
1Department of Botany, Government P. G. College Guna-473001, M. P., India. 2,3School of Studies in Botany, Jiwaji University, Gwalior-474011, M. P., India
*Corresponding author: Archana Tiwari; *Email: archanaashish19@gmail.com
Received: 02 Oct 2023, Revised and Accepted: 30 Oct 2023
ABSTRAC
Objective: The objective of this work is to elucidate the wound healing capabilities of various extracts derived from the bark of Acacia catechu, and to explore their potential therapeutic effects. Furthermore, the examination of several seasons has been conducted to assess their influence on the examined parameters.
Methods: In this study, albino mice were used to assess acute dermal toxicity, excision wound healing, and histological changes. The wounds were monitored, and the area of the wound was measured at the 0th, 4th, 8th, 12th, 16th, and 21st days as compared to the control animals.
Results: The test extracts showed considerable protection and wound healing capabilities in acute dermal toxicity, excision wound, and histopathological studies. Among the tested extracts, the ethanolic extract showed the highest wound healing (46.68%, p<0.001), followed by the methanolic (38.50%, p<0.001), acetone (33.87%, p<0.05), aqueous (32.04%, p<0.001), chloroform (29.83%, p<0.05), and benzene extracts (28.60%, p<0.05) at the 21st d of wound healing. However, the samples gathered throughout the winter, summer, and rainy seasons did not show a statistically significant difference (p>0.05) in the present research work.
Conclusion: This study helps to provide preliminary data on the concentration range of different extracts collected in different seasons. It is anticipated that this evaluation represents significant protective potential of indigenous flora for medicinal applications.
Keywords: Acacia catechu, Wound healing, Bark extract, Acute dermal toxicity, Bioactive compounds, Catechin
© 2023 The Authors. Published by Innovare Academic Sciences Pvt Ltd. This is an open access article under the CC BY license (https://creativecommons.org/licenses/by/4.0/)
DOI: https://dx.doi.org/10.22159/ijpps.2023v15i12.49539. Journal homepage: https://innovareacademics.in/journals/index.php/ijpps
For long, plants have been acknowledged for their vast array of chemical compounds, which fulfill a diverse range of functions, such as safeguarding against pathogenic microbes, health supplements, growth regulators, antioxidants, wound healers and protection against many illnesses [1, 2]. Sufficient evidence exists to substantiate the health benefits associated with many components of plant parts, including roots, stems, leaves, bark, fruits, etc [3–5]. Due to the enormous known adverse effects of allopathic medicines, especially after the COVID pandemic, people have turned towards chemical-free, plant-based therapy [6]. In addition to the comparatively high cost of modern medications, traditional herbal treatments provide an inexpensive and natural alternative [2, 7].
Since Vedic era, India has a substantial body of knowledge pertaining to plant-based medicines, which may be effectively used in both preventive and therapeutic medical approaches [8, 9]. With special reference to, the ethnobotanical study carried out in the Gwalior and Chambal divisions, a diverse array of medicinal plants and indigenous populations have been documented [10, 11]. The tribal groups situated in the Guna district [12] of Gwalior division have been seen to harbor a considerable diversity of plant species, as shown by some researchers [8, 10-12].
The genus Acacia has a broad distribution across India, with a notable presence in the state of Madhya Pradesh [13]. This state has a diverse range of plant species that have not been well-researched in terms of their potential therapeutic characteristics [12, 14]. Catechu, a bioactive compound, is derived from many species of Acacia, primarily from Acacia catechu bark [15, 16] has been used as a dietary supplement in several culinary applications, including tannins, natural pigments, astringents, Katha, antioxidants, and many more [17]. Several previous studies on Acacia catechu bark extract have shown a relationship between the amount and quality of secondary metabolites and the medicinal properties of plants [18, 19].
The species name Acacia catechu was given because it has a significant amount of catechins, catechols, and catecholamines, which are primary bioactive components of the plant [20]. The presence of various compounds such as catechin, kaempferol, quercetin, ascorbic acid, riboflavin, thiamine, niacin, catechu tannic acid, catechuic acid, catechu red, acacatechin, quercitrin, fisetin, tannins, phlebotannin, cyanodol, polyphenols, and carotenoids, which belong to the class of anti-oxidants, has been reported in the bark of Acacia catechu [21]. This is primarily attributed to its inherent capacity to yield valuable medicinal components, as well as its potential in the creation of food products with beneficial characteristics [22]. The Acacia catechu shrub has been traditionally used for the treatment of several medical conditions, such as asthma, bronchitis, cancer, chest pain, diarrhoea, mouth sores, sore throats, ulceration, vitiligo, and wound healing. Additionally, this shrub has shown antifungal, antiviral, spasmolytic, and hypoglycemic properties [23, 24].
Wounds are disruptions in cellular or histological structures, resulting in compromised integrity and functionality [25]. Till now, along with several plant-based compounds, some Acacia species have been studied for their wound-healing potential [26, 27]. Additionally, the wound-healing efficacy of Acacia catechu bark from Uttar Pradesh, Bihar, Rajasthan, Gujarat states has been validated by some previous experimentation on animal models [28, 29]. With reference to the Guna district of Madhya Pradesh, a wide range of Acacia catechu plants have been reported but scientific studies are meager. Though, along with Acacia catechu, some other regional plants known to be used by local people for medicinal purpose [30]. But again, scientific study and documentation is negligible.
Though native plants can serve as sources of herbal remedies and health enhancers, as well as possible alternatives to allopathic medications, it is imperative that scientific research be conducted to validate these claims. In the present investigation, the potential wound-healing capabilities of Acacia catechu bark using solvents of different polarity has been studied [12]. Usually, various seasons like summer, winter and rain also affect the chemical composition and thus medicinal potential of plant sample, hence, comparative study of seasonally collected samples using same solvent systems were also tested.
