Ethnomedicine & Ethnopharmacology Division Jawaharlal Nehru Tropical Botanic Garden and Research Institute, Palode, Thiruvananthapuram, 695562, India.
Email: plathagopalakrishnan@gmail.com
Received: 24 Dec 2014 Revised and Accepted: 20 Jan 2015
ABSTRACT
Objective: The aim of the study was to investigate the antioxidant and hepatoprotective activity of Pellionia heyneana Wedd. leaf ethanolic extract.
Methods: The antioxidant potential of the extract was studied by DPPH and Nitric oxide radical scavenging activity. The total antioxidant activity of the extract was also studied by phosphomolybdenum method. The hepatoprotective activity of the extract was evaluated against carbon tetrachloride (CCl4) induced liver damage in Wistar albino rats.
Results: P. heyneana extract showed maximum inhibition of DPPH free radical scavenging activity (65.94%) at 200 µg/ml. Total antioxidant capacity of the plant extract was found to be equivalent to 31.72 µg of ascorbic acid/mg of the extract and the EC50 value of nitric oxide scavenging activity was 64.30 µg/ml. The elevated serum levels of hepatic markers as a result of CCl4 administration were restored towards normalization significantly by the P. heyneana leaf ethanolic extract doses of 100, 200 and 300mg/kg b. w., p. o. The elevated levels of MDA, decreased levels of GSH and CAT were restored significantly by the plant extract in a dose dependent manner. All the biochemical observations were supplemented with histopathological examinations of liver samples. The results are comparable with the known hepatoprotective agent, silymarin.
Conclusion: The present study shows that ethanolic extract of P. heyneana leaf has potential antioxidant and hepatoprotective activity against CCl4 induced rat model.
Keywords: Antioxidant activity, Hepatoprotective activity, Pellionia heyneana Wedd., Cholanaikans tribe.
INTRODUCTION
Liver diseases have become one of the major causes of morbidity and mortality all over the world. Being the largest gland in the body, liver is responsible for detoxifying the chemical substances in the blood and during this process it is exposed to the high amount of toxicants and toxic metabolites which make the liver easily susceptible to injury [1, 2]. Among liver diseases, drug induced liver injury (DILI) is one of the most frequent causative factors for liver injury [3]. Allopathic medicines are inadequate to treat the chronic liver diseases [4] and the conventional or synthetic drugs used for treating liver diseases may sometimes cause serious side effects [5]. In Indian systems of medicine alone there are more than 300 herbal preparations for treating jaundice and chronic liver diseases but all these preparations do not get universal acceptance due to the lack of standardization of the herbal drugs, lack of randomized placebo controlled clinical trials and lack of traditional toxicological evaluation [6]. Today ethnomedicinal use of plants is one of the most successful criteria adopted by the pharmaceutical industry to find new therapeutic agents in various fields of biomedicine. In this context search for new herbal remedy for liver diseases from unexploited areas of tribal and folk medicine are gaining much interest particularly from the pharmacological and toxicological point of view.
Cholanaikans are the most primitive, vanishing and one of the remaining hunter-gatherer tribes of South India. They are the most primitive cave men of Kerala, inhabiting the reserve forest of Karulai and Chungathara range of Nilambur in Malappuram District, of Kerala, India [7]. They have their own sacred indigenous knowledge related to herbs used for various ailments which are transmitted orally from generation to generation. Cholanaikkans have been administrating the fresh leaf juice of the plant Pellionia heyneana Wedd. orally to their children for enhancing general health and immunity. They call this plant as ‘Elavan’, and believe that the plant juice makes their children 'young and energetic'. A pilot study conducted among the Cholanaikans reveals that this plant is also used by the tribe for treating various liver ailments. However, no scientific report is available regarding the hepato protective or antioxidant activity of P. heyneana. Therefore, the present study was carried out to scientifically validate the hepato protective and antioxidant activity of P. heyneana Wedd. leaf ethanolic extract in Wistar rats.
