
1,5Department of Microbiology, Shri Sathya Sai Medical College and Research Institute, Sri Balaji Vidyapeeth (Deemed to be University), Chengalpattu, Tamil Nadu 603108 India. 2Department of Microbiology and Pathology, Dr Hedgewar Hospital and Research Centre, Akola, India. 3Department of Microbiology, D. Y. Patil Medical College Hospital and Research Center, DY Patil Vidyapeeth, Pimpri, Pune, India. 4Clinical Consultant and Head, Pediatrics and neonatology, Dr Hedgewar Hospital and Research Centre, Akola, India
Email: dr_prasanna85@yahoo.com
Received: 07 Dec 2022, Revised and Accepted: 03 Mar 2023
ABSTRAC
Nocardia infections are rare in an immunocompetent and healthy individual. It is frequently diagnosed and reported very late during the disease. Here we present an interesting case series of isolated pulmonary nocardiosis among post COVID-19 patients. A 45-year-old male presented to general medicine OPD with breathlessness and cough with expectoration. The patient was a known case of diabetes. A Sputum sample was sent for culture, gram, and acid-fast stain, and the nasopharyngeal swab was sent for RT-PCR and turned out to be COVID-19 negative. Gram stain showed numerous pus cells with filamentous hyphae-like structures. Nocardiosis was strongly considered based on imaging morphology. A 65-year-old female presented to OPD with fever, respiratory distress, and expectorating cough for one month. The patient was a not known case of diabetes and hypertension. The patient was diagnosed with pneumonia and had a history of COVID-19. The microscopic examination of the sputum sample revealed no fungal elements. The Gram and Ziehl-Neelsen stain showed pus cells with filamentous bacilli and no acid-fast bacilli. A 50-year-old male presented to general medicine OPD with breathlessness and expectorating cough for four weeks. The patient was a not known case of diabetes and hypertension. The sputum sample was negative for ZN stain; the Gram stain showed numerous pus cells with filamentous hyphae-like structures. The modified acid-fast staining was done for sputum and BAL samples in all cases showed filamentous weak acid-fast bacilli resembling Nocardia species. The patient did well with cotrimoxazole and was discharged later. The differential diagnosis of nocardia should always be in mind in case of lung infections. All respiratory samples must also be screened for Nocardia. The early diagnosis and management of pulmonary nocardiosis decide the patient’s prognosis.
Keywords: Pulmonary nocardiosis, Post-covid-19, Nocardia asteroides, Trimethoprim-sulfamethoxazole
© 2023 The Authors. Published by Innovare Academic Sciences Pvt Ltd. This is an open access article under the CC BY license (https://creativecommons.org/licenses/by/4.0/)
DOI: https://dx.doi.org/10.22159/ijpps.2023v15i5.47513. Journal homepage: https://innovareacademics.in/journals/index.php/ijpps.
Nocardia falls under the suborder Corynebacterineae along with Mycobacterium and Corynebacterium. They are ubiquitous, aerobic, gram-positive bacilli with high G: C content in their DNA [1-3]. The quantity of mycolic acid in Nocardis’s cell wall makes it differ from other genera. In 1889, a French veterinarian Edmond Nocard discovered the genus Nocardia. Based on the new molecular techniques and drug resistance to sulfonamides after its treatment, Nocardia has been recognized as a human pathogen with many species [1, 4-6]. Nocardia infections are rare in immunocompetent and healthy individuals. The human infections are localised or disseminated among immunosuppressed persons [4]. No cases have been reported among immunocompetent individuals, even with co-morbidities [7]. The most affected organ is the lungs because the mode of transmission is airborne. Among the total cases of nocardiosis, about 70% are pulmonary nocardiosis [8]. It is frequently diagnosed and reported very late during disease, and the incidence of nocardiosis is also very limited [9]. We present case series of isolated pulmonary nocardiosis among post-COVID-19 patients.
Case descriptions
Case 1
A 45 y old male presented to general medicine OPD with breathlessness and cough with expectoration for three weeks. The patient was a known case of diabetes and was on anti-diabetic drugs. On clinical examination of the respiratory system, there was wheeze and crackles; other system examinations were within normal limits. The patient was diagnosed with acute bronchitis with secondary pneumonia. He was admitted, the sputum sample was sent for culture, gram, and acid-fast stain, and other routine investigations. The nasopharyngeal swab was sent for RT-PCR, and it was COVID-19 negative. All blood investigations were within normal range except blood glucose. The patient was given insulin and empirical antibiotics. The sputum sample was negative for ZN stain; Gram stain showed numerous pus cells with filamentous hyphae-like structures (fig. 1). Hence Gomori’smethanamine silver stain was done and showed no fungal elements. Initially, the patient was managed with a piperacillin and tazobactam combination and completed monitoring.
