
1,2,4Hygia College of Pharmacy, Faizullahganj, Prabandh Nagar, Ghaila Road, Lucknow-226020, Uttar Pradesh, India. 3Faculty of Pharmacy, Jahangirabad Institute of Technology, Jahangirabad, Barabanki-225203, Uttar Pradesh, India
*Corresponding author: Shadab Alam; Email: shadabx1@gmail.com
Received: 08 Nov 2023, Revised and Accepted: 14 Dec 2023
ABSTRAC
Objective: The goal of this study aimed to evaluate the protective and vascular effect of the polyherbal trikatu in rats on isoproterenol (ISO) triggered myocardial infarction (MI).
Methods: For a total of two days in a row at 24 h breaks (27th and 28th d), a subcutaneous (s.c.) injection of isoproterenol (85 mg/kg body weight) was used to induce myocardial infarction. The rats in Group I behaved as the normal control without pretreatment. Rats in Group II were given isoproterenol. The rats in Group III were selected as the standard, treated with vitamin E (10 mg/kg, p.o.) for 28 d and subjected to isoproterenol (ISO) toxicity. Rats of Group IV and Group V received test sample trikatu 100 mg/kg and 200 mg/kg, respectively for 28 d and were subjected to isoproterenol (ISO) toxicity.
Results: Rats given isoproterenol treatment revealed a considerable elevation of serum enzyme cardiac troponin I (cTnI), aspartate aminotransferase (AST), alanine aminotransferase (ALT), Heart creatinine kinase (CK-MB), Lactase dehydrogenase (LDH). Rats pretreated with trikatu and vitamin E+ISO showed significant different (p<0.001) for AST, ALT, LDH and CK-MB levels elevated by ISO. Histopathological tests showed that trikatu and vitamin E decreased inflammation and edema in the hearts of rats.
Conclusion: The aqueous suspension of trikatu churna was found to be significantly helpful in minimizing the magnitude of myocardial damage and combating oxidative stress.
Keywords: Trikatu churna, Cardioprotective, Isoproterenol, Myocardial infarction, Vitamin E
© 2024 The Authors. Published by Innovare Academic Sciences Pvt Ltd. This is an open access article under the CC BY license (https://creativecommons.org/licenses/by/4.0/)
DOI: https://dx.doi.org/10.22159/ijpps.2024v16i2.49824. Journal homepage: https://innovareacademics.in/journals/index.php/ijpps
The cardiovascular system is made up of the heart and blood vessels that transport blood across the body [1]. Cardiovascular disease (CVD) is the main cause of death worldwide. Myocardial infarction, ischemic heart disease, ischemic injury, damaged arteries, thrombosis, and atherosclerosis are among conditions that can occur [2]. Cardiovascular disease is anticipated to affect around 23 million people over the year [3].
A critical medical illness called myocardial infarction (MI) also referred to as a heart attack and happens when the heart's blood flow is interrupted. The formation of plaque in the heart arteries is typically to blame for this obstruction, which can result in either a full or a partial arterial blockage. This causes the cardiac muscle to lose nutrition and oxygen supply, resulting in the dying of tissues [4]. Myocardial infarction is among the leading triggers of morbidity and mortality globally due to an imbalance across the heart's need for blood that is oxygenated and its capacity to supply it, because of coronary artery obstruction [5]. The heart has a restricted capacity to promote anaerobic metabolism and is unable to adjust the shortage of blood, nutrients, and oxygen during myocardial infarction (MI), resulting in pathological alterations and, finally, cardiac disorder [6]. Atherosclerosis, emboli, vasospasm, thrombosis, reactive oxygen species (ROS), reduced oxygen-carrying capacity, or increased oxygen demand are all factors that contribute to the emergence of MI [7].
