Assistant professor, Department of biotechnology, Rajalakshmi Enginerring College, Chennai, Tamilnadu, India
Email: sankar7950@gamil.com
Received: 11 Feb 2015 Revised and Accepted: 05 Mar 2015
ABSTRACT
Objective: To evaluate the hepato protective role of Heptoplus (HP), a ployherbal formulation as a supplementary agent for the Isoniazid and Rifampicin induced oxidative stress and apoptosis in liver.
Methods: Liver cell lines were divided in to five groups. Group I is control, group II is treated with 30ng/ml of INH+RIF, group III, IV and V are supplemented with 50, 100 and 200 ng/ml of HP. At the end of the experimental period, biochemical tests for liver marker enzymes and antioxidant profile were studied. Gene expression for apoptosis and CYP2E1 was also studied.
Result: Cells in group II suffer from severe oxidative stress and hepatotoxicity, as seen by significant decreases of (p≤0.001) reduced glutathione, catalase (p≤0.01) and superoxide dismutase (p≤0.001) and significant increase (p≤0.01) of liver marker enzymes. However, liver cell lines nourished with 50, 100 and 200 ng/ml of HP were protected from oxidative stress and maintained normal antioxidant profile and liver marker enzymes in a dose dependent manner. Hepatocytes in group II, displayed significant (p≤0.001) up regulation of CYP2E1, BAX, P53 and caspases 3 and significant (p≤0.001) down regulation of Bcl2 gene expression. Concomitant applications of HP protected the hepatocytes from programmed cell death by conserving normal CYP2E1expression and enhancing the protective action of Bcl2 by up regulating the expression on dose dependent manner.
Conclusion: Heptoplus prevented oxidative stress and apoptosis, in hepatocytes.
Keywords: Isoniazid, Rifampicin, Oxidative stress, Apoptosis and Heptoplus
INTRODUCTION
Liver is playing a constitutive role in the maintenance and homeostasis of the body [1]. Though liver has paramount action on xenobiotics, it is the most susceptible organ for drug induced adverse effects, when compared to whole body. The overall incidence of drug induced liver injury in general population is greatly unknown, but the incidence of single drug induced hepatotoxicity is estimated between one in 1000 and 1 in 1laksh patients in a year for most of the drugs used in clinics [2, 3]. Isoniazid (INH) and Rifampicin (RIF) are the two prime chemotherapeutic agents used for the treatment of tuberculosis, however associated with hepatotoxicity [4]. Ubiquity of liver dysfunction is associated with both INH and RIF, used in combination [5]. In India, the occurrence of INH and RIF induced hepatotoxicity is 11.6 %, when compared to western countries where it is 4.3% [6]. Acetyl hydrazine and hydrazine are the metabolites of INH. Oxidative activation of these metabolites by cytochrome P450 system in the liver, results in the generation of electrophlic intermediates and free radicals, which are competent enough to induce liver injury [7, 8]. Moreover RIF is a powerful inducer of drug metabolising enzymes and exacerbate liver damage by enhancing the production of toxic metabolites from INH [9]. Both INH and RIF predominately impart oxidative stress to the liver by increasing lipid peroxidation (LPO) and suppressing the antioxidant profile, which is believed to be crucial event in the hepatotoxicity induction [10]. This paves the way for apoptosis [11]. Since oxidative stress and apoptosis are major events in INH and RIF induced hepatotoxicity, there is no constrictive treatment to treat liver toxicity. So herbal medicines are widely preferable choice of medical fraternity for their minimal side effects. Hence the present invitro study is designed to elucidate the role of HP as a supplementary agent for INH and RIF induced hepatotoxicity.
MATERIALS AND METHODS
Rifampicin and Isoniazid were procured from sigma chemicals and all other chemicals used for this study were analytical grade.
Heptoplus
Heptoplus is a polyherbal formulation drug, procured from Care and Cure Herbs pvt Ltd, Chennai, India, in the form of capsule. Each capsule has the following composition: PhyllanthusAmarus 100 mg, Eclipta Alba 50 mg, Tephrosia Purpurea 30 mg, Curcuma Longa 30 mg, Picrrohiza Kurooa 20 mg, Withania Somnifera 100 mg, Pinius Succinifera (Amber) 37.50 mg, Pistacia Lentiscus 25 mg, Orchis Mascula 25 mg and Cycas Circinalis 62.50 mg.
