1, 3Department of Pharmacology, 4 , 5, 6Department of Microbiology, Kasturba Medical College, Manipal University, Manipal, 2Rama Medical College Hospital and Research centre, Hapur, Chaudary Charan Singh University, Meerut
Email: veena.nayak@manipal.edu
Received: 11 Feb 2015 Revised and Accepted: 08 Mar 2015
ABSTRACT
Objective: Lantana camaraL (L. c) has been known for its anti-bacterial activity since quite some time in its various extracts and pharmacological preparations. In view of this, we plan to study and compare the wound healing property of tincture of L. cin surgically induced wound in animal models with tincture of iodine (I2).
Methods: An herbal tincture was developed from stems of L. cin concentrations of 20%, 40%, alcohol in tincture was followed as mentioned in IP, tested against tincture I2 in same aged different groups of rats under incision and excision models, also with commonly wound infecting bacteria like S. aureus, E. coli, E. fecalis, P. aeruginosa. Wounds were induced surgically under anaesthesia. Excised rats were observed for wound contraction and epithelialisation. On 7th day, incised rats were subjected to wound dehiscence test. Tissue biopsy took on day 5, 14 and21 for histopathological studies.
Results: Both test groups were found statistically significant against standard with P<0.05 and with mean epithelialisation day value 11±1.02 in the excision model and P<0.05 between the groups in incision model depicting 20% tincture as better with a mean value of 366.67±47.2. Histologically 40% tincture was found non-inferior against standard. Tincture was active against mentioned microbes in various dilutions.
Conclusion: Tincture L. c was non-inferior to iodine. Further studies with concentrated extracts of L. cmay reveal its accelerated healing and better anti-microbial competency so that it can be developed for clinical practice.
Keywords: Herbal tincture, Tincture and wounds, Wound healing, Lantana camara, Tincture of iodine, Excision-incision wound model, Anti-bacterial activity.
INTRODUCTION
Though wound healing is a natural process and seems simple, there underlies a cascade of complex mechanisms which include inflammation, epithelialisation, angiogenesis, granulation tissue formation and deposition of interstitial matrix, to reproduce the normal tissue and bring the skin to normal tone and texture. There is also the contribution of the different type of cells like keratinocytes, fibroblasts, inflammatory cells and endothelial cells which play a vital role in the skin re-construction. Phases of skin healing include inflammatory stage, proliferative stage, remodelling stage and phase of scar formation. Each stage of healing has got its own contribution towards a completely healed skin [1].
It is a known fact that I2 either in its tincture or its solution form, decelerates the process of wound healing by inhibiting the migration of the fibroblasts. Still, it is the most preferred antiseptic in wound management. So when we consider a drug in this category, wound healing; our aim should be about accelerating and to aid the process of wound healing to produce a better and strongly healed skin.
L. c, belonging to verbenaceae usually an ornamental and a weed which grows almost in every part of the world with 50-270 known species is known for its folklore uses since years [2]. The decoction of the plant was taken against fever, influenza and stomach ache [3]. It was also used for cold, rheumatism, asthma, high blood pressure, bronchitis, cancers and tumours [3]. The plant contains monoterpenes and sesquiterpenes, triterpenes, iridoid glycosides, flavonoids, phenyl ethanoid glycosides along with a toxic compound lantadene A and B with a toxic dose of 80 and 200 mg/kg [4].
The tetracyclic titerpenes present in the plant has been proved for its property to increase the coagulation and Prothrombin time and decreased ESR, total plasma and fibrinogen [5]. It also exhibits anti-inflammatory, anti-tumour and anti-viral activity [4].
These actions of L. c suggest its potential to have wound healing properties. Previous studies have confirmed the wound healing property with the ethanolic extract of roots and leaves. In view of this, we planned to study and compare the wound healing property of the tincture of L. cstem in surgically induced wound in animal models in comparison with tincture of iodine.
MATERIALS AND METHODS
Collection of the drug and preparation of the tincture
The fresh plant of L. c was collected in the month of May 2014 from the district of Davangere, Karnataka. The plant was identified and certified by the botanist, Dept. of botany of Mahatma Gandhi Memorial College of science, Udupi, Karnataka. The stems which were infested by any type of worms, insects or deformed by any form structurally was excluded.
