
1Department of Pharmaceutical and Toxicological Chemistry, Peoples Friendship University of Russia (RUDN University), 6 Miklukho-Maklaya St, Moscow, 117198, Russian Federation, 2Moscow State University Named After M. V. Lomonosov, Leninskie Gory, 1, Moscow, 119991, Russian Federation, 3Department of Pharmaceutical Chemistry and Pharmacognosy of the Center for Collective Use (Research and Education Center) “Center for Quality Control of Drugs”, Рeoples’ Friendship University of Russia (RUDN University), 6 Miklukho-Maklaya St, Moscow, 117198, Russian Federation
Email: tupableona@gmail.com
Received: 09 Feb 2022, Revised and Accepted: 02 Apr 2022
ABSTRACT
Objective: The purpose of the study is to determine the biological activity components content of wolfberry (Lycium Barbarum L.) fruit originating from Albania. To unify the requirements for quality control of medicinal plant raw materials, it is advisable to study the qualitative composition and quantitative content of the components of this plant that determine the complexity of biological action-anti-inflammatory, neuroprotective, anti-cancer, vision-improving, and reproduction-enhancing effects.
Methods: Lycium barbarum L. fruits were analyzed for the content of total carbohydrates and fructans by spectrophotometry method. The organic acids, one flavonoid, and one scopoletin were identified and quantified by the HPLC method. Macro-and microelements were analyzed by ICP-OES.
Results: The results of the spectrophotometric analysis showed that total carbohydrate content and fructans content lie in the range of 21.763%-70.384% and 19.90-20.25%. Rutin, the main flavonoid compound in Lycium barbarum L. fruits, and scopoletin, a coumarin compound, contents lie respectively in the range of 2.10–5.48 mg/g and 0.48-0.76 mg/g. Potassium (K) is the predominant element in fruits, the content of which was 6740.75 μg/g.
Conclusion: Lycium barbarum L. fruit is a rich source of important biologically active substances. Further, the resulting data are going to be used to establish a monograph for Lycium barbarum L. fruits.
Keywords: Lycium barbarum L., Extracts, Polysaccharides, Fructans, Flavonoids, Organic acids, Mineral elements
© 2022 The Authors.. Published by Innovare Academic Sciences Pvt Ltd. This is an open-access article under the CC BY license (https://creativecommons.org/licenses/by/4.0/)
DOI: https://dx.doi.org/10.22159/ijpps.2022v14i6.44375. Journal homepage: https://innovareacademics.in/journals/index.php/ijpps.
Scientific interest in Lycium barbarum L. was manifested in the middle of the 20th century and was associated with numerous data testifying to the biological effects of this plant and instrumental capabilities of isolation and analysis of biologically active substances [1]. Lycium barbarum L. fruits (wolfberry, goji berry, Duke of Argyll's tea plant, Tibetan barberry) included in the Solanaceae family are a traditional food, therapeutic/medicinal plants of South-East Asia which have also become increasingly popular in Europe and North America [2]. The increasing therapeutic use of the plant in therapy has urged scientists to investigate its biological potency [3]. All varieties of Lycium belong to the taxonomic rank: division-flowering, class-dicotyledonous, family-Solanaceae, tribe-Lycieae, genus–Lycium, including more than 90 species. In China, are found seven of these species. According to [4] in the world are registered only 35 Lycium species for use in dietetics and medicine: in America and Africa are found 85% of Lycium species, of which only 26% are used. Of fourteen species in Eurasia-only nine species are used. and L. Сhinense-in China. Lycium barbarum L. is a perennial deciduous branching shrub 1-2.5 m tall with long. The fruit is a red berry, 8-18 mm long. The berries are harvested ripe, dried to the state of a wrinkled pericarp, and exposed to direct sunlight until the exocarp becomes dry, solid, and the pulp is soft [5]. For a long time, fruits, leaves, bark, roots, and young shoots of Lycium have been used as components of food and biologically active substances. Lycium barbarum L. fruits contain polysaccharides, carotenoids, polyphenols, flavonoids, alkaloids, amides, peptides, anthraquinones, coumarins, lignanoids, terpenoids, steroids, organic acids, glycolipids and a stable analog of ascorbic acid named 2-O-β-d-glucopyranosyl-l-ascorbic acid (AA-2βG). The ability of polyphenols and flavonoids are well known and may prevent skin cancer development due to the reduction in oxidative stress and alteration of cytokine activity. This cell-protective effect is highly desirable in the treatment of Alzheimer’s disease [6]. The biological activity of Lycium is mainly due to Lycium barbarum polysaccharides (LBP), which have demonstrated immunoregulatory and neuroprotective properties, antioxidant, anti-aging, antidiabetic, and anticancer effects [6]. The LBP is a novel prebiotic candidate for Bifidobacterium and Lactobacillus [7]. Prebiotic inulin-type fructans (polysaccharides such as β-2,1-linked fructans), present in LB fruits, can modify gut microbiota, increasing peristalsis, maintaining the balance of the microflora of the body, and improving diabetes [8]. In Lycium barbarum, fruits have been identified several flavonoids like the aglycones myricetin, quercetin, kaempferol, rutin, gentistic acid, and quercetin. Flavonoids from Lycium barbarum L. protect the blood cells and mitochondria against oxidative damages, according to [9]. Lycium barbarum L. (LB) also contains organic acids, such as citric, malic, fumaric, and shikimic acid. Organic acids can maintain the quality and nutritive value of fruits. They are used as antioxidants and preservatives. Also, several minerals of importance have been found in LB. [10]. For optimal functioning of the body, is necessary an adequate daily amount of minerals. The quality standards for Lycium plant (Fruit, Root Bark) are presented in the Pharmacopoeia monographs of China, Korea, Japan, USA, Great Britain and, as a rule, include sections: description, identification, purity, assay, containers, and storage [11].
