1Jyothismathi Institute of Pharmaceutical Sciences, Karimnagar, India, 2Department of Pharmacology, University College of Pharmaceutical Sciences, Kakatiya University, Warangal, Andhra Pradesh, India.
Email: param_pabba@yahoo.com
Received: 14 Jun 2013 Revised and Accepted: 10 Jul 2014
ABSTRACT
Many hepatoprotective herbal preparations have been recommended in an alternative system of medicine for the treatment of hepatic disorders. There are few or no systemic studies have been done on the protective efficacy of Alangium salvifolium (Alangiaceae) to treat liver diseases. Hepatoprotective and antioxidant activity of ethanolic extracts were evaluated against CCl4-induced liver damage in rats. Liver damage was evidenced by elevated levels of biochemical parameters such as serum glutamate oxaloacetic acid transaminase, glutamate pyruvic transaminase and serum alkaline phosphatase. Treatment with ethanolic extracts of Alangium salvifolium (300,500mg/kg, p. o.) produced a significant reversal in the above biochemical parameters, and reducing power, superoxide anion scavenging activity and reduced histopathological scores. These findings suggest that extracts of Alangium salvifolium possess significant hepatoprotective and antioxidant properties.
Keywords: Hepatoprotective activity, Antioxidant activity, Alangium salvifolium, Silymarin, CCl4
INTRODUCTION
Liver is the one of the largest organ in the body and chief site for metabolic events in the body so it as unique role in the maintenance, regulation of homeostasis of the body it has interrelated with all the biochemical pathways to growth, fight against disease. The major function of the liver is carbohydrate, protein and fat metabolism, detoxification, secretion of bile and storage of vitamin. Thus, to maintain a healthy liver is a crucial factor for overall health and well being. But it is continuously and variedly exposed to environmental toxins like CCl4 alcohol and prescribed over the counter drug which can eventually lead to various liver ailments like hepatitis, cirrhosis and alcoholic liver disease.
Thus, liver disease is some of the fatal thy disease in the world today. They pose a serious challenge to public health. Modern medicines have little to offer for elevation of hepatic disease and it is chiefly the plant based preparations which are employed for their treatment of liver disorders.
But there are not much drugs available for the treatment of liver disorders there fore many folk remedies from plant origin are tested for its potential hepatoprotective and free radical scavenging activity of liver damage in experimental animals models CCl4 induced hepatotoxicity model is selected for study of hepatoprotective and free radical scavenging activity of plant extract
Alangium salvifolium (L. f) Wang belongs to famil Alangiaceae. (Chatterjee A, et al., 1995.) Locally it called as Ankolam. Alangiaceaey is a monogeneric family of trees and shrubs found in tropical and subtropical region. There are nearly twenty one species of Alangium grouped into four sections Alangium, Conostigma, Marlea and Rhytidendra. Other two different varieties of this drug are namely Angolam and Karaangolam. They correspond to Alangium salvifolium, subspecies salvifolium and hexapetalum respectively The plant is distributed in dry regions, plains and lower hills in India, Africa, Srilanka, Indochina and China. Root is used in diarrhea, paralysis, piles and vomiting.
They are acrid, astringent, emollient, anthelmintic, thermogenic, diuretic and purgative. Root is useful for external application in acute case of rheumatism, leprosy and inflammation and internal application in cases of bites of rabbit and dogs. Antibacterial compound was isolated from the flower of Alangium salvifolium. Recent phytochemical studies of this plant resulted in the isolation of several flavonoids and phenolic compound (Kirtikar KR et al).
MATERIALS AND METHODS
Chemicals
Silymarin was used as a standerd hepatoprotective agent and was obtained as a gift sample from Micro Labs., Ltd., Hsour, Bangalore, india; Methanol from S S Pharma distributors Warangal, Tolune, Ethyl acetate, butanon from Merck Specialites Mumbai, CCl4, formaldehyde from S. D fine Chemicals, Mumbai, olive oil from local Ayurvedic stores, Thiopental sodium (thiosol)- Neon Labs., Mumbai; and normal Phase pre- coated Chromatographic Plates – Merck, Germany.