Culture of cells
Chang liver cells, a type of human hepatoma cells were obtained from National Centre for Cell Science (NCCS), Pune, India. Cells were maintained in Minimum Essential Media (MEM) supplemented with 10% Fetal Bovine Serum (FBS), with 100units/ml penicillin and 100μg/ml streptomycin. Cells were cultured in 75 cm2 culture flasks and incubated at the humidified atmosphere with 5% CO2 at 37 °C.
MTT assay
Cell respiration as an indicator of cell viability and proliferation was determined by using a mitochondrial dependent reduction of 3-(4, 5-dimethylthiazol-2-yl)-2, 5-Diphenyl tetrazolium bromide (MTT) to formazan. Preconfluent chang liver cells were seeded in 96-well plates at a density of 8, 000 cells/200μl/well. Cells were treated with different concentrations of the test drug [equal volume of INH+RIF and HP at concentrations ranging from 1X10-3-1X106 ng] after 24 h following plating and incubated at 37 °C for one day. At 20 h following drug exposure, the cells were incubated at 37 °C with 0.5 mg/ml MTT for 4 h. At the end of the experiment, the medium was removed, and the insoluble formazan product was dissolved in DMSO (200μl) and kept at least 15 min in dark. The intensity of purple blue colour developed was measured at 570 and 630 nm using Thermo scientific multi scan spectrophotometer, USA. Percentage growth inhibitory rate of the test drug was calculated using the formula:
% Growth inhibitory rate = ([Control OD–Test OD]/Control OD) * 100
Experimental protocol
Chang liver cells were seeded in 6 well plates at a density of 1X105 cells/well and allowed to grow for a period of 24 h for all treated groups. The study is divided in to five groups.
Group I: Normal liver cells.
Group II: liver cells treated with 30 ng/ml of INH and RIF.
Group III: liver cells was exposed to 30ng/ml INH and RIF along with 50 ng/ml of HP.
Group IV: liver cells treated with 30ng/ml INH and RIF along with 100ng/ml of HP.
Group V: liver cells treated with 30ng/ml INH and RIF along with 200ng/ml of HP.
At the end of the exposure period, media was removed for biochemical estimation and the cells were trypsinised for measuring mRNA expressions of BAX, Bcl2, Caspase 3 and p53.
Biochemical analysis of liver function marker enzymes
At the end of the experiment period medium was used for the assay of aspartate transaminase (GOT) alanine transaminase (GPT), and alkaline phosphates (ALP) using accurex kit method.
Antioxidant assay
After the treatment period, medium was decanted and monolayer cells were washed twice with Hanks balanced salt solution twice. After that, cells were scrapped and dissolved in 1 ml of Tris HCl buffer and lysed completely using homogenizer. The homogenates were centrifuged at 3000 X g for 30 min at 40º c. The supernatant was used for the assay of catalase (CAT) [12], Superoxide dismutase (SOD)[13, 14] and reduced glutathione (GSH) [15].
p> Polymerase chain reaction (RT-PCR)Total RNA was extracted using trizol Reagent (Sigma, USA). After homogenizing the cells with TRIzol reagent, the tubes were incubated for 10 min and centrifuged at 1000 rpm for 5 min. 200 µl of chloroform was added to the supernatant, allowed to incubate for 5 min at room temperature and centrifuged at 12000 rcf for 20 min. Then 500 µl of isopropyl alcohol was added to the supernatant to precipitate the total RNA and centrifuged at 12000 rcf for 15 min following the incubation period of 10 min. The supernatant was decanted carefully; the pellet was washed thrice with 75% ethanol, centrifuged at 12000 rcf for 15 min. The pellet was air dried and then re-suspended in 20 µl of RNase free water and stored in-80 °C until use. RT-PCR was carried out using PCR master cycler gradient (Eppendorf, Germany) and semi-quantified using Bio1D software in gel documentation (Vilber Loumart, France): Oligonucleotide nested Primer sequences for GAPDH, apoptosis and CYP2E1genes were shown in table1.
