
Department of Zoology, Institute of Basic Science, Bundelkhand University, Jhansi-284128, (U. P.) India
*Corresponding author: Shekhar Kumar Sinoriya; *Email: shekharsinoriya@yahoo.com
Received: 23 Apr 2024, Revised and Accepted: 15 Aug 2024
ABSTRAC
Objective: The present study aimed to evaluate the hepatoprotective activity of three different types of multiherbal formulations in comparison to standard drug (Silymarin).
Methods: Five hepatoprotective plants were chosen to make three different kinds of formulations, as mentioned in the materials and methods. These five selected herbs were chosen based on previous researches or reviews on hepatoprotective herbs. For the present study, two different groups of rats were made: the control group and the experimental group. The experimental group was further divided into five subgroups. Hepatotoxicity was induced by a single oral dose (1.5 ml/kg) of CCl4. After this, all rats were treated with different formulations and standard drug (silymarin) according to their groups. Samples for biochemical and histopathological (liver sample) examinations were collected on the fixed schedules (07th, 14th, and 21st d).
Results: Biochemical parameters like SGPT, SGOT, and ALP were elevated due to CCl4-induced hepatotoxicity, and after treatment, they were recouped to normal significantly (P<0.001) by the treatment of formulation-I. On the other hand, decreased serum proteins like total, albumin, and globulin were increased to be normal (P<0.01) with the treatment of formulation-I. The histopathological study also supported the final results of the biochemical analysis. The damaged hepatocellular structures were repaired by the F-I formulation better than other formulations.
Conclusion: The final results suggested that Formulation-I is a better healer than other formulations (F-II and F-III). It was thus concluded in the present study that formulation-I has better hepatoprotective activity than formulation-II and formulation-III.
Keywords: Hepatoxicity, CCl4, Multiherbal formulations, Serum glutamate pyruvate transaminase, Alanine transaminase, Serum glutamic oxaloacetic transaminase, Aspartate transaminase, Alkaline phosphatase, Central vein, Sinusoids and Hepatocytes
<© 2024 The Authors. Published by Innovare Academic Sciences Pvt Ltd. This is an open access article under the CC BY license (https://creativecommons.org/licenses/by/4.0/)
DOI: https://dx.doi.org/10.22159/ijpps.2024v16i10.51203 Journal homepage: https://innovareacademics.in/journals/index.php/ijpps
Toxic hepatitis is an inflammation of the liver in response to certain substances that patients are exposed. Toxic hepatitis can be caused by alcohol, chemicals, drugs, or nutritional supplements. In some cases, toxic hepatitis develops within hours or days of exposure to a toxin. In other cases, it may take months of regular use before signs and symptoms appear. The symptoms of toxic hepatitis often go away when exposure to the toxin stops. But toxic hepatitis can permanently damage the liver, leading to irreversible scarring of liver tissue (cirrhosis) and, in some cases, liver failure, which can be life-threatening [1].
Hepatic fibrosis is a complex, dynamic process that is mediated by the death of H and the activation of hepatic stellate cells (HSCs). Lipid peroxidation, including the generation of Reactive Oxygen Species (ROS), transforming growth factor-β, and tumor necrosis factor-α, can be implicated as a cause of hepatic fibrosis [2].
The liver is the vital and largest gland of the body, and it is also known as the father organ of the body. It can be estimated from this that more than 500 functions are noted in the liver. Manufacturing of essential things like several proteins and other biochemicals necessary for digestion, detoxification, and many pathways also takes place in it. So the liver plays a very important role in routine life. Cirrhosis refers to the replacement of normal liver tissue with non-living scar tissue. It is always related to other liver diseases. The most common causes of cirrhosis are hepatitis C, alcohol-related liver disease, non-alcoholic fatty liver disease, and hepatitis B. The early stages of cirrhosis can be without symptoms for many people with the disease. Alcohol remains the second most common cause of liver cirrhosis after the hepatitis C virus [3]. The study was conducted to develop a new biomaterial to be used as an effective hepatoprotective drug. CCl4-induced rats were used as a hepatotoxic model. The CCl4-induced rats have been widely used as a hepatotoxic model due to their practicality, convenience, and cost-effectiveness for the generation of free oxygen radicals by CCl4 was proposed as an important causative agent of hepatotoxicity [4]. Several important basic mechanisms involved in tissue damage have emerged, involving metabolic activation, reactive free radical metabolites, lipid peroxidation, covalent binding, and disturbance of calcium homeostasis [5]. Hepatoprotective drugs that are efficient in halting liver damage are absent from allopathic or modern medical systems. The current study set out to evaluate the hepatoprotective effectiveness of three different muti herbal formulations derived from native plants against CCl4-induced hepatotoxic effects. Our goal is to develop an economical herbal remedy for hepatoprotection with the use of Indian botanicals.
Garlic’s (Allium sativum) bulbs, Amla’s fruits (Phyllanthus embilica), turmeric (Curcuma longa) rhizomes, and Makoi (Solanum nigrum) fruit were purchased from the local market, and Tulsi (Occimum tenuiflorum) leaves were collected from adjacent areas and air dried in shade at room temperature 25+5 °C, which took about 1 w to 1 mo to dry until total moisture was removed from the plant. These were subsequently authenticated and identified in the NISCAIR. Their NISCAIR/RHMD/consult/2019/3450/51-1, NISCAIR/RHMD/consult/2019/3450/51-2, NISCAIR/RHMD/consult/2019/3450/51-3, NISCAIR/RHMD/consult/209/3448-50-1, and NISCAIR/RHMD/consult/209/3448-50-2 identification numbers were also provided by NISCAIR. Using an electric blender, these were blended into a fine powder and left to rest at room temperature.
Preparation of plant extract
The medicinal principle is present in different parts of the plant, like the root, stem, leaf, flower, fruits, or plant exudates. Extraction is the separation of the required constituents of plant materials. These medicinal principles are separated by different processes (the Soxhlet apparatus and the maceration process). Extracts of garlic, tulsi and turmeric (ethanolic extracts) and makoi (hydroalcoholic extract-[60:40] methanol+water) were extracted through Soxhlet apparatus, and aqueous extract of amla was extracted through maceration process.
