
Molecular and Human Genetics Lab, University of Lucknow, Lucknow, Uttar Pradesh, India
*Corresponding author: Divya Tandon; *Email: d.tandon84@gmail.com
Received: 18 Apr 2023, Revised and Accepted: 21 Jul 2023
ABSTRAC
Objective: Oral Squamous Cell Carcinoma (OSCC), which is the sixth most prevalent type of cancer across the globe caused by cigarette smoking, smokeless tobacco use, excessive and extreme alcohol use, oral trauma, HPV (Human Papilloma Virus) infection as well as genetic mutations. AIF-1(Allograft Inflammatory Factor) has been identified as an inflammatory response modulator, and its increased expression has been linked to carcinogenesis.
Methods: In this study, 200 OSCC patients and 200 matched controls were compared to investigate if there was any association between the AIF-1(Allograft Inflammatory Factor) gene and the risk of cancer of oral cavity in the North Indian population. AIF-1(Allograft Inflammatory Factor) gene polymorphism rs2857595 were detected using TaqMan probe assay.
Results: The findings of our study revealed that AA genotype of AIF-1(Allograft Inflammatory Factor) Gene increases the susceptibility of Oral Squamous Cell Carcinoma. The association of AA genotype with Oral Squamous Cell Carcinoma is more in co-dominant model and the combination of both the mutant genotypes (AA+AG) is more significantly associated with Oral Squamous Cell Carcinoma in recessive model. GG genotype of AIF-1 (Allograft Inflammatory Factor) gene comes out with a protective effect against the risk of (OSCC Squamous Cell Carcinoma). To further understand the role of AIF-1(Allograft Inflammatory Factor) polymorphism, we compared the association of genotypes with various clinicopathological characteristics of Oral Squamous Cell Carcinoma patients. And we found that the patients with AA genotype have a significantly higher risk of developing high-grade tumors and more nodal involvement.
Conclusion: Thus, rs2857595 locus AA genotype of AIF-1(Allograft Inflammatory Factor) can be considered as important point in the development of accurate preventive approach and a prognostic indicator for oral cancer.
Keywords: Oral squamous cell carcinoma (OSCC), AIF-1 gene (Allograft inflammatory factor), North Indian population, Genotyping, TaqMann assay
© 2023 The Authors. Published by Innovare Academic Sciences Pvt Ltd. This is an open access article under the CC BY license (https://creativecommons.org/licenses/by/4.0/)
DOI: https://dx.doi.org/10.22159/ijpps.2023v15i9.48115. Journal homepage: https://innovareacademics.in/journals/index.php/ijpps.
Oral Squamous Cell Carcinoma (OSCC) starts with a small, strange, mysterious development or soreness in the oral cavity. It may affect any part of the mouth like vermillion borders of lips, buccal mucosa, gingiva, tongue, hard or soft palate, the floor of the mouth or if left untreated, may extend upto the pharynx. Overall, OSCC (Oral Squamous Cell Carcinoma) holds the sixth position among all cancer types [1]. Because of late diagnosis and expensive treatment modalities, the odds of recovery are extremely low almost negative [2].
Untreated precancerous lesions or diseases, as well as inflammation of the usual mucosal lining, are typical causes of OSCC (Oral Squamous Cell Carcinoma) [3-6]. Lack of awareness, exposure to tobacco and tobacco products, alcohol or harmful carcinogens, behavioural factors and above all genetic alterations are indicators of OSCC (Oral Squamous Cell Carcinoma) [7].
During tumor development, the immune system fights cancer or aids in the cancer's growth. This method is called immuno-editing [8]. These immune cells are seen infiltrating cancer cells and are important prognostic indicators of cancer [9-12].
Allograft Inflammatory Factor-1(AIF-1) was first recognized as causing chronic rejection in rat cardiac allografts [13]. In humans, the phylogenetically preserved AIF-1 (Allograft Inflammatory Factor-1) gene is encoded within the main histocompatibility complex class III chromosome region 6p21.3 known to harbors clusters of genes implicated in inflammatory reactions such as TNF5-007 and nuclear factor-kappa B. [14].
