
1Department of Pharmacology, Jorhat Medical College and Hospital, Assam, India. 2Department of Pharmacology, Tinsukia Medical College and Hospital, Assam, India. 3Department of Pharmacology, Jorhat Medical College and Hospital, Assam, India
*Corresponding author: Hirina Basumatary; *Email: hirinabasumatary40@gmail.com
Received: 13 May 2024, Revised and Accepted: 17 Jun 2024
ABSTRAC
Objective: To evaluate the acute anti-inflammatory activity of Aqueous Extract of Mimosa pudica (AEMP) on carrageenan-induced paw edema on Swiss albino mouse and to compare the histopathology findings of control, standard and treated Paws of mouse.
Methods: 24 Albino mice (20±2g) were divided into 6 groups. Anti-inflammatory activity using carageenan-induced paw edema method were measured at various intervals on Day 1 followed by histopathological examination of paw. Aspirin was taken as the standard drug, three different doses (100 mg/kg, 200 mg/kg and 400 mg/kg) of AEMP were taken as test drug. Left paw of mouse was considered as control. Statistical analyses were done using Analysis of Variance (ANOVA) followed by Tukey’s multiple comparison tests, p-value<0.05 was considered for significant difference.
Results: AEMP showed significant anti-inflammatory activity at all doses (100, 200, 400 mg/kg) when compared to carrageenan-induced group. The study showed that test drug AEMP at the dose of 400 mg/kg produced maximum reduction of paw edema at 4 h. The reduction in paw edema of mice was lower in the 1 h and showed maximum reduction at 4 h. The AEMP significant (p≤0.05) anti-inflammatory activities in a dose-dependent manner to that of the standard drug Aspirin.
Conclusion: The study suggests that AEMP has anti-inflammatory property and can be used in the treatment of pain. However, further study is necessary in this regard.
Keywords: Mimosa pudica, Anti-inflammatory, Aspirin, Carrageenan, Paw edema
© 2024 The Authors. Published by Innovare Academic Sciences Pvt Ltd. This is an open access article under the CC BY license (https://creativecommons.org/licenses/by/4.0/)
DOI: https://dx.doi.org/10.22159/ijpps.2024v16i8.51414 Journal homepage: https://innovareacademics.in/journals/index.php/ijpps
Inflammation is a common physiological occurrence that results in either acute or chronic pain following tissue damage. Inflammation is a defensive response of an organism against invasion by foreign bodies like bacteria, parasites, viruses. An acute inflammatory response is manifested as redness, heat, swelling, pain and loss of function [1]. According to Celsus, inflammation is characterized by the four latin words Rubor, Calor, Dolor and Tumor [2].
Currently using Non-Steroidal Anti-Inflammatory Drugs (NSAID) are not entirely devoid of adverse effects. Hence the search for better and safe anti-inflammatory agents continues to be an area of interest. This has resulted in increase in demand for natural products with anti-inflammatory activity having lesser side effects. Many medicinal plant based drugs and formulation are in use since ancient times [3].
Traditionally Mimosa pudica is used as a folk lore medicine. Mimosa pudica is locally known as lajuki lota in Assam of North East India and commonly known as sensitive plant in English. Mimosa pudica is a part of the Fabaceae family and belongs to the Mimosoideae subfamily [4]. Mimosa pudica is often found in most areas like waste ground, lawns, open plantation and overgrown weedy patches [5]. It is a creeping herbaceous plant grows either annually or perennially. The leaves of Mimosa pudica are also used in the treatment of diarrhea, dysentery, fistula, hemorrhoids, hydroceles and glandular swellings [6]. Mimosa pudica has a variety of pharmacological properties, including hepatoprotective [7], anti-inflammatory[8], antimicrobial [9], wound healing [10], analgesic [11], antidiabetic [12], antioxidant [13], anticancer [14], hypolipidemic [15], antifertility, anti-depressant and sedative [16]. Mimosa pudica is a source of natural origin which has various medical benefits. Phytochemical screening on Mimosa pudica had shown the presence of constituents like alkaloid, non-protein amino acids (mimosine), glycosides, sterols, terpenoids, tannis and fatty acids [17]. Hence if a drug could be prepared from medicinal plants which has anti-inflammatory property, it can be utilized to treat both acute and chronic inflammation while helping to avoid the side effects known with the currently available drugs in the market [18].
