1Clinical Pharmacology Department, Faculty of Medicine, Mansoura University, Mansoura, Egypt, 2Pharmacology and Therapeutics Department, Qassim College of Medicine, Qassim University, KSA, 3Pathology Department, Faculty of Medicine, Mansoura University, Mansoura, Egypt, 4Medical laboratory department- College of Applied medical Sciences- Taif university- Taif - KSA, 5Dept. of Clinical Biochemistry, Faculty of Medicine, North Jeddah Branch, King Abdulaziz University, Jeddah, KSA, 6Dept. of Biochemistry, Genetic Engineering and Biotechnology Division, National Research Centre, Cairo, Egypt.
Email: elsayedcp@yahoo.com
Received: 22 Oct 2014 Revised and Accepted: 15 Nov 2014
ABSTRACT
Objective: Black cumin (Nigella Sativa), have been used for nutritional and medicinal purposes in many countries. This work was done to study the effect of black cumin powder during and after induction of atherosclerosis in cholesterol-enriched diet fed rabbits.
Methods: Thirty male New Zealand White rabbits, (4-5 months old, average body weight
1.5 kg) were used. Rabbits were divided into five groups: negative control group, positive control group (fed atherogenic diet for 20 weeks); prophylactically treated group (each rabbit in this group fed atherogenic diet and given black cumin powder 150 mg/kg body weight /day by gavage for 20 weeks to show the possible protective effect of black cumin on atherosclerotic process); positive control group for development of atherosclerosis (fed atherogenic diet for 12 weeks); and Atherosclerotic treated group (each rabbit in this group fed atherogenic diet for 12 weeks and after the development of atherosclerosis received black cumin powder 150 mg/kg body weight /day by gavage to show the effect of black cumin on the progression of atherosclerosis).
Results: Administration of black cumin during the development of atherosclerosis produced significant inhibition of aortic atherosclerotic changes. Also, administration of black cumin during or after the development of atherosclerosis produced significant decrease (P < 0.05) in total-cholesterol (TC), LDL-cholesterol, Triglycerides (TG), Malondialdhydes (MDA), sICAM-1 and sVCAM-1 while HDL-cholesterol and nitrite was significantly increased.
Conclusion: Black cumin has anti-atherosclerotic effects which may be exerted by inhibiting the release of free radicals, hypocholesterolemic effect and through their effect on adhesion molecules.
Keywords: Atherosclerosis, Black cumin, Rabbits, Cholesterol, sICAM, sVCAM, MDA, Nitrite.
INTRODUCTION
Atherosclerosis is a chronic inflammatory process that is characterized by the formation of plaques consisting of foam cells, immune cells, vascular endothelial cells (ECs), smooth muscle cells (SMCs), platelets, extracellular matrix, and a lipid-rich core with extensive necrosis and fibrosis of surrounding tissues [1, 2]. Hyperlipidemia is an important risk factor for cardiovascular disease. Its major role in the pathogenesis of atherosclerosis has been implicated by several clinical and epidemiological studies [3]. In addition, hyperlipidemia has an indirect role by stimulating the production of oxygen free radicals (OFRs) from polymorpho nuclear leukocytes (PMNLs) and monocytes [4].
Atherosclerosis is a focal disease affecting discrete regions of the vasculature, such as vessel curvatures and bifurcations [5]. These regions are characterized by disturbed oscillatory flow that induces upregulation of proinflammatory adhesion molecules such as soluble Inter Cellular Adhesion Molecule-1 (sICAM-1), soluble Vascular Cellular Adhesion Molecule-1 (sVCAM-1) [6, 7].
It is evident that most of the hypocholesterolemic drugs must be used for several weeks to be effective. This may expose patients to several side effects, especially liver injury [8]. Black cumin (Nigella Sativa), commonly known as black seeds has been used for nutritional and medicinal purposes in many Middle Eastern countries and other parts of the world [9].
Evidence concerning the antiatherosclerotic effect of N. sativa seeds in animals and human is inconclusive [10]. Therefore, The aim of the present work was to study; the potential effect of Black cumin on the progress of atherosclerosis events in diet induced atherosclerosis in rabbits, and in-vivo estimation of nitrite, MDA, sICAM-1 and sVCAM-1 in a trial to determine the possible mechanism|s of action of Black cumin in this respect.
MATERIAL AND METHODS
Drugs and chemicals used
The black cumin seeds of nigella sativa (NS) were purchased from the local market in Mansoura, Egypt. The seeds were grinded with a grinder into powder and dissolved in freshly prepared carboxymethyl cellulose (CMC) and each animal received black cumin at a dose of 150 mg|kg body weight everyday by intragastric intubation [11].
