
1Neuome Technologies Private Limited, Electronic City, Bangalore, India. 2Spectrum Diagnostics, Bangalore, India
*Corresponding author: Elango E. Murugaian; Email: nsw@neuome.com
Received: 21 May 2024, Revised and Accepted: 04 Jul 2024
ABSTRAC
Objective: To evaluate the efficacy of InstaPRESERVETM for replacing formalin in histopathology.
Methods: Tissue from seven organs from a pig was fixed with InstaPRESERVETM and formalin for 6 h, 12 h, and 24 h. Microtome sections at three time points were stained with hematoxylin and eosin and evaluated for intactness, and nuclear and cytoplasmic staining. Scoring was done based on their quality.
Results: Gross findings were well appreciated for the tissue specimens fixed with InstaPRESERVETM compared to formalin. Unlike formalin, discoloration was lesser and the rigidity was mild to firm with InstaPRESERVETM fixation. The penetration rate of InstaPRESERVETM was equivalent to formalin and the morphology and intactness were well preserved. The nuclear and cytoplasmic H and E staining intensity of InstaPRESERVETM fixed tissues was comparable to formalin fixation.
Conclusion: The promising results from InstaPRESERVETM fixed tissues of pig organs are encouraging. This preliminary study is positive on replacing formalin in routine histopathology thus preventing the pathology laboratory personnel from occupational hazards. Further studies with human specimens are required to escalate InstaPRESERVETM to medical histopathology.
Keywords: Histopathology, Formalin, Fixative, Formalin alternative
© 2024 The Authors. Published by Innovare Academic Sciences Pvt Ltd. This is an open access article under the CC BY license (https://creativecommons.org/licenses/by/4.0/)
DOI: https://dx.doi.org/10.22159/ijpps.2024v16i8.51552 Journal homepage: https://innovareacademics.in/journals/index.php/ijpps
Preserving biospecimens in a clinical setting is a crucial step for appropriate diagnosis and research. Fixation prevents the autolysis and degradation of the tissue and tissue components, enabling anatomical observation and microscopic analysis of the sections. There are two categories of fixatives; denaturing fixatives and cross-linking fixatives [1]. For more than a century, formalin was a cross-linking and gold standard fixative in histopathology. Despite its benefits as cost-effective and efficient in anatomical and histological settings, formalin is a potent irritant of the eyes, skin, and nasal cavity. It is considered cytotoxic and carcinogenic for nasopharyngeal and lymphatic and hematopoietic cancers, including leukemia. Globally large amounts of formalin are used in pathology laboratories and technicians and pathologists are exposed to a dilute solution of hazardous formaldehyde, often underestimating its side effects [2, 3]. In semi‑urban and rural areas, proper fixatives are not available to the operating surgeons, general dental practitioners, and forensic pathologists, and the tissues are stored in normal saline or distilled water. Due to the lack of availability of fixatives and/or lack of awareness such poorly stored/fixed biopsy tissues become unsuitable for histopathology and hence pose a challenge to diagnosis and forensic pathology [4-6].
The major limitation of formalin is its use in molecular biology. Modern biomedical research and diagnostics depend on the quantification and sequence analysis of nucleic acids (DNA and RNA). The preservation of nucleic acids is a challenging issue with FFPE tissue samples. long-term storage may lead to severe degradation of nucleic acids leading to failure to amplify DNA and RNA fragments larger than approximately 200 bp [7]. The cross-linking nature of formalin impairs nucleic acid extraction efficiency and DNA quality, especially RNA and proteins [8].
Several other fixatives have been tested as non-hazardous and nucleic-preserving alternatives, but none have displaced formalin as the standard fixative for diverse reasons [3, 7, 9-11]. RCL2®-CS100 (ALPHELYS, Plaisir, France), a non-cross-linking and nontoxic fixative, has been evaluated on breast tumor specimens regarding tissue morphology and nucleic acid quality [12]. The limitations of this fixative are that the fixation is done at 4 °C overnight and the specimens should be stored at -20°C. PAXgene Tissue System (PAXgene) was proposed as a more reliable among non-formalin-based fixatives for nucleic acid preservation, and also microscopic morphological evaluation [13, 14]. PAXgene is a two-reagent fixative system wherein tissues are fixed in PAXgene Tissue FIX (methanol and acetic acid) and then in PAXgene Tissue STABILIZER (ethanol solution). The longer fixation period of PAXgene may result in the degradation of biomolecules. With cost constraints, it is an expensive alternative to formalin fixation.