Therefore this study was undertaken to evaluate acute anti-inflammatory activity of AEMP leaves on carrageenan induced paw edema on Swiss albino mouse and using histopathological examination of the paws of mouse.
The study was conducted within the period of one month in the Department of Pharmacology at Jorhat Medical College and Hospital after obtaining approval from the Institutional Animal Ethics Committee (IAEC) filed under the acceptance no IAEC/JMCH/09/2023/005.
Animals
Swiss albino mice of either sex, 24 in number, weighing (20±2g) were procured from Chakraborty Enterprise, Kolkata, India (Regd. No.1443/PO/b/11/CPCSEA). Animals were kept in the central animal house, Jorhat Medical College and Hospital, Jorhat. Animals were housed in clean, transparent polypropylene cages and maintained at standard laboratory temperature and humidity. The experimental animals were fed commercially available chow pellet and drinking water was provided in bottles ad libitum. They were allowed to acclimatize for a week before starting the experiment. All the animals were taken care of to prevent coprophagy, under ethical consideration. The animal in this study was performed in accordance with Committee for Control and Supervision of Experiments on Animals (CCSEA) guidelines [19].
Drugs and chemicals
Aspirin was obtained from USV Private limited; Carrageenan was obtained from HiMedia laboratories Pvt. ltd. and AEMP was prepared in the Department of Pharmacology, Jorhat Medical College and Hospital.
Preparation of plant extract
Mimosa pudica plants were collected from Jorhat Medical College campus Jorhat and the plant material was identified and authenticated by Dr Iswar Chandra Barua, Principal Scientist AICRP on Weed Management Department of Agronomy, Assam Agriculture University (Weed Herbarium Accession No. AAU-WH-5490). The leaves of Mimosa pudica plants were washed with distilled water to remove dirt and soil and shade dried at room temperature. The dried leaves were powdered. The powdered material (70g) was dissolved in 400 ml of distilled water then transferred to the thimble, with filter paper, of soxhlet apparatus. It was then allowed to boil for 3 cycles (each lasting for 6 h). The remaining solid material in the thimble was discarded. The concentrated extract remained in the boiling flask which was filtered through whatman filter paper no 1 [20]. The filtrate was evaporated using a spirit lamp. The percentage of yield obtained was 21%.
Preparation of carrageenan solution
We had prepared carrageenan solution by dissolving 10g of carrageenan in 1000 ml of distilled water. 0.1 ml of 1% w/v suspension of carrageenan in normal saline was injected into sub planter region of right hind paw to induce edema [18].
Acute toxicity study
The acute toxicity test was done for AEMP following Organisation for Economic Co-operation and Development (OECD) 425 guidelines. The AEMP was found to be non-toxic upto a dose 2000 mg/kg. Therefore, 100 mg/kg, 200 mg/kg and 400 mg/kg were selected for the study [21].
Anti-inflammatory test
The mouse was subjected to anti-inflammatory test using digital plethysmometer [22]. To evaluate the anti-inflammatory activity of AEMP on carrageenan induced paw edema on Swiss albino mouse.
For acute anti inflammatory activity
On day 1, 24 numbers of test Swiss albino mice of either sex, weighing (20±2g) were divided into 6 groups.