Table 1: Preparation of 3 multi-herbal formulations
| Plant extract | Formulation-I | Formulation-II | Formulation-III |
| Curcuma longa (Turmeric rhizome) | 1.0 g | 1.0 g | 1.0 g |
| Solanam nigrum (Makoi fruit) | 1.0 g | -- | 1.0 g |
| Allium sativum (Garlic’s Bulb) | 1.0 g | -- | 1.0 g |
| Ocimum tenuiflorum (Tulsi’s Leafs) | -- | 1.0 g | 1.0 g |
| Phyllanthus emblica (Amla’s Fruit) | -- | 1.0 g | 1.0 g |
| Water | Upto require vol. | Upto require vol. | Upto require vol. |
Preparation of the dose
Formulations were prepared in gum acacia and physiological saline (0.9% NaCI) in a ratio of 1:1 of various herbs. Three different herbal formulations were used at a dose level of 200 mg/kg. Then it was given orally (1 ml/d) to rats for different durations, and their effects were studied after 7, 14, and 21 d of chronic treatment.
Preparation of CCl4
Hepatotoxicity was induced by a single oral dose of CCl4. CCl4 was dissolved in olive oil in a 1:1 ratio. The CCl4 solution was made fresh for each experiment. The dose was kept at 1.5 ml/kg for each experimental rat.
Standard drug
The standard drug (Silymarin) was administered to the animals via oral route at 200 mg/kg with the help of a gastric feeding needle.
Route of administration
The dosages were administered to the animals via oral route with the help of a gastric feeding needle. The entry was normally obtained without anesthesia. A feeding needle with a ball tip was used to prevent the introduction of the needle into the trachea and prevent trauma to the oral cavity.
Plan of work
For experimentation, selected animals were randomly distributed into two groups.
A. Normal control groups (vehicle only)
B. Experimental groups (The rats with hepatotoxicity were divided into 5 groups.)
(i) Experimental control: without any hepatoprotective treatment.
(ii) Standard drug (Silymarin), with the dose of 200 mg/kg.
(iii) Formulation 1: Curcuma longa, Solanum nigrum, and Allium sativum (in a 1:1:1 ratio), with a dose of 200 mg/kg.
(iv) Formulation 2: Curcuma longa, Occimum tenuiflorum, Phyllanthus emblica (in a 1:1:1 ratio), with a dose of 200 mg/kg.
(v) Formulation 3: Curcuma longa, Solanum nigrum, Occimum tenuiflorum, Phyllanthus emblica, and Allium sativum (in a 1:1:1:1:1 ratio), with a dose of 200 mg/kg.
Formulations and standard drug were given daily for 7, 14, and 21 d, and after 24 h of last treatment, the autopsy of both groups was done on the same day, the liver’s tissue sample was taken for histopathology, and blood samples were taken for various biochemical parameters, performed as mentioned below.
Table 2: Biochemical parameters and their methodologies
| S. No. | Parameters | Methods | Source/Company |
| 1 | S. Billirubin | Diazo method of Pearlman and Lee [12-14]. | Transasia biomedical Pvt. ltd. |
| 2 | S. Total Protein (TP) | Biuret method [18, 19]. | Accurex biomedical Pvt. ltd. |
| 3 | S. Albumin (A) | BCG Method [20, 21]. | Accurex biomedical Pvt. ltd. |
| 4 | S. Globulin | By calculation (TP – A) | -- |
| 5 | SGPT (ALT) | Modified UV (IFCC), Kinetic assay [15-17]. | Arkray healthcare Pvt. ltd. |
| 6 | SGOT (AST) | Modified UV (IFCC), Kinetic assay [15-17]. | Arkray healthcare Pvt. ltd. |
| 7 | Alkaline phosphatase | pNPP-AMP (IFCC), Kinetic assay [22, 23]. | Arkray healthcare Pvt. ltd. |
Biochemical parameters and their methodologies.
Billirubin total, direct and indirect
Principle
Bilirubin reacts with diazotized suphanilic acid in an acidic medium to form pink-colored azobilirubin, whose absorbance is directly proportional to the bilirubin concentration. Direct bilirubin being water-soluble, directly reacts in an acidic medium. However, indirect or conjugated bilirubin is solubilized using a surfactant, and then it reacts similarly to direct bilirubin [12-14].
SGPT/ALT
Principle
ALT catalyzes the transamination of L-alanine, α-ketoglutarate and L-glutamine. In a subsequent reaction, LD reduces piruvate to lactate with simultaneous oxidation of NADH to NAD. The rate of oxidation of NADH is measured kinetically by monitoring the decrease in absorbance at 340 nm [15-17].
Calculation

Where, K=1768.
SGOT/AST
Principle
AST catalyzes the transamination of L-aspartate and α-ketoglutarate to l-glutamate and oxaloacetate. In a subsequent reaction, malate dehydrogenase (MDH) reduces oxaloacetate to malate with simultaneous oxidation of NADH to NAD. The rate of oxidation of NADH is measured kinetically by monitoring the decrease in absorbance at 340 nm, which is directly proportional to the AST activity in the sample. LD is an added enzyme system to prevent endogenous piruvate interference, which is normally present in serum [15-17].
Calculation

Where, K=1768.
Serum total protein
Principle
Proteins react with cupric ions at an alkaline pH to produce a color complex. This color complex absorbs light at 546 nm (530-570 nm). The intensity of color is directly proportional to the protein concentration in the specimen [18, 19].
Calculation

Serum albumin
Principle
Serum albumin in the presence of bromocresol-green under acidic conditions forms a green-colored complex. The absorbance of this complex is proportional to the albumin concentration in the sample [20, 21].
Calculation

ALP
Principle
At pH 10.3, ALP catalyzes the hydrolysis of colorless p-nitrophenyl phosphate (pNPP) to yellow-colored p-nitrophenol, and phosphate change in absorbance due to yellow-color formation is measured kinetically at 405 nm and is proportional to ALP activity in the sample [22, 23].
Calculation

Where K is Kinetic factor = 2712.