Animals used
Thirty male New Zealand White rabbits, (4-5 months old, average body weight
1.5 kg) were used throughout the study. Animal care and experiments were performed in accordance with NIH guide to the care and use of laboratory animals. The local ethical committee approved the study. Rabbits were housed under similar standard laboratory conditions. Male rabbits were used to avoid the variability secondary to sex differences in this experimental model. Rabbits were housed individually with free access to water. Each rabbit was fed 100 gm per day of a standard commercial rabbit chow and had free access to water. The animals received a standard diet without cholesterol during the 2-week "pretreatment period" for adaptation to the environment. Atherosclerosis was induced experimentally by feeding rabbits on cholesterol-enriched diet for 12 weeks. To prepare the cholesterol containing chow, cholesterol was dissolved in coconut oil and mixed manually with the standard chow (1% cholesterol plus 4% coconut oil mixed with standard commercial rabbit chow). This mixture was chosen because Sun et al., (2000) [12] have demonstrated that this mixture when given for a period of 10 to 12 weeks, it results in marked elevation in serum cholesterol and induction of diffuse, aortic atherosclerosis. A similar procedure was used for the placebo chow (negative control group), except that no cholesterol was added.
Animal grouping
Rabbits were classified into two major groups.
Negative control Group = Group A (n = 6): Each rabbit in this group received standard rabbit chow and 1 mL of freshly prepared carboxymethyl cellulose (CMC) by gavage for 20 weeks.
Cholesterol–enriched diet Group (n = 24), rabbits in this group received atherogenic diet “cholesterol enriched diet”. They were classified into 4 equal groups (B, C, D & E) as follow:
- Group B (n = 6): Each rabbit in this group fed atherogenic diet and given 1 mL of CMC by gavage for 20 weeks, (They served as positive control group).
- Group C (n = 6): Each rabbit in this group fed atherogenic diet for 12 weeks and given 1 mL of CMC by gavage for 12 weeks. They served as positive control group for development of atherosclerosis.
- Group D (n = 6): Each rabbit in this group fed atherogenic diet and given black cumin powder (150 mg|kg body weight /day) dissolved in 1 mL of CMC [11] by gavage for 20 weeks to show the possible protective effect of black cumin on atherosclerotic process.
- Group E (n = 6): Each rabbit in this group fed atherogenic diet for 12 weeks and after the development of atherosclerosis (as confirmed by pathological examination & lipogram assay in group C), received black cumin powder (150 mg | kg body weight /day) dissolved in 1 mL of CMC by gavage [11] with atherogenic diet for another 8 weeks to show the effect of black cumin on the progression of atherosclerosis.
At the end of the experiment, all rabbits were sacrificed with the knife after overnight (14 hours) fasting. Trunk blood of each rabbit was collected and centrifuged at 1000 rpm. for 15 minutes. The un haemolyzed serum samples were separated from the clot carefully and were stored at -30oC until used for the assay of:
1) Triglycerides according to the method of Fassati, (1982) [13], while enzymatic determination of serum total-cholesterol was determined according to the method described by Richmond, (1973) [14]. HDL- cholesterol was determined according to the method of Burstein et al (1970) [15]. LDL-cholesterol was determined according to Friendewald equation.
2) sICAM-1 & sVCAM-1 was determined using a commercially available solid phase sandwich ELISA kit, according to Casensky, (1996) [16]. The kit was provided from Immunotech, Marsille, Cedex, France.
3) Nitrite (Nitric oxide): Nitrite levels were estimated by colorimetric assay according to the method of Bredt, D. and Snyder, S., 1994) [17].
4) Malondialdhydes (MDA): lipid peroxidation was assed spectro-photometrically by measuring MDA using thiobarbituric acid methods according to Devi et al., (2000). [18]
Histopathological alterations of aortic tissues
The aortic arch from each rabbit was handled and divided in 2 parts according to Brehme et al. (1999) [19]. All specimens obtained were fixed in 10% buffered formalin, processed and paraffin imgded. The specimens were divided into two parts, one for haematoxylin–eosin (H & E) staining and the other for immunohistochemical staining.
A) Hematoxylin and eosin staining
Cross-sections (thickness 4 µm) were used to assess endothelial cells, foam cells, luminal lipid-endothelial interactions, smooth muscle cells & typical atheromatous plaque formation. Each case was classified using a system developed by the Committee on Vascular Lesions of the Council of the American Heart Association (AHA) [20, 21]. According to the AHA classification, Type 0 lesions are characterized by normal intima with no intimal lipid, with or without adaptive intimal thickening; type 1 lesions are characterized by isolated lipid-laden macrophages; type 2 lesions are characterized by numerous macrophage foam cells and fine particles of extracellular lipid, but no pools of extracellular lipid; type 3 lesions are characterized by one or more pools of extracellular lipid, but no well-defined core of lipid, and represent the intermediate or transitional lesion; type 4 lesions are characterized by a well-defined core of extracellular lipid covered by normal intima; type 5 lesions are characterized by one or more cores of extracellular lipid plus a reactive fibrous cap, vascularization, or calcification; type 6 lesions are characterized by an intimal surface defect.