MATERIALS AND METHODS
Chemicals and instruments
Solvents of analytical grade including CCl4 were purchased from Merck India Pvt., Ltd., Mumbai, India. All the chemicals including silymarin were purchased from Sigma Aldrich, USA. All the biochemical kits were purchased from Coral Clinical System, Goa, India. Rotary evaporator was from Buchi R-215, Switzerland and Spectrophotometer Agilent 100 UV-Vis from Germany.
Plant material and preparation of the extract
P. heyneana Wedd. plants were collected from Kallar, Thiruvanathapuram district of Kerala, India, and authenticated by the plant taxonomist of the institute. A voucher specimen has been deposited at the Jawaharlal Nehru Tropical Botanic Garden and Research Institute Herbarium (TBGT 57060 dated 10/12/2010). The leaves were washed thoroughly in tap water, shade dried and powdered. The powder (100g) was extracted with 95% ethanol for 48 hours in a Soxhlet apparatus. The extract was then filtered and the filtrate was concentrated under reduced pressure in a rotavapor to obtain the crude extract (8.48% W/W). This crude extract was referred to as PHLE. After solubility test, PHLE was suspended in 0.5% Tween-80 to require concentrations for oral administration in rats.
Animals
Wistar male rats (150-200 gm.) and Swiss albino female mice (20-25 gm) were obtained from the Institute’s Animal house. All the animals were housed in polypropylene cages under standard conditions with temperature 25±2 °C, relative humidity 60±10%, room air changes 15±3 times/hr and a 12 h light-dark cycles, fed commercial rat feed (Lipton India Ltd; Mumbai. India) and boiled water ad libitum. Animals were acclimatized for 1 week before the initiation of an experiment. The study was carried out according to NIH guidelines after getting the approval of the Institute’s Animal Ethics Committee (No: B-01/12/2011/03-B).
DPPH radical scavenging activity
The effect of extracts on DPPH radical was assayed using the standard method [8]. A methanolic solution of 2 mL of DPPH (0.025 g/l) was added to 200 µl of different concentrations (25 - 200 µg/ml) of plant extract and allowed to react at room temperature for 30 min in dark and the absorbance was measured at 517 nm. Methanol served as the blank and 200 µl of methanol was added to DPPH in positive control tubes instead of plant extract.

Estimation of Nitric oxide radical scavenging activity
Nitric oxide radical scavenging activity was evaluated using the standard procedure [9]. Sodium nitroprusside (1 mL of 10 mM) was mixed with 1 mL of different concentration (25 to 200 µg/ml) of PHLE in phosphate buffer (pH 7.4). The mixture was incubated at 25˚C for 150 min. To 1 mL of the incubated solution, 1 mL of Griess’ reagent (1% Sulphanilamide, 2% o- phosphoric acid and 1% Napthyl ethylene diamine dihydrochloride) was added. Absorbance was read at 546 nm and the percentage of inhibition was calculated using the formula (1).
Determination of total antioxidant activity
Total antioxidant capacity of PHLE was evaluated by Phospho molybdenum method [10]. PHLE was dissolved in ethanol (1 mg/ml) in an Eppendorf tube with 1 mL of reagent solution (0.6 M H2SO4, 28 mM sodium phosphate, 4 mM ammonium molybdate mixture). The tubes were incubated for 90 min at 95 °C. The mixture was cooled to room temperature and the absorbance was read at 695 nm against blank. Ascorbic acid equivalents were calculated using standard graph of ascorbic acid. The experiment was conducted in triplicates and values are expressed as equivalents of ascorbic acid in µg/mg of extract.
