1P. G. & Research Department of Zoology, Voorhees College, Vellore 632009, Tamilnadu, India
Email: gricildashoba@gmail.com
Received: 09 Feb 2015 Revised and Accepted: 05 Mar 2015
ABSTRACT
Objective: The present study was formulated in order to evaluate anti-renotoxic responses in flowers of an Indian lotus (Nelumbo nucifera Gaertn.)
Methods: Gentamicin at a dose of 100 mg/kg/day was used intra-peritonealy for 14 days in rats to induce renotoxicity. Experiment was conducted for 14 days comprising four groups with six animals in each group. Different doses (200 and 400 mg/kg body weight) of Nelumbo nucifera Gaertn. Flower petal extract (NNFPE) were given orally along with Gentamicin for 14 days. Study parameters include Body wt changes, Urine output, Serum Creatinine and Urea, oxidative stress parameters and histological study of the kidney. Results were given as mean±Standard Error of Mean (SEM). Data was analyzed using one-way analysis of variance (ANOVA) followed by Tukey’s multiple comparison tests.
Results: Administration of NNFPE significantly decreases Kidney weight, Serum Creatinine, urea levels in treated groups in a dose dependent manner when comparing to toxic group. Body weight and urine output were significantly increased in NNFPE, treated groups when compared to the toxic group. Significantly increased activities were seen in SOD, CAT, and GPx in NNFPE dose dependent treated rats when comparing to toxic group. Remarkably, decreased MDA and increased renal GSH levels were seen in dose dependently treated NNFPE. Histological reports show extensive destructions were seen toxic group, very less damage were noted in the graded doses of NNFPE treated rats when comparing to toxic group.
Conclusions: The present study reveals that the hydroethanolic Nelumbo nucifera Gaertn. Flower Petal extract has renoprotective activity.
Keywords: Creatinine, Gentamicin, Kidney Tubules, Nelumbo, Oxidative Stress.
INTRODUCTION
The kidney is an essential organ that takes on a prevalent function in homeostasis by excreting metabolic waste products and necessary substances that are in overabundance. It conserves necessary products depending on the demands of the Body [1]. Since the kidney is the major organ of drug excretion, the occurrence of renotoxicity is in big worry. Renotoxicity is a common kidney problems occurs when the body is exposed to a drug or toxin that causes harm to the kidneys, susceptible organ of toxic injuries.
GM is an effective aminoglycoside antibiotic. Still used against dangerous and life-threatening infections by Gram-negative bacteria but its clinical use of this drug is limited due to the development of renotoxicity & ototoxicity. GM causes tubular cell toxicity does so by impairing mitochondrial function, interfering with tubular transport, increasing oxidative stress, or forming free radicals in the Kidney [2, 3]. The toxicity of GM is hypothesized to result from the generation of reactive oxygen species (ROS) in the kidney, including superoxide anions [4, 5], hydroxyl radicals, hydrogen peroxide, and reactive nitrogen species (RNS), leading to renal injury [6]. The mechanisms behind cellular injury and necrosis are peroxidation of membrane lipids and reduced efficiency of antioxidant enzymes in the kidney, such as superoxide dismutase (SOD), catalase (CAT), glutathione peroxidase (GPx), and glutathione (GSH) [4, 7, 8].
Phyto-chemicals are compounds found in plants have a beneficial result on health or play an active part in the amelioration of diseases [9]. Medicinal plants play a beneficial part in treating oxidative stress found to be one of the major reasons of health risks.
Nelumbo nucifera Gaertn, a perennial aquatic plant, native to Tropical Asia and Queensland, Australia [10, 11]. It belongs to the family Nelumbonaceae with numerous common names (e. g. Indian lotus, Chinese water lily and sacred lotus) and synonyms Nelumbium nelumbo, N. speciosa, N. speciosum And Nymphaea nelumbo [12]. It was equally the national flower of India and Vietnam. Lotus was invoked as a medicinal herb in China, India and as popular traditional folk herbs in Thailand [13]. All parts of this plant are employed medicinally in the indigenous systems of medicine. In Siddha System of Medicine, N. nucifera was reported to cure cardiac diseases, liver disorders and dysentery. Flower decoction was utilized to reduce the body heat due to drug toxicity. Aphrodisiac, expectorant, cooling and sedative action was reported for the flowers of N. nucifera [14]. Flowers are good to treat bleeding disorders and the consumption of flowers is recommended to promote the conception [13]. Folks of Maharashtra used this N. nucifera plant to cure kidney disorders [15].