A comparative analysis of the requirements for Lycium barbarum L. demonstrates a tendency to harmonize approaches to quality control of medicinal plant raw materials. However, there is significant variability in the qualitative and quantitative composition of biologically active components in Lycium plant raw materials of various origins [12]. Thus, the purpose of this research is to develop methods for the quantitative determination of Lycium barbarum L. biologically active components ̶ total carbohydrates, flavonoids, organic acids, and mineral elements in dried Lycium barbarum L. fruits cultivated in Albania for unifying Pharmacopoeial requirements.
Plant materials
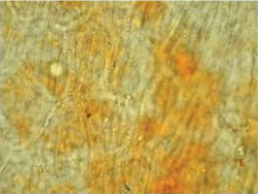
Lycium Barbarum L. dried fruits were purchased on a farm in Western Albania, National park Divjake-Karavasta (N 48° 13'23.2" E 25° 11'42.0), during the summer season in 2020. The plant raw material was identified by the most important external key features: the form of life, the type of fruit, and by microscopy identification (table 1) according to American Herbal Pharmacopoeia (fig. 1). Lycium Barbarum L. dried fruits were placed into separate plastic bags and vacuum sealed for storage and further use.
| 1 | 2 |
![]() |
![]() |
| a | |
![]() |
![]() |
| b |
Fig. 1: Light microscopy identification of Lycium barbarum fruits from 1) American Herbal Pharmacopoeia and 2) Microscopy Lycium barbarum sample. a-endosperm of thin-walled cells with oil droplets; b-exocarp showing prominent parallel cuticular striations
Chemicals and standards
Standards of polysaccharides D-fructose, D-glucose were of analytical grade (>95 % purity), standards of organic acids tartaric acid, malic acid, citric acid, ascorbic acid were of analytical grade (>99 % purity), rutin ≥94%, and scopoletin ≥99% were obtained from Sigma-Aldrich Chemical Co. (St. Louis, MO, USA). Nitric acid (Trace Metal Grade), Hydrogen peroxide, H2SO4 ACS reagent 95-98%, lead acetate ACS reagent, ≥99%, sodium phosphate ACS reagent ≥99.0%, resorcinol Reagent Plus 99%, hydrochloric acid ACS reagent 37%, were from Sigma-Aldrich Chemical Co.
Instruments used
Bathwater LOIP LB-162, laboratory-scale Sartorius LP 1200S, Liquid Chromatograph Pro Star Varian, Cary 100 UV-Vis Spectrophotometer, Pharmaceutical refrigerator Sanyo MPR-414F, temperature-controlled microwave (MW oven/system) (Milestone Ethos), Agilent 1200 HPLC with DAD, ICP-OES (Varian 720-ES, axial view of plasma).
Experimental
Determination of the total carbohydrate (TC) content of the extracts
The Lycium plant raw materials extracts were prepared as described in [13] for Tussilaginis farfarae folia and in a previous article [14]. The extract was obtained from 0.500 g of raw materials (d = 7 mm) in a mixture of H2O: H2SO4conc. (5.7:1) using by water bath with a reverse refrigerator (30 min) was filtered into a flask V = 100 ml with purified water. A blank determination was also carried out. The determination of TC was carried out by a spectrophotometric method with a phenol/sulfuric previously color reaction [15]. A mixture of 5% phenol solution and H2SO4conc. (1:5) was added to test tubes containing solutions of the standard sample (SS, glucose standard 4·10-3% in water), blank solution (BS), and extract (test solution) in volumes of V=1 ml, followed by a dilution of H2SO4 conc. to 10 ml. The absorbance measurements were performed after 30 min, at a wavelength of 490 nm, using a Cary UV-Visible Spectrophotometer Model 100 (USA) [16-18]. The TC content (X, %) was calculated by using the formula [14]:
…………….. (1)
Where, A is TC absorbance; A0 is SS absorbance; a is raw materials sampling weights, g; a0 is SS sampling weights, g; V is dilution volume for TC; W is moisture content of raw materials, %; P is the SS content, %.
β-2,1-Linked fructans of Lycium barbarum polysaccharide (LBP)
The hydrolytic cleavage of fructans into fructose
Extracts were obtained from a sample of 2.000 g of crushed raw materials (d=1 mm) in a boiling bath in two stages, including extraction of 60 ml of water (60 min) and 30 ml of water (30 min). The obtained extracts were combined in a flask V=100 ml, followed by the addition of 2.0 ml of 10% (w/v) of lead acetate aqueous solution and 4.0 ml of 5% (w/v) of sodium phosphate aqueous solution. The solution was filtered, discarded the first 10 ml, and diluted with water 20 times (solution A); SS–5.6·10-4% fructose solution; the reference sample (RS) is purified water.