B) Immunohistochemistry
`Immunostaining using mouse anti-rabbit antibodies monoclonal antibody against smooth muscle actin was performed on tissue sections using an avidin-biotin-peroxidase system(Invitrgen) with DAB was used as a chromogen and Mayer's haematoxlin was applied as a light counterstain. Microwave heating in a solution of sodium citrate, pH6 was performed prior to incubation with the antibody. For negative control stains, the primary antibodies were omitted and replaced by phosphate-buffered saline. Human colon was used as positive control of anti-alpha-smooth muscle actin antibody [22].
Statistical analysis
All data were expressed as Mean± SE; the limit of significance was set for P < 0.05. Statistical calculations of the data were performed with SPSS version 13.0 for windows (SPSS Inc., USA), where comparison of the data for each biochemical parameter was performed by student’s paired t-test.
RESULTS
A) Effects of Prophylactic treatment of rabbits with Black Cumin on serum lipid profile, nitrite, MDA, sICAM & sVCAM
As shown in table 1, feeding rabbits with 1% cholesterol plus 4% coconut oil mixed with regular chow (high cholesterol–diet group) for 20 weeks led to significant increase of serum concentration of triglycerides, total-cholesterol, LDL-cholesterol, sICAM-1, sVCAM-1 and MDA while HDL- cholesterol and serum nitrite were significantly decreased compared to negative control group. Also, prophylactic oral administration of black cumin (150 mg/Kg /day), to rabbits with cholesterol-enriched diet for 20 weeks produced significant decrease of fasting serum triglyceride, total-cholesterol, LDL-cholesterol, MDA, sICAM-1 & sVCAM-1 while fasting serum HDL- cholesterol and Nitrite significantly increase compared with cholesterol-enriched diet group.
B) Effects of treatment of atherosclerotic rabbits with Black Cumin on serum lipid profile, nitrite, MDA, sICAM & sVCAM
As shown in table 2, In the present work, treatment of atherosclerotic rabbits with black cumin (150 mg/Kg /day), for 8 weeks produced significant decrease of fasting serum triglyceride, total-cholesterol, LDL-cholesterol, MDA, sICAM-1 and sVCAM-1 while fasting serum HDL- cholesterol and Nitrite significantly increase compared with cholesterol-enriched diet group.
Pathology Results
Group A: Negative control: (Type 0 lesions)
None of the animals in this group exhibited histopathological alterations related to atherogenesis in the endothelium, subendothelium, membrane elastica interna and tunica intima, also smooth muscle actin immunohistochemical staining revealed normal smooth muscle cells as showed in fig. 1, 2.

Fig. 1: Aortic wall with normal intima & smooth muscle cells (H & E X 40).
Table 1: Serum Lipid profile, Nitrite, MDA, sICAM-1 and sVCAM-1 of Rabbits treated with atherogenic diet alone or concomitantly with black cumin (150 mg/Kg /day), for 20 weeks (n = 6. t.-test, M ± SEM)
| Diet | Standard diet | Cholesterol-enriched diet for 20 weeks | |
| Drug | ______ | ________ | + black cumin (150 mg/Kg /day) for 20 weeks |
| Triglyceride (mg/dl) | 75.76 ± 3.4 | 265.34 ± 7.4 * | 139.43 ± 5.6*Δ |
| Total-cholesterol (mg/dl) | 211.32 ± 7.83 | 1270.78 ± 55.4* | 355.3 ± 27.6*Δ |
| HDL-cholesterol (mg/dl) | 77.52 ± 4.7 | 31.7 ± 3.2 * | 59 ± 3.5 Δ |
| LDL-cholesterol (mg/dl) | 118.33 ± 3.44 | 1186.01 ± 45.22* | 248.41 ± 23.2 *Δ |
| Nitrite (µ mol/ µl) | 340.3 ± 9.2 | 96.1 ± 7.5* | 222.4 ± 5.8*Δ |
| MDA (n mol/ ml) | 41.5 ± 2.33 | 163.4 ± 6.55* | 78.23 ± 3.4*Δ |
| sICAM-1 (ng / ml) | 120.11 ± 8.56 | 254.43 ± 12.6* | 137 ± 10.2Δ |
| sVCAM-1 (ng / ml) | 163.34±11.32 | 321 ± 22.43* | 195.62 ± 8.54 Δ |
* Significant difference between Standard diet (negative control) group & other groups (P < 0.05), Δ Significant difference between Cholesterol-enriched diet fed group and black cumin treated groups (P < 0.05).