Anti-lipid peroxidation studies
The anti-lipid peroxidation effects of PHLE were studied in vitro, followed the standard method [11]. Briefly, 0.5g of the rat liver tissue was sliced and homogenized with 10 mL of 150 mMKcl-Tris-HCl- buffer (pH -7.2). The reaction mixture consists of 0.25 mL of liver homogenate, 0.1 mL Tris-HCl buffer (pH 7.2), 0.05 mL Ascorbic acid (0.1 mM), 0.05 mL FeCl2 (4 mM) and 0.05 mL of various concentrations of PHLE extract. The mixture was incubated at 37 °C for 1hr in capped tubes. Then 0.5 mL of 0.1 N HCl, 0.2 mL of 9.8% Sodium dodecyl sulphate (SDS), 0.9 mL of distilled water and 2 mL of 0.6% thio barbituric acid (TBA) were added to each tube and vigorously shaken. The tubes were placed in a boiling water bath at 100 °C for 30 min. After cooling, the flocculent precipitate was removed by adding 5 mL of n- butanol and centrifuged at 3000 rpm for 20 min. The absorbance of the supernatant was measured at 532 nm.
Acute toxicity studies
Acute oral toxicity study was carried out as per the OECD (Organization for Economic Cooperation and Development) guidelines [12]. Albino female mice of weight ranges of 20-25g were divided into six groups (n=6) and were treated with graded doses of the PHLE (1000, 2000, 3000, 4000, 5000 mg/kg, b. w. p. o.) for one day. One group was maintained as control and was given 0.5% Tween-80, p. o. Animals are observed daily for a total of 14 days. Observations include changes in skin, fur, an eye mucous membrane, somato-motor activity and behaviour pattern. Daily food and water intake, daily body weight and daily mortality etc. Were also recorded.
Carbon tetrachloride -induced hepatotoxicity
Wistar rats were divided into six groups (six animals per groups). Group I, the normal control group received a single daily dose of 0.5% Tween-80 (1 ml p. o.) on all 5 days and olive oil (2 mL/kg, s. c) on days 2 and 3. Group II, the carbon tetrachloride control group, received a single daily dose of 0.5% Tween -80 (1 mL p. o.) on all 5 days and on the second and third day, they were administered s. c, 2 mL/kg of CCl4: olive oil (1:1). Group III, IV and V were administered PHLE (100, 200, 300 mg/kg, b. w. p. o) for all 5 days and a single dose of CCl4: olive oil mixture (2 mL/kg, s. c), on days 2 and 3, 30 min after PHLE administration. Group VI was administered silymarin, the standard drug, at a dose of 100 mg/kg, b. w. p. o. on all 5 days and a single dose of CCl4: olive oil mixture (2 mL/kg, s. c) on days 2and 3, 30 min after silymarin administration. On the 6th day, after 24 hr starvation all the animals were sacrificed using Carbon dioxide chamber [13]. Blood samples were collected from the carotid artery for evaluating the biochemical parameters and liver tissue slices were collected for histopathological and antioxidant assays.
Estimation of plasma markers of hepatic injury
The collected blood was permitted to coagulate for 1 hr at room temperature. It was centrifuged at 1500 rpm for 15 min at 37º C to separate the serum. The serum was then used for the assay of marker enzymes, namely aspartate transaminase (AST), alanine transaminase (ALT), alkaline phosphatase (ALP) and serum Bilirubin (SB) using commercial kits.
Estimation of malondialdehyde
Malondialdehyde in the rat liver was estimated by the procedure reported in the literature [14]. 1 mL of liver homogenate (10%W/V) from each group was mixed with 100 µl of 8.1% SDS and 600 µl of 20% acetic acid solution and kept for 2 min at room temperature. Then 600 µl of 0.8% solution of TBA was added, heated at 95ºC for 60 min in the water bath and cooled with ice cold water at 4º C. The mixture of n-butanol and pyridine (15:1 v/v) was added, shaken vigorously and centrifuged at 10, 000 rpm for 5 min. The absorbance of the organic layer was measured at 532 nm. Lipid peroxidation was expressed as n mol/g wet liver.
