1Zoology Department, Faculty of Science, Cairo University, Cairo, Egypt, 2Clinical Pathology, Department Medical Division, National Research Center, Cairo, Egypt
Email: hanan_ebead@yahoo.com
Received: 30 Jan 2015 Revised and Accepted: 25 Feb 2015
ABSTRACT
Objective: The aim of this work was to investigate the protective role of L-carnitine and baker yeast (Saccharomyces cerevisiae) against the effect of sodium valproate (VPA) induced toxicity and oxidative stress in the liver.
Methods: Chronic administration of sodium valproate was studied by oral administration of VPA for six months. The protective effect was conducted by an administration of L-carnitine or/and baker yeast for one month before chronic administration of VPA. Some biochemical parameters, lipid profile, oxidative stress and histopathological studies were analyzed.
Results: Chronic administration of VPA for six months caused a significant increase in serum amino transferases (AST, ALT), alkaline phosphatase (ALP), bilirubin, total lipids, total cholesterol, low density lipoprotein (LDL) as well as oxidative stress; malodialdehyde (MDA) and nitric oxide. While decreased total protein, albumin, and globulin in addition to glutathione peroxidase and superoxide dismutase (SOD). The administration of L-carnitine and baker yeast cause significant decreases in the activities of AST, ALT, bilirubin, lipid peroxidation, LDL level and MDA levels and return the levels of total protein, albumin, globulin, glutathione peroxidase and SOD to the normal levels. Histopathological results revealed improvement of the liver structure.
Conclusion: L-carnitine and baker yeast (Saccharomyces cerevisiae) offer protection to the liver by preserving the structural integrity of hepatocellular membrane against sodium valproate induced hepatotoxicity and oxidative stress.
Keywords: Sodium valproate, Baker yeast (Saccharomyces cerevisiae), L-carnitine, Oxidative stress, Liver function.
INTRODUCTION
Epilepsy is a neurological disorder of the central nervous system in which nerve cell activity in the brain becomes disrupted. It is characterized by excessive discharges of large numbers of neurons[1]. Epilepsy is a major public health problem affecting nearly 50 million people worldwide and it is considered as the fourth most common neurological disorder and affects people of all ages[2]. The liver is the primary organ for drug metabolism and elimination for many antiepileptic drugs (AEDs). Hepatotoxicity induced by antiepileptic drug can lead to death or an acute liver failure which could imperatively require liver transplantation. The hepatotoxicity induced by antiepileptic drug occurs either because of production of reactive toxic metabolite(s) or because of induction of immune-allergic reactions [3].
Valproic acid (VPA), an eight carbon branched chain fatty acid which commonly prescribed as antiepileptic drug (AED) for control convulsion attacks and treat epilepsy, bipolar disorders as well as migraines [4]. Despite its effectiveness and widespread use, valproic acid is teratogenic in both animals and humans [5]. However serious complications may occur in some patients receiving VPA chronically[6]. Severe side effects are associated with VPA treatment such as hepatotoxicity, thrombocytopenia, platelet aggregation and pancreatitis [7]. Although the mechanism of liver toxicity remains elusive, oxidative stress, as a result of overproduction of reactive oxygen species (ROS) and compromised antioxidant capacity, has been hypothesized to play a role in the etiology of toxicity [8]. In particular ROS and free radicals show genotoxic activity and a number of studies have investigated the possibility that VPA treatment is associated with oxidative stress in patients [9] and in animal models [10]. In order to overcome the potential harmful effect of free radicals and to reduce the damage by oxidants, many natural substances have been tried as antioxidants.
L-carnitine (3-hydroxy-4-trimethylamino-butyric acid or β-hydroxy-γ-N-trimethylamino-butyrate) is an amino acid derivative having an important nutrient; 75% comes from the diet, particularly in red meat and dairy products. It is also biosynthesized endogenously from dietary amino acids (lysine and methionine) especially in the liver and the kidneys.