Liver histology
After the completion of the experiment, rats were sacrificed by cervical dislocation. The sample for autopsy was taken after the removal of the liver, washed with normal saline, and fixed with formalin before histopathology was performed. Liver tissue from all groups was sliced and washed in an ascending series of alcohols, followed by dehydration. The tissues were then transferred and embedded into the wax for block preparation. 5 µm-thick sections were cut from the block with the help of a rotary microtome. Tissue sections were fixed onto a clean glass slide coated with fresh egg albumin and processed in a descending series of alcohols. Slides were preceded by rehydration with xylene and absolute alcohol, followed by a down series of alcohol to stain with hematoxylin and eosin. Slides were mounted and examined under the microscope.
Statistical analyses
The data were expressed as the mean±SEM obtained from the number of experiments (n). A one-way ANOVA followed by Dunnett’s posttest was performed using Graph Pad software. Differences between groups were considered.
Biochemical results
Serum total billirubin
As we can understand by looking at Tables 3, the level of bilirubin has not increased (>0.05) as compared with the experimental group. Even the experimental group showed a normal bilirubin level after 7 d.
Serum direct billirubin
The result of this study shows that there were no significant changes in the direct bilirubin level. P>0.05 at all durations and with all doses of different formulations.
Table 3: Showing the variation in serum total bilirubin due to administration of various formulations at different durations in the experiment
| Blood parameter (Unit) | Groups | 7 D | 14 D | 21 D |
| Totalbilirubin (mg/dl) | Normal | 0.60+0.01 | 0.60+0.02 | 0.61+0.01 |
| Standard | 0.61+0.03 | 0.64+0.04 | 0.62+0.04 | |
| F1 | 0.64+0.04 | 0.61+0.02 | 0.60+0.01 | |
| F2 | 0.61+0.03 | 0.65+0.03 | 0.64+0.02 | |
| F3 | 0.64+0.04 | 0.68+0.03 | 0.63+0.05 | |
| Experimental | 0.65+0.02 | 0.66+0.03 | 0.68+0.02 |
Value are expressed as mean+SD, where n=6.
Table 4: Showing the variation in serum direct bilirubin due administration of various formulations at different durations in the experimental rats
| Blood parameter (Unit) | Groups | 7 D | 14 D | 21 D |
| S. direct bilirubin (mg/dl) | Normal | 0.22+0.04 | 0.20+0.01 | 0.24+0.03 |
| Standard | 0.29+0.01 | 0.24+0.04 | 0.28+0.02 | |
| F1 | 0.28+0.05 | 0.27+0.03 | 0.25+0.07 | |
| F2 | 0.28+0.03 | 0.29+0.01 | 0.29+0.02 | |
| F3 | 0.36+0.02 | 0.33+0.02 | 0.37+0.03 | |
| Experimental | 0.35+0.02 | 0.37+0.01 | 0.40+0.01 |
Value are expressed as mean+SD, where n=6.
Serum indirect billirubin
In our studies, we found that the indirect bilirubin was not significantly increased or changed during the whole experimental duration. When we were performing the experiment, the indirect bilirubin was not significantly changed by hepatotoxicity induced by CCl4, as shown in table 5.
Table 5: Showing the variation in serum indirect bilirubin due administration of various formulations at different durations in the experimental rats
| Blood parameter (Unit) | Groups | 7 D | 14 D | 21 D |
| S. indirect bilirubin (mg/dl) | Normal | 0.38+0.03 | 0.40+0.01 | 0.37+0.03 |
| Standard | 0.31+0.02 | 0.39+0.03 | 0.34+0.03 | |
| F1 | 0.35+0.08 | 0.34+0.02 | 0.37+0.03 | |
| F2 | 0.33+0.02 | 0.35+0.02 | 0.35+0.03 | |
| F3 | 0.31+0.05 | 0.35+0.02 | 0.26+0.02 | |
| Experimental | 0.30+0.04 | 0.28+0.04 | 0.28+0.01 |
Value are expressed as mean+SD, where n=6.
Serum total proteins
The total serum protein is the total sum of proteins present in the blood. It can also check mainly the amount of albumin and globulin. Albumin and globulin ratio play a major role in osmoregulation. When we induced the hepatotoxicity in rats by CCL4, we observed that the total protein level significantly decreased (P<0.01), and when these rats were treated with different formulations and standard drug, they started to recover, as shown in the table and graph. According to the present study, all formulations have the ability to increase the decreased level of total protein, but formulation-I shows better healing than others (formulations-II and III). The protein level increased significantly, where P is always less than 0.01(P<0.01).
Table 6: Showing the variation in serum total protein due administration of various formulations at different durations in experimental rats
| Blood parameter (Unit) | Groups | 7 D | 14 D | 21 D |
| Total protein (g/dl) | Normal | 6.82+0.13 | 6.88+0.07 | 6.94+0.05 |
| Standard | 3.85+0.04 | 4.84+0.05** | 6.54+0.04** | |
| F1 | 4.17+0.04* | 5.44+0.05** | 6.91+0.05** | |
| F2 | 3.73+0.04 | 4.62+0.04** | 5.72+0.04* | |
| F3 | 3.50+0.07 | 4.00+0.06* | 5.30+0.03* | |
| Experimental | 3.22+0.04 | 3.43+0.04 | 4.22+0.04 |
Value are expressed as mean+SD, where n=6. *P<0.05, **P<0.01 as compare to normal group.
Serum albumin
Serum albumin is the part of total protein present in the blood. It carries medicines and hormones throughout the body and also helps in the growth and healing of tissue. Albumin is mainly synthesized in the liver. The decrease in albumin level indicates the malfunctioning of the liver or loss of albumin due to many reasons, like loss of albumin due to renal failure and loss of albumin due to severe conditions like burns, etc. It was observed that the serum albumin level decreased by the induction of hepatotoxicity with CCl4, and when we treated these rats with different formulations and standard drug, the rats tend to recoup towards normal, as shown in table 7; according to the present study, all the formulations have the ability to increase the S. albumin level, but the most effective was formulation-I, as compared to other formulations-II and III. The protein level increased significantly (P<0.01).
Table 7: Showing the variation in serum albumin due administration of various formulations at different durations in experimental rats
| Blood parameter (Unit) | Groups | 7 D | 14 D | 21 D |
| S. Albumin (g/dl) | Normal | 4.08+0.15 | 4.21+0.05 | 4.23+0.04 |
| Standard | 2.52+0.05* | 3.31+0.02** | 3.96+0.08** | |
| F1 | 2.72+0.04* | 3.55+0.04** | 4.24+0.05** | |
| F2 | 2.30+0.04 | 3.22+0.03** | 3.64+0.05** | |
| F3 | 2.05+0.04 | 2.52+0.04* | 3.48+0.04* | |
| Experimental | 1.91+0.05 | 2.09+0.06 | 2.64+0.04 |
Value are expressed as mean+SD, where n=6. *P<0.05, **P<0.01 as compare to normal group.
