1Department of Biochemistry, University of Madras, Chennai 600025, TN, India, 2Molecular Oncology Lab, Department of Biochemistry, Bharathidasan University, Tiruchirappalli 620024, TN, India
Email: devakit@yahoo.co.uk
Received: 02 Dec 2014 Revised and Accepted: 01 Jan 2015
ABSTRACT
The potential benefit of nanoparticles (NPs) as a colloidal delivery system for pharmaceutical relevance has earned substantial concern in the past decades. Fatality rate due to cancer sustained to hike; advances in nanotechnology have quite become a trenchant approach for enhancing effective drug targeting to cancer tissues by circumventing all the imperfections of traditional chemotherapy. Inhalation drug delivery directly targeting the lungs through respiratory tract is a rapidly maturing field of research and most recently explored approaches for both local and systemic therapy. With the recent advances in synthesis and manipulation of nanoparticles, inhalation drug delivery has shown great impact on pulmonary practice. Inhalation drug delivery has diverse actions over traditional chemotherapy including a) non-invasive b) avoiding first pass metabolism and systemic toxicity c) minimized frequent dosing and d) target delivery of drug to the lung epithelium thereby enhancing local drug concentrations. Dry powder inhalers, meter dose inhalers and nebulizers are some few efficient methods to deliver therapeutic agents directly targeting to the lungs. The ultimatum of inhalation therapy is to generate particles with an ample range of particle sizes. With the recent interest in the development of pulmonary targeted therapy, this review presents how the inhalation drug delivery overcomes conventional chemotherapy and focuses the recent treatment modalities that have been established for pulmonary carcinoma by the route of inhalation as well as discusses the advantages of inhalation drug delivery.
Keywords: Nanoparticles, Inhalation drug delivery, Pulmonary targeted therapy.
INTRODUCTION
Lung cancer was a rare disease until the beginning of the 20th century. Now, it is expected to cause 10 million deaths per year worldwide by the year 2030 [1]. The global incidence is 14%, whereas it constitutes 6.8% of all cancers in India. The lungs are a frequent site of metastasis and >90% of deaths due to lung cancer are attributed to the metastatic process [2, 3]. A large number of lung cancers are associated with smoking cigarette; however other factors such as environmental influences and radon or nutrition may also be involved [4]. Tobacco content of smoke, the polycyclic aromatic hydrocarbons (PAHs) such as benzo (a) pyrene [B (a) P], play a crucial role in the induction of pulmonary carcinoma [5]. B (a)P has been consigned as human carcinogen by the International agency for research on cancer [6]. Conventional modalities such as, chemotherapy or radiotherapy or their combinations are considered to be the foremost preventive choices for lung cancer patients [7]. However, the systemic administration of comprehensive chemotherapeutic agents causes marked toxicities and nasty side effects because the chemopreventive agents used act on tumor cells as well as normal cells [8, 9].
Furthermore, the delivery coherence of intravenously administered agents to the lungs is very little because they are diluted in the systemic circulation and thus, therapies are oft lousy and survival times are very short [7-9]. Direct local delivery of chemotherapeutic agents to the sites of lung cancer offers a desirable alternative approach because it allows the concentrated delivery of chemopreventive agents to tumor sites [8-11]. Inhalation chemotherapy is one such direct delivery of chemotherapeutic agents to lung cancer which offers wide range of assistance over other modes of administration like high local concentration, increased selectivity and lower systemic exposure, etc. The lung is a directly accessible organ from the exterior [12, 13]. Thus, inhalation therapy represents an attractive treatment model for the targeted delivery of chemopreventive agents to their desired site of action. Moreover, inhalation model represents a non-invasive substitute for systemic delivery of pharmaceuticals (e. g. proteins and peptides); the lower enzymatic activity (contrast to the oral delivery), thin epithelial air-blood barrier and large alveolar surface area allow rapid absorption of macromolecules from the alveolar airspace [14]. In general, the supremacy of inhalation therapy depends on the mechanism and rate of elimination in the respiratory tract. Once the curative agent has been deposited in the lung, destruction is immediately initiated, reducing the initial high local concentrations in lung tissue [15–17]. Additionally, direct delivery of the compounds dodge first-pass metabolism by the liver, permits the majority of the compound to reach the target organ (i.e., lungs with metastatic deposits) while the systemic exposure is limit.
