and Methotrexate drug.

To summer it up, the Adriamycin drug may cause the occurrence of decomposition and damage of all ovarian follicles, and especially Graafian follicles that secrete the Estradiol hormone. This hormone plays a fundamental role in the ovarian cycle, through the hormonal control on the exporter follicles hormonal (FSH) (through the Negative Feed Back mechanism). Also the Ovulation hormone (LH) which plays an important role in the maturation of Graafian follicles and the occurrence of Ovulation (through the positive feedback mechanism) [29, 30]. The damage caused by the drug is a bug in the harmony and coordination, resulting from the toxic effects of the drug on the ovary, which led to the breakdown and killing of Granulosa cells in Graafian follicles, which is the main producers of Estrogen hormones, such as the Estradiol. This led to a defect in all sexual hormones, disorders of the ovaries session, and early post-menopause, which led to prevent the ovary from reaching the phase of evolution.

Table 1: shows the percentages of normative sex hormones developed for each of the phases [28]

Table ratios hormonal female, heterosexual

(Eestradiol II hormone)
E 2 Pg/ml

 (Progesterone II hormone)
Pro Normal/ml

(Luteinizing hormone)
LH MIU/ml

(Follicle-stimulating hormone)
F. S. H MIU/ml

phase

12.5 – 166

0.6 – 4.7

2.4 – 12.6

3.5 – 12.5

(Follicular phase)

85.8 – 498

2.4–9.4

14.0 – 95.6

4.7 – 21.5

(Ovulation)

43.8 – 211

5.3 – 86

1.0 – 11.4

1.7 – 7.7

(Luteal phase)

<5.00 – 45.7

0.3 – 2.5

7.7 – 58.5

25.8 – 134.8

(POs-menopause)


Table 2: shows the results of the analyzes of sex hormones in female hamsters injected with the drug without protective dose

GroupHome Subset Sample number F. S. H(MIu/ml) L. H(MIu/ml) Pro(Nmol/ml) E. S(Pg/ml) Characterization of the situation
Injected group with Adriamycin drug without protective (A) Control 1 14.89 67.56 3.04 259.90 Ovulation
2 13.65 45.78 5.84 258.70 Ovulation
3 15.67 54.65 7.09 423.50 Ovulation
4 1.08 2.01 22.42 156.00 Luteal phase
5 2.60 2.32 14.65 169.90 Luteal phase
First time(A-I) 1 2.90 1.09 59.69 67.10 Luteal phase
2 21.98 53.01 1.29 13.65 I started ovary disorder
3 26.89 47.98 1.18 5.00 postmenopause
4 3.05 2.03 22.63 68.73 Luteal phase
5 2.99 8.40 12.72 55.11 Luteal phase
Second time(A-II) 1 50.07 41.54 1.49 5.57 postmenopause
2 4.75 11.87 1.38 122.6 Follicular phase
3 23.67 43.89 1.35 15.37 I started ovary disorder
4 24.06 51.01 0.86 11.64 I started ovary disorder
5 46.06 57.09 0.38 6.33 postmenopause
Third time(A-III) 1 3.47 9.35 4.20 163.5 Follicular phase
2 25.00 58.98 1.32 13.72 I started ovary disorder
3 25.04 53.60 2.06 14.32 I started ovary disorder
4 3.56 4.94 3.84 24.81 Follicular phase
5 3.78 3.20 4.02 30.41 Follicular phase
Fourth Time(A-IV) 1 1.50 1.57 2.39 45.24 Follicular phase
2 22.142 43.78 2.90 16.01 I started ovary disorder
3 3.89 3.67 13.87 168.07 Luteal phase
4 2.98 1.07 4.86 152.30 Follicular phase
5 4.02 2.41 0.56 50.01 Follicular phase

Second Group: oral administrated with preventive dose (honey with royal jelly) and injected with Adriamycin drug (H+A)