The microscopic examination of the sputum sample after treatment with 40% KOH and special stains revealed no fungal elements. The sputum was cultured in blood, chocolate, MacConkey and Sabouraud dextrose agar. The chest X-ray showed bilateral consolidation in the right lower lobe with veiling air space opacities (fig. 2). The chest CT showed bilateral scattered ground glass opacities and multifocal inhomogeneous consolidation with small cavitary lesions in the middle lobe. It was consistent with pneumonia, extensive subcutaneous emphysema and minimal pneumomediastinum. (fig. 3). Patient was not at risk for contact with Tuberculosis or fungal infection; hence lymph proliferative disorders or Nocardiosis was strongly considered based on imaging morphology. The modified acid-fast staining for sputum and BAL samples showed filamentous weak acid-fast bacilli resembling Nocardia species (fig. 4). The patient did well with Trimethoprim and sulfamethoxazole combination with linezolid and spO2 monitoring, and discharged later. Further follow-up ensured about completion of three months of antibiotics and improvement based on clinical findings and radiologically.

Fig. 1: Gram stain showing numerous pus cells with gram-positive filamentous hyphae-like structures

Fig. 2: Chest radiography showed consolidation in the right lower and middle lobe with complete opacification and bilateral hemithorax; apically oriented bilateral chest tubes with end tracheal tube and NG tube in an appropriate position. (Multifocal pneumonia with ARDS)

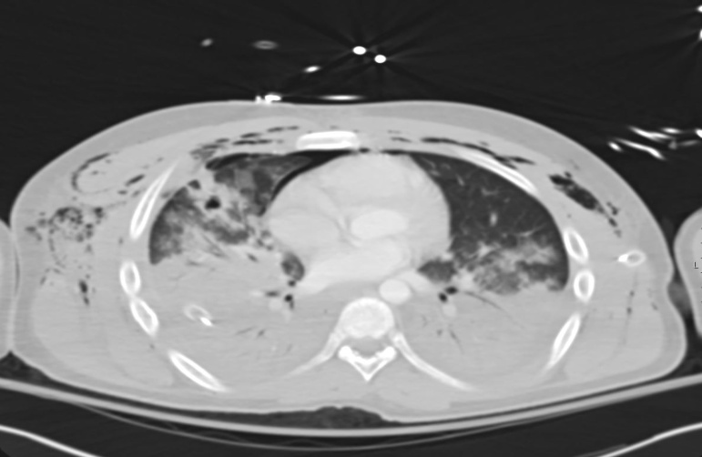
Fig. 3: The chest CT showed scattered ground glass opacities bilaterally and multifocal inhomogeneous consolidation with small cavitary lesions in the middle lobe (pneumonia, extensive subcutaneous emphysema and minimal pneumomediastinum)

Fig. 4: The modified acid fast staining-showing weak filamentous acid-fast bacilli resembling nocardia species
Case 2
A 65-year-old female presented to OPD with fever, respiratory distress, pleuritic chest pain, expectorating cough, generalized body pain, weight loss and loss of appetite for one month. The patient was a not known case of diabetes and hypertension. The patient was diagnosed with pneumonia and had a history of COVID-19. He was admitted, and RT-PCR (COVID-19), sputum sample for culture, gram stain, acid-fast stain and other routine investigations was done. All blood investigations showed anemia, neutrophilia and hyponatremia; the patient was started with piperacillin and tazobactam.
The microscopic examination of the sputum sample after treatment with 40% KOH and special fungal stains revealed no fungal elements. The Gram and Ziehl-Neelsen stain showed pus cells with filamentous bacilli (fig. 1) and no acid-fast bacilli, respectively. The Chest X-ray showed nonhomogenous opacities in the lower lobe. The lung CT showed heterogeneous opacities and no evidence of COVID-19. The modified acid-fast staining for sputum and BAL samples showed filamentous weak acid-fast bacilli resembling Nocardia species (fig. 4). After 24 h, the RT-PCR for SARS-COV2 virus was negative. The patient did well with trimethoprim-sulfamethoxazole in combination with linezolid and spO2 monitoring.
Case 3
A 50-year-old male presented to general medicine OPD with breathlessness and expectorating cough for four weeks. The patient was a not known case of diabetes and hypertension. On clinical examination of the respiratory system, there was wheeze and crackles; other system examinations were within normal limits. The patient was admitted, the sputum sample was sent for culture, Gram, and acid-fast stain and other routine investigations. The nasopharyngeal swab was sent for RT-PCR, and it was COVID-19 negative. All blood investigations were within normal range except for neutrophilia and hyponatremia. The sputum sample was negative for ZN stain, the Gram stain showed numerous pus cells with filamentous hyphae-like structures (fig. 1), and the Gomori’smethanamine silver stain showed no fungal elements. With our experience of managing 2 nocardial infections, we started empirical cotrimoxazole and meropenem sulbactam combination. The chest X-ray showed consolidation in the right lower lobe with bilateral veiling air space opacities. The Chest CT was recommended and similar findings were noted as before.