Alanine transaminase (ALT), Aspartate transaminase (AST), Alkaline phosphate (ALP), Total Bilirubin (TBL), Total protein (TPL) and Albumin (ALB) by manual methods were purchased from Span Diagnostic Ltd., Surat, India. The biochemical analytical kits for auto analyzer were purchased from Merck specialties Private Ltd, Mumbai India. All other chemical and solvents used were of analytical grade
Animals
Male albino rats, weighing about 150–200 g obtained from the Mahaveer Enterprizes, Bagh Ambarpet, Hyderabad (CPCSEA registration no: 146/1999/cpcsea) and the animals were kept in the animal house of Jyothishmathi Institute of Pharmaceutical Sciences, Timmapur, Karimnagar, A. P. at room temperature of 25 - 30°C and at 45 - 55% relative humidity for 12 hr, each of dark and light cycle. The animals were feed with rat pellets (Hindustan Lever Limited, Bangalore, India) and filtered water.
Animal studies in the work have been strictly performed as per the Institutional Animal Ethical Committee (IAEC) constituted under the guidelines of the Committee for the Purpose of Control and Supervision on experimental Animal (CPCSEA), Ministry of an Environment, and Govt. of India.
Collections of plant materials
The leaves of Alangium salvifolium (ASF) collected from Shathavahana university campus, Karimnagar AndraPradesh India between November and December; the plant was authenticated by the Professor R. Odaiah, SSR Govt. Degree & PG College Karimnagar Andhra Pradesh, India. A voucher specimen (SSR 2012/1/19) has been preserved in our laboratory. The plants were washed thoroughly in tap water, shade dried and powdered.
Determination of acute toxicity
Acute toxicity study was conducted for ethanolic extract of ASF by stair case method following OECD guidelines (K. Dash et al).There was no lethality up to a dose of 1000 mg/kg, p. o. Nearly one tenth of the maximum dose of the extract that is 300, 500 mg/kg (p. o) was selected as the plant extract dose in all experiments
Hepatoprotective activity
In the present study, the animals were pretreated with test extract/ fractions before inducing liver damage with CCl4. Seven days after acclimatization, the rats were divided into nine groups (I-VI), each group consisting of six animals. All animals were kept on same diet for 7 days. Group – I served as a control and received 1 ml/kg of 2%w/v gum acacia in distilled water p. o. for seven days. Group – II treated with vehicle (1 ml/kg of 2%w/v gum acacia in distilled water p. o.) daily for 15days followed by CCl4 on the seventh day.
Group – III (standatrd silymarin) animals were administered with 50 mg/kg of silymarin p. o. for seven days followed by CCl4 administration p. o. Group – IV-VI test groups were treated in the similar way using methanolic, petroleum ether and water extracts of different doses respectively followed by CCl4 administered p. o on the seventh day(Brijesh. K.,Tiwari., et al.,2009).
All the rats were anaesthetized with thiopental sodium (60 mg/kg intraperitoneally), 36 hrs after administration of CCl4, blood was collected from common carotid by carefully opening the neck region of the rats. After blood collection, the blood samples were allowed to coagulate at room temperature for at least one hour.
Serum was separated by centrifugation at 3000 rpm for 30 minutes and then analyzed for TB, ALT, AST, ALP, TP and ALB levels. The animal was dissected, the livers were carefully removed, washed with 0.9% saline solution and preserved in formalin solution (10% formaldehyde) for histopathological studies.

Where” T” is the mean value of the drug and CCl4 “C” is the mean value of CCl4 alone and V is the mean value of the vehicle treated animals(Brijesh. K.,Tiwari., et al.,2009).