A. The study of histological decomposition and apoptosis

The histological study of Graafian follicles in this group showed

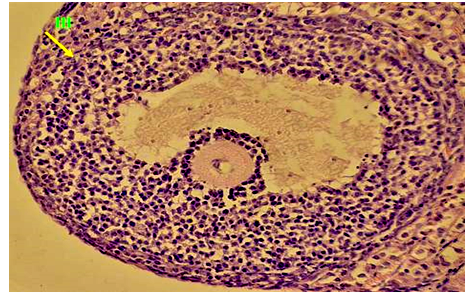
  1. After three days of Adriamycin drug injection, with continued dosing of preventive dose (H+AI), a decrease in the number of natural Graafian follicles has been obtained, in comparison with the control group. However, the decomposition was lower than the group (AI). The decomposition, in decaying follicles, is represented with the destruction of the Cumulus operas, the spread of the Granulosa cells inside the cavity as a result of the loss of connection with each other, and nuclei rush towards the Zona pellucid as a result of the Granulosa cells Membranes laceration. Furthermore, there will be a thinning in the Theca folliculi, appearance of the few gaps inside, and migration of the Granulosa cells away from the basement membrane. However, the Oocyte cytoplasm has shrunk, and all their nuclei had settled laterally (fig. 11). Moreover, the Granulosa cells' divisive ability is moderate as compared to a control group given preventive dose (fig. 12).
  2. After five days of Adriamycin drug injection with continuing oral administration preventive dose (H+A-II), an increase in the reduction and decomposition of natural Graafian follicles as compared to the control group has been observed (despite the presence of Graafian follicles in the early stage, which her morphology tends to be complete, but in a small size and a low number of the Granulosa cells). Furthermore, some follicles showed more degeneracy as compared to the first time (H+AI). Also, in addition to histological degeneration and decomposition appeared at the time I, new degenerations were found, such as the fragmentation in chromatin, Condensation of Granulosa cells, increased Cumulus oophorous damage as a result of the spacing Granulosa cells from each other, breadth of the Zonapellucida (as a result of partial loss of contact between the Oocyte and Granulosa cells, and spacing itself from the Basement membrane), and the thinning of the Theca folliculi. However, concerning the Oocyte nucleus, it takes a terminal positioning (fig. 13). On the other side, the Granulosa cells' divisive ability remains moderate at the early stage of Graafian follicles, with decreases in the decaying Graafian follicles (fig. 14).
  3. After ten days Adriamycin drug injection, with continued oral administration, dosing preventive dose (H+A-III), Graafian follicles showed a clear decline concerning the degradation as compared with the time II (H+A-II). In addition, there was an increase in the number of semi-natural Graafian follicles in early stages. Nevertheless, the morphology of Graafian follicles in the early stage in this group has a perfectly similar arrangement to the complete Graafian follicles, with the presence of some traces of decomposition, such as a little spread in the Granulosa cells within the antrum, and spaces in the thin Theca folliculi. However, the Oocyte are semi-normal and its central nuclei are central (in spite of its terminal existence at some of the Oocytes in the Graafian follicles). This is in addition to the presence of fatty gaps, and partial shrinkage in its cytoplasm (fig. 15). As for the divisive ability of the Granulosa cells, there was a clear improvement as compared with the first and second-time (H+AI) (H+A-II) (fig. 16).
  4. Fifteen days after drug Adriamycin injection, with a continues oral administration preventive dose, (H+A-IV) Graafian follicles seem normal and almost complete. However, there have been a few layers of the Granulosa cells. In addition, the oocytes are normal with few fatty gaps as compared with the control group. The number of complete Graafian follicles in the different ovaries is between little and medium, whereas the size of these follicles is larger than those of the control group (fig. 17). In addition, the divisive ability in these follicles seems to be normal as compared with the control (fig. 18).

Comparing the previous results with the group (A) and control group, we find that honey with royal food had contributed to alleviate the toxic effects caused by the drug in ovarian Graafian follicles. The level of decomposition was much less during the first time (H+A-I) as compared with the same time in the major Group (AI) (although the toxicity shock stage of the drug). On the other hand, the recovery appeared to have started in the second time (H+A-II). However, these results seemed to be contrary to what happened at the same time in the group (A-II). Nevertheless, the decomposition increased in this group without the presence of youthful Graafianfollicles, which morphologically like Graafian follicles as in the group (H+A-II). This indicates the speed of the restoration of ovarian cycle to its normal position as a result of the inducers in the preventive dose that incites the development of the rest of the ovarian follicles to Graafian follicles (as it will be seen Later in the hormonal study). This incitement was not seen in the Group (A), and only decomposed Graafian follicles may appear. In general, all the ovaries of hamster females oral administrated with honey and royal jelly could arrive to full normal Graafian follicle stage or near-normal in the third and fourth times, despite the existence of drugs. This is what the group, injected with drugs without preventive dose, is missing (group A).

