1, 2Department of Pharmaceutics, Faculty of pharmacy, October 6University, 6th October City, Giza, Egypt, 3Department of Pharmacology, National Research Centre, El-Bohoth St., Dokki, Cairo, Egypt
Email: saharmfayez@yahoo.com
Received: 27 Sep 2014 Revised and Accepted: 28 Oct 2014
ABSTRACT
Objective: Etodolac (ETD) is a non-steroidal anti-inflammatory drug used for the acute and chronic treatment of rheumatoid arthritis. It exhibits poor water solubility so its bioavailability is limited. Long term use of ETD causes serious gastrointestinal disturbance. Lecithin organogels (Los) have generated considerable interest over the years as potential topical drug delivery vehicle. Therefore, the objective of this study was to formulate ETD in lecithin organogels as a transdermal delivery system.
Methods: Based on the preliminary studies, pseudoternary phase diagrams were constructed using isopropyl myristate (IPM), water and lecithin as a surfactant with different cosurfactants (CoS) and organogel areas were identified and three systems each of 36 formulae were prepared. A number of organogels were selected and loaded with 1% ETD then evaluated for visual inspection, spreadability, pH, rheological and in vitro release studies to select the optimum formulae. The selected formulae were subjected to ex-vivo permeation through excised abdominal rabbit skin and their stability was studied for one year of storage under ambient conditions. The therapeutic efficacy of ETD including analgesic activity and anti-inflammatory effect was monitored.
Results: The prepared ETD organogels showed suitable properties for topical application and the selected formulae (F3, F14 & F39) showed enhanced permeation. The In vivo study showed a significant difference in the therapeutic efficacy of formula F14, containing 10% IPM, 40% lecithin/PG in the ratio of (5:1) and 50% water, compared to a market product. Skin irritation test and histopathological studies proved the safety of this formula.
Conclusion: So this organogel formula (F14) is considered to be a potential vehicle for a sustained release transdermal delivery system for ETD.
Keywords: Etodolac, Lecithin, Organogels, Permeation, In vivo study.
INTRODUCTION
Etodolac (ETD) is a novel non-steroidal anti-inflammatory drug used for the acute and chronic treatment of osteo and rheumatoid arthritis[1]. The most common side effects occurring during therapy with ETD is generally gastrointestinal disturbances[2].
ETD is a class II drug with low solubility and high permeability [3]. The bioavailability of ETD is expected to be limited by the dissolution rate. Improving the oral absorption may include incorporation of the active lipophilic component into inert vehicles such as cyclodextrin or PEG and the resulting product might be characterized by the large weight dosage form which is a factor in decrease patient compliance [4].
One of the highly successful alternative delivery methods to overcome the disadvantage of the oral route, is the transdermal delivery system[5]. Transdermal drug delivery system (TDDS) provides a mean to sustain drug release as well as reduce the intensity of drug actions and thus reduce the side effects associated with its oral therapy [6].
Various kinds of formulations and strategies have been evolved to deliver the drug to the skin layers (cutaneous delivery), or through the skin and into the systemic circulation (percutaneous absorption). One of the effective approaches is the lipid-based formulations [7]. The importance of lipids has especially increased after realizing the utility of phospholipids, the natural bio-friendly molecules, which in collaboration with water can form diverse types of structures [8].
In a recent development, phospholipids in conjunction with some other additives have been shown to provide a very promising topical drug delivery vehicle known as lecithin organogels (LOs). LOs have emerged as one of the most potential carrier systems in contrast to other lipid-based systems such as vascular systems, liposomes and noisome [9].
Lecithin organogels are thermodynamically stable, clear, viscoelastic, biocompatible and isotropic gels composed of phospholipids (Lecithin), appropriate organic solvent and polar solvents [10].
The coexistence of organic and aqueous phases by means of a structurally well-defined micellar network of phospholipids, a large interfacial area, and the possibility to entrap solutes within the gel matrix, along with long-term stability, makes them useful for a variety of applications. The topical applications of various drugs containing LO systems had been demonstrated to significantly enhance the skin permeation and absorption of both lipophilic and hydrophilic substances. The organized micro structural matrix, amphiphilicity, supersolubilizing capacity and interaction of the biolipids with skin tissues are some of the major promoting factors for an enhanced transport of drug molecules into or across the skin [9].
Therefore, the objective of the current study was to formulate the anti-rheumatic drug, ETD in lecithin organogels as a potential transdermal drug delivery vehicle. The study included development of ETD lecithin organogels using different cosurfactant as well as physicochemical and biological evaluation of the prepared formulae. In addition, studying the stability and safety of the selected organogels was carried out to ensure their suitability for patient use.