Assay of catalase
Catalase in the rat liver was assayed according to standard method [15]. To 0.9 mL of phosphate buffer (0.01M, pH-7.0) 0.1 mL of liver homogenate (10% W/V) and 0.4 mL of H2O2 (0.2 M) were added. After 60 sec, 2 mL of dichromate - acetic acid reagent (5%) was added. The tubes were kept in boiling water bath for 10 min and the colour developed was read at 620 nm. Standard H2O2 in the range of 2-10 µl was taken with blank containing reagent alone. CAT activity was measured proportionately to the rate of H2O2 reduction. Dichromate in acetic acid was converted to perchromic acid and then chromic acetate, when heated in the presence of H2O2. Chromic acetate formed was measured at 620 nm. Absorbance values were compared with a standard curve generated from known catalase and the activities were expressed as U/mg protein. Amount of protein/mg of tissue was determined by standard method [16].
Determination of reduced glutathione (GSH)
Homogenized rat liver sample (10% W/V) from the entire group (0.2 mL) was mixed with 1.8 mL of 1 mM EDTA solution. To this 3.0 mL precipitating reagent (1.67g of met phosphoric acid, 0.2g of EDTA disodium salt and 30 g sodium chloride in 1 L distilled water) was added, mixed thoroughly and kept for 5 min before centrifugation. To 2 mL of the supernatant, 4.0 mL of 0.3 M disodium hydrogen phosphate solution and 1.0 mL of DTNB (5, 5’dithio-bis (2-nitro benzoic acid)) reagent were added and absorbance was read at 412 nm. Absorbance values were compared with a standard curve generated from known GSH [17].
Histopathological investigations
A portion of the liver specimens obtained from all the groups were cut into two to three pieces of approximately 6 mm3 size and preserved in 10% formalin solution for 24 h. They were subjected to dehydration with acetone of strength 70, 80 and 100% respectively, each for 1 h. The infiltration and impregnation was done by treatment with paraffin wax, twice each time for 1 h. Paraffin was used to prepare paraffin ‘L’ moulds. Specimens were cut into sections of 3-7 µm thick ness and stained with haematoxylin and eosin. Thin sections of the liver were made into permanent slides and examined under high resolution microscope with photographic facility and photomicrographs were taken.
Statistical analysis
All the data were expressed as mean ± standard error of the mean (SEM). The significance of difference among the group was assessed by using one way analysis of variance (ANOVA) followed by Dunnett’s multiple comparison test using SPSS software version-20. P ≤ 0.001 was considered statistically significant.
RESULTS AND DISCUSSION
DPPH radical scavenging activity
Free radical scavenging is one of the major antioxidation mechanisms to inhibit the chain reaction of lipid peroxidation. 2, 2-diphenyl 2-picrylhydrazyl (DPPH) is a stable free radical due to the delocalization of the odd electron through the molecule. This stabilized DPPH radical produces an intense violet colour in methanol solution. The antioxidants present in the extract react with the DPPH free radical solution and convert them into reduced form either by donating a hydrogen atom or transferring an electron followed by proton. This oxidation reduction is accompanied with loss of violet colour which can be measured quantitatively at 517 nm [18]. The decrease in absorbance is taken as a measure of the extent of radical scavenging. DPPH shows maximum radical scavenging of 65.94% at 200 µg/ml (fig. 1). The EC50 of DPPH radical scavenging was found to be 82.38 µg/ml.
Estimation of nitric oxide radical scavenging activity
Nitric oxide (NO) is a potent pleiotropic mediator of physiological processes such as smooth muscle relaxation, neuronal signaling, inhibition of platelet aggregation and regulation of cell mediated toxicity [19]. Nitric oxide free radical scavenging activity of PHLE was found to be increased on increasing the concentration from 25 µg/ml to 200 µg/ml (fig. 1) and EC50 was found to be 64.30 µg/ml. Nitrous oxide generated from sodium nitroprusside in aqueous solution at physiological pH reacts with O2 to form stable nitrite and nitrate ion. These nitrite ions further react with sulphanilamide present in the Griess reagent to produce diazotized molecule. This azo derivative was measured at 546 nm [20]. The free radical present in the PHLE extract compete with oxygen for nitrous oxide which decrease the production of nitrite ion and finally the diazotized molecule.