In ancient medicine, lotus flowers were used to prepare nutritious beverage, which is used, to treat hypertension, cancer, diarrhea, fever, weakness, infection and body heat imbalance [16]. Petals are found to be useful in the therapies of hematemesis, eczema, weak spleen and stomach trouble [17, 18]. So far, the researchers have reported that the extract of N. nucifera flowers possess Hepatoprotective [19], Antiplatelet activity [20], Antimicrobial activity [21], Hypoglycemic and Hypolipidemic [13], Whitening & anti-wrinkle effect [22], Antioxidant activities [23-25]. Flavonoids is the main principle phytochemical containing, high levels of Kaempferol derivatives, followed by Quercetin derivatives and Anthocyanins [26] found in the petals of N. nucifera.
On seeing the ethanopharmachological activities of the flowers confirms, that it possesses higher antioxidant activity. The antioxidative stress marker activities of the flowers were not yet studied in renotoxic rats. Therefore, the present study aims to analyze the effect of N. nucifera flower petal extract (NNFPE) with two different concentrations against GM induced renotoxic rats and the study was based on accessing the parameters of serum, oxidative stress markers and pathology of kidney tissue.
MATERIALS AND METHODS
Collection and Authentication of plant
Nelumbo nucifera Gaertn. Flowers were purchased from the Koyambedu flower bazaar of Chennai in Tamil Nadu, India. Prof. P. Jayaraman, Plant Anatomy Research Centre (PARC), and Chennai did the taxonomic identification of the flower (Authentication No PARC/2012/1236).
Preparation of plant extract
The collected N. nucifera Gaertn. Flower petals alone removed from the flower stem and washed thoroughly with water to remove the earthy matters, freed from the debris, shade dried under room temperature for a few weeks, and coarsely powdered using a food processor.
Extraction was performed by hot continuous percolation method using soxhlet’s apparatus. About 500 gms of coarsely powdered Nelumbo nucifera petals were extracted in 70% ethanol by the continuous hot extraction method at 50 °C was decanted from the Soxhlet apparatus and the filtrate was evaporated for the total elimination of alcohol using a Rota flash Vacuum evaporator. The concentrated liquid extract obtained was then transferred to a China dish and kept in a water bath for 50 °C for dryness. The residual extract was transferred to an airtight container free from contamination until it was used.
Drug and chemicals
Main drug Gentamicin (GM) procured from Aptus Therapeutics Pvt. Ltd (Hyderabad, India). Thio barbutric acid was procured from Hi media (Mumbai, India) and the other reagents such as Monosodium Phosphate, Disodium Phosphate, Trichloro acetic acid, STD GSH, 5, 5’-dithiobis Nitro benzoic acid (DTNB), NADH, NBT, PMS, Potassium dichromate, Glacial acetic acid and Hydrogen peroxide was purchased from SRL Chemicals (Mumbai, India).
Animals
Twenty-four Male Sprague Dawley rats weighing 200-250g were obtained from the Central Animal Facility, Sri Ramachandra University and Chennai, India was used for the study. Animals were housed in individual polypropylene cages in a ventilated room (air cycles: 15/min; 70:30 exchange ratio) under an ambient temperature of 22±2°C and 40–65% relative humidity, with a 12-h light/dark artificial photoperiod. They were provided with food (M/s: Provimi Animal Nutrition Pvt Ltd, Bangalore, India) and purified water ad libitum. All the animals were acclimatized at least for 7 days in the laboratory conditions prior to experimentation. CPSCEA guidelines were followed throughout the study. The Institutional Animal Ethical Committee of Sri Ramachandra University, Chennai, India (IAEC/XXVIII/SRU/208/2012), approved the experimental animal study.
Experimental study
After acclimation, the rats were grouped into four of six animals each. Group I serves as Normal control (0.5% CMC); Group II serve as Toxic control (GM+0.5% CMC); Group III serve as Test control with low dosage (200 mg/kg p. o NNFPE+100 mg/kg i. p GM); Group IV serves asTest control with high dosage (400 mg/kg p. o NNFPE+100 mg/kg i. p GM). GM 100 mgs/kg/d was injected intra peritoneal for 14 days [27] except for Group I., NNFPE was administered orally every day with two different doses, one hour before Gentamicin Injection in Group-III & Group-IV.