This study possibly provides extraction solvent-based wound healing potential of Acacia catechu bark of the research area. To the best of our knowledge and based on the available data, this research is the first investigation that presents a comparative examination of the protective effects of different bark extract across different seasons. In contrast to the presently available chemotherapeutic drugs that are prohibitively expensive and carry their own set of adverse effects, the findings of this study might facilitate the creation of cost-effective pharmaceuticals for healthy skin [6, 28-30]. Similarly, this discovery represents a valuable contribution to the pursuit of sustainable development and perhaps signifies a transition in therapeutic approaches from synthetic chemicals to locally available herbal-based medicines.
Chemicals
Xylene, hematoxylin-eosin dye, Gallic Acid, Quercetin dihydrate, L-Ascorbic Acid, Catechin, Dimethyl sulfoxide (DMSO), were purchased from Sigma-Aldrich, St. Louis, MO, USA; while, Phosphoric acid, Toluene, Ethyl acetate, n-Hexane, Ethyl Ether, Ethanol, benzene, methanol, sulphuric acid, sodium bisulphate monohydrate, were supplied by Hi Media Laboratories Ltd., Mumbai, India.
Animals
Healthy in-bred Swiss albino mice (2-2.5 mo old; 28±2 g) were housed in polypropylene cages under constant temperature (27±2 °C); humidity (50±5%) and photo-schedule (14 h light and 10 h dark). They were provided with commercial rodent feed (Golden Feeds, New Delhi, India) ad libitum and had free access to sterilized drinking water. Standard ethical guidelines of Committee for the Purpose of Control and Supervision of Experiments on Animals (CPCSEA), Ministry of Social Justice and Empowerment, Government of India were followed (institutional ethical committee Reg. No.-1546/PO/E/S/11/CPCSEA). Handling and maintenance of experimental animals were done in the animal house of ADINA, institute of Pharmaceutical Sciences, Sagar, Affiliated to Rajiv Gandhi Proudyogiki Vishwavidyalaya (RGPV) Bhopal, Madhya Pradesh, India.
Collection and processing of bark samples
The bark of Acacia catechu trees (specimen deposited in the herbarium of Jiwaji University Gwalior, MP, with voucher number AC-101A-101O/SOB2016 and AC-102A-102O/SOB2017) was obtained from the trees located in Biloniya hamlet, Guna (MP), within a one-kilometer radius. Random selection was used to choose Acacia catechu trees within the designated region. In order to ensure uniformity, bark samples were collected from all plant specimens at a standardized height known as "Diameter at Breast Height" (DBH), which is measured at 1.3 meters above the ground. Samples were collected from five plants throughout each season, including winter (January), summer (May), and rainy season (September), over a duration of two consecutive years, namely 2016 (considered as group 1-3 for above mentioned seasons, respectively) and 2017 (considered as group 4-6 for above mentioned seasons, respectively). The bark samples that were obtained were subjected to a series of procedures, including drying, pulverizing, weighing, and subsequent storage in a controlled and sterile environment, as described earlier [31]. Multiple test extracts were prepared using different solvents i.e., aqueous, methanolic, ethanolic, acetone, benzene, and chloroform; following methods used by others [23, 31]. For an experiment, samples were dissolved in double distilled water.
Acute toxicity study of extract
Acute toxicity study was carried out to find out the adverse effects of sample extracts on skin, if any. Healthy young adult mice of either sex were acclimatized to the laboratory conditions for about 2 w. Skin preparation was done following OECD (The Organization for Economic Cooperation and Development) guidelines 402 and 410. For this, general anesthesia (mixture of 50 mg/kg ketamine and 5 mg/kg xylazine) was injected intramuscularly. Then the dorsal thoracic area of the animals was shaved using razor blade. After 24 h of shaving, animals were divided into control groups (distilled water) and treated groups (applied different concentrations of extracts range 100-2000 mg/kg body weight on shaved skin area. Extract doses were applied only once at day 1st of the study. Then, the animals were kept under keen observation for next 24 hour. The same were further monitored for next 14 d for any side effect or behaviour change (salivation, itching, infection, allergic reaction, convulsions, diarrhea, swelling, lethargy, sleep and coma etc) as earlier done by some researchers [32, 33].
Wound healing activity study
For this test, an excision wound model were used. For each sample extract, albino mice of either sex were divided into five groups as control group, standard treated group (ointment), sample extract treated group dose 1-3. Excision wound of circular area of 10 mm diameter and 2 mm depth was made on the shaved back of anesthetized (as mention above) animals. The wounding day was taken as 0th day. From next day (day 1st) wounds were treated with topical application of distilled water (group 1st) or standard/ointment (group 2nd) or sample extracts (group 3rd-5th) routinely for next 21 d [34, 35]. The wounds were monitored and the area of the wound was measured at 0th, 4th, 8th, 12th, 16th and 21st day (at 1:00 pm); and the mean wound area with the wound contraction percentage were noted down using following formula. Epithelialization period was also noted for each group.

Where n = Number of days
Histopathological studies
For the histopathological study, the section from 0th, 4th, 8th, 12th, 16th and 21st day old regenerated wound tissues were collected using standardized protocol and OECD guidelines. The obtained tissue samples were first washed using normal saline solution and then fixed in 10% neutral formalin solution for next 24 h. After that, the tissues were dehydrated with 90% ethanol-xylene solution. Following this, tissue sections were in filtered and embedded with paraffin (40-60 °C). Microtome sections were taken at 7 µm thickness and were stained with hematoxylin-eosin dye. The histological features of the tissue slides were observed under light microscope at ×40, ×100 magnification. Digital photomicrographs were captured by digital camera [36, 37].
Statistical analysis
Data are expressed as mean±SE. Statistical analysis was done considering one–way analysis of variance (ANOVA) followed by unpaired student’s t-test using a trial version of prism 9 software for windows (Graph Pad Software, Inc., La Jolla, CA, USA) and a p-value of 5% and less were considered as significant.