The microscopic examination of the sputum sample after treatment with 40% KOH and special stains revealed no fungal elements. The modified acid-fast staining for sputum and BAL samples showed filamentous weak acid fast bacilli resembling Nocardia species (fig. 4). The patient did well with cotrimoxazole and spO2 monitoring; his vital parameters were stable and discharged later. After four weeks repeat sample was sent for sputum culture, and CT-chest was also done. The RT PCR result was negative, CT-chest was normal, the sputum culture showed no growth, and the patient was stable.
Nocardia species are gram-positive, non-sporing filamentous (mycelia-like) and acid-fast bacilli [10]. They are ubiquitous and saprophytic found in soil and water. The different modes of infections are inhalation, invasion through cuts and abraded skin [10, 11]. Disease by nocardia was previously thought to be uncommon, but since 1976, many cases have been reported in western and tropical countries, as per CDC surveys. In recent years, the incidence of nocardial infections has been increasing among immunocompromised individuals with HIV, organ transplantation, prolonged corticosteroids and anti-cancer therapy and unlikely predisposes in COPD patients too [12-16].
The dissemination of nocardia can be seen most commonly in the lungs, up to 77 %, followed by others like CNS, skin and rarely CVS, ocular and bones. The most common mode of dissemination is hematogenous and lymphatic route, which accounts for 25% to 50% of cases. 30 to 80% of the mortality rate was recorded in localized pleura pulmonary involvement among immunocompromised patients [15, 16]. The nocardial disease development in most studies is 4 to 24 w post-transplant procedures. During this period, continuous treatment with steroids is attributed to immunosuppression [17]. The steroids-induced immunosuppression will produce an inhibitory effect on monocytes, lymphocytes and granulocytes, leading to rare bacterial infections [18].
Like other bacterial and fungal infections, pulmonary nocardiosis presents with usually non-specific symptoms and sub-acute and chronic duration. The common symptoms are fever, cough, body pain and pleurisy. In tuberculosis (TB) endemic countries, presenting symptoms mimics TB, and anti-TB therapy will be started. Nocardia must permanently be excluded in cases with similar clinical presentation and not responding to anti-TB treatment [18]. The radiological features remain non-specific with unilobar or multi-lobar consolidation, nodular or reticulonodular infiltrations and solitary lung masses. Up to 30% of cases can present with cavitations, most commonly in the apical region [19, 20]. The drug of choice in the management of nocardiosis is still cotrimoxazole. Amikacin, imipenem, ceftriaxone, minocycline, levofloxacin, linezolid, and amoxicillin-clavulanic acid are alternative medicines for treatment [20-22].
The differential diagnosis of nocardia should always be in our mind in case of lung infections, especially pneumonia with atypical radiological presentations and empirical treatment failure. All respiratory samples like sputum, pleural fluids and BAL must also be screened for suspected Nocardia cases. The early diagnosis and management of pulmonary nocardiosis with specific antimicrobial therapy decides the patient’s prognosis. In our third case we considered nocardiosis as differential diagnosis and managed keenly with a combination of cotrimoxazole, meropenem, and sulbactam, saved the patient at the earliest. The recent increase in cancers, transplantation techniques, use of steroids in COVID-19 and other conditions should increase the suspicion of pulmonary nocardiosis.
Nil
Nil
The lab diagnosis, complete write-up, photos and editing were done by (Prasanna S, First and Corresponding author). The lab diagnosis and reporting were done by (Mayuri Mahajan, Second author). Editing and compilation were done by (Nikunja Kumar Das, third author). The supportive clinical diagnosis was done by (Nikhil Mahajan, the fourth author). The editing of photos were done by (Chandana S, Fifth author)
Declared none
Saubolle MA, Sussland D. Nocardiosis: review of clinical and laboratory experience. J Clin Microbiol. 2003;41(10):4497-501. doi: 10.1128/JCM.41.10.4497-4501.2003, PMID 14532173.
Hett EC, Rubin EJ. Bacterial growth and cell division: a mycobacterial perspective. Microbiol Mol Biol Rev. 2008;72(1):126-56. doi: 10.1128/MMBR.00028-07, PMID 18322037.
Donovan C, Bramkamp M. Cell division in corynebacterineae. Front Microbiol. 2014;5:132. doi: 10.3389/fmicb.2014.00132, PMID 24782835.