The tincture was prepared according to the ‘Principles and Standards recommended by the International Protocol adopted at Brussels in 1902’ [6]. The tincture was prepared in the strengths of 20% and 40% (w/v). 200g and 400g of small macerated pieces of the fresh stem were taken in 1litreof ethanol which was 20% and 40% in nature; the principle of percolation was followed under the standard laboratory conditions. The deviation from the standard percolation method was that, the drug was allowed in situ for 21 days. Later the liquid was allowed to drip slowly and the obtained percolate was decanted followed by filtration [7].
Preparation of the animals
After obtaining the approval from the Institutional Animal Ethics Committee (Ref: IAEC/KMC/37/2014) for the animal use, 48 male adult Albino Wistar rats weighing between 150-200g aged about 60-75 days were selected for the experiment. The rats were divided into two major groups for excision and incision each containing 4 subgroups (n=6). 4 subgroups were; A: Control, B: Tincture of Iodine, C: 20% of tincture of L. c, D: 40% of tincture of L. c. All the animals were individually caged and maintained on normal food and water ad libitum. Animals were observed for any infection before the study and during the study period.
Excision wound model
The rats were anaesthetised with Inj. Ketamine hydrochloride (120 mg/kg body weight) and Inj. Xylazine (10 mg/kg body weight) IP [8]. After the rats were completely anaesthetised, the dorsal aspect of the back of the rats was shaved using a razor blade. The area was sterilized by using surgical spirit and painted with tincture of iodine after which the nape of the dorsal aspect of the neck was marked with a circle of 1.5 cm radii. The complete depth of the skin was excised till the fascia underneath the skin was exposed unharmed. The excised area was 430-520 mm2 and 2 mm in depth [9]. The wound was left open and was observed for any infection and those which showed such signs were excluded from the study and were replaced.
On the 14th day and at the end of the study (on the 21st day), the skin samples were collected using a punch biopsy needle (2 mm) for the microscopic examination. All the skin samples were Haematoxylin &Eosin stained and slides were prepared as standard protocols.
Incision wound model
The animals were anaesthetised and prepared preoperatively same as described above. After the back of the animal was shaved and been sterilised by surgical spirit, a 4 cm single linear para vertebral incision deep into the layers of the skin till the subcutaneous fascia was exposed, muscles unharmed was done on the right side of the animal, using a scalpel (No.18). The incision wound was then sutured using a cutting edge needle and 3.0 surgical suture threads. The wounds were kept open for the entire duration of the study. On the 7th day, the tensile strength of the incision wound was measured by the method of Lee [10, 11].
Dosing schedule
Excision model: Rats were individually housed in polypropylene cages and dosed twice daily from day 1 to day 21. The dosing was as topical application. Groups B, C and D received tincture of iodine, 20% tincture of L. c, and 40% tincture of L. c respectively and group A served as control.
Incision model: The rats were maintained and dosed from day 1 to day 7 as above said. On the 7th day, wound dehiscence test to measure the tensile strength of the skin was performed.
Estimation of anti-bacterial activity
Anti-Bacterial activity of the tincture was tested on various pyogenic bacteria like Staphylococcus aureus (ATCC 29213), Pseudomonas aeruginosa (ATCC 27853), Escherichia coli (ATCC 25922), and Enterococcus fecalis (ATCC 29212) on a basis of serial dilution method [12].
Preparation of the bacterial suspension and solution of tincture of test and standard
Mueller Hinton broth (MHB) was used for bacterial growth (24h, 37 °C). The bacterial suspension was prepared by the direct inoculation method. Turbidity matched to a 0.5 McFarland standards. The inoculum was an overnight culture of each bacterial isolates in MHB diluted in the same media [13]. After this, a serial dilution of the tincture from 1:1 to 1:256 was made, by serially transferring the doubly diluted and the solution from each dilution by utilizing MHB for dilution [14].
Comparison
A triplicate transfer of 200 µl of respective dilution starting from 1:1 to each well in microtiter plates. Then 20 µl of bacterial suspension was added into each well of the microtiter plate and was compared with the Media control (200 µl MHB) Test control (200 µl test solutions) Growth control (200 µl of MHB+20 µl of Bacterial solution) [15]. The whole set up was incubated for 24 h at 37 °C after which the visible turbidity was observed for activity of the compound tested.