There are other natural fixatives evaluated for their application in histopathology and molecular pathology but have not been established as an alternative to formalin [4, 15-18]. Transferring the specimens and organs under vacuum was also evaluated for histological preservation [19]. After vacuum and sealing, the specimen was kept in a refrigerator for up to a few h and sent to pathology for routine histopathology analysis. Though this was found to be suitable for pathology, this application was not well appreciated.
InstaPRESERVETM is an alcohol-based fixative solution developed by Neuome Technologies to preserve biospecimens at room temperature. This is a biodegradable and user-friendly product. InstaPRESERVETM is suitable for all types of biopsy and autopsy specimens for their collection, transport, and pathological analysis. The specimens are well preserved and suitable for histopathology, genomics, and proteomics studies.
Swine is considered a major animal species used in translational research, preclinical toxicologic testing of pharmaceuticals, and surgical training [20]. The anatomy, genetics, and physiology of pigs are very similar to humans hence, potentially a better model compared with other large animal species. Humans and swine are omnivorous and their organs generally share common functional and metabolic features. For example, in the swine heart, the distribution of blood supply by the coronary artery system is almost identical to that of humans [21].
The histopathology application of InstaPRESERVETM was evaluated with a swine model. The organs fixed with InstaPRESERVETM were compared with formalin fixation. The tissue and cellular integrity, morphology, and nuclear and cytoplasmic staining were evaluated.
Organ specimen collection and fixation
The pig organs (brain, liver, lung, Kidney, mammary gland, uterus, and tongue) were collected from a freshly slaughtered animal from a local slaughterhouse. The organs were washed to remove the blood stain and cut into 4 cubic centimeter pieces. The pieces representing the same anatomical regions of every organ were placed in buffered formalin and InstaPRESERVETM (a proprietary product of Neuome Technologies) solution with a ratio of 1:7. The specimens were sent to the histopathology lab within 1 h.
Paraffin embedding and microtomy
Serial sections were made from the tissues fixed with InstaPRESERVETM and formalin for 6 h, 12 h, and 24 h. At every time point, the samples were grossed and processed in an automated tissue processing System (Leica Biosystems, Germany). Before processing the InstaPRESERVETM-fixed tissues, the system was cleaned to remove the traces of formalin. The specimens were dehydrated with isopropyl alcohol, cleared with xylene, and then embedded in paraffin blocks, creating a total of 84 blocks for 7 specimens at three-time points. The 1-1.5 µm sections from each block were made with a sliding microtome and transferred to the slides. The rest of the specimens were kept at room temperature.
H and E staining and scoring
The slides were stained with routine hematoxylin and eosin (H and E) stain protocol. The microscopic scoring was done based on the score given between 1 and 3 based on 1. The intactness of sections 2. Nuclear staining 3. Cytoplasmic staining. Under each category the score was Good–3, Moderate–2, Poor-1, with an overall score of 8 or 9–Satisfactory, and 7 or less–Unsatisfactory. The intactness scoring was based on membrane damage, cell proposition, absence of organelles, and artifacts due to staining, shrinkage, or sectioning.
SQUIRE 2.0 reporting guidelines were adopted to report this quality improvement study [22].
InstaPRESERVETM and formalin fixation
From the point of collection until the study completion, the tissues fixed with InstaPRESERVETM were in good condition without discoloration and degradation. The formalin-fixed tissues exhibited normal discoloration. The penetration time of formalin and InstaPRESERVETM was around 1 mm per hour. The formalin-fixed specimens were firm and InstaPRESERVETM-fixed tissues were mild to firm. However, gross findings were well appreciated in all the specimens. All 84 sections studied were satisfactory, with an overall score of 9/9 (table 1). There was no evidence of autolysis/decomposition of any tissue fixed with InstaPRESERVETM. The intactness of the tissue sections with InstaPRESERVETM fixation was comparable with that of formalin. The boundaries were well maintained and none of the sections showed any membrane damage, shrinkage, and less staining.
