1Department of Pharmacology, National Research Centre, Dokki, Giza, EGYPT, 2Department of Pharmacology and Toxicology, Faculty of Pharmacy, Cairo University, EGYPT, 3Department of Pathology, National Research Centre, Dokki, Giza, EGYPT
Email: dinaf.mansour@gmail.com
Received: 08 Feb 2015 Revised and Accepted: 05 Mar 2015
ABSTRACT
Objective: The therapeutic effects of whey protein isolate (WPI), alpha-lactalbumin (α-LA) and beta-lactoglobulin (β-LG) against endotoxemia-induced hepatotoxicity were investigated in female rats.
Methods: Endotoxemia was induced by intraperitoneal injection of Escherichia coli lipopolysaccharides (E. coli LPS) on the 1st day (4 mg/kg) and the 8th day (2 mg/kg) in two weeks-experiment during which two dose levels of WPI, α-LA and β-LG (100 and 200 mg/kg) were administered orally to female rats. At the end of the experiment, sera and liver tissues were collected for biochemical assessment of superoxide dismutase (SOD) activity, DNA-fragmentation, total antioxidant capacity (TAC) and tumor necrosis factor-alpha (TNF-α) level as well as immunohistochemical examination of caspase-3 activity and collagen deposition by Masson's trichome staining.
Results: Endotoxemia, induced by LPS, significantly decreased hepatic SOD enzymatic antioxidant activity as well as serum total antioxidant capacity (TAC). An elevation in hepatic DNA fragmentation and serum levels of tumor necrosis factor-alpha (TNF-α) was also detected. LPS showed strong activation of caspase-3 in perivascular and parenchymal hepatocytes. Abundant bridging of pericentral collagen fibers in hepatotoxic rats was evident in Masson’s trichrome staining. Oral treatment with WPI, α-LA and β-LG (100 and 200 mg/kg) inhibited the decrease in hepatic SOD activity and abrogated hepatic DNA damage. Serum levels of TNF-α decreased significantly while serum TAC was improved by WPI, α-LA and β-LG treatment in hepatotoxic groups. These results were confirmed by immune histochemical examination of activated caspase-3 and Masson’s trichrome staining of enhanced collagen deposition which were modulated by whey proteins (WPs) after two weeks of treatment.
Conclusion: Milk-derived WPI, α-LA and β-LG can be a tool in combating hepatotoxicity induced by invasive endotoxemia.
Keywords: Whey Protein, Alpha-Lactalbumin, Beta-Lactoglobulin, Lipopolysaccharide, Superoxide Dismutase, Total Antioxidant Capacity, Tumor Necrosis Factor-Alpha, Caspase-3, Rats.
INTRODUCTION
Lipopolysaccharide (LPS) is a toxic component derived from the cell wall of Gram-negative bacteria and its administration has been commonly employed for the experimental induction of endotoxemia in laboratory animals [1]. LPS is widely present in the digestive tracts of humans and animals. Humans are constantly exposed to low levels of LPS through infection. Gastrointestinal distress and alcohol drinking often increase permeability of LPS from the gastrointestinal tract into blood [2]. Activation of macrophages and pro-inflammatory cytokines such as interleukins (IL-1β, IL-6), tumor necrosis factor-alpha (TNF-α) by endotoxin [3], activated neutrophils [4], the subsequent formation of reactive oxygen species (ROS) and nitrogen species [5] are of central pathogenic importance in various inflammatory diseases including endotoxemia [6]. ROS-initiated oxidative stress can be regulated by cell defense mechanisms, which include superoxide dismutase (SOD), catalase (CAT), and glutathione (GSH) [7, 8]. Whey protein concentrates (WPCs) are a heterogeneous group obtained from milk after casein precipitation at pH 4.6 [9]. The concentrations in milk vary from approximately 5 to 7 g/l. WPCs have decreased tumor incidence and tumor area in dimethylhydrazine-dihydrochloride–induced colon tumors in mice [10]. The major components of whey in decreasing amounts are β-lactoglobulin, α-lactalbumin, bovine serum albumin, and immunoglobulins. WPC contains carbohydrate and lipids [9]; it also contains bioactive substances such as hormones, growth factors, and cytokines, which can have an important physiological role [11]. WPC has the ability to act as an antioxidant [12], antihypertensive, antitumor [13], hypolipidemic, antiviral [14], antibacterial [15], and chelating [16] agent. Compared with other protein sources, WPC has a high concentration of branched-chain amino acid-s-leucine, isoleucine, and valine. Leucine has been identified as a key amino acid in protein metabolism during the translation–initiation pathway of protein synthesis [17]. Whey protein isolate (WPI), their enzymatic digests, and peptide fractions prepared from the enzymatic digestion stimulate the proliferation of murine-resting splenocytes in vitro [18]. Whey peptides may have some potential applications as supplements in the maintenance of immune health and provide some protection against infections involving bacteria, viruses, and parasites [19]. Based on these findings, the aim of the study is to investigate the effects of WPI, α-LA and β-LG on hepatic DNA-fragmentation; SOD activity, serum levels of TNF-α and TAC and histopathological examination of activated caspase-3 and collagen deposition in LPS-induced hepatic damage in rats.
MATERIALS AND METHODS
Chemicals
Whey Protein Isolate (WPI) (typical protein content is 97-98%), alpha-lactalbumin (α-LA) and beta-lactoglobulin (β-LG), were kindly supplied from Davisco Foods International, Inc. (Eden Prairie, MN, USA). LPS, from Escherichia coli, serotype 055:B5 was purchased from Sigma-Aldrich, Germany. All other chemicals were of the highest grade commercially available.
Animals
Adult female Sprague–Dawley rats, weighing 120-150 gm, were obtained from the animal house at the National Research Centre (Giza, Egypt), and fed a standard laboratory diet and tap water ad libitum. Experimental animals were housed in an air-conditioned room at 22–25 °C with a 12-h light/dark cycle. All animals received humane care in compliance with the guidelines of the animal care and use committee of the National Research Centre (NRC), Dokki, Egypt (Ethical approval # 09043).
Induction of endotoxemia and treatment protocol
After an acclimatization period of one week, forty-eight healthy female rats were randomly assigned to eight groups of six rats per group. Vehicle control group received the respective vehicles only, LPS group received a single dose of LPS (4 mg/kg, i. p) on day 1 dissolved in sterilized 0.9% sodium chloride (physiological saline), which is well documented to induce hepatotoxicity with some modification [20, 21] followed by another challenging dose of LPS (2 mg/kg) on day 8, and received the oral vehicle through the period of the experiment. WPI groups received LPS, as previously mentioned, concomitantly with the daily oral dose of WPI (100 or 200 mg/kg) for two weeks. α-LA groups received LPS concomitantly with the daily oral dose of α-LA (100 or 200 mg/kg) for two weeks. Finally, β-LG groups received LPS concomitantly with the daily oral dose of β-LG (100 or 200 mg/kg) for two weeks. WPI, α-LA and β-LG was dissolved in sterilized distilled water prior to use. Dose selection and treatment regimen were according to previous work of our team and others [22-29]. At the end of the experimental period (day 16), blood samples were collected under light diethyl ether anesthesia and rats were sacrificed by cervical dislocation for collection of liver samples.
Immunohistochemistry of activated Caspase 3 in liver tissues
Immunohistochemical staining by anti-caspase-3 antibody was performed by streptavidin-biotin. Sections of 4 µm thick were deparaffinized and incubated with fresh 0.3% hydrogen peroxide in methanol for 30 min at room temperature. The specimens were then incubated with anti-caspase-3 antibody as the primer antibody at a 1:100 dilution. The specimens were counter stained with Hematoxylin and Eosin. Negative controls were prepared by substituting normal mouse serum for each primary antibody.
Collagen - Masson's Trichrome Staining (TRI) in liver tissues
The portion of the liver fixed in 10% formalin was processed using routine histological procedures, embedded in paraffin, cut in 5 µm sections and mounted on a slide. The Masson stain was used for liver fibrosis.
Collection of blood samples
Blood samples were withdrawn from the retro-orbital vein of each animal, under light anesthesia by diethyl ether [30]. Blood was allowed to coagulate and then centrifuged at 3000 rpm for 15 min. The obtained serum was used to estimate tumor necrosis factor alpha (TNF-α) and total antioxidant capacity (TAC) levels.
Preparation of tissue homogenate
The weighed frozen liver tissue was homogenized in a glass-Teflon homogenizer with 0.1 M phosphate buffer (pH 7.4) to obtain 1:4 (w/v) whole homogenate. The homogenates were then centrifuged at 4000 rpm for 5 min at 4°C to discard any cell debris, and the supernatant was used for the superoxide dismutase (SOD). Total protein contents were determined [31], using bovine serum albumin as a standard.
Determination of hepatic superoxide dismutase (SOD) activity
The activity of SOD was measured as previously described [32]. For the determination of SOD activity, the spontaneous auto-oxidation of pyrogallol, in an alkaline medium, produces superoxide anion radical which in turn enhances further oxidation of pyrogallol with a resultant increase in absorbance at 420 nm. The presence of SOD in the reaction medium inhibits pyrogallol auto-oxidation by dismutation of the formed superoxide anion to molecular oxygen and hydrogen peroxide. Briefly, 100 µl of supernatant were added to Tris-HCl buffer (0.1 M, pH 8) containing 24 mmol/l pyrogallol and 30 µmol/l catalase in a total volume of 3 ml (all reagents should be brought to room temperature before the assay). SOD activity is expressed as Units/g protein.
Assay of DNA fragmentation to assess apoptosis
DNA fragmentation was quantified by using diphenylamine reaction [33, 34]. The results are expressed as the percentage of fragmented . Briefly, 0.25 g of liver tissue was homogenized in 0.1 M phosphate buffer pH 7.0, followed by centrifugation and decantation (aspirate and discard) of the supernatant, and the resultant pellet(s) were used for the DPA assay. Pellet(s) were re-suspended in hypotonic lysis buffer containing 0.2% Triton X-100 in buffer solution of 10 mm Tris HCl and 1 mM Na2EDTA (pH=8), followed by gentle vortex to allow lysis of cells and nuclei. Micro-centrifugation of the sample(s) was carried out to separate DNA fragments from intact chromatin. Supernatant (containing oligosomes, or DNA fragments) was carefully removed and separated immediately in microcentrifuge tubes labeled T (for top) and the pellet(s) (containing intact chromatin) in B tubes (for bottom). Tris-EDTA buffer, pH 7.4 was added to pellets. Trichloroacetic acid (25% ) was added to all (B and T) tubes. was hydrolyzed by adding 5% TCA and heating at 90 ºC. DPA solution was added to all tubes and the developed color was read at 575-600 nm.
Determination of serum tumor necrosis factor-alpha (TNF-α)
Serum TNF-α level was measured by ELISA kit (rat TNF-α ELISA) (sensitivity<25 pg/ml), according to the instructions of the manufacturer Ray, Biotech, Inc. USA.
Determination of serum total antioxidant capacity (TAC) level
Determination of serum TAC level was assessed colorimetrically according to the method described by Koracevic et al. [35].
Statistical analyses
The results are expressed as mean±SE of six animals, and all statistical comparisons were made by means of one-way analysis of variance (ANOVA) followed by Tukey’s multiple comparison test. The data were analyzed with Graph Pad Prism v. 5.0 (Graph Pad Software, Inc., CA, USA). The p-value<0.05 was considered statistical significant.
RESULTS
Effect of whey protein isolate (WPI), alpha-lactalbumin (α-LA) and beta-lactoglobulin (β-LG) on hepatic superoxide dismutase (SOD) activity after induction of endotoxemia
Oral administration of WPI (100 mg/kg and 200 mg/kg), two hours after each LPS injection and daily for two weeks, significantly increased the hepatic SOD activity by 106.5% and 110 %, respectively compared to LPS group which exerted 63% decrease in SOD compared to normal control (fig.1a). 100 mg/kg and 200 mg/kg of α-LA, two hours after LPS significantly increased the hepatic SOD activity by 86% and 100%, respectively, when compared to LPS group within two weeks of treatment (fig.1b). Treatment of LPS-endotoxic rats with β-LG 100 mg/kg and 200 mg/kg for two weeks significantly enhanced their hepatic SOD activities by 90.8 % and 80.6 % respectively (fig.1c).
Effect of whey protein isolate (WPI), alpha-lactalbumin (α-LA) and beta-lactoglobulin (β-LG) on hepatic DNA fragmentation after induction of endotoxemia
Oral administration of WPI (100 mg/kg) and WPI (200 mg/kg) two hours after LPS injection, exerted significant decrease in hepatic DNA fragmentation compared to LPS group recording 42% and 33.6% of DNA fragmentation, respectively, compared to LPS group which received two injections of LPS (4 mg/kg on 1st day and 2 mg/kg on 8th day i. p) and resulted in significant increase of hepatic DNA fragmentation recording 57.9% compared to the control group (received the vehicle) during two weeks as presented in (fig.2a). α-LA (100 and 200 mg/kg) exerted significant decrease in hepatic DNA fragmentation recording 44.8% and 39.7% of DNA fragmentation, respectively, compared to LPS group (fig.2b). Similarly, oral administration of β-LG (100 mg/kg) and β-LG (200 mg/kg) two hours after LPS injection, exerted significant decrease in hepatic DNA fragmentation recording 48% and 43% of DNA fragmentation, respectively, during two weeks of treatment (fig.2c).
Effect of whey protein isolate (WPI), alpha-lactalbumin (α-LA) and beta-lactoglobulin (β-LG) on serum tumor necrosis factor-alpha (TNF-α) after induction of endotoxemia
Serum TNF-α level was elevated by 130.8% during endotoxemia compared to control group after two weeks. Daily oral administration of WPI (100 mg/kg and 200 mg/kg), after LPS injection, exerted significant decrease in serum TNF-α compared to LPS group by 31.8% and 29.6%, respectively in two week-treatment (fig.3a). Administration of α-LA (100 mg/kg) for two weeks significantly decreased serum TNF-α compared to LPS group after two weeks of treatment (fig.3b). Daily oral treatment of LPS-treated rats with β-LG 100 mg/kg and β-LG 200 mg/kg significantly decreased serum TNF-α level by 40% and 29.6% compared to LPS group after two weeks of treatment (fig.3c).
Effect of whey protein isolate (WPI), alpha-lactalbumin (α-LA) and beta-lactoglobulin (β-LG) on serum total antioxidant capacity (TAC) after induction of endotoxemia
Lipopolysaccharide (4 mg/kg) significantly decreased the serum TAC level by 33% compared to control group.
Daily oral administration of WPI (100 mg/kg and 200 mg/kg), two hours after LPS for two weeks, exerted significant increase in serum TAC level compared to LPS group by 22% and 12.9%, respectively (fig.4a). α-LA100 mg/kg and α-LA 200 mg/kg significantly elevated serum TAC level by 34% and 14.7% compared to LPS group (fig.4b). Daily oral treatment of LPS-treated rats with β-LG (100 mg/kg) and (200 mg/kg) for two successive weeks, significantly elevated their serum TAC level by 31.9% and 23.3%, respectively when compared to LPS group (fig.4c).

Fig. 1: Effects of WPI (a), α-LA (b) and β-LG (c) on hepatic SOD activity in LPS-induced hepatotoxicity. Groups with different superscripts are significantly different at P<0.05

Fig. 2: Effects of WPI (a), α-LA (b) and β-LG (c) on hepatic DNA fragmentation in LPS-induced hepatotoxicity. Groups with different superscripts are significantly different at P<0.05

Fig. 3: Effects of WPI (a), α-LA (b) and β-LG (c) on serum TNF-α in LPS-induced hepatotoxicity. Groups with different superscripts are significantly different at P<0.05
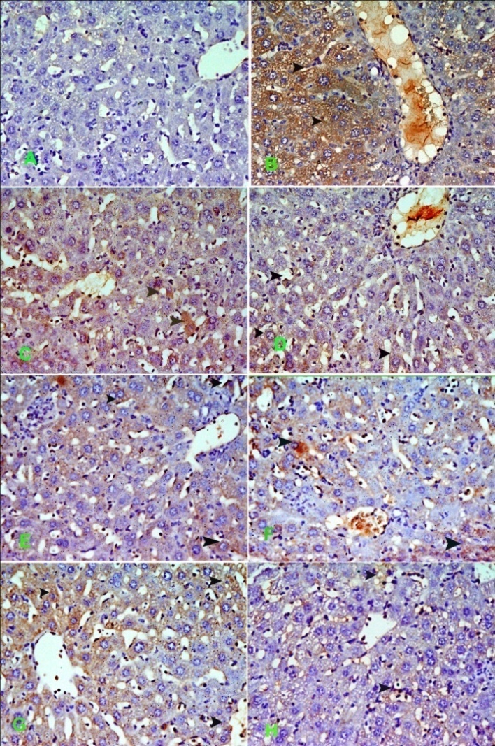
Immunohistochemistry of activated Caspase 3 in liver tissues after induction of endotoxemia
We observed caspase-3-expression in the cytoplasm of liver cells. Expression of caspase-3 was not observed in control liver (Plate.1A). By comparison, strong expression of caspase-3 was observed in LPS group as shown in (Plate.1B) and gradually decreased in groups treated with WPI (100 and 200 mg/kg), α-LA (100 and 200 mg/kg), and β-LG (100 and 200 mg/kg).
The expressions of caspase-3 in rats treated with LPS and α-LA (Plate. 1E, 1F) and β-LG (Plate.1G, 1H) were highly decreased than the expressions observed among those in the WPI-treated animals (Plate.1C, 1D).

Fig. 4: Effects of WPI (a), α-LA (b), and β-LG (c) on serum TAC in LPS-induced hepatotoxicity. Groups with different superscripts are significantly different at P<0.05

Plate 1: Immunohistochemisty of activated caspase-3 in rat liver. Caspase-3-immunolabeled cells were rarely present in the liver of control rats (Plate 1A). LPS-treated rats identified a slight increase in the number of caspase-3 immunolabeled hepatocytes around central veins, suggesting a remarkable increase in apoptosis (Plate 1B). WPI (100 mg/kg)-treatment showed the decrease in Caspase-3-immunolabeled cells compared to LPS (Plate 1C). WPI (200 mg/kg)-treatment displayed further inhibition of caspase-3-immunolabeled cells (Plate 1D). α-LA (100 mg/kg) decreased caspase-3-expression (Plate 1E). α-LA (200 mg/kg) displayed less caspase-3-immunolabeled cells compared to LPS (Plate 1F). Caspase-3-immunolabeled cells were mildly decreased with β-LG (100 mg/kg) compared to LPS (Plate 1G). β-LG (200 mg/kg) moderately decreased caspase-3-immunolabeled cells compared to LPS (Plate 1H).

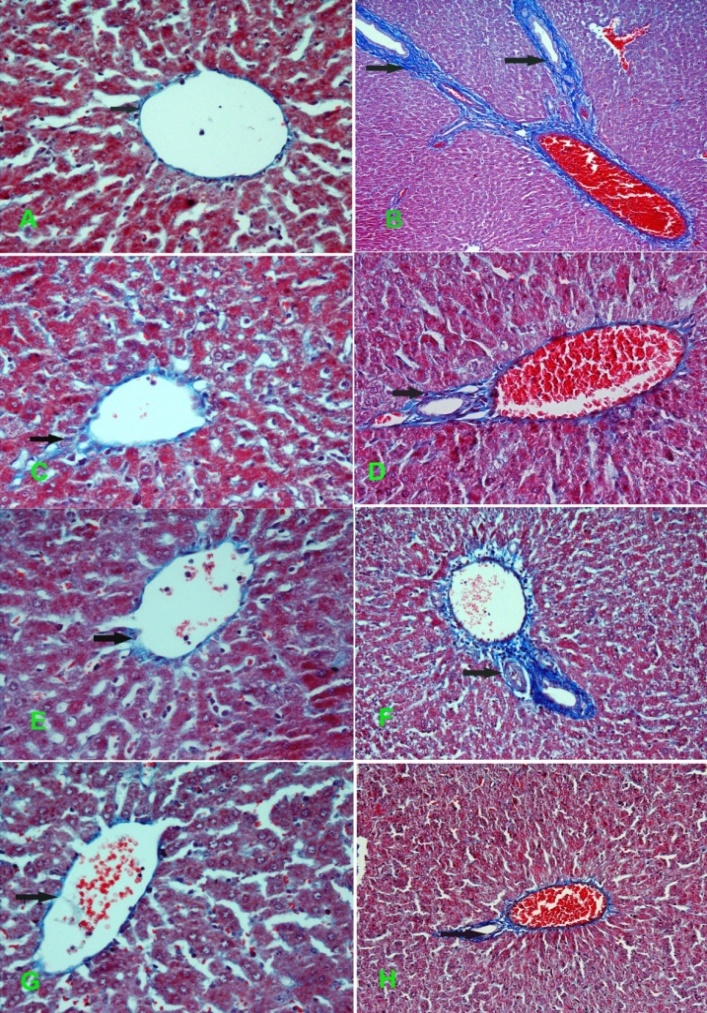
Plate 2: Histopathological examination of collagen deposition in liver tissues of rats by Masson’s trichome staining. Masson’s stain colors collagen green and hepatocytes red. The arrows indicate collagen deposition (400 X original magnification). Normal liver sections showed normal distribution of collagen (Plate 2A). LPS injection showed abundant pericentral collagen fibers fused together in dense bundles in liver tissues of rats (Plate 2B). WPI (100 mg/kg) showed mild collagen deposition and few connective tissue fibers compared to LPS (Plate 2C). WPI (200 mg/kg) showed slight pericentral collagen fibers in LPS-treated liver tissues (Plate 2D). α-LA (100 mg/kg) showed mild collagen deposition and fewer connective tissue fibers compared to LPS (Plate 2E). α-LA (200 mg/kg) showed moderate collagen deposition in LPS-treated liver tissues (Plate 2F). β-LG (100 mg/kg) showed mild collagen deposition and fewer connective tissue fibers compared to LPS (Plate 2G). β-LG (200 mg/kg) showed moderate collagen deposition in LPS-treated liver tissues (Plate 2H).
Examination of collagen deposition in liver tissues after induction of endotoxemia
Examination of normal liver sections showed normal distribution of collagen, which showed small amount of wavy fibrils (plate 2A). After LPS injection, abundant pericentral collagen fibers fused together in dense bundles were clearly visible after two weeks of endotoxemia. Also, trichrome staining demonstrated abundant bridging of collagen fibers (plate 2B). Ttreatment with WPI (100 mg/kg) showed improvement in collagen deposition and few connective tissue fibers as compared LPS (plate 2C). However, WPI at 200 mg/kg showed slight pericentral collagen fibers (plate 2D). On the other hand, α-LA (100 mg/kg) showed improvement in collagen deposition and connective tissue fibers as compared to LPS (plate 2E). However, α-LA (200 mg/kg) showed mild improvement in collagen deposition in endotoxic liver (plate 2F). Two-week treatment with β-LG (100 mg/kg) during endotoxemia showed remarkable improvement in collagen deposition and connective tissue fibers (plate 2G). However, β-LG (200 mg/kg) showed mild improvement in collagen deposition (plate 2H).
DISCUSSION
Reactive oxygen metabolites (ROM) as singlet oxygen, nitric oxide, hydrogen peroxide and radicals such as superoxide anion and hydroxyl radicals are involved in the pathogenesis of endotoxic shock [36]. ROM are important cytotoxic and signaling mediators in the pathophysiology of inflammatory liver diseases [37] and play an important role in the onset of hepatic damage during endotoxemia or sepsis [38]. ROM can cause cellular injury via several mechanisms including the peroxidation of membrane lipids and the oxidative damage of proteins and DNA [39]. The cells are normally equipped with protective cell defense mechanisms, which include SOD, catalase, and GSH [8]. LPS induced toxicity might result in significantly decreased activities of enzymatic antioxidants. It may be due to their increased usage in scavenging free radicals induced by LPS thus causing irreversible inhibition in their activities [40, 41]. LPS induced a decline in hepatic SOD activity after two weeks of endotoxemia. ROM production mainly superoxide anion and hydroxyl radical, may be a major cause of LPS-induced oxidative stress [42]. Treatment with WPI, α-LA and β-LG for two weeks compensated the decrease in hepatic SOD activity.
The therapeutic effect of whey proteins may involve the maintenance of antioxidant capacity in liver tissues [22, 27]. The principal mechanism which allows WPs to exert their anti-oxidative properties is the contribution of cysteine, which is used intracellularly for the synthesis of glutathione [43]. A diet based on milk serum proteins which supply a superior quantity of cysteine, allows for a greater synthesis of hepatic glutathione in CC14-intoxication [44]. The majority of WPC are cysteine rich, including α-lactalbumin, β-lactoglobulin, and bovine serum albumin [45]. Cysteine is known as an amino acid that regulates the in-vivo concentrations of GSH. The supplementation of diet with whey protein high in cysteine may promote GSH biosynthesis. The latter was reported to be an antioxidant, anti-apoptotic and anti-carcinogenic tripeptide, thereby improving protection against oxidant-induced cell damage [12]. Treatment with WPI, α-LA or β-LG abrogated LPS-induced oxidative stress as indicated by elevated serum total antioxidant capacity (TAC). High cysteine content, in WPs, is responsible, in part, for the observed increase TAC through an increase in GSH content which in turn increase the scavenging of free radicals produced by CCl4 [27], aflatoxins [28], alcohol and acetaminophen [24] and LPS [22].
The central cause of hepatic injury during endotoxemia is the release of cytotoxic cytokines (TNF-α), and the release of highly ROS and RNS which are thought to contribute to the end stage tissue damage [46]. Since, the synthesis of many cytokines is influenced by changes in the cellular oxidant/anti-oxidant balance; overproduction of ROS has been identified as a key component of apoptotic pathways involving activation of endogenous endonucleases and direct DNA fragmentation. Interestingly, pretreatment with H2O2 significantly enhanced TNF-α-induced hepatocyte apoptosis. While, N-acetylcysteine (NAC) inhibited hepatocyte apoptosis induced by co-treatment with TNF-α and H2O2 [47, 48]. Treatment with WPI, α-LA or β-LG reduced serum TNF-α level, with preference to WPI at both dose levels, suggesting anti-inflammatory action which would partially contribute to their therapeutic effect. WP bears a number of beneficial properties including antioxidant activity, anti-inflammatory and immuno-modulatory effects [26, 29, 49-51]. Lactoferrin, the minor component of whey protein, inhibits production of the inflammatory cytokines; tumor necrosis factor-α (TNF-α), interleukin (IL)-1β, and IL-6 in monocytes and protects against TNF-α production caused by sensitization of hepatic Kupffer cells by LPS [52].
Apoptosis, a form of cell death, is involved in the pathology of neurodegenerative disorders [53]. This pathway can be initiated by a variety of cytotoxic agents, such as LPS, which induce activation of pro-inflammatory cytokines, caspases, and other signaling pathways that ultimately lead to apoptosis and cell death [54]. Nevertheless, oxidative stress is a common mediator of apoptosis [55]. Recent study demonstrated that partial manganese superoxide dismutase (SOD2)-deficient (SOD2+/−) mice showed impaired defense against superoxide formation with enhanced hepatic mitochondrial oxidant stress and nuclear DNA fragmentation after acetaminophen overdose [56].
LPS-induced DNA fragmentation (a marker of apoptosis) reported in the current study, which may be largely mediated by ROS and/or TNF-α, was ameliorated by WPI, α-LA or β-LG treatment during two weeks of treatment. A recent study reported that WPC suppressed FAS gene expression and reduced the DNA-fragmentation percentage in aflatoxin-exposed rats [28]. It is well documented that WPC has potential antioxidant activity due to its ability to elevate cellular glutathione levels, which is a key step in the anti-apoptotic activity of WPC and WPs [57, 58].
LPS-induced pro-inflammatory cytokines (such as TNF-α) have a number of deleterious effects on the liver, including augmentation of apoptosis as judged by the percentage of DNA fragmentation, coincided with the immunohistochemical examination of caspase-3 activity in the liver tissues after two weeks of endotoxemia. Caspase-3 is an effector caspase and is recruited especially when apoptosis is triggered by extrinsic signals such as extracellular ligands, e. g., pro-apoptotic cytokines, and their membrane receptors, as in case of LPS [59]. Caspase 3 is an “executioner caspase, ” which can be activated directly by caspase 8 or by caspase 9.
Thus, a cascade of proteolytic events initiated by TNF-α and mediated by caspases leads to nucleosomal DNA fragmentation and chromatin condensation [60]. Treatment with WPI, α-LA and β-LG resulted in remarkable inhibitory effect on caspase-3 activity as figured out by immunohistochemistry of liver tissues compared to LPS treated tissues, the inhibitory effect of WPs on caspase-3 expression increased with the high dose regimen during two weeks which was in line with results obtained from DNA fragmentation analysis. Moreover, the appearance of enhanced collagen deposition in LPS-treated hepatic tissue was explained by other researchers who reported that apoptosis can activate hepatic stellate cells by two recognized mechanisms involving phagocytosis of apoptotic bodies. As both Kupffer and stellate cell engulfments of apoptotic bodies result in expression of transforming growth factor-β (TGF-β), a profibrogenic cytokine that activates stellate cells by paracrine and autocrine mechanisms [48, 61, 62]. Treatment with WPI ameliorated collagen deposition in liver tissues of endotoxic rats, while α-LA and β-LG reversed collagen deposition and retained normal appearance, the effect that was enhanced at high dose level. Hence, the use of whey proteins could represent a useful tool in the control of inflammation related to such conditions which are in great epidemiological expansion. Nevertheless, the long-term dietary integration of WPs needs further assessment.
CONCLUSION
The present study reported an anti-inflammatory, anti-apoptotic and anti-fibrotic activities related to whey protein isolate administration and two major components of whey protein; alpha-lactalbumin and beta-lactoglobulin. Those proteins need further investigations to elucidate their potential effects to halt inflammation-based liver disorders.
CONFLICT OF INTERESTS
Declared None
REFERENCES