Department of biology University of Batna, Laboratory of cellular and molecular biology physiology, Montouri University of Constantine.
Email: souadlamda@gmail.com
Received: 16 Nov 2013 Revised and Accepted: 20 Jan 2014
ABSTRACT
Objective; Increased levels of physiological amino acid homocysteine (Hcy) in plasma is associated with the development of cardiovascular, neuronal, and liver diseases.[1] Damage of the vascular wall of aorta develops by exposure of vessel to the not yet degraded, toxically acting hcy, as occurs in the beginning of arteriosclerosis.[2]
Methods; Our investigation was performed in two parts on 12 male wistar rats, 3-4 months old in both. First we investigated the relation between homocysteine and other plasma biochemical parameters which is related with cardiovascular events: Total cholesterol (CT), HDL cholesterol (HDL-C), LDL cholesterol (LDL-C), triglyceride (TG). We employed 3 groups: (C) control. (Met) rats received methionine in high doses (200mg/Kg/day), (Met-C) in order to potentiate the atherogenic effect cholesterol was administred (1500mg/Kg/day). Lipid parameters were measured, and structural damage to an aorta was analyzed by histology.
In the second part, we used 3 groups: (C) control. (M) methionine (1g/Kg/day), (H) Hcy (20mg/day) to compare the effects of both methionine and homocysteine on aortic MMPs expression.
Results & Conclusion: The results show that elevated plasma homocysteine increase cholesterol synthesis, exerts an angiotoxic action direct to aorta (loss of endothelium, degeneration partly with dissolution of media cells), and induce expression of MMP-2, while MMP-9 was not expressed.
Keywords: Methionine, Homocysteine, Cholesterol, Biochemical parameters, MMPs, Extracellular matrix.
INTRODUCTION
Homocysteine is an intermediate sulfur-containing amino acid formed during the intracellular metabolism of methionine. Circulating homocysteine can be increased by a genetic deficiency of the enzymatic pathways involved in its catabolism, as well as by environmental factors including nutritional deficiencies, life style, physiological conditions, drugs and diseases, which mainly induce a deficiency of folic acid and vitamins B12 and B6. Therefore, the plasma homocysteine level can be reduced by interventional therapy with folic acid and vitamin B12 [3]. Some clinical and epidemiological studies confirmed the importance of plasma homocysteine levels in the atherogenic process. It was also shown that the high level of plasma homocysteine is an independent risk factor for coronary, cerebrovascular and peripheral occlusive vascular diseases.
Experimental studies of alterations caused by methionine or homocysteine have been performed on rabbits, baboons, rhesus monkeys, pigs and rats [4]. Studies in animal models demonstrated that Hyperhomocysteinemia (HHcy) could induce marked remodeling of an extracellular matrix of an arterial wall by inducing elastinolysis through the action of MMPs [5].
Matrix metalloproteinase constitute a family of zinc- containing endopeptidases, and play key roles in the responses of cells to their microenvironment. By producing proteolytic degradation or activation of cell surface and ECM proteins, they can modulate both cell-cell and cell-ECM interactions, which influence cell differentiation, migration, proliferation, and survival [6].
There are more than 20 MMPs in the family, but increase in MMP-2 and MMP-9 activities has the more pronounced effect during an early and late phase of cardiovascular remodeling [7-8]. Only MMP-2 and MMP-9 are expressed as latent pro enzymes by aortic smooth muscle cells and both are involved in arterial diseases such as atherosclerosis and abdominal aortic aneurysms [9].
In this study, we used high doses of the essential amino acid methionine in order to study its metabolism via the action of its degradation product homocysteine (Hcy). High doses of methionine had to be given to produce arteriosclerotic alterations [4]. In order to potentiate the atherogenic effects, cholesterol was administered to some methionine-treated animals. Histological investigation on aorta tissue were performed to demonstrated eventual alterations. Also we investigated the possible relation between Hcy and plasma lipid parameters which are related with cardiovascular events. To verified effects of homocysteine and methionine at high on MMP-2 and MMP-9, gelatin zymography was performed.
MATERIALS AND METHODS
First part of investigations
Animals
Healthy male Wistar rats weighing 200-250g were used in the study. Animals were harbored on a 12-h light/dark cycle (lights on from 08:00 am) at a constant ambient temperature (24±1°C) with normal rat chow and water available ad libitum. The study protocol was in accordance with the guidelines for animal research.