Data analysis
Data was expressed as mean±SEM. Mean differences between the groups were analyzed by one way anova followed by turkey’s multiple comparison test using graph pad prism 5.0. p<0.05 was considered as statistically significant.
RESULTS
MTT assay
MTT assay is used to determine the IC50 value of HP. Liver cells were treated with different concentrations of HP and INH+RIF for a period of 24 h. Liver cells were exposed to HP exhibited IC50 value of 315.6 ng/ml, whereas cell lines exposed to INH+RIF, IC50 value was 34.84 ng/ml.
Effect of Heptoplus on biochemical markers of liver function
Biochemical markers for liver functions were carried out, in order to study the efficacy and pharmacological actions of HP, the results obtained are shown in table-2. In Group II, liver cells showed significant increases of (p<0.001) AST, ALT, ALP and LDH, when compared to group I liver cells. However, hepatocytes in group V show near normal levels of AST, ALT, ALP and LDH. Hepatocytes in group III and IV show dose dependent decreases in liver function enzymes.
Table 1: Oligonucleotide nested primer sequences for GAPDH, apoptosis and CYP2E1genes
| Primer | Forward primer | Reverse primer |
| GAPDH | 5’-CGACAGTCAGCCGCATCTT-3’ | 5’-CCAATACGACCAAATCCGTTG-3’ |
| BAX | 5'-TTTTGCTTCAGGGTTTCATC-3' | 5'-GACACTCGCTCAGCTTCTTG-3' |
| BCL2 | 5'-ATGTGTGTGGAGAGCGTCAACC-3' | 5'-TGAGCAGAGTCTTCAGAGACAGCC-3' |
| Caspase 3 | 5′-AATTCAAGGGACGGGTCATG-3′ | 5′-GCTTGTGCGCGTACAGTTTC-3′ |
| P53 | 5'-GGATGCCCGTGCTGCCGAGGAG-3' | 5'-AGTGAAGGGACTAGCATTGTC-3' |
| CYP2E1 | 5'-TCAATCTCT GGACCCCAACTG-3' | 5'-GCGCTCTGCACTGTGCTTT-3' |
Table 2: In vitro hepatoprotecive effect of Heptoplus on isoniazid and rifampicin induced toxicity
| Parameters | Group I | Group II | Group III | Group IV | Group V |
| AST U/l | 124.6±2.1 | 198.7±6.7*** | 172.5±1.9 b | 144.6±3.9 c | 125.6±3.1ac |
| ALT U/l | 85.68±3.2 | 201.6±2.0*** | 178.6±1.5 c | 103.8±3.3 c | 89.85±2.8a c |
| ALP U/l | 192.1±3.2 | 413.4±6.8*** | 312.6±2.1 c | 218.9±5.7 c | 201.4±1.6 c |
| LDH U/l | 177.9±6.0 | 303±9.6*** | 252±3.5b | 216.9±8.6 c | 188.0±6.8 c a |
Values are expressed as mean±SEM where N=3. P is ≤ 0.05 *, ≤ 0.01** and ≤0.001*** vs group I. P is ≤ 0.01 b and ≤0.001c vs group II. P is ≤ 0.05a group IV vs V.
Effect of Heptoplus on antioxidant profile
The homeostatic effect of HP on antioxidant profile status of INH and RIF treated liver cells were analysed; the results are shown in the table-3. Liver cells in group II, show significant (p<0.01) decrease of CAT, SOD and GSH, when compared to group I. At the same time, the hepatocytes in group IV and V, show significant elevation of CAT, SOD and GSH in a dose dependent manner, when compared to group II. In the group III, liver cells show minimal changes, when compared to group I.
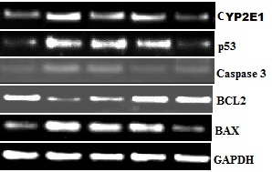
Effect of Heptoplus on CYP2E1 and apoptosis gene expression
Fig.1 shows the effect of HP on apoptotic and CYP2E1 m RNA expressions in the chang liver cellines. The effect HP on CYP2E1 m RNA expression is shown in fig.2 Hepatocytes treated with INH and RIF, show significant (p<0.01) upregulation of CYP2E1gene expression, when compared to normal group I hepatocytes.