Group 1: left paw of mice was taken as control
Group 2: carrageenan induced (carrageenan 1% w/v)
Group 3: received Aspirin (standard drug 100 mg/kg per oral)
Group 4: received Aqueous Extract of Mimosa pudica (Test drug 100 mg/kg per oral)
Group 5: received Aqueous Extract of Mimosa pudica (Test drug 200 mg/kg per oral)
Group 6: received Aqueous Extract of Mimosa pudica (Test drug 400 mg/kg per oral)
Methods
There were total 24 mice which were divided into six groups, each group consists of 4 mice. Baseline measurement of paw volume was taken using digital plethysmometer after marking the paw at the level of lateral malleolus. One h after the treatment 0.1 ml of 1% suspension of carrageenan in normal saline was injected into sub plantar region of right hind paw to induce edema. The paw volume was measured at 1 h, 2 h, 3 h, and 4 h initially after carrageenan injection by dipping the hind limb up to the marked level to find the effect of administration of the test and standard drug on acute inflammation.
Histopathology
After recording the paw volume of mice in the digital plethysmometer, paw region was collected after sacrificing the animal through cervical dislocation method [23]. Histopathological examination was done for all the groups and changes were recorded with the help of a pathologist in the Department of Pathology, Jorhat Medical College and Hospital.
Statistical analysis
Statistical analyses were performed using one way ANOVA followed by Post hoc test (Tukey’s multiple comparison tests) and results were expressed as mean±standard deviation (mean±SD). Statistically significant difference among the groups was established when probability value (p value) was less than 0.05. The results were calculated using Graph Pad Prism software version 5.0 [24].
At the end of the study, it was observed that AEMP decreased carrageenan induced paw edema in a dose dependant manner. A significant reduction of paw edema in mice administered with aspirin 100 mg/kg was noted from 1 h with the maximum reduction observed at 4 h. A significant reduction of paw edema of mice was observed after administration of low dose of the test drug (AEMP, 100 mg/kg) from 1 h with maximum reduction at 4 h when compared to carrageenan induced group. The AEMP in doses of 200 and 400 mg/kg exhibited marked acute anti-inflammatory activity when compared to the carrageenan induced group, leading to a significant reduction of paw edema from 1 h with maximum reduction at 4 h in the carrageenan induced paw edema test (table 1).
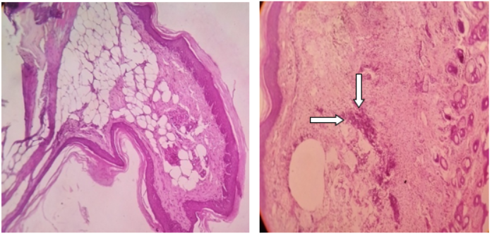
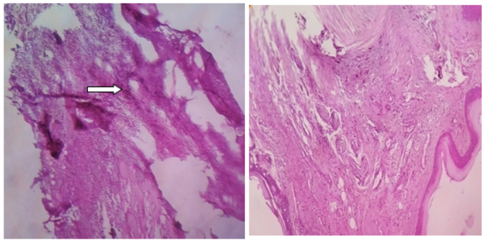
Histopathological examination showed a higher cellular infiltration in the mice paws on sub plantar injection of 0.1 ml of 1% carrageenan. Whereas less number of cellular infiltrate was seen with administration of low dose of test drug (AEMP) and aspirin treated mice paws as compared to carrageenan treated mice.
At high doses of test drug (AEMP) treated mice paw edema showed greater effect in reducing the cellular infiltrates as compared to carrageenan induced mice paw (fig. 2).
Table 1: Acute anti-inflammatory activity of AEMP on carrageenan induced paw edema of mice
| Day 1 | Volume of water displaced (ml) | |||||
| Time | Group 1 | Group 2 | Group 3 | Group 4 | Group 5 | Group 6 |
| 1 h | 0.100±0.014 | 0.131±0.036 | 0.123±0.019 | 0.120±0.189 | 0.110±0.000 | 0.108±0.004 |
| 2 h | 0.100±0.14 | 0.153±0.34 | 0.110±0.017* | 0.111±0.14* | 0.090±0.000* | 0.096±0.005* |
| 3 h | 0.100±0.14 | 0.173±0.031 | 0.100±0.010* | 0.105±0.008* | 0.090±0.000* | 0.095±0.005* |
| 4 h | 0.100±0.14 | 0.190±0.029 | 0.090±0.008* | 0.093±0.008* | 0.090±0.000* | 0.083±0.005* |
Group 1 = Control (left paw of mice), Group 2 = carrageenan induced (0.1 ml of 1% w/v), Group 3: Aspirin (Standard drug 100 mg/kg per oral), Group 4 = AEMP (100 mg/kg per oral), Group 5 = AEMP (200 mg/kg per oral), Group 6 =AEMP (400 mg/kg per oral. One way ANOVA followed by Turkey’s multiple comparison tests was performed. All the values are expressed as mean standard deviation (mean±SD). N = 4 in each group, *p<0.05 = when compared with carrageenan induced group.




