aLaboratório de Biologia Molecular, Centro Universitário Franciscano - UNIFRA, Santa Maria, RS, Brazil, bDepartamento de Patologia Médica, Universidade Federal do Paraná - UFPR, Curitiba, PR, Brazil, cLaboratório Oswaldo Cruz, Santa Maria, RS, Brazil.
Email: bvizzotto@yahoo.com.br
Received: 05 Jan 2015 Revised and Accepted: 28 Jan 2015
ABSTRACT
Objective: The aim of the study was to determine the frequency of Aeromonas spp. in stool samples of outpatients with gastroenteritis attended by clinical laboratories at Santa Maria-RS, Brazil.
Methods: In order to evaluate this frequency, 767 clinical stool samples were processed by conventional methods as preconized, and suspected Aeromonas strains were submitted to molecular characterization by 16SrRNA PCR-RFLP method.
Results: Aeromonas spp. were isolated from 14 (1.8%) of stool cultures and identified as A. caviae (04), A. hydrophila (03), and A. veronii biovar sobria (01) by molecular method. Six strains presented atypical PCR-RFLP patterns, and therefore were identified as Aeromonas spp.
Conclusion: Aeromonas is part of the bacteria associated with diarrhea in Santa Maria-RS, and results indicates that at least 3 Aeromonas species are involved with the disease.
Keywords: Aeromonas, PCR-RFLP, Gastroenteritis.
Gastrointestinal infections are a public health concern worldwide, accounting for 15% of all deaths among children under 5 years old in developing countries. Aeromonas, an emerging pathogen, is associated with a variety of human infections like gastroenteritis and extra-intestinal infections [1]. Aeromonas are gram-negative bacilli, cytochrome oxidase positive, facultative anaerobic and glucose fermenters. Aeromonas species are divided in two groups, one psychrophilic non motile group, with optimal growth temperatures at 22-25°C that infect mainly reptiles and fish, and the mesophilic motile group, with optimal growth temperature of 35-37 °C, associated with a range of human diseases [2-5].
Correct identification of Aeromonas at species level represent a highly challenging task for clinical laboratories, due to some similar phenotypic characteristic shared with members of Enterobactericeae family and Vibrio, and also to atypical biochemical reactions observed in some strains [3]. Molecular identification based on Restriction Fragment Length Polymorphism (RFLP) of 16 Sr RNA gene has proved to be an important molecular tool to identify Aeromonas strains at species level [6]. In Southern Brazil there are few reports concerning the frequency of Aeromonas in patients with diarrhea [7, 8] and none used molecular methods for species identification.
In this way, the aim of this study was to evaluate the frequency of Aeromonas in stool samples of outpatients with gastroenteritis attended by clinical laboratories at Santa Maria-RS, Brazil, and perform the identification at species level using biochemical tests and 16S rRNA RFLP. This study was approved by the Ethics Committee of our Institution (CEP/UNIFRA) under registration no. 043.2011.2.
Stool samples were inoculated in Alkaline Peptone Water (Himedia, Mumbai, India) and incubated for 24h at 25°C. Then, an aliquot of the culture was inoculated in Nutrient Agar (Himedia, Mumbai, India) and incubated for 24 hours at 37°C. Four isolated colonies of each culture were analyzed by Gram staining and cytochrome oxidase test (Laborclin, Porto Alegre, RS, Brazil). Suspect colonies, i. e. gram-negative bacilli cytochrome oxidase positive, were identified as Aeromonas spp using the following tests: production of catalase, arginine dihydrolase, lysine and ornithine decarboxylase, citrate, production of gas from glucose, fermentation of D-adonitol, L-arabinose, L-dextrose, L-dulcitol, m-inositol, lactose, D-mannitol, mannose, raffinose, L-rhamnose, D-sorbitol, sucrose and D-trehalose, production of indole, motility, Voges-Proskauer and esculin hydrolysis [4].