L-carnitine facilitates transport of long-chain fatty acids from the cytosol compartment of the muscle fiber into the mitochondria, where they undergo β-oxidation and produce acetyl-CoA [11]. VPA are associated with decreased carnitine levels and occasionally with true carnitine deficiency by depleting carnitine stores, especially with high-dose or long-term therapy [12] through several mechanisms, particularly the reduction in tubular reabsorption of both free carnitine and acyl carnitine during VPA treatment [13]. In addition, there is the mitochondrial depletion of CoA-SH which impairs β-oxidation of fatty acids (and VPA) and ATP production [14]. A few studies have shown carnitine supplementation in patients receiving VPA to result in subjective and objective improvements and to prevent valproic acid induced hepatotoxicity [11].
In order to overcome the potential harmful effect of free radicals and to reduce the damage by oxidants, many natural substances have been tried as antioxidants. Recently, yeasts have been used as feed ingredients in both humans and animals due to the nutritional value of their nutrients such as proteins, vitamins, pigments and complex carbohydrates like beta-1,3 glucan and mannan. Mannans and glucans of yeast are potent immunostimulants and also have a good antioxidant activity in vitro [15]. Live yeast as Saccharomyces cerevisiae has been used as a fermenting agent in baking, distilling and brewing industries since ancient times. But today, there are many strains of the organism being used for different purposes [16]. Yeast are known as rich sources of vitamins, enzymes and other important nutrients, also co-factors which make them attractive as digestive enhancers and as a basic source nutrients and protein synthesis in the digestive tract [15].
Therefore, the present study was undertaken to evaluate the possible protective effect of L-carnitine and Saccharomyces cerevisiae against valproic acid induced oxidative stress.
MATERIALS AND METHODS
Experimental animals
The experimental animals used in this study were the adult male albino Sprague-Dawley rats weighing 120-150 g. They were obtained from the animal house of the National Research Center (NRC, Giza) and acclimatized for one week prior to the experiments. Rats were housed in stainless steel cages at room temperature (22-25°C) and a photoperiod of 12 h light/dark cycle. Rats were permitted for free standard laboratory diet ad libitum. All the experimental procedures were carried out in accordance with international guidelines for care and use of laboratory animals.
Chemicals and reagents
Sodium Valproate (VPA) (Depakine®) Sanofi-France was purchased from Global Napi Pharmaceuticals, Egypt. Yeast (Saccharomyces cerevisiae) was purchased from market, as lyophilized powder and stored at 4°C. L-Carnitine was obtained from Arab Company for Pharm & Medical plants, Mepaco, Egypt. Kits for all biochemical parameters were purchased from Bio-Diagnostic Company, Diamond Diagnostics Company (Hannover, Germany) and Spectrum-Diagnostics Company (Hannover, Germany).
Experimental design
Seventy five rats were equally divided into five groups (15 rats/a group) as follows:
Control group: Rats received distilled water orally by stomach gavage.
VPA group: Rats received orally VPA (400 mg/kg body weight/day) for six months [2].
B-V group: Rats received orally L-carnitine (500 mg/kg body weight/day) for one month [17] then received orally VPA (400 mg/kg body weight/day) for six months.
L-V group: Rats received orally baker yeast freshly dissolved in water (4.8 mg/kg body weight/day) for one month [18] then received orally VPA (400 mg/kg body weight/day) for six months.
B-L-V group: Rats received orally L-carnitine (500 mg/kg body weight/day) and baker yeast (4.8 mg/kg body weight/day) for one month then were received VPA (400 mg/kg body weight/day) for six months.
Serum collection
After the end of the experimental periods, rats were fasted overnight and the blood samples were collected from the retro orbital venous plexus of the rats in all groups under diethyl ether anesthesia [19]. Blood samples were left to clot then centrifuged at 3000 rpm for 15 minutes to separate the sera, which were stored at-20°C until biochemical analysis.
Tissue collection
Rats were euthanized under chloroform vapor and sacrificed. Liver of each animal was dissected and weighted then immediately washed with isotonic saline solution and then divided into two parts. The first part stored at-80 °C for biochemical analysis. On the other hand, the second part was suspended in 10% buffered formalin for fixation and preparation to histopathological examination.