Serum globulin
When hepatotoxicity was induced in rats by CCl4, it was noticed that the total protein level as well as the globulin and albumin levels, also decreased. The rats were treated with different formulations and standard drug, and the level of all the proteins was gradually increased day by day in the experimental group as well. The results showed a significant elevation in globulin level on 21st d. The experimental group also slightly recovered globulin levels without any treatment. The results suggested that formulation-I was giving better results than others (formulation-II and III) (P<0.01).
Table 8: Showing the variation in serum globulin due administration of various formulations at different durations in experimental rats
| Blood parameter (unit) | Groups | 7 D | 14 D | 21 D |
| S. Globulin (g/dl) | Normal | 2.73+0.11 | 2.67+0.03 | 2.70+0.07 |
| Standard | 1.33+0.03 | 1.53+0.04* | 2.57+0.06** | |
| F1 | 1.43+0.05 | 1.88+0.04* | 2.67+0.03** | |
| F2 | 1.43+0.03 | 1.40+0.03 | 2.07+0.07* | |
| F3 | 1.44+0.05 | 1.48+0.07 | 1.82+0.01 | |
| Experimental | 1.29+0.08 | 1.33+0.03 | 1.57+0.01 |
Value are expressed as mean+SD, where n=6. *P<0.05, **P<0.01 as compare to normal group.
SGPT
In the present study, initially, hepatotoxicity was induced using CCl4 at a dose level of 1.5 ml/kg by single oral administration. Later on, three herbal formulations (F1, F2, and F3) and a standard drug (Silymarin) were used to overcome the hepatic damage. The dose (200 mg/kg) was given daily for various durations of 7, 14, and 21 d. After 24 h of the last administration of the drug, the level of SGPT was determined simultaneously, and the normal control and experimental control groups were also maintained. It was observed that significant recoupment was seen over the durations of 21 d (P<0.01). Though gradual recoupment was also seen at earlier durations of 7 and 14 d, maximum recovery was seen at later durations. And maximum recovery was also seen with the F1-formulation and the standard drug as compared to other formulations (F2 and F3).
Table 9: Showing the variation in SGPT due administration of various formulations at different durations in experimental rats
| Blood parameter (Unit) | Groups | 7 D | 14 D | 21 D |
| SGPT (IU/l) | Normal | 51.73+2.92 | 53.3+2.30 | 50.05+5.73 |
| Standard | 935.4+84.35** | 722.4+102.1** | 431.1+56.85** | |
| F1 | 816.9+53.51** | 616.5+81.02** | 297.1+71.83** | |
| F2 | 984.0+96.83** | 766.5+81.81** | 461.6+81.26** | |
| F3 | 1107.1+93.91** | 1040.3+132.3** | 626.4+58.45** | |
| Experimental | 1264.9+94.24 | 1500.9+30.34 | 998.9+125.0 |
Value are expressed as mean+SD, where N=6. *P<0.05, **P<0.01 as compare to normal group.
SGOT
In the present study, initially, hepatotoxicity was induced using CCl4 at a dose level of 1.5 ml/kg by single oral administration. Later on, three herbal formulations (F1, F2, and F3) and a standard drug (Silymarin) were used to overcome the hepatic damage. The dose (200 mg/kg) was given daily for various durations of 7, 14, and 21 d; after 24 h of the last administration of drugs, the level of SGOT was determined simultaneously, and normal control and experimental control groups were also maintained. It was observed that significant recoupment was seen at 21 d (P<0.01). Though gradual recoupment was also seen at earlier durations of 7 and 14 d, maximum recovery was seen at later durations. And maximum recovery was also seen in the case of F1 and the standard drug as compared to other formulations (F2 and F3).
Table 10: Showing the variation in SGOT due administration of various formulations at different durations in experimental rats
| Blood parameter (Unit) | Groups | 7 D | 14 D | 21 D |
| SGOT (IU/l) | Normal | 121.6+4.03 | 121.2+1.752 | 125.1+4.37 |
| Standard | 1581.0+187.9** | 1281.5+156.4** | 617.6+158.0** | |
| F1 | 1407.7+62.90** | 1094.7+181.5** | 486.0+84.79** | |
| F2 | 1620.0+124.7** | 1367.0+204.8** | 648.6+175.4** | |
| F3 | 1753.9+112.3** | 1549.0+251.0** | 855.8+117.2** | |
| Experimental | 1979.3+101.1 | 2176.4+73.01 | 1227.3+149.9 |
Value are expressed as mean+SD, where N=6. *P<0.05, **P<0.01 as compare to normal group.
ALP
The present study is done to determine the level of ALP in albino rats. During this study, CCL4 is administered once and induced hepatotoxicity, and then a comparative study is done using standard drug and three herbal formulations F-I, F-II, and F-III, with different compositions to overcome hepatotoxicity. It was observed that the rats that received the standard drug daily showed significant recoupment even after 7 d of treatment (P<0.01). Further, after 14 and 21 d, the value tends to be normal. Similarly, all three formulations significantly reduced the ALP level, which is comparable to the standard drug (P<0.05). At 21 d of duration, almost all the groups showed recoupment. But, the best results were shown by formulation-1 and the standard drug.
Table 11: Showing the variation in ALP due administration of various formulations at different durations in experimental rats
| Blood parameter (Unit) | Groups | 7 D | 14 D | 21 D |
| ALP (IU/l) | Normal | 833.3+43.0 | 910.2+12.9 | 862.8+51.6 |
| Standard | 1059.9+57.4** | 973.1+69.0* | 901.7+92.9 | |
| F1 | 988.5+94.9** | 903.5+104.0* | 873.9+34.1 | |
| F2 | 1087.6+47.1** | 963.7+84.64* | 915.8+36.1 | |
| F3 | 1143.8+107.5** | 1063.5+143.7* | 933.9+63.0 | |
| Experimental | 1124.7+52.2 | 1301.7+2.5 | 957.9+103.9 |
Value are expressed as mean+SD, where N=6. *P<0.05, **P<0.01 as compare to normal group.