The origin of inhalation therapies flashes in back 40th century ago to India, where people used to smoke the leaves of the Atropa belladonna plant for the prevention of cough. The evolution of an inhalation therapy which is effective and secure depends not only on a pharmacologically active molecule but also on a delivery system and its applications [18]. Inhaled drug delivery is widely used to treat asthma, chronic obstructive pulmonary disease (COPD) and cystic fibrosis has shown promising alternate delivery method for lung cancer chemotherapeutics. Inhalation chemotherapy was first described by Shevchenko and Resnik in 1968 [19].
The inhalation delivery of drug was tested in dogs and eventually in 58 patients. Anticancer effect was perceived in 24 patients but the data were arduous to interpret because of the simultaneous use of radiotherapy. But still, this initial trial established the feasibility of administering chemotherapy by inhalation mode of delivery. Since then, a wide range of chemotherapeutic agents including Temozolomide [9], Cisplatin [20], Polyphenon E [21], Cyclosporine [22] and 5-Fluorouracil [23] administered by inhalation have been evaluated in preclinical models. Administration of 5-fluorouracil by inhalation mode in dogs were tested by Tatsumura et al. [24] and established elevated levels of the drug deposition in the trachea, hilar bronchi and regional nodes. After that, the same research group treated 10 patients with chronic lung tumors with 5-fluorouracil administered via supersonic nebulizer at a dose of 250 mg twice daily for 2 to 3 days per week. They observed antitumor efficacy with two complete and four partial responses. In addition to inhaled chemotherapeutic agent’s administration of cytokines, interferons, siRNA and nano-formulations were tried for inhalation drug delivery and found better improvement over other modes of drug delivery. Huland et al. [25] administered interleukin-2 (IL-2) by inhalation with concomitant IFN-α administered to 15 patients with metastatic renal carcinoma and found improved response in lung compared with non-lung metastases propounding that inhalational IL-2 showed enhanced antitumor efficacy in pulmonary lesions. Nebulized IL-2 along with systemic IL-2 has also been assessed in renal cancer patients [26]. In recent studies, researchers have proved better treatment strategy by utilizing nanoparticles and nanocomposites via inhalation. Ching-Li Tseng et al. showed the effect of gelatin nanoparticles [7] and Insoo Kim et al. showed the effect of doxorubicin-loaded highly porous large PLGA microparticles against lung cancer via inhalation [27]. In addition, Samah Anabousi et al. showed the effect of transferrin-conjugated liposomes against Calu-3 cell line in vitro [28].
Among diverse inhalation drug delivery systems biodegradable nanoparticles shows unique features (table 1) and potent advantages by means of protecting the active ingredient from degradation and releasing the drug in a controlled manner for prolonged periods of time. However, few efforts have been made to deliver anticancer agents using nanoparticles, liposomes, proteins, peptides and carbohydrates via an inhalation route, the prime limitations of these systems are instability during nebulization, drug leakage and associated drug adverse side effects [30]. With this background, this review will give an overview of the application of nanoparticles for pulmonary drug delivery via inhalation, anatomy and physiology of the lung and respiratory tract, deposition and biokinetics of inhaled nanoparticles, nanocarrier strategy for inhalation drug delivery, types of inhalers as well as inhalation studies on pulmonary carcinoma and its advantages. Recent results from invitro and invivo studies are included to underline the unique potential of inhalation drug delivery systems for the treatment of lung cancer.