This study also showed that honey and royal jelly have been stopped the toxic effect exerted by the drug on the ovary, especially on the Graafian follicles. This is attributed to the presence of antioxidants and amino acids in honey and royal jelly, which contribute in warding off the mutative direct influence of chemical drugs on the DNA molecules [31-33]. This is the effect of Adriamycin drugs on the D. N. A, where, the drug associate with the D. N. A., and randomly with the Nitrogenous bases in D. N. A bands through forming Covalent bonds and non-covalent This may cause destruction of the molecules of DNA and RNA, in reproductive cells [34-36]. Honey and royal jelly could also play a major role in the inhibition of a large number of physical and chemical mutagens [37], where sugars cause closing the sensitive sites in DNA that can be attacked by the mutant or carcinogenic. Thus, they contribute in protecting the Granulosa cells from the toxic effects caused by the drug. This is can be also attributed to the presence of Flavonoides in the honey, which has the inhibition property toward some chemical mutagens. This may can reduce the fractures and cracks of DNA, resulting from the connection between mutagens or toxic compounds and the DNA. Flavonoides play an important role in increasing the activity of the enzyme GST. This is considered one of the enzymes that have the inhibitory ability to some mutagenic or toxic substances [38]. This is in addition to the ability of honey with the royal food to increase the stimulation divisive ability of proliferative cell, through increasing the effectiveness of the enzyme Glutathione Reductase. It also helps in stimulating the division and growth of cells, and contributes to the convert Glutathione from the non effective form to the effective form, where it plays a role in the formation of some antioxidant enzymes (Glutathione Peroxidase and E, Glutathione-S-transferase), which play the main role in the cell defense against toxic substances, through its association with it [39]. At the same time Vitamin (C) in honey, acts also in closuring the sensitive sites in the DNA through its association with it, and preventing the mutative from reaching it [40]. Thus, the preventive dose is considered to have contributed in protecting the ovaries from the effect of drug toxic on the tissues and especially on the Graafian follicles that mainly produce ovarian hormones that helps maintain the level of hormones in natural form or semi-natural form. In fact, this is what you will see in the hormonal study for this group.

Comparing the results of this study with previous studies, showed that there is a consensus with several studies on the role of honey in warding off the effects. AL-Rubaie 2006 [41], referred to the role of honey in inhibiting effects and toxicity of the mitomycin-C drug-(chemotherapy drug given to cancer patients) on bone marrow cells, and sexual cells in the testes of albino mice male. The mutagen rate had dropped in sexual cells and bone marrow cells as compared to the group injected with the drug only. These results also agreed with AL-Mugara 2007 [42] study about the inhibition of the mutagen act of phosphate zinc, using natural honey for white mice. The study investigated the rates of sexual cell division, and the percentage changes in chromosomal abnormalities in the head of sperms. The investigation showed the ability of honey reactive inhibitory carried out by the pesticide. The student agrees with the study of AL-Rubaie 2009 [43], which showed the role of natural honey as an anti-mutation produced by Methotrexate drug (drug chemotherapy for cancer patients) for male albino rats, and its ability to inhibit the mutative reaction of the drug which inhibits the cell divisions in all cells (sexual and somatic cells). The study has also agreed with another study [44] about the inhibition of natural honey of the toxic effects caused by the pesticide Brodidacoum on somatic cells (bone marrow) and sexual cells (taste cells) for white mice, after analyzing the cellular genetic through lasting the cell division index, tissue changes, and chromosomal abnormalities of sperm heads. This study showed a decrease in the ratio of distortions and histological changes, chromosomal aberrations and an increase in the sexual cell division index