For molecular analysis, genomic DNA extraction of each isolate was performed through the boiling method and identification was realized by 16 Sr RNA PCR-RFLP method as reported [9, 10]. The PCR reaction mixture consisted of 1.5 mM MgCl2, 0.2 mM (each) of deoxyribonucleotide triphosphate, 1U of Taq DNA polymerase, 0.2 µM of primers (Aero16SF: 5´AGAGTTTGATCATGGCTCAG-3´ and Aero16SR: 5´GGTTACCTTGTTACGACTT-3´) and 2 µl of DNA template in a volume of 25 µl. The following cycling conditions were used: 95°C for 5 min, followed by 40 cycles at 95°C for 30 sec, 56°C for 30 sec"*", and 72°C for 1 min, and a final extension at 72°C for 10 min. Endonuclease digestion was performed incubating 5 µl of PCR products with 1U of each enzyme (AluI and MboI) and 2 µl of the corresponding 10X buffer, in a total volume of 20 µl. The reaction was incubated overnight at 37°C and then submitted to electrophoresis in a 17% poliacrylamide gel in TBE 1X, stained with GelRed (Biotium, CA, USA) and photo documented on a UV transiluminator.
Between August 2011 and August 2013, 767 clinical stool samples from outpatients attended by clinical laboratories at Santa Maria-RS, Brazil, were analyzed. Aeromonas spp. were isolated from samples of 14 patients, giving a prevalence of 1.8%. These strains were isolated from patients aged 06 months to 70 years old. Results are in agreement with studies carried out in other Brazilian States, like Rio de Janeiro and Paraná, which frequency of Aeromonas spp. was approximately 2.5% [8, 11]. However, the frequency found here is lower than that described in other study realized in Rio Grande do Sul state where 6.6% of Aeromonas was found [7]. A possible explanation for this difference is that while in this study only stool samples of outpatients were analyzed, Guerra et al. [7] analysed samples from patients admitted in hospitals with acute gastroenteritis.
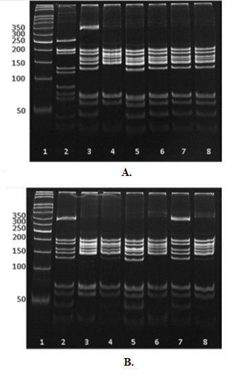
Phenotypical method identified all 14 Aeromonas strains isolated at species level. Six strains were identified as A. hydrophila and another 08 strains as A. caviae. In contrast, molecular method (16SrRNA PCR-RFLP) identified only 57% (8/14) of the strains at species level. However, three species were found: A. caviae (4 strains), A. hidrophila (3 strains) and A. veronii biovar sobria (1 strain) (fig. 1). This is in agreement with the fact that the main Aeromonas species associated with human infections are A. hydrophila, A. caviae, and A. veronii biovar sobria, that present a worldwide distribution and produce an array of virulence factors [3, 12].

Fig. 1: PCR-RFLP patterns of Aeromonas strains isolated. A)1-DNA ruller 50pb (Ludwig Biotec, Porto Alegre-RS, Brazil), 2-LP01 (A. veronii biovar sobria), 3-LOC02 (A. hydrophila), 4-LP15 (A. caviae), 5-8 LP31, LP35, LP39, LP41 (Aeromonas spp.) B 1-DNA ruller 50pb (Ludwig Biotec, Porto Alegre-RS, Brazil), 2-LOC81 (A. hydrophila), 3-LP95 (A. caviae), 4-LOC121 (Aeromonas spp.), 5-LP126 (Aeromonas spp), 6-LOC190 (A. caviae), 7-LOC313 (A. hydrophila), 8-LOC346 (A. caviae)
Six strains (0.8%) showed atypical PCR-RFLP patterns (fig. 1), and therefore were identified as Aeromonas spp. Atypical patterns of PCR-RFLP of 16SrRNA gene were also observed in other studies [13]. They are a consequence of microheterogeneity, sequence heterogeneities among the 16SrRNA gene copies in a same genome, affecting definitive identification [13-15]. The identification of these strains requires the sequencing of other housekeeping genes, such as gyrB and rpoB, which can accurately identify Aeromonas at species level [18]. Briefly, Aeromonas is part of the bacteria associated with diarrhea in Santa Maria-RS, and conflicting results were found among the biochemical and molecular tests for identification at species level. At least 3 species are involved with the disease being A. caviae and A. hydrophila the most common.
CONFLICTS OF INTERESTS
The authors declare no conflicts of interest
ACKNOWLEDGEMENT
To Laboratório Oswaldo Cruz (Santa Maria, RS, Brazil) by the efforts made for the access to samples, to Centro Universitário Franciscano - UNIFRA (Santa Maria, RS, Brazil) by the structure and financial support and colleagues by scientific support.
REFERENCES