Table 1: Unique features of nanomaterials [29]
|
|
|
|
|
|
|
|
|
Lung and respiratory tract
The predominant function of the lungs is to allow gaseous exchange between the blood and outside environment and to maintain pH equilibrium. A precise knowledge of lung physiology is an important prerequisite for the evolution of novel pulmonary delivery systems [12-14, 31]. The respiratory tract is bisected into two distinct tracts: the respiratory zone and the conducting airways. The conducting airways act as a gaseous transport system and include the mouth/nasal cavity, pharynx, larynx, trachea, bronchi and bronchioles. In the respiratory bronchioles and alveoli, the gaseous exchange takes place. The conducting airways display 16 bifurcations followed by another 6 bifurcations of the respiratory bronchioles constitute the passage to the respiratory zone where the alveolar ducts along with alveolar sacs finally branch off. The thickness of cell layer of the air-blood barrier moderately subside from ≥10 μm in the tracheo-bronchial region to ≤0.3–1 μm in the alveolar region (fig. 1). The barriers of the conducting airways are lined by an adhesive, viscoelastic mucus layer (5–55 μm thickness) produced by submucosal gland cells and goblet. The lumen of the bronchial airways is coated with a flimsy layer of serous fluid upon which floats a layer of mucus which helps to snare aerosolized particles. The dovetailed rhythmic beating of the cilia eternally moves this mucous layer toward the proximal airways where it is expectorated (mucociliary clearance). The major ingredients of respiratory mucus are water and glycoproteins [32-33]. Clearance of mucus from the lung is driven by the mobility of ciliated cells (broncho-tracheal escalator) which triggers a mucus flow rate of ~5 mm/min. Hence, the respiratory mucus blanket is replaced every 1/3 hrs in healthy subjects [33-34]. The physical, chemical properties (e. g. viscosity) and clearance of respiratory mucus usually vary in patients affected from respiratory diseases such as chronic obstructive pulmonary disease, cystic fibrosis and asthma [34]. There are about 300 million (approx) alveoli in the lungs with a combined facet area that is greater than 100m2 and with an alveolar epithelium as thin as 0.1 µm [14, 35]. This cosmic surface area, combined with a distinctly thin barrier between the capillaries and pulmonary lumen fabricates conditions that are well suited for effective mass transfer [35]. The alveolar space is lined by a complex surfactant lining that tapers surface tension to minimize the work of breathing and forbids collapse of the alveoli during expiration. The lung has a relative humidity of approximately 99.5%.

Fig. 1: Schematic of the microstructure of the human respiratory tract–modified from [14]
Drug particles are known to be hygroscopic and to grow or reduce in size under high humidity. The stretch in particle size above the initial size should affect the distribution of the aerosolized drug inside the lung [36-37]. Besides drug absorption could arise via the lymphatic pathway [38-39], the lung receives the complete cardiac output and represents the most perfect perfused organ in the body. However, only the alveolar portion is supplied by the pulmonary circulation. The endobronchial circulation is recirculated to the peripheral airways and lung parenchyma via the bronchial veins and right atrium. Bronchial blood flow is elevated in diseases such as bronchiectasis; from 1% to as much as 30% of cardiac output [18]. Conceptually, inhaled drugs that are assimilating into the circulation from the tracheobronchial regions can be recirculated downstream and peripherally into otherwise poorly accessible areas of the lung, which may aid in drug effectiveness [40]. However, the lung possesses clearance mechanisms and efficient barrier systems; much attention has been paid to this organ for gene and drug delivery applications. The broad alveolar surface area (~150 m2) is enfold by a capillary network less than 1 μm below the epithelial surface, from which diverse agents can be readily absorbed to the bloodstream [12, 31]. Moreover, aerosols are shown to possess effective treatment modalities for local respiratory diseases [12, 41]. However, conventional pulmonary dosage forms deficit controlled release properties. Thus, local and systemic inhalation therapies would benefit from pulmonary formulations which regulate release rates over extended periods of time [42, 43]. Among the diverse carriers mentioned for pulmonary applications, polymeric nanoparticles along with chemopreventive agents shows potential as controlled delivery devices due to sustained retention in the lung [44-49].
Deposition and biokinetics of inhaled nanoparticles
Due to the effective clearance mechanisms of the lung, the possibility to control kinetics of the therapeutic compound remains an illustrious challenge. Particle deposition in the lungs arises by Gravitational sedimentation, Brownian diffusion and Inertial impaction as showed in table 2.