B. Changes and sexual hormone disorders study

Through hormonal analysis conducted on the main group, which orally administrated with preventive dose of honey with the royal food, and injected with Adriamycin drug (H+A) (table 4), and comparing it with drug injected group without preventive dose (A) (table 2), taking into account the standard range field for each phase of the ovary phases and of each of the sexual hormones (FSH & LH & Estradiol & Progesterone) (table 1), in order to identify accurately the ovarian phases; we conclude the following:

-Increase in the Ovulation phases of normal control group, orally administrated with preventive dose. The most are Ovulation phases with a ratio (4/5) of ovulation as compared with the natural control group, where the rate of Ovulation is (3/5).

-The absence of disorder cases in sexual hormones or case approaching the early post-menopause (cases of infertility). However, cases of Ovulation at all times has been observed, despite its decline in the second time (H+A-II), as a result of an increase in decomposition of Graafian follicles. This indicates that the ovary could re-develop the rest of the ovarian follicles to youth Graafian follicles, and led to a rise in the number of Ovulation phases in the third and fourth time. The rate of Ovulation became 3/4 as compared with the group injected with Adriamycin drug without preventive dose (A). Some of these cases reached early menopause and were free from Ovulation phase.

-The ratio of the Progesterone hormone increased at a rate of (2/5) in the control group. In the second time (H+A-II) this rate had fallen to reach (1 / 5), and then increased again to the rate of (2/5) at the third time III (H+A-III), and eventually in the fourth time (H+A-IV), the rate, reached the ratio (4/3). However, most of these heights are in the Ovulation phase.

-The increase is also observed in the Eestradiol hormone ratio. This arrived at the normal upper limit of the phase, which represents (more than 400 Pg / ml), and within the range of the control. However, this rate fall in the second time (H+A-II), and back to increase in the fourth time (H+A-IV) within the scope of phase representation. However, In the main group injected with the drug only (A), this rate decreases.

The height of the Ovulation phase's number and that of ovarian hormones rates after falling in earlier times can be attributed to the influence of intoxication shock at the beginning of the injection of the drug, which led to partial a reduction in the Ovulation phase's numbers, and hormonal ratios. This is unlike the group (A) which had the same action as that in the group (H+A), but with clearer and larger form. This result is related to the role of the preventive dose (honey with royal jelly) in protecting the tissue is the structures of the ovary, through which the ovary was able to re-developing the rest of the ovarian follicles to youth Graafian follicles after the decomposition of the Graafian follicles, which is completely affected by the drug and was working to curb the development of the rest of the follicles (this is shown by histological study). This helped the rest of ovarian follicles to complete the development into Graafian follicles, and thus, increased in the number of Ovulation phases in the group (H+A). However, the group (A) did not show an Ovulation phase, despite metabolizing and excreting the drug in the urine and feces [20]. In addition, the preventive dose could protect the combinations, structures producing ovarian hormones from the mutative influence of the Adriamycin drug. Moreover, the preventive dose stimulates the cells producing different sexual hormones to produce these hormones, despite the influence of the toxic effects on the cells. In addition to the presence of some sexual hormones in the components of preventive dose in its natural forms, as in the royal Jelly.

Ovarian hormones (Eestradiol& Progesterone) are naturally present in honey and royal jelly in addition to some biological factors that stimulate for more synthesis of these hormones [16, 17]. Many researchers, [45, 46] have confirmed the similarity between the role of honey with the royal food and some hormones in stimulating the gonads, and raising the level of pituitary hormones, and the sexual and somatic activity in both males and females. Thus, they activate the gonads, with increasing the weights of the ovaries and uteruses for rats female. Consequently, they increase the number of Graafian follicles and corpora lutea. All these results refer to the similarity between the effects of honey with the royal food and that of female and male hormones (Estradiol & Progesterone, and Testosterone) in rats male. Townsen&Abott [47] confirmed these roles of honey with the royal food in the revitalization of female reproductive glands.