Fig. 1: Effect of ethanolic extract of Pellionia heyneana leaves on DPPH and Nitric oxide radical scavenging activity. Values are expressed as mean ± SEM of 3 values
Determination of total antioxidant activity
Total antioxidant capacity by phosphomolybdenum method assay is based on the reduction of Mo (VI) to Mo (V) by the sample and the subsequent formation of green phosphate/Mo (V) complex at acidic pH. Total antioxidant activity was quantitatively expressed as number of equivalents of ascorbic acid. Total antioxidant activity of PHLE was found to be 31.72 µg of ascorbic acid equivalent/mg of extract.
Anti-lipid peroxidation studies
Lipid peroxidation is considered as the main molecular mechanism involved in the oxidative damage to cell structures and in the toxicity process that leads to the production of a variety of breakdown products, including alcohols, ketones, alkanes, aldehydes and ethers [21] and finally cell death. The toxicity of lipid peroxidation products may lead to neurotoxicity, hepatotoxicity and nephrotoxicity in mammals [22]. FeCl2- AA mixture is known to stimulate lipid peroxidation in microsomes of rat liver in vitro [23]. In in vitro anti-lipid peroxidation studies, there was a marked elevation in malondialdehyde in FeCl2- AA treated rat liver homogenate, compared to normal control. PHLE at the dose of 25 to 200 µg/ml shows very potent inhibition of lipid peroxidation (fig. 2). These results show PHLE might confer protection against cell membranes by preventing oxidative damage.

Fig. 2: Inhibitory effect of ethanolic extract of Pellionia heyneana leaf on FeCl2-AA induced lipid peroxidation in rat liver homogenate in vitro
Values are expressed as mean ± SEM of 3 values
Acute toxicity study
PHLE administration up to 5000 mg/kg body weight did not show any kind of morbidity or mortality. Therefore the LD50 value is greater than 5000 mg/kg. All the animals from the treated group did not show any significant decrease in body weight for all 14 days when compared with the zero day values. The results of acute toxicity study indicate that PHLE is fairly nontoxic, up to 5000 mg/kg p. o.
Carbon tetrachloride -induced hepatotoxicity
Rat treated with CCl4 developed liver damage which is indicated by significant (P < 0.001) increase in serum AST (208.56±3.26 IU/l), ALT (245.21±3.44 IU/l), ALP (262.33±3.37 IU/l) and SB (1.61±0.11 mg/dl) in toxic control group compared to normal control. Pre-treatment with PHLE (100, 200 and 300 mg/kg b. w., p. o) caused significant (P < 0.001) protection against CCl4 intoxicated rats by attenuating AST, ALT, ALP and SB elevation in dose dependent manner (table 1). For all the four biochemical parameters studied, PHLE at 300 mg/kg b. w., p. o dose (AST: 76.34±2.26 IU/l; ALT: 141.33±2.16 IU/l; ALP: 140.67±3.16 IU/l; SB: 0.65±0.06 mg/dl) was found to be the best dose than the other two doses studied. This reduction in biochemical parameters exhibited by PHLE was almost comparable to that of silymarin (100 mg/kg b. w., p. o), the positive control used in the study. The increase in cytosolic enzymes, AST, ALT, ALP in toxic control group is the result of the loss of integrity of endo plasmic reticulum and the leakage of metabolic enzymes located in the intracellular structures [24]. High level of SB in toxic control group is the result of defective excretion of bile due to liver injury caused by CCl4 [25]. Pre-treatment with PHLE reduced the hepatocellular damage there by reducing the cytosolic enzyme levels and SB. Hence the reduction in these enzymes and SB clearly demonstrates the membrane stabilizing and hepatoprotective activity of the plant extract.