However, HP supplemented cells in group IV and V show significant down regulation of CYP2E1 m RNA expression in a dose dependent manner, when compare to group II liver cells. The effect on HP on BAX gene expression was analysed and shown in fig.3. Cells in group II shows significant (p<0.001) upregulation of Bax gene expression, when compared to group I cells. Cells in group III, IV and V shows down regulation of BAX gene expression in a dose dependent manner, when compared to group II liver cells.
Table 3: In vitro antioxidant activity of Heptoplus on isoniazid and rifampicin induced oxidative stress
| parameters | Group I | Group II | Group III | Group IV | Group V |
| GSH nmol/104 cells | 4.63±0.1 | 2.80±0.2 *** | 3.43±0.2 | 3.67±0.0 a | 4.30±0.1c# |
| CAT H202 nm/min/mg protein | 23.59±1.2 | 16.06±0.9 ** | 17.69±0.8 | 19.62±0.3 | 22.28±1.2b# |
| SOD units/mg protein | 8.82±0.2 | 5.68±.0.3 *** | 5.93±0.2 | 7.46±0.3#b | 8.57±0.2c### |
Values are expressed as mean±SEM where N= 3. P is 0.05 *, ≤ 0.01** and ≤0.001*** vs group I, P is ≤ 0.05 a, ≤ 0.01b and ≤0.001c vs group II. P is ≤ 0.05# and ≤ 0.001###group III vs group V.
The semi quantitative analysis of m RNA expression of caspases 3 and P53 are shown in fig.4 and fig.5 Significant upregulation of both caspases 3 and p53 m RNA expression, was observed in the cells exposed to INH and RIF. However, cells supplemented with HP show significant down regulation of caspases 3 and p53 m RNA expressions, when compared to group II hepatocytes. Bcl2 mRNA gene expression is shown in fig.6. Liver cell lines in group II shows significant down regulation of Bcl2 m RNA expression, when compared to group I control. Liver cell lines treated with HP in group III, IV and V shows significant upregulation of Bcl2 expression, when compared to groupII cells.

Fig. 1: Effects of Heptoplus on isoniazid and rifampicin induced apoptosis and CYP2E1 gene expression in hepatocytes
Lane 1 control hepatocytes, lane 2 heptocytes exposed to INH and RIF treated, lane 3 hepatocyes supplemented with 50 ng/ml of HP, lane 4 liver cell lines exposed to 100 ng/ml of HP and lane 5 treated with 200 ng/ml of HP

Fig. 2: Effect of Heptoplus on isoniazid and rifampicin induced CYP2E1 gene expression in hepatocytes
Values are expressed as mean±SEM, where N=3. P is≤0.001*** vs group II. P is ≤0.01band≤0.001c vs group I. P is ≤ 0.05#group IV vs group V.

Fig. 3: Effect of Heptoplus on isoniazid and rifampicin induced proapoptotic BAX gene expression in hepatocytes
Values are expressed as mean±SEM, where N=3. P is ≤0.001*** vs group II. P is ≤0.001c vs group I. P is ≤ 0.001###group IV vs group V.

Fig. 4: Effect of Heptoplus on isoniazid and rifampicin induced caspases 3 gene expression in hepatocytes
Values are expressed as mean±SEM, where N=3. P is ≤0.001*** vs group II.
P is ≤0.01band ≤0.001c vs group I. P is ≤ 0.05#group IV vs group V.

Fig. 5: Effect of Heptoplus on isoniazid and rifampicin induced p53 gene expression in hepatocytes
Values are expressed as mean±SEM, where N=3. P is ≤ 0.05 *, ≤ 0.01** and ≤0.001*** vs group II.
P is ≤0.001c vs group II. P is ≤ 0.001###group IV vs group V.

Fig. 6: Modulative effect of Heptoplus on Bcl 2 gene expression in hepatocytes
Values are expressed as mean±SEM, where N=3. P is ≤ 0.01** and ≤0.001*** vs group II. P is ≤ 0.01band ≤0.001c vs group I. P is ≤ 0.01##group IV vs V.
DISCUSSION
One of the profound concerns of using INH and RIF for the treatment of tuberculosis is hepatotoxicity [16]. Particularly oxidative stress is the attributing mechanism of INH and RIF induced liver damage [17]. During oxidative insult free radicals generated from the reactive metabolites of RIF and INH, initiate peroxidative degradation of membrane lipids, which in turn promote the formation of lipid peroxides. As a result malondialdehyde (MDA) is generated, which leads to loss of integrity of cell membrane [18]. Hepatocyte integrity is appraised by the presence of liver enzymes like, AST, ALT and ALP levels in the systemic circulation [19]. Aberrant index of AST and ALT in the cell supernatant, indicate the presence of hepatocyte damage. HP application reduces these maker enzymes in the supernatant by curtailing the generation of lipid peroxides and maintaining the membrane integrity of hepatocytes. LDH is localized in the cytoplasm of cell, which exudates in to systemic circulation during cell damage or necrosis. Measurement of LDH is used as an index of necrosis [20]. Sharp increases in LDH, denotes the presence of necrotic cells. HP applications prevented the necrosis in the hepatocytes and allowing to maintain normal LDH levels. GSH is a crucial endogenous antioxidant, which scavenges reactive oxygen intermediates (ROS) and maintains the intracellular redox balance and protect tissue from oxidative insult [21]. Treatment of INH and RIF disturbs overall antioxidant/pro oxidant balance in the hepatocytes, by generating ROS and imparting oxidative stress in the tissue [22]. In the present study the drastic reduction of GSH, might be due to the maximum utilization for detoxification. Supplementation of HP restores the hepatic GSH content by neutralizing the ROS. Liver is guarded with the presence of innate antioxidant enzymes like SOD and CAT. Nevertheless a reduction in the activity of these enzymes in the cell, results in the accumulation of free radicals, which pave the way for loss of integrity of the membrane and its function [23]. Both CAT and SOD are mutual antioxidant enzymes, easily inactivated by the presence of ROS or lipid peroxides [24]. Decline of CAT and SOD activities in the hepatocytes, may lead to ROS and lipid peroxide mediated injures. HP treatment restores the activities of CAT and SOD in hepatocytes. Thus it curtails the generation of lipid peroxidation by neutralizing the ROS. CYP2E1 is responsible for the metabolism of both INH and RIF in the liver. The pathogenicity of INH and RIF induced liver injury is a consequence of reactive metabolite hydrazine formed during the biotransformation reaction, which in turns results in the generation of ROS and carbonyl compounds. Moreover RIF aggravates hepatotoxicity by enhancing production of toxic metabolites from INH, by inducing CYP2E1 [25]. Upregulation of CYP2E1 expression is a sign of oxidative stress. HP treatment protected the hepatocytes from the oxidative insult by regulating the CYP2E1 gene expression. Bcl-2 is an antiapoptotic factor, normally displayed in the outer mitochondrial membrane to inhibit apoptosis. During oxidative stress, BAX pro-apoptosis marker migrates to the power house of cell and inhibits the protective effect of Bcl-2 [26]. Up regulation of BAX and down regulation of Bcl-2 expression, is a symbol of mitochondria mediated apoptosis pathway. HP application prevents mitochondria mediated apoptosis by maintaining normal Bcl2 protective action. P[53] is a sequence specific transcription factor, activated in response to internal and external stimuli. When the cell is under severe stress, the activated P53 translocates from the nucleus and modulates the action of Bcl2 and BAX on the mitochondrial membrane, resulting in activation of effectors caspases; inducing cell death [27]. In the present study upregulation of P[53] and effectors caspases denote the triggering of apoptosis, due to oxidative stress. HP nourishment restrains hepatocyte from apoptosis by modulating the expression of P53 and effector caspases.
CONCLUSION
From this in vitro study, the liver cell lines supplemented with Heptoplus protected the hepatocytes from oxidative stress and resultant apoptosis, which is induced by INH and RIF, in a dose dependent manner.
CONFLICT OF INTERESTS
Declared None
REFERENCES