Statistical analysis
As the data obtained from the excision wound model were unequally distributed/skewed, Mann-Whitney U and Kruskal Wallis test were adapted to derive the statistical difference in the groups and in between the groups respectively for excision model [16] and, One way ANOVA and independent sample t test for incision model (there was equal distribution in incision model).
RESULTS
Excision and incision wound models
Significant difference in between groups on the day 5, 7 and 14 was found in excision wound model with P<o. o5 with an average epithelialisation period of control, test 1 and test 2 groups were 9.9±1.2, 9.6±1 and 9.6±1 respectively and that of the standard was 12.6±1 was observed [table 1].
With respect to wound contraction, there was 100% wound contraction at the end of the 21st day in both the test groups, 99.6% contraction in control group and 94.5% contraction in the standard group (fig. 1).
Microscopically observed samples suggest of marked differentiation in reticular dermis, papillary dermis, stratum germinosum, S. spinosum, S. granulosum and evidences of keratinisation were seen which is tabulated below.
In the incision model, significant difference (P<0.05) in the tensile strength was observed between the groups control and standard, test1 & test 2 was observed on day 7 (table 2).
Anti-bacterial effect and MIC
Although the tincture of stem of L. c was not as potent as Tincture of iodine in inhibiting the growth of the various species of pyogenic bacteria like S. aureus, E. coli, E. fecalis, P. aeruginosa, at the concentrations of 20% and 40%, there definitely was an inhibitory action for some extent against S. aureus, E. fecalis and P. aeruginosa by the 40% tincture over above said bacteria (table 3).

Fig. 1.
Table 1: Percentage of wound contraction
| Group | Day 1 | Day 5 | Day 14 | Day of Epithelialization |
| Control | 375.5±41.8 | 258±70.2 | 20.7±5.1 | 9.9±1.2 |
| Standard | 430.5±85.5* | 335.5±29.7* | 92±23.4 | 12.6±1 |
| Test 1 | 422±191.5 | 288±67.5* | 28.5±26.2*a | 9.6±1 |
| Test 2 | 360±97.5*a | 211±58*a, b | 19.5±15.5*a | 9.6±1 |
N= 6, mean±SEM *P<0.05 compared to control, *aP<0.05 compared to standard, *bP<0.05 compared to test 1.
Table 2: Tensile strength
| Group | Day 7 | P value VS control group |
| Control | 110±10 | |
| Standard | 340±17.32 * | 0.01 |
| Test 1 | 366.67±47.25 * | 0.01 |
| Test 2 | 293.33±66.58 * | 0.03 |
N=6, mean±SEM, *P<0.05 compared to control
Table 3:Anti-bacterial efficacy of tincture of L. c
Bacterial species |
Max. dilution efficacy |
||
Tincture of Iodine |
20% Tincture |
40% Tincture |
|
S. aureus |
1:32 |
No activity even at undiluted |
Active at undiluted |
E. coli |
1:16 |
No activity even at undiluted |
No activity even at undiluted |
E. fecalis |
1:256 |
No activity even at undiluted |
Active at undiluted |
P. aeruginosa |
1:16 |
No activity even at undiluted |
1:2 |
![]() |
![]() |
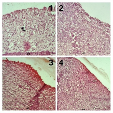
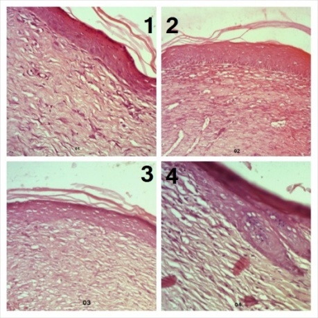
| fig. 2: (Day 14) | fig. 3: (Day 21) |
In the above fig, 1: Control, 2: Standard, 3: 20% tincture, 4: 40% tincture
Histological evaluation
On 14th day: well defined reticular dermis with extensive connective tissue was observed in all the groups viz, control, standard, and both the test groups. Papillary dermis in the development stage with ill-defined dermal papillae were seen in the control group, well developed papillary dermis with dermal papillae in standard group whereas in test 1 and test 2, well differentiated papillary dermis was seen. There was no evidence of Stratum germinatum, stratum spinosum, stratum granulosum on the 14th day (fig. 2).