Table 1: Effect of Pellionia heyneana leaf ethanolic extract on serum enzymes and serum bilirubin on CCl4 induced liver damage in Wistar rats
| Treatment group | AST (IU/l) | ALT(IU/l) | ALP (IU/l) | SB (mg/dl) |
| Normal control | 56.83±2.87 | 85.89±1.38 | 93.50±1.18 | 0.31±0.03 |
| CCl4 (1ml/kg) | 208.56±3.26* | 245.21±3.44* | 262.33±3.37* | 1.61±0.11* |
| CCl4 (1ml /kg) + PHLE (100 mg/kg) | 160.17±3.43** | 168.5±1.98** | 175.83±2.87** | 0.83±0.07** |
| CCl4 (1ml /kg) + PHLE (200 mg/kg) | 84.24±2.14** | 155.5±1.09** | 159.67±2.74** | 0.75±0.07** |
| CCl4 (1ml /kg) + PHLE (300 mg/kg) | 76.34±2.26** | 141.33±2.16** | 140.67±3.16** | 0.65±0.06** |
| CCl4 (1ml /kg) + Silymarin (100mg/kg) | 65.67±0.95** | 108.83±2.43** | 123.50±2.09** | 0.58±0.05** |
Values are expressed as mean ± SEM of six values, one way Anova followed by Dunnet’s multiple comparison test, * P ≤ 0.001 compared to normal control, **P ≤ 0.001 compared to CCl4 control.
Estimation of malondialdehyde
Malondialdehyde is one of the thiobarbituric acid reducing substances produced as the end product of lipid peroxidation. MDA levels in the liver of toxic control animals were higher when compared to the normal. MDA levels decreases to a normal level in the PHLE treated groups and the maximum inhibition was obtained in 300 mg/kg b. w. p. o. of PHLE treated groups and it is almost similar to that of the silymarin treated groups (table 2). Uncontrolled lipid peroxidation can cause cell injury and cell death via DNA damage and directly inhibiting proteins, such as Na+/K-ATPases and glutamate transporters [26]. Therefore increases in MDA level clearly indicate the increased oxidative damage to the hepatocytes and the decrease in MDA level clearly indicates the protective nature of PHLE.
Assay of Catalase
Catalase is one of the primary antioxidant enzymes in mammalian tissues. The liver catalase activity was significantly (P ˂ 0.001) decreased in CCl4 intoxicated animals (52.45±1.29 U/mg protein) when compared to normal control group (163.9±3.34 U/mg protein). Decreased CAT activity is linked to exhaustion of the enzyme as a result of oxidative stress caused by CCl4. CAT activities were kept at near normal by pre-treatment with PHLE (table 2), which evidently showed the antioxidant potentials of the extract against oxygen free radicals.
Assay of reduced glutathione (GSH)
GSH is the main endogenous antioxidant produced in the cell which neutralizes free radicals and reactive oxygen compounds. One of the initial mechanisms of drug induced liver injury is the depletion of GSH [3]. The level of reduced glutathione was significantly (P˂0.001) decreased in CCl4 intoxicated animals (18.83±1.42 U/mg protein) when compared to normal control group (46.17±2.48 U/mg protein) which indicates the oxidative stress. PHLE (100 mg/kg, 200 mg/kg and 300 mg/kg) significantly restored the glutathione activity similar to the normal group (table 2).
Table 2: Effect of Pellionia heyneana leaf ethanolic extract on MDA, GSH and CAT after CCl4 administration
| Treatment group | MDA (nmol/g wt liver) |
GSH (U/mg protein) |
CAT (U/mg protein) |
| Normal control | 14.12 ± 1.43 | 46.17 ± 2.48 | 163.9 ± 3.34 |
| CCl4 (1 ml/kg) | 37.42 ± 2.09* | 18.83 ± 1.42* | 52.45 ± 1.29* |
| CCl4 (1 ml /kg) + PHLE (100 mg/kg) | 25.08 ± 1.66** | 28.83 ± 1.30** | 72.47 ± 2.77** |
| CCl4 (1 ml /kg) + PHLE (200 mg/kg) | 20.62 ± 1.02** | 32.33 ± 1.15** | 86.43 ± 2.10** |
| CCl4 (1 ml /kg) + PHLE (300 mg/kg) | 18.42 ± 1.02** | 35.17 ± 1.54** | 98.75 ± 3.64** |
| CCl4 (1 ml /kg) + Silymarin (100mg/kg) | 15.92 ±0.81** | 38.00 ± 1.53** | 112.64 ± 3.56** |
Values are expressed as mean± SEM of six values, one way anova followed by Dunnet’s multiple comparison test, * P≤0.001 compared to normal control, **P ≤ 0.001 compared to CCl4 control.