In this study for the first part of investigations 15 males wistar rats, 3 month –old were used in three experimental groups: (1) Control age-sex matched wistar rats (C) in which homocysteine levels are normal. (2) To create hyperhomocysteinemia, methionine (200mg/Kg/day) was administered in drinking water by gastric tube for 4 weeks (Met). (3) Cholesterol (1500mg/ Kg/ day) was administered to some methionine-treated animals (Met-C) in sunflower oil by gastric tube for 4 weeks.
Experimental design
At the end of the experiences blood was collected into citrate tubes under anesthetized rats by cavernous sinus ponction. The rats were sacrified while under anesthetic. Plasma was separated by centrifugation at 4 °C and stored at -70 °C until use. Fasting lipid analyses were performed for total cholesterol, HDL- C, and triglycerides with the colorimetric assay (bioMérieux SA). LDL-C was estimated by using Freidwald formula [10].
Measurement of plasma homocysteine
Blood samples were drawn from the tail vein and immediately centrifuged by standard techniques to obtain plasma, which was frozen at -70C°for subsequent analysis. Plasma total homocysteine was measured using high- performance liquid chromatography (HPLC) procedures [11].
Tissue preparation
Immediately after sacrifice, aortas, were collected, cut in pieces, washed with fresh PBS then fixed in 10% formalin, embedded in paraffin and tissue sections were stained with hematoxylin and eosin as described previously [12].
Statistical analysis
Data were analyzed using Statistical Product and Service Solutions (SPSS) version 10.0 statistical packages and are expressed as mean ± SEM. Differences between groups were analyzed by ANOVA with a student Newman Keuls test. For all analysis, P values less than 0.05 were considered statistically significant.
Second part of investigations
Animals. For this part of investigations 12 males wistar rats, 3 month old were used in three experimental groups: (1) Control age-sex matched wistar rats (C) in which homocysteine levels are normal. (2)To create hyperhomocysteinemia, methionine (1g/Kg/day) was administered in drinking water by gastric tube for 4 weeks (Met). (3) Since methionine may affect overall protein synthesis, we have created hyperhomocysteinemia by directly giving homocysteine (20mg/day) for 4 weeks (Hcy).
Preparation of tissue homogenates
Aorta was cleaned of external tissue and homogenate was prepared as described.[2] A Bio-Rad day binding assay was applied to estimate the total protein.
Zymography
To determine aortic matrix metalloproteinases activity in rats from the above three study groups of second part of investigations, gelatin zymography was performed as described [2]. 20 µl of aortic homogenates were loaded on to the electrophoretic gel (SDS-PAGE) containing gelatin (0.1%) substrate under non reducing conditions. After electrophoresis the gel was incubated twice in renaturating buffer of 30 min each (25 C°), rinsed in water, and incubated for 18h developing buffer (37 C°). After incubation, the gel was stained with 0.1% commassie blue G250. Zones of lysis were visualized as clear bands against the blue background. The proteolytic bands were quantified by scanning densitometry with a Bio-Rad gel scanner (Gs-700).
RESULTS
Plasma homocysteine
Plasma homocysteine in methionine treated rats averaged 30.2 ± 2.06 µmol/l compared with 3.8 ± 1.08 µmol/l in control rats.
Lipid parameters
To determine the effects of homocysteine, lipid parameters measurements are illustrated in table1. Lipid plasma levels showed a significant elevation in methionine treated rats (Met). In methionine and cholesterol simultaneously treated rats (Met-C) group, significant increase of plasma lipid (TC, TG, LDL-C) levels were revealed.
Histological investigations
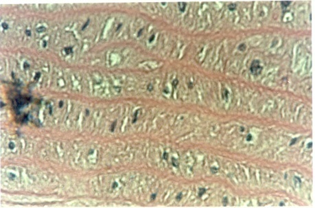
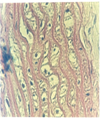
The aortic intima of methionine treated rats (Met) which have been fed 200mg methionine, showed degeneration and desquamation of endothelial cells. Degenerative alterations were observed also in the media. In contrast to control animals, whose aortic sections have chromatic-rich, predominantly elongated to spindle- or comma-shaped mediocyte nuclei (fig. 1-A), the aortas of the experimental animals exhibited after 4 wk methionine treatments, bright cytoplasm and enlarged, bright, round to oval, often radially arranged nuclei of a majority of the mediocytes. Dissolution of single mediocytes with karyolysis is observed not infrequently and appears to lead to the formation of tissue gaps which appear optically empty (fig. 1-B).
Simultaneous administration of methionine and cholesterol over a long period of time (4 wk) yielded no exacerbation of the alterations produced by methionine alone (fig. 1- C). By light microscopy, these methionine induced alterations of aorta showed considerable morphological similarity to the alteration detected by Matthias and al [4].