The absorbance measurements of products formed after the cleavage of inulin with resorcinol in an acidic medium have performed at λmax=483 nm: 5.0 ml of 0.1% alcohol resorcinol solution and 10.0 ml of 30% hydrochloric acid were added to 5 ml of solution A, followed by heating at 80 °C (20 min) and dilution to 25 ml HCl. A blank determination was also carried out [19-21]. The fructans content (X, %) was calculated by the formula (1).
Flavonoids and coumarins
Quantitative analysis of flavonoids and coumarins was carried out by reverse-phase high-performance liquid chromatography (RP HPLC) with a diode-array detector (DAD). The sample preparation technique consisted in crushing the Lycium Barbarum L. fruits followed by double extraction with ethanol of different concentrations: 30, 50, 60, 70, 80, 96 % for 45 min and 15 min. The resulting extract was filtered into a 100 ml flask, brought to the mark with 70% ethanol [22]. Ethanol solutions of rutin (0.05, 0.005, 0.0005 %) and scopoletin (0.01, 0.001, 0.0001 %) were used as standard samples (SS). Quantitative analysis of flavonoids in the extracts was carried out by RP HPLC method using a Liquid Agilent 1200 chromatograph DAD, with an automatic dispenser, vacuum degasser, gradient pump, thermostat, and spectrophotometric diode-matrix detector of the same series manufactured in the USA. Chromatographic column: Nucleosil of Macherey-Nagel GmbH and Co. KG, Germany (100-3 C18, length–100 mm, inner diameter-4.6 mm, particle size-2.7 microns); temperature of the chromatographic column: +35.00 °C. HPLC analysis was carried out under the following conditions: mobile phase (a)-aqueous solution of formic acid (1%); (b)-ethyl alcohol 96% with the following gradient elution: 90% A and 10% B initially, decreased to 80% A in 10 min, decreased to 70% A in 20 min, decreased to 50% A in 30 min, decreased to 10% A in 40 min then maintained until 60 min. Flow rate 1 ml/min and sample volume 1 μl.
Organic acids
The determination of tartaric, malic, ascorbic, and citric acids was carried out by high-performance liquid chromatography (Shimadzu Prominence HPLC) with Restek HPLC column (l=300 mm, d=4.6 mm); A mixed solution of 0.1 mol/l H3PO4 and 0.1 mol/l KH2PO4-H2O was used as the pretreatment mobile phase the mobile, pH 2.2, using a with a flow rate of 1 ml/min isocratic elution procedure; λ =210 nm. Method: the prepared homogenate from 50 g of raw materials in 500 ml of water was centrifuged for 10 min at 4000 g. The supernatant fluid was passed through a 0.45 microns filter [23].
Vitamin C
The content of vitamin C (ascorbic acid) was determined by redox titration of 0.001 mol/l with a titrant-solution of 2, 6-dichlorophenolindophenolate sodium [24, 25] by using the formula:
……. (2)
Where 1 ml of 0.001 M solution of titrant is equivalent to 0.0088 mg of ascorbic acid; V is the volume of titrant, ml; m-the weight of raw materials, g; W is moisture content of raw materials, %; K-the correction factor.
Macro-and microelements in Lycium plant raw materials
The composition of elements in the sample’s raw materials was determined using inductively coupled plasma-optical emission spectrometry ICP-OES (Varian 720-ES, axial view of plasma).
(ICP-OES, Thermo Fischer Scientific, Bremen, Germany). The Lycium Barbarum L. fruits were mineralized by treatment with concentrated solutions of HNO3 and H2O2 at 170 °C until digestion was complete [26, 27]. The content of any elements (which are analyzed by ICP-OES methods) X (ppm) was calculated by the formula:
………. (3)
Where C is the TC element concentration, µg/ml; 50 is dilution volume; m is the weight of raw materials, g.
Statistical analysis
Results are expressed as mean±SD. The statistical analysis was carried out using a one-way ANOVA analysis. The p-value of 0.05 or less was considered significant for all experiments.
Determination of the total carbohydrate content of the extracts
Since carbohydrates are a crucial source of energy for the body, to avoid muscle breakdown, ketosis, and dehydration, it is necessary to take from 50 to 100 g of carbohydrates per day [28]. Several studies have shown the high concentration of carbohydrates in the fruits of Lycium barbarum [29-31]. In this paper, a quantitative assessment of the total carbohydrate content in the Lycium barbarum L. fruits was carried out using a simple, quick, sensible, reproducible method of phenol-sulfuric acid (PSA), developed by DuBois et al. [15]. The method used was based on the reaction of phenols with the oxidation products of monosaccharides. During the reaction with concentrated sulfuric acid, saccharides dehydrate and form furfural derivates [32], which react with phenol and form colored complexes that absorb light in the visible range at λµαξ=490 nm. After adding phenol and sulfuric acid, the color of the solutions was bright yellow and permanent and had a definite absorption peak [33-36]. To establish the completeness of the extraction of carbohydrates from the fruits of Lycium barbarum, the effect of the ratio of raw materials and extractant, the multiplicity of extraction, and the optimal extraction time were studied. The total carbohydrate content in Lycium barbarum dried fruits, in terms of glucose and absolutely dry raw materials, was determined in extracts, and the results are presented in table 1.