Body weights of all the animals were recorded on 0th and the 14th day of the experiment. The absolute changes in weight in reference to the initial weight per group were compared between toxic group vs. other groups.
After the last injection of Gentamicin (on day 14), all the animals were maintained in individual metabolic cages in order to collect 24-hour urine sample. On day 15th, the Blood samples were collected via retro-orbital puncture using ether anesthesia to separate serum. After blood sampling for the biochemical analysis, all the animals were euthanized using Carbon dioxide euthanasia chamber and the rats were sacrificed, the kidneys were excised from each animal and changes in the weight of the kidney were recorded, compared among the three groups vs. Toxic group. Urine output was further measured and the volume was compared between Toxic group versus other groups. The kidney tissues were stored under – 40 ° for Histo-pathological examination and for tissue homogenate parameters. The degree of renal impairment was assessed in Serum, oxidative stress parameters and histopathology of the kidney.
Biochemical analysis
Serum parameters
The Serum Creatinine & Urea levels were assayed by a commercially available assay kit (Accurex Biomedical Pvt. Ltd., Mumbai, India). All the assays were measured by semi automatic biochemical analyzer (BTS 350. Bio-system and Barcelona, Spain). All the assays were done in replicate according to the manufacturer’s instruction and the concordant values was expressed in mg/dl.
Oxidative stress markers
500 mg of kidney tissues were employed in 10% homogenate preparation using 10% KCl solution and it was centrifuged at 1000 rpm for ten minutes. The obtained Supernatant was used to measure the SOD, CAT, GPx activities and renal GSH& MDA content were measured using standard methods.
The lipid per oxidation levels was achieved by measuring the product thio-barbituric Acid Reactive Substances (TBARS) by following the method done by Ohkawa and his co-authors [28]. Renal Glutathione (GSH) content was assayed by the method prescribed by Moron and his co-authors [29]. Glutathione peroxidase activity was evaluated by the method given by Rotruck and his co-authors [30]. Superoxide dismutase (SOD) activity was assayed by the method of Kakkar and his co-authors [31]. Catalase activity was assayed by the method adopted by Sinha and his co-authors [32]. All the assays were done in replicate to get precision results.
Histopathological study
The collected kidney tissues in all groups were held and secured at 10% buffered neutral formalin and adequately sliced wherever necessary. Later on, a minimum of 24 h fixations, the samples processed by conventional methods, and 3-4-micron thickness paraffin sections were stained with Hematoxylin and Eosin. They were reviewed by Trinocular fluorescence microscope (B-600Ti FL, Optika, Italy) to note the changes occurred in all groups.
Statistical analysis
Results were given as mean±Standard Error of Mean (SEM). Data were analyzed using One-way analysis of variance (ANOVA) followed by Tukey’s multiple comparison tests using Graph Pad Prism 5.03 (Graph Pad Software, San Diego, CA, USA). P<0.05 was considered as significant.
RESULTS
Effect of NNFPE on body weight and kidney weight
The effects of various doses of NNFPE (200 mg/kg and 400 mg/kg p. o.) were studied on body weight in Gentamicin intoxicated animals. Body weight was found to be significantly decreased (P<0.001) in rats treated with only GM (Group-II); as showed in table 1, the body weight was significantly increased (P<0.001) in the doses of NNFPE. Substantial decrease in kidney weight was found in GM treated rats (Group-II) as compared with control (Group I). Rats handled by different doses of NNFPE (Group III & IV) showing decreased kidney weight dose dependent manner when compared with other groups (table 1).
Effect of graded oral doses of NNFPE on Urine volume
The levels of urinary volume in both the doses of NNFPE were measured in GM intoxicated animals. The urine volume was significantly decreased (P<0.01) in Gentamicin intoxicated animals (group-II) compared to control group. A substantial increase in the urinary volume of treated groups can be observed in the dose of 200 mg/kg shows (P<0.01), when comparing to Group II. While, maximum effect can be observed in high dose of NNFPE (400 mg/kg) shows statistically significant (P<0.001) (table1).
Table 1: Effect of NNFPE on Body weight, Kidney weight and Urine volume
| Groups | Body weight (g) | Kidney weight (g) | Urine volume(ml/d) |
| Before treatment(d 0) | After treatment(d14) | ||
| I. Normal Controls | 250.50±0.89 | 254±0.82 | 0.591±0.020 |
| II. Toxic control | 246±0.93 | 241.33±0.91### | 0.775±0.025### |
| III. NNFPE(200 mg/Kg)+GM | 246.16±0.48 | 249.16±0.31*** | 0.675±0.025* |
| IV. NNFPE(400 mg/Kg)+GM | 245±0.45 | 250.5±0.56*** | 0.616±0.029** |
Values were expressed as mean±SEM (n= 6). Statistically significant difference is expressed as ###P<0.001, ##P<0.01 vs Group I, ***P<0.001, **P<0.01and *P<0.05 vs Group II.
Effect of graded oral doses of NNFPE on Serum parameters
Well-marked elevation can be seen in the levels of serum parameters of Group II due to the GM intoxication (table 2). The elevated Serum Creatinine, and urea levels were significantly (P<0.001) reduced in the rats treated with NNFPE (200 mg/kg and 400 mg/kg p. o) extract in Group III and IV when compared with Group II (table 2).
Effect of NNFPE on renal oxidative stress parameters
The effect of NNFPE on renal oxidative stress parameters was summarized in Tables 3.
GEN administration shows significantly (P<0.001) increased MDA and decreased (P<0.001 and P<0.01) concentration of GPx, GSH, SOD & CAT in Group II treated animals.
The animals treated with NNFPE (200 mg/kg and 400 mg/kg) exhibited a substantial decline in MDA concentrations and in the case of GPx, GSH, SOD & CAT showed significantly increased in both the Groups treated with NNFPE (200 mg/kg and 400 mg/kg) as compared to toxic group.
Histopathology
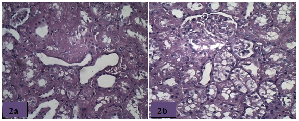
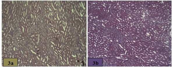
Histopathological examinations of kidney tissue section in different experimental groups of rats were shown in (Fig-1 to Fig-3). Normal Glomerular with tubular structure was found in the control Group-I (Fig-1). There is massive destruction in the tubules can be seen viz. Congestion & Dilation of tubules, lymphocytic infiltration around the tubules and Tubular degeneration can be seen in Group-II (Fig-2(a-b)). Kidney sections treated with NNFPE with GM, showed reparative response in Group-III & Group-IV, HE x10. Well-marked response in minimizing the tubular destructions can be seen in high dose (400 mg/kg/body wt) of NNFPE, in Group –IV (Fig-3(b)).
Table 2: Effect of NNFPE on serum creatinine and urea
Groups |
Serum parameters (mg/dl) |
|
Creatinine |
Urea |
|
I. Normal Controls |
0.89±0.12 |
34.14±2.95 |
II. Toxic control |
4.94±0.55### |
58.33±3.33### |
III. NNFPE(200 mg/Kg)+GM |
2.25±0.34*** |
36.68±1.32*** |
IV. NNFPE(400 mg/Kg)+GM |
1.25±0.29*** |
30.93±1.22*** |
Values were expressed as mean±SEM (n= 6). Statistically significant difference is expressed as, ###P<0.001 vs Group I, ***P<0.001 vs Group II.
Table 3: Effect of NNFPE on MDA, GSH, GPx, SOD and CAT levels
| Groups | MDA | GSH | GPX | SOD | CAT |
| I. Normal Controls | 124.42±5.95 | 1.48±0.087 | 78.12±7.59 | 17.79±3.00 | 17.40±0.58 |
| II. Toxic control | 225.58±20.26### | 0.97±0.13## | 32.55±4.5### | 7.86±0.48## | 12.30±0.86## |
| III. NNFPE(200 mg/kg)+GM | 171.95±0.83* | 1.32±0.07* | 60.90±3.05** | 14.42±1.02* | 15.81±1.05* |
| IV. NNFPE(400 mg/kg)+GM | 162.09±6.02** | 1.34±0.04* | 62.17±4.61** | 16.03±0.52** | 17.78±0.67*** |
Values were expressed as mean±SEM (n= 6). Statistically significant difference was expressed as ###P<0.001, ##P<0.01 vs Group I, ***P<0.001, **P<0.01and *P<0.05 vs Group II.