Estimation of biochemical parameters
The following are the biochemical parameters estimated to evaluate the effect of the test materials against the experimentally induced hepatotoxicity caused by different agents: Alanine amino transferase (ALT) Aspartate amino transferase (AST) Serum alkaline phosphatase (ALP), Total protein levels (TP) Total serum bilirubin (TB) Albumin levels (ALB) Glutathione levels (GSH), Malondialdehyde levels (MDA).
Assessment of in vitro free radical Scavenging activity
Inhibition of DPPH radical
The free radical scavenging activity of the extract was analyzed by the DPPH (1, 1-diphenyl-2-picryl hydrazyl) assay. A total of 2 ml of the test extract, at concentrations ranging from 1 ug/ml to 100 ug/ml each, was mixed with 1 ml of 0.5Mm DPPH (in methanol). The absorbance at 517 nm was taken after 30 min of incubation in the dark room temperature. The experiment was done in triplicate. The percentage antioxidant activity was calculated as follows: % antioxidant activity [AA] = 100—[{Abssample—Absblank)*100}/abs ml of methanol plus 2.0 ml of the extract was used as the blank while 1.0 ml of the 0.3Mm DPPH solution plus 2.0 ml of methanol was used as the negative control. Ascorbic acid was used as the reference standard. (Shah P. A, et al., 2009).
Determination of lipid peroxidation
Lipid peroxidation was estimated by thiobarbituric acid (TBA) reaction with malondialdehyde (MDA). To 1 mL of supernatant, 0.5 mL of 30% trichloroacetic acid (TCA) was added followed by,0.5 mL of 0.8% TBA. The tubes were kept in a shaking water bath for 30 min at 80 °C. After 30 min of incubation the tubes were taken out and kept in ice-cold water for 10 min. These were then centrifuged at 800 g for 15 min. The amount of MDA was assessed by measuring the absorbance of supernatant at 540 nm at room temperature against an appropriate blank. The percentage inhibition of Lipid peroxidation was calculated using the equation:
![]()
Where, A0 is the absorbance of the control without extract and A1 is the absorbance of the sample extract (Gupta M, Mazumdar UK, et al) (Amimoto,T et al.,1995).
Statistical analysis
Results were expressed as mean ± SEM. Statistical analysis was performed with one way analysis of variance (ANOVA) followed by student’s’t-test. P values less than 0.05 was considered to be statistically significance when compared with the control.
Hepatoprotective activity of ethanol extract of Alangium selvifolium leaves
The results of this study are presented in Table 1.
Hepatoprotective activity of Petroleum ether extract of Alangium selvifolium leaves
The results of this study are presented in Table 2.
Hepatoprotective activity of Water extract of Alangium selvifolium leaves
The results of this study are presented in Table. 3.
Table 1: Hepatoprotective activity of ethanol extract of Alangium selvifolium leaves