Table 3: shows the analysis of sex hormones in female hamsters injected with the drug after oral administration with honey and royal jelly

Group Home Subset Sample number F. S. H(MIu/ml) L. H(MIu/ml) Pro(Nmol/ml) E. S(Pg/ml) Characterization of the situation
injected Group with Adriamycin drug and a preventive dose (honey, royal jelly))H-A( Control honey, royal jelly 1 3.50 5.43 20.59 174.40 Luteal phase
2 12.32 16.87 22.62(High) 209.7 Ovulation
3 18.50 55.70 9.29(High) 423.00 Ovulation
4 13.67 15.43 28.33 276.00 Ovulation
5 19.67 85.36 9.12 480.01 Ovulation
First time(H-A-I) 1 14.40 18.01 2.11 275.69 Ovulation
2 3.32 2.21 76.53 146.62 Luteal phase
3 2.45 2.13 75.07 134.33 Luteal phase
4 16.04 65.87 10.99(High) 373.73 Ovulation
5 17.94 84.78 19.20(High) 411.21 Ovulation
Second time(H-A-II) 1 4.12 8.02 77.35 149.92 Luteal phase
2 1.73 10.13 79.44 165.60 Luteal phase
3 5.62 4.98 72.51 130.20 Luteal phase
4 14.83 69.56 17.32(High) 318.21 Ovulation
5 8.50 12.30 4.61 157.84 Follicular phase
Third time(H-A-III) 1 6.87 9.02 71.88 162.00 Luteal phase
2 11.94 9.45 4.15 165.42 Follicular phase
3 20.01 80.67 15.67(High) 280.75 Ovulation
4 15.32 85.67 8.96 221.4 Ovulation
5 6.99 1.43 90.02(High) 119.98 Luteal phase
Fourth Time(H-A-IV) 1 18.65 75.01 18.71(High) 352.98 Ovulation
2 19.65 85.34 11.98(High) 480.96 Ovulation
3 7.80 4.50 60.00 174.19 Luteal phase
4 20.45 80.11 14.37(High) 445.94 Ovulation
5 - - - - death

As a result, the preventive dose of honey with royal jelly was able to ward off the side effects of the drug, and to avoid the hormonal disorders or approach to impotence sexual by maintaining the structure of the ovarian follicle tissue, particularly Graafian follicles. This preventive dose stimulated also the synthesis of hormones that stalled its production because of the toxicity of the drug. This is in addition to the presence sex hormones, which contributed in maintaining the vitality of the ovary and the ovarian cycle.