Units: MDA-n moles of MDA formed/min/mg/protein in tissue samples. GSH – n mol of GSH/mg protein. GPx-μg of GSH consumed/min/mg protein. SOD – Units/min/mg ptn, CAT-μmoles of H2O2 consumed/min/mg protein
Histopathology of renal tissue in different groups

Fig. 1: Normal control rat HEx40

Fig. 2(a-b): Renotoxic induced rat, HEx40

Fig. 3 (a): NNFPE (200 mg/kg) treated with simultaneous renotoxic induction, HE x10. (b): NNFPE (400 mg/kg) treated with simultaneous renotoxic induction, HE x10
DISCUSSION
The kidneys are readily susceptible to damage from drugs because of larger perfusion and accumulation of excreted compounds that occur in renal tubular cells during absorption and secretion. GM been recognized for causing structural, metabolic and functional changes in the kidney. In the pathogenesis of GM induced renotoxicity, that the Reactive Oxygen Species (ROS) plays the fundamental key in the mechanism of tubular necrosis. Among the main approaches used to ameliorate or protect the GM induced renotoxicity, the most consistent effects have been observed with the use of antioxidant agents [33, 34]. Attention has focused recently on the development of antioxidants from natural sources that are able to ameliorate GM induced renotoxicities. These natural antioxidants may offer comparatively safer alternatives to synthetic antioxidants, which may do serious or unacceptable adverse side effects.
Gentamicin is deemed to be actively transported into proximal tubules, causing proximal tubular injury and abnormalities in renal circulation that leads to reduction of GFR, would increase the levels of Creatinine and Urea in Serum [35-38]. In the present study, renotoxicity is characterized by declined level of urine output and elevated levels of Urea and Creatinine in serum of toxic rats. Nevertheless, these effects were reversed by pretreatment with a single oral daily graded dose of N. nucifera petal extracts for 14 days, even in the presence of Gentamicin. GM known to cause increased kidney weight and it was due to edema and inflammatory changes in the proximal tubular epithelial cells [39]. Increased catabolism results in acidosis accompanied by anorexia, which decreases the intake of food lead to body weight loss [40, 41]. Increased kidney weight and body weight loss are noted in Group-II in the present study as it mentioned in the above statement, can be reverted to its normal level of oral graded doses of NNFPE in Group IV and V.
Oxidative stress appears to play a key role in the development and progression of degeneration diseases, including GM toxicity [4, 6]. GM is known to generate Reactive Oxygen Species (ROS) associated with an increased cortical Lipid Peroxidation (LP), decreases the activities of Catalase (CAT), Glutathione Peroxidase (GPx) enzymes, and reduces the degree of reduced glutathione (GSH) in kidney [42]. Glutathione is a part of the essential compounds required for maintaining cell integrity and participation in the cell metabolism, and is a critical indicator for evaluating oxidative stress in cells [43, 44]. This decrease in activity indicates that antioxidant enzymes were depleted during the process of combating oxidative stress. Whereas, in our present study, the above reported effects caused by Gentamicin was reversed by a single oral graded doses of a hydro ethanol extract of Nelumbo nucifera for 14 days in two different concentrations with co-administration of Gentamicin.
Histopathological lesions were assessed in parallel with the serum, antioxidant, and lipid peroxidation assays. Rats treated with GM had massive destruction in the tubular cells. These massive destruction were predicted because it has been well established that GM treated 100 mg/kg/b. wt for 6 consecutive days causing significant nephrotoxicity in rats [45, 46]. These findings are in agreement with previous studies where animals treated with different antioxidant agents [34, 47, 48].
CONCLUSION
In conclusion, NNFPE protects against GM-induced renotoxicity, possibly by inhibiting lipid peroxidation, enhancing renal glutathione content and activity of antioxidant enzymes. Maximum effects can be noted in the high dose of NNFPE (400 mg/kg) fallowed by low dose of NNFPE (200 mg/kg). The Reno protective effects of the Nelumbo nucifera Gaertn. Flower petal extract might be due to its antioxidant activity. Therefore, NNFPE is a highly free-radical scavenger agent and offers protection against GM-induced renotoxicity.
ABBREVIATION
Gentamicin (GM), Nelumbo nucifera Gaertn. Flower petal extract (NNFPE), Malondialdehyde (MDA), Glutathione (GSH), Glutathine peroxidase (GPx), Superoxide dismutase (SOD), Catalase(CAT).
CONFLICT OF INTERESTS
Declared None
REFERENCES