Acute toxicity study of extract
In acute toxicity study, no negative sign on animal health have been observed. From day 1 to day 14, all experimental animals were remaining alive and exhibited no noteworthy alterations or impairments in their behaviour, skin condition, fur quality, respiratory patterns, body postures, food consumption, and water intake. No sign of skin infection, itching, swelling etc., were reported in any of the drug-treated group, till next 14 d of observation, up to dosages of 2000 mg/kg in mice.
Table 1: Behavioral patterns of experimental animals of acute toxicity study.
| S. No. | Behavioral patterns | Groups of experimental animals (n=5) | ||
| Control group | Test drug group 1-6 (All extracts) | Standard drug GA/QUC/CAT | ||
| 1. | Mortality rate (%) | 0% | 0% | 0% |
| 2. | Skin and fur | No change | No change | No change |
| 3. | Salivation | No Salivation | No Salivation | No Salivation |
| 4. | Itching | No Itching | No Itching | No Itching |
| 5. | Infection | No Infection | No Infection | No Infection |
| 6. | Allergic reaction | No Allergic reaction | No Allergic reaction | No Allergic reaction |
| 7. | Convulsions | No Convulsions | No Convulsions | No Convulsions |
| 8. | Diarrhea | No Diarrhea | No Diarrhea | No Diarrhea |
| 9. | Swelling | No Swelling | No Swelling | No Swelling |
| 10. | Lethargy | No | No | No |
| 11. | Sleep | No change | No change | No change |
| 12. | Coma | No | No | No |
| 13. | Respiratory patterns | No change | No change | No change |
| 14. | Food consumption | No change | No change | No change |
| 15. | Water intake | No change | No change | No change |
Comparison of acute dermal toxicity (up to application of 2000 mg/kg body weight drug concentration) of season-wise groups of test samples. Where control animals were treated with distilled water, G1 (Group-1 samples), G2 (Group-2 samples), G3 (Group-3 samples), G4 (Group-4 samples), G5 (Group-5 samples), G6 (Group-6 samples), GA (standard gallic acid), QUC (standard quercetin), CAT (catechin).
Wound healing activity study
As compared to control animals, significant decreased areas of wound were measured in animals treated with standard ointment (p<0.001) in all experiments. In this assay, all extracts were reported to exhibit significant wound healing potential after treatment of 21 d and at least (p<0.05) results have been recorded for all extracts. As compared to all tested extracts, methanolic and ethanolic extracts have been measured for much better wound healing potential (p<0.05 or more). For example, at 4th, 8th, 12th, 16th and 21st d, the methanolic extracts of group1 samples were reported to exhibit 12.05%, 14.39%, 18.39%, 25.75% and 33.28% wound contraction, respectively (fig. 1). For the same extract, the animals of group-6 showed 13.42%, 18.98%, 30.39%, 35.75% and 38.50% wound contraction than that of the control group, at successive 4th, 8th, 12th, 16th and 21st d of experiment, respectively.
However, the group-6 of ethanolic extracts were reported to show the highest wound healing among other groups of the same extraction system (fig. 2). The values of % wound contraction was measured as 22.18%, 28.31%, 34.86%, 41.77% and 46.68% than that of control group, at successive 4th, 8th, 12th, 16th and 21st d of experiment, respectively. In the same way, aqueous extracts of test samples (fig. 3) were observed to exhibit significant wound healing potential (p<0.05 or more). But, these values were seen to be significantly less (p<0.01) than the wound-healing potency of the standard drug used. The values of % wound contraction was measured as 14.33%, 21.51%, 24.81%, 27.04% and 32.04% than that of control group, at successive 4th, 8th, 12th, 16th and 21st day of experiment, respectively.
The protective efficacy of the acetone extracts was recorded as significantly less (p<0.05) than that of standard drug used (fig. 4). The present data indicated a significant difference among the wound healing higher potential of methanolic extracts (P<0.05) and ethanolic extracts (p<0.05) than that of acetone extracts of the same. In case of acetone extract, the group-3 of test sample plants were reported to show highest wound healing among other groups of the same extraction system. The values of % wound contraction was measured as 14.67%, 22.66%, 25.88%, 28.31% and 33.87%, as compared to the control group, at successive 4th, 8th, 12th, 16th and 21st day of experiment, respectively. However, in contrast to above mentioned extracts, chloroform (fig. 5) and benzene extracts (fig. 6) of test samples were seen to be less effective (p<0.05) against excision wounds (fig. 7-8). In addition to this, a non-significant difference was observed among the plant samples collected over different seasons of both years.