Biochemical analysis of blood
The aspartate amino transferase (AST) [20], Alanine amino transferase (ALT) [21], serum total protein [22], serum albumin [22], serum total bilirubin [22] and Alkaline phosphatase (ALP) [23] were determined using kits provided by Diamond Diagnostics Company (Hannover, Germany) and Spectrum-Diagnostics Company Hannover, Germany.
Determination of lipid profile
The total lipids[23],triglycerides [24], serum total cholesterol [22] and Low-density lipoprotein (LDL) [22]were determined in serum by using Bio-Diagnostic kits, (Giza, Egypt)and Diamond Diagnostics kits, (Hannover, Germany)according to the method described by instructions.
Determination of oxidative stress parameters
Lipid peroxide [25], catalase [26], superoxide dismutase (SOD) [27] and Nitric oxide were determined according to the manufactures instructions using Bio-diagnostic kits (Giza, Egypt).
Histopathological examination
Hepatic tissue was immediately fixed in 10% buffered formalin. Then, hepatic tissues embedded in paraffin and sliced to 3 to 4 µm tissue sections which were stained with hematoxylin and eosin (H & E) [28].
Statistical analysis
Data is expressed as mean±SE. Treated groups are compared with control and VPA groups by using Unpaired Student’s t-test; *p<0.05, **p<0.01 vs control group and #p<0.05, ##p<0.01 vs VPA. % of change was measured by this formula:
![]()
SPSS, for Windows (version 19.0) was used for the statistical analysis.
Table 1: Protective effect of L-carnitine and baker yeast Saccharomyces cerevisiae on serum biomarkers for liver function of rats treated with sodium valproate
Parameters |
Control group |
VPA group |
Protective groups |
||
B-V |
L-V |
B-L-V |
|||
AST (U/l) |
164.70±2.57 |
203.30±7.86** |
187.30±1.1** |
108.32±1.14**## |
130.20±0.83**## |
% change |
- |
+23.44 |
+13.72 |
-34.23 |
-20.94 |
ALT (U/l) |
37.86±1.06 |
44.33±0.66** |
40.00±1.5# |
36.01±1.02## |
35.00±1.15## |
% change |
- |
+17.09 |
+5.65 |
-4.89 |
-7.55 |
Total protein(g/dl) |
9.77±0.22 |
7.26±0.17** |
8.71±0.43 |
8.04±0.16**# |
8.58±0.26*# |
% change |
- |
-25.69 |
-10.85 |
-17.71 |
-12.18 |
Albumin (g/dl) |
4.48±0.06 |
3.24±0.05** |
3.92±0.19# |
3.86±0.15*# |
4.19±0.08*## |
% change |
- |
-27.68 |
-12.50 |
-13.84 |
-6.47 |
Globulin (g/dl) |
5.40±0.22 |
3.93±0.14** |
5.25±0.35# |
4.15±0.22**# |
3.58±0.11** |
% change |
- |
-27.22 |
-2.78 |
-23.15 |
-33.70 |
Treated groups are compared with control and VPA groups by using Unpaired Student’s t-test values are means±S. E. *P<0.05 & **p<0.01 vs control group and #p<0.05 & ##p<0.01vs VPA.
RESULTS
Serum biomarkers for liver function
The data represented in table (1) showed that a significant increase (p<0.01) in serum levels of AST and ALT of VPA group as compared to the control group. On the other hand, significant decreases in serum total protein, albumin and globulin in VPA group as compared to control group was recorded. Serum AST level was decreased significantly in L-V and B-L-V groups as compared to control and VPA groups, while showed a significant increase in B-V group when compared with control group. However, serum ALT was significantly decreased in B-V group (p<0.05), L-V and B-L-V groups (p<0.01) as compared with VPA group. On the other hand, serum level of total protein was decreased significantly in L-V and B-L-V groups (p<0.01) (p<0.5), respectively as compared to control group, while increased significantly (p<0.05) as compared to VPA group. Serum albumin level was decreased significantly in L-V and in B-L-V groups (p<0.05) and VPA group (p<0.01) as compared to control group, while showed a significant increase in B-V and L-V groups (p<0.05) and in B-L-V group (p<0.01) as compared to VPA group. Serum globulin level was significantly decreased in VPA, L-V and B-L-V (p<0.01) groups as compared with control group. While, increased significantly (p<0.05) in B-V and L-V groups when compared to VPA group.