Table 2: Mechanism of aerosol deposition [12, 52]
| S. No. | Mechanism | Size (µm) | Site |
| 1. | Brownian Diffusion | ≤0.5 | Alveoli |
| 2. | Impaction | 5-9 (Slow Inhalation) 3-6 (Fast Inhalation) |
Large Airways |
| 3. | Gravitational Sedimentation | 1-5 | Smaller Airways |
| 4. | Gravitational Sedimentation | 1-3 | Respiratory bronchioles |
Particles possess a mass median aerodynamic diameter (MMAD) more than 5 µm are predominantly exposure to inertial impaction happens during the passage through the pharyngeal region and large conducting airways. When the MMAD of particles ranging between 1 µm to 5 µm are allowed to sediment by gravitational force that appears in smaller airways and respiratory bronchioles, where delivered drug perchance anticipate having compact systemic therapeutic effect [35, 45, 53]. Sedimentation is governed by breath-holding. Particles with a MMAD of lesser or equal to approximately 0.5 µm, they are settled notably by diffusion and by means of Brownian motion. On the other side, particles with diameters markedly smaller than 1 µm are more credible to reach the alveolar region, but are not reliable to deposit and thus are exhaled. Particles with aerodynamic diameters (AD) between 1 µm and 5 µm are predict to detour deposition in the mouth and throat and deposit efficiently in the lung boundary [14, 45, 53-54]. Once deposited drugs confront a variety of biological and physicochemical barriers. These include macrophages in the alveolar region, catabolic enzymes and mucus barriers in the tracheo-bronchial region (fig. 2).

Fig. 2: Various biological barriers to drug delivery via the lung-modified from [50]
Studies using plethysmography confirms that insertion of 5%-7% CO2 into the inhalation system exalt the depth of absorption and quantity of drug inhaled in each breath by lessening the respiratory rate and raising the tidal volume by 180%. The size, area and adequacy of particle deposition after inhalation is governed especially by three factors (physiology and aerosol properties) during breathing: (a) droplet/particle size (diameter), surface properties, density and shape [55]; (b) anatomy of the airways and the alveolar structure; and (c) parameters of ventilations with impact on the particle deposition are flow rates and tidal volume, breath pattern, determining the residence time and the airflow velocity in the respiratory tract [56-58]. Beside ventilation parameters and morphological characteristics, the particle size and geometry matters much [57]. The particle size is commonly referred to the AD, which is an irregular depending on the shape, density and size of the object. If aerosols contain disparate particles, the size distribution is generally characterized by MMAD, which is uniquely important to assume whether the particles will be efficiently deposited deep into alveolar region [13, 58]. A strong deposition into deep lung needs the particles is to be bitty enough to duck deposition by inertial impaction on upper airways and can move via the lower airways and be large enough to avoid exhalation [59-61]. The particle size for attaining delivery depth into alveolar region has been fixed to be an aerodynamic diameter between 1 µm and 3 µm [52]. In the lung, the deposition of particles however, is bi-model and ultrafine particles (<100 nm) appear to deposit effectively to the alveolar region (50%) as calculated from math-modeling of mono-disperse particles after steady inhalation with a breath hold (fig. 3) [14, 51, 52].

Fig. 3: Effect of particle size on the deposition of aerosol particles in the human respiratory tract following a slow inhalation and a 5 s breathe hold. Smaller particles deposit in the alveolar region whereas larger particles deposit in the airways or mouth and throat. Particles less than 1 µm can be exhaled, thereby bringing down deep lung deposition [51]
Nanoparticle deposition in the lung and respiratory tract is determined by diffusional displacement as a result of thermal motion of air molecules combined with particles in the exhaled and inhaled air streams [62, 63]. Deposition occurs in all regions of the lung: the airways and the alveoli, usually depends on the particle size, shape and ventilation parameters. With truncate diameter in particle below 500 nm, the deposition augments in all regions of the lung due to the increasing diffusional mobility [61]. The deposition mechanism and uptake of nanoparticles in the lung along with different cell types were illustrated in fig. 4. Physical properties that show an outstanding role on the particle size of the inhaled suspension are osmolarity, pH, viscosity and ionic strength. If the values for osmolarity and pH are not in the normal range coughing, bronchoconstriction and irritation of the lung mucosa is induced [64, 65] and also it may leads to lung cancer incidence [66].