The function of AIF-1 (Allograft Inflammatory Factor-1) is not well understood but is primarily expressed by immune cells and is linked to inflammatory disorders, obesity, diabetes, and carcinogenesis [15]. It is a well-recognized key controller of inflammation by modulating the appearance of chemo-attractants and pro-inflammatory cytokines [16]. Apart from immunomodulation function, a recent study has shown that AIF-1 (Allograft Inflammatory Factor-1) regulates a number of important cell adhesion molecules [17, 18].
Studies have revealed that it plays important role in progression of cancer and its expression is increased in carcinogenesis [19]. Also, this AIF-1v3 (Allograft Inflammatory Factor-1) can up-regulate TNFα (Tumour Necrosis Factor-α) mediated activation of p38-MAPK pathway that leads to increased migration of breast cancer cells [20, 21].
The objective of the present study is to explore the possible function of AIF-1(Allograft Inflammatory Factor-1) gene polymorphism in OSCC (Oral Squamous Cell Carcinoma) of varying aggressiveness by evaluating the correlation of AIF-1(Allograft Inflammatory Factor-1) gene with the demographic and clinicopathological parameters of OSCC (Oral Squamous Cell Carcinoma) patients in Indian subpopulation.
Even though AIF-1(Allograft Inflammatory Factor-1) has been studied previously in inflammatory disorders and in other types of cancers, but its role in oral cancer risk is still to be explored.
Methods
Selection of patients and sample collection
For this study we have gathered 200 newly diagnosed oral cancer patients from King George Medical College, Lucknow and 200 healthy controls. Both the groups (cases and controls) were asked to submit a questionnaire to have a knowledge about their demographic profile and any history of exposure to smoke or alcohol. Human Ethical Committee, KGMU, Lucknow reviewed and approved the study. (1252/R. Cell-19). The exclusion and inclusion criteria for cases and controls were same as discussed before [22]. Blood samples around 2-3 ml were taken from both the oral cancer patients and control for DNA isolation and genotyping. We have also taken a total of 100 tissue samples from oral cancer patients and 30 control tissues from periphery of oral cancer region for the study. After extracting the tissue, one section was put in formal saline, while the other was placed in RNA later solution [Thermo Scientific] and held at 20 °C before processing.
DNA and RNA isolation
DNA was isolated from blood samples of OSCC (Oral Squamous Cell Carcinoma) samples and control samples using whole blood QIA amp DNA Blood mini kit [Qiagen] for blood genomic DNA isolation following the manufacturer’s protocol and quantified using spectrophotometer and stored at-20̊ C. RNA was isolated and cDNA was prepared in order to compare the expression of AIF-1((Allograft Inflammatory Factor-1)) gene among cases and controls.
Histopathological categorization of OSCC (Oral Squamous Cell Carcinoma) tissue samples
Histopathology of OSCC (Oral Squamous Cell Carcinoma) samples was done to grade them according to their differentiation. Histopathology was not only done to grade the tumor tissues but also used to get an idea about the prognosis or aggressiveness of disease. For histopathological grading of cases, 50-60 mg of OSCC (Oral Squamous Cell Carcinoma) tissue samples is obtained and put in formal saline. Parts were first embedded in paraffin wax; then tissue blocks were created and sliced into thin, uniformly cut sections using a microtome. The pieces were then placed on slides and stained with hematoxylin and eosin (fig. 1).
Genotyping assay
Genotyping was carried our using TaqMan probe assay. The primer and probe sequences were taken from a study done by ZHANG et al., 2020. They are checked on our samples and found appropriate for genotyping. The primers and probes are as follows:
rs2857595-P1-Probe-FAM-AGAAGTCACCCAATCT-MGB
rs2857595-P2-Probe-HEX-AGTCACTCAATCTCMGB
rs2857595-F-Primer-GGGAGCCATTCATTAGTTGAAAAATAT
rs2857595-R-Primer-AAAGTCCACAATCCAGCACAGG
The protocol followed is as follows:
Pre-denaturation phase performed at 95 ᵒC for 10 min. Denaturation phase follows pre-denaturation performed at 95 ᵒC for 5 seconds X 40 cycles. Then comes Annealing phase performed at 60 ᵒC for 30 seconds X 40 cycles. Samples were then kept in incubation at 4 ᵒC.