Serum cholestatic indices
Data recorded in table 2 represented a significant increase (p<0.01) in serum concentration of ALP, total bilirubin, direct bilirubin and indirect bilirubin in VPA group as compared with control group. ALP concentration showed a significant increase (p<0.01) in L-V and B-L-V groups compared to the control group and significantly decreased compared to the VPA group. However, total bilirubin, direct bilirubin and indirect bilirubin concentration were decreased significantly (p<0.01) in B-V, L-V and B-L-V groups compared to VPA groups and these values are similar in B-V and L-V groups to the values of the control group, while indirect bilirubin increased significantly (p<0.01) in B-L-V group as compared to the control group.
Table 2: Protective effect of L-carnitine and baker yeast Saccharomyces cerevisiae on serum cholestatic indices of liver rats treated with sodium valproate
Parameters |
Control group |
VPA group |
Protective groups |
||
B–V |
L-V |
B-L-V |
|||
ALP (U/l) |
90.29±0.89 |
143.60±5.65** |
91.03±0.63## |
112.80±3.33**## |
117.30±1.33**## |
% change |
0 |
+59.04 |
-0.81 |
+24.93 |
+29.91 |
Total bilirubin (mg/dl) |
0.76±0.01 |
2.48±0.16** |
0.71±0.02## |
0.69±0.02*## |
0.66±0.01**## |
% change |
0 |
+226.31 |
-6.57 |
-9.21 |
-13.15 |
Direct bilirubin (mg/dl) |
0.59±0.03 |
1.86±0.12** |
0.50±0.03## |
0.47±0.02*## |
0.32±0.03**## |
% change |
0 |
+215.25 |
-15.25 |
-7.08 |
-45.76 |
Indirect bilirubin |
0.17± |
0.62±0.04** |
0.22±0.03## |
0.22±0.01## |
0.35±0.02**## |
% change |
0 |
+264.70 |
+29.41 |
+29.41 |
+105.88 |
Treated groups are compared with control and VPA groups by using Unpaired Student’s t-test values are means±S. E. *P<0.05 & **p<0.01 vs control group and #p<0.05 & ##p<0.01vs VPA.
Table 3: Protective effect of L-carnitine and baker yeast Saccharomyces cerevisiae on serum lipid profile of liver rats treated with sodium valproate
Parameters |
Control group |
VPA group |
Protective Groups |
||
B–V |
L-V |
B-L-V |
|||
T. Lipid(mg/dl) |
798.60±48.81 |
1060.50±10.94** |
513.50±8.29**## |
536.20±11.49**## |
559.0±11.76**## |
% change |
- |
+32.79 |
-35.69 |
-32.85 |
-30.00 |
Triglycerides (mg/dl) |
40.86±2.02 |
190.60±3.74** |
59.67±2.31**## |
46.17±3.66## |
52.43±3.32*## |
% change |
- |
+366.47 |
+46.03 |
+12.99 |
+28.31 |
Total Cholesterol |
72.71±1.47 |
131.11±6.97**## |
82.62±2.88*##a |
62.86±3.13*## |
66.71±2.62*## |
% change |
- |
+80.31 |
+13.62 |
-13.54 |
-8.25 |
LDL (mg/dl) |
17.63±0.86 |
38.50±4.20** |
26.15±4.16 |
18.34±5.80 |
12.40±1.97# |
% change |
- |
+118.37 |
+48.32 |
+4.02 |
-29.66 |
HDL (mg/dl) |
46.43±0.84 |
29.00±0.61** |
42.15±1.06*## |
38.62±1.56## |
43.00±1.05*## |
% change |
- |
-37.54 |
-9.21 |
-16.82 |
-7.38 |
Treated groups are compared with control and VPA groups by using Unpaired Student’s t-test values are means±S. E of. *P<0.05 & **p<0.01 vs control group and #p<0.05 & ##p<0.01vs VPA.