Isoproterenol (ISO) is a kind of synthesized catecholamine and agonist of the beta-adrenergic receptor. In rats, subcutaneous (s. c.) administration of Isoproterenol produces irreversible cellular injury and, ultimately myocardial infarction (fig. 1) [8]. The rapid changes in electrocardiogram and hemodynamic data observed in Isoproterenol-induced myocardial infarction in rats are strikingly identical concerning to those observed in patients of myocardial infarction. As a result, the ISO-induced myocardial infarction (MI) rat model provides a promising, non-invasive method of assessing the effects of several potential cardioprotective drugs [9].
A traditional polyherbal mixture called trikatu churna combines three key spices: Zingiber officinale Roscoe (Zingiberaceae), Piper nigrum L. and Piper longum L. (Piperaceae). All of these plants are utilized as spices across the world. During the time between the 7th century B. C. and the 6th century A. D., trikatu was one of the most often utilized medicines in ayurveda formulations for the goal of treating a variety of illness problems [10]. They are also used as significant components in folkloric medicine and Ayurvedic, Siddha, and Unani (ASU) medications. Trikatu churna consumption has several positive health effects due to its extensive array of therapeutic benefits, including those for urinary tract infections, diabetes, obesity, anorexia, elephantiasis, digestive disorders, skin conditions, abdominal distention, and respiratory illnesses. Trikatu also has excellent vasodilatory and immune-potentiating properties [11]. Trikatu has a wide variety of phytochemical substances, including alkaloids, flavonoids, phytosterols, and many others. The main chemical constituents of trikatu are piperine, 6-shogaol, and 6-gingerol [12].
Trikatu is referred to as the heating formula in Ayurvedic medicine. Its thermogenic effect encourages Agni, or digestive fire, which burns dangerous poisons and speeds up metabolism. The bioavailability is improved with trikatu. Piper longum (Pimpli) is renowned for its ability to modulate the immune system and rejuvenate the digestive and respiratory systems. One of the best herbs for revitalizing the entire body is Zingiber officinale (sunth), also known as Vishvabhaishjya, which translates to "the medicine of the world". Piper nigrum (maricha) is claimed to have Pramathi Guna, which means that it completely expels poisons from the body [13].
The objective of the study was evaluate the protective and vascular effect of the polyherbal trikatu in rats on ISO-triggered myocardial infarction (MI).

Fig. 1: Possible mechanism of myocardial infarction (MI) induced by isoproterenol (ISO) (source-created by Adobe photoshop-7 with CorelDRAW-12)
Drugs and chemicals
Sigma Chemical Company, USA, supplies the isoproterenol. All of the other chemicals and reagents utilized were of analytical grade. Trikatu churna was purchased from the local market of Lucknow Uttar Pradesh India. Standard kits were used to test the marker enzymes in serum, purchased from Transasia Bio-Medicals LTD., Nalagarh Road, Baddi, District Solan Himachal Pradesh.
Preparation of trikatu suspension and isoproterenol (ISO) solution
The accurately weighed quantity of trikatu churna was suspended in distilled water and freshly prepared used. The solution of isoproterenol was prepared by dissolving it in distilled water administered subcutaneously.
Experimental animals
Wistar albino rats (150-200 g) were obtained from Central Drug Research Institute, Lucknow, while placed in animal house of Hygia Institute of Pharmaceutical Education and Research, Lucknow. They were kept at 25 °C, 55 % humidity, and a 12 h light/dark cycle. The animals were fed on a normal chow diet. Rats were acclimatized to the conditions before the start of the experiments [14]. The Institutional Animal Ethics Committee approved the experiments (IAEC) (Reg. no. 1088/PO/Re/S/07/CPCSEA).
Induction of myocardial infarction
For a total of two d in a row (27th and 28th days), a subcutaneous (s. c.) injection of isoproterenol (85 mg/kg body weight) was used to induce myocardial infarction (MI) [15].
Grouping and dosing of animal
The rats of either sex were divided at random into five groups of six animals each. The rats in Group I behaved as the normal control without pretreatment. Rats in Group II were given isoproterenol (85 mg/kg body weight, s. c.) twice at an interval of 24 h on the 27th and 28th d. The rats in Group III were selected as the standard, treated with vitamin E (10 mg/kg, p. o.) for 28 d and subjected to isoproterenol (ISO) toxicity. Rats of Group IV and Group V received test sample trikatu 100 mg/kg and 200 mg/kg respectively for 28 d and were subjected to isoproterenol (ISO) toxicity. The experiment was ended after 28 d and all the rats were sacrificed by cervical dislocation following a night of fasting. Biochemical parameters were detected, and a histological examination was also performed.
Collection of blood
Blood is collected by the cardiac puncture technique. This is a terminal procedure that requires anesthesia. After a heart puncture, animals must be terminated immediately. Through the use of this technique, the rat's head was raised and its hind legs were positioned downward. A 3 ml syringe was utilized, and the needle was entered 5 mm from the animal's thorax's center towards its chin, 5-10 mm in depth, while the animal's chest was kept 25 to 30 degrees away from the syringe. Place the animal on its side and, insert the needle at a right angle to the chest wall and collect the blood in collection tubes. After that serum is separated by standing the tube for 15-30 min [16, 17].
Biochemical estimation
Serum was separated by centrifugation for biochemical analysis and cardiac markers such as cardiac troponin I (cTnI), creatine kinase-myoglobin binding (CK-MB), lactate dehydrogenase (LDH), and aspartate aminotransferase (AST) and alanine aminotransferase (ALT) which were determined using the procedure reported by Karmen and MacDonald [18, 19].
Histological estimation
All of the rats were sacrificed via cervical dislocation at the end of the treatment, and their hearts were dissected out. The excised heart was immediately immersed in a conical flask containing an ice-cold formalin solution. The heart tissue was then immersed in a 10% buffered neutral solution of formalin. After clearing with xylene, the material was transferred to an embedding oven for a bath of molten paraffin wax. Leukhard embedding boxes (L molds) were used for the preparation of paraffin square block. Section cutting was done by microtome and stained with hematoxylin and eosin. The slides were photographed and observed under a light microscope [20, 21].
Statistical analysis
The values are presented as mean±SD of 6 rats in every group. Statistical significance was calculated by using one-way ANOVA subsequently that Dunnetts‘t test for multiple comparisons at #p<0.05, ###p<0.001, ***p<0.001, n = 6 [22].
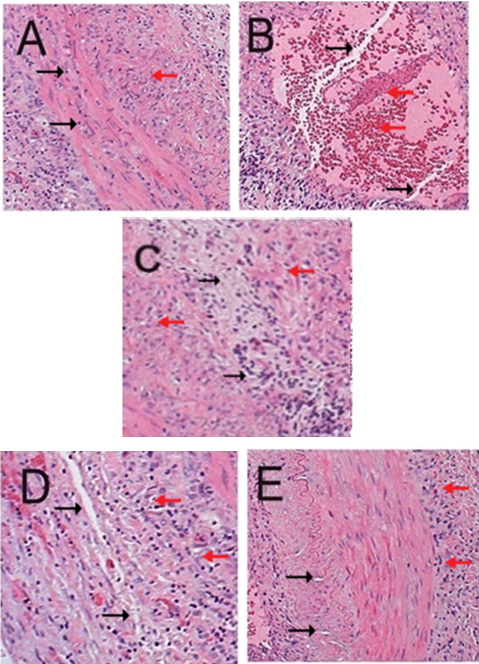
Effect of trikatu on histopathology of heart
Group I (normal) histopathology revealed compact, continuously organized cardiac fibers with maintained homogeneous nuclei count and cytoplasmic cross striation. Group II (ISO treated) exhibited broad division of myocardial fibers because of interstitial edema, influx of inflammatory cells inside myocardial fibers, destruction of cytoplasmic striation of myocytes with shrinking of nuclei, and less nucleolus because of cell death. Rat heart sections from Group III i.e. pretreatment test group (trikatu, 100 mg/kg)+ISO, showed a minimal reduction in edema, inflammatory cell infiltration, and necrosis. The pretreatment test group (trikatu, 200 mg/kg)+ISO and pretreatment standard group (vitamin E, 10 mg/kg)+ISO showed rat heart section produced a maximum decline of edema, inflammatory cell infiltration, and necrosis (fig. 2).

Fig. 2: Effect of trikatu pretreatment on histopathological changes. (A) Heart tissue of a normal control showed cardiomyocytes (Black arrow) with one centrally placed nucleus and uniform cytoplasmic cross striation (Red arrow). (B) The isoproterenol-treated group showed marked interstitial edema between myocardial fibers (Black arrow), some myocytes showed shrinkage and the absence of nuclei (Red arrow). (C) Pretreatment with Vitamin E (10 mg/kg)+ISO showed maximum reduction of edema (Black arrow), loss of cytoplasmic striation of myocytes with shrinkage of nuclei (Red arrow). (D) Pretreatment with trikatu (100 mg/kg)+ISO showed minimum reduction of edema (Black arrow), loss of cytoplasmic striation of myocytes with shrinkage of nuclei (Red arrow). (E) Pretreatment with tirkatu (200 mg/kg)+ISO showed moderate reduction of edema (Black arrow), loss of cytoplasmic striation of myocytes with shrinkage of nuclei (Red arrow)
Effect of trikatu on cardiac marker enzymes
Qualitative estimation of cardiac enzymes like cardiac troponin I (cTnI) was negative in every single rat in the control group. Rats administered with ISO showed positive cTnI. Rats pretreated with trikatu (100 mg/kg) indicated smaller positive cTnI test cases (table 2). Rats pretreated with trikatu (200 mg/kg) and vitamin E (10 mg/kg) significantly lowered positive cTnI test cases. The quantitative estimation of cardiac enzymes like aspartate aminotransferase AST, alanine aminotrasferase ALT, Lactate dehydrogenase LDH and Heart creatinine kinase (CK-MB), were considerably raised (p<0.001) in the ISO treated group in contrast with the normal group. Rat pretreated with trikatu and vitamin E+ISO, significantly decreases AST, ALT, LDH and CK-MB levels (p<0.001) elevated by ISO. However, neither dose could bring them back to normal levels (table 1 and fig. 3).
Table 1: Effect of test and standard drug on serum enzymes levels in isoproterenol (ISO) treated rats
| Group | ALT(IU/l) | AST(IU/l) | CK-MB(IU/l) | LDH(IU/l) |
| Group I (Normal) | 18.54773±0.883564 | 52.85613±7.8684 | 37.34±7.50594 | 51.72617±3.94 |
| Group II (ISO) | 155.8397±3.500728*** | 123.8095±23.2713*** | 256.48±13.53997*** | 427.3024±4.11*** |
| Group III Test (trikatu, 100 mg/kg) | 52.7359±8.649517### | 97.5547±22.886### | 103.27±2.235706### | 122.619±4.29### |
| Group IV Test (trikatu, 200 mg/kg) | 31.32967±0.989116# | 91.83699±16.3411### | 89.86±3.238586### | 221.1116±4.94### |
| Group V Standard (vit E 10 mg/kg) | 22.5473±0.701139### | 87.16947±8.6925### | 82.106±3.632431### | 94.73039±2.46### |
Data were presented as the mean±SEM from 6 animals in each group. ***p<0.001vs control; #p<0.05; ###p<0.001vs ISO. CK-MB: creatine kinase-myoglobin binding; LDH: lactate dehydrogenase; ALT: alanine aminotrasferase; AST: aspartate aminotransferase.
Table 2: Qualitative analysis of cardiac troponin I (cTnI) in the serum of normal, ISO, tests and standard groups
| GROUP | Animal-I | Animal-II | Animal-III | Animal-IV | Animal-V | Animal-VI |
| Group I (Normal) | ─ | ─ | ─ | ─ | ─ | ─ |
| Group II (ISO) | + | + | + | + | + | + |
| Group III Test (trikatu, 100 mg/kg) | + | + | + | ─ | + | + |
| Group IV Test (trikatu, 200 mg/kg) | + | + | ─ | + | ─ | + |
| Group V Standard (vit E 10 mg/kg) | ─ | + | + | ─ | + | ─ |
(-) cTnI test showed no myocardial injury; (+) cTnI test showed myocardial necrosis.

Fig. 3: Serum cardiac enzymes levels in rats pretreated with trikatu and Vitamin E in an ISO-induced MI model (A): The cardiac serum level of creatine kinase-myoglobin binding (CK-MB) (B): The cardiac serum level of lactate dehydrogenase (LDH) (C): The cardiac serum of alanine aminotrasferase (ALT) (D): The cardiac serum level of aspartate aminotransferase (AST). Data were presented as the mean±SEM from 6 animals in each group. ***p<0.001vs control; #p<0.05; ###p<0.001vs ISO
Cardiovascular disease (CVD) is currently the main trigger of mortality [23]. The most well-known of these ailments is myocardial infarction (MI), which results in permanent damage to heart tissue [24]. The etiology of this disease comprises several events like oxidative stress, Ca2+ overload, endothelial and cardiac damage, contractile dysfunction, and cell death by necrosis or apoptosis or both [25]. Isoproterenol (ISO) is an adrenergic receptor agonist and a synthetic catecholamine. In rats, S. C. injection of ISO produces irreversible cellular destruction and, finally, myocardial infarction [26, 27]. The ISO-induced MI rat model provides a viable, non-invasive technique for testing the effects of several potentially cardioprotective drugs [28].
Examining any potential cardioprotective benefits of different trikatu dosages (100, and 200 mg/kg) against ISO-generated MI in rats was the aim of the current study. This aim was based on the ingredients of trikatu, which consists of Piper longum, Piper nigrum and zingiber officinale. The heart has a significant amount of diagnostic marker enzymes like cTnI, AST, ALT, LDH and CK-MB, and once the heart is metabolically injured, it releases these substances into the extracellular fluid. Diagnostic cardiac markers (cTnI AST, ALT, LDH and CK-MB) had significantly elevated serum levels in the isoproterenol-treated rats. Increased levels of cardiac marker enzymes indicate isoproterenol-induced necrotic destruction to the myocardial membrane [29]. Isoproterenol damages the cardiac cell membrane in an irreversible manner and leaks heart injury biomarkers by generating free radicals and stimulating lipid peroxidation [30].
Cardiac troponin I (cTnI) is a myocardium-specific biomarker that is widely used to diagnose MI. cTnI is more responsive to cardiac damage than troponin C (TnC) and troponin T (TnT). In MI, within 30 min, the amount of circulating cTnI in the serum increases and reaches a peak at 18-24 h, indicating myocyte apoptosis [31]. In isoproterenol-induced MI rats, trikatu and standard drug pretreatment significantly diminished positive cTnI test cases. It was shown that trikatu may limit cTnI leakage from the heart through the retention of structural and functional integrity as well as permeability of the cardiac membrane.
The enzyme CK-MB, which is specific to the heart muscle, is typically raised as a result of myocarditis, cardiac insufficiency and myocardial infarction. Multiple measurements of CK-MB can be taken throughout 24 h [32]. Isoproterenol causes myocardial cell membrane breakdown and enzyme leakage, which raises serum CK-MB levels. Pretreatment with trikatu a substantial drop in the blood level of CK-MB in isoproterenol-induced MI rats was seen. The highest reduction in serum CK-MB level (65%) was seen at 200 mg/kg, demonstrating that trikatu has a membrane-protective action.
A high level of LDH in the blood is a sign of inflammatory changes and tissue damage in the heart. LDH is a cytosolic enzyme that is present in every tissue that engages in glycolysis. LDH is not an exact MI marker; however, it is raised within 24-72 h after MI and reaches a peak concentration in 3–4 d [33]. Trikatu (200 mg/kg) significantly reduces (48%) the serum LDH magnitude in isoproterenol-treated rats.
AST and ALT is a sensitive marker of liver cell damage and is useful in the diagnosis of other illnesses. It typically has a limited serum concentration under normal physiological conditions, but after a MI, it increases [34]. Trikatu (200 mg/kg) significantly decreases serum levels of AST (26%) and ALT (80%).
However, the levels of these cardiac blood markers considerably decreased in the trikatu pretreatment groups. These findings suggest that trikatu protects the heart by preventing the leaking of cardiac enzymes into the bloodstream and preserving the structural and functional integrity of the myocyte's plasma membrane and contractile mechanism.
Histopathology provides a variety of tissue data. Isoproterenol-treated rat's myocardium indicated edema, inflammatory cell infiltration, necrosis, and segregation of cardiac muscle fibers during an initial histological examination. In rats, isoproterenol-induced overproduction of reactive oxygen species (ROS) can result in deadly cellular work limitation and necrotic lesions in the heart. At the site of damage, isoproterenol creates superoxide radicals and modifies superoxide dismutase, glutathione peroxidase, and catalase [35].
The severity of the myocardial injury was confirmed by these findings of tissue data and the biochemical anomalies. A significant improvement was noticed in the standard (10 mg/kg) group. Nearly normal architecture of myocardial fibers with a mild degree of inflammatory infiltrate in the trikatu-treated (200 mg/kg) group suggests the cardioprotective effect of trikatu.
Through isoproterenol-produced myocardial infarction in rats, the aqueous suspension of trikatu churna was found to be significantly helpful in minimizing the magnitude of myocardial damage and combating oxidative stress. These findings suggest that trikatu prevents cardiac damage by retaining the structural and functional integrity of the plasma membrane and contractile system of the myocyte. The obtained result also suggests that the presence of piperine could be beneficial in the absorption of polyphenolic compounds present in ginger which are responsible for free radical scavenging activity induced by isoproterenol (ISO).
Nil
Mr. Vipin Kumar Kashyap and Ms. Pragya Srivastava were involved in the data collection and interpretation of the results and in preparing the manuscript. Mr. Shadab Alam and Mr. Md. Hedayatullah reviewed the data and guided the preparation of the manuscript.
The authors declare no conflict of interest.
Baraka BBH, V Rao B, Pkm N, Jha DK, Vardhini NH. To evaluate the cardioprotective and anti-oxidant effect of methanolic extract of the leaves of tribulus terrestris in wistar rats. Asian J Pharm Clin Res 2023;16(8):145-52. doi: 10.22159/ajpcr.2023.v16i8.47025.
Nizam I, Aasaithambi K, Srinivasan A, Chidambaram SB, Krishnamurthy PT, Madhunapantula SRV. Nanotheranostics in cardiovascular diseases: a novel tool. Int J App Pharm. 2023;15(4):37-42. doi: 10.22159/ijap.2023v15i4.47521.
Khairnar N, Pingale P, Amrutkar S. Role of micronutrients in heart diseases. Int J Curr Pharm Sci. 2021;13(5):1-5. doi: 10.22159/ijcpr.2021v13i5.1880.
Singh AK, Jat RK. Myocardial infarction. HJHS. 2021;6(4):16-32. doi: 10.22270/hjhs.v6i4.116.
Pamukcu B. Myocardial Infarction. Norderstedt, Germany; 2019. p. 868-7.
Fishbein GA. Myocardial ischemia and its complications. Cardiovasc Pathol. 2022;10:39.
Barejia A, Cr A, Shah A, Patel A, Navadiya V. Exploration of cardioprotective and antioxidant action of bilirubin in isoprenaline-induced ischemia model of male Wistar albino rats. Asian J Pharm Clin Res. 2023;16(2):73-6. doi: 10.22159/ajpcr.2023.v16i2.46420.
Ziaee M, Khorrami A, Ebrahimi M, Nourafcan H, Amiraslanzadeh M, Rameshrad M. Cardioprotective effects of essential oil of Lavandula angustifolia on isoproterenol-induced acute myocardial infarction in rat. Iran J Pharm Res. 2015;14(1):279-89. PMID 25561934.
Khalifa AA, El Sokkary NH, Elblehi SS, Diab MA, Ali MA. Potential cardioprotective effect of octreotide via noxs mitigation, mitochondrial biogenesis and mapk/erk1/2/stat3/nf-kβ pathway attenuation in isoproterenol-induced myocardial infarction in rats. Eur J Pharmacol. 2022;925:174978. doi: 10.1016/j.ejphar.2022.174978, PMID 35500641.
Sharma V, Hem K, Singh K, Gautam DNS. Phytochemistry and pharmacology of trikatu. Indian J Agric Sci. 2015;1(4):193-9.
Reddy BU, Seetharam YN. Anthelmintic activity of trikatu churna and its ingredients. Ethnobot Leafl. 2009;13:532-9.
Murunikkara V, Pragasam SJ, Kodandaraman G, Sabina EP, Rasool M. Anti-inflammatory effect of piperine in adjuvant-induced arthritic rats–a biochemical approach. Inflammation. 2012;35(4):1348-56. doi: 10.1007/s10753-012-9448-3, PMID 22389056.
Malvankar PR, Abhyankar MM. Antimicrobial activity of water extracts of trikatu churna and its individual ingredient. IJPSR. 2012;3(4):1087-9. doi: 10.13040/IJPSR.0975-8232.3(4).1087-89.
National Research Council, guide for the care and use of laboratory animals. 8th ed. Washington, DC: the national academies press; 2011.
Rajadurai M, Prince PS. Preventive effect of naringin on isoproterenol-induced cardiotoxicity in wistar rats: an in vivo and in vitro study. Toxicology. 2007;232(3):216-25. doi: 10.1016/j.tox.2007.01.006, PMID 17289242.
Paulose CS, Dakshinamurti K. Chronic catheterization using vascular-access-port in rats: blood sampling with minimal stress for plasma catecholamine determination. J Neurosci Methods. 1987;22(2):141-6. doi: 10.1016/0165-0270(87)90008-2, PMID 3437776.
Yoburn BC, Morales R, Inturrisi CE. Chronic vascular catheterization in the rat: comparison of three techniques. Physiol Behav. 1984;33(1):89-94. doi: 10.1016/0031-9384(84)90018-0, PMID 6505057.
Karmen A, Wroblewski F, LaDue JS. Transaminase activity in human blood. J Clin Invest. 1955;34(1):126-31. doi: 10.1172/JCI103055, PMID 13221663.
MacDonald RP, Simpson JR, Nossal E. Serum lactic dehydrogenase; a diagnostic aid in myocardial infarction. J Am Med Assoc. 1957;165(1):35-40. doi: 10.1001/jama.1957.02980190037009, PMID 13462739.
Khodeer DM, Zaitone SA, Farag NE, Moustafa YM. Cardioprotective effect of pioglitazone in diabetic and non-diabetic rats subjected to acute myocardial infarction involves suppression of the age-rage axis and inhibition of apoptosis. Can J Physiol Pharmacol. 2016;94(5):463-76. doi: 10.1139/cjpp-2015-0135, PMID 27119311.
Khodeer DM, Bilasy SE, Farag NE, Mehana AE, Elbaz AA. Sitagliptin protects diabetic rats with acute myocardial infarction through induction of angiogenesis: role of igf-1 and VEGF. Can J Physiol Pharmacol. 2019;97(11):1053-63. doi: 10.1139/cjpp-2018-0670, PMID 31116952.