The final reaction mix contains 1 µl of DNA template, 2.5 µl of 2X TaqMan master mix, 0.225 µl of both forward and reverseprimers, 0.095 ml of each probe and 0.86 µl ddH2O making total reaction volume5 µl. The reactions were performed in triplicates and then some samples were randomly selected for assay repetition.
Statistical analysis
The genotype distribution was first tested for Hardy-Weinberg equilibrium, which was validated using Chi-square analysis. Demographic details of both the groups, i.e. cases and controls, were compared and p values were calculated to define the significance. Correlation between genotypes, risk of development of OSCC (Oral Squamous Cell Carcinoma) and clinical and pathological parameters were estimated using Odds Ratio and 95% Confidence Interval obtained from age and gender-adjusted multiple logistic regression models. Data was analyzed using SPSS software.
Population aspects of OSCC cases and control
The case-control study conducted comprises 200 OSCC (Oral Squamous Cell Carcinoma) cases and 200 matched controls. There was no significant difference between the distribution of cases and controls in their age and sex. Between the two classes, there was a significant variation in habitual parameters such as betel quid chewing (p<0.001), alcohol consumption (p<0.001), and cigarette smoking (p<0.001) (table 1).
Table 1: Demographic and clinical categorization of cases and controls
| Variables | Control [n=200] | Cases [n=200] | Chi | P value |
| Age | ||||
| <50 y | 96(48%) | 98(49%) | 0.04 | 0.8414 |
| >50 y | 104(52%) | 102(51) | ||
| Gender | ||||
| Male | 116(58%) | 129(64.6%) | 1.780 | 0.1821 |
| Female | 84(42%) | 71(35.5%) | ||
| Betel quid Chewing | ||||
| No | 160(80%) | 40(20%) | 144.0 | <0.001 |
| Yes | 40(20%) | 160(80%) | ||
| Cigarette Smoking | ||||
| No | 93(46.5%) | 24(12%) | 57.52 | <0.001 |
| Yes | 107(53.5%) | 176(88%) | ||
| Alcohol | ||||
| No | 151(75.5%) | 90(45%) | 38.84 | <0.001 |
| Yes | 49(24.5%) | 110(55%) | ||
| Tumor location | ||||
| Buccal mucosa | 127(63.5%) | |||
| Tongue | 64(32%) | |||
| Upper and lower gingiva | 9(4.5%) | |||
| Tumour dimensions | ||||
| T1-T2 | 165(82.5%) | |||
| T3-T4 | 35(17.5%) | |||
| Lymph Nodal involvement | ||||
| N0-N1 | 158(79%) | |||
| N2-N3 | 42(21%) | |||
| Tumor Stage | ||||
| 1-2 | 159(79.5%) | |||
| 3-4 | 41(20.5%) | |||
| Tumor Grade | ||||
| G1 | 112(56%) | |||
| G2-G3 | 88(44%) |
Histopathological and clinicopathological characteristics of OSCC (Oral Squamous Cell Carcinoma) cases
All the OSCC (Oral Squamous Cell Carcinoma) patients were graded clinicopathologically and histopathologically in various categories to keep an estimate about the aggressiveness and prognosis of the patient. Patients were histopathologically graded according to their differentiation into Well-differentiated tumors, i.e. Grade I and Moderately and poorly differentiated tumors, i.e., Grade II and we found that a little more than half of the patients recruited were in Grade I. Majority of tumors were located on the buccal mucosa (63.5%), 32% were located on tongue and only 9% were found on upper and lower gingival crevices. Around 80% of the patients were in early stages of OSCC (Oral Squamous Cell Carcinoma) with little or no lymph node involvement and rarely, we found any cases with distant metastasis (table 1, fig. 1A-D).