Serum lipid profile
Significant increase (p<0.01) was observed in the serum level of total lipid, triglycerides, total cholesterol and LDL-cholesterol in VPA group compared to control group. In contrast, HDL-cholesterol decreased significantly (p<0.01) in VPA group compared to control group. On the other hand, B-V, L-V and B-L-V groups showed a significant decrease (p<0.01) in the serum level of total lipid compared to control and VPA groups. The level of serum triglycerides was increased significantly in B-V group (p<0.01) and B-L-V group (p<0.05), respectively, when compared to control group and decreased significantly (p<0.01) in all groups compared to the VPA group. However, serum level of total cholesterol was increased significantly (p<0.05) in B-V group compared to control group and decreased significantly (p<0.01) compared to VPA group, while, decreased significantly (p<0.05) in L-V and B-L-V groups compared to control group and VPA group. LDL-cholesterol level was increased significantly in VPA group compared to the normal group. The B-V group showed a non-significant increase than normal group with a significant decrease than VPA group. In L-V group, there was no significant change than normal group with a significant decrease than VPA group. There was a significant decrease than the normal group in B-L-V group with a significant decrease than VPA group. HDL-cholesterol level was decreased significantly (p<0.05) in B-V and B-L-V groups compared to control group and increased significantly (p<0.01) in B-V, L-V and B-L-V groups compared to VPA group, (table 3).
Oxidative stress
Data shown in table 4 demonstrated that there are a significant increase (p<0.01) in liver MDA and NO and significant decrease (p<0.05), (p<0.01) of liver GSPx and SOD, respectively in VPA group as compared to control group. Liver MDA was decreased significantly (p<0.01) in B-V group and (p<0.05) in L-V and B-L-V group as compared to control group and also decreased significantly (p<0.01) in the same groups compared to VPA group. A general elevation in liver catalase was observed in all groups and this elevation was significant (p<0.05) in B-V and (p<0.01) in B-L-V groups compared to control and VPA groups, the increase was also significant (p<0.01) in B-V and B-L-V groups (p<0.01) compared to VPA group. A significant increase in SOD level (p<0.01) was observed in B-V group compared to control and VPA groups. While, liver SOD was decreased significantly in L-V and B-L-V groups compared to control group and increased significantly (p<0.01) in B-L-V group compared to VPA group. Liver No level was increased significantly (p<0.01) in all groups as compared to control group, while decreased significantly (p<0.01) as compared to VPA group.
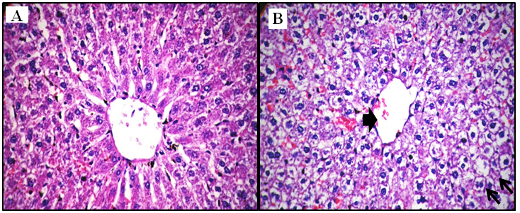
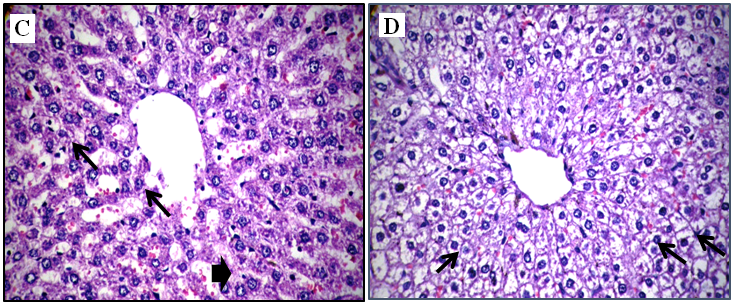
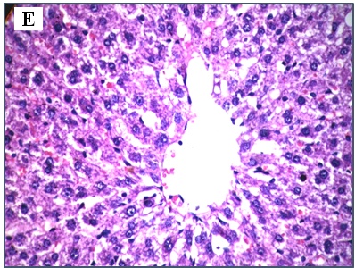
Histopathological examination
The results of Eosin & Heamtotoxylen stain of sections of liver rat in fig. 1. showing healthy hepatic parenchyma in the control group while, in VPA group massive vacuolar degeneration of hepatocytes together with dilated and congested blood sinusoids were appeared. B-V group showing dilated blood sinusoids with atrophied hepatic cord. (L-V) group showing swollen hepatocytes with faint cytoplasm. (B-L-V) group apparently healthy hepatic parenchyma as the control group.