Fig. 4: The deposition mechanism and uptake of particles in the lungs along with different cell types [67]
Nano carriers and strategies in inhalation drug delivery
In Inhalation drug delivery, nanoparticles have received hoisted debate due to their dominance in sustained drug release, targeted deposition, bioadhesion and reduced dosing frequency for enhanced comfort to the patient [68]. Some incentives for wield nanoparticles for the controlled delivery of drugs, genes, proteins, peptides, siRNA and also vaccines in the lung include having an imprecise size for circumventing alveolar macrophage clearance and assist transepithelial transport. Nanocarriers used for pulmonary applications also include solid lipid nanoparticles, liposomes and polymeric nanocarriers [69-71]. A diagrammatic representation of various approaches of nano based therapeutic system is showed in fig. 5.
Solid lipid nanoparticles
Solid lipid nanoparticles (SLN) are organic or synthetic lipid-based drug delivery system of size (50 to 1,000 nm) [72] and have globally been studied for a century for potential inhalation drug delivery. Some typical solid lipids which has been used to make SLNs include emulsifying wax, cholesterol, cholesterol butyrate, triglycerides (Dynasan 112), beeswax, carnauba wax and cetyl alcohol [73, 74]. SLNs are nanoscale aqueous suspensions obtained from primarily triglycerides, physiological lipids and phospholipids. Since, physiological components are widely used for the formulations of SLNs, they possess meagre toxicity and admissible for pulmonary drug delivery. Nassimi et al. [75, 76] revealed the benefits of triglyceride and phospholipid based SLN in the ratio of 70:30 for potential pulmonary applications. They also measured the cytokine activation measurements and toxicity profile of these SLN in invivo, exvivo and invitro models. They observed no activation of pro-inflammatory cytokines (chemokine-KC and TNF-α) when the administration of SLNs in mice via nebulization [75, 76]. Paranjpe et al. demonstrated the toxicological effect of sildenafil-loaded SLN in exvivo and invitro models using heart and lung tissues obtained from murine models for the treatment of pulmonary arterial hypertension using pulmonary administration [77]. Due to the similar lipid matrix base utilized in the studies by Paranjpe and Nassimi, these SLN can be suitable for the pulmonary administration of API (active pharmaceutical ingredients) for the treatment of pulmonary diseases [76, 77]. In the studies performed recently, solid lipid microparticles loaded with quercetin (SLM) were shown to be possible treatment in asthma for the anti-inflammatory and antioxidant properties of the quercetin [78].
Table 3: Different active pharmaceutical ingredient (API) molecules inculcated into various nanoparticle systems for pulmonary administration to treat lung cancer
| S. No. | Drugs | Nanoparticles | References |
| 1. | Silibinin | SLN | [111] |
| 2. | Methotrexate | Polymeric NP | [112] |
| 3. | Paclitaxel | Polymeric NP | [113–115] |
| 4. | Cisplatin | Dried NP | [116, 117, 119] |
| 6. | Doxorubicin | Polymeric NP | [27] |
| 7. | Doxorubicin | SLN | [118] |
| 8. | Idarubicin | SLN | [79] |
| 9. | Ibuprofen | SLN | [120] |
| 10. | Paclitaxel | Liposome NP | [88, 89] |
| 11. | Endostatin | Polymeric NP | [94] |
| 12. | Beclomethasone dipropionate | Polymeric NP | [90] |
| 13. | pCMV-Luc gene | Polymeric NP | [98] |
| 14. | Ibuprofen | Dendrimer | [102] |

Fig. 5: Diagrammatic representation of various approaches for cancer therapy and diagnosis-Modified from [139]
In the field of cancer biology, SLNs have been successfully designed as vehicle for delivery of various anticancer drugs such as paclitaxel, doxorubicin, camptothecin, idarubicin and etoposide due to its intrinsic ability to furnish enhanced bioavailability for water insoluble drugs [79]. The lung provides a high surface area by circumventing first-pass effects and also facilitates hasty drug absorption of aerosolized drugs as the walls of alveoli in the lung are especially thin [80, 81]. In studies done by Mussi et al. [82], doxorubicin loaded SLN was evaluated for anti-cancer potential and they come to the conclusion, that DOX-SLN possess cytotoxicity. In yet another study, apart from the delivery of anticancer drug by SLNs, they were used as a vehicle to deliver gene in invitro lung cancer cells (A549). In this work cationic SLN were loaded with anti-microRNA for clampdown of microRNA-21 functions in lung cancer cells of human. Drugs that have been incorporated with the SLN for pulmonary administration to treat cancer are listed in table 3. Considering the potential benefit of SLN includes low toxicity and use of physiological phospholipid components, they still persist as an accepted drug delivery system even after more than couple of decades.