Fig. 1: Comparison of Wound healing efficacy of season-wise groups of test samples at 10 mg/ml drug concentration. Data are expressed in wound area contraction in mm2 (mean±SE of n=5 samples of each group). Significant values ap<0.05; bp<0.01 and cp<0.001 were taken in comparison to that of control at respective days. Where, Control group (treated with distilled water only), standard treated group (ointment), G1 (Group-1 samples), G2 (Group-2 samples), G3 (Group-3 samples), G4 (Group-4 samples), G5 (Group-5 samples), G6 (Group-6 samples)

Fig. 2: Comparison of Wound healing efficacy of season-wise groups of test samples at 10 mg/ml drug concentration. Data are expressed in wound area contraction in mm2 (mean±SE of n=5 samples of each group). Significant values ap<0.05; bp<0.01 and cp<0.001 were taken in comparison to that of control at respective days. Where, Control group (treated with distilled water only), standard treated group (ointment), G1 (Group-1 samples), G2 (Group-2 samples), G3 (Group-3 samples), G4 (Group-4 samples), G5 (Group-5 samples), G6 (Group-6 samples)

Fig. 3: Comparison of Wound healing efficacy of season-wise groups of test samples at 10 mg/ml drug concentration. Data are expressed in wound area contraction in mm2 (mean±SE of n=5 samples of each group). Significant values ap<0.05; bp<0.01 and cp<0.001 were taken in comparison to that of control at respective days. Where, Control group (treated with distilled water only), standard treated group (ointment), G1 (Group-1 samples), G2 (Group-2 samples), G3 (Group-3 samples), G4 (Group-4 samples), G5 (Group-5 samples), G6 (Group-6 samples)

Fig. 4: Comparison of Wound healing efficacy of season-wise groups of test samples at 10 mg/ml drug concentration. Data are expressed in wound area contraction in mm2 (mean±SE of n=5 samples of each group). Significant values ap<0.05; bp<0.01 and cp<0.001 were taken in comparison to that of control at respective days. Where, Control group (treated with distilled water only), standard treated group (ointment), G1 (Group-1 samples), G2 (Group-2 samples), G3 (Group-3 samples), G4 (Group-4 samples), G5 (Group-5 samples), G6 (Group-6 samples)

Fig. 5: Comparison of Wound healing efficacy of season-wise groups of test samples at 10 mg/ml drug concentration. Data are expressed in wound area contraction in mm2 (mean±SE of n=5 samples of each group). Significant values ap<0.05; bp<0.01 and cp<0.001 were taken in comparison to that of control at respective days. Where, Control group (treated with distilled water only), standard treated group (ointment), G1 (Group-1 samples), G2 (Group-2 samples), G3 (Group-3 samples), G4 (Group-4 samples), G5 (Group-5 samples), G6 (Group-6 samples)

Fig. 6: Comparison of Wound healing efficacy of season-wise groups of tests samples at 10 mg/ml drug concentration. Data are expressed in wound area contraction in mm2 (mean±SE of n=5 samples of each group). Significant values ap<0.05; bp<0.01 and cp<0.001 were taken in comparison to that of control at respective days. Where, Control group (treated with distilled water only), standard treated group (ointment), G1 (Group-1 samples), G2 (Group-2 samples), G3 (Group-3 samples), G4 (Group-4 samples), G5 (Group-5 samples), G6 (Group-6 samples)

Fig. 7: Photographic representation of wound healing (wound contraction area) on 1st, 4th, 8th, 12th, 16th, and 21st d of control, ointment (10 mg/ml), methanolic extract (10 mg/ml) and ethanolic extract (10 mg/ml) treated mice treated mice

Fig. 8: Photographic representation of wound contraction area on 1st, 4th, 8th, 12th, 16th, and 21st days of aqueous extract (10 mg/ml), acetone extract (10 mg/ml) chloroform extract (10 mg/ml) and benzene extract (10 mg/ml) treated mice
Histopathological studies
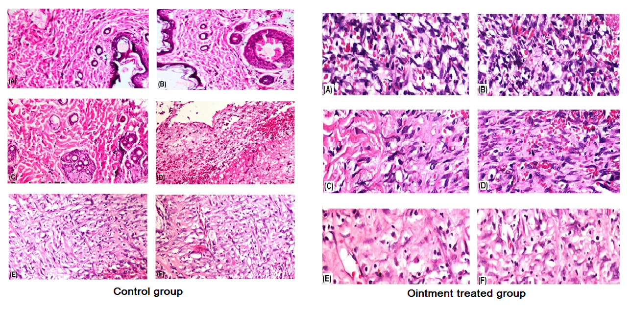
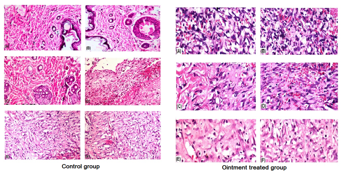
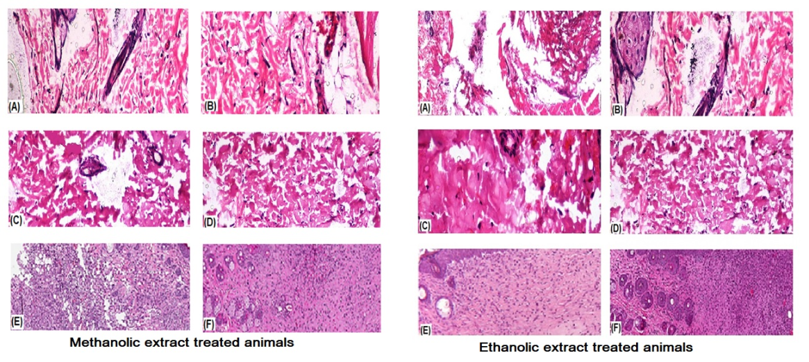
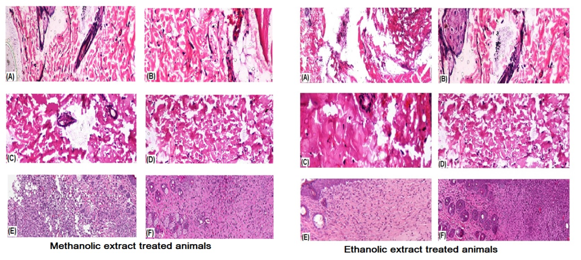
In histopathological examination of excision wounds, test drug-treated animals showed faster healing compared with control group. The histopathological analysis of skin tissue sections on day 0 revealed the absence of an inflammatory response. However, there was observed ulceration of the epidermis, accompanied with minor dermal edema in the wound edges. Additionally, the sections included normally dense, thick collagen fibers that were irregularly organized in various orientations. On the first day, the skin tissue sections exhibited ulceration of the epidermis, accompanied by coagulated necrosis extending across the whole thickness of the dermis and subcutaneous fat layer. The skin tissue sections obtained on day 3 exhibited pronounced necrotic dermatitis characterized by the absence of hair follicles, sweat glands, and sebaceous glands, which was observed to be higher in the control group than in standard and plant-extract treated groups. The subcutaneous fat exhibited pronounced congestion, haemorrhage, and infiltration of inflammatory cells. The histopathological analysis of test drug treated animals exhibited that the wound tissue sections between days 7 and 8 revealed consistent findings of inflammatory responses characterized by the presence of macrophages and lymphocytes, together with concurrent fibroblast growth and neovascularization. After a period of 12 d, the skin wound sections exhibited a greater level of re-epithelialization, with the presence of mature collagen fibers persisting in the central region without any signs of inflammatory responses. The observed maturation of the healing tissue on day 16 was reported for the synthesis of new interstitial collagens fibers, fibronectin filaments, elastin fibers, and greater activity of fibroblast cells etc. On the twenty-first day, the observation of full epithelization and healing was made. The histopathological examination of the wound on day 21 revealed that the test drug and ointment-treated groups exhibited healed skin tissue structures with normal level of epithelization. However, the same was seen to be lesser than standard and test drug-treated groups (ethanolic extract ≥ methanolic>aqueous>acetone>chloroform ≥ benzene extract) (fig. 9-12).