Table 1: Parameters values in control, Met, and Met-C rats after4 wk of treatment
| Parameters | Control | Met | Met-C |
| Total Cholesterol g/l | 0.44 ± 0.01 | 0.59 ± 0.06*● | 0.68 ± 0.02*● |
| Triglycerides g/l | 0.30 ± 0.04 | 0.39 ± 0.02*● | 0.42 ± 0.02*○ |
| HDL- C g/l | 0.22 ± 0.07 | 0.28 ± 0.04 | 0.26 ± 0.02 |
| LDL- C g/l | 0.12 ± 0.03 | 0.25 ± 0.04*● | 0.33 ± 0.01*● |
Values are means± SEM; n=5 rats/group. ○Significantly different from corresponding values in control and Met groups ●significantly different from corresponding values in the control group.
A |
B |
C |
Fig. 1: Representative cross section stained with Hematoxylin-eosin through the abdominal aorta of the control, Met, Chol, and Met-C groups
A- morphology of smooth muscle cells of media. Dark chromatin rich, predominantly longish to spindle -shaped nuclei running parallel to the circumference. B- endothelial cells largely retained. Mediocytes with predominantly bright cytoplasm and mostly bright oval, often radially arranged nuclei, near cells with dark pyknotic nuclei. Scattered karyolysis with incipient formation of tissue gaps. The number of media nuclei appeared reduced. C- Considerable morphological similarity to alterations induced by methionine. (X1300).
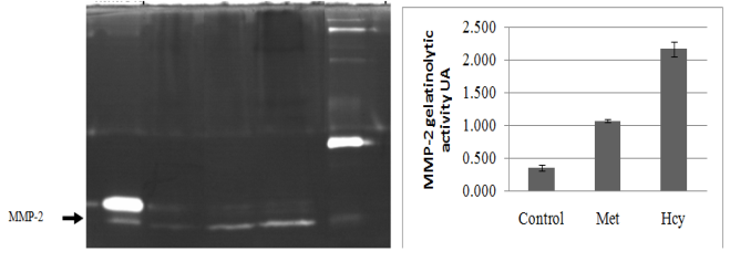
Gelatin zymography
The zymography revealed that the majority of the detected activity could be attributed to MMP-2, which is significantly increased in aortic tissue of treated rats compared with control (fig. 2).
ProMMP-2 Control Met Hcy ProMMP-9.

Fig. 2: Representative gelatin zymography. Gelatinolytic activities were identified as clear bands against the dark background. Zymographic activity of latent matrix metalloproteinase-2 is significantly enhanced in aortic tissue of treated rats compared with control
DISCUSSION
Increased dietary methionine may lead to hyperhomocysteinemia in human and animals [13]. However, the mechanisms by which elevated levels of homocysteine promote the pathological changes associated with hyperhomocysteinemia are poorly understood. To investigate a possible relation between homocysteine and lipid parameters (TC, TG, HDL-C and LDL-C), results showed a significant elevation of CT in both (Met) and (Met-C) groups in contrast to control group. Similar results were found by Matthias and al[4], suggesting positive homocysteine- induction of the cholesterol synthesis pathway. Furthermore, significant increase of plasma (LDL-C, TG) levels were revealed. Werstuck and al [14] reported that homocysteine–induced endoplasmic reticulum stress activates both the in folded protein response and the sterol regulatory element-binding proteins (SREBPs) in cultured human hepatocytes as well as vascular endothelial and aortic smooth muscle cells. Activation of the SREBPs is associated with increased expression of genes responsible for cholesterol/triglyceride biosynthesis and uptake and with intracellular accumulation of cholesterol. Homocysteine plays an important role in cholesterol biosynthesis by inducing the transcription as well as translation of 3-hydroxy-3-methylglutaryl coenzyme A reductase (HMG-CoA reductase) the rate limiting enzyme in the cholesterol biosynthesis. It also increases cholesterol synthesis and accumulation in endothelium cells [15]. Furthermore, sterol regulatory element-binding protein-2 (SREBP-2), a transcription factor is activated in liver of hyperhomocysteinemic rats and the activation of SREBP-2 leads to hepatic lipid accumulation by regulating HMG-CoA reductase expression in the liver [16]. Hyperhomocysteinemia also modulates cholesterol biosynthesis pathway through up regulation of the endoplasmic reticulum chaperone, GRP78/Bip in hepatocytes while the actual transport of the cholesterol in endothelial cells was found to be down regulated leading to up regulation of HMG-CoA reductase in endothelial cells [17] [14].