Table 4: Protective effect of L-carnitine and baker yeast Saccharomyces cerevisiae on oxidative stress parameters of liver rats treated with sodium valproate
Parameters |
Control group |
VPA group |
Protective groups |
||
B–V |
L-V |
B-L-V |
|||
MDA(nmol/gm) |
20.75±0.62 |
31.32±1.36** |
7.92±0.23**## |
16.18±1.35*## |
17.78±0.50*## |
% change |
- |
+50.93 |
-61.83 |
-22.02 |
-14.31 |
Catalase(U/gm) |
0.29±0.02 |
0.30±0.02 |
0.48±0.04# |
0.32±0.10 |
0.84±0.04**## |
% change |
- |
+3.44 |
+65.51 |
+10.34 |
+189.65 |
GSPx(U/mg) |
9.29±0.18 |
7.89±0.32* |
15.05±1.82# |
13.36±1.01# |
10.69±0.76# |
% change |
- |
-15.06 |
+62.00 |
+43.81 |
+15.06 |
SOD(U/gm) |
24.99±0.21 |
12.03±0.25**## |
26.57±0.036**## |
18.70±0.07** |
22.10±0.05**## |
% change |
- |
-51.86 |
+6.32 |
-25.17 |
-11.56 |
NO(μmol/l) |
19.93±0.76 |
90.92±0.15** |
26.38±1.41**## |
47.43±0.80**## |
33.85±2.39**## |
% change |
- |
+356.19 |
+32.36 |
+137.98 |
+69.84 |
Treated groups are compared with control and VPA groups by using Unpaired Student’s t-test values are means±S. E. *P<0.05 & **p<0.01 vs control group and #p<0.05 & ##p<0.01vs VPA.



Fig. 1: Photomicrograph of rat liver sections showing control group (A) apparently healthy hepatic parenchyma (H&E X= 400). Massive vacuolar degeneration of hepatocytes together with dilated and congested blood sinusoids in VPA group (B) (H&E X 400). Dilated blood sinusoids (arrow head) with atrophied hepatic cord in B-V group (C) (H&E X= 400). (L-V) group (D) showing swollen hepatocytes with faint cytoplasm (H&E X 400). (B-L-V) group (E) apparently healthy hepatic parenchyma (H&E X= 400)
DISCUSSION
Epilepsy is a neurological disorder results from recurrent, and hyperchronous discharge of a set of neurons in the brain and referred as epileptic seizures [29]. The liver is the primary organ for drug metabolism and elimination for many antiepileptic drugs (AEDs) and thus is subjected to drug-induced toxicity [30]. Sodium valproate (VPA) is a simple fatty acid largely used as an anticonvulsant. The structure of VPA might enable it to interact with cell membranes, which may account in part for both its therapeutic and adverse effects. VPA is extensively metabolized by the liver via glucuronic acid conjugation, mitochondrial β-and cytosolic omega oxidation to produce multiple metabolites. Some of which may be involved in its toxicity [31]. Up to 44% of patients chronic dosing with VPA may be associated with elevation in transaminases during the first months of therapy [12]. Plasma transaminases are sensitive indicators of liver cell injury [10]. Our study revealed that serum AST and ALT were increased significantly after chronic administration of VPA for six months. The elevated levels of AST and ALT in VPA treated rats may be due to the direct damage in hepatocytes or due to the oxidative stress leading to apoptosis of hepatocytes [32].
