
Environmental Biology and Molecular Toxicological Laboratory, PG. Department of Studies in Zoology, Karnatak University Dharwad-580003, Karnataka, India
*Corresponding author: Muniswamy David; *Email: davidkcd@gmail.com
Received: 26 Jul 2023, Revised and Accepted: 05 Sep 2023
ABSTRAC
Objective: Cyphenothrin is a major insecticide causing toxicological implications in mammals. Several studies estimated the consequences posed by this insecticide. The present study was designed to investigate the possible pyrethroid effects of cyphenothrin-induced hematological alterations and splenic damage in male Wistar albino rats.
Methods: The rats were subjected to 60 d of exposure to a sublethal concentration of cyhenothrin. Hematological analyses revealed alterations in blood indices including red blood cells, white blood cells, hematocrit, hemoglobin, and platelet count. However, increased cyphenothrin level in treated rat groups was significant in the present study. This might be attributed to cyphenothrin enhancing stress of animal physiology.
Results: Histological examination of spleen resulted in rarefication of white pulp, damaged marginal zone, decreased periarteriolar lymphoid sheath (PALS) 35.33 mg/Kg BW high dose, and number of lymphoid follicles in the high concentration of cyphenothrin group. However, the treatment of cyphenothrin significantly affected the low-concentration cyphenothrin-treated group more than the high-concentration-treated group 63.6 mg/Kg BW low dose compared to the control.
Conclusion: This indicates the effective property of toxicity on the immunomodulatory effects of cyphenothrin. Results of the present study suggest that the Cyphenothrin effect has a potentially key role in hematological and immunomodulatory processes that might be implemented.
Keywords: Hematology, Spleen, Cyphenothrin, Histology
© 2023 The Authors. Published by Innovare Academic Sciences Pvt Ltd. This is an open access article under the CC BY license (https://creativecommons.org/licenses/by/4.0/)
DOI: https://dx.doi.org/10.22159/ijpps.2023v15i11.48970. Journal homepage: https://innovareacademics.in/journals/index.php/ijpps.
The insecticidal components of the pyrethrum essence of the chrysanthemum flower, known as pyrethrin, are naturally occurring compounds called pyrethroids, which are chemically synthesized combinations. They are one of the newest classes of pesticides now on the market and make up a significant portion of pesticides used domestically. These substances are widely used in veterinary and human medicine to manage domestic insects and ectoparasites [1]. Due to implied daily exposure, this may have caused an unanticipated increase in their use [2, 3]. In urine samples from certain members of a group with no known exposure, studies have found chemical remnants of various pyrethroids [4, 5]. According to Schettgen et al. 2002, consumption of tainted food may have caused the maturity of the impurity that was seen.
Likewise, the Center for Disease Control and Prevention (CDC) Third National Report on Human Exposure to Environmental Chemicals revealed mortal exposure to these agents. These studies revealed that humans are exposed to several pyrethroids pesticides via direct use, salutary means and occupational exposure, thereby making oral route one of the major means of exposure to these chemicals [6]. The vulnerable system, which also includes the blood and spleen, had been observed to be least considered in toxicological studies involving pyrethroids. This is because certain studies have previously shown that the serum of rats contained carboxylesterase, which has the capability to break down pyrethroids, hence making blood a major point of pyrethroids metabolism [7, 8]. Since this enzyme is set up only in the serum, there is the possibility of other organs suffering from pyrethroids toxins. Some studies have demonstrated that multitudinous of generally used pesticides can suppress the vulnerable system and affect an increased threat of contagious agents. Studies have also shown that short-term exposure to Tetrachlorodibenzo-pdioxin (TCDD) reacted in thymus and spleen atrophy as well as cellular reduction of bone gist via apoptosis [9, 10].
Another synthetic pyrethroid, generally appertained to as Cyphenothrin (5% EC), was tested for effectiveness against three vector mosquitoes as a space splash or mist. The International Program on Chemical Safety has stated that cyphenothrin is dangerous (IPCS). Issues with the mosquito (Culex pipiens), housefly (Musca domestica), and German cockroach were demonstrated by nearly divergent preludes (Blatella germanica). Field trials in Malaysia with Gokilaht-S 5% EC showed encouraging goods against Aedes aegypti, Ae. albopictus, and Cx. Quinquefasciatus.
Although there is a common perception by buyers about the general safety of pyrethroids insecticides, several studies have reported their toxic goods [11-13]. It's also believed that insecticides generally have adverse effects with prolonged exposure, mainly when they are mixed to round their modes of action, as seen in cyphenothrin insecticides. According to Gosselin, some of these agents are constantly formulated with canvases or petroleum distillates and packaged in combination with synergists analogous to piperonyl butoxide (PBO) and n-octyl bicycloheptene dicarboximide, thereby rendering them more toxic and prone to conditions. Therefore, this study aimed to probe the toxicological effects of Pyrethroids insecticides cyphenothrin on the blood and spleen of adult albino rats.
Animal selection
Adult Albino rats have been received from the animal residence of the Department of PG Studies and Research in Zoology, Karnatak University, Dharwad, Karnataka, India. The rats were healthy and weighed 150-250g prior to the beginning of the treatment. On switch to the experimental area, the rats were allowed to acclimatize for two weeks beneath favorable atmospheric stipulations and fed with preferred rat feeds and water.
Experimental toxicant
Cyphenothrin (Type II pyrethroid) was provided with the aid of Sumitomo Chemical India Pvt. Ltd, Gujarat, India, used to be procured from the nearby agricultural market of Dharwad, Karnataka, India. The expiry date of the take a look at substance used to be established prior to the initiation of the exposure. The stock solution used to be organized by means of mixing the calculated extent of the commercial-grade solution with distilled water.
Experimental design
A test dose of 63.6 mg/kg BW (High dose) 1/5th of LD50 and 35.33 mg/kg BW (Low dose) 1/9th of LD50 was selected. The experimental period was 60 d and the dosing was done during daylight. Post-acclimatized male albino rats were randomly selected and divided into 6 groups (n=6). The first group served as control, the second and third groups received cyphenothrin alone in high and low doses (63.6 mg and 35.33 mg/kg BW), respectively.
Hematology
Post experimental animals have been dissected on the sixtieth day and the blood has been accumulated in EDTA (helico HI-Nvac K3 EDTA, two ml) and clot activator vacutainers by using cardiac perforation [37]. The accumulated blood used to be subordinated to centrifugation (3000 rpm, 5 min) to achieve a clear plasma membrane and saved in a deep freezer till further analyses. Hematological parameters such as Hemoglobin (Hb), Platelet count, Serum calcium, Cholesterol, Red blood cells (RBC), White blood cells (WBC), Hematocrit, Blood urea, Sugar, Creatinine, Neutrophils, Eosinophils, and Lymphocytes had been anatomized the usage of auto hematology analyzer (UBM, Fx-19). Mean corpuscular extent (MCV), Mean corpuscular hemoglobin awareness (MCHC) used to be calculated through the following formulae.
………… (1)
……….. (2)
Histology
Rats had been autopsied on the sixtieth day of investigation and the organs have been insulated and washed with PBS (1X, pH7.0) and constant in formalin (10 percent) for 24 h. Post-constant organs have been subordinated to a dehumidification procedure with alcohol slants and bedded in paraffin wax [25]. Thin sections (5 µm) of the spleen had been attained the usage of an automatic microtome (Leica RM 2255). The sections have been additionally stained with Hematoxylin and eosin and photographed with the use of an Olympus segment distinction microscope (Olympus BX51, Tokyo, Japan) with a connected photographic digital camera (ProgRes C3, Jenoptic-Germany). The slides had been anatomized in x100 exaggeration for higher histopathological findings.
Ethical statement
All experiments carried out in the investigation followed the hints of the Institutional Animal Ethics Committee (IAEC). The experimental animals used in the study had been treated with care in accordance with the pointers supplied with the aid of the Committee for the Purpose of Control and Supervision of Experiments on Animals (CPCSEA), New Delhi, India, Registration number 639/GO/Re/S/02/CPCSEA. New Delhi, India. Valid for five years, from August 31, 2018, to August 30, 2023.
Statistical analyses
All the data presented in the study was performed using the Origin Pro 2019b statistical package. The data were subject to one-way analyses of variance (ANOVA) with Tukey's post-hoc test and the data are presented as mean±SD values with significance value set at P<0.05.
Haematology
The hematological information analyzed in this investigation is presented in table 1. RBC, WBC, hemoglobin, and hematocrit are hematological indices that show how the animal is doing overall. Red blood cells (RBCs) were placed in low positions in high-dose and low-dosage treated animals in the current investigation, and these positions were substantially different (P<0.05). The high-dose group showed higher numbers of white blood cells (WBC) compared to all other groups. In the insecticide-treated group, hemoglobin, hematocrit, and platelet count were all kept within normal ranges; however, in the high-dose group, they declined. MCV readings did not significantly change, with the exception of the high-dose group. The high-dose group's MCHC showed a significant difference (P<0.05). Total cholesterol, blood sugar, and serum calcium conditions all differed greatly from the group in control (P<0.05). Table 1 summarizes the variations in blood urea, serum creatinine, neutrophils, lymphocytes, and eosinophils.
Table 1: Effect of cyphenothrin-induced hematological alterations in male wistar rats
| Parameters | Control | High dose | Low dose |
| RBC (106 cells/mm3) | 12.2±3.44a | 8.31±0.09b | 8.28±0.15b |
| WBC (103 cells/mm3) | 9.33±3.44a | 30.16±2.6b | 58.16±11.1c |
| Haemoglobin (%) | 20.4±3.44a | 13.58±0.47b | 13.52±0.47b |
| Haematocrit (%) | 50.21±3.44a | 42.08±1.55b | 29.65±18.08c |
| Platelet count (lakh/cumm) | 8.89±3.44a | 20.18±25.7b | 7.48±0.26c |
| MCV (µm3) | 68.24±3.44a | 50.91±1.19b | 49.43±2.18c |
| MCHC (g/dl) | 38.93±3.38a | 32.1±0.09b | 32.27±0.24b |
| Blood urea (mg/dl) | 39.93±3.21a | 39.2±3.44a | 30.1±3.44b |
| Blood sugar (mg/dl) | 149±3.44a | 103±3.41b | 85±3.41c |
| Serum creatinine (mg/dl) | 1.3±0.034a | 1.46±0.034b | 0.93±0.034c |
| Serum Calcium level (mg/dl) | 14.33±3.44a | 7.80±0.317b | 6.43±0.034c |
| Neutrophils (%) | 59.38±3.44a | 65.33±4.53b | 67.83±3.67b |
| Lymphocytes (%) | 41.21±3.44a | 35.33±4.53b | 31±3.41c |
| Eosinophils (%) | 10±3.41a | 8.33±3.94b | 11±3.41c |
The values (mean±SE) (n=6) bearing dissimilar letters (a to c) in column differ significantly (P<0.05).
Table 2: Effect of pyrethryroid cyphenothrin-induced histoarchitectural changes in spleen tissues of male wistar rats
| Histological observation | Control | High dose (63.6 mg/kg BW) | Low dose (35.33 mg/kg BW) | |
| Number of follicles | 0 | (↓) 3 | (↓) 2 | |
| Marginal zone | Size | 0 | (↓) 4 | (↓) 2 |
| Lymphocytes | 0 | (↑) 2 | (↑) 1 | |
| Red pulp | Size | 0 | (↓) 4 | (↓) 2 |
| Hematopoietic cells | 0 | (↓) 3 | (↓) 2 |
*Note: 0 = normal, 1 = minimal, 2 = mild, 3 = moderate, 4 = marked, (↑) increased, (↓) decreased
Histopathology
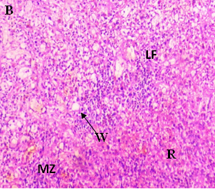
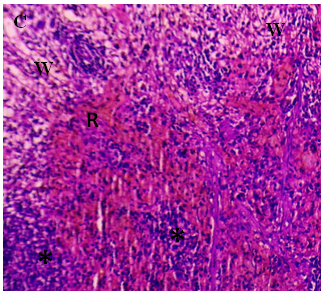
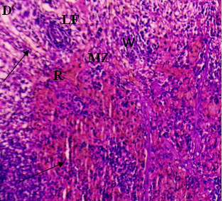
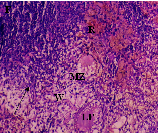
The current investigation focused on spleen histopathology to examine the overall condition of the organ. Elmore (2006), R. E. Mebius and G. Kraal (2005), as well as other sources, were used to anatomize the histopathological differences shown in fig. 114,15. Fig. 1 shows normal histoarchitecture in the control spleen tissue of a male albino rat, with sufficient amounts of red pulp (R), white pulp (W), lymphoid follicles (LF), and marginal zone (MZ). Table 2 has detailed histology observations. The histological structures in the cyphenothrin-treated group were well terminated, just like in the control group. The red pulp in the group that received high doses of the pesticide cyphenothrin showed decreased cellularity, while the white pulp was severely destroyed, with no normal lymphoid follicle and boundary zone. White pulp and red pulp from the low-cure cyphenothrin group showed destroyed cellular integrity. This cyphenothrin-treated group, which included high and low doses, demonstrated notable modifications of histological structures in contrast. In comparison to the cyphenothrin high dosage group, the white pulp recovered effectively in the cyphenothrin insecticide low dose treatment group.






Fig. 1: (A) and (B) Spleen sections of control rats: (R) red pulp; (W) white pulp; (LF) lymphoid follicle; (MZ) marginal zone; (PALS) Periarteriolar lymphoid sheath. H and E, x100. (C) and (D) Spleen structure of rat treated with cyphenothrin (63.6 mg/Kg BW) respectively: arrow head Show a thin damaged marginal zone (MZ), asterisk (*) indicates decreased cellularity (rarefication) and altered structural integrity of white pulp, H and E, 100×. (E) and (F) spleen tissues of cyphenothrin treated (35.33 mg/Kg BW) respectively: arrow shows damaged tissue region, marginal zone (MZ) and lymphoid follicles (LF). H and E, 100
Cyphenothrin caused haematological and histological changes in the current investigation. RBCs were much lower in the high dose cyphenothrin treated group, according to haematological analyses, demonstrating that the rat's anaemia was caused by the insecticide. Still, the rat treated with the cyphenothrin showed a striking improvement in RBC count. The toxic impact of cyphenothrin, which has been shown to affect bone gist cells, may be responsible for the decreased RBC count [16]. Elevated WBC levels in animals treated with high pesticide doses may signal the beginning of an infection and the development of a defense mechanism [17]. Hematocrit and haemoglobin levels differed little from control. MCV levels were found to be higher in the group receiving large doses of cyphenothrin, which may indicate an attainable reason for anisocytosis.
The rats which received the dose for sixty days had the greatest effects, demonstrating that prolonged exposure to the predicted pyrethroids affects haemapoiesis. Aplastic anaemia is characterized by hypo-cellularity of the bone marrow and pancytopenia, which may result from the development of hepatitis [18]. In the majority of cases of severe liver disease, decreased plasma protein synthesis may result in expansive haemorrhages. In 1996, Pereira et al. Prior research by Iteire et al. from 2005 described severe blood vessel traffic in the lungs of treated rats [19, 20]. Therefore, we can infer from this study that anaemia may pose a risk to rats exposed to the insecticide cyphenothrin. Additionally, the extensive proliferation of blood vessels seen, particularly in rats treated for the longest duration, is consistent with research by Luty et al. from 2000, which showed that fenvalerate and deltamethrin increased erythropoiesis and Hb conflation in male mice [21]. All type II pyrethroids (allethrin, imoprothrin) contain cyano-groups, which may restrict the blood's ability to carry oxygen, resulting in a decrease in metabolism. As a result, decreased oxygen rotation in the blood will cause the production of erythropoietin, which then stimulates the production of more blood by the bone marrow until the marrow becomes overly strained and unequipped to replace lost cells, causing the bone marrow to be under-cellularized.
Increased MCV could be a sign of immature RBC due to a compensatory medium serving the cyphenothirn-affected reduction in RBC concentration [22]. The high concentration of insecticide dose exhibited low position of MCHC values compared to control, which in turn indicated the reduced position of hemoglobin concentration. MCHC values represent the concentration of hemoglobin. Intoxication with insecticides also affects other hematological parameters, including blood sugar, urea, creatinine, neutrophils, lymphocytes, and eosinophils. Attenuation of lymphocytes in the group that received cyphenothrin treatment may be a sign of the drug's immunomodulatory action as a result of the low dose [23]. The elevated position of serum calcium in the low dosage and high dose cyphenothrin-treated groups, respectively, indicates the calcium-promoting effort. Previous investigations with high calcium positions that accelerated bone healing capacity also produced results of a similar nature [24, 25]. The hematological findings from Ambali et al. (2011), Aroonvilairat et al. (2018), Rahman and Siddiqui (2006), and Savithri et al. (2010) are in similar with our findings [26-29]. In light of the hematological abnormalities caused by the pesticide, cyphenothrin proved effective.
Similar to what was seen in the bone marrow biopsies, the spleen had considerable crowding and intra-parenchyma hemorrhages. Additionally, portal hypertension, which is another source of anemia in chronic liver diseases and is accompanied with hypersplenism with typical splenomegaly, has been preliminary linked to anemia [30]. As a result, the spleen's congestion could be caused by the erythrocytes' internal oxidation [31]. These results are consistent with earlier research demonstrating thymus and spleen atrophy, as well as cell loss in bone marrow brought on by increased apoptosis in TCDD-treated rats [32, 33]. Permethrin exposure at a single dose in the tropics had previously been linked to adverse effects on immune system organs such the spleen and thymus [34]. In addition, Banerjee and Hussain (1987) found that endosulfan suppressed humoral and cell-mediated immunity in rodents at remarkably low doses even in the absence of any other overt toxin-related symptoms [11]. Additionally, it has been reported that profenofos and chlorpyrifos were used to treat hepatic lesions that resulted in splenic hemorrhages and congestion. Our findings thus provided more evidence that hemorrhages of rat spleens that have been pyrethroid insecticide-treated.
The current study's objective was to examine the toxin produced by pyrethroid cyphenothrin. Red blood cells (RBC), white blood cells (WBC), hemoglobin, hematocrit, and platelet count were among the haematological markers that were altered in the cyphenothrin-treated groups, according to haematological research. However, cyphenothrin exposure that was successful changed the haemotoxicity in a significant way. In groups treated with cyphenothrin, histopathological examinations similar to rarefication of white pulp, diminished and damaged marginal zone, and decreased number of lymphoid follicles were clearly visible. The group that received cyphenothrin treatment in contrast, displayed the clinical signs listed below. This study demonstrates that, for the 60 d of treatment taken into account in this investigation, the cyphenothrin insecticide was harmful to rats' blood and spleens. In order to determine potential anaemic consequences from these compounds, haematological investigations demonstrate how its toxin affects blood parameters such as Packed Cell Volume (PCV) and White Blood Cell count (WBC), among others.
Authors are thankful to Department of Zoology for providing animals for the present study.
Nil
All the authors have contributed equally.
Authors claims no conflict of interest
Anand SS, Bruckner JV, Haines WT, Muralidhara S, Fisher JW, Padilla S. Characterization of deltamethrin metabolism by rat plasma and liver microsomes. Toxicol Appl Pharmacol. 2006 Apr 15;212(2):156-66. doi: 10.1016/j.taap.2005.07.021, PMID 16169030.
Banerjee BD. Effects of sub-chronic DDT exposure on humoral and cell-mediated immune responses in albino rats. Bull Environ Contam Toxicol. 1987 Nov;39(5):827-34. doi: 10.1007/BF01855862, PMID 3690008.
Acker CI, Souza AC, Dos Santos MP, Mazzanti CM, Nogueira CW. Diphenyl diselenide attenuates hepatic and hematologic toxicity induced by chlorpyrifos acute exposure in rats. Environ Sci Pollut Res Int. 2012 Sep;19(8):3481-90. doi: 10.1007/s11356-012-0882-4, PMID 22477165.
Diaz JH. Chemical and plant-based insect repellents: efficacy, safety, and toxicity. Wilderness Environ Med. 2016 Mar 1;27(1):153-63. doi: 10.1016/j.wem.2015.11.007, PMID 26827259.
El-bendary H. Histopathological changes associated with exposure of male mice to profenofos and chlorpyrifos. Annu Res Rev Biol. 2014;4(5):766-77. doi: 10.9734/ARRB/2014/4924.
Gosselin RE, Smith RP, Hodge HC, Braddock JE. Clinical toxicology of commercial products. Baltimore: Williams & Wilkins; 1984 Sep.
Brahmkshatriya HR, Shah KA, Ananthkumar GB, Brahmkshatriya MH. Clinical evaluation of Cissus quadrangularis as osteogenic agent in maxillofacial fracture: a pilot study. Ayu. 2015 Apr;36(2):169-73. doi: 10.4103/0974-8520.175542, PMID 27011718.
Heudorf U, Angerer J. Metabolites of pyrethroid insecticides in urine specimens: current exposure in an urban population in Germany. Environ Health Perspect. 2001 Mar;109(3):213-7. doi: 10.1289/ehp.01109213, PMID 11333180.
Inayat Q, Ilahi M, Khan J. A morphometric and histological study of the kidney of mice after dermal application of cypermethrin. J Pak Med Assoc. 2007 Dec 1;57(12):587-91, PMID 18173040.
Kingsley IA, Sunday IP, Blessing AA. Histological assessment of the effects of pyrethroids insecticide morteinon the lungs of adult wistar rats. IOSR JDMS. 2015;14:77-80.
Bancroft JD, Gamble M, editors. Theory and practice of histological techniques. Elsevier Health Sciences; 2008.
Shah MK, Khan A, Rizvi F, Siddique M. Effect of cypermethrin on clinico-haematological parameters in rabbits. Pak Vet J. 2007;27(4):171-5.
Kerkvliet NI, Burleson GR. Immunotoxicity of TCDD and related halogenated aromatic hydrocarbons. Immunotoxicol Immunopharmacol. 1994;2:97-121:ID2195553.
Luty S, Latuszynska J, Obuchowska Przebirowska D, Tokarska M, Haratym Maj A. Subacute toxicity of orally applied alpha-cypermethrin in swiss mice. Ann Agric Environ Med. 2000;7(1):33-41. PMID 10865243.
Elhalwagy MEA, Darwish NS, Zaher EM. Prophylactic effect of green tea polyphenols against liver and kidney injury induced by fenitrothion insecticide. Pestic Biochem Physiol. 2008 Jun 1;91(2):81-9. doi: 10.1016/j.pestbp.2008.01.006.
Rahman MF, Siddiqui MK. Hematological and clinical chemistry changes induced by subchronic dosing of a novel phosphorothionate (RPR-V) in Wistar male and female rats. Drug Chem Toxicol. 2006 Jan 1;29(1):95-110. doi: 10.1080/01480540500408697, PMID 16455593.
Williams GT. Apoptosis in the immune system. J Pathol. 1994;173(1):1-4. doi: 10.1002/path.1711730102, PMID 7931833.
Mirfazaelian A, Kim KB, Anand SS, Kim HJ, Tornero Velez R, Bruckner JV. Development of a physiologically based pharmacokinetic model for deltamethrin in the adult male sprague-dawley rat. Toxicol Sci. 2006 Oct 1;93(2):432-42. doi: 10.1093/toxsci/kfl056, PMID 16831841.
Pereira SP, Langley PG, Williams R. The management of abnormalities of hemostasis in acute liver failure. Semin Liver Dis. 1996;16(4):403-14. doi: 10.1055/s-2007-1007253, PMID 9027953.
Prater MR, Gogal Jr RM, Blaylock BL, Longstreth J, Holladay SD. Single-dose topical exposure to the pyrethroid insecticide, permethrin in C57BL/6N mice: effects on thymus and spleen. Food Chem Toxicol. 2002 Dec 1;40(12):1863-73. doi: 10.1016/S0278-6915(02)00163-1, PMID 12419701.
Mebius RE, Kraal G. Structure and function of the spleen. Nat Rev Immunol. 2005 Aug 1;5(8):606-16. doi: 10.1038/nri1669, PMID 16056254.
Gonzalez Casas R, Jones EA, Moreno Otero R. Spectrum of anemia associated with chronic liver disease. World J Gastroenterol. 2009 Oct 10;15(37):4653-8. doi: 10.3748/wjg.15.4653, PMID 19787828.
Elmore SA. Enhanced histopathology of the spleen. Toxicol Pathol. 2006 Aug;34(5):648-55. doi: 10.1080/01926230600865523, PMID 17067950.
Aroonvilairat S, Tangjarukij C, Sornprachum T, Chaisuriya P, Siwadune T, Ratanabanangkoon K. Effects of topical exposure to a mixture of chlorpyrifos, cypermethrin and captan on the hematological and immunological systems in male Wistar rats. Environ Toxicol Pharmacol. 2018 Apr 1;59:53-60. doi: 10.1016/j.etap.2018.02.010, PMID 29529450.
Ambali SF, Ayo JO, Esievo KA, Ojo SA. Hemotoxicity induced by chronic chlorpyrifos exposure in Wistar rats: mitigating effect of vitamin C. Vet Med Int. 2011 Apr 27;2011:945439. doi: 10.4061/2011/945439, PMID 21647348.
Giri S, Giri A, Sharma GD, Prasad SB. Mutagenic effects of carbosulfan, a carbamate pesticide. Mutat Res. 2002 Aug 26;519(1-2):75-82. doi: 10.1016/S1383-5718(02)00114-6, PMID 12160893.
Sangha GK, Kaur K, Khera KS, Singh B. Toxicological effects of cypermethrin on female albino rats. Toxicol Int. 2011 Jan;18(1):5-8. doi: 10.4103/0971-6580.75844, PMID 21430912.
Schettgen T, Heudorf U, Drexler H, Angerer J. Pyrethroid exposure of the general population-is this due to diet. Toxicol Lett. 2002 Aug 5;134(1-3):141-5. doi: 10.1016/S0378-4274(02)00183-2, PMID 12191872.
Smith PA, Thompson MJ, Edwards JW. Estimating occupational exposure to the pyrethroid termiticide bifenthrin by measuring metabolites in urine. J Chromatogr B Analyt Technol Biomed Life Sci. 2002 Oct 5;778(1-2):113-20. doi: 10.1016/S0378-4347(01)00440-6, PMID 12376119.
Aswar UM, Mohan V, Bodhankar SL. Antiosteoporotic activity of phytoestrogen-rich fraction separated from ethanol extract of aerial parts of Cissus quadrangularis in ovariectomized rats. Indian J Pharmacol. 2012 May;44(3):345-50. doi: 10.4103/0253-7613.96310, PMID 22701244.
Savithri Y, Sekhar PR, Doss PJ. Changes in hematological profiles of albino rats under chlorpyrifos toxicity. Int J Pharm Biol Sci. 2010;1(3):19.
Zhang ZW, Sun JX, Chen SY, Wu YQ, He FS. Levels of exposure and biological monitoring of pyrethroids in spraymen. Br J Ind Med. 1991 Feb 1;48(2):82-6. doi: 10.1136/oem.48.2.82, PMID 1998612.
Iteire KA, Igbigbi PS, Oyibororho O. Toxicological effects of pyrethroids insecticide on the spleen and bone marrow of adult Albino rats. Nig J Bas App Sci. 2017;25(2):143-50. doi: 10.4314/njbas.v25i2.15.
Banerjee BD, Hussain QZ. Effects of endosulfan on humoral and cell-mediated immune responses in rats. Bull Environ Contam Toxicol. 1987 Mar 1;38(3):435-41. doi: 10.1007/BF01606611, PMID 3814868.