Fig. 1: Effects of standard drug and test drug at various time interval of carrageenan induced paw edema in mice

A. Control B. Carrageenan induced paw edema

C. Mimosa pudica low dose D. Mimosa pudica high dose

E. Aspirin
Fig. 2: Histopathological changes in paw edema after injection of carrageenan, AEMP and Aspirin. Arrows indicate the infiltrated cells
The carrageenan induced paw edema is considered as a biphasic event, with the initial phase characterized by the release of histamine, serotonin and kinins within the first h after injection of carrageenan. While the second phase of edema occur due to the release of prostaglandins like substances. The second phase begins at the end of first phase and remains up to 2-3 h [25].
In the present study the acute inflammatory effect of AEMP by the carrageenan induced paw edema method showed that the test drug AEMP at the dose of 400 mg/kg produced maximum anti-inflammatory effects at 4 h as the reduction in paw edema of mice was maximum at the end of 4 h. The study showed a dose dependent reduction in paw edema with different doses of AEMP. These findings suggest that the AEMP could potentially exert its effects by inhibiting prostaglandin formation, rather than through the inhibition of histamine or serotonin release.
This was found to be comparable with standard drug aspirin at reducing paw edema. These results were concurrent with the study by Sunil Mistry et al. 2012, [5]. They showed that Mimosa pudica extract has significant activity in a dose dependant manner as compared to the control group. The results observed that the extracts of Mimosa pudica leaves were effective in acute inflammation. In another study by Venkateshwarlu Goli et al. 2011, [26] found that extract of Mimosa pudica has significant anti inflammatory activity by decreasing the paw edema. As evidenced by Udyavar et al.2022, [18] they found that extract of Mimosa pudica showed reduction of paw edema in a dose dependant manner and also found that similar study done by Nair P V et al. 2017 [2] they showed the extract of Mimosa pudica showed a significant anti-inflammatory activity as compared to control
Phytochemical screening done on Mimosa pudica leaf extract showed the presence of bioactive components such as terpenoids, flavonoids, glycosides, alkaloids, quinines, phenols, saponins and coumarins [27]. The present study findings indicate that the extract primarily inhibit the release of prostaglandin-like substances, triggered by inflammatory stimuli. Flavonoids exhibit anti-inflammatory properties and also some of them act as inhibitors of phospholipase. These inhibitors have demonstrated the capability to reduce the inflammatory reaction to carrageenan induced paw edema.
Phytochemical analysis done in other studies revealed the presence of phytoconstituents like flavonoids, terpenoids, phenols, glycosides, alkaloids, quinines, tannis, saponins and coumarin in the ethanolic extract of leaves of Mimosa pudica [28]. It is likely that the anti-inflammatory activity seen with Mimosa pudica could be because of the above mentioned phytoconstituents.
The results obtained from this study, it is proved that Mimosa pudica has anti-inflammatory activity. As the present anti-inflammatory drugs available are associated with various potential severe adverse effects, Mimosa pudica may serve as an answer to the ongoing search for a safer anti-inflammatory drug. However, there’s a long way to go to find the exact mechanism involved, to find out the subacute and chronic effects of this drug and finally to try on human beings.