Duncan DB. Multiple range tests for correlated and heteroscedastic means. Biometrics. 1957;13(2):359-64. doi: 10.2307/2527799.
Namara KM, Alzubaidi H, Jackson JK. Cardiovascular disease as a leading cause of death: how are pharmacists getting involved. IPRP. 2019;8:1-11. doi: 10.2147/IPRP.
Kumar M, Kasala ER, Bodduluru LN, Kumar V, Lahkar M. Molecular and biochemical evidence on the protective effects of quercetin in isoproterenol-induced acute myocardial injury in rats. J Biochem Mol Toxicol. 2017;31(1):1-8. doi: 10.1002/jbt.21832, PMID 27527349.
Panda S, Kar A, Biswas S. Preventive effect of agnucastoside c against isoproterenol-induced myocardial injury. Sci Rep. 2017;7(1):16146. doi: 10.1038/s41598-017-16075-0, PMID 29170391.
Ziaee M, Khorrami A, Ebrahimi M, Nourafcan H, Amiraslanzadeh M, Rameshrad M. Cardioprotective effects of essential oil of Lavandula angustifolia on isoproterenol-induced acute myocardial infarction in rat. Iran J Pharm Res. 2015;14(1):279-89. PMID 25561934.
Elshourbagy N. The effect of carvedilol and Q10 on isoprenaline-induced cardiotoxicity: electrocardiographic, biochemical and histopathological evaluation in rats. Al-Azhar. J Pharm Sci. 2016;54:148-58.
Khalifa AA, El Sokkary NH, Elblehi SS, Diab MA, Ali MA. Potential cardioprotective effect of octreotide via NOXs mitigation, mitochondrial biogenesis and MAPK/Erk1/2/STAT3/NF-kβ pathway attenuation in isoproterenol-induced myocardial infarction in rats. Eur J Pharmacol. 2022;925:174978. doi: 10.1016/j.ejphar.2022.174978, PMID 35500641.
Sathish V, Vimal V, Ebenezar KK, Devaki T. Synergistic effect of nicorandil and amlodipine on mitochondrial function during isoproterenol-induced myocardial infarction in rats. J Pharm Pharmacol. 2002;54(1):133-7. doi: 10.1211/0022357021771841, PMID 11829124.
Stanely Mainzen Prince P, Roy AJ. p-Coumaric acid attenuates apoptosis in isoproterenol-induced myocardial infarcted rats by inhibiting oxidative stress. Int J Cardiol. 2013;168(4):3259-66. doi: 10.1016/j.ijcard.2013.04.138, PMID 23684599.
Ni L, Wehrens XHT. Cardiac troponin I-more than a biomarker for myocardial ischemia? Ann Transl Med. 2018;6Suppl 1:S17. doi: 10.21037/atm.2018.09.07, PMID 30613592.
Abi BG, Sadiq MA, Santhi RJ. Cardioprotective activity of methanolic extract of Croton sparciflorus on isoproterenol induced myocardial infarcted Wistar albino rats. J Med Plants. 2014;2:1-8.
Mythili S, Malathi N. Diagnostic markers of acute myocardial infarction. Biomed Rep. 2015;3(6):743-8. doi: 10.3892/br.2015.500, PMID 26623010.
Shamshirian A, Alizadeh Navaei R, Abedi S, Jafarpour H, Fazli H, Hosseini S. Levels of blood biomarkers among patients with myocardial infarction in comparison to control group. Ethiop J Health Sci. 2020;30(1):5-12. doi: 10.4314/ejhs.v30i1.2, PMID 32116427.
Tappia PS, Hata T, Hozaima L, Sandhu MS, Panagia V, Dhalla NS. Role of oxidative stress in catecholamine-induced changes in cardiac sarcolemmal Ca2+ transport. Arch Biochem Biophys. 2001;387(1):85-92. doi: 10.1006/abbi.2000.2234, PMID 11368187.