Herrero Martinez JA, Gomez Gomez J, Garcia Vazquez E, Hernandez Torres A. Nocardiosis. (Article in Spanish). Med Programa Form Med Continuada Acreditado. 2014;11(58):3412-8. doi: 10.1016/S0304-5412(14)70793-0.
Fatahi Bafghi M. Nocardiosis from 1888 to 2017. Microb Pathog. 2018;114:369-84. doi: 10.1016/j.micpath.2017.11.012, PMID 29146497.
Beaman BL, Beaman L. Nocardia species: host-parasite relationships. Clin Microbiol Rev. 1994;7(2):213-64. doi: 10.1128/CMR.7.2.213, PMID 8055469.
Fujita T, Ikari J, Watanabe A, Tatsumi K. Clinical characteristics of pulmonary nocardiosis in immunocompetent patients. J Infect Chemother. 2016;22(11):738-43. doi: 10.1016/j.jiac.2016.08.004, PMID 27615155.
Das AK, Nandy S, Dudeja M, Tiwari R, Alam S. The incidence of nocardiosis at pulmonary and extrapulmonary sites. J Clin Diagn Res. 2013;7(7):1427-9. doi: 10.7860/JCDR/2013/5177.3152, PMID 23998082.
Wilson JW. Nocardiosis: updates and clinical overview. Mayo Clin Proc. 2012;87(4). doi: 10.1016/j.mayocp.2011.11.016, PMID 22469352.
Martinez Tomas R, Menendez Villanueva R, Reyes Calzada S, Santos Durantez M, Valles Tarazona JM, Modesto Alapont M. Pulmonary nocardiosis: risk factors and outcomes. Respirology. 2007;12(3):394-400. doi: 10.1111/j.1440-1843.2007.01078.x, PMID 17539844.
Menendez R, Cordero PJ, Santos M, Gobernado M, Marco V. Pulmonary infection with Nocardia species: a report of 10 cases and review. Eur Respir J. 1997;10(7):1542-6. doi: 10.1183/09031936.97.10071542, PMID 9230244.
Beaman BL, Burnside J, Edwards B, Causey W. Nocardial infections in the United States, 1972-1974. J Infect Dis. 1976;134(3):286-9. doi: 10.1093/infdis/134.3.286, PMID 789786.
Pourmand G, Jazaeri SA, Mehrsai A, Kalhori S, Afshar K. Nocardiosis: report of four cases in renal transplant recipients. Transplant Proc. 1995;27(5):2731-3. PMID 7482893.
Gutierrez H, Salgado O, Garcia R, Henriquez C, Herrera J, Rodriguez Iturbe B. Nocardiosis in renal transplant patients. Transplant Proc. 1994;26(1):341-2. PMID 8109008.
Farina C, Andrini L, Bruno G, Sarti M, Tripodi MF, Utili R. Nocardia brasiliensis in Italy: a nine-year experience. Scand J Infect Dis. 2007;39(11-12):969-74. doi: 10.1080/00365540701466124, PMID 18027278.
Safdar N, Kaul DR, Saint S. Clinical problem-solving. Into the woods. N Engl J Med. 2007;356(9):943-7. doi: 10.1056/NEJMcps054496, PMID 17329702.
Mijares MC, Mendoza MT. Pulmonary nocardiosis in renal transplant recipients. Philol J Microbiol Infect Dis. 2001:144-52.
Yildiz O, Doganay M. Actinomycoses and Nocardia pulmonary infections. Curr Opin Pulm Med. 2006;12(3):228-34. doi: 10.1097/01.mcp.0000219273.57933.48, PMID 16582679.
Tsujimoto N, Saraya T, Kikuchi K, Takata S, Kurihara Y, Hiraoka S. High-resolution CT findings of patients with pulmonary nocardiosis. J Thorac Dis. 2012;4(6):577-82. doi: 10.3978/j.issn.2072-1439.2012.11.07. PMID 23205281.
Rao NK, Patil DNA, Agarwal N, Hande HM, Joseph A, Varghese G. A fibrous cavity in an immunocompromised lung: nocardiosis masquerading as tuberculosis. Asian J Pharm Clin Res. 2016;9(6, Nov):5-6. doi: 10.22159/ajpcr.2016.v9i6.13855.
Brown Elliott BA, Brown JM, Conville PS, Wallace RJ. Clinical and laboratory features of the Nocardia spp. based on current molecular taxonomy. Clin Microbiol Rev. 2006;19(2):259-82. doi: 10.1128/CMR.19.2.259-282.2006, PMID 16614249.
Vera Cabrera L, Salinas Carmona MC. Current treatment for Nocardia infections expert opin. Pharmacother. 2013;14:2387-98.
Kumari CUA, PA Kumar. Effect of actinomycetes on growth of ocimum sanctum. Int J Curr Pharm Res. 2019;11(3 May):45-7.