Fig. 9: Histopathology (hematoxylin-eosin staining) of skin of control and Ointment treated mice at Day 1 (A), Day 4 (B), Day 8 (C), Day 12 (D), Day 16 (E) and Day 21 (F), respectively. In control group


Fig. 10: Histopathology (hematoxylin-eosin staining) of skin of Methanolic and Ethanolic extract-treated mice at Day 1 (A), Day 4 (B), Day 8 (C), Day 12 (D), Day 16 (E) and Day 21 (F), respectively. (Non-significant difference was observed between extracts of all three seasons of both 2016 and 2017 y)

Fig. 11: Histopathology (hematoxylin-eosin staining) of skin of Aqueous and acetone extract-treated mice at Day 1 (A), Day 4 (B), Day 8 (C), Day 12 (D), Day 16 (E) and Day 21 (F), respectively. (Non-significant difference was observed between extracts of all three seasons of both 2016 and 2017 y)

Fig. 12: Histopathology (hematoxylin-eosin staining) of skin of chloroform and benzene extract treated mice at Day 1 (A), Day 4 (B), Day 8 (C), Day 12 (D), Day 16 (E) and Day 21 (F), respectively. (Non-significant difference was observed between extracts of all three seasons of both 2016 and 2017 y)
Along with beneficial bio-ingredients, some vegetations have also been reported for the presence of toxic or harmful components [38]. Some of the, recent scientific investigations have reported severe adverse effects and toxicity due to certain plant species [6, 39, 40]. Hence, the preliminary pharmacological investigation is essential as first step of drug development [41]. The present finding can be a strong step towards the potential use of regional plants for therapeutic purpose. The ethanolic and methanolic extract of test samples exhibited no negative skin or systemic responses in both acute dermal toxicity studies and wound healing activity, as was observed to be significantly effective than the untreated groups, suggested its beneficial protective potential, as were earlier reported by other researchers also [20, 42, 43].
All the examined physical, behavioral, and histological parameters revealed that the test plant samples do not exert any sign of a negative health effect on experimental animals. With solvent-specific protective efficacy, the test drugs were found to confirm the therapeutic benefits in terms of reduction in tissue damage caused by wound formation, as also seen earlier by others [44–48]. Some earlier researchers have also observed comparable results, where the topical application of essential oil to rats for a duration of 28 consecutive days did not yield any significant alterations in factors such as feed intake, water consumption, body weight, blood parameters, or the macroscopic and microscopic structures of the specific organs under investigation [49].
Since the occurrence of wounds is a significant challenge to public health, since it contributes to both the prevalence of illness and the number of deaths [27, 49], numerous investigations have been undertaken to assess the capacity of natural products as a reservoir of chemicals or extracts with wound healing attributes [50, 51]. Nevertheless, an essential first step in the evaluation and exploration of new and organic wound care treatments is the assessment of their potential effects through in vitro research. For example, the use of keratinocytes and fibroblast cell lines is deemed appropriate for assessing the wound healing attributes of novel natural and medicinal substances [52]. Our research work has clearly demonstrated the wound-healing efficacy of different extracts with different extents. Like previous reports, methanolic and ethanolic extracts have been reported to exhibit greater wound healing than other tested extracts at same concentration [26, 28, 29, 53-54].
It has already been known that plant extracts containing natural components have the potential to enhance the wound healing process by mitigating the development of scars [55, 56]. Plant-derived bioactive chemicals with antimicrobial, antioxidant, and wound-healing properties have been shown to promote blood coagulation, combat infections, and accelerate the process of wound healing [51]. Hence, the possible wound-healing power of test extracts can be explained on the basis of their anti-oxidative and anti-bacterial activity of the same [57]. The existing body of literature has a multitude of publications discussing natural compounds that possess the capacity to facilitate the process of wound healing [20, 24, 45, 50]. These compounds have shown promise as viable treatments throughout the many stages of wound healing [1, 41].
These substances are supposed to be harmless, particularly when compared to some synthetic compounds. However, more data is required from clinical studies for the same [58]. However, it is evident that chronic wounds showed significantly increased levels of oxidative stress caused by oxidants released by wound cell, neutrophils and the activity of myeloperoxidase enzyme [43, 44, 50]. The excessive generation of oxidative stress subsequently induces cytotoxic effects and delays the process of wound healing [27, 49]. Consequently, the inhibition of oxidative stress might potentially serve as a significant approach in facilitating the healing of chronic wounds [22, 24]. Some earlier reports also emphasized the potential antioxidative potential of test plant samples promoted wound healing either via scavenging free radicals or via inhibiting the generation of more free radicals at wound sites [26, 32, 37, 58]. This might be contributed to the prevention of inflammation and oxidative harm, and further facilitates the promotion of the healing process [25, 30, 46]. Though, the exact mechanism of wound healing has not been studied here, but some earlier investigations might be helpful to provide better understanding of the same [27, 32, 49, 51].
In some studies, the bioactive compounds (i.e., quercetin, catechin, gallic acid, etc.) of the test plant extracts have also been observed to play crucial role in wound healing [37, 49, 59]. For example, research has shown that cultured fibroblasts exhibited typical growth patterns when exposed to quercetin therapy. There was an observed elevation in αV integrin levels and a concurrent reduction in β-1 integrin expression on the cellular membrane [3, 58]. The observed alterations in the expression of surface integrins seem to be playing a role in the facilitation of fibroplasia-associated processes, such as the migration and synthesis of extracellular matrix by fibroblasts [19, 20, 59]. The presence of quercetin and kaempferol in hydroalcoholic extracts of tested plant has been documented for its protective efficacy [44, 52]. The observed biological activities of these flavonoids may also account for the enhanced maturation of granulation tissue and accelerated conversion into the primary fibrous scar [59]. Additionally, these activities may potentially serve as a preventive measure against the development of hypertrophic scars during the healing process [60].
In addition to the above-mentioned pathways, some other pathways of wound healing have also been known. For instance, there has been evidence showcasing the efficacy of secondary metabolites derived from plant extracts in enhancing the process of wound healing [43, 60]. These metabolites have been reported for a variety of functions, such as reducing the presence of inflammatory cells at the site of injury [52], stimulating the formation of new blood vessels (angiogenesis) and the proliferation of fibroblasts, expediting the regeneration of epithelial tissue, or even facilitating a combination of these physiological effects [51]. The healing effects of herbal products are mediated by various pharmacological targets, which are contingent upon the phytochemical composition of the extract. These targets encompass the negative modulation of inflammatory cytokine release, stimulation of antioxidant enzymes to mitigate oxidative stress, and modulation of angiogenesis [47, 52, 62].
Thus, these results represent a significant advancement in the exploration of utilizing indigenous flora for medicinal applications, as they demonstrate the wound-healing efficacy of specific plant extracts based on their solvent properties. Furthermore, the current study has the potential to provide significant insights on the optimal dose or concentration range necessary for the development of safe products. It is anticipated that this evaluation will provide significant findings about the potential of these extracts as protective and wound-healing medicine, though further investigation is needed.
I express my sincere gratitude to Chairman, Institutional Animal Ethics Committee, ADINA Institute of Pharmaceutical Sciences SAGAR (M. P.) for providing me with approval of Institutional Animal Ethical Committee for handling and maintenance of experimental animals.
Nil
I, Mrs. Archana Tiwari, assistant professor, Government P. G. College Guna, District Guna, Madhya Pradesh, India has done the above complete research work under the guidance and supervision of Professor (Dr.) Avinash Tiwari, Vice-chancellor and Professor, School of studies in Botany, Jiwaji University, Gwalior, (M. P.) India, under whom I am pursuing my present research work as Ph. D. candidate. Dr. Sangeeta Sharma, Guest Faculty, School of Studies in Botany, Jiwaji University, Gwalior, (M. P.) helped in statistical analysis, data collection etc.
Declared none
Ramalingam S, Chandrasekar MJN, Nanjan MJ. Plant-based natural products for wound healing: a critical review. Curr Drug Res Rev. 2022;14(1):37-60. doi: 10.2174/2589977513666211005095613, PMID 35549848.
Upadhyay A, Upadhyaya I, Kollanoor-Johny A, Venkitanarayanan K. Combating pathogenic microorganisms using plant-derived antimicrobials: a minireview of the mechanistic basis. BioMed Res Int. 2014;2014:761741. doi: 10.1155/2014/761741, PMID 25298964.
Boukhatem MN, Setzer WN. Aromatic herbs, medicinal plant-derived essential oils, and phytochemical extracts as potential therapies for coronaviruses: future perspectives. Plants (Basel). 2020;9(6):1-23. doi: 10.3390/plants9060800, PMID 32604842.
Seukep AJ, Kuete V, Nahar L, Sarker SD, Guo M. Plant-derived secondary metabolites as the main source of efflux pump inhibitors and methods for identification. J Pharm Anal. 2020;10(4):277-90. doi: 10.1016/j.jpha.2019.11.002, PMID 32923005.
Petrovska BB. Historical review of medicinal plants’ usage. Pharmacogn Rev. 2012;6(11):1-5. doi: 10.4103/0973-7847.95849, PMID 22654398.
Ekor M. The growing use of herbal medicines: issues relating to adverse reactions and challenges in monitoring safety. Front Pharmacol. 2014;4:177. doi: 10.3389/fphar.2013.00177, PMID 24454289.
Prakash S, Radha KM, Kumar M, Kumari N, Thakur M, Rathour S. Plant-based antioxidant extracts and compounds in the management of oral cancer. Antioxidants (Basel). 2021;10(9):1358. doi: 10.3390/antiox10091358, PMID 34572990.
Kumar B, Vijayakumar M, Govindarajan R, Pushpangadan P. Ethnopharmacological approaches to wound healing-exploring medicinal plants of India. J Ethnopharmacol. 2007;114(2):103-13. doi: 10.1016/j.jep.2007.08.010, PMID 17884316.
Vaidya AD, Devasagayam TP. Current status of herbal drugs in India: an overview. J Clin Biochem Nutr. 2007;41(1):1-11. doi: 10.3164/jcbn.2007001, PMID 18392106.
Jaiswal P, Jain B. A review on ethnomedicinal plants of nimar area in Madhya Pradesh. Phyto. 2018;9(7):1017-20. doi: 10.25258/phyto.v9i07.11174.
Ruchita Shrivastava, Ajay Kumar Bharadwaj. Nyctanthes arbortristis an important medicinal plant of Madhya Pradesh State–a review. Pharmaceutical and Biosciences Journal 2018;6(6):10-5. doi: 10.20510/ukjpb/6/i6/179227.
Samar R, Shrivastava PN, Jain M. Ethnobotanical study of traditional medicinal plants used by tribe of Guna District, Madhya Pradesh, India. Int J Curr Microbiol Appl Sci. 2015;4(7):466-71.
Singh R, Jain A, Panwar S, Gupta D, Khare SK. Antimicrobial activity of some natural dyes. Dyes Pigments. 2005;66(2):99-102. doi: 10.1016/j.dyepig.2004.09.005.
Jain AK, Vairale MG, Singh R. Folklore claims on some medicinal plants used by Bheel tribe of Guna district Madhya Pradesh. Ind J Trad Knowl. 2010;9(1):105-7.
Ram DS, Sharma DR, Kotecha PM, Chaudhary DK. Preliminary pharmacognosy evaluation of the bark of Acacia Catechu (Wild.). IRJAY. 2021;4(4):1-9. doi: 10.47223/IRJAY.2021.4420.
Rashid M, Shamsi S, Zaman R, Ilahi A. Kath (Acacia catechu): an overarching envelope of traditional and modern update. Int J Cur Trends Pharm Res. 2015;3(5):1007.
Guleria S, Tiku AK, Singh G, Vyas D, Bhardwaj A. Antioxidant activity and protective effect against plasmid DNA strand scission of leaf, bark, and heartwood extracts from Acacia catechu. J Food Sci. 2011;76(7):C959-64. doi: 10.1111/j.1750-3841.2011.02284.x, PMID 21806606.
Baranitharan M, Alarifi S, Alkahtani S, Ali D, Elumalai K, Pandiyan J. Phytochemical analysis and fabrication of silver nanoparticles using Acacia catechu: an efficacious and ecofriendly control tool against selected polyphagous insect pests. Saudi J Biol Sci. 2021;28(1):148-56. doi: 10.1016/j.sjbs.2020.09.024, PMID 33424291.
Hong SS, Choi Y, Suh HJ, Kang M, Shin J, Kwon OO. Flavonoid constituents of Acacia catechu. J Appl Biol Chem. 2015;58(2):189-94. doi: 10.3839/jabc.2015.030.
Sharma A, Bhushette PR, Annapure US. Physicochemical and rheological properties of acacia Catechu exudate gum. Carbohydrate Polymer Technologies and Applications. 2021;2:100127. doi: 10.1016/j.carpta.2021.100127.
Venugopalan V. Pharmacognostic and chromatographic profiling of khadira (Acacia catechu (linn. F.) willd). Int J Adv Res. 2018;6(8):417-22. doi: 10.21474/IJAR01/7536.
Alam G, Bali S. Preliminary phytochemical and antimicrobial screening of leaves extract of Acacia catechu. J Pharm Res. 2010;3(11):2583-4.
Alambayan J, Vats M, Sardana S, Sehrawat R. Evaluation of antiulcer activity of roots of Acacia catechu Willed. (Mimosoideae). J Pharm Phytochem. 2015;3(5):79-84.
Fan K, Tang J, Escandon J, Kirsner RS. State of the art in topical wound-healing products. Plast Reconstr Surg. 2011;127Suppl 1:44S-59S. doi: 10.1097/PRS.0b013e3181fbe275, PMID 21200273.
Pereira RF, Bartolo PJ. Traditional therapies for skin wound healing. Adv Wound Care (New Rochelle). 2016;5(5):208-29. doi: 10.1089/wound.2013.0506, PMID 27134765.
Boakye YD, Agyare C, Ayande GP, Titiloye N, Asiamah EA, Danquah KO. Assessment of wound-healing properties of medicinal plants: the case of Phyllanthus muellerianus. Front Pharmacol. 2018;9:945. doi: 10.3389/fphar.2018.00945, PMID 30186175.
Firdous SM, Sautya D. Medicinal plants with wound healing potential. Bangladesh J Pharmacol. 2018;13(1):41-52. doi: 10.3329/bjp.v13i1.32646.
Jain M, Shrivastava PN, Samar R. Survey of ethnobotanical medicinal plants used by the people of district Guna, Madhya Pradesh, India. IJLSSR. 2018;4(4):1880-8. doi: 10.21276/ijlssr.2018.4.4.5.
Negi BS, Dave BP. In vitro antimicrobial activity of Acacia catechu and its phytochemical analysis. Indian J Microbiol. 2010;50(4):369-74. doi: 10.1007/s12088-011-0061-1, PMID 22282602.
Koriem KMM, Arbid MS, El-Attar MA. Acute and subacute toxicity of Ammi visnaga on rats. Interdiscip Toxicol. 2019;12(1):26-35. doi: 10.2478/intox-2019-0004, PMID 32189984.
Sari LM, Suyatna FD, Subita GP, Auerkar EI. Acute dermal toxicity study of Areca catechu Linn. extract in Sprague-Dawley rats. Asian J Pharm Clin Res. 2016;9(9):209-11. doi: 10.22159/ajpcr.2016.v9s3.14462.
Singh S, Sharma N. Evaluation of wound healing activity of Acacia Auriculiformis a. Cunn. Stem bark. Asian J Pharm Clin Res. 2014;7(2):204-7.
Devi Bala L, Singh R. Ethnobotanical study of traditional medicinal plants used by Mawasi tribe of Chitrakoot region Distt. Satna (M.P.) India. Int J Recent Sci Res. 2022;13(05B):1139-42.
Monga J, Chauhan CS, Sharma M. Human epithelial carcinoma cytotoxicity and inhibition of DMBA/TPA induced squamous cell carcinoma in BALB/c mice by Acacia catechu heartwood. J Pharm Pharmacol. 2011;63(11):1470-82. doi: 10.1111/j.2042-7158.2011.01354.x, PMID 21988428.
Tripathi S, Dixit P. Comparative evaluation of efficacy of cyanoacrylate and suture material in the management of operative skin wounds. Asian J Pharm Clin Res. 2022;15:59-61. doi: 10.22159/ajpcr.2022.v15i9.45033.
Alqahtani AS, Ullah R, Shahat AA. Bioactive constituents and toxicological evaluation of selected antidiabetic medicinal plants of Saudi Arabia. Evid Based Complement Alternat Med. 2022. doi: 10.1155/2022/7123521, PMID 35082904.
Abat JK, Kumar S, Mohanty A. Ethnomedicinal, phytochemical and ethnopharmacological aspects of four medicinal plants of Malvaceae used in Indian traditional medicines: a review. Medicines. 2017;4(4):75. doi: 10.3390/medicines4040075.
Tsuchiya H. Anesthetic agents of plant origin: a review of phytochemicals with anesthetic activity. Molecules. 2017;22(8):1369. doi: 10.3390/molecules22081369, PMID 28820497.