Histopathological examination
After 07 d
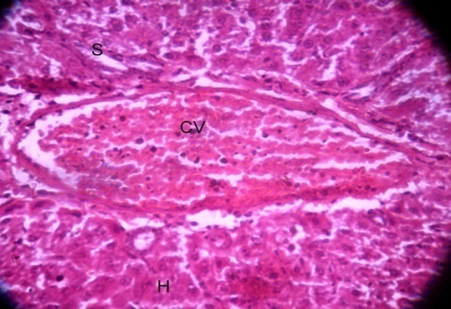
The present study is also done to study histopathological alterations in the rat liver, whose autopsy was done after the treatment of 7, 14, and 21 d. Fig. 1 shows a normal histoarchitecture of the liver with a clear CV, H, and S. Fig. 2 shows the structure of the liver after 7 d of treatment with the standard drug (Silymarin). The present study is also done to study histopathological alterations in the rat liver, whose autopsy was done after the treatment of 7, 14, and 21 d. Fig. 1 shows a normal histoarchitecture of the liver with a clear CV, H, and S. Fig. 2 shows the structure of the liver after 7 d of treatment with the standard drug (Silymarin). The CV is filled with RBC and damaged cells, and a fatty layer surrounds the CV, but the fat layer is thinner than that of rats treated with other formulations (fig. 3). With the treatment of Formulation-II, more damage was seen than with Formulation-I and the standard drug. CV is filled, and a thick fatty layer is present around CV. Hseem to be damaged, and S seem to be dilated due to hepatocellular damage (fig. 4). Whereas rats were treated with Formulation-III, hepatocellular damage was clearly seen. CV filled with damaged blood cells and surrounded by thick fatty layer inflammation in H was also clearly visible here; due to which S are compressed (fig. 5). In the experimental group, H seem to be more damaged than in other groups, where some air filled space was also observed due to hepatocellular damage. A fatty layer surrounds the CV, and vast damage was also noticed (fig. 6).
Explanation of fig. (07 D)
Fig. 1-6 (liver)
After 7 d, photomicrographs of the liver of rats were treated with CCl4, various formulations, and a standard drug.
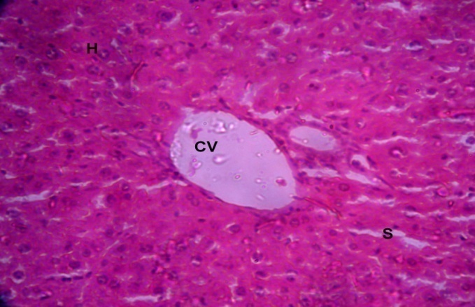
Fig. 1: Showing the normal histoarchitecture of the control rat liver with a clear CV and a normal arrangement of H and S (H and E stain 100X).
Fig. 2: After 7 d of treatment with the standard drug, showing damaged hepatic cells with blood-filled CV (H and E stain 100X).
Fig. 3: After 7 d of treatment with Formulation-I, damage in hepatic cells is surrounded by a fatty layer (H and E stain 100X).
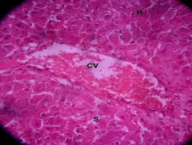
Fig. 4: After 7 d of treatment with Formulation-II, the damage in hepatic cells is more prominent as compared to Formulation-I. CV is filled with fluid, and a thick fatty layer is present around CV (H and E stain 100X).
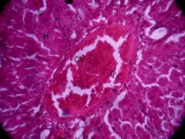
Fig. 5: After 7 d of treatment with Formulation-III. H show inflammation and S are compressed (H and E stain 100X).
Fig. 6: After 7 d of treatment with CCl4, there was hepatocellular damage and some air-filled spaces. A fatty layer surrounds the CV (H and E stain 100X).
Fig. 1: Normal control |
Fig. 2: Standard |
Fig. 3: F1 formulation |
Fig. 4: F2 formulation |
Fig. 5: F3 formulation |
Fig. 6: Experimental group |
After 14 d
In normal control, there was no evidence of any kind of hepatocellular damage presented during the histological examination (fig. 7). With the treatment of the standard drug, there was a slight recoupment as compared to 07 d. The CV seems to be clearer after 7 d of examination, and the fatty layer seems to be thinner as well (fig. 8). In the rats treated with formulation-I, a clear difference was seen after 7 and 14 d of examination. H cells seem to be repaired, and CV shows a clear lumen (fig. 9). Formulation-II recoupment seems to require more than a 7 d histological examination. But, hepatocellular damage was present. CV seems to be filled with fluid. A thick cellular layer surrounds the CV (fig. 10). Formulation-III treatment for 14 d showed less recoupment than other formulations (I and II) and the standard drug. CV is filled with damaged cells and surrounded by a thick layer (fig. 11). In the experimental group, there is no evidence of self-recoupment presented here without any treatment. Much more hepatocellular damage was seen as compared to other groups (fig. 12).
Explanation of fig. (14 d)
Fig. 7-12 (liver)
After 14 d, photomicrographs of the liver of rats were treated with CCl4, various formulations, and a standard drug.
Fig. 7: After 14 d of photomicrography, the control rat showed no evidence of hepatocellular damage (H and E stain 100X).
Fig. 8: After 14 d of treatment with the standard drug, there is a slight recoupment with a thinner fatty layer around CV and less fluid in CV (H and E stain 100X).
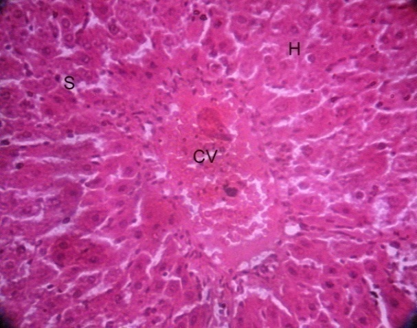
Fig. 9: After 14 d of treatment with Formulation-I, a clear lumen of CV and cells seems to be repaired with less damage in H (H and E stain 100X).
Fig. 10: After 14 d of treatment with Formulation-II, the thick cellular layer surrounding CV shows hepatocellular damage (H and E stain 100X).
Fig. 11: After 14 d of treatment with formulation-III, there was showing damage to the hepatic cellular arrangement CV filled with fluid. (H and E stain 100X).
Fig. 12: After 14 d of treatment with CCl4, there is no evidence of recoupment without treatment with any drug or formulation (H and E stain 100X).
Fig. 7: Normal control |
Fig. 8: Standard |
Fig. 9: F1 formulation |
Fig. 10: F2 formulation |
Fig. 11: F3 formulation |
Fig. 12: Experimental group |
After 21 d
The normal control group after 21 d showed no evidence of any kind of hepatocellular damage in the histological examination (fig. 13). When the rats were given the standard drug, well recoupment was seen, as compared to the 7 and 14 d examination, there was a clear CV present, and the arrangement of other segments like H and S seemed to be normal (fig. 14). However, Formulation-I showed recoupment in this group. The cell arrangement looks normal. Well-defined CV, H, and S also seemed to be normal (fig. 15), whereas due to treatment with Formulation-II, recoupment was seen in this group but was slower than in Formulation-I and II. CV, H, and S arrangements seem to be better than 7 and 14 d examination (fig. 16). Similarly, Formulation-III recoupment was seen, but less than other formulations and standard drug. The arrangement of H and S looks better than 7 and 14 d, but CV seems to be filled with damaged cells and is not clear (fig. 17). In the experimental group, very little self-recoupment without any treatment was seen, but hepatocellular damage was clearly seen. CV is not clear (fig. 18).
Explanation of fig. (21 d)
Fig. 13-18 (liver)
After 21 d, photomicrographs of the liver of rats were treated with CCl4, various formulations, and a standard drug.
Fig. 13: After 21 d in the control rats, the normal histoarchitecture was visible with the proper arrangement of H and CV (H and E stain 100X).
Fig. 14: After 21 d of treatment with the standard drug, the hepatic arrangement was regained with a clear CV (H and E stain 100X).
Fig. 15: After 21 d of treatment with Formulation-I, recoupment in the histoarchitecture with a high degree of improvement in the cellular arrangement of H and a clear CV are also seen (H and E stain 100X).
Fig. 16: After 21 d of treatment with Formulation-II, there was a slight improvement in cellular arrangement as compared to previous days (H and E stain 100X).
Fig. 17: After 21 d of treatment with Formulation-III, show better arrangement as compared to earlier durations (H and E stain 100X).
Fig. 18: After 21 d of treatment with CCl4, showing very little self-recoupment, CV is not clear (H and E stain 100X).
Fig. 13: Normal control |
Fig. 14: Standard |
Fig. 15: F1 Formulation |
Fig. 16: F2 Formulation |
Fig. 17: F3 Formulation |
Fig. 18: Experimental group |
Hepatic dysfunction, or hepatotoxicity, is a common ailment that may occur for various reasons. It includes cirrhosis, hepatitis, gallstones, jaundice, etc. To overcome it, various allopathic medicines are available. In the present study, the hepatotoxicity caused by CCl4 is tried to be overcome by three different formulations of herbal origin that have the fewest side effects. It was noticed that Formulation-I gave better results as compared to the other two formulations and the standard drug (Silymarin). During the study, various parameters, including total, direct, and indirect bilirubin, serum proteins (total, albumin, and globulin), SGPT, SGOT, and ALP, were studied to conclude the results.
Total bilirubin expresses the health of the liver, as it indicates liver and bile duct diseases. Normally, in newborns, the level of bilirubin is high. In the present study, due to treatment with CCL4, the values did not elevate very significantly. That may be due to the fact that CCL4 may not cause hemolytic toxicity and that the recovery rate is very high in rats. In the liver, bilirubin is conjugated with glucoronic acid by the enzyme glucoronyltransferase, making it water-soluble. The conjugated version is the main form of bilirubin. Most of it goes into the bile and thus into the small intestine, though most of the bile acid is reabsorbed in the terminal ileum and enters enterohepatic circulation. Conjugated bilirubin is not absorbed and passed into the colon, where it is metabolized by bacteria to urobilinogen and stereobilinogen, and the value remained unchanged, which suggests that there may not be hemolysis due to hepatotoxicity. We used turmeric as a single component in all the formulations, and turmeric has a protective effect against CCl4 [7]. Billirubin was significantly decreased by treatment with Allium sativa after CCl4 treatment. Some of the workers have also reported the protective effects of a combination of extracts of various herbs [11]. The hepatoprotective effects of Tinospora cordifolia and Phyllanthus emblica were reported by some researchers, where serum bilirubin remained unchanged [9], whereas another study reported unaltered billirubin due to Solanum nigrum [10].
While studying other biochemical parameters, it was noted that the marker enzymes recouped towards normal due to the administration of various formulations (I, II, and III) and a standard drug, which would have occurred due to the stabilization of the plasma membrane due to repair since it increased the binding and conjugation capacity of the H. Due to treatment with CCL4, the protein content has changed as a result of the disruption and dissociation of polyribosomes attached to the endoplasmic reticulum. As a result, defective protein synthesis will take place when various formulations and standard drug are administered. Various biochemical parameters showed recoupment due to the protective effects of the herbal doses and silymarin (the standard drug). Similar results were reported in another study, where serum protein, albumin and globulin, SGPT, SGOT, and ALP increased due to the administration of CCL4. This might occur due to the release of enzymes from the hepatic cells into the blood circulation due to membrane rupture and damage to the cells [6].
Similar results have been reported by many previous workers: Viz. turmeric extract in diets possesses a protective effect on CCl4-treated rats, In one such study, it has been reported that, during the experiment, rats were divided into 5 groups: (1) untreated, (2) CCl4-treated, (3) pre-turmeric extract for 2 w followed by CCl4, (4) turmeric extract+CCl4 given concurrently, and (5) 5% turmeric extract as a positive control. The serum levels of bilirubin, cholesterol, ALT, AST, and ALP were estimated after 1, 2, and 3 mo. CCl4 caused a maximum increase of 2-3-fold in all the above parameters. As compared to the CCl4 group, a short pre-treatment of turmeric extract showed a reduction in cholesterol, bilirubin, AST, ALT, and ALP activity, whereas concurrent treatment of turmeric extractandCCl4 reduced to a greater extent the levels of all parameters except ALT. The concurrent treatment of turmeric extract led to significant protection against CCl4, though the values did not reach normal levels [7].
Some researchers performed a study on the protective effect of Occimum tenuiflorum against hepatotoxicity in wistar albino rats due to atorvastatin. Rats were divided into 6 groups: Group I served as the control; Group II served as the hepatotoxic (Atorvastatin (AT) 80 mg/kg treated) group; and Groups III, IV, and V served as the 50, 150, and 300 mg/kg b.w. ethanolic extract of leaves of Ocimum tenuiflorum (EEOT) treated groups. Liver marker enzymes (AST, ALT, and ALP) and total bilirubin were measured and compared along with histopathological studies. The results show that treatment with EEOT significantly (P<0.05) and dose-dependently reduced AT-induced elevated serum levels of hepatic enzymes, which was confirmed by the histopathological studies. The results of this study indicate the protective effect of EEOT against AT-induced acute liver toxicity in rats, which scientifically supports its traditional use [8]. Some workers even worked on the combined effects of herbal plants; for example, Panchabhai et al. investigated the hepatoprotective effect of two Indian medicinal plants, Tinospora cordifolia and Phyllanthus emblica, and their combination in a rat model of isoniazid, rifampicin, and pyrazinamide-induced hepatic damage. Hepatic damage was assessed using a composite score assigned to histopathological findings of degeneration, necrosis, and fibrosis. The antituberculosis treatment (ATT), when given for 90 d, induced significant degeneration and necrosis associated with morphological changes. However, no change was found in the serum bilirubin or liver enzymes. Co-administration of silymarin (positive control, 50 mg/kg) with ATT protected against necrosis showed a reduction in liver damage, but it was not statistically significant. On the other hand, PE (300 mg/kg) prevented the necrotic changes to a significant extent (p<0.05 vs. ATT). The combination of Tinospora cordifolia and Phyllanthus emblicain their therapeutic doses (1:3) significantly prevented the necrosis (p<0.001 vs. ATT). Similar effects were seen even when the doses were halved and were comparable to the silymarin group. Thus, this study proves the synergistic protective effects exerted by the combination of Tinospora cordifolia and Phyllanthus emblica when co-administered with ATT [9].
The hepatoprotective effects of aqueous and methanolic extracts of Solanum nigrum were investigated in rats by Ehlag et al.; they injected 0.2 ml/kg of CCl4 for 10 consecutive days to induce hepatotoxicity. S. nigrum water extract (250 to 500 mg/kg) was administered to rats injected with CCl4 for 10 d. The water extracts showed a hepatoprotective effect against CCl4-induced liver damage, which was evident by the decrease in serum AST, ALT, and ALP activities, bilirubin concentration, and mild histopathological lesions when compared with the group of rats injected with CCl4 alone. The methanolic extracts of S. nigrum (250 to 500 mg/kg) also had hepatoprotective effects, with levels of serum AST, ALT, ALP, and bilirubin decreasing significantly in animals treated with S. nigrum methanolic extract compared to an untreated group [10]. All these above studies suggest hepatoprotective action on various medicinal herbs independently. In the present study, we have used three different formulations made by combining Curcuma longa, Solenam nigrum, Allium sativum, Ocimum tenuiflorum, and Phyllanthus emblica herbs and observed significant results in liver marker enzymes and other parameters, which were also supported by histopathological studies. The results showed similar patterns as reported by many previous workers. Hence, on the basis of these studies, a polyherbal preparation of common herbs could be used to overcome hepatotoxicity with the fewest side effects.
In the present study, histological examination also supported biochemical results. The histopathological study of the liver due to the administration of CCL4 showed reverse alterations in hepatic cells. It can be clearly noticed that the histoarchitecture of H was disturbed, along with the blood-filled CV and fatty layer around them. These observations also support the study of the biochemical parameters of F-I, F-II, and F-III along with the standard drug, as they also revealed similar results. After 7 d, the liver of the treated rats histological examination shows that all rat's livers were damaged due to hepatotoxicity induced by CCl4, and after 7 d, only the F-I and standard drug groups’s rats were slightly cured compared to other groups. After 14 d, the rats liver histological results suggested that F-I and the standard drug groups’s rats cured better, and on the other hand, F-II-treated rats showed comparable improvement in rats treated with F-III. After 21 d, the rats that were treated with F-I and the standard drug tend to become normal; their hepatocellular structure, like CV, H, and S, looked normal. While the examination of the F-II-treated rats suggested that they were recovering better than the F-III-treated rats but not like the rats treated with F-I and the standard drug, the experimental rat’s histopathological examination suggested that they were not recovering well. The active phytochemicals present in the formulation-I stabilize the plasma membrane of H and help to maintain the transport mechanism in Hsince ALP is a membrane enzyme, so it acts on the cell membrane and is triggered to repair the damaged cells after hepatotoxicity. Toxicity is decreased when standard drugs and various poly-herbal formulations are administered. In the present study, the ALP increased initially and recouped back to normal before 21 d with all the formulations and standard drug. F-I is the herbal formulation that provides the most effective results.
Based on various biochemical and histological studies, it was concluded that due to the administration of CCL4, hepatic injury occurs, which can be easily overcome by the treatment of various herbal formulations. In the present study, Formulation-I is most effective, consisting of Curcuma longa, Solanam nigrum, and Allium sativum, which are easily available in various places.
Carbon tetrachloride (CCl4), Serum glutamate pyruvate transaminase (SGPT), Alanine transaminase (ALT), Serum glutamic oxaloacetic transaminase (SGOT), Aspartate transaminase (AST), Alkaline Phosphatase (ALP), Lactate dehydrogenase (LD), Nicotinamide adenine dinucleotide+H (NADH), Nicotinamide adenine dinucleotide (NAD). p-nitrophenyl Phosphate (pNPP), Central Vein (CV), Sinusoids (S), and Hepatocytes (H).
First of all, I would like to thank my God, whose blessings have never let me down and endowed me with the wit and wisdom to carry this research to its conclusion.
It is my profound privilege and pleasure to express an overwhelming sense of gratitude and incontestable regards to my teacher and my guide, Dr. Kusum Singh, Head of Department of Zoology, Bundelkhand University, Jhansi, whose initiation, guidance, and valuable suggestions led me to carry out this work. Her sense of devotion and desire to produce something new to the field was a constant source of inspiration to me in the completion of this research work.
I pay my sincere regards to my ideal teacher, Dr. Vinita Ahirwar, for providing me with essential knowledge that helped me in the compilation of my research work. My gratitude extends in a very special manner to Dr. B. S. Bhadoria, who always boosted my morals and helped me in words and deeds in a very informal manner at every step.
Nil
The present research work was designed by Dr. Shekhar Kumar Sinoriya. The experiment was performed by Dr. Shekhar Kumar Sinoriya under the supervision of Dr. Kusum Singh.
The authors declare that there is no conflict of interest regarding the publication of this work.
Toxic hepatitis. Mayo Clinic Publications; 2022. Available from: https://www.mayoclinic.org/diseases-conditions/toxic-hepatitis/symptoms-causes/syc-20352202 [Last accessed on 26 May 2024].
Shimizu I. Lipid peroxidation in Hepatic fibrosis; 2012. Available from: https://www.intechopen.com/chapters/38462.
Cirrhosis of the liver-American liver foundation. Available from: https://liverfoundation.org/for-patients/about-the-liver/diseases-of-the-liver/cirrhosis [Last accessed on 26 May 2024].
Ha BJ, Lee JY. The effect of chondroitin sulfate against CCL4-induced hepatotoxicity. Biol Pharm Bull. 2003;26(5):622-6. doi: 10.1248/bpb.26.622, PMID 12736501.
Yasusuke M. Learning toxicology from CCl4-induced hepatotoxicity. Yakugaku Zasshi. 2006 Oct;126(10):885-99. doi: 10.1248/yakushi.126.885, PMID 17016019.
Sallie R, Michael Tredger J, Williams R. Drugs and the liver part 1: testing liver function. Biopharm Drug Dispos. 1991;12(4):251-9. doi: 10.1002/bdd.2510120403, PMID 1873506.
Deshpande UR, Gadre SG, Raste AS, Pillai D, Bhide SV, Samuel AM. Protective effect of turmeric (Curcuma longa L.) extract on CCl4-induced liver damage in rats. Indian J Exp Biol. 1998 Jun;36(6):573-7. PMID 9731471.
Pasala PK. Screening of ethanolic extract of Ocimum tenuiflorum for recovery of atorvastatin-induced hepatotoxicity. International Journal of Pharmacy and Pharmaceutical Sciences. 2013 Jan;5:346-9.
Panchabhai TS, Ambarkhane SV, Joshi AS, Samant BD, Rege NN. Protective effect of Tinospora cordifolia Phyllanthus emblica and their combination against antitubercular drugs induced hepatic damage: an experimental study. Phytother Res. 2008;22(5):646-50. doi: 10.1002/ptr.2356, PMID 18389486.
Elhag Ramet Al. Hepatoprotective activity of solanum nigrum extracts on chemically induced liver damage in rats. J Vet Med Anim Health. 2011;3(4):45-50. doi: 10.5897/JVMAH.9000013.
Haji Mohammadi KH, Heidarpour M, Borji H. In vivo therapeutic efficacy of the Allium sativum me in experimentally echinococcus granulosus infected mice. Comp Immunol Microbiol Infect Dis. 2018 Oct;60:23-7. doi: 10.1016/j.cimid.2018.10.001, PMID 30396426.
Pearlman FC, Lee RT. Detection and measurement of total bilirubin in serum with use of surfactants as solubilizing agents. Clin Chem. 1974 Apr;20(4):447-53. PMID 4818198.
Sax SM. New York: harper & row publishers Oxford University press academic. Clinical chemistry principles and Technics. 2nd ed Henry RJ, Winkelman JW, Cannon DC, editors. XII+1629; 1975. p. 267. Available from: https://academic.oup.com/clinchem/article-abstract/21/2/273/5691052 [Last accessed on 10 Jun 2024].
Kroll M. Philadelphia: WB Saunders. Oxford University Press Academic; 1998. Tietz textbook of clinical chemistry. 3rd ed Burtis CA Ashwood ER editors; 1917. p. 1999. Available from: https://academic.oup.com/clinchem/article/45/6/913/5643230 [Last accessed on 10 Jun 2024].
Schumann Get Al. IFCC primary reference procedures for the measurement of catalytic activity concentrations of enzymes at 37 °C international federation of Clinical Chemistry and Laboratory Medicine nih reference procedure for the measurement of catalytic concentration of alanine aminotransferase-part 4. Clin Chem Lab Med. 2002 Jul;40(7):718-24. doi: 10.1515/CCLM.2002.124.
Bergmeyer HU. Provisional recommendations on IFCC methods for the measurement of catalytic concentrations of enzymes. Clin Chem. 1977;23(5):887-99. doi: 10.1093/clinchem/23.5.887.
Rej R, Bretaudiere JP, Graffunder B. Measurement of aspartate aminotransferase isoenzymes: six procedures compared. Clin Chem. 1981 Apr 1;27(4):565-42. doi: 10.1093/clinchem/27.4.535.
Mefanet C, S. Medical faculties’ network. Total protein, Wiki lectures; 2022. Available from: https://www.wikilectures.eu/w/Total_protein [Last accessed on 10 Jun 2024].
Henry RJ. Clinical chemistry; principles and technics. Google Books; 1974. Available from: https://www.google.co.in/books/edition/Clinical_Chemistry_Principles_and_Techni/6cjwAAAAMAAJ?hl=enandgbpv=0andbsq=inauthor%3A%22Richard+Joseph+Henry%22 [Last accessed on 10 Jun 2024].
Rodkey FL. Direct spectrophotometric determination of albumin in human serum. Clinical Chemistry. 1965;11(4):478-87. doi: 10.1093/clinchem/11.4.478.
Doumas BT, Watson WA, Biggs HG. Albumin standards and the measurement of serum albumin with bromcresol green. Clin Chim Acta. 1971;31(1):87-96. doi: 10.1016/0009-8981(71)90365-2, PMID 5544065.
Copeland WH, Nealon DA, Rej R. Effects of temperature on measurement of alkaline phosphatase activity. Clin Chem. 1985;31(2):185-90. doi: 10.1093/clinchem/31.2.185, PMID 3967347.
Burtis CA, Ashwood ER, Bruns DE. Tietz Fundamentals of Clinical Chemistry; 2008;18(3):384-5.