We would like to thank the Department of Pharmacology, Jorhat Medical College and Hospital for their constant support during this entire research work. We also thank Dr Iswar Chandra Barua, Principal Scientist AICRP on Weed Management Department of Agronomy, Assam Agriculture University, Jorhat for his help in taxonomical identification.
Nil
The study protocol was designed by Dr Pallavi Bordoloi. Data collection, data analysis and preparation of the manuscript were done by Dr Hirina Basumatary. Editing of the overall research work was done by Dr Dipjyoti Deka.
There are no conflicts of interest
Patil KR, Mahajan UB, Unger BS, Goyal SN, Belemkar S, Surana SJ. Animal models of inflammation for screening of anti-inflammatory drugs: implications for the discovery and development of phytopharmaceuticals. Int J Mol Sci. 2019 Sep 5;20(18):4367. doi: 10.3390/ijms20184367, PMID 31491986, PMCID PMC6770891.
Nair PV, Nair BL. Anti-inflammatory activity of hydroalcoholic extract of Mimosa pudica whole plant in rats. Int J Basic Clin Pharmacol. 2017;6(3):ijbcp20170473. doi: 10.18203/2319-2003.ijbcp20170473.
Mirje MM, Zaman SU, Ramabhimaiah S. Evaluation of the anti-inflammatory activity of Ocimum sanctum linn (Tulsi) in albino rats. Int J Curr Microbiol Appl Sci. 2014;3(1):198-205.
RL, DA. Evaluation of free radical scavenging activity of mimosa pudica thorns. Asian J Pharm Clin Res. 2018;11(11). doi: 10.22159/ajpcr.2018.v11i11.27426.
Mistry S, Patidar R, Vyas V. Anti-inflammatory activity of Mimosa pudica linn. (Mimosaceae) leaves: an ethnpharmacological study. J Pharm Sci Res. 2012;4(3):1789-91.
Dsouza FV, MJ, Dsouza HM. Antidepressant effect of ethanolic extract of mimosa pudica compared with imipramine in mice models. Asian J Pharm Clin Res. 2023;16(1):53-5. doi: 10.22159/ajpcr.2023.v16i1.46988.
Kaushik KK, Sahu P, Kumar P. Effect of lindane (𝛿-isomer) on liver enzymes in mice (Mus musculus) and hepatoprotective activity of Mimosa pudica. Asian J Sci Technol. 2018;9(3):7787-91.
Patel NK, Bhutani KK. Suppressive effects of Mimosa pudica (L.) constituents on the production of LPS-induced pro-inflammatory mediators. Excli J. 2014 Aug 29;13:1011-21. PMID 26417317, PMCID PMC4464187.
Tomar SR, Shrivastava V, Kaushik S. In vitro efficacy of methanolic extract of Mimosa pudica against selected micro-organisms for its broad spectrum antimicrobial activity biosynthesis of gold nanoparticles view project Mimosa pudica-a broad spectrum antimicrobial herb view project micro-organisms for its broad spectrum antimicrobial activity. Int J Curr Microbiol Appl Sci. 2014;3(4):780-4.
Kokane DD, More RY, Kale MB, Nehete MN, Mehendale PC, Gadgoli CH. Evaluation of wound healing activity of root of Mimosa pudica. J Ethnopharmacol. 2009;124(2):311-5. doi: 10.1016/j.jep.2009.04.038, PMID 19397984.
Patro G, Bhattamisra S, Mohanty B. Analgesic, antiepileptic, and behavioral study of Mimosa pudica (Linn.) on experimental rodents. Int J Nutr Pharmacol Neurol Dis. 2015;5(4):144-50. doi: 10.4103/2231-0738.167502.
Baharuddin NS, Roslan MA, Bawzer MA, Mohamad Azzeme A, Rahman ZA, Khayat ME. Response surface optimization of extraction conditions and in vitro antioxidant and antidiabetic evaluation of an under-valued medicinal weed, Mimosa pudica. Plants (Basel). 2021 Aug 18;10(8):1692. doi: 10.3390/plants10081692, PMID 34451737, PMCID PMC8399142.
Lakshmibai R, Amirtham D. Antimicrobial activity of Mimosa pudica thorns. Int Res J Pharm. 2018;9(6):202-6. doi: 10.7897/2230-8407.096117.
Jose J, Dhanya AT, Haridas KR, Sumesh Kumar TM, Jayaraman S, Variyar EJ. Structural characterization of a novel derivative of myricetin from Mimosa pudica as an anti-proliferative agent for the treatment of cancer. Biomed Pharmacother. 2016 Dec;84:1067-77. doi: 10.1016/j.biopha.2016.10.020, PMID 27780135.
Rajendran R, Krishnakumar E. Hypolipidemic activity of chloroform extract of Mimosa pudica leaves. Avicenna J Med Biotechnol. 2010 Oct;2(4):215-21. PMID 23408779.
Onyije FM, Nwanze MC, Alade GO, Alade TO, Mgbere OO, Okpora CK. Mimosa pudica protects the testes against cadmium-induced inflammation and oligospermia: potential benefits in treatment of heavy metal toxicity. Pathophysiology. 2018 Dec;25(4):293-7. doi: 10.1016/j.pathophys.2018.04.005. PMID 29739640.
Genest S, Kerr C, Shah A, Rahman MM. Saif-E-Naser GM, Nigam P. Comparative bioactivity of two Mimosa species. Latt Am Caribb Bull Med Aromat Plants. 2008;7(1):38-43.
Udyavar S, Kumar SK, Shruthi. Evaluation of anti–inflammatory activity of ethanolic extract of Mimosa pudica in swiss albino mice. Int J Toxicol Pharmacol Res. 2022;12(8):231-7.
Vikram PK, Malvi R, Jain DK. Evaluation of analgesic and anti-inflammatory potential of Mimosa pudica linn. Int J Curr Pharm Res. 2012;4(4):47-50.
Gennaro A, Marderosian AD, Hanson GR, Medwick T, Popovich NG, Schnaare RL. Solutions, emulsions, suspension and extracts. The science and practice of pharmacy. 20th ed. Philadelphia: Lippincott Williams & Wilkins; 2000. p. 721-52.
OECD Guideline for testing of chemicals (Internal). Section 4. France: OECD publishing; 2006, Healtheffects: Test no. 425: Acute oral toxicity: Up and down procedure; 2006.
Medhi B, Prakash A. Practical Manual of experimental and Clinical Pharmacology. 2nd ed Anti Inflammatory. New Delhi; 2017. p. 254-7.
Ismail SM, Rao KR, Bhaskar M. Evaluation of anti-inflammatory activity of Boswellia serrata on carrageenan induced paw edema in albino Wistar rats. Int J Res Med Sci. 2017;4(7):2980-6. doi: 10.18203/2320-6012.ijrms20161989.
Dakhale GN, Hiware SK, Shinde AT, Mahatme MS. Basic biostatistics for post-graduate students. Indian J Pharmacol. 2012 Jul;44(4):435-42. doi: 10.4103/0253-7613.99297, PMID 23087501.
Brooks PM, Day RO. Nonsteroidal antiinflammatory drugs-differences and similarities. N Engl J Med. 1991 Jun 13;324(24):1716-25. doi: 10.1056/NEJM199106133242407, PMID 2034249.
Goli V, Vijay Bhaskar KV, Macharla SP. Effects of anti-inflammatory activity of Mimosa pudica. Asian J Pharm Res. 2011;1(3):69-71.
Ahmad H, Sehgal S, Mishra A, Gupta R. Mimosa pudica l. (Laajvanti): an overview. Pharmacogn Rev. 2012 Jul;6(12):115-24. doi: 10.4103/0973-7847.99945, PMID 23055637.
Mohan SM, Pandey B, Rao SG. Phytochemical analysis and uses of Mimosa pudica linn. in Chhattisgarh. J Environ Sci Toxicol Food Technol. 2015;1(3):1-4.