Sharma P, Lingha R. A recent update on the pharmacogenetic as well as pharmacological profiles of the Acacia catechu heartwood: a mini review J ayurvedic. Herb Med. 2021;7(3):188-92.
Midgley SJ, Turnbull JW. Domestication and use of Australian acacias: case studies of five important species. Aust Systematic Bot. 2003;16(1):89. doi: 10.1071/SB01038.
Johnson W. Final report of the safety assessment of acacia Catechu Gum. Acacia concinna fruit extract, Acacia Dealbata leaf extract, Acacia Dealbata leaf Wax, Acacia Decurrens extract, Acacia Farnesiana extract, Acacia Farnesiana flower wax, Acacia Farnesiana gum, Acacia Senegal extract, Acacia Senegal Gum, and Acacia Senegal Gum Extract. Inter J Toxicol. 2005;24(3):75–118.
Sulaiman C, Gopalakrishnan V, Balachandran I. Chromatographic and spectrophotometric studies in selected Acacia species. J Planar Chromatogr Mod TLC. 2014;27(2):88-92. doi: 10.1556/JPC.27.2014.2.3.
Patil A, Modak M. Comparative evaluation of oxidative stress modulating and DNA protective activities of aqueous and methanolic extracts of Acacia catechu. Medicines (Basel). 2017;4(3):65. doi: 10.3390/medicines4030065, PMID 28930279.
Khan MSS, Syeed SH, Uddin MH, Akter L, Ullah MA, Jahan S. Screening and evaluation of antioxidant, antimicrobial, cytotoxic, thrombolytic and membrane stabilizing properties of the methanolic extract and solvent-solvent partitioning effect of Vitex negundo bark. Asian Pac J Trop Dis. 2013;3(5):393-400. doi: 10.1016/S2222-1808(13)60090-0.
Hossain CM, Gera M, Ali KA. Current status and challenges of herbal drug development and regulatory aspect: a global perspective. Asian J Pharm Clin Res. 2022;15(12):31-41. doi: 10.22159/ajpcr.2022.v15i12.46134.
Khan MSS, Syeed SH, Uddin MH, Akter L, Ullah MA, Jahan S. Histological study of wound healing potential by ethanol leaf extract of Strobilanthes crispus in rats. J Med Plants Res. 2011;5(16):3660-6.
Nguyen NPK, Tran KN, Nguyen LTH, Shin HM, Yang IJ. Effects of essential oils and fragrant compounds on appetite: a systematic review. Int J Mol Sci. 2023;24(9):7962. doi: 10.3390/ijms24097962, PMID 37175666.
Bowler PG, Duerden BI, Armstrong DG. Wound microbiology and associated approaches to wound management. Clin Microbiol Rev. 2001;14(2):244-69. doi: 10.1128/CMR.14.2.244-269.2001, PMID 11292638.
Sunil MA, Sunitha VS, Radhakrishnan EK, Jyothis M. Immunomodulatory activities of Acacia catechu, a traditional thirst quencher of South India. J Ayurveda Integr Med. 2019;10(3):185-91. doi: 10.1016/j.jaim.2017.10.010, PMID 29502869.
Yueh CM, Chi H, Chiu NC, Huang FY, Tsung Ning Huang D, Chang L. Etiology, clinical features, management, and outcomes of skin and soft tissue infections in hospitalized children: a 10 y review. J Microbiol Immunol Infect. 2022;55(4):728-39. doi: 10.1016/j.jmii.2022.01.007, PMID 35283045.
Tzaneva V, Mladenova I, Todorova G, Petkov D. Antibiotic treatment and resistance in chronic wounds of vascular origin. Clujul Med. 2016;89(3):365-70. doi: 10.15386/cjmed-647, PMID 27547055.
Sharma S, Upadhyay RK. Coelenterate toxins, its pharmaceutical and therapeutic effects. Int J Curr Pharm Sci. 2021;13:11-9. doi: 10.22159/ijcpr.2021v13i6.1912.
Greenwell M, Rahman PKSM. Medicinal plants: their use in anticancer treatment. Int J Pharm Sci Res. 2015;6(10):4103-12. doi: 10.13040/IJPSR.0975-8232.6(10).4103-12, PMID 26594645.
Sen IK, Chakraborty I, Mandal AK, Bhanja SK, Patra S, Maity P. A review on antiviral and immunomodulatory polysaccharides from Indian medicinal plants, which may be beneficial to COVID-19 infected patients. Int J Biol Macromol. 2021;181:462-70. doi: 10.1016/j.ijbiomac.2021.03.162, PMID 33794238.
Tiwari A, Tiwari A. Amazing antimicrobial and wound healing potential of acacia catechu bark extracts-a review. Asian J Pharm Clin Res. 2021;4(10):1-7. doi: 10.22159/ajpcr.2021.v14i10.43009.
Saravanan S, Prakash Babu N, Pandikumar P, Karunai Raj M, Gabriel Paulraj M, Ignacimuthu S. Immunomodulatory potential of Enicostema axillare (Lam.) A. Raynal, a traditional medicinal plant. J Ethnopharmacol. 2012;140(2):239-46. doi: 10.1016/j.jep.2012.01.010, PMID 22285523.
Lewis ED, Crowley DC, Guthrie N, Evans M. Role of Acacia catechu and Scutellaria baicalensis in enhancing immune function following influenza vaccination of healthy adults: a randomized, Triple-Blind, Placebo-Controlled Clinical Trial. J Am Nutr Assoc. 2023;42(7):678-90. doi: 10.1080/27697061.2022.2145525, PMID 36413261.
Shedoeva A, Leavesley D, Upton Z, Fan C. Wound healing and the use of medicinal plants. Evid Based Complement Alternat Med. 2019;2019:2684108. doi: 10.1155/2019/2684108, PMID 31662773.
Nandayasa WW, Febriyenti H, Lucida H. Optimization and characterization of quercetin vitamin C nano-phytosome formulation. Int J App Pharm. 2023;15:51-5. doi: 10.22159/ijap.2023.v15s1.47507.