Table 1: Extraction conditions for the extraction of polysaccharides from the Lycium barbarum L. fruits
| Unchangeable parameter | Variable parameter | The content of TC, % (n=3) |
| Degree of grinding, d, mm | ||
| The ratio of raw materials: extractant 1:200 | 7 | 34.846±0.312 |
| 5 | 31.998±0.421 | |
| 4 | 28.821±0.954 | |
| 3 | 21.763±0.847 | |
| The ratio of the mass of the raw material to the volume of the extractant | ||
The degree of grinding 7 mm |
1:25 | 25.547±0.672 |
| 1:50 | 24.996±0.354 | |
| 1:125 | 27.434±0.165 | |
| Extraction time (min) | ||
| Raw material ratio: extractant 1:125, grinding 7 mm | 15 | 29.133±0.454 |
| 30 | 33.479±0.193 | |
| 90 | 33.361±0.431 | |
| 120 | 31.814±0.268 | |
| Multiplicity of extraction | ||
| The ratio of raw materials: extractant 1:125, the degree of grinding 7мм | 1 | 30.364±0.354 |
| 2 | 56.721±0.477 | |
| 3 | 70.384±0.489 |
The content of TC was performed in triplicate and the results are the mean of three values±standard deviation
After multiple extractions, it was concluded that the optimal conditions for the extraction of polysaccharides from the Lycium barbarum L. fruits are as follows: the degree of grinding of the sample is d=7 mm, the ratio of solvents is 1:125, the best extraction time is 90 min. An increase in the extraction multiplicity contributes to an augmentation in the yield of reducing mono-saccharides from the polysaccharide complex of fruits. An increase in the multiplicity of extraction contributes to an increase in the yield of reducing monosaccharides from the polysaccharide complex of fruits. It took 3 extractions to maximize the extraction of polysaccharides. Fig. 2 shows the absorption spectra of the standard (glucose) solution and the tested (extracts) samples at λ=487±3 nm

Fig. 2: Absorption spectra of glucose (SS) and extracts by acid hydrolysis reaction. 1--standard, 2-extract (extraction time tE=15 min, 3-tE=120 min, 4-tЕ=30 min, 5-tЕ=90 min (n=3, p<0.05)
The graphic demonstrates the maximum absorbance of glucose standard and extracts of Lycium barbarum L. in different extraction times. The maximum absorption of the standard sample of glucose was recorded in the wavelength range of 487±3 nm. The maximum absorption in the spectra obtained after the interaction of extracts with phenol was in the range of 482-489 nm (similar maxima were given by standard samples). The content of the sum of polysaccharides and free sugars in terms of glucose in absolutely dry raw materials as a percentage (X, %) was calculated by the formula (1) and ranged from 21.763±0.847% to 70.384±0.489%. The highest carbohydrate content was 70.384±0.489%, in optimal conditions for extraction. The TC content was calculated by using the formula (1), which is X=70.384±0.489%.
The sum of fructans and fructose
Fructans are polymers of fructose with β-linked fructose units, which are generally regarded as dietary fiber, macromolecules that resist digestion by human endogenous enzymes because the majority passes through the stomach and small intestine mainly intact. There are three main fructans: inulins, levans (or phleins), and gramminans [37]. Inulin is a general term covering all β (2->1) linear fructans, classified as 'indigestible' vegetable carbohydrates, which are dietary fibers that improve bowel movement [38]. Classical methods of quantitative determination determine the total concentration of fructan based on the equivalents of fructose released after mild acid hydrolysis or enzymatic cleavage. The formation of a deep cherry-red complex containing dehydrated ketose with two resorcinol equivalents first was reported by Selivanov (1887) for the detection of fructose or sucrose (the Selivanov test) or the Resorcinol assay. The reaction is usually carried out under slightly acidic conditions, while the resulting complex demonstrates the highest absorption at 480-540 nm. The spectrophotometric method based on the analysis of resorcinol turned out to be easy to carry out, less expensive, and more accurate. Under the action of hydrochloric acid, one inulin molecule is split into 34-35 fructose molecules and one glucose molecule. Under these conditions, only fructose interacts with resorcinol. Thus, there is a direct relationship between the concentration of inulin and fructose formed from hydrolysis [39, 40]. The resorcinol assay was used for the quantitative determination of fructans, in terms of fructose, in the Lycium barbarum L. fruits. The maximum absorption of water extraction from the fruits complexation was at a wavelength of 485 nm. The absorption of water extract was compared with the standard of fructose. The maximum absorption of the standard of fructose with resorcinol coincides with the absorbance of the plant extract. Thus, it can be concluded that the wavelength of 485 nm can be used for the spectrophotometric determination of fructans in Lycium barbarum L. fruits in terms of fructose (fig. 3).

Fig. 3: Absorption spectra of reaction products of standard samples of fructose and extracts from Lycium barbarum L. fruits obtained with resorcinol, 1-Standard solution; 2,3,4-Extract solutions
The content of the fructans in terms of fructose in the Lycium barbarum L. fruits harvested in Albania, according to our data, lies in the range of 19.90-20.25%. For example, in dried chicory root, the inulin amount equals 15–20% or 35.7-47.6 g/100g in raw plant material. Thus, Lycium barbarum L. fruits can be considered a concentrated source of inulin [41]. Chicory has been exploited at industrial levels for inulin-type fructan extraction [42]. The quantity of inulin in Lycium barbarum L. is approximately the same as in chicory [43]. In this regard, Albanian Lycium barbarum L. fruits can be a promising source of fructans and new medicinal products. The obtained results of quantitative determination of inulin can serve as convincing arguments for expanding the range of raw materials used for the industrial production of inulin.