The administration of L-carnitine or baker yeast or the combination between both before valproate administration could enhance the liver and decreased the level of serum transaminases nearly to the normal level. Similarly, L-carnitine, as a healing agent has begun to play an important role in VPA induced hepatotoxicity and VPA metabolism returns to normal after L-carnitine supplementation [33]. The results showed that the pretreatment with baker yeast reduced both ALT and AST. These data are in agreement with previous studies where, AST and ALT levels were reduced after addition of baker yeast to the diet of rabbit and broilers [34, 35].
Albumin is the most abundant circulating protein in the plasma and the most important protein synthesized by the liver [36]. The synthesis of albumin reflects the extent of functioning of liver cell mass [37]. VPA is extensively (≥90%) bound to plasma proteins, mainly albumin, similarly to endogenous free fatty acids (FFA). The extent of binding decreases with the increasing drug concentration [38]. From the present investigation, it was noticed that serum total protein, albumin and globulin were decreased after chronic administration of VPA. On the other hand, pretreatment of both L-carnitine and baker yeast for one month protect the liver via increasing the level of total protein, albumin and globulin. Accordingly, serum albumin was increased after administration of L-carnitine [39]. In the present study, baker yeast was used to reduce the adverse effects of valproate on the liver. It has been reported that a fermentative product [40] and also β-glucan [41] that were derived from S. cerevisiae recovered the liver damage. Similarly, administration of L-carnitine decreased the level total protein in rat model [42].
Elevated total ALP activity in serum is increased in hepatobiliary diseases characterized by some degree of cholestasis [43]. Our results revealed that a significant increase of alkaline phosphatase and bilirubin (direct and indirect) after chronic administration of VPA. Chronic administration of VPA was associated with an increase in bilirubin and ALP concentrations[1]. Pretreatment with L-carnitine and baker yeast restored the changes of ALP activities due to their antioxidant effects and their ability to act as a radical scavenger, thereby protecting membrane permeability [44].
Liver plays an essential role in lipid metabolism, several stages of lipid synthesis and transportation [45]. It is the principal site for the formation and clearance of lipoproteins where it receives fatty acids and cholesterol from peripheral tissues and diet, packages them into lipoprotein complexes and releases these complexes back into the circulation [46]. Therefore, it is reasonable to expect an abnormal lipid profile in those with severe liver dysfunction [47]. The current study revealed that total lipids, triglycerides, cholesterol and HDL concentration increased significantly and LDL decreased significantly after chronic administration of VPA for six months showed that patients treated with sodium valproate revealed a significant increase in lipid and lipoproteins. There was a remarkable rise in lipoprotein level was observed in patients receiving VPA[48]. Again, hepatocyte triglyceride accumulation might incite necro-inflammatory and fibrotic responses in the liver [49]. Increased level of hepatic triglycerides observed in this study may be due to interruption of β-oxidation with accumulation of triglycerides. On the other hand, protective dose of L-carnitine or baker yeast or both before the administration of sodium valproate could decreased the levels of total lipids, triglycerides, cholesterol and HDL as compared to control and valproate group, which consider an indicator for healthy situation of the liver.
Lipid peroxides derived from polyunsaturated fatty acids are unstable and can be decomposed to form a complex series of compounds. These include reactive carbonyl compound, which is the most abundant malondialdehyde (MDA) [50]. The measurement of MDA is widely used as an indicator of lipid peroxidation and increased levels of the peroxidation products [51]. Administration of VPA to the rats produced a time related hepatotoxicitydisorder characterized by MDA production. Several studies suggest that lipid peroxidation plays a role in VPA toxicity [47, 52]. The present study disclosed that chronic administration of VPA increased the level of MDA. The increased level of liver MDA observed in this study could be explained by the cytotoxic activity of VPA is the result of generation of hydrogen peroxide and production of highly reactive hydroxyl radical [53]. On the other hand, the administration of L-carnitine and baker yeast protects the liver against the damage induced the elevation of MDA. Some investigators, observed significantly increased lipid peroxidation in epileptic patients treated with VPA [51, 54]. The present work also showed that the increase in MDA level was accompanied by a concomitant decrease in the activities of antioxidant enzymes, SOD and CAT
Oxidative stress may be an important factor in VPA-induced hepatotoxicity. VPA administration leads to an increase in reactive oxygen species (ROS). In addition, long-term use of antiepileptic drugs has been shown to increase free radical formation and cause oxidative damage [55].