MATERIALS AND METHODS
Materials
Etodolac (ETD) was kindly donated by Pharco, Egypt; Lecithin (Lipoid S-75) was kindly donated by Medical Union Pharmaceuticals Co, Egypt; Propylene glycol(PG)(Merck-schuchardt, Germany); Polyethylene glycol 400 (PEG), (Fluka, Switzerland);Ethanol, analytical grade; Isopropyl myristate (IPM), (Merck-schuchardt, Germany);Olive oil (Gomhorya Company, Egypt); Jojoba oil (Agricultural research center, Sinai, Egypt); Carrageenan sodium (BHD, Poole, England); Formalin (Adwic, El-Nasr Pharmaceutical Chemical Company, Egypt).
MethodologyPreliminary studies for development of ETD lecithin organogels using different cosurfactants
The maximum solubility of ETD was determined in different oils (IPM, Jojoba oil, and Olive oil) and cosurfactants (PEG 400, PG and ethanol)[11].
Ternary phase diagrams were constructed using the selected oil, CoS and lecithin to obtain the suitable compositions of components for organogels using different lecithin and cosurfactants ratio (1:1, 3:1, 5:1 and 7:1). The prepared formula was examined visually for clarity and consistency and the clear gel formulae were selected for ETD incorporation.
Incorporation of ETD in the selected organogelsThe mixture of oil, surfactant at certain weight ratios was weighed into glass vials, and left overnight at 70 °C until all lecithin dissolved, then CoS was added and then the mixtures in vials were vortexed for 2-3 min. The drug (1%) was dissolved in the oil by vortexing for 5 min. Water at certain ratios was added and the system was stirred for 10 min to attain equilibrium. The prepared ETD organogels were stored in tightly closed glass vials for a week to attain equilibrium before subjecting to evaluation tests. 1.2 Evaluation of physicochemical properties of the prepared ETD organogels
Visual inspection
The prepared ETD organogels were examined for optical clarity, fluidity, homogeneity, and phase separation.
Thermodynamic stability of ETD organogels
To overcome the problem of metastable formulae, the prepared organogels were subjected to centrifugation and freeze-thaw stress tests to assess their thermodynamic stability. The Organogels were centrifuged at 7000 rpm for 30 min. Formulae that did not show any phase separation was considered to be stable and were subjected to freeze-thaw stress test [12]. Three complete cycles, each cycle consisting of 24 h at 25 °C followed by 24 h at-5 °C were carried out. These cycles were important for determining the ability of the organogels to withstand thermal shock [13]. The formulae that survived thermodynamic stability tests were selected for further studies.
pH determination
The pH was measured for each ETD organogel using a pH meter (Hanna-213, Portugal) by direct immersion of the electrode [14].
Spreadability measurements
Spreadability test was carried out by pressing 0.5 g of the prepared formulae between two slides of glass and left for about 5 min where no more spreading was expected. The diameter of the formed circle was measured and taken as a comparative value for Spreadability [15].
Rheological studies
The selected ETD organogels were tested for their rheological behavior at 25±1 °C using a rotational Brookfield viscometer of cone and plate structure, spindle 52 (Brookfield, cone and plate viscometer, model III, USA).
In vitro release study
One and half grams of the medicated-organogels equivalent to 15 mg of ETD was placed as a thin film on the surface of a 7 cm diameter watch glass. A stainless steel screen of 150 orifices per inch was used to cover the sample and this assembly was held by three binder clips and placed at the bottom of a dissolution vessel of 500 ml phosphate buffer saline of pH 5.5 containing 10% ethanol to maintain sink condition in USP dissolution test apparatus type II. The release study was carried out at 37 °C±0.5. The stirring paddle was rotated at a speed of 100 rpm. Two-ml samples were withdrawn from the vessel at 0.5, 1, 2, 3, 4, 5, 6, 24 and 48 h and were spectrophotometrically analyzed for ETD at its λmax 279 nm in PBS (pH 5.5). The blank was prepared according to the same procedure but using a plain base. The removed samples were replaced by the same volume of fresh buffer solution. The cumulative amount of ETD released was plotted as a function of time and the release rate was calculated from the slope of the straight line portion. All experiments were done in triplicates and the results were expressed as the mean values±SD.
Fourier-Transform Infrared (FT-IR)
FT-IR spectra of all samples of pure ETD, plain organogels without drug and the selected medicated formulae were examined, the samples were mixed separately with KBr powdered crystals, then loaded into DRS-8000A unit installed into FTIR spectrometer (IRAffinity-1) (Japan), connected to IBM-PC computer loaded with IR solution software version 1.60 in wave number range of 400 – 4000 cm-1 with laser jet printer according to diffuse reflectance method.