Animals consuming diets with high saturated fat and cholesterol have elevated LDL-C concentrations and develop intimal lesions that progress from fatty streaks to ulcerated, resembling those of human atherosclerosis[18][13]. High plasma concentrations of cholesterol, in particular those of low –density lipoprotein (LDL) cholesterol, are one of the principal risk for atherosclerosis [19-20].
In contrast to control animals, the aortas of the experimental animals exhibited after 4 weeks methionine treatment showed degenerative alterations in endothelium and the media. Matthias and al [4]. demonstrated the potentiation of homocysteine induced domage by other atherogenic substance such as cholesterol. Homocysteine catalyzes the production of atherogenic oxy-cholesterol. With existing high cholesterol levels, low homocysteine could produce oxidized cholesterol. This involvement of oxycholesterol and homocysteine in pathogenesis of atherosclerotic alterations tends to support the idea of homocysteine as a risk factor. Similar histological changes have been reproduced in rats, minipigs and rabbits fed methionine-rich diets [2] [21].
Endothelium is the innermost layer of vessel wall between blood and the interstitium. Detachment of endothelium exposes vascular smooth muscle cells to the oxidative conditions in blood. This may lead to smooth muscle cells (SMC) proliferation and ECM induction [11]. Endothelial cells have a lower basal intracellular hcy concentration and appear to be more influenced by extracellular concentrations of amino-acid suggesting an increased sensitivity/decreased ability to metabolise it than other cells. Hcy activates and domages endothelial cells by the generation of reactive oxygen species [18]. combined with the removal of endothelial cells protective antioxidant mechanisms such as nitric oxide (NO) and glutathione potentiating the injurious effect and increasing activation [22].
Chemically, methionine contains a sulfide sulfur (R-S-R`) whereas homocysteine and cysteine are sulfhydryl compounds (R-SH). Compounds containing a free sulfhydryl group are known as “thiols”. Under aerobic conditions and at physiological pH, thiols such as homocysteine oxidize to form disulfides, according to the general reaction: 2RSH + O2↔ RSSR +H2O2 in plasma, this reaction can be catalysed by transition metals such as copper and cobalt. Homocysteine can auto oxidize readily via general thiol oxidation mechanism described above and form homocystine, or oxidize other thiols such as cysteine and glutathione to form mixed disulfides, or oxidize form mixed disulfides [19]. Thiol autooxidation of reduced homocysteine forms stable homocystine (two homocysteine residues linked by a disulfide bond) and it had a direct cytotoxic effect on the cells [11].
Structural alterations of aortic wall resulting from degradation of matrix proteins characterize aortic segments of HHcy rats. Histologic studies demonstrate fragmented elastin and disordered collagen diposition compared with normal aortic tissue. Taking together these data suggests that the extracellular matrix remodeling occurs within aortic wall of HHcy rats resulting from increase in matrix metalloproteinases activity.
Among extracellular matrix alterations, the destruction of the arterial elastic structures has been raised as one of the major events in the homocysteine-induced athero-arteriosclerosis. Fragmentation of the medial elastic laminea and the internal laminea was first described in arteries from patients with homocystinuria [9][23].
MMP-2 appears to be the predominant metalloproteinase expressed in aortic tissue of HHcy rats [73]. Of the MMPs, MMP-2 has the widest distribution and plays an important role in the turnover of basement membrane type IV collagen and in controlling cell proliferation[3][24].
Gelatin zymography evidenced that latent MMP-2 is increased in aorta homogenates of treated rats. Consistent with previous studies [25-27], our results suggest that homocysteine by increasing the secretion of latent MMP-2 could participate, through an oxidative stress dependant secretion of elastolytic MMP-2, to the metalloproteinase-dependant degradation of arterial elastic structures. Bescond and al, suggested that the direct activation of proMMP-2 by homocysteine could be one of the mechanisms involved in the extracellular matrix deterioration in hyperhomocysteinemia-associated arteriosclerosis.
CONCLISION
In summary, our findings demonstrated that methionine and the combination of methionine plus high dietary cholesterol did significantly increase plasma cholesterol, LDL-C and TG levels compared with control. Indeed, cholesterol and homocysteine metabolism may be interrelated. Homocycteine induced arterial wall damage in rats receiving a methionine-rich diet and increased secretion of latent MMP-2. These data suggest that homocysteine is directly involved in mechanisms leading to remodelling.
CONFLICT OF INTERESTS
Declared None
REFERENCES