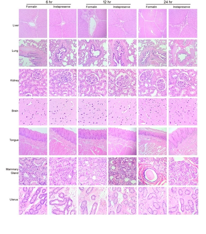
The microscopic analysis of the H and E stained slides showed that cell boundary and organelles were well preserved in all organs and the RBCs were well appreciated with InstaPRESERVETM fixation (fig 1). The liver lobule presented with a central vein surrounded by hepatocytes in spokes of wheel arrangement and the boundary of the lobule appears edematous and separated from the surrounding parenchyma. The kidney tissues fixed for 12 h and 24 h with InstaPRESERVETM showed well-stained renal tubules and glomeruli. The glomerulus showed bowmen’s capsule and space, podocytes, mesangial cells, and glomerular capillaries with appreciable RBCs. The cytoplasmic staining of tissue from the kidney and liver fixed for 6 h revealed a mild reduction in cytoplasmic clarity. However, the overall quality of the section was found to be satisfactory. The lung tissue with InstaPRESERVETM fixation displayed well-stained hyaline cartilage and well-appreciated chondrocytes within the lacunae and matrix. The nuclear staining of uterus tissue fixed for 6 h was mildly faint compared to other sections, which improved in 12 h fixation with an overall quality of the sections suitable for histopathology analysis.

Fig. 1: H and E staining analysis of InstaPRESERVETM and formalin-fixed liver, lung, kidney, brain tongue, mammary gland, and uterus from the pig for 6 h, 12 h, and 24 h. With the preservation of the central core of the tissues, morphology, and well-maintained structures, the Instapreserve fixed tissues were acceptable on par with formalin-fixed tissues
Table 1: The number of scorings for formalin and InstaPRESERVETM fixed tissues.
| S. No | Specimen | Solution/Fixative | Score | ||
| 6 h | 12 h | 24 h | |||
| 1 | Lung | InstaPRESERVETM | 3+3+3=9 | 3+3+3=9 | 3+3+3=9 |
| Formalin | 3+3+3=9 | 3+3+3=9 | 3+3+3=9 | ||
| 2 | Liver | InstaPRESERVETM | 3+3+3=9 | 3+3+3=9 | 3+3+3=9 |
| Formalin | 3+3+3=9 | 3+3+3=9 | 3+3+3=9 | ||
| 3 | Ovary/uterus | InstaPRESERVETM | 3+3+3=9 | 3+3+3=9 | 3+3+3=9 |
| Formalin | 3+3+3=9 | 3+3+3=9 | 3+3+3=9 | ||
| 4 | Kidney | InstaPRESERVETM | 3+3+3=9 | 3+3+3=9 | 3+3+3=9 |
| Formalin | 3+3+3=9 | 3+3+3=9 | 3+3+3=9 | ||
| 5 | Tongue | InstaPRESERVETM | 3+3+3=9 | 3+3+3=9 | 3+3+3=9 |
| Formalin | 3+3+3=9 | 3+3+3=9 | 3+3+3=9 | ||
| 6 | Mammary gland | InstaPRESERVETM | 3+3+3=9 | 3+3+3=9 | 3+3+3=9 |
| Formalin | 3+3+3=9 | 3+3+3=9 | 3+3+3=9 | ||
| 7 | Brain | InstaPRESERVETM | 3+3+3=9 | 3+3+3=9 | 3+3+3=9 |
| Formalin | 3+3+3=9 | 3+3+3=9 | 3+3+3=9 | ||
The core principle of histopathology is the preservation of morphology hence, commercially available molecular fixatives are developed to provide staining results similar to formalin fixation [23]. In formalin solution, formaldehyde has fixation efficacy and its hydrated form methylene glycol has high penetration efficiency. Formaldehyde forms inter and intra-cross-linking with specific amino acids of the proteins without affecting their secondary and tertiary structures [24, 25]. The alcohol-based fixatives dehydrate the proteins, resulting in protein coagulation and tissue contraction. Hence, many of the alcohol-based fixatives are added with protein stabilizers or chloroform and acetic acid. InstaPRESERVETM, as an alcohol-based fixative solution, contains stabilizers to protect the tissue anatomy, morphology, and cellular components [6]. The Paxgene-fixed tissue was reported to have increased eosinophilia without limiting the diagnosis [26]. Hemolysis and shrinkage of tissues were found to be associated with molecular fixatives like RCL2, PAXgene, FineFix, and F-Solv [27]. The tissues of different organs from the pig fixed with InstaPRESERVETM did not show shrinkage, discoloration, or cell lysis.
