
Department of Pharmaceutical Chemistry, Faculty of Pharmacy, MS Ramaiah University of Applied Sciences New BEL Road, Bengaluru-560064, Karnataka, India
*Corresponding author: Suma B. V.; *Email: suma.py.ph@msruas.ac.in
Received: 22 Aug 2024, Revised and Accepted: 07 Nov 2024
ABSTRACT
Objective: 44 novel Schiff bases of aminated 4-methylumbelliferones were designed and subjected to in silico evaluation of activity against S. aureus, with Dihydrofolate Reductase (DHFR) as the target. The top-scoring compounds (as per binding affinities) were subjected to drug-likeness and ADMET evaluation. Overall assessment of the binding affinities, drug-likeness and ADMET profile (especially toxicity) suggested that the derivative, BVSSS22 was found to be the most promising Schiff base (even when compared to the standard, Trimethoprim). Hence, the objective was to synthesize BVSSS22 and evaluate it for in vitro activity against S. aureus.
Methods: BVSSS22 was synthesized, characterized via melting point, TLC, and spectral data acquisition (ATR-IR, NMR, and HRMS), and evaluated for in vitro antibacterial activity against S. aureus using the agar-well diffusion method, with Trimethoprim as the standard (n=3).
Results: BVSSS22 was successfully characterized, and the in vitro antibacterial assay showed that BVSSS22 possessed zones of inhibition, where at 400 µg/ml, the zone of inhibition was slightly less than that of trimethoprim (18.33±0.57 mm v/s 17.33±1.15 mm).
Conclusion: The results show that BVSSS22 is a potent and safe drug candidate for anti-S. aureus action. However, it can be evaluated at a concentration higher than 400 µg/ml or undergo further structural optimization to enhance its in vitro potency to surpass that of Trimethoprim.
Keywords: 4-methylumbelliferone, Schiff base, S. aureus, Synthesis
© 2024 The Authors. Published by Innovare Academic Sciences Pvt Ltd. This is an open access article under the CC BY license (https://creativecommons.org/licenses/by/4.0/)
DOI: https://dx.doi.org/10.22159/ijpps.2024v16i12.52430 Journal homepage: https://innovareacademics.in/journals/index.php/ijpps
Antibiotics have been a boon to humankind since the release of penicillin to the public in 1942. However, with prescription errors, misuse of antibiotics, and non-adherence to the dosage regimen, bacteria have become more resistant to antibiotics, considerably challenging the once-effective antibacterials’ efficacy [1]. Thus, due to Antimicrobial Resistance (AMR), around 7.7 million individuals succumb to bacterial infections every year, and sadly, this number is expected to grow to 10 million annual AMR-related deaths by 2050 if AMR remains unchecked [2, 3].
Coumarins have been found to possess various biological activities, and 4-methylumbelliferone is one of those coumarins [3]. Schiff-base synthesis has been recommended in drug design and development due to its ease of synthesis. Schiff bases of coumarins have been designed and evaluated for various biological activities, including antibacterial activity. However, these carbonyl compounds are more elaborate or complex in structure. Hence, the number of steps required to synthesize the Schiff base becomes unnecessarily large [4, 5]. Till date, there are no Schiff bases synthesized from simple carbonyl compounds and 4-methylumbelliferone and so, this study aims to synthesize these Schiff bases.
We had conducted in silico work for 44 designed Schiff base derivatives, taking the target, Staphylococcus aureus Dihydrofolate Reductase (DHFR) (PDB ID: 6PBO). Molecular docking, drug-likeness evaluation and ADMET evaluation were already carried out, in which the designed derivative, BVSSS22 (fig. 1), was found to possess a binding score that was more than that of the standard, Trimethoprim and the best ADMET characteristics, especially in terms of absorption and toxicity profile. Hence, this compound was shortlisted for synthesis, characterization and evaluation of in vitro biological activity against S. aureus.

Fig. 1: Chemical structure of BVSSS22
Synthesis
Materials
Resorcinol, ethyl acetoacetate (Thermo Fischer Scientific, Bengaluru, India) Silica gel G (Avra Synthesis Pvt. Ltd, India), p-hydroxyacetophenone, dichloromethane (SDFCL, India), iron powder (BFCLAB, India), concentrated sulphuric acid, n-hexane, concentrated nitric acid, ethyl acetate, concentrated hydrochloric acid (SDFCL, India), Ethanol (Labogens Fine Chem Industry, India), digital melting point apparatus (Inlab, India).
Spectral data acquisition
ATR-IR (Bruker Alpha II ECO-ATR), NMR (Agilent 400MHz NMR, solvent DMSO) MS (Waters Xevo G2-Xs QTof with electrospray ionization as the ionization technique, TOF as the mass analyzer and calibration set to M+1).
Procedure
The scheme followed or the synthesis is given in fig. 2
The steps followed were:

Fig. 2: Synthetic scheme for BVSSS22
Synthesis of 4-methylumbelliferone
98 ml of conc. H2SO4 was taken in a round-bottomed flask and cooled to 0-5 °C. In the meantime, a solution of 22 g resorcinol and 27 ml ethyl acetoacetate was prepared and poured into the conc. H2SO4 while maintaining the temperature at 0-5 °C. On complete addition, the reaction mixture was stirred at room temperature for 6 h. Then, the mixture was poured gradually into crushed ice while stirring vigorously. The crude product was filtered out, washed with water, and dried. The crude product was then recrystallized with sufficient quantity of 95% ethanol and a pinch of activated charcoal for decolorization [6].
Synthesis of 6-nitro-4-methylumbelliferone
12 g of 4-methylumbelliferone was dissolved in 100 ml of conc. H2SO4 in a conical flask, and the mixture was stirred till the complete dissolution of 4-methylumbelliferone while the flask was cooled in an ice bath. Meanwhile, a nitrating mixture was prepared (5 ml conc. HNO3+15 ml conc. H2SO4) and cooled in another ice bath. The nitrating mixture was then added slowly to the reaction mixture, stirring it so that the temperature did not rise above 10 °C. Then, the reaction mixture was stirred for 1 h at room temperature, after which the mixture was poured onto crushed ice under vigorous stirring. The crude product obtained was filtered off, washed several times with cold water till the filtrate was of neutral pH, and dried. The crude product was then boiled with an appropriate quantity of absolute ethanol and filtered. The residue was 6-nitro-4-methylumbelliferone, which was further purified by boiling with sufficient quantity absolute ethanol [7].
Synthesis of 7-hydroxy-6-{(E)-[1-(4-hydroxyphenyl) ethylidene]amino}-4-methyl-2H-1-benzopyran-2-one [BVSSS22]
A mixture of 1.2 g of 6-nitro-4-methylumbelliferone, 1.0 g p-hydroxyacetophenone and 0.409 g of iron powder was made in a round-bottomed flask.24 ml of ethanol-water mixture (2:1 v/v) was added to this mixture.0.13 ml of conc. HCl was added, and the mixture was immediately kept for reflux at around 75 °C for about 2 h. Then, the reaction mixture was immediately filtered twice. The filtrate was fractionated twice with 20 ml of dichloromethane, after which the dichloromethane fractions were collected. The dichloromethane extract was dried using 5 g of anhydrous MgSO4, after which the extract was filtered and dried until a solid residue was formed. This residue was purified by a sufficient quantity of dichloromethane. Physical data: Crystalline, yellowish brown, yields 64.88%, MP 158.65 °C, TLC Rf0.56 (ethyl acetate: n-hexane, 6:4) [8].

Fig. 3: ATR-IR spectrum of BVSSS22 (labelled as SB 3 for better identification)
In vitro antibacterial activity
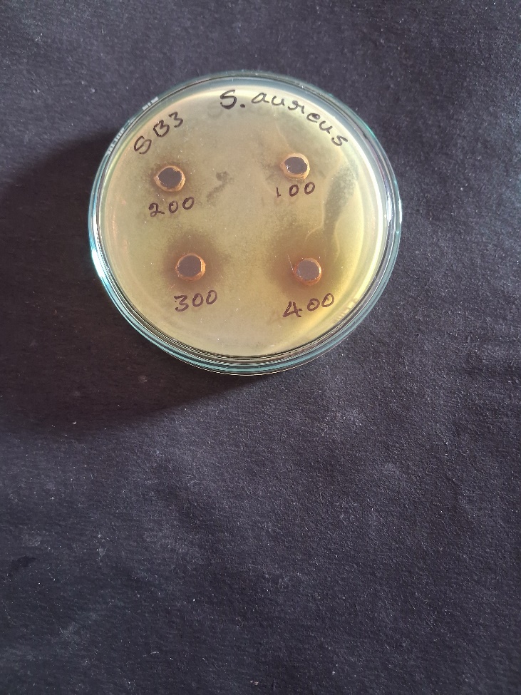
The compounds, BVSSS22 and Trimethoprim (control) were evaluated for antimicrobial activity by agar well diffusion method, as described by Champa et al., 2023 with slight modifications. BVSSS22 and Trimethoprim were tested against the bacterial strain, g-positive S. aureus. The inoculum was adjusted to approximately 5 × 105 CFU/ml with sterile saline solution. Each compound was dissolved in DMSO, and 10 mg/ml solution was made as a stock. From the stock, different solutions of concentrations ranging from 100 µg/ml to 400 µg/ml were prepared. 20 ml Mueller-Hinton agar medium (HiMedia) was poured into each borosilicate Petri plate and allowed to solidify and the inoculum was then added onto the agar.5 mm wells (4 numbers in a plate; 5 numbers including the blank, DMSO (Dimethylsufoxide) were made with an agar borer and sample solutions of different concentrations were loaded into the respectively labelled wells. All plates were placed in an incubator at 37 °C for 12h. After incubation, the diameter of inhibition zone (mm) was measured in triplicates and the mean zone of inhibition at each concentration with standard deviation was calculated [9].
Spectral data on the compound BVSSS22
ATR-IR (cm-1) = 3198.19, 3154.24, 2959.78-2853.36, 1740.10, 1666.00, 1535.63, 1518.08; 1H-NMR (DMSO) δ (ppm)= 2.25-2.5 (aromatic CH3, 6H), 6-7.75 (aromatic-H, 6H), near 6.25 (α-pyrone-CH=, 1H), 9.5-10 (phenolic-OH, 2H); HRMS (ES+) (calibrated to M+1): M. W of BVSSS22: 309.32 g/mol; found: 310.107. The spectra are given in fig. 3-5.

Fig. 4:1H-NMR (solvent-DMSO) spectrum of BVSSS22

Fig. 5: HRMS spectrum of BVSSS22
In vitro antibacterial activity
The results of the assay are shown in fig. 3 and table 1. Antibacterial studies were performed using the agar diffusion method for BVSSS22 and the standard Trimethoprim. Staphylococcus aureus was the test microorganism used. The compounds were tested at various concentrations (100, 200, 300 and 400 µg/ml).


Fig. 6: In vitro antibacterial activity against S. aureus: BVSSS22 (left) and trimethoprim
Table 1: In vitro antibacterial activity against S. aureus indicated by zones of inhibition for BVSSS22 and Trimethoprim
| S. No. | Test compound | Concentration (µg/ml) | mean zone of inhibition (mm) |
| 1 | BVSSS22 | 100 | --- |
| 200 | --- | ||
| 300 | 11.66±1.52 | ||
| 400 | 17.33±1.15 | ||
| 2 | Trimethoprim | 100 | --- |
| 200 | --- | ||
| 300 | 15.33±0.57 | ||
| 400 | 18.33±0.57 |
Reported as mean ±SD n=3
Fig. 7. a: BVSSS22; b: Chemical structures of some of the coumarin Schiff base derivatives designed and synthesized by Emam S et al.(3a, 3b,3f and 4a); c: Chemical structures of one of the 7-benzamidocoumarins designed and synthesized by Tiwari et al.(compound 21)
Both BVSSS22 and Trimethoprim showed in vitro activities against S. aureus as indicated by their prominent inhibition zones. At 400 µg/ml, a slightly higher zone of inhibition was seen for Trimethoprim than that for BVSSS22 (18.33±0.57 mm vs. 17.33±1.15 mm). This unexpected observed difference could be due to the inadequate number of replicates (n=3). Additionally, BVSSS22 and Trimethoprim could have also been tested at an additional concentration which is higher than 400 µg/ml. The structure of BVSSS22 consists of a 4-methylumbelliferone moiety; A similar study was conducted by Emam S et al., who designed and synthesized some coumarin Schiff-base derivatives and evaluated them for activity against S. aureus; they found from the agar well diffusion assay that the compounds ‘3a, 3b, 3f and 4a’ displayed activity with inhibition zones of 25±4, 24±2, 35±2, and 24±3 mm, respectively, which however, were all less than that of the standard, ofloxacin i. e. 40±2 mm [10]. Another similar study is that conducted by Tiwari et al., who designed and synthesized 7-benzamidocoumarins and evaluated them for activity against S. aureus; in the two-fold serial microdilution method of evaluation compound '21' possessed activity against S. aureus, exhibiting an MIC of 6.25 µg/ml, which was however, more than that of the standard, erythromycin i. e. 2.75 µg/ml [11]. The structures of all the compounds from these studies and BVSSS22 are given in fig. 7.
From the prior in silico investigation, BVSSS22 was found to possess a good binding score, drug-likeness, and ADMET characteristics. Overall, these in silico results were better than those of the standard Trimethoprim. BVSSS22 was successfully synthesized and characterized. In the agar well diffusion assay against S. aureus, it was found that Trimethoprim was found to have a slightly greater zone of inhibition than that of BVSSS22. Hence, we can safely conclude that BVSSS22 is a safe and potent drug for antibacterial activity against S. aureus. It could be tested at a higher concentration or structurally optimized to enhance its potency further, such as including at least one methoxy group to the structure [12-14].
We acknowledge the management, Dean and the Department of Pharmaceutical Chemistry of M. S. Ramaiah University of Applied Sciences for providing us with the necessary facilities to conduct this research.
Nil
Ms. Shreya Shet-For carrying out the synthesis, characterization, in vitro activity, and writing Suma B V-. Writing – review and editing, Supervision, Investigation, Conceptualization.
Declared none
Antimicrobial resistance: a global threat; c2022. Available from: https://www.unep.org/topics/chemicals-and-pollution-action/pollution-and-health/antimicrobial-resistance-global-threat. [Last accessed on 09 Nov 2024].
Mehta A, Saxena G, Jain A. In vitro antibacterial activity of green tea extract against multidrug-resistant bacteria. Asian J Pharm Clin Res. 2022 Apr 7;15:42-8. doi: 10.22159/ajpcr.2022.v15i4.44220.
Sree BK, Preethi JP, Kumar PK. Synthesis, characterization and biological activity of coumarin derivatives. Res J Sci Technol. 2012;4(6):252-7.
Hamid SJ, Salih T. Design, synthesis, and anti-inflammatory activity of some coumarin schiff base derivatives: in silico and in vitro study. Drug Des Devel Ther. 2022 Jul 14;16:2275-88. doi: 10.2147/DDDT.S364746, PMID 35860526.
MacLean L, Karcz D, Jenkins H, McClean S, Devereux M, Howe O. Copper(II) complexes of coumarin-derived schiff base ligands: pro-or antioxidant activity in MCF-7 cells? J Inorg Biochem. 2019 Aug 1;197:110702. doi: 10.1016/j.jinorgbio.2019.110702, PMID 31103891.
Hussien FA, Keshe M, Alzobar K, Merza J, Karam A. Synthesis and nitration of 7-hydroxy-4-methyl coumarin via pechmann condensation using eco-friendly medias. ILCPA. 2016 Aug;69:66-73. doi: 10.56431/p-zj1ao8.
Manidhar DM, Rao KU, Reddy NB, Sundar CS, Reddy CS. Synthesis of new 8-formyl-4-methyl-7-hydroxy coumarin derivatives. J Korean Chem Soc. 2012 Aug 20;56(4):459-63. doi: 10.5012/jkcs.2012.56.4.459.
Haj Mohammad Ebrahim Tehrani K, Sardari S, Mashayekhi V, Esfahani Zadeh M, Azerang P, Kobarfard F. One-pot synthesis and biological activity evaluation of novel Schiff bases derived from 2-hydrazinyl-1,3,4-thiadiazole. Chem Pharm Bull (Tokyo). 2013 Feb;61(2):160-6. doi: 10.1248/cpb.c12-00651, PMID 23183543.
Champa R, Vishnumurthy KA, Bodke YD, Bhojya Naik HS, Pushpavathi I, Meghana P. Synthesis, characterization, and biological investigations of potentially bioactive heterocyclic compounds containing benzimidazole nucleus. Results Chem. 2023;6. doi: 10.1016/j.rechem.2023.101018.
Emam SH, Hassan RA, Osman EO, Hamed MI, Abdou AM, Kandil MM. Coumarin derivatives with potential anticancer and antibacterial activity: design, synthesis, VEGFR-2 and DNA gyrase inhibition, and in silico studies. Drug Dev Res. 2023 May 1;84(3):433-57. doi: 10.1002/ddr.22037, PMID 36779381.
Tiwari N, Priyanka SV, Katiyar D. Antimicrobial and chitinase inhibitory activities of 7-Benzamidocoumarins. Asian Journal of Pharmaceutical and Clinical Research. 2019 Jul 7;12:114-9.
DB, NA, Ye M, WS K, NH. MethodsX. Synthesis and pharmacological properties of coumarin-chalcones; 2013. p. 102488. Available from: https://pubmed.ncbi.nlm.nih.gov/38076708. [Last accessed 09 Nov 2024].
Koszelewski D, Kowalczyk P, Brodzka A, Hrunyk A, Kramkowski K, Ostaszewski R. Enzymatic synthesis of a novel coumarin aminophosphonates: antibacterial effects and oxidative stress modulation on selected E. coli Strains. Int J Mol Sci. 2023 Apr 1;24(8). doi: 10.3390/ijms24087609, PMID 37108774.
Nikitin E, Fitsev I, Egorova A, Logvinenko L, Terenzhev D, Bekmuratova F. Five different Artemisia L. species ethanol extracts’ phytochemical composition and their antimicrobial and nematocide activity. Int J Mol Sci. 2023 Sep 1;24(18). doi: 10.3390/ijms241814372, PMID 37762675.