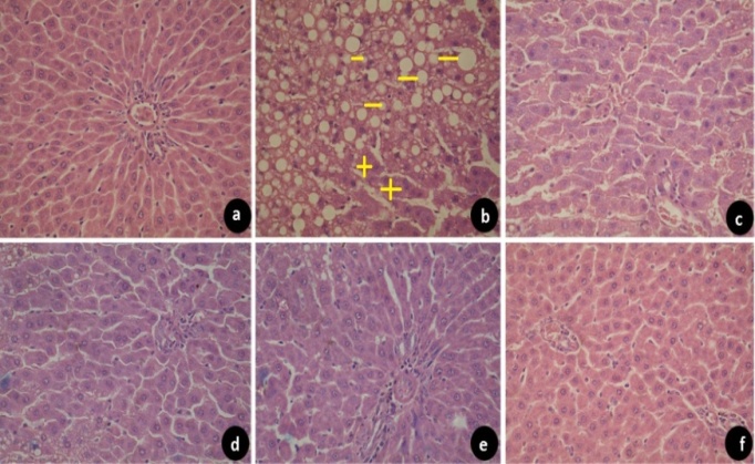
Fig. 3: Histopathological features of CCl4 induced hepatotoxicity in Wistar rats. (a) Control rat liver showing the portal triad and the normal hepatocytes with well brought out nuclei and cytoplasm. (b) CCl4 treated rat liver showing macrovesicular and microvessicularsteatosis (_), ballooning degeneration(+) and destruction of hepatic architecture. (c) (d) & (e) are liver sections of rat treated with PHLE (100mg/kg bw, 200 mg/kg bw and 300mg/kg bw respectively) showing minimal hepatic damage. (f) Silymarin treated rat liver section showing almost normal hepatic architecture. (Magnification-X600)
Histopathological investigations
Histopathological studies revealed that the rats treated with CCl4 showed extensive cellular injuries, characterized by moderate to extreme hepatocellular degeneration, macro and microvesicularsteatosis, centrilobular necrosis, ballooning degeneration and fatty changes. Silymarin treated group showed almost normal hepatic architecture. Moderate to high hepatic protection from CCl4 was achieved in PHLE with doses of 100, 200 and 300 mg/kg b. w. p. o. These groups showed restoration of liver structure with minimal cellular necrosis (fig. 3). Inflammatory changes induced by CCl4 were remarkably reversed by treatment with all doses of PHLE. Administration of PHLE (300 mg/kg) almost normalized these defects in the histological architecture of the liver resembling that of silymarin treated groups, showing its potent hepatoprotective effect.
CONCLUSION
From the above results it is clear that PHLE shows promising hepatoprotective activity as it significantly lowered the elevated levels of serum enzymes towards normal levels compared to the standard drug Silymarin. In vitro and in vivo antioxidant studies also support the ability of PHLE to improve membrane stability and to protect tissue damage. All these findings justify the use of P. heyneana for curing liver disorders. The main mechanism involved in the hepatoprotective activity of PHLE could be linked to its potent ability to reduce the intracellular level of reactive oxygen species by enhancing the level of both enzymatic and non-enzymatic antioxidants. The active ingredients should be isolated and purified to elucidate the exact mechanism of action and for getting novel molecules for treating liver diseases.
ACKNOWLEDGEMENT
The authors would like to thank Kerala State Council for Science, Technology and Environment (KSCSTE) for financial assistance and Animal house staffs for animal experiments.
CONFLICT OF INTERESTS
Declared None
REFERENCES