Table 2: Serum Lipid profile, Nitrite, MDA, sICAM-1 and sVCAM-1 of Atherosclerotic rabbits after administration of black cumin (150 mg/Kg /day) for 8 weeks (n = 6. t.-test, M ± SEM)
| Diet | Standard diet | Cholesterol-enriched diet (12 weeks) | Cholesterol-enriched diet (20 weeks) | Cholesterol-enriched diet and tested drugs for 8 weeks |
| Drug | _______ | _________ | ________ | + black cumin (150 mg/Kg /day) for 8 weeks |
| Triglyceride (mg/dl) | 75.76 ± 3.4 | 239.7± 17.56* | 265.34 ± 7.4 * | 159.87 ± 6.3* Σ Δ |
| Total-cholesterol (mg/dl) | 211.32 ± 7.83 | 1099.43± 67. 2* | 1270.78 ± 55.4* | 554 ± 11.21* Σ Δ |
| HDL-cholesterol (mg/dl) | 77.52 ± 4.7 | 27.21 ± 1.35* | 31.7 ± 3.2 * | 53.2 ± 2.6 Σ Δ |
| LDL-cholesterol (mg/dl) | 118.33 ± 3.44 | 1023.85 ± 44.61* | 1186.01 ± 45.22* | 468.83 ± 10.2* Σ Δ |
| Nitrite (µ mol/ µL) | 340.3 ± 9.2 | 102.25 ± 5.61 * | 96.1 ± 7.5* | 195.3 ± 8.7 *Σ Δ |
| MDA (n mol/ mL) | 41.5 ± 2.33 | 145.71 ± 5.32 * | 163.4 ± 6.55* | 98.6 ± 5.3 *Σ Δ |
| sICAM-1 (ng / mL) | 120.11 ± 8.56 | 235.6 ± 7.89* | 254.43 ± 12.6* | 122.3 ± 10.23 Σ Δ |
| sVCAM-1 (ng / mL) | 163.34±11.32 | 270.77 ± 15.43* | 321 ± 22.43* | 202.5 ± 9.56 Σ Δ |
* Significant difference between Standard diet (control) group & other groups (P < 0.05), Σ Significant difference between Cholesterol-enriched diet fed group (12 weeks) and black cumin treated groups (P < 0.05), Δ Significant difference between Cholesterol-enriched diet fed group (20 weeks) and black cumin treated groups (P < 0.05).

Fig. 2: Alpha smooth muscle actin immunohistochemical staining show normal aortic wall thickness (Immunoperoxidase staining, hematoxylin counter-stain X 100)
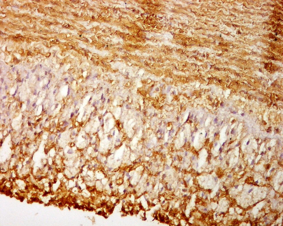
Group B: Cholesterol rich diet for 20 week: (type 2, 3, 4 lesions)
Typical atheromatous plaque formation with marked endothelial disarrangement & numerous foam cells in most sub endothelial areas. The luminal lipid-endothelial interactions show marked irregularities. Higher magnification (x400) revealed excess lipid laden macrophages, soft lipid-rich core with abundant smooth muscle cells within the interstitium underneath the injured endothelium as evident by actin immuno staining. These features are shown in fig. 3 and 4.

Fig. 3: Lipid laden macrophages with soft lipid-rich core & irregular luminal lipid endothelial interaction (H&E X 400)

Fig. 4: Smooth muscle actin immunohistochemical staining show more evident hypertrophied smooth muscle (Immunoperoxidase staining, hematoxylin counter-stain X 100)
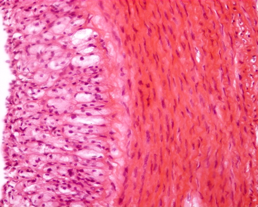
Group C: Cholesterol rich diet for 12 week: (Type 1 lesions)
Endothelial disarrangement and many foam cells were seen in some sub endothelial areas. Higher magnification of these areas revealed lipid laden macrophages, smooth muscle cells and connective tissue fibers. Protrusion and mild irregularities in the endothelial cells and luminal lipid-endothelial interactions were observed in some areas. Immunohistochemistry revealed mild smooth muscle cell proliferation these features are shown in fig. 5 and 6.