Flavonoids and coumarins
Flavonoid and coumarin compounds have been identified and quantified in Lycium barbarum L. fruits by high-performance liquid chromatography (RP HPLC-DAD) with diode-array [44]. The identification by RP HPLC-DAD is based on the comparison of the UV absorption spectrum and a time (RT) with corresponding standard compounds: rutin of the flavonoid group and scopoletin of the coumarin group (fig. 4).

Fig. 4: Chromatogram of Lycium barbarum extract (n=5, p<0.05)
Rutin was the main flavonoid compound in Lycium barbarum L. fruits with a value of 2.10-5.48 mg/g dry sample (in calculation on rutin). The total yield of rutin depends on the solvent concentration. The maximum amount of rutin extracted from Lycium barbarum L. fruits (5.48±0.26 mg/g) is extracted with 80% ethanol, and the minimum yield is when using ethanol with a 96% concentration (2.10±0.09 mg/g). With ethanol, the amount of extracted rutin is also high at 5.48±0.26 mg/g. Then with an increase in ethanol concentration, the amount of extracted rutin decreases to 3±0.15 mg/g, then increases again with ethanol 80%. The maximum amount of scopoletin extracted from Lycium barbarum L. fruits (0.76±0.03 mg/g) is extracted with 70% ethanol, and the minimum yield is when using ethanol with a 96% concentration (0.48±0.02 mg/g). The total yield of scopoletin is almost constant despite the solvent concentrations. The results are shown in (fig. 5).
The qualitative determination of flavonoids and poly-saccharides
The qualitative tests for flavonoids and polysaccharides were performed, and all the tests were given positive by formation colored products (table 2) [45].

Fig. 5: The content of rutin (1) and scopoletin (2) in Lycium barbarum L. fruits (n=3)
Table 2: The results of flavonoids and polysaccharides qualitative determination
| Compound | Test | Results | Conclusion |
| Polysaccharides | Molisch's test | A purple-colored product was formed. | Contains carbohydrates. |
| Fehling's test | Appearance of a reddish-brown sediment. | Are present reducing sugars. | |
| Benedict's Test | The color changes to green when boiling. | The solution should contain sugar. | |
| Flavonoids | Ferric(III) chloride 1% | Brown color | Flavonoids are present (3-OH group) |
| Sodium hydroxide 10% | Yellow coloring | Flavones, flavonols, flavonones are present | |
| Lead Acetate 1% | Form yellow flakes in solution, precipitating | Flavones, chalcones and aurones are present | |
| Aluminum chloride 2% | Yellow coloring with bright green fluorescence in UV rays. | Flavonoids are present | |
| Ammonia solution | Yellow coloring, turning into orange or red when heated | Flavones, flavonones, flavonols and flavanonols are present | |
| 1 % vanillin solution | Red-crimson coloring | Catechins are present |


(a) (b)
Fig. 5: Chromogenic reactions for (a) polysaccharides/Fehling test, (b) flavonoids
Organic acids
The observed peaks were identified by checking the retention time and the absorption spectra of each organic acid of both Lycium barbarum L. fruits and the standards at 210 nm. From the fruits samples were separated and identified three organic acids: tartaric, malic, and citric acid. There were well-resolved and high peaks at a retention time of 4.35 min and 13.85 min. This peak could be organic acids, but the retention time did not match any of the standards, thus, identification was not feasible (fig. 6).

Fig. 6: Chromatogram of Lycium barbarum fruits extract at 210 nm. 1-tartaric acid, 2-malic acid, 3-citric acid (n=5, p<0.05)
Also, ascorbic acid was not detected by HPLC. So, this acid was determined using the titrimetric method with 2,6-dichlorophenolindophenol reagent as indicated in the Materials and Methods. The contribution to the daily vitamin C intake from a serving (100 g) of Lycium barbarum L. fruit is relatively high, around 244 mg/100g, while recommended dietary intake of vitamin C is 90 mg/day. The amount of ascorbic acid found in this fruit was higher than other data reported in the literature, such as by Donno D. et al. for Italian Lycium barbarum L. fruit) (48.94 mg/100g) and Nzeuwa I. BY et al. for chinese Lycium barbarum L. (33.15-113.86 mg/100 g) [46]. Tartaric acid (420 mg/100g) was the major organic acid, followed by malic acid (180 mg/100g) and citric acid (390 mg/100g).
Micro-and macroelements
The average concentrations of the macro and essential trace elements in Lycium barbarum L. fruits samples are shown in table 3.
Table 3: Macro-and micro-elements in Lycium barbarum L. fruits
| Element | № | m, g | С, µg/ml | Х, ррm | ХСР, pрm | ХСР, mg/100g |
| Ca | 1 | 15.0001 | 0.76 | 5.07 | 4.82 | 0.48±0.053 |
| 2 | 15.0000 | 0.70 | 4.67 | |||
| 3 | 15.0000 | 0.71 | 4.73 | |||
| Fe | 1 | 15.0001 | 0.04 | 0.27 | 0.27 | 0.03±0.001 |
| 2 | 15.0000 | 0.04 | 0.27 | |||
| 3 | 15.0000 | 0.04 | 0.27 | |||
| Mg | 1 | 15.0001 | 1.62 | 10.83 | 10.73 | 1.07±0.021 |
| 2 | 15.0000 | 1.60 | 10.67 | |||
| 3 | 15.0000 | 1.60 | 10.70 | |||
| Nа | 1 | 15.0001 | 209.211 | 1394.73 | 1400.73 | 140.1±12.928 |
| 2 | 15.0000 | 210.610 | 1404.10 | |||
| 3 | 15.0000 | 210.511 | 1403.40 | |||
| K | 1 | 15.0001 | 1014 | 6759.42 | 6740.75 | 674.07±4.099 |
| 2 | 15.0000 | 1010 | 6734.73 | |||
| 3 | 15.0000 | 1009 | 6728.09 |
The elemental composition was performed in triplicate and the results are the mean of three values±standard deviation
Potassium (K) is the predominant element (6740.75 μg/g), followed by sodium (Na, 1400.73 μg/g.). Regular consumption of this fruit will provide adequate amounts of the macro and essential trace elements needed for humans. Fruit is a valuable source of minerals, particularly K and Na. Potassium and sodium are electrolytes with a significant role in regulating blood pressure by helping the body maintain fluid and regulate the body’s acid-base balance. [47]. Essential and nonessential element concentration is dependent on the soil characteristics, the physiology of the plant, fertilizers, insecticides, pesticides used in the plantations, and water. Each plant accumulates different levels of elements; some are easily absorbed, and some others are not [48].
The fruits of Lycium barbarum L. are a promising and rich source of important biologically active substances, the standards for which are in some of the world's pharmacopeias. It is noteworthy to study Lycium plants growing in different regions to unify the methods of testing the quality control of plant raw materials. The results obtained in this study are the basis for the unification of the structure of the pharmacopoeial monograph for medicinal plant materials and medicinal plant preparations based on Lycium barbarum L.
The publication has been prepared with the support of the “RUDN University Program 5-100”.
FUNDING
Nil
POG developed the concept of the study. TB and NNB designed the study and guided and supervised the study. TB and UEV contributed to the interpretation of data and wrote the first draft. TB and RAN were associated with supervising, advising, and positioning the manuscript. All authors read and made corrections to the finalized manuscript before submission.
The authors declare that there is no conflict of interest.
Christen P, Kapetanidis I. Flavonoids from lycium halimifolium1. Planta Med. 1987 Dec;53(6):571-2. doi: 10.1055/s-2006-962816, PMID 17269102.
Lin L, Jin L, Wang ZH, Cui ZJ, Ma Y. Prediction of the potential distribution of Tibetan medicinal Lycium ruthenicum in context of climate change. Zhongguo Zhong Yao Za Zhi. 2017 July;42(14):2659-69. doi: 10.19540/j.cnki.cjcmm.2017.0117, PMID 29098819.
Fawzi Mahomoodally M, Mollica A, Stefanucci A, Zakariyyah Aumeeruddy M, Poorneeka R, Zengin G. Volatile components, pharmacological profile, and computational studies of essential oil from Aegle marmelos (Bael) leaves A functional approach. Ind Crops Prod. 2018;126:13-21. doi: 10.1016/j.indcrop.2018.09.054.
Yao R, Heinrich M, Weckerle CS. The genus lycium as food and medicine: A botanical, ethnobotanical and historical review. J Ethnopharmacol. 2018 Feb 15;212:50-66. doi: 10.1016/j.jep.2017.10.010, PMID 29042287.
Sekinaeva MA, Serebryanaya FK, Denisenko ON, Lyashenko SS. The study of anatomical features of the herb lycium (Lycium barbarum L.). Adv Curr Nat Sci. 2015;9(2):231-5.
Mollica A, Scioli G, Della Valle A, Cichelli A, Novellino E, Bauer M, Kamysz W, Llorent Martinez EJ, Fernandez-de Cordova ML, Castillo Lopez R, Ak G, Zengin G, Pieretti S, Stefanucci A. Phenolic analysis and in vitro biological activity of red wine, pomace and grape seeds oil derived from vitis vinifera L. cv. montepulciano d’Abruzzo. Antioxidants (Basel). 2021;10(11):1704. doi: 10.3390/antiox10111704, PMID 34829574.
Zhou F, Jiang X, Wang T, Zhang B, Zhao H. Lycium barbarum polysaccharide (LBP): A novel prebiotics candidate for bifidobacterium and lactobacillus. Front Microbiol. 2018 May 18;9:1034. doi: 10.3389/fmicb.2018.01034, PMID 29867910.
Young ID, Latousakis D, Juge N. The immunomodulatory properties of β-2,6 fructans: a comprehensive review. Nutrients. 2021 April 15;13(4):1309. doi: 10.3390/nu13041309, PMID 33921025.
Nisa S, Shoukat M, Bibi Y, Al Ayoubi S, Shah W, Masood S, Sabir M, Asma Bano S, Qayyum A. Therapeutic prospects of endophytic Bacillus species from Berberis lycium against oxidative stress and microbial pathogens. Saudi J Biol Sci. 2022 Jan;29(1):287-95. doi: 10.1016/j.sjbs.2021.08.099, PMID 35002421.
Song P, Zhou F, Li F, Han Z, Wang L, Xu J, Zhang B, Wang M, Fan J, Zhang B. Superfine pulverisation pretreatment to enhance crystallinity of cellulose from Lycium barbarum L. leaves. Carbohydr Polym. 2021 Feb 1;253:117207. doi: 10.1016/j.carbpol.2020.117207.
Yao R, Heinrich M, Weckerle CS. The genus lycium as food and medicine: A botanical, ethnobotanical and historical review. J Ethnopharmacol. 2018 Feb 15;212:50-66. doi: 10.1016/j.jep.2017.10.010, PMID 29042287.
Sendri N, Bhandari P. Polyphenolic composition and antioxidant potential of underutilized Himalayan wild edible berries by high-performance liquid chromatography coupled with electrospray ionization quadrupole time-of-flight mass spectrometry. J Sep Sci. 2021 Dec;44(23):4237-54. doi: 10.1002/jssc.202100455, PMID 34633763.
Russian State pharmacopoeia. 13th ed. [FS.2.5.0027.15 Tussilaginis farfarae folia.]. Vol. 2(16). Russian; 2016.
Nikulin AV, Jamshhikova SI, Potanina OG, Abramovich RA. Determination of reducing carbohydrate’s total and water-soluble polycarbohydrates in medicinal raw plants. Biofarmacevticheskij. 2018;10(5):50-7.
Dubois M, Gilles KA, Hamilton JK, Rebers PA, Smith F. Colorimetric method for determination of sugars and related substances. Anal Chem. 1956 March 1;28(3):350-6. doi: 10.1021/ac60111a017.
Yan Y, Ran L, Cao Y, Qin K, Zhang X, Luo Q, Jabbar S, Abid M, Zeng X. Nutritional, phytochemical characterization and antioxidant capacity of Ningxia wolfberry (Lycium barbarum L.). J Chem Soc Pak. 2014;36(6):1079-87.
Skenderidis P, Kerasioti E, Karkanta E, Stagos D, Kouretas D, Petrotos K, Hadjichristodoulou C, Tsakalof A. Assessment of the antioxidant and antimutagenic activity of extracts from goji berry of greek cultivation. Toxicol Rep. 2018 February 5;5:251-7. doi: 10.1016/j.toxrep.2018.02.001, PMID 29854596.
Skenderidis P, Lampakis D, Giavasis I, Leontopoulos S, Petrotos K, Hadjichristodoulou C, Tsakalof A. Chemical properties, fatty-acid composition, and antioxidant activity of Goji berry (Lycium barbarum L. and Lycium chinense Mill.) fruits. Antioxidants (Basel). 2019 March;8(3):60. doi: 10.3390/antiox8030060, PMID 30857360.
Bukhanova UN, Popov DM, Selezenev NG. The method for determining the amount of fructans and fructose assembly ”Lorpolifit”. Pharmacy. 2013;1:22-4.
Russian State Pharmacopoeia. 13th ed. [FS.2.5.0070.18. Inulae helenii rhizomata et radices.]. 2016;2:73.
Bokov DO B, Karabeshkin DI K, Samylina IA S, Potanina OG P, Krasnyuk II (junior) K, Malinkin AD M, Sergunova EV S, Kovaleva TYu K, Bobkova NV B, Antsyshkina AM A, Bondar AA B, Evgrafov AA E, Galiakhmetova EK G, Moiseev DV M, Bessonov VV B. Pharmacopoeial analysis of inulin-containing medicinal plant raw materials and drugs. Pharmacogn J. 2020;12(2):415-21. doi: 10.5530/pj.2020.12.64.
Bubenchikov RA, Goncharov NN. Working out and validation of the method of quantitative determination of flavonoids in the herb of Leontodon autumnalis L. Pharm Pharmacol. 2016;4(14):26-35. doi: 10.19163/2307-9266-2016-4-1(14)-26-35.
Scherer R, Rybka ACP, Ballus CA, Meinhart AD, Filho JT, Godoy HT. Validation of a HPLC method for simultaneous determination of main organic acids in fruits and juices. Food Chem. 2012 November;135(1):150-4. doi: 10.1016/j.foodchem.2012.03.111.
Hughes DE. Titrimetric determination of ascorbic acid with 2,6-dichlorophenol indophenol in commercial liquid diets. J Pharm Sci. 1983 February;72(2):126-9. doi: 10.1002/jps.2600720208, PMID 6834248.
Russian State Pharmacopoeia. 14th ed. [FS.2.5.0106.18. Rosae fructus]. Russian. 2018;2:38.
Endes Z, Uslu N, Ozcan MM, Er F. Physico-chemical properties, fatty acid composition and mineral contents of goji berry (Lycium barbarum L.) fruit. J Agroaliment Processes Technol. 2015;21(1):36-40.
Niro S, Fratianni A, Panfili G, Falasca L, Cinquanta L. MD Alam R. Nutritional evaluation of fresh and dried goji berries cultivated in Italy. Ital J Food Sci. 2017 July;29(3):398-408.
Agrawal N, Minj DK, Rani K. Estimation of total carbohydrate present in dry fruits. IOSR J Environ Sci Toxicol Food Technol. 2015;1(6):24-7.
Montesano D, Cossignani L, Giua L, Urbani E, Simonetti MS, Blasi F. A simple HPLC-ELSD method for sugar analysis in goji berry. J Chem. 2016 January;3:1-5.
Potterat O. Goji (Lycium barbarum and L. chinense): phytochemistry, pharmacology and safety in the perspective of traditional uses and recent popularity. Planta Med. 2010 January;76(1):7-19. doi: 10.1055/s-0029-1186218, PMID 19844860.
Mohammed ZY, Alsamarrae KW, Hamza SJ. Quantitative analysis of total polysaccharides and total carotene from Lycium barbarum Fruit. Int J Mod Biol Med. 2013 November 26;4(3):204-15.
Ehnert S, Seehase J, Muller Renno C, Hannig M, Ziegler C. Simultaneous quantification of total carbohydrate and protein amounts from aqueous solutions by the sulfuric acid ultraviolet absorption method (SA-UV method). Anal Chim Acta. 2021 June;1174:338712. doi: 10.1016/j.aca.2021.338712.
Chow PS, Landhäusser SM. A method for routine measurements of total sugar and starch content in woody plant tissues. Tree Physiol. 2004 October;24(10):1129-36. doi: 10.1093/treephys/24.10.1129, PMID 15294759.
Quero Jimenez PC, Montenegro ON, Sosa R, de la Torre JB. Total carbohydrates concentration evaluation in products of microbial origin. Afinidad. 2019 September;76(587):83-90.
de Alencar Arnaut de Toledo V, Ruvolo Takasusuki MCC, de Oliveir AJB, Chambó ED, Sanches Lopes SM. Spectrophotometry as a tool for dosage sugars in the nectar of crops pollinated by honeybees. In: Uddin J, editor. Macro to nano spectroscopy. Tech. Vol. 1(14); 2012. p. 269-90.
Woldu AR, Tsigie YA. Optimization of hydrolysis for reduced sugar determination from avocado seed wastes. AJEEPR. 2015 January;3(1):1-10.
Stick RV, Williams SJ. Disaccharides, oligosaccharides and polysaccharides book: Carbohydrates: The Essential Molecules of Life. Vol. 2. Elsevier Science; 2008. p. 321-41.
Roberfroid MB. Introducing inulin-type fructans. Br J Nutr. 2005;93 Suppl 1:S13-25. doi: 10.1079/bjn20041350, PMID 15877886.
Matros A, Peukert M, Lahnstein J, Seiffert U, Burton RA. Determination of fructans in plants: current analytical means for extraction, detection, and quantification. Annu Plant Rev. 2019;2:1-39.
Rane R, Shelar R, Shinde Y, Lad S, Desai S, Vartak M, Chotalia Ch, Salvi R. Spectrophotometric method for quantitative determination of inulin in Naturolax–A powder. Int J Pharm Res Health Sci. 2018;6(1):2160-4.
Kishan CS, AR AR, Sahoo SS, Kulkarni PK. A comprehensive review on pharmaceutical and nutritional applications of inulin. Int J App Pharm. 2021 May;13(3):30-8. doi: 10.22159/ijap.2021v13i3.40863.
Abed ShM, Ali AH, Noman A, Niazi S, Ammae AF, Bakry AM. Inulin as prebiotics and its applications in food industry and human health. Int J Agric Innov Res. 2016 August;5(1):88-97.
Lepczynski A, Herosimczyk A, Barszcz M, Ozgo M, Michałek K, Grabowska M, Tuśnio A, Szczerbinska D, Skomiał J. Diet supplemented either with dried chicory root or chicory inulin significantly influence kidney and liver mineral content and antioxidative capacity in growing pigs. Animal. 2021 February;15(2):100129. doi: 10.1016/j.animal.2020.100129.
Nair SS, Varkey J. Isolation of phytoconstituent, in vitro anticancer study in hela and mcf-7 cell lines and molecular docking studies of Pothos scandens linn. Int J Curr Pharm Sci. 2021;13:42-51. doi: 10.22159/ijcpr.2021v13i5.1882.
Muthukala B, Sivakumari K, Ashok K. Antioxidant and anti-inflammatory potential of quercetin. Int J Curr Pharm Res. 2022 July;3:58-9.
Nzeuwa IBY, Guo B, Zhang T, Wang L, Ji Q, Xia H, Sun G. Comparative metabolic profiling of Lycium fruits (Lycium barbarum and Lycium chinense) from different areas in China and from Nepal. J Food Qual. 2019;1:1-6.
Alzahrani HR, Kumakli H, Ampiah E, Mehari T, Thornton AJ, Babyak CM, Fakayode SO. Determination of macro, essential trace elements, toxic heavy metal concentrations, crude oil extracts and ash composition from saudi arabian fruits and vegetables having medicinal values. Arab J Chem. 2017;10(7):906-13. doi: 10.1016/j.arabjc.2016.09.012.
Naozuka J, Carvalho Vieira EC, Nascimento AN, Oliveira PV. Elemental analysis of nuts and seeds by axially viewed ICP OES. Food Chem. 2011 February;124(4):1667-72. doi: 10.1016/j.foodchem.2010.07.051.