On 21st day: well differentiated reticular dermis and papillary dermis with prominent papillary dermis were found in all the groups. Stratum germinatum had distinct regular and organised cubical-columnar cells in all the groups. Additionally, upward migration of Stratum germinatum cells to form Stratum Spinosum was seen in the control and both the test groups. Ill-defined stratum granulosum is seen in control and test groups and signs of keratinization are seen in test and control groups (fig, 3) [17, 18].
DISCUSSION
As it is a known that wound healing involves a number of inert mechanisms which collectively contribute to the final result of a healed wound. It has been a challenge to clinicians since times to manage accidental/surgical wounds. Especially when it comes to sterilise the area of the skin pre and post procedure and also accidental wounds, infection is always a threat. In todays practice, it is povidone iodine which is employed to the purpose and is highly reliable when it comes to the antiseptic activity. But, there are evidences of povidone iodine to inhibit the pace of wound healing by inhibiting the migration of fibroblasts to the wound area which is a negative aspect besides its excellent antiseptic activity [19, 20].
This study was in search of a medicament which could heal wounds competitively along with accelerating the healing process without adding any healing supportive factors externally. At the end of experiment, there was no deceleration in the wound healing process in the treated groups compared to standard and control. The anti-bacterial activity of the tincture was evident by the microbiological tests carried out in the 40% tincture (Table: 3) and with the ethanolic extracts of roots and leaves whose MIC on various bacterial species has been known even with a lesser dosage [21]. And in yet another study where the antibacterial activity of L. Montev idensis also has been carried out along with L. camara on a variety of bacteria including P. vulgaris, V. cholareae where the ethanolic extracts of leaves and roots were found positive against these bacteriae. Along with this study another study by Baretto. et. al [22] also proves anti-bacterial activity of the plant extract but in a direct manner on gram positive bacteria and Yokota. et. al [23] shows its activity on gram negative bacteria also.
An ointment of the ethanolic extract of the leaves of the plant was prepared in the Republic of Benin and was tested for chronic rusty or acute lesions of dermatophilosis which healed all the animals without recurrence. The hair grew back on the lesion area within 3-4 weeks post procedure [24].
This was the very first study to identify the anti-bacterial activity of an herbal extract in its tincture form.
Limitations
The control group of the study was left untreated to see the actual pace of the time taken for wound healing naturally. But on the other hand the standard, test 1 and test 2 contained alcohol in their formulations 42%, 20% and 40% respectively. This alcohol may have a mild antiseptic activity over the tested bacteria. But at the same time one can find evidences supporting alcohol inhibiting the cell proliferation of skin by bringing about dehydration [25]. But from the obtained result in the present study we can see that there was no inhibition of skin cell proliferation during the entire study and in fact, groups treated with medicaments containing alcohol (Test1, Test2) resulted in 100% wound contraction on 21st day which proves the percentage alcohol in the medicaments has no action over the normal cell division of the skin.
There was no chemical assays performed to confirm the fibroblast proliferation and keratinisation. Assays to determine the presence of growth factors in the fully healed tissue was not done.
CONCLUSION
Tincture of L. c with its acceptable anti-bacterial activity in tincture of the fresh stem and in ethanolic extracts of leaves and roots can be a prototype of herbal tinctures which could be used in various wound situations. L. c with its non-inhibition of the normal cell division can be an added advantage for its use in treatment of wounds. Histological evaluations reveal its ability to support the natural wound healing process without any hindrance. Further studies with different concentrations of fractionised extracts of stem, roots and leaves can be more beneficial.
AKNOWLEDGEMENTS
Authors are thankful to Mr. Ravi Kumar, Research Associate, SDM Ayurveda Medical College, Udupi, and Mr. Shiva Kumar, PhD scholar, Department of Neonatology, KMC, Manipal, Mr. Arun Kumar, Bilichodu, for their support which helped to complete the project.
CONFLICT OF INTERESTS
Declared None
REFERENCES