Liposomes
Liposomes are a captivating drug delivery system particularly for pulmonary applications, as it is obtained predominantly from phospholipids which are innate in lungs. Liposomes possess constant release properties which empowers the maximum drug effect over a prolonged period of time. The first liposomal product was introduced in 1990, which was called Alveofact® (purified bovine surfactant) for acute respiratory distress syndrome (ARDS) in infants via pulmonary instillation. Dry powder formulations of liposomes have been shown to be auspicious in the delivery of diverse pulmonary drugs and some of these drug formulations are in clinical trials. At present, two liposomal products are in the final stage of clinics, they are dry powder liposomes-Pulmaquin™ (ciprofloxacin, Aradigm Corp., Hayward, CA, USA) and Arikace® (amikacin, Insmed, Monmouth Junction, NJ, USA), for the treatment of lung infections [83-87]. In studies to fabricate liposome based drug delivery system for lung cancer therapy, Zhao L and his group in 2011 designed Tween-80/HSPC/cholesterol liposomes of diameter (501.60±15.43 nm) loaded with PTX [88-89]. In a study performed by Gjetting et al. in 2010 proved PEG-modified DOTAP/cholesterol liposome complex attained much better gene delivery system as compared to that of non-PEGylated counterpart [90].
Polymeric nanoparticles
Polymeric nanoparticles dispense a typical platform for a perfect nanotheranostic drug delivery system. The adaptability in physiochemical alterations of polymer properties permits it to be adapting for drug encapsulation requirements. Aside from being biocompatible and biodegradable, these polymeric systems are competent of giving rise to sustained-encapsulated drug release profile. Moreover, these polymer systems have been designed to deliver proteins and nucleic acids to effectuate their therapeutic activity over target cancer cells. The most frequently used polymer systems for lung cancer therapeutics includes poly (lactide-co-glycolide) (PLGA), Polylactic acid (PLA), Poly (ethyleneimine) (PEI), poly (ε-caprolactone) (PCL), chitosan, alginic acid and gelatin.
Table 4: Polymer-based and metal nanoparticle based pulmonary therapeutic approaches to treat lung cancer
| S. No. | Model system under study | Therapeutic/Imaging agents | Carrier molecule | References |
| 1. | Intravenous injection and aerosol inhalation in mice | p53 Plasmid | PEI | [126-127] |
| 2. | LLC bearing female C57BL/6 J mice |
pCMV β-gal | PEGylated gelatin nanoparticle | [128] |
| 3. | Administered by parenteral routes or by oral, nasal, and pulmonary routes in rats |
Cyclosporine A, calcitonin, and somatostatin |
Solid lipid nanoparticles | [129] |
| 4. | Human bronchial cell line, Calu-3 cells | T cell-specific surface antigen |
Glycerol and poloxamer-188 | [130] |
| 5. | Injected into C57BL/6 mice through intranasal route | Firefly luciferase | PEG-substituted PLL | [131] |
| 6. | A549 cell line | Doxorubicin-HCl | CNT-gold hybrid | [132] |
| 7. | A549 lung epithelial cancer cell line | Doxorubicin-HCl | DEX-MWCNTs | [133] |
| 8. | A549 and NCI-H460 cell lines | Paclitaxel | SWCNT-graphene oxide | [134] |
| 9. | A549 and HFL1 (human lung fibroblast) cell lines | Magnetic dicalcium phosphate dihydrate | Dicalcium phosphate dihydrate (DCPD) | [135] |
| 10. | H460 (human NSCLC cells) and female nude mice | Gemcitabine triphosphate | Lipid/calcium/phosphate nanoparticle platform |
[136] |
| 11. | Human H460 lung cancer cells | siRNA | DOPA-coated calcium phosphate nanoparticle |
[137] |
| 12. | Mice osteoblast and He99 lung cancer cell line | Lac Z and enhanced green fluorescence protein gene (EGFG) |
Fe3O4 | [138] |
The toxicity and biodegradability of carrier polymers are observed closely for pulmonary application, as remaining polymers can interact with the bio-surfactants occurs in the alveoli which can lead to a cascade of events eventually end up in critical breathing problems.