| Groups | ALT(IU/L) | AST(IU/L) | ALP(KA/dL) | TB(mg/dL) | TP(gm%) | ALB(gm%) |
| Control | 55.84±4.51 | 43.22 ± 0.11 | 36.22±0.57 | 0.84±0.30 | 4.74±0.06 | 2.49±0.11 |
| Toxic | 110.00±3.25 | 95.20 ± 4.01 | 95.01± 3.00 | 1.62±0.11 | 0.77±0.17 | 0.62±0.09 |
| Standard (Silymarin-50) | 57.23±4.18 | 59.19 ± 2.50 | 39.56±2.18 | 0.87±0.18 | 4.29±0.16 | 3.96±0.15 |
| ASEE-300 | 58.01+2.12 | 42.35+2.88 | 40.51+4.25 | 0.91+0.19 | 3.28+0.13 | 2.09+0.52 |
| ASEE-500 | 48.21+3.15 | 39.35+3.08 | 36.27+2.89 | 0.76+0.19 | 4.68+0.14 | 3.57+0.47 |
Table 2: Hepatoprotective activity of Petroleum ether extract of Alangium selvifolium leaves
| Groups | ALT(IU/L) | AST(IU/L) | ALP(KA/dL) | TB(mg/dL) | TP(gm%) | ALB(gm%) |
| Control | 55.84±4.51 | 43.22 ± 0.11 | 36.22±0.57 | 0.84±0.30 | 4.74±0.06 | 2.49±0.11 |
| Toxic | 110.00±3.25 | 95.20 ± 4.01 | 95.01± 3.00 | 1.62±0.11 | 0.77±0.17 | 0.62±0.09 |
| Standard (Silymarin-50) | 57.23±4.18 | 59.19 ± 2.50 | 39.56±2.18 | 0.87±0.18 | 4.29±0.17 | 3.96±0.15 |
| ASPEE-300 | 67.29+2.01 | 64.23+1.09 | 61.65+3.28 | 1.31+0.19 | 3.89+0.47 | 2.28+0.46 |
| ASPEE-500 | 53.20+2.36 | 48.36+2.14 | 51.05+1.95 | 0.95+0.14 | 4.29+0.25 | 3.79+0.37 |


Table 3: Hepatoprotective activity of Water extract of Alangium selvifolium leaves
| Groups | ALT(IU/L) | AST(IU/L) | ALP(KA/dL) | TB(mg/dL) | TP(gm%) | ALB(gm%) |
| Control | 55.84±4.51 | 43.22 ± 0.11 | 36.22±0.57 | 0.84±0.30 | 4.74±0.06 | 2.49±0.11 |
| Toxic | 110.00±3.25 | 95.20 ± 4.01 | 95.01± 3.00 | 1.62±0.11 | 0.77±0.17 | 0.62±0.09 |
| Standard(Silymarin-50) | 57.23±4.18 | 59.19 ± 2.50 | 39.56±2.18 | 0.87±0.18 | 4.29±0.17 | 3.96±0.15 |
| ASWE-300 | 60.36+1.98 | 68.65+1.96 | 58.29+2.98 | 1.48+0.20 | 2.89+0.33 | 2.00+0.37 |
| ASWE-500 | 55.21+3.21 | 46.98+3.19 | 44.28+2.19 | 0.65+0.11 | 4.81+0.19 | 3.97+0.28 |

| Groups | Concentration Mcg/ml |
% Inhibition | IC50 Values Mcg/ml |
| Ascorbic acid | 5 | 33.25 | 16.51 |
| 10 | 40.26 | ||
| 15 | 49.30 | ||
| 20 | 54.56 | ||
| 25 | 61.85 | ||
| 30 | 75.25 | ||
| EAF-ASEE | 100 | 14.70 | 639.54 |
| 200 | 25.85 | ||
| 400 | 37.71 | ||
| 600 | 47.62 | ||
| 800 | 59.58 | ||
| 1000 | 86.14 |


| Groups | Concentration Mcg/ml |
% Inhibition | IC50 Values Mcg/ml |
| Ascorbic acid | 50 | 26.87 | 228.02 |
| 100 | 41.50 | ||
| 400 | 66.50 | ||
| 600 | 90.63 | ||
| EAF-ASEE | 100 | 19.31 | 504.63 |
| 200 | 25.48 | ||
| 400 | 40.49 | ||
| 600 | 58.39 | ||
| 800 | 61.66 |


![]() |
![]() |
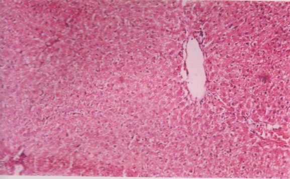
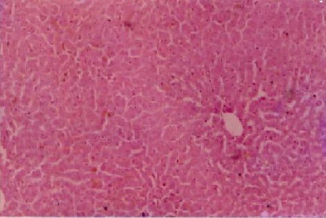
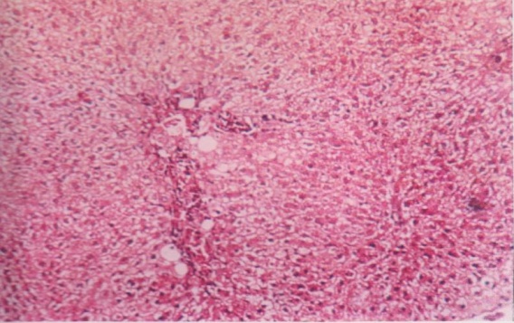
| (A) Normal control | (B) CCl4 control |
![]() |
![]() |
| (C) Reference drug | (D) Alcoholic extracts 300 mg/kg |
![]() |
|
| (E) Alcoholic extract 500mg/kg |
Fig. 1: Histological sections of rat liver obtained from different treatment groups
RESULTS
Hepatoprotective activity of ethanol extract of Alangium selvifolium leaves
The results of this study are presented in Table. 1.
Biochemical parameters
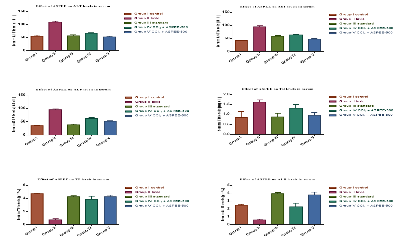
The elevated serum AST, ALT, ALP and TB levels were significantly (P<0.001) reduced by the standard. The test groups ASEE-300 and ASEE-500mg/kg. b. w also exhibit a significant protective effect on the serum levels and also increases the reduced serum TP and ALB levels.
The ASEE-500 showed a better hepatoprotective activity (P<0.001) than ASEE-300. The high percentage protection was observed with ASME-500 was also comparable to the reference standard drug Silymarin with to all the parameters.
Hepatoprotective activity of Petroleum ether extract of Alangium selvifolium leaves: The results of this study are presented in Table. 2.
Biochemical parameters
The elevated serum AST, ALT, ALP and TB levels were significantly (P<0.001) reduced by the standard. The test groups ASPEE-300 and ASPEE-500mg/kg. b. w also exhibits a significant protective effect on the serum levels and also increases the reduced serum TP and ALB levels. The ASPEE-500 showed a better hepatoprotective activity (P<0.001) than ASPEE-300. The high percentage protection was observed with ASPEE-500 was also comparable to the reference standard drug Silymarin with to all the parameters.
Hepatoprotective activity of Water extract of Alangium selvifolium leaves:
The results of this study are presented in Table. 3.
Biochemical parameters
The elevated serum AST, ALT, ALP and TB levels were significantly (P<0.001) reduced by the standard. The test groups ASWE-300 and ASWE-500mg/kg. b. w also exhibits a significant protective effect on the serum levels and also increases the reduced serum TP and ALB levels. The ASWE-500 showed a better hepatoprotective activity (P<0.001) than ASWE-300. The high percentage protection was observed with ASWE-500 was also comparable to the reference standard drug Silymarin with to all the parameters.
The histopathological studies: (Fig. 1)
the histopathological; study indicated that the hepatic damage induced by CCl4 was remarkably reduced by the standard Silymarin, test showed a reduced fatty changes, necrosis and broad infiltration of lymphocyte produced by CCl4. the effect with test extract almost comparable to the standard group
Anti-oxidant activity
Table. 1. Shows DPPH Radical scavenging activity of the ethanolic, petroleum ether and water extracts of the Alangium salvifolium was compared with those of standard ascorbic acid. The DPPH radical scavenging abilities of the extracts (86.14%) were found to be comparable than those of standerd Ascorbic acid (75.25%).
Table. 2. Shows the dose response results of nitric oxide scavenging and super oxide anion scavenging of the ethanol extracts of leaves of Alangium salvifolium. The extract reduced the generation of nitric oxide radical from sodium nitroprusside solution. This showed marked nitric oxide scavenging of the extract (90.63%). Also the extract showed significant superoxide scavenging activity (61.63%)
DISCUSSION
CCl4 is commonly used for induction of experimental liver toxicity. This toxic chemical causes peroxidative degradation of the adipose tissue, resulting in fatty infiltration of the hepatocytes. Its metabolites such as trichloromethyl radical (CCl3) and trichloromethyl peroxy radical (CCl302) are involved in the pathogenesis. As shown in fig 2, CCl4 causes changes around the central vein in the liver and other oxidative damages with the leakage of marker enzymes like ALT, AST and ALP in the serum. Treatment with ethanolic, petroleum ether and water extracts significantly reduced the elevated levels of the enzymes towards the respective normal value that is indication of stabilization of plasma membrane as well as repair of hepatic tissue damage caused by CCl4. The qualitative phytochemical investigations on extracts Alangium salvifolium also showed positive for flavonoids by ferric chloride, alkaline reagent, furthermore, flavonoids constituents of plant possess antioxidant properties. Administration of ethanolic extract of Alangium salvifolium showed significant antioxidant activity.
CONFLICT OF INTERESTS
Declared None
ACKNOWLODGEMENT
The authors thank to the management of Jyothishmathi Institute of Pharmaceutical sciences and Kakatiya University for providing necessary facilities.
REFERENCES
Chatterjee A, Pakrashi SC. The Treatise on Indian Medicinal Plants, New Delhi, Publications and information Directorate; 1995.
Kirtikar KR, Indian Medicinal Plants, page. Vol –III
Brijesh K Tiwari. Hepatoprotective and antioxidant effect of Sphaeranthus indicus against acetaminophen–induced hepatotoxicity in rats. J Pharm Sci Res 2009;1(2):26-30.
Shah PA. Evaluation of hepatoprotective and antioxidant activity of hordeum vulgare linn. seeds on CCl4 induced liver damage in rats. Indian Drugs 2009;46(12):941.
Gupta M, Mazumdar UK. Antioxidant and free radical scavenging of activities of ervatamia coronaria stapf leaves. Ira J Phan Res 2004;2;119-26.
Amimoto T. CCl4-induced hepatic injury in mice: the role of lipid peroxidation and effects of pretreatment with coenzyme Q10 and α-tocopherol. Free Rad Biol Med 1995;19:169–76.
GE Trease, WC Evans. Pharmacognosy, 12th Edn, (ELBS Publication, Baillier Tindall, East Bourne; 2001.
Hinneburg I, Dorman HJD, Hiltunen R. Antioxidant activites of extracts from selected culinary herbs and spices. Food Chem 2006;97:122-9.
Iniaghe OM. Evaluation of the antioxidant and Hepatoprotective properties of the methanolic extract of Acalypha racemosa leaf in carbon tetrachloride-treated rats Afr J Biotechnol 2008;7(11):1716-20.
JC Chang. Antioxidative and hepatoprotective effects of physalis peruviana extract against acetaminophen-induced liver injury in rats. Pharm Biol 2008;46(10–11):724–31.
Jyothi TM. Hepatoprotective and antioxidant activity of euphorbia antiquorum. Pharmacogn Mag 2009;29:14-25.
K Dash Veerendra. Evaluation of hepatoprotective and antioxidant activity of Ichnocarpus frutescens (Linn.) R. Br. on paracetamol-induced hepatotoxicity in rats. Trop J Pharm Res 2007;6(3):755-65.
Surendra V. Hepatoprotective activity of aerial parts of cynodon dactylon against ccl4-induced in rats. Pharmacogn Mag 2008;4:16.
S Sunitha. Hepatoprotective effect of lupeol and lupeol linoleate on tissue antioxidant defense system in cadmium-induced hepatotoxicity in rats. Fitoterapia 2001;72:516-23.
Subramoniam A, Pushpangadan P. Development of phytomedicienes for liver diseases. Indian J Pharmacol 1999;31:136-75.
Tepe B, Sokmen MH. Screenig of the antioxidants of potentials of six salvia spices from turkey. Food Chem 2006;95:200-4.