Fig. 3: Transverse section in Degradable Graafian follicles in the ovary of females injected with Adriamycin drug without protective dose (the first time (AI)-(H & Ix400) Fig. 4: Transverse section in Degradable Graafian follicles in the ovary of females injected with Adriamycin drug without protective dose (the first time (AI)-(Ki67x400)
Fig. 5: Transverse section in Degradable Graafian follicles in the ovary of females injected with Adriamycin drug without protective dose (the second time (A-II)-(H & Ix400) Fig. 6: Transverse section in Degradable Graafian follicles in the ovary of females injected with Adriamycin drug without protective dose (the second time (A-II)-(Ki67x400)
Fig. 7: Transverse section in the early stage of Graafian follicles in females injected with Adriamycin drug without preventative doseThe third time (A-III)-(H & Ix400) Fig. 8: Transverse section in the early stage of Graafian follicles in females injected with Adriamycin drug without preventative doseThe third time (A-III)-(Ki67x400)
Fig. 9: Transverse section in the Graafian follicles (incomplete) in females injected with Adriamycin drug without preventative doseThe fourth time (A-IV)-(H & Ix400) Fig. 10: Transverse section in the Graafian follicles (incomplete) in females injected with Adriamycin drug without preventative dose(The fourth time (A-IV)-(Ki67x400)
Fig. 11: Transverse section in the most Graafian follicles decomposition in the females injected with the drug and administrated with the preventive dose (the first time (H+AI)-(H & Ix400) Fig. 12: Transverse section in the most Graafian follicles decomposition in the females injected with the drug and administrated with the preventive dose (the first time (H+AI)-(Ki67x400)
Fig. 13: Transverse section in small size Graafian follicles in females injected with the drug and administrated with the preventive dose (the second time (H+A-II)-(H & Ix400) Fig. 14: Transverse section in small size Graafian follicles in females injected with the drug and administrated with the preventive dose (the second time (H+A-II)-(Ki67x400)
Fig. 15: transverse section in youthful Graafian follicles in females injected with the drug and administrated with the preventive dose (the third time (H+A-III)-(H & Ix400) Fig. 16: Transverse section in youthful Graafian follicles in females injected with the drug and administrated with the preventive dose (the third time (H+A-III)-(Ki67x400)
Fig. 17: Transverse section in recuperative full Graafian follicles in females injected with the drug and administrated with the preventive dose (The fourth time (H+A-VI)-(H & Ix200) Fig. 18: Transverse section in recuperative full Graafian follicles in females injected with the drug and administrated with the preventive dose) the fourth time (H+A-VI)-(Ki67x200)
  1. Decomposition of the Oocyte membrane.
  2. Shrinkage of Oocyte cytoplasm.
  3. Presence of the gaps in the Oocyte and the lipid bodies in its cytoplasm.
  4. Decomposition of the nucleus of the Oocyte.
  5. The distribution of the nucleus contents in the Oocyte cytoplasm.
  6. Decomposition of the nucleic chromatin in the of Oocyte.
  7. Decentralization of the nucleus.
  1. Gaps between the basement membrane and the follicle's Surrounding tissues and the alienation of the Granulosa cells of the basement membrane.
  2. Gaps in Theca folliculi.
  3. Thinning and decomposition of Theca folliculi.
  1. Loss of contact within the Granulosa cells
  2. Disturbance of the Granulosa cells into the antrum.
  3. Decomposition of the Cumulus oophorous.
  4. Disappearance of the desmosomes crunching the Granulosa cells with the Oocyte.
  5. Expansion of the Zona pellucid.
  6. Shrinkage of the skeletal and cytoplasm of the Granulosa cells.
  7. Decomposition of the cytoplasmic membrane, and rush of its nuclei to the Zona pellucid.
  8. Karyorrhexis of the nucleus of the Granulosa cells.
  9. Condensation of chromatin forward the membrane of the Granulosa cells.

Conclusion

1-The Adriamycin is one of the drugs that gives negative effects on the structure of the ovary tissue, and especially the Graafian follicles, thus, there is a lack of Ovulation, and hormonal disorders. And dramatically weaken the divisive ability of Granulosa cells.

2-Injected with the drug without preventive dose, Hormonal disorders cause an early menopause (impotence sexual) in female hamsters.

3-The drug destroys the histological structure and weakens the divisive ability of Graafian follicles of female hamsters injected with a drug without preventive dose, Consequently, This will effect negatively the hormonal ovary functions (Estradiol and Progesterone) and therefore, the rest of the sex hormones (FSH & LH).

4-Honey with the royal food could weaken the toxic effect of the drug, and thus maintain the ovary vitality, and the histological structure and the divisive ability of the Granulosa cells. This enhanced the presence of Ovulation during different time.

5-Honey with royal jelly pleads an important role in maintaining the levels of ovarian hormones (Estradiol and Progesterone), through maintaining tissue structure of Graafian follicles, and the Granulosa cells that produce these hormones.

6-The presence of natural hormones in the royal food may play an important role in stimulating the synthesis of these hormones.

7-The preventive dose contributed in preventing the hormonal disorders or the early menopause (impotence sexual). On the contrary, it improved the number of the Ovulation phases.

Recommendations

Because honey and royal jelly are of natural foods and harmless to humans, it is desirable to women, treated with Adriamycin drug, to take honey with the royal food as the preventive dose. This compound protects the ovary from the drug toxicity, and maintains its histological and functional vitality. Consequently, get rid of hormonal disorders and menstrual, and the bothers related to menopause.

CONFLICT OF INTERESTS

Declared None

References

  1. Goth A. Medical pharmacology principles& concepts. The CV Mosby company, 10th Ed. Saint Louis; 1981. p. 701-12.
  2. Rose D, Davis T. Effects of adjuvant chemohormonal therapy on the ovarian and adrenal function of breast cancer patients. Cancer-Res 1980;40:4043-7.
  3. Ahmd N, Gupta P, Cicogrge K. Sub acute toxicity or cypermethrin in rats. J Environ Biol 1989;10(3):309-17.
  4. Lowry W. Unwanted effects of cytotoxic drugs Bibliographic citation. Prescriber's J 1970;10:132-4.
  5. Romanini A, Febi G, Danesi R, Del-Tacca M.  Recenti acquisizioni farmaco-tossicologiche cliniche sulla adriamicina (Recent pharmacotoxicologic and clinical findings on adriamycin). Minerva Med 1985;76(40):1863-76.
  6. Villani P, Orsiere T, Duffaud F, Digue L, Bouvenot G, Botta A. Genotoxic and clastogenic effects of doxorubicin. Therapie 1998;53(4):391-5.
  7. Young R, Ozols R, Myers C. The anthracycline antineoplastic drugs. N Engl J Med 1981;305(3):139-59.
  8. Brenner GM. Pharmacology. Philadelphia. WB Saunders Company USA; 2000.
  9. Mycek MJ, Harvey RA, Champe PC, Fisher BD. Lippincott has illustrated reviews: pharmacology. Philadelphia: Lippincott Williams & Wilkins USA; 2000.
  10. Stevn M, Zeman, Don R, Phillips, Donald M. Crothers characterization of covalent Adriamycin-DNA adducts. Biochem Natl Acad Sci USA 1998;(95):11561–5.
  11. Curreculum C, Translated by Mendo W, KH Jonee M. Internal Medicine. sciences kuds; English book, 11ed. Arabic book, 1sted. Syria; 2006
  12. Binaschi M, Capranico G, Dal Bo L, Zunino F. The relationship between lethal effects and topoisomerase II-mediated double-stranded DNA breaks produced by anthracyclines with different sequence specificity. Molecular Pharmacol 1997;(51):1053-9.
  13. Rang HP, Dale MM, Ritter JM. Pharmacology, 4thed. Edinburgh: Churchill Livingstone; 2001.
  14. Suwalsky M, Hemandez P, Villena F, Aguilar F, Sotomayor C. The anticancer drug Adriamycin interacts with the human erythrocyte membrane. Z Natuforsch C Mar 1999;54(3-4):271-7.
  15. Bogdanov S. Honey as nutrient and functional food. J Bee Product Science, 15 January, 2012. Available from: www.bee-hexagon.net
  16. Bogdanov S. Royal Jelly. Bee Brood: Composition, Health, Medicine. J Bee Product Science. Available from: 15 January 2012; www.bee-hexagon.net
  17. Company Draper’s Super Bee Apiaries, Inc 2012. Available from: www.draperbee.com
  18. Taweelh A, Kassem M, Khanji Y. Study of the effect of Adriamycin on the Graffian follicles & oocytes in albino mice and compare it with sexual activity in women taking this drug. J King Abdul Aziz Bull "Sci" 2010;23(2):239-78.
  19. Al-Khateeb M, Abo galoon S. science the cell and embryology, Ch2. Aleppo University: 1sted. Syria; 2000. p. 153.
  20. Product information adriamycin. Pfizer australia pty ltd version: pfpadrii 10107, Australia; 2007. p. 160.
  21. Wallace H, John A, Thomas, Donald E. Gardner. Target organ toxicology series. CRC Press; 1ST Ed. London; 2004. p. 250.
  22. Jones RE. The vertebrate ovary. Comparative biology and evolution, Plenum Press: New York; 1978. p. 249.
  23. Andreeva E, Borovskaia T, Fommina T, Filippova M. Late effects of damaging action of doxorubicin on reproductive system and progeny of rats. J Antibiotiki I Khimioterapiia 1992;37(5):32-4.
  24. Shima Y. Quantitative study on the effect of oncostatic toxicity on murine fertility. Nippon Sanka Fujinka Gakkai Zasshi 1994;46(7):589-96.