Ex-vivo drug permeation studies
Ethical clearance was obtained from the institutional animal experimentation committee before the study. The full thickness of rabbit skin was excised, prepared and cut into circular patches (diameter 5 cm) when used[16]. The permeation study was performed using static Franz glass diffusion cells (Microette plus; Hanson Research, Chatsworth, CA, USA). These cells consist of donor and receptor chambers between which the rabbit’s skin membrane was positioned. The area for diffusion was 4.2 cm2 and the receptor chamber volume was 50 mL. The receptor chamber was maintained at 37±0.5 ºC in order to ensure a surface skin temperature of 32 ºC on the surface of the membrane. The receptor medium consists of a 10% (w/v) ethanol solution. Each cell contains a magnetic stirring bar and was stirred at 100 rpm during the experiment. Weighed amounts of 1.5 g of the organogel gel were evenly spread on the surface. Aliquots of 2 mL of the medium were withdrawn at: 1, 2, 3, 4, 5, and 6 h and replaced with an equal volume of fresh medium to maintain a constant volume. The concentration of ETD was determined spectrophotometrically at the predetermined λmax of 279 nm (UV/VIS-Spectrophotometer, Shimadzu). The mean percentage of ETD released across the membrane was plotted as a function of time. All experiments were run in triplicate and the results were expressed as mean values±S. D.
Long-term stability studies
The optimized ETD loaded organogels formulae showing satisfactory physicochemical properties, high release, and permeation rate were stored under ambient conditions for one year. The stored organogels were re evaluated regarding visual inspection, pH measurements, spreadability test and in vitro drug release.
In vivo studies
The study was conducted in accordance with ethical procedures and policies outlined by the Canadian Council of Animal Care guidelines (NAC 2011) and was approved by the National Research Center (Dokki, Giza) – Medical Research Ethics Committee for the use of animal subjects.
Skin irritation test
Skin irritation test was carried out to determine possible localized reaction of the optimized formulae on the skin in male albino rats weighing 150 to 180 g according to the method described by Draize et al. [17]. The primary irritancy index (PII) was determined for each tested formula by adding the oedema and the erythema scores. The formulae was classified as non-irritant if PII<2, irritant if PII = 2-5 and highly irritant if PII = 5-8.
Assessment of therapeutic efficacy
After proving that the selected formulae are suitable for topical application according to Draize et al. method[17], the formulae were subjected to In vivo studies to examine the efficacy of the prepared optimized organogels as a transdermal delivery system, which enhances drug diffusion inside the deeper layer of skin and reduces systemic side effects of drug. The selected formulae were compared to the commercially oral Etodine® capsule.
Assessment of analgesic activity of the selected ETD formulae (Writhing test)
In this test, 5 groups of mice, each comprised 6 male albino mice weighing 25±5 g were used. The first group received no treatment (control), the second received the commercially oral Etodine® capsule, the third, the fourth and the fifth received the selected formulae F3, F14, and F39, respectively. The backs of the mice in the groups, to which the transdermal formulae were applied, were shaved. Analgesic activity was evaluated on the acetic acid-induced abdominal constriction according to Koster et al. [18]. The test was used with local modification as described by Adzu et al. [19]. After 15 min of applying the medicated formulae, 10 ml/kg of 0.6% acetic acid solution was injected into each mouse through intraperitoneal route (i. p.). Each mouse was placed in the transparent observation cage. The number of stretching of hind limbs (writhing) representing the abdominal muscles constrictions that occur between 5 and 15 min after acetic acid injection was counted cumulatively. Activity was expressed as percent inhibition of nociception (reduction in episodes of writhing) between control and treated groups [20].
Assessment of anti-inflammatory activity of the selected formulae
The anti-inflammatory activity of the selected formulae was evaluated by the carrageenan-induced hind paw oedema method developed by Winter et al. [21]. Experiments were carried out on male wistar rats weighing 150-200 g. The animals were fasted for 18 h prior to treatment but had free access to tap water. They were randomly assigned to five groups of six rats in each group. A volume of 0.1 ml of 1% carrageenan solution was injected into the sub plantar region of right-hand paw.
The left paw served as a reference non-inflamed paw for comparison one hour after carrageenan injection, the first group served as a control. Second group was given oral Etodine® capsule (50 mg/kg) [3]. The rest groups were given the tested organogels (1 g equivalent to 50 mg/kg of ETD). The paw volume was measured using plethysmometer before administering carrageenan (Vi) and after 1, 2, 3, 4, 5, 6, 24 and 48 h (Vf).
The percentage inhibition of oedema volume for each time was calculated from the mean effect in control and treated animals according to the following equation[22].
% Inhibition of oedema volume =[1-(Vt / Vc)] x 100
Where Vt and Vc are the mean increase in volume of carrageenan injected, paw of the treated group and control group, respectively.