Fig. 5: Lipid laden macrophages in subendothelial areas and proliferated smooth muscle cells (H&E staining, ×100)

Fig. 6: Smooth muscle immunohistochemical staining show mild smooth muscle proliferation (Immunoperoxidase staining, hematoxylin counter-stain X 100)
Group D: Cholesterol rich diet for 20 week + black cumin for 20 weeks: (type 0 & 1 lesions)
Aortic morphology was slightly similar to group A with only scattered foam cells seen in few sub endothelial areas. Typical atheromatous plaque formation was not observed in any of the groups. These features are shown in fig. 7 and 8.

Fig. 7: Few scattered foam cells on the intimal surface (H&E X 100)

Fig. 8: Smooth muscle immunohistochemical staining show near normal aortic thickness (Immunoperoxidase staining, hematoxylin counter-stain X 100)
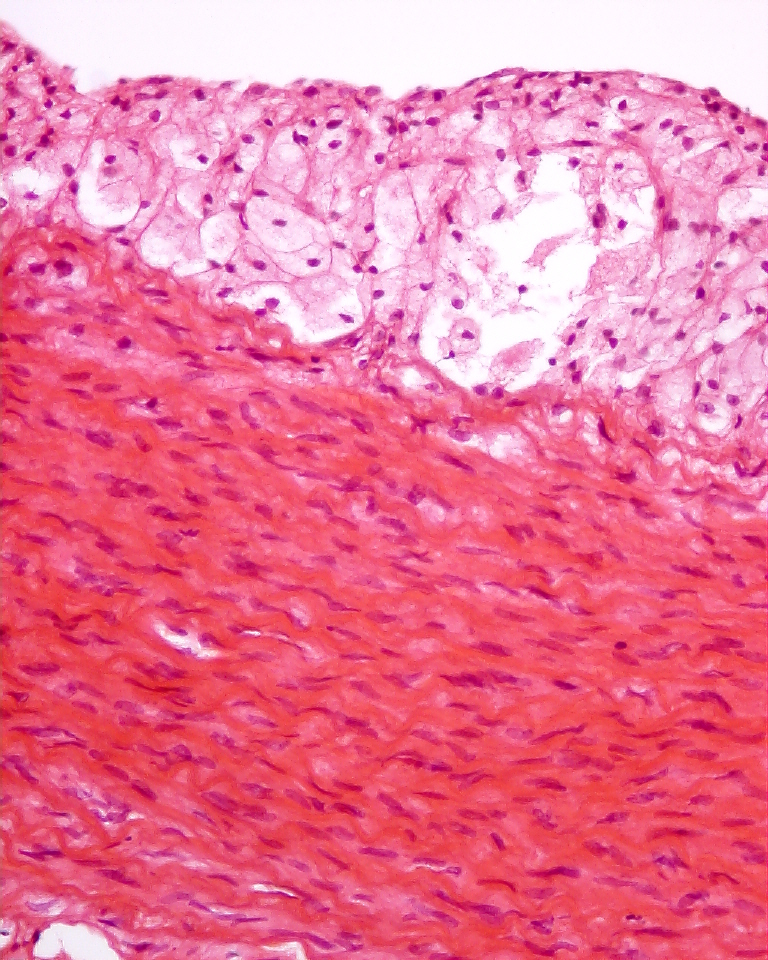
Group E: Cholesterol rich diet for 20 week + black cumin in the last 8 weeks: (type 1 & 2 lesions)
The intensity of foam cells in the tunica intima was more than in group C, although there was some degree of endothelial disarrangement. In some sections, the membrana elastic interna was regularly shaped, despite some irregular endothelial alignments with less evident smooth muscle proliferation as evident by actin immuno staining.
These features are shown in fig. 9 & 10

Fig. 9: Irregular endothelial alignments with foam cells (H&E X 100)

Fig. 10: Smooth muscle immunohistochemical staining show hypertrophied smooth muscle cells (Immunoperoxidase staining, hematoxylin counter-stain X 100)
DISCUSSION
In the present study, feeding rabbits with Cholesterol-enriched diet for 12 or 20 weeks led to well- developed atherosclerosis and strongly increased foamy macrophages in the aortic tissues of rabbits. Also, feeding rabbits with cholesterol enriched diet induced a significant increase of serum triglycerides, total-cholesterol and LDL-cholesterol while HDL- cholesterol was significantly decreased compared to control group. These results are similar to that obtained by Heinleh et al., [22] and Ghanya et al., [10]. The addition of cholesterol to the diet is partly responsible for the increase in the plasma concentration of total-cholesterol and LDL- cholesterol [23]. The major bulk of LDL-cholesterol is removed by hepatic LDL receptor, so suppression of hepatic LDL receptors can explain the elevated level of LDL-cholesterol that occurs with cholesterol-enriched diet [24]. The increased level of plasma triglycerides observed in this study could be explained by the study of Fungwe et al., [23]who proved that, addition of cholesterol to diet leads to stimulation of triglycerides synthesis, reduced fatty acid oxidation or both. Also, dietary cholesterol accelerates VLDL secretion from the liver [25].
Feeding rabbits on the cholesterol-enriched diet for 12 or 20 weeks led to the significant decrease in fasting serum nitrite and significant increase in fasting serum MDA compared to control group. These results are similar to that obtained by Seinosuke K and Mitsuhiro Y., [26], since they reported that atherosclerosis in both human and animal studies is associated with an impairment of endothelium-Dependent relaxations, which represents the reduced bioavailability of nitric oxide (NO), produced from endothelial NO synthase (eNOS). Also, Philip w., [27], reported that early hypercholesterolaemia-induced vascular disease is characterized by an attenuated capacity for endothelial production of the antiatherogenic molecule nitric oxide (NO), which is generated by eNOS. Similar to our results, In a cholesterol-induced atherosclerotic rabbit model; plasma MDA level was significantly higher and plasma superoxide dismutase (SOD) activities were lower in rabbits fed regular chow with 1% cholesterol (atherosclerotic group) compared with rabbits fed regular chow (control group) and there was a positive correlation between the extent of aortic atherosclerosis and plasma MDA values [28]. Hypercholesterolemic atherosclerosis was associated with an increase in aortic tissue MDA and a decrease in the antioxidant reserve that are known to produce endothelial cell injury that represents a critical initiating event in the development of atherosclerosis [29].
Feeding rabbits on cholesterol-enriched diet for 12 or 20 weeks led to the significant increase in both serum sICAM-1 and sVCAM-1 compared to control group. Similar to our results, Becker et al., [30], reported that increased plasma levels of sICAM-1 and sVCAM-1 are associated with an increased risk of atherothrombosis. Also, Sakai A et al., [31] reported that sVCAM-1 and sICAM-1 are expressed by activated endothelial cells and play an important role in very early stages of atherogenesis as well as in more advanced atherosclerotic lesions, where intimal cells and endothelial cells of intimal neovessels in atherosclerotic plaques express them.
In the present study administration of black cumin (N. sativa) during or after the development of atherosclerosis produced significant inhibition of aortic atherosclerotic changes when compared with the aorta of the positive control groups. Also, administration of black cumin during or after the development of atherosclerosis produced significant decrease in total-cholesterol (TC), LDL-cholesterol, Triglycerides and MDA while HDL-cholesterol and nitrite significantly increased. These findings were similar to those results reported by Prasad [32] and Ghanya et al., [10]. The beneficial effect of black cumin on lipid profile observed in the present study can be explained by its high content of vitamin E and total antioxidant activity as it was reported that, vitamin E administered to hypercholesterolemic rabbits significantly reduced the plasma LDL-cholesterol and TC [10, 33]. It was also found that oil extracted from N. sativa seeds is rich in unsaturated fatty acids, which could be responsible for the decrease of TC and LDL cholesterol levels as reported by other researchers [9, 32]. The hypocholesterolimic effect of black cumin could also be attributed to the seeds contents of total dietary fiber, insoluble dietary fiber and soluble dietary fiber as it was found that several dietary fibers significantly decrease plasma cholesterol levels in human subjects and thereby may reduce the risk of coronary heart diseases [34-35].
Regarding the effect of black cumin on serum MDA & serum nitrite, our results are in agreement with previous studies [36-38]. In contrast to our results, oral administration of N. sativa oil to rats had no significant effect on the levels of heart tissue MDA [39]. Kanter et al. [36-37] found that treatment with the volatile oil of N. sativa decreased blood MDA levels, increased the antioxidant defense system activity in carbon tetrachloride treated rats and reduced the spinal cord tissue MDA following the experimental spinal cord injury in rats [36-37]. Moreover, in an experimental study in diabetic rabbits, N. sativa extract decreased the elevated blood MDA concentration and increased the lowered glutathione and ceruloplasmin concentrations [38].
The antioxidant effect of black seed seems to be due to its oil, thymoquinone (TQ), flavonoids and antioxidant vitamins like ascorbic acid. The N. sativa oil and TQ inhibit non-enzymatic lipid peroxidation in liposomes and both of them especially TQ, work as a scavenger of various reactive oxygen species, including superoxide anion and hydroxyl radicals [40]. In addition flavonoids are a class of polyphenolic compounds that seem to have antioxidant properties by suppressing reactive oxygen and nitrogen species formation, scavenging reactive oxygen and nitrogen species and protecting the antioxidant defense system [41].