  25. Borovskaya T, Goi'dberg E. Effects of anthracyclines onreproductive function in rats. Bull Exp Biol Med 2000;130(11):572-30.
  26. Samaan N, deasis D, Buzdar A, Blumenschein G. Pituitary-ovarian function in breast cancer patients on adjuvant chemotherapy. J Cancer 1978;41(6):2084-7.
  27. Shamberger R, Sherins R, Ziegler J, Glatstein E, Rosenberg S. Effects of postoperative adjuvant chemotherapy and radiotherapy on ovarian function in women undergoing treatment for soft tissue sarcoma. J Natl Cancer Inst 1981;67(6):1213-8.
  28. Roche diagnostic company: Elecsys and cobas e analyzers. 2010-8, V17, Sandhofer Strasse 116, D-68305 Mannheim; 2010.
  29. Leung LW, Tsai Wong A. Pharmacology of ginsenosides. J Chin Med 2010;5-20.
  30. Picazo RA, Cocero MJ, Barragan ML, Sebastian AL. Effects of LH administration at the rate of an FSH superovulatory regimen on ovulation rate and embryo Production in their breeds of sheep. J Theriogenol 1996;45(5):1065-73.
  31. Gheldof N, Wang XH, Engeseth NJ. Identification and quantification of antioxidant components of honeys from various floral sources. J Agric food Chem 2002;50(21):5870-7.
  32. Perez RA, Iglesias MT, Pueyo E, Gonzalez M, DE Lorenzo C. Amino acid composition and antioxidant capacity of Spanish honeys. J Agric Food Chem 2007;55(2):360-5.
  33. Vela L, DE Lorenzo C, Perez RA. Antioxidant capacity of Spanish honeys and its correlation with polyphenol content and other physicochemical properties. J Sci Food Agric 2007;87(6):1069-75.
  34. Brenner GM. Pharmacology. Philadelphia WB Saunders Company, USA; 2000.
  35. Mycek MJ, Harvey RA, Champe PC, Fisher BD. Lippincott’s illustrated reviews. pharmacology, Philadelphia: Lippincott Williams and Wilkins USA; 2000.
  36. Stevn M, Zeman, Don R, Phillips, Donald M. Crothers characterization of covalent adriamycin-DNA adducts. Biochem Natl Acad Sci USA 1998;(95):1561-5.
  37. Deflora S, Ramel G. Mechanism of inhibitor of mutagenesis and carcinogenesis. Classification and overview. Mutat Res 1988;(202):285-306.
  38. Miski M, Ulubele A, Mabry TG. Hydroxy flavones from Thymbraspicata. J Phytochem 1983;(22):2093-94.
  39. Struznka L, Chalimoniuk M, Sulkowskti G. The role of asteroglia in ph-exposed adul rat brain with respect to glutamate toxicity. J Toxicocol 2005;212(2-3):185-94.
  40. Mita S, Yamazo Y, Kamataki T, Kato R. Effect of ascorbic acid and non-enzymatic binding to DNA and the mutagenecity of N-hydroxylaed Metabolite of tryptophan phrolysis product. Biochem Biophys Res Commun 1982;(105):1396-401.
  41. Al Rebeaie HH. Effect of the natural Honey in inhibition of the genotoxie effect of Mitomycin-C-drug in Mice Musmusculus. Babylon J Iraq 2006;13(3):500-15.
  42. Al Rebeaie HH. Inhibition of the genotoxie effect of the Zinc phosphide using the natural Honey in white mice. Babylon J Iraq Sci Congress Res 2007;(3):6-15.
  43. Al Rebeaie HH. The natural honey of anti-mutation produced by Methotrexate in white mice. Doctoral thesis University of Babylon, Iraq; 2009.
  44. Al Rebeaie HH. The natural Honey of anti-mutation produced by the brodifacum rodenticides, in white mice. Babylon University J Iraq 2010;18(5):1922-33.
  45. Cra Eva. Honey A comprehensivesurvey. Bee research association: London; 2000. p. 60.
  46. Ebeid AE. Some biological and pharmacological studies on bee venom sting and royal jelly of Apismellifera. MSc Thesis Fac Sci C Cairo University; 1998.
  47. Townsend GF, Morgan JF, Hazlett B. Activity of 10-hydroxydecenoic acid from royal jelly against experimental leukemia and ascetictumors. J Nat 1959;183(4670):1270-71.