The crucial consideration of all fixatives is the rate of penetration, temperature, and duration of fixation, which are all interlinked, and finally, the tissue processing method [28]. When penetration is considered, the thumb rule is 1 mm/h, and a fixation time of 24 h is generally recommended for neutral buffered formalin-fixed specimens. In this study, the rate of penetration as exhibited by InstaPRESERVETM was comparable to neutral buffered formalin within 6 to 12 h. Formaldehyde fixation has a deleterious effect on RNA/DNA preservation and the resolution of proteins in formalin-fixed tissues. By western blot analysis, only 4 out of 23 proteins could be detected in formalin-fixed tissue after 24 h, as reported earlier [29].
H and E provides light microscopic observation of tissues and intercellular structures since hematoxylin is a nuclear stain and eosin is a cytoplasm and extracellular proteins stain. In histopathology, H and E provides distinguished intranuclear details and adequate general information about cells and tissues to diagnose major histopathological changes [24, 30]. The advantages are easy application, reliability, and low cost. In this study, the H and E staining of the tissue sections has demonstrated that the InstaPRESERVETM-fixed tissues retained the tissue integrity, morphology, cell structure, and cellular components. The organs represented hard to soft tissues, namely kidney, liver, lung, brain, mammary gland, tongue, and uterus. The H and E staining was reported to be lesser, with all the fixatives reported in comparison with formalin fixation. The results presented in this study have depicted that the H and E staining of InstaPRESERVETM fixed sections is comparable and equivalent to formalin-fixed sections. Though kidney, liver, and uterus specimens showed lesser staining at 6 h fixation yet were suitable for diagnosis. The results, on the whole, emphasized that InstaPRESERVETM-fixation is at par with formalin fixation and suitable for histopathology.
The histopathological analysis of the pig organs fixed with InstaPRESERVETM provided promising results. Our study has confirmed that InstaPRESERVETM-based specimen collection and transport is a user and environment-friendly alternative to formalin. Unlike formalin, InstaPRESERVETM does not cause discoloration of the specimens and keeps them rigid enough to handle in histopathology. This further enhances its application in anatomy and surgical training. The added advantage of InstaPRESERVETM is that specimens collected can be kept at room temperature, while the other alternatives proposed for formalin require cold storage. InstaPRESERVETM, therefore is a promising alternative to formalin and cryopreservation. The application of InstaPRESERVETM in routine histopathology may protect pathologists from formalin allergies and associated pathology.
The authors have not declared a specific grant for this research from any funding agency in the public, commercial, or not-for-profit sectors.
All authors have been part of the planning, conducting, and reporting of this work. Dr Rajani Kanth and Dr Elango planned the study and supervised it. Dr Anand Babu and Avinash did the sample collection and processing. Dr Nithun Reddy carried out the histopathology study. Dr Saranya and Dr Jiny Nair carried out the image analysis and documentation. Ms. Pratibha and Jeevapriya prepared the InstaPRESERVE solution and performed the quality control analysis. Dr. Pramod and Dr Elango prepared the manuscript and Dr Rajanikanth edited it.
Declared none
Howat WJ, Wilson BA. Tissue fixation and the effect of molecular fixatives on downstream staining procedures. Methods. 2014;70(1):12-9. doi: 10.1016/j.ymeth.2014.01.022, PMID 24561827, PMCID PMC4240801.
Mundt KA, Gentry PR, Dell LD, Rodricks JV, Boffetta P. Six years after the NRC review of EPA’s Draft IRIS toxicological review of formaldehyde: regulatory implications of new science in evaluating formaldehyde leukemogenicity. Regul Toxicol Pharmacol. 2018;92:472-90. doi: 10.1016/j.yrtph.2017.11.006, PMID 29158043.