In the present study administration of black cumin (N. sativa) during or after the development of atherosclerosis produced the significant decrease of serum sVCAM-1 & sICAM. Previous studies with experimental animals have revealed increased expression of VCAM-1 and ICAM-1 in atherosclerotic plaques [42]. To the best of our knowledge, Literature survey showed no work has been carried out on the effect of black cumin on sICAM & sVCAM and the precise molecular mechanism(s) of its effects on sICAM & sVCAM discovered in the present study need further investigations to be explained. In the present work, the antioxidant activity, the decreased serum total-cholesterol, LDL-cholesterol and Triglycerides by black cumin may in part explain their effect on sICAM-1 and sVCAM-1.
CONCLUSION
Black cumin has anti-atherosclerotic effects; these anti-atherosclerotic effects may be exerted by inhibiting the release of free radicals, hypocholesterolemic effect and through their effect on adhesion molecules leading to inhibition of the inflammatory atherosclerotic process.
CONFLICT OF INTERESTS
Declared None
REFERENCES
Lusis AJ. Atherosclerosis. Nature 2000;407:233-41.
Ross R. Atherosclerosis-an inflammatory disease. N Engl J Med 1999;340(2):115-26.
Jaffar AR, Babb J, Movahed A. Optimal management of hyperlipidemia in primary prevention of cardiovascular disease. Int J Cardiol 2004;97(3):355-66.
Prasad K. Hypocholesterolemic and anti-atherosclerotic effect of flax lignan complex isolated from flaxseed. Atherosclerosis 2005;179(2):269–75.
Garin G, Berk BC. Flow-mediated signaling modulates endothelial cell phenotype. Endothelium 2006;13:375-84.
Vander Laan PA, Reardon CA, Getz GS. Site specificity of atherosclerosis: site-selective responses to atherosclerotic modulators. Arterioscler Thromb Vasc Biol 2004;24:12-22.
Brooks AR, Lelkes PI, Rubanyi GM. Gene expression profiling of human aortic endothelial cells exposed to disturbed flow and steady laminar flow. Physiol Genomics 2002;9:27-41.
H Hus, Y Le, M Chen. Effects of fish oil and vitamin E on the antioxidant defense system in diet-induced hypercholesterolemic rabbits. Prostaglandins Other Lipid Mediat 2001;66:99-108.
M El-Dakhakhny, M Barakat, M Abd El-Halim, SM Aly. Effects of Nigella sativa oil on gastric secretion and ethanol induced ulcer in rats. J Ethnopharmacol 2000;72(1-2):299-304.
Ghanya A, Adel SA, Maznah I, Zulkhairi HA, Norhaizan ME. Antiatherogenic potential of nigella sativa seeds and oil in diet-induced hypercholesterolemia in rabbits. Evid Base Compl Alternative Med 2011;213628:1-8.
Murugesan M, Ragunath M, Prabu T, Nadanasabapathi S, Sakthivel M, Manju V. Protective role of black cumin (Nigella sativa) on isoproterenol induced myocardial infarction in rats. IJPCS 2012;1(2):45-53.
Sun YP, Nancy CL, William WP, Clarie BH. Effects of cholesterol diets on vascular function and atherogenesis in rabbits. Proc Soc Exp Biol Med 2000;224:166-71.
Fassati P. Enzymatic determination of serum Trigycelides. J Biol Chem 1982;28:2077.
Richmond W. Enzymatic determination of cholesterol. Clin Chem 1973;19:1350-6.
Burstein M. Determination of high density lipoprotein cholesterol level. J Lipid Res 1970;11:583-7.
Casensky. Adhesion receptors on peripheral blood leukaemic B cells. Leukaemia 1996;11(3):408-15.
Bredt DS, Snyder SH. Nitric oxide: A physiologic messenger molecule. Ann Rev Biochem 1994;63:175.
Devi GS, Hema PM, Saraswathi I, Raghu D, Rao DN, Reddy PP. Free radicals antioxidant enzymes and lipid peroxidation in different types of leukaemias. Clin Chim Acta 2000;293:53-62.
Brehme U, Bruck B, Gugel N, Wehrmann M, Hanke S, Finking G, et al. Aortic plaque size and endometrial response in cholesterol-fed rabbits treated with estrogen plus continuous or sequential progestin. Arterioscler Thromb Vasc Biol 1999;19:1930-7.
Stary HC, Chandler B, Glagov S, Guyton JR, Insull W, Rosenfeld ME, et al. A definition of the intima of the initial, fatty streak and intermediate lesions of atherosclerosis, A report from the committee on vascular lesions of the council on atherosclerosis. AHA. Arterioscler Thromb 1994;14:840-56.
Stary HC, Chandler B, Dinsmore RE, Fuster V, Glagov S, Insull W, et al. A definition of the intima of advanced types of atherosclerotic lesions and a histological classification of atherosclerosis, A report from the committee on vascular lesions of the council on atherosclerosis, AHA. Circulation 1995;92:1355–74.