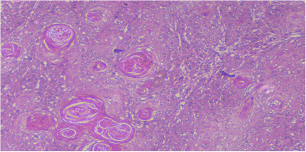
Fig. 1A: Well-differentiated oral squamous cell carcinoma
Well-differentiated tumors characterized by the presence of keratin islands with keratin pearls inside. Inside the keratin pearls, the cells are acidophilic with pyknotic nucleus and karyolysis.

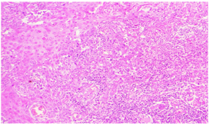
Fig. 1B: Moderately differentiated oral squamous cell carcinoma
Moderately differentiated tumors are characterized by the presence of organized islands of neoplastic cells. At the periphery, the islands are separated with inflammatory cells. Tumor cell nuclei have different shapes and sizes.

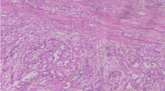
Fig. 1C: Poorly differentiated oral squamous cell carcinoma
Poorly differentiated tumors are defined by cellular dissemination, tumor stroma results from conversion of covering epithelium into stroma. This provides nitrition to tumor cells to grow and divide.

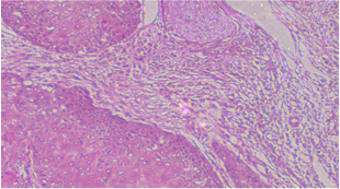
Fig. 1D: Verrucous carcinoma
Verrucous carcinoma a slow-growing tumor which is defined by the presence of rete ridges. It shows good prognosis.
Association of AIF-1 gene polymorphism with risk of OSCC
To further study the association of AIF-1 gene polymorphism with the risk of OSCC, we genotyped controls and OSCC patients. Table 2 shows the genotyping distributions and relationships between oral cancer and AIF-1 gene polymorphisms. In the controls, all the genotype frequencies follow Hardy-Weinberg equilibrium. The unconditional logistic regression analysis shows AA genotype in the co-dominant model and combination of both the mutant genotypes (AA+AG) in the recessive model significantly increases the risk of oral cancer, while GG genotype comes out with a protective effect against the risk of OSCC. And there is no significant difference seen between the cases and the control in the dominant model genotype.
Table 2: The rs2857595 unconditional logistic regression on the risk of oral cancer
| Type | Case | Control | Odds ratio | 95%CI | P value |
| Co-dominant Genetic model | |||||
| AA | 71 | 64 | 1.997 | 1.102-3.618 | 0.0216 |
| AG | 104 | 91 | 2.057 | 1.170 to 3.617 | 0.0114 |
| GG | 25 | 45 | Ref | ||
| Dominant genetic model | |||||
| AA | 71 | 64 | 1.17 | 0.7723-1.771 | 0.4592 |
| AG+GG | 129 | 136 | Ref | ||
| Recessive genetic model | |||||
| AA+AG | 175 | 155 | 2.032 | 1.191-3.469 | 0.0085 |
| GG | 25 | 45 | Ref |
Association of AIF-1 gene polymorphism with clinicopathological characteristics of OSCC patients
To further study the involvement of AIF-1 gene polymorphism in the causation of OSCC, we categorize the cases according to their clinicopathological features. And we found that AA genotype increases the risk of more lymph node involvement and the patients have significantly more chances of developing high-grade tumors in comparison to GG (table 3).
Table 3: Association of AIF-1 gene polymporphism with clinicopathological characteristics of OSCC patients
| Tumour size | |||||
| <=T2 | >T2 | ||||
| Rs2857595 | N= 165 | N=35 | OR | 95%CI | P value |
| AA | 51 | 20 | 4.51 | 0.9716 to 20.93 | 0.0391 |
| AG | 91 | 13 | 1.643 | 0.3460 to 7.801 | 0.5285 |
| GG | 23 | 2 | Ref | ||
| Clinical Stage | |||||
| Rs2857595 | I+II | III+IV | |||
| N= 159 | N= 41 | ||||
| AA | 54 | 17 | 1.653 | 0.4976 to 5.490 | 0.4087 |
| AG | 84 | 20 | 1.25 | 0.3858 to 4.050 | 0.7094 |
| GG | 21 | 4 | Ref | ||
| Lymph Node | |||||
| Rs2857595 | N0-N1 | N3-N4 | |||
| N= 158 | N= 42 | ||||
| AA | 47 | 24 | 3.745 | 1.018 to 13.78 | 0.0371 |
| AG | 89 | 15 | 1.236 | 0.3286 to 4.649 | 0.7536 |
| GG | 22 | 3 | Ref | ||
| Clinical Grade | |||||
| Rs2857595 | Grade I | Grade II | |||
| N= 152 | N= 48 | ||||
| AA | 51 | 20 | 1.569 | 0.5178 to 4.752 | 0.4235 |
| AG | 81 | 23 | 1.136 | 0.3841 to 3.359 | 0.8178 |
| GG | 20 | 5 | Ref |
If we define OSCC (Oral Squamous Cell Carcinoma), it is simply called as the malignant tumor occurring/involving the oral cavity. The incidence of OSCC (Oral Squamous Cell Carcinoma) has been increasing in recent years. AIF-1(Allograft Inflammatory Factor-1) is a gene located on chromosome 6 in the human leukocyte antigen class III genomic region. Although the precise mechanism connecting the rs2857595 gene polymorphism to oral cancer sensitivity has yet to be identified, there exist a connection between the rs2857595 locus and several inflammatory genes [24]. Furthermore, AIF-1((Allograft Inflammatory Factor-1) protein was discovered as an effective marker for intestinal mucosal barrier repair in a recent animal study, and it can aid in the healing of intestinal mucosal damage by reducing inflammatory responses and encouraging intestinal mucosal cell differentiation [24].
Taking this study as a reference, we tried to explore whether AIF-1((Allograft Inflammatory Factor-1) gene is also involved in repair of oral mucosal injury and we found a protective response of AIF-1((Allograft Inflammatory Factor-1) gene for OSCC (Oral Squamous Cell Carcinoma). But the exact mechanism involved in this repair is still to be studied.
We have also found AIF-1(Allograft Inflammatory Factor-1) as main inflammatory cytokine that has been linked to cancer, as shown by report of Zhang et al. 2021 and Roman et al. 2017 [23, 24] t, which found elevated AIF-1 (Allograft Inflammatory Factor-1) mRNA levels in human cervical cancer relative to adjacent normal cervical tissue. In rat and human gliomas, Deininger et al. observed elevated expression of AIF-1(Allograft Inflammatory Factor-1) in active microglial cells and a subset of macrophages for tumor infiltration. According to previous studies, AIF-1(Allograft Inflammatory Factor-1) will function as an oncogene.
The findings of this study revealed a clear correlation of AIF-1(Allograft Inflammatory Factor-1) gene polymorphism with risk of OSCC (Oral Squamous Cell Carcinoma)[25] and the results indicated a clear association with AA genotype that it increases the risk of oral cancer and GG genotype perform a protective role. To further justify our results, we studied whether there is any correlation between AIF-1(Allograft Inflammatory Factor-1) gene polymorphism and clinicopathological characteristics of OSCC (Oral Squamous Cell Carcinoma) patients. And we found an association of AIF-1(Allograft Inflammatory Factor-1) gene polymorphism with the nodal status and tumour grade. These results indicate that AIF-1(Allograft Inflammatory Factor-1) expression may be involved in the development of OSCC (Oral Squamous Cell Carcinoma) and may have significance as a prognostic marker [26].
A study done by Wei et al.,2014 found that the AIF-1(Allograft Inflammatory Factor-1) gene polymorphism rs2857595 lowers the risk of laryngeal squamous cell carcinoma, which our results contradict [25].
Since this is a case-control study, some degree of selection bias and recall bias exists. But we have tried our best on the selection of patients and quality of our data to reduce the biasness. Although a more elaborated study on large sample size is needed taking our study as base to further study the function of AIF-1(Allograft Inflammatory Factor-1) gene as a biomarker for OSCC(Oral Squamous Cell Carcinoma).
In summary, our study inferred that the AIF-1(Allograft Inflammatory Factor-1) gene rs2857595 locus AA genotype can increase the risk of oral cancer. In future studies, this rs2857595 locus AA genotype of AIF-1(Allograft Inflammatory Factor-1) can be considered as important point in the development of an accurate preventive approach and a prognostic indicator for oral cancer.
The author would like to thank University Grant Commission (UGC), New Delhi, India, Molecular and Human Genetics Lab, Department of Zoology, University of Lucknow for experimentation support.
The study is designed, planned, executed and compiled by Divya Tandon.
The authors declare no conflict of interest.
Gupta B, Bray F, Kumar N, Johnson NW. Associations between oral hygiene habits, diet, tobacco and alcohol and risk of oral cancer: a case–control study from India. Cancer Epidemiol. 2017;51:7-14. doi: 10.1016/j.canep.2017.09.003, PMID 28968558.
Laprise C, Shahul HP, Madathil SA, Thekkepurakkal AS, Castonguay G, Varghese I. Periodontal diseases and risk of oral cancer in Southern India: results from the HeNCe Life study. Int J Cancer. 2016;139(7):1512-9. doi: 10.1002/ijc.30201, PMID 27215979.
Sharma S, Satyanarayana L, Asthana S, Shivalingesh KK, Goutham BS, Ramachandra S. Oral cancer statistics in India on the basis of first report of 29 population-based cancer registries. J Oral Maxillofac Pathol. 2018;22(1):18-26. doi: 10.4103/jomfp.JOMFP_113_17, PMID 29731552.
Das S, Mukherjee S, Choudhury S, Bose A, Roy S. Antioxidant and cytotoxic activities of areca catechu seed extract in swiss albino mice using eac cell line in different culture medium. Int J Curr Pharm Sci. 2020;12(2):20-7. doi: 10.22159/ijcpr.2020v12i2.37481.
Sumintarti MR, Hajrah Yusuf ASt. Oral hairy leukoplakia manifestations related to CD4 count in HIV/AIDS patients at Dr Wahidin Sudirohusodo hospital. Int J Appl Pharm. 2019;11(4):57-9. doi: 10.22159/ijap.2019.v11s4.35292.
Chhaparwal Y, M Pai K, Kamath Ms, Carnelio S, Chhaparwal S. Efficacy and safety of tetrahydro curcuminoid in the treatment of oral leukoplakia: a pilot study. Asian J Pharm Clin Res 2018;11(12). doi: 10.22159/ajpcr.2018.v11i12.28107.
Veluthattil AC, Sudha SP, Kandasamy S, Chakkalakkoombil SV. Effect of hypofractionated, palliative radiotherapy on quality of life in late-stage oral cavity cancer: a prospective clinical trial. Indian J Palliat Care. 2019;25(3):383-90. doi: 10.4103/IJPC.IJPC_115_18, PMID 31413453.
Jiang X, Shapiro DJ. The immune system and inflammation in breast cancer. Mol Cell Endocrinol. 2014;382(1):673-82. doi: 10.1016/j.mce.2013.06.003, PMID 23791814.
Freeman MR, Li Q, Chung LW. Can stroma reaction predict cancer lethality? Clin Cancer Res. 2013;19(18):4905-7. doi: 10.1158/1078-0432.CCR-13-1694, PMID 24009149.
Mohammed ZM, Going JJ, Edwards J, Elsberger B, McMillan DC. The relationship between lymphocyte subsets and clinicopathological determinants of survival in patients with primary operable invasive ductal breast cancer. Br J Cancer. 2013;109(6):1676-84. doi: 10.1038/bjc.2013.493, PMID 23982600.
Klintrup K, Makinen JM, Kauppila S, Vare PO, Melkko J, Tuominen H. Inflammation and prognosis in colorectal cancer. Eur J Cancer. 2005;41(17):2645-54. doi: 10.1016/j.ejca.2005.07.017, PMID 16239109.
Tricot G. New insights into role of microenvironment in multiple myeloma. Lancet. 2000;355(9200):248-50. doi: 10.1016/S0140-6736(00)00019-2, PMID 10675068.
Utans U, Arceci RJ, Yamashita Y, Russell ME. Cloning and characterization of allograft inflammatory factor-1: a novel macrophage factor identified in rat cardiac allografts with chronic rejection. J Clin Invest. 1995;95(6):2954-62. doi: 10.1172/JCI118003, PMID 7769138.
Deininger MH, Meyermann R, Schluesener HJ. The allograft inflammatory factor-1 family of proteins. FEBS Lett. 2002;514(2-3):115-21. doi: 10.1016/s0014-5793(02)02430-4, PMID 11943136.
Jia J, Bai Y, Fu K, Sun ZJ, Chen XM, Zhao YF. Expression of allograft inflammatory factor-1 and CD68 in haemangioma: implication in the progression of haemangioma. Br J Dermatol. 2008;159(4):811-9. doi: 10.1111/j.1365-2133.2008.08744.x, PMID 18647307.
Watano K, Iwabuchi K, Fujii S, Ishimori N, Mitsuhashi S, Ato M. Allograft inflammatory factor-1 augments production of interleukin-6, -10 and -12 by a mouse macrophage line. Immunology. 2001;104(3):307-16. doi: 10.1046/j.1365-2567.2001.01301.x, PMID 11722645.
Zhao YY, Yan DJ, Chen ZW. Role of AIF-1 in the regulation of inflammatory activation and diverse disease processes. Cell Immunol. 2013;284(1-2):75-83. doi: 10.1016/j.cellimm.2013.07.008, PMID 23948156.
Khirade MF, Lal G, Bapat SA. Derivation of a fifteen-gene prognostic panel for six cancers. Sci Rep. 2015;5(1):13248. doi: 10.1038/srep13248, PMID 26272668.
Jia J, Cai Y, Wang R, Fu K, Zhao YF. Overexpression of allograft inflammatory factor-1 promotes the proliferation and migration of human endothelial cells (HUV-EC-C) probably by up-regulation of basic fibroblast growth factor. Pediatr Res. 2010;67(1):29-34. doi: 10.1203/PDR.0b013e3181bf572b, PMID 19745784.
Elizondo DM, Andargie TE, Haddock NL, da Silva RLL, de Moura TR, Lipscomb MW. IL-10-producing CD8+CD122+PD-1+regulatory T cells are expanded by dendritic cells silenced for allograft inflammatory factor-1. J Leukoc Biol. 2019;105(1):123-30. doi: 10.1002/JLB.1A0118-010RR, PMID 30512224.
Khirade MF, Lal G, Bapat SA. Derivation of a fifteen-gene prognostic panel for six cancers. Sci Rep. 2015;5:13248. doi: 10.1038/srep13248, PMID 26272668.
Tandon D, Dewangan J, Srivastava S, Garg VK, Rath SK. miRNA genetic variants: as potential diagnostic biomarkers for oral cancer. Pathol Res Pract. 2018;214(2):281-9. doi: 10.1016/j.prp.2017.10.002, PMID 29103762.
Roman ID, Cano Martinez D, Lobo MV, Fernandez Moreno MD, Hernandez Breijo B, Sacristan S. Infliximab therapy reverses the increase of allograft inflammatory factor-1 in serum and colonic mucosa of rats with inflammatory bowel disease. Biomarkers. 2017;22(2):133-44. doi: 10.1080/1354750X.2016.1252950, PMID 27781498.
Zhang L, Deng S. Association of snps of aif-1 gene with susceptibility to oral cancer in Chinese population. Food Sci Technol. 2021;41(2)Suppl 2:769-74. doi: 10.1590/fst.38520.
Wei Q, Yu D, Liu M, Wang M, Zhao M, Liu M. Genome-wide association study identifies three susceptibility loci for laryngeal squamous cell carcinoma in the Chinese population. Nat Genet. 2014;46(10):1110-4. doi: 10.1038/ng.3090, PMID 25194280.
Sahu KB. Cyto-histopathological correlation of premalignant and oral cavity malignant lesions in a tertiary care hospital: cyto-histopathological correlation of premalignant and oral cavity malignant lesions. Asian J Pharm Clin Res. 2023;16(6):47-51.