Benerini Gatta L, Cadei M, Balzarini P, Castriciano S, Paroni R, Verzeletti A. Application of alternative fixatives to formalin in diagnostic pathology. Eur J Histochem. Epub. 2012;56(2):e12. doi: 10.4081/ejh.2012.12, PMID 22688293, PMCID PMC3428961.
Sengupta S, Prabhat K, Gupta V, Vij H, Vij R, Sharma V. Artefacts produced by normal saline when used as a holding solution for biopsy tissues in transit. J Maxillofac Oral Surg. 2014;13(2):148-51. doi: 10.1007/s12663-013-0473-z, PMID 24822006, PMCID PMC4016408.
Bansod P, Kalla AR, Choyal M, Kalla AR. Pitfalls in autopsy tissue sampling. Int J Curr Pharm Sci. 2024;16(3):21-3. doi: 10.22159/ijcpr.2024v16i3.4010.
Salih Alharoon S, Mustafa Abdullah N, Mohamed NH. Comparative study between optimal and reduced formalin-based fixative for normal and pathological tissues: optimal fixative versus reduced formalin-based fixative. Asian J Pharm Clin Res. 2020;13(2):119-22. doi: 10.22159/ajpcr.2020.v13i2.36400.
Klopfleisch R, Weiss AT, Gruber AD. Excavation of a buried treasure-DNA, mRNA, miRNA and protein analysis in formalin-fixed, paraffin-embedded tissues. Histol Histopathol. 2011;26(6):797-810. doi: 10.14670/HH-26.797, PMID 21472693.
Denouel A, Boissiere Michot F, Rochaix P, Bibeau F, Boulle N. An alternative fixative to formalin fixation for molecular applications: the RCL2(®)-CS100 approach. Methods Mol Biol. 2011;724:297-307. doi: 10.1007/978-1-61779-055-3_19, PMID 21370021.
Boon ME, Schmidt U, Cramer Knijnenburg GI, van Krieken JH. Using kryofix as alternative for formalin results in more optimal and standardized immunostaining of paraffin sections. Pathol Res Pract. 1992;188(7):832-5. doi: 10.1016/S0344-0338(11)80240-2, PMID 1448372.
Kacena MA, Troiano NW, Coady CE, Horowitz MC. HistoChoice as an alternative to formalin fixation of undecalcified bone specimens. Biotech Histochem. 2004;79(5-6):185-90. doi: 10.1080/10520290400015506, PMID 15764285.
Ali R, Bartholomew J, Coffey R, Carrico C, Kitten T, Madurantakam P. Peracetic acid: a practical alternative to formalin for disinfection of extracted human teeth. Bioengineering (Basel). 2021;8(12). doi: 10.3390/bioengineering8120217, PMID 34940370, PMCID PMC8698510.
Delfour C, Roger P, Bret C, Berthe ML, Rochaix P, Kalfa N. RCL2, a new fixative, preserves morphology and nucleic acid integrity in paraffin-embedded breast carcinoma and microdissected breast tumor cells. J Mol Diagn. 2006;8(2):157-69. doi: 10.2353/jmoldx.2006.050105, PMID 16645201, PMCID PMC1867597.
Smith J, Faria CS, Qvist CC, Melchior LC, lauridsen T. Prolonging fixation time of an alternative fixative to formalin for dermatological samples using standard laboratory protocols. J Clin Pathol. 2021;74(3):149-56. doi: 10.1136/jclinpath-2020-206612, PMID 32669366.
Hognas G, Kivinummi K, Kallio HM, Hieta R, Ruusuvuori P, Koskenalho A. Feasibility of prostate PAXgene fixation for molecular research and diagnostic surgical pathology: comparison of matched fresh frozen, FFPE, and PFPE tissues. Am J Surg Pathol. 2018;42(1):103-15. doi: 10.1097/PAS.0000000000000961, PMID 28984675.
Gotur SP, Kamarthi N, Wadhwan V. Sirka: an alternative to the formalin fixative. Indian J Pathol Microbiol. 2024;67(1):238-40. doi: 10.4103/ijpm.ijpm_510_23. PMID 38358234.