Heinle HU, Brehme G, Friedemann J, Frey AW, Kelber O, Weiser D, et al. Intimal plaque development and oxidative stress in cholesterol-induced atherosclerosis in New Zealand rabbits. Acta Physiol Scand 2002;176:101–7.
Fungwe TV, Cagen L, Wilcox HG, Heimberg M. Regulation of hepatic secretion of very low density lipoprotein by dietary cholesterol. J Lipid Res 1992;33:179-91.
Issandou M. Pharmacological regulation of low density lipoprotein receptor expression: Current status and future developments. Pharmacol Ther 2006;111(2):424-33.
Ohtani H, Hayashi K, Hirata Y, Dojo S, Nakashima K, Nishio E, et al. Effects of dietary cholesterol and fatty acids on plasma cholesterol level and hepatic lipoprotein metabolism. J Lipid Res 1990;3:1413-22.
Seinosuke K, Mitsuhiro Y. Dysfunction of endothelial nitric oxide synthase and atherosclerosis. Arterioscler Thromb Vasc Biol 2004;24:998.
Philip W Shaul. Endothelial nitric oxide synthase, caveolae and the development of atherosclerosis. Physiol 2003;547(1):21-33.
Mutaf I, Habif S, Turgan N, Parildar Z, Ozmen D, Bayindir O, et al. Amlodipine and glutathione cycle in hypercholesterolaemia. Acta Cardiol 2004;59(5):485-92.
Kailash P. Reduction of serum cholesterol and hyper cholesterolemic atherosclerosis in rabbits by secoisolariciresinol diglucoside isolated from flaxseed. Circulation 1999;99:1355-62.
Becker A, van Hinsbergh VW, Jager A, Kostense PJ, Dekker JM, Nijpels G, et al. Why is soluble intercellular adhesion molecule-1 related to cardiovascular mortality? Eur J Clin Invest 2002;32:1-8.
Sakai A, Kume N, Nishi E, Tanoue K, Miyasaka M. P-selectin and vascular cell adhesion molecule-1 are focally expression in aortas of hypercholesterolemic rabbits before intimal accumulation of macrophages and Tlymphocytes. Arterioscler Thromb Vasc Biol 1997;17(2):310-6.
Prasad K. Dietary flax seed in prevention of hypercholesterolemic atherosclerosis. Atherosclerosis 1997;132(1):69-76.
R Jorge, C Neural, R Ozaki, E Almeida. Improvement in the endothelium-dependent relaxation in hypercholesterolemic rabbit treated with vitamin E. Atherosclerosis 1998;140:333–9.
G Al-Naqeeb, M Ismail, A Al-Zubairi, N Esa. Nutrients composition and mineral content of three different samples of N. sativa L cultivated in Yemen. Asian J Biol Sci 2009;2:43–8.
K Khaw, E Barrett-Connor. Dietary fibre and reduced ischaemic heart disease and mortality rates in men and women: a 12-year prospective study. Am J Epidemiol 1987;126:1093–102.
Kanter M, Coskun O, Budancamanak M. Hepatoprotective effects of Nigella sativa L and Urtica dioica L on lipid peroxidation, antioxidant enzyme systems and liver enzymes in carbon tetrachloride-treated rats. World J Gastroenterol 2005;11(42):6684-8.
Kanter M, Coskun O, Kalayci M, Buyukbas S, Cagavi F. Neuroprotective effects of Nigella sativa on experimental spinal cord injury in rats. Hum Exp Toxicol 2006;25(3):127-33.
Meral I, Yener Z, Kahraman T, Mert N. Effect of Nigella sativa on glucose concentration, lipid peroxidation, antioxidant defence system and liver damage in experimentally induced diabetic rabbits. J Vet Med Physiol Pathol Clin Med 2001;48(10):593-9.
Uz E, Uz B, Selcoki Y, Bayrak R, Kaya A, Turgut HF. Cardioprotective effects of Nigella sativa oil on cyclosporine A-induced cardiotoxicity in rats. Basic Clin Pharmacol Toxicol 2008;103(6):574-80.
Padhye S, Banerjee S, Ahmad A, Mohammad R, Sarkar FH. From here to eternity-the secret of Pharaohs: Therapeutic potential of black cumin seeds and beyond. Cancer Ther 2008;6(b):495-510.
Arts IC, Hollman PC. Polyphenols and disease risk in epidemiologic studies. Am J Clin Nutr 2005;81:317S-325S.
Iiyama K, Hajra L, Iiyama M, Li H, DiChiara M, Medoff BD, et al. Patterns of vascular cell adhesion molecule-1 and intercellular adhesion molecule-1 expression in rabbit and mouse atherosclerotic lesions and at sites predisposed to lesion formation. Circ Res 1999;85:199-207.