Long-term use of certain antiepileptic drugs (AEDs) has been proposed to increase free radical formation and cause oxidative damage [52]. The role of valproic acid supported by reduced total antioxidant capacity and enhanced total oxidative status [56]. Reports for patients treated with VPA, erythrocyte GSPX, catalase (CAT), glutathione reductase (GR) and glutathione S transeferase (GST) were found to be reduced in children and adults treated with VPA [9, 57]. In conjunction with the report of Shaat et al. (2006) [58] the present study indicated that the administration of sodium valproate chronically decreased catalase, glutathione peroxidase and superoxide dismutase to half the value as compared to the control group.
Nitric oxide (NO), a small diffusible gaseous messenger, is synthesized from the amino acid L-arginine. NO synthase appears to play a crucial role in a number of physiological and pathophysiological processes in the brain, including, cognitive and behavioral functions, as well as, its involvement in neurological disorders such as ischemia and epilepsy [59]. NO synthesis seems to be defective when there is endothelial damage. The present study revealed that, the chronic administration of VPA increase the level of NO four times than the control group. On the other hand, the elevation was down regulated by the pre-administration of baker yeast and L-carnitine. Peker et al. (2009) [60] demonstrated an increase in serum NO levels in epileptic children receiving VPA. Nitrite and nitrate levels were significantly higher in epileptic children who were treated with VPA [61]. Some investigators [62, 63] mentioned that, Kupffer cells are the phagocytic macrophages of the liver. When activated kupffer cells release numerous signaling molecules including hydrolytic enzymes, eicosanoids, NO and superoxide. Peker et al. (2009)[60] investigated the effect of VPA on the serum levels of NO, lipid peroxidation and certain antioxidant enzymes (SOD and CAT) in 21 children treated with VPA for one year leading to a significant increase of 10% in the levels of NO in children treated with VPA compared with healthy children.
Cells are protected from oxygen-derived radical injury by naturally occurring free-radical scavengers and antioxidant pathways, including SOD, catalase and glutathione peroxidase (GSPx) when these protective mechanisms are overwhelmed, however, host tissues become susceptible to damage by oxygen radicals that peroxidase lipids and disturb cell membrane function. So, the decrease in SOD and catalase activity will increase the level of superoxide radicals, leading to an increase in oxidative stress enhancing early cell death, probably by apoptotic mechanisms [64]. Consequently, the depletion in GSPx contents and SOD activity lead to an increase in oxidative stress enhancing liver damage. The pretreatment with L-carnitine and baker yeast before chronic administration of VPA ameliorated the GSPx levels and SOD activity and decreased the level of NO as compared to control and VPA groups. The present data are agreed with [65] that mentioned carnitine inhibits free radicals generation preventing the impairment of fatty acid β-oxidation in mitochondria and protects tissues from damage by repairing oxidized membrane lipids. Again,baker yeast has evolved many antioxidants that include glutathione, catalase, superoxide dismutase and glutathione peroxidase that can counteract the depletion of these levels due to toxicity of VPA [66]. Furthermore, histopatogical study of tissue damage by VPA in the liver, it causes inflammation of the liver capsule, necrosis and vacuolar degeneration of hepatocytes [10]. Also, in this study we showed that, pretreatment with L-carnitine and baker yeast before chronic administration of VPA improved histological changes in the liver.
CONCLUSION
The protective effect of L-carnitine and baker yeast significantly decreased the activities of AST, ALT, bilirubin and lipid peroxidation levels in plasma suggesting that they offer protection by preserving the structural integrity of hepatocellular membrane against sodium valproate induced hepatotoxicity and oxidative stress. The protective efficacy of L-carnitine and baker yeast (Saccharomyces cerevisiae) may be due to the presence of several active components. The active component was found in S. cerevisiae may provoke the activity of free radical scavenging enzyme systems and render protection against sodium valproate induced liver damage and oxidative stress.
CONFLICT OF INTEREST
Declared None
REFERENCES