Pernak A, Iwanik K, Majewski P, Grzymisławski M, Pernak J. Ionic liquids as an alternative to formalin in histopathological diagnosis. Acta Histochem. 2005;107(2):149-56. doi: 10.1016/j.acthis.2005.02.003, PMID 15885759.
Yee AW, Oo PS, Aye SN, Lim WJ, Chee VC, Krishnappa P. Natural fixatives alternative to formalin in histopathology: a systematic review. Med J Malaysia. 2023;78(1):98-108. PMID 36715199.
Srii R, Peter CD, Haragannavar VC, Shashidara R, Sridhara SU, Srivatsava S. Bee honey as a safer alternative for routine formalin fixation. Kathmandu Univ Med J (KUMJ). 2017;15(60):308-12. PMID 30580347.
Bussolati G, Chiusa L, Cimino A, D’Armento G. Tissue transfer to pathology labs: under vacuum is the safe alternative to formalin. Virchows Arch. 2008;452(2):229-31. doi: 10.1007/s00428-007-0529-x, PMID 18097686.
Swindle MM, Makin A, Herron AJ, Clubb FJ, Jr, Frazier KS. Swine as models in biomedical research and toxicology testing. Vet Pathol. 2012;49(2):344-56. doi: 10.1177/0300985811402846, PMID 21441112.
Kassab GS, Fung YC. Topology and dimensions of pig coronary capillary network. Am J Physiol. 1994;267:H319-25. doi: 10.1152/ajpheart.1994.267.1.H319, PMID 8048597.
Ogrinc G, Davies L, Goodman D, Batalden P, Davidoff F, Stevens D. [SQUIRE 2.0 (Standards for quality improvement reporting excellence): revised publication guidelines from a detailed consensus process]. Medwave. 2015;15(10):e6318. doi: 10.5867/medwave.2015.10.6318, PMID 26610177.
Nietner T, Jarutat T, Mertens A. Systematic comparison of tissue fixation with alternative fixatives to conventional tissue fixation with buffered formalin in a xenograft-based model. Virchows Arch. 2012;461(3):259-69. doi: 10.1007/s00428-012-1248-5, PMID 22814649, PMCID PMC3432218.
Fox CH, Johnson FB, Whiting J, Roller PP. Formaldehyde fixation. J Histochem Cytochem. 1985;33(8):845-53. doi: 10.1177/33.8.3894502, PMID 3894502.
Maraschin BJ, Silva VP, Rock L, Sun H, Visioli F, Rados PV. Optimizing fixation protocols to improve molecular analysis from FFPE tissues. Braz Dent J. 2017;28(1):82-4. doi: 10.1590/0103-6440201701211, PMID 28301023.
Kap M, Smedts F, Oosterhuis W, Winther R, Christensen N, Reischauer B. Histological assessment of PAXgene tissue fixation and stabilization reagents. PLOS ONE. 2011;6(11):e27704. doi: 10.1371/journal.pone.0027704, PMID 22110732, PMCID PMC3218013.
Moelans CB, Ter Hoeve N, Van Ginkel JW, Ten Kate FJ, Van Diest PJ. Formaldehyde substitute fixatives. Analysis of macroscopy, morphologic analysis, and immunohistochemical analysis. Am J Clin Pathol. 2011;136(4):548-56. doi: 10.1309/AJCPHH1B0COCBGOM, PMID 21917676.
Dempster WT. Rates of penetration of fixing fluids. Am J Anat. 1960;107:59-72. doi: 10.1002/aja.1001070105, PMID 13721811.
Vincek V, Nassiri M, Nadji M, Morales AR. A tissue fixative that protects macromolecules (DNA, RNA, and protein) and histomorphology in clinical samples. Lab Invest. 2003;83(10):1427-35. doi: 10.1097/01.lab.0000090154.55436.d1, PMID 14563944.
Spaniol K, Guthoff R, Schrader S, Borrelli M, Kajasi N, Schramm M. Histological techniques. Klin Monbl Augenheilkd. 2016;233(6):e17-28. doi: 10.1055/s-0033-1358232, PMID 27203731.