To assess the Pharmacodynamic profile of ETD, the percent inhibition of oedema value was displayed as a function of time, and the following Pharmacodynamic parameters were calculated for the tested formulae and Etodine® capsule:
Statistical analysis
All the results were expressed as mean values±SD. Statistical analysis for Pharmacodynamic parameters was performed by applying two ways analysis of variance (ANOVA) followed by post-hoc test. Statistical analysis was performed using SPSS® software (IBM20), USA.
Histopathological studies
Histopathological studies were carried out on the same groups used in carrageenan-induced hind paw edema method to detect possible dermal effect of the optimized formulae. Rats were sacrificed and the skin samples from normal, treated and untreated (carrageenan only) area were taken. Each skin sample was stored in 10% v/v formalin saline solution. The skin samples were cut into vertically in different sections. Each section was dehydrated using ethanol, embedded in paraffin for fixing and stained with hematoxylin and eosin and then examined through the light electric microscope fitted with canon power shot G3 digital camera and compared with control sample[23].
RESULTS AND DISCUSSION
Preliminary studies for development of ETD lecithin organogels using different cosurfactants
Table (1) summarizes the solubility values of ETD in various oils, and cosurfactants. Solubility of ETD was found to be the highest in IPM as compared to other oils. Concerning solubility of ETD in different co-surfactants, PEG 400 showed the highest solubility of the drug followed by PG and then ethanol.
Table 1: Solubility of ETD in various oils and cosurfactants at 25 °C
| Vehicle | Solubility* (mg/ml) |
| IPM | 23.3±1.15 |
| Olive oil | 12.1±0.69 |
| Jojoba oil | 4.1±0.32 |
| Ethanol | 484.5±4.2 |
| PG | 588.0±3.96 |
| PEG 400 | 964.4±5.42 |
*Data expresses as mean±SD, (n=3).
Based on the solubility study, IPM was chosen to represent the oily phase. Ethanol, PG and PEG were used as co-surfactant with lecithin as surfactant for constructing phase diagrams.
Three systems were prepared with IPM and lecithin using different CoS namely PEG 400, PG and ethanol in different ratios. From different phase diagrams constructed, 42 formulae were selected from the organogel region for incorporation of drug.
Incorporation of ETD in the selected organogelsThe drug was successfully incorporated in the selected organogels and the prepared ETD organogels were visually examined. All the formulae were transparent, yellow in color, smooth, uniform and contained no lumps. No phase separation was detected.
Thermodynamic stability of ETD organogels
Thermodynamic stability confers long shelf life to the organogels. The majority of the organogel formulae showed good physical stability as they retained their clarity and phase behavior. So, thirty-one organogels were considered for further investigations as shown in table (2).
Evaluation of Physicochemical properties of the prepared ETD organogels
pH determination
The values of pH, spreadability, are shown in table 2. The tested ETD organogels showed suitable pH values for transdermal or topical application. The pH values were in the range of 5.1-6.2.