Some of these polymer-based pulmonary therapeutic approaches have been enlisted in table 4.
Poly (D, L-lactide-co-glycolide)
PLGA is one of most successful Food and Drug Administration (FDA)-approved biodegradable polymers used for formulation of a nano-based drug delivery system. Aside from drugs, PLGA can be used for delivery of proteins and many biomolecules such as DNA, RNA, and peptides [91-93]. In specific to lung cancer, the polymer PLGA has proved to be a potential carrier molecule. In studies performed by Wu et al. [94], endostatin-loaded PLGA microspheres were designed by emulsification-evaporation technique and it could attain the required therapeutic effect at decreased concentration of drug thus circumventing predisposition of healthy cells to cytotoxic drugs. Sengupta et al. [95] designed bi-phospholipid-coated PLGA core nanoparticles wherein doxorubicin (doxo) is conjugated to PLGA while comberstatin is mixed with phospholipid and encapsulated in the outer lipid bilayer to effectively eliminate NSCLC. In another try by Nguyen et al. in 2008, H1299 luc cell lines were successfully transfected using tertiary-amine-modified PVA implant over PLGA as siRNA delivery construct. PLGA-PEG copolymeric nanoparticles were employed as a typical platform for coupling imaging agent super-paramagnetic iron oxide nanoparticle (SPION) and an anticancer drug molecule doxo hydrochloride as a potential theranostic strategy against lung cancer [84]. In yet another study recently performed by Rajan et al. in 2014, they showed the invitro anticancer effect of 2-isopropyl-5-methylphenol (IPMP) loaded PLGA based iron oxide nanoparticles (IMNPs) in liver cancer cell line [196].
Poly (ethylene glycol)
PEG is a biocompatible hydrophilic polymer which is infused in polymeric drug carriers to sustain their residence time in body to curtail their susceptibility to metabolic enzymes and decline their immunogenicity. In some cases, it has been used as such for delivery of therapeutic drugs to pulmonary cells because frequently it forms a component of copolymeric carrier molecules. In a study performed by Guthi et al. a multifunctional PEG-b-PDLLA (poly (D, L-lactide) micelle system inculcated with LCTP was loaded with SPIONs and doxo [96]. The formulation showed αvβ6-dependent cell targeting towards H2009 lung cancer cells with competent specificity. PEGylated phospholipid-polyaminoacid conjugate copolymer has also been used for effective delivery of Beclomethasone dipropionate (BDP) to lung carcinoma cells. In another study, cross linked PEG thiol with 1, 6-hexane-bis-vinylsulfone (HBVS) was proved as a stable nanogel for pulmonary therapy. The construct was verified with a fluorescent dye HiLyte Fluor 750 (AnaSpec Inc., USA) and was finalized by applicable imaging system [90]. In recent study performed Rajan et al. in 2015, they evaluated the toxicity profile of polyethylene glycol-8000 coated ultra-small superparamagnetic Iron oxide nanoparticle (PUSPIOs) which is intravenously administered on wistar rats and they found PUSPIOs posses excellent biocompatibility and wistar rats showed much better drug tolerance to the dose of 10 mg/kg. b. w per week than the dose of 10 mg/kg. b. w twice a week for the period of 30days [197].
Chitosan
Chitosan possesses numerous ionisable amino groups which could be scaled simply to provide the need for the delivery of the therapeutic agent. Due to its non-toxic, bio-adhesive and biodegradable properties, it has led to its global application in drug delivery. It is usually employed for the delivery of nucleic acids to lung cancer cells due to its cationic nature. Dried as powdered chitosan was assessed as a bearer for intratracheal delivery of pCMV-Muβ-encoding murine interferon-β in mice pre-inculcated with significant doses of CT26 cells [97]. Okamoto et al. used low molecular weight chitosan as a vector for delivering pCMV-Luc gene into the lung cancer cells via nasal route into the mice model [98]. