
Department of Pathology, Pt. B. D. Sharma PGIMS, Rohtak, Haryana, India
*Corresponding author: Anjali Sindhu; *Email: sindhuanjali.01@gmail.com
Received: 31 Jul 2023, Revised and Accepted: 06 Nov 2023
ABSTRAC
Mesenchymal neoplasms are sporadic in the larynx accounting for about 1% of all laryngeal malignancies. Leiomyosarcoma is a high-grade tumor of smooth muscle fibres which is very rarely seen in the larynx. The present case report aims to discuss a rare case of laryngeal leiomyosarcoma with special emphasis on immunohistochemical techniques in arriving at the diagnosis.
Keywords: Laryngeal, Leiomyosarcoma, Immunohistochemistry
© 2023 The Authors. Published by Innovare Academic Sciences Pvt Ltd. This is an open access article under the CC BY license (https://creativecommons.org/licenses/by/4.0/)
DOI: https://dx.doi.org/10.22159/ijpps.2023v15i12.48996. Journal homepage: https://innovareacademics.in/journals/index.php/ijpps
Leiomyosarcoma accounts for 5-6% of all soft tissue sarcomas and most of these tumors (approximately 85%) are located in the extremities [1]. The incidence of head and neck leiomyosarcoma has been reported to be about 3%with maximum cases in the oral cavity, superficial soft tissues of the scalp, paranasal sinuses, and jaws [2]. Other sites include the tongue, trachea, hypopharynx, and cervical esophagus. It is very rarely seen in the larynx. This case report highlights the importance of immunohistochemistry in diagnosing leiomyosarcoma at rare locations like larynx.
Case presentation
A seventy-two-year-old male patient presented to the ENT department with complaints of difficulty in swallowing. There was no associated stridor or difficulty in breathing. The patient was a smoker for 55 y.
On clinical examination, a growth was seen in the left vallecula. The posterior pharyngeal wall was intact and vocal cords were mobile.
CECT Neck revealed an ill-defined heterogeneously enhancing soft tissue mass involving the left pyriform sinus, bilateral aryepiglottic folds, left false vocal cord, and lateral wall of the hypopharynx. The lesion caused sclerosis and focal destruction of the left lamina of the thyroid cartilage and left aryepiglottic cartilage. It also caused marked narrowing of the supraglottis. Nasopharynx and oropharynx were found normal.
Biopsy was taken from growth and sent for histopathological examination.
Gross
Multiple grey-white to grey-brown soft tissue pieces measuring together 1.5 X 0.8 cm were received.
Microscopic findings
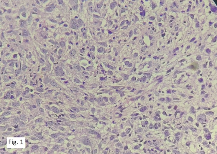
Microsections examined show oval to spindle-shaped malignant cells having pleomorphic nuclei with prominent nucleoli and a moderate amount of eosinophilic cytoplasm. Mitotic fig. and mixed inflammatory infiltrates were also seen.
On immunohistochemical staining
Tumour cells were positive for Vimentin and Smooth muscle actin (SMA) with Ki67~ 70%. CK, LCA and S100 were found negative.

Fig. 1: H and E stained microsection revealing oval to spindle shaped pleomorphic tumour cells (400X)

Fig. 2a: On Immunohistochemical staining (IHC), tumor cells were negative for CK(400X)

Fig. 2b: On Immunohistochemical staining (IHC), tumor cells revealing strong positivity for vimentin (400X)

Fig. 2c: On immunohistochemical staining (IHC), tumor cells were positive for SMA (400X)

Fig. 2d: Immunohistochemical staining (IHC) for Ki67-showing 70% positivity in tumor cells (400X)
Impression
Histomorphological and immunohistochemical features were suggestive of malignant mesenchymal tumor with the closest resemblance to leiomyosarcoma.
Laryngeal malignancies comprise approximately 1-5% of all malignancies with majority being squamous cell carcinomas [3]. Mesenchymal neoplasms are very rare in larynx accounting for about 1% of all laryngeal malignancies [4]. Leiomyosarcoma is a high grade tumour of smooth muscle fibres which is very rarely seen in larynx. Incidence of laryngeal leiomyosarcoma in different subsites of larynx were described by Marioni et al. with glottis (48%) being the most common site followed by supraglottis and subglottis [5]. Etiology of leiomyosarcoma is unclear. However, various predisposing factors include radiation exposure, tuberous sclerosis, neurofibromatosis, Gardner’s syndrome, multiple basal cell carcinoma syndrome, retinoblastoma, Werner’s syndrome or Turcot’s syndrome [6]. It is most commonly seen in adults and elderly age group. In immunosuppressed patients, it is often associated with Ebstein-Barr virus [7].
Clinically, it is difficult to distinguish leiomyosarcoma from laryngeal carcinoma as both can produce similar symptoms like hoarsness of voice and respiratory distress due to obstruction caused by laryngeal mass [4]. Radiological investigations like CT and MRI are helpful as they indicate the size of primary lesion, its extent and lymph node involvement.
Microscopically, leiomyosarcoma is characterised by interlacing bundles and fascicles of elongated spindle cells with elongated cigar-shaped nuclei, prominent nucleoli and abundant eosinophilic cytoplasm. Large pleomorphic cells with irregular vesicular nuclei and multiple nucleoli can also be seen, with a high mitotic rate and atypical mitotic figures. On immunohistochemical staining, leiomyosarcoma is positive for Vimentin, smooth-muscle actin and negative for cytokeratin, epithelial membrane antigen (EMA), S-100 protein and desmin [8].
Differential diagnosis include inflammatory myofibroblastic tumour, malignant melanoma and various spindle cell tumors like leiomyoma, fibrosarcoma, schwannoma and spindle cell carcinomas. Inflammatory myofibrobastic tumour lacks nuclear pleomorphism, has no mitotic activity and comprises of significant number of inflammatory cells in stroma. Features like high mitotic rate and moderate to high cellular atypia help to differentiate leiomyosarcoma from leiomyoma. Immunohistochemical analysis is necessary to differentiate leiomyosarcoma from other spindle cell tumors such as spindle cell carcinoma, schwannoma and fibrosarcoma [2].
The actual prevalence of leiomyosarcoma may have been underestimated and inadequately evaluated in the absence of immunohistology [9].
Various treatment options of laryngeal leiomyosarcoma include wide local excision, total or partial laryngectomy, radiotherapy and chemotherapy depending upon extent of tumour involvement.
Laryngeal leiomyosarcoma is a rare tumour posing a diagnostic difficulty. However, the use of immunohistochemistry techniques aids in differentiating it from other spindle cell neoplasms. Hence, immunohistochemistry should be routinely used in such cases for early diagnosis and management.
Nil
Dr. Monika Gupta and Dr. Sunita Singh made the diagnosis of the present case and made the basic framework of the case report while Dr. Anjali Sindhu, Dr. Preeti Punia and Dr. Anjali contributed in writing the manuscript and taking photomicrographs.
Declared none
Kainuma K, Kikukawa M, Itoh T, Osawa M, Watanabe M. Leiomyosarcoma of the larynx: emergency tracheostomy. J Laryngol Otol. 2001;115(7):570-2. doi: 10.1258/0022215011908252, PMID 11485592.
Abbas A, Ikram M, Yaqoob N. Leiomyosarcoma of the larynx: a case report. Ear Nose Throat J. 2005;84(7):435-6. doi: 10.1177/014556130508400715, PMID 16813034.
Khadivi E, Taziky MH, Jafarian AH, Nasseri Sadr M. Laryngeal leiomyosarcoma, a case report and review of articles. Iran J Otorhinolaryngol. 2013;25(73):253-8, PMID 24303449.
Watanabe A, Kawabori S, Yoshizaki T, Taniguchi M. A case of hypopharyngeal leiomyosarcoma. Otorhinolaryngol Nova. 2001;11(3-4):210-3. doi: 10.1159/000063003.
Marioni G, Bertino G, Mariuzzi L, Bergamin Bracale AM, Lombardo M, Beltrami CA. Laryngeal leiomyosarcoma. J Laryngol Otol. 2000;114(5):398-401. doi: 10.1258/0022215001905698, PMID 10912277.
Darouassi Y, Bouaity B, Zalagh M, Rimani M, Abrouq A, Azendour B. Laryngeal leiomyosarcoma. B-ENT. 2005;1(3):145-9, PMID 16255499.
Lee ES, Locker J, Nalesnik M, Reyes J, Jaffe R, Alashari M. The association of Epstein-Barr virus with smooth-muscle tumors occurring after organ transplantation. N Engl J Med. 1995;332(1):19-25. doi: 10.1056/NEJM199501053320104, PMID 7990861.
Granich MS, Pilch BZ, Nadol JB, Dickersin GR. Fetal rhabdomyoma of the larynx. Arch Otolaryngol. 1983;109(12):821-6. doi: 10.1001/archotol.1983.00800260043011, PMID 6639457.
McKiernan DC, Watters GW. Smooth muscle tumours of the larynx. J Laryngol Otol. 1995;109(1):77-9. doi: 10.1017/s0022215100129317, PMID 7876748.