Spreadability measurementsThe spreadability is an important criterion for uniform and ease of application of topical preparations. Spreadability of the organogels was measured in terms of the average diameter of the spreading circle. The spreadability values of all the prepared ETD organogels varied between 4.3-7.3 cm. Needless to say, since the spreadability value is more it would properly spread over the skin [24].
Table 2: The compositions of the selected 1 % ETD organogels using lecithin as a surfactant
System |
Formula Code |
Oil % |
S/CoS % |
Water % |
pH* |
Spreadability* (cm) |
||
3:1 |
5:1 |
7:1 |
||||||
System I Ethanol (CoS) |
F2 |
9.9 |
- |
39.6 |
- |
49.5 |
5.9±0.01 |
5.1±0.15 |
F3 |
9.9 |
- |
- |
39.6 |
49.5 |
5.5±0.19 |
5.1±0.10 |
|
F4 |
9.9 |
59.4 |
- |
- |
29.7 |
5.5±0.12 |
5.2±0.05 |
|
F5 |
9.9 |
- |
59.4 |
- |
29.7 |
5.5±0.34 |
5.5±0.05 |
|
F6 |
9.9 |
- |
- |
59.4 |
29.7 |
5.10±0.57 |
5.6±0.14 |
|
F7 |
9.9 |
79.2 |
- |
- |
9.9 |
5.8±0.09 |
5.3±0.10 |
|
F8 |
9.9 |
- |
79.2 |
- |
9.9 |
6.24±0.15 |
5.8±0.10 |
|
F9 |
9.9 |
- |
- |
79.2 |
9.9 |
5.5±0.18 |
5.9±0.10 |
|
F10 |
19.8 |
59.4 |
- |
- |
19.8 |
5.7±0.17 |
5.4±0.20 |
|
F11 |
19.8 |
- |
59.4 |
- |
19.8 |
5.6±0.04 |
5.6±0.20 |
|
F12 |
19.8 |
- |
- |
59.4 |
19.8 |
6.02±0.45 |
5.5±0.00 |
|
System II PG (CoS) |
F14 |
9.9 |
- |
39.6 |
- |
49.5 |
5.5±0.51 |
4.6±0.23 |
F16 |
9.9 |
59.4 |
- |
- |
29.7 |
5.5±0.27 |
4.5±0.15 |
|
F17 |
9.9 |
- |
59.4 |
- |
29.7 |
5.7±0.07 |
4.4±0.20 |
|
F18 |
9.9 |
- |
- |
59.4 |
29.7 |
5.9±0.05 |
4.7±0.11 |
|
F19 |
9.9 |
79.2 |
- |
- |
9.9 |
5.8±0.34 |
4.4±0.10 |
|
F20 |
9.9 |
- |
79.2 |
- |
9.9 |
5.93±0.12 |
4.8±0.11 |
|
F21 |
9.9 |
- |
- |
79.2 |
9.9 |
5.2±0.19 |
4.3±0.00 |
|
F22 |
19.8 |
59.4 |
- |
- |
19.8 |
5.6±0.03 |
4.9±0.22 |
|
F23 |
19.8 |
- |
59.4 |
- |
19.8 |
5.3±0.42 |
4.5±0.00 |
|
F24 |
19.8 |
- |
- |
59.4 |
19.8 |
5.4±0.23 |
5.1±0.13 |
|
System III PEG (CoS) |
F28 |
9.9 |
79.2 |
- |
- |
9.9 |
5.4±0.51 |
6.4±0.00 |
F29 |
9.9 |
- |
79.2 |
- |
9.9 |
5.7±0.09 |
5.8±0.09 |
|
F30 |
9.9 |
- |
- |
79.2 |
9.9 |
5.5±0.31 |
5.7±0.08 |
|
F34 |
19.8 |
59.4 |
- |
- |
19.8 |
5.7±0.05 |
6.1±0.14 |
|
F35 |
19.8 |
- |
59.4 |
- |
19.8 |
5.6±0.46 |
5.5±0.24 |
|
F36 |
19.8 |
- |
- |
59.4 |
19.8 |
5.8±0.03 |
5.2±0.13 |
|
F37 |
19.8 |
69.3 |
- |
- |
9.9 |
5.10±0.07 |
6.5±0.01 |
|
F38 |
19.8 |
- |
69.3 |
- |
9.9 |
6.04±0.2 |
5.9±0.21 |
|
F39 |
19.8 |
- |
- |
69.3 |
9.9 |
5.6±0.27 |
7.3±0.00 |
|
F40 |
29.7 |
59.4 |
- |
- |
9.9 |
5.3±0.62 |
6.2±0.17 |
|
*Each value represents the mean±SD (n=3).



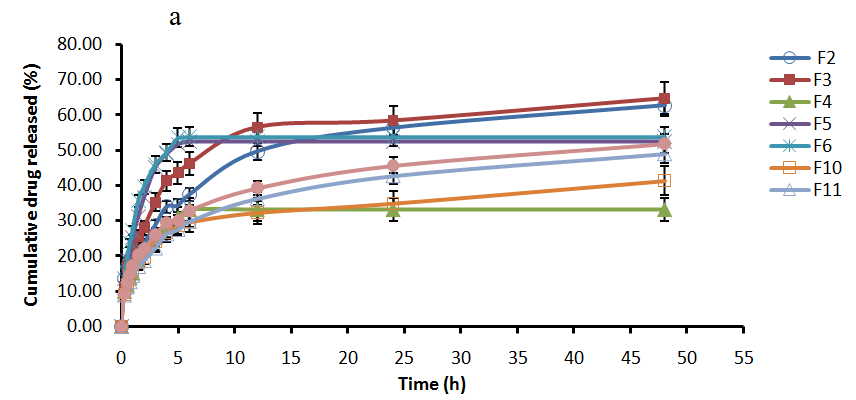
Fig. 1: Release profiles of ETD organogels, System I (a), System II (b) and System III (c) (n= 3±SD)
Table 3: The composition of the selected organogel formulae
System |
Formulae |
Type of CoS |
S/CoS |
% W/W of components in organogels |
Drug % |
||
|
|
|
|
Oil |
S/CoS |
Water |
|
SI |
F3 |
Ethanol |
7:1 |
9.9 |
39.6 |
49.5 |
1 |
SII |
F14 |
PG |
5:1 |
9.9 |
39.6 |
49.5 |
1 |
SIII |
F39 |
PEG |
7:1 |
19.8 |
69.3 |
9.9 |
1 |
Rheological studies
The results revealed that all the selected organogel formulae showed non-Newtonian, pseudoplastic flow with thixotropy as the viscosity decreased with increasing shear rates. Non-Newtonian, shear thinning flow and thixotropic behavior are preferred for pharmaceutical dermatological formulations to facilitate preparation, pouring, spreading, handling and applications to the skin [25].
In vitro drug release
Drug release studies from gel is an important step during the development stages of new formulations for assuring that a drug carried by a vehicle is able to reach the skin surface at an adequate rate and in sufficient amounts. For this purpose, the release study was performed over 48 h to be sure that the drug is released over a long period of time. Fig. 1 illustrates the release profile of ETD from organogels. It is clear that, all the tested formulae achieved a prolonged drug release up to 48 h. This could be attributed to the 3-dimensional structure within the resulting network of organogels, where the liquid phase containing the drug particles was held immobile. The release medium works by capillarity to extract the drug molecules[9]. The organogel showed the highest release profile from each system was selected for further investigations. Three ETD organogels were selected: F3 from SI, F14 from SII and F39 from SIII, their compositions are detailed in table (3).
Fourier-transform Infrared (FT-IR) Spectra
Drug excipient interaction study is an important parameter, which gives much information regarding the stability of the formulation. Fourier-transform infrared (FT-IR) spectroscopy was used to characterize possible interactions between the drug and the carrier. The interactions between them often lead to identifiable changes in the infrared profile of formula. The FT-IR spectra of pure ETD, selected medicated formulae (F3, F14, and F39) and their corresponding plain formulae are presented in fig. 2. The IR spectral analysis of ETD alone showed the C-O stretching vibration at 1037 cm-1, the C=O stretching vibration of the COOH group at 1740 cm-1, the C-H stretching vibration at 3057 and the N-H stretching vibration of secondary amine group at 3342.6 cm-1. These bands confirm the purity of ETD as it matches the characteristic bands in the standard spectrum for ETD. On the other hand, the spectra profiles of plain formulae are similar to that of the medicated one. These indicate the incorporation of the drug in the medicated formulae without any interaction [3].
Ex-vivo permeation studies
The permeation data, expressed as a cumulative amount of drug permeated as a function of time, the drug flux (permeation rate) at steady state (Jss) was calculated from the slope of the straight line and the permeability coefficient (Kp) which was calculated using the following equations: Kp= Jss/C0
Where C0 is the initial concentration of the drug
Fig. 3 shows the permeation profile of ETD through rabbit skin. The selected organogels and the permeation data analysis are represented in table 4. The permeation was highest from formula F3, followed by formula F14 and the lowest one was formula F39.
The permeation rate of ETD (Jss) from formula F3 increased by about 1.34 and 1.73 times in comparison with F14 and F39 respectively. This may be due to the presence of ethanol as cosurfactant in F3 which acts as a penetration enhancer by removing the lipids from the stratum corneum [26].



Fig. 2: IR spectrum for (a) pure drug, (b) plain formula, (c) medicated formulae F3 of SI (A), F14 of SII (B) & F39 of SIII (C)
Time (h) Cumulative amount of ETD permeated (µg/cm2) F3 F14 F39 0 0.00±0.00 0.00±0.00 0.00±0.00 1 253.61±3.57 238.17±51.6 191.81±18.98 2 331.90±15.29 298.71±32.7 238.56±22.97 3 420.52±34.73 356.28±34.28 286.77±44.46 4 471.88±26.19 396.59±40.54 316.59±33.5 5 570.02±41.97 459.75±49.17 328.02±30.95 6 602.72±17.3 460.88±31.30 353.60±25.87 PE (%) 12.7 10.4 8.3 Diffusion coefficient Kp(cm2/h) 0.05 0.04 0.03 Flux Jss (ug/cm2/h) 92.17 68.7 53.23 T50% (h) 12.77 19.37 26.95 Fig. 3: Permeation profiles of the selected ETD organogels through excised rabbit skin (n= 3±SD) Long term stability The tested ETD organogels, F3, F14, and F39 were stored under ambient conditions for one year and then re-evaluated for their physical properties and in vitro drug release. All of them were physically stable as no changes in visual appearance or phase separation were observed. No significant changes in pH or spreadability values (data not shown) were recorded. Drug release test was also carried out to examine if the release profile of the drug had changed after the storage period for the three selected formulae. It was noted that the percentage of the drug released did not change significantly (*P˂ 0.05) with only slight increase when compared to the freshly prepared one (table 5). In vivo studies Skin irritation test Skin irritation is a common problem encountered with dermal and transdermal drug delivery limiting its wide acceptance among patients in spite of its obvious benefits. For this reason and since organogels are typically composed of oils and surfactants, skin irritancy test was performed to confirm the safety of the optimized formulae. The results are shown in table (6). Draize et al.[17] mentioned that a value of the primary irritancy index (PII) ˂ 2 indicates that all selected formulae are safe and non-irritant to the skin. Table 5: Effect of long term storage for one year under ambient conditions on the release profile of the selected ETD organogels Time (h) Cumulative drug released (%) System (SI) System (SII) System (SIII) F3 fresh F3 stored F14 fresh F14 stored F39 fresh F39 stored 0.5 17.43±0.47 20.16±o.29 18.08±0.34 21.30±0.72 16.79±0.38 19.01±0.43 1 21.1±0.35 24.1±0.48 22.80±0.47 24.90±0.27 19.71±0.46 21.94±0.27 1.5 25.50±0.43 28.13±0.65 25.40±0.36 26.13±0.56 22.35±0.42 24.57±0.39 2 28.07±0.29 33.67±0.56 27.64±0.41 30.67±0.39 25.07±0.29 28.09±0.52 3 35.27±0.46 40.58±0.72 32.96±0.52 35.47±0.45 29.14±0.71 30.21±0.36 4 41.30±0.69 42.34±0.36 34.66±0.51 37.75±0.81 32.45±0.54 34.63±0.41 5 43.57±0.8 45.19±0.27 38.30±0.39 39.77±0.47 35.98±0.63 37.25±0.65 6 46.21±0.49 48.77±0.51 40.71±0.49 43. 86±0.51 38.47±0.81 41.58±0.26 12 56.57±0.58 59. 31±0.76 50.40±0.64 52.19±0.67 47.86±0.78 52.51±0.66 24 58.40±0.75 61.98±0.55 60.60±0.72 63.16±0.59 63.54±0.57 67.59±1.1 48 64.70±0.61 68.16±0.59 63.62±0.59 67.01±0.43 84.26±0.33 85.99±0.78 Evaluation of analgesic activity of the selected ETD organogels (Writhing test) ETD induces analgesia by inhibiting peripheral PGs synthesis[27], thus reducing pain. Therefore, selected ETD organogels were investigated for their antinociceptive effect adopting writhing technique with respect to the writhing test, it had been known as a sensitive procedure in detecting analgesic effect of medicinal agents[28]. The data revealed that all of the examined transdermal organogels significantly reduced the number of writhes compared with control (*p ˂ 0.05). It is observed that F3 showed the maximum inhibition (71.60 %) followed by oral Etodine® capsule (68.93 %) then F14 (61.41 %) and the last was F39 which inhibited the pain by 52.67 %. These results were in agreement with Agrawal et al. who approved that the abdomen contraction induced by acetic acid was inhibited by sumatriptan throughout the period of observation [29]. There is correlation between the analgesic effect of the three formulae and their ex-vivo permeation through rabbit skin when correlate between the total amount permeated from each formula and the % inhibition of writhing after applying the corresponding formula. The correlation showed a linear relationship with r2 = 0.9995. This indicates that the amount of drug permeated maintains the analgesic level in concentration suitable for relieving pain[30]. The anti-inflammatory effect of topical application of the selected organogels (F3, F14 and F39) that contain 50 mg/kg ETD was monitored and compared to the oral market ETD capsules (Etodine®) of the same dose using carrageenan-induced rat paw oedema. Fig (4) shows the percentage inhibition of oedema volume after administration of the investigated formulae. The data revealed that there is a significant difference between the percentage inhibition of oedema volume of Etodine®capsule (standard) and that of the prepared ETD organogels. The pharmacodynamic parameters, maximum % inhibition (%Inhmax), T max and (AUC0-48h) for the mean value of each parameter were calculated and compiled in table (7). Two-way ANOVA test followed by post-hoc test was performed to determine the significance difference between the pharmacodynamic parameters (%Inhmax, Tmax and AUC0-48h) of the tested formulae using SPSS ® software. It was revealed that the highest percent of inhibition was observed for F14 and it was significantly difference (*p ˂ 0.05) with all other organogels and the standard oral Etodine® capsules. There was no significant difference (*P ˃ 0.05) between Tmax values of F14 and the standard oral Etodine® capsules. Significant difference (*p ˂ 0.05) was obtained between F14 and the other two organogels (F3 & F39). On the other hand, there was a significant difference (*p ˂ 0.05) between the (AUC 0-48h) of F14 and the (AUC 0-48h) of the other tested formulae as well as the standard oral Etodine® capsules which indicates the best bioavailability of the drug from formula (F14) Correlation between In vivo anti-inflammatory activity and in vitro release or permeation results Correlation showed a linear function after 1-6 hours for all the tested formulae with high correlation coefficient (r2) which indicates that the percentage released or cumulative amount permeated of ETD and the anti-inflammatory effect are strongly correlated for the three selected formulae (fig. 5 & 6). Table 6: Data of skin irritation test of the selected ETD organogels Rats First group Second group Third group Fourth group Fifth group Erythema Oedema Erythema Oedema Erythema Oedema Erythema Oedema Erythema Oedema 1 0.00 0.00 4.00 3.00 0.50 0.00 0.00 0.00 0.00 0.00 2 0.00 0.00 3.00 1.00 0.00 0.00 0.00 0.00 0.00 0.00 3 0.00 0.00 3.00 2.00 0.00 0.00 0.50 0.00 0.00 0.00 4 0.00 0.00 4.00 2.00 1.00 0.00 0.00 0.00 0.50 0.00 5 0.00 0.00 4.00 2.00 0.00 0.00 0.50 0.00 0.00 0.00 6 0.00 0.00 4.00 3.00 0.00 0.00 0.00 0.00 0.50 0.00 Mean 0.00 0.00 3.67 2.17 0.25 0.00 0.17 0.00 0.17 0.00 SD 0.00 0.00 0.52 0.75 0.42 0.00 0.26 0.00 0.26 0.00 SE 0.00 0.00 0.21 0.31 0.17 0.00 0.11 0.00 0.11 0.00 PII 0.00 0.00 5.84±1.27 0.25±0.42 0.17±0.26 0.17±0.26 PII: Primary irritancy index Table 7: Anti-inflammatory activity of the tested formulae of ETD using carrageenan-induced paw oedema in rats Fig. 4: Percentage inhibition of oedema volume after administration of the selected ETD organogels in carrageenan induced paw oedema in rats (n= 6±SD) Fig. 5: Correlation between in vitro release of ETD from F3 of SI (A), F14 of SII (B) and F39 of SIII (C) versus percentage inhibition of rat’s paw oedema The photomicrographs of control rat skin (untreated skin) of the first group showed normal skin with well defined epidermal and dermal layers (fig. 7-A). While in the second group (received formalin solution as standard irritant), massive number of inflammatory cells infiltration (m) was detected in the subcutaneous tissue (fig. 7-B). When the skin was treated with the oral Etodine® capsules, the subcutaneous tissue showed mild focal inflammatory cells infiltration (m) as shown in fig. (7-C). When the skin was treated with the organogel ETD (F3 of SI) for 72 h, the subcutaneous tissue showed also mild focal inflammatory cells infiltration (m) (fig. 7-D)., On the other hand, no histopathological alteration occur and the dermis did not show any inflammatory cell infiltration (m) when the skin is treated with F14 of SII (fig. 7-E). Massive and severe focal inflammatory cells infiltration (m) as well as aggregation occurred in the case of formula F39 of SIII (fig. 7-F). Fig. 6: Correlation between in vitro permeation of ETD from F3 of SI (A), F14 of SII (B) and F39 of SIII (C) versus percentage inhibition of rat’s paw oedema Fig. 7: Light micrographs of normal rat skin (A), untreated rat skin (B), treated with oral Etodine® capsule (C), treated with F3 of SI (D), treated with F14 of SII (E) and treated with F39 of SIII (F) CONCLUSION It can be concluded that, the developed organogels had a great potential for transdermal application of ETD. The results revealed that, F14 which contain 1% ETD in organogel formula composed of 10% IPM, 40% lecithin/PG in the ratio of (5:1) and 50% water showed promising results and can be considered as a suitable organogel formula that could successfully achieve sustained release as transdermal delivery system for ETD with good stability, non-irritant, good bioavailability which is considered to be satisfactory for patient use. ACKNOWLEDGEMENT The authors are thankful to Dr. Adel Bakeer Kholoussy, Prof. of Pathology, Faculty of Veterinary Medicine, Cairo University for performing the histological studies. CONFLICT OF INTERESTS Declared None REFERENCES
Table 4: Permeation data of ETD from the selected organogels through excised rabbit skin
mean±SD, n= 3

1.9.1 1.9.2 Assessment of therapeutic efficacy
mean±SD, n= 3
Control
Formalin
F3
F14
F39
Time (h)
Std (Etodine® cap.)
F3
F14
F39
1
44.2
37.2
45.3
43
2
45.2
53.9
60.9
57.4
3
48.5
60.8
67.7
61.5
4
55.7
65.0
74.3
67.1
5
64.1
71.9
79.1
72.5
6
65.5
73.8
82.1
74.5
7
64.2
71.5
83.7
74.0
24
68.9
70.8
83.9
72.6
48
55.7
54.1
78.7
73.8
AUC(0-48h) (%h)
2981.85
3106.7
3827.05
3415.9
Inhmax. (%)
68.9
73.8
83.9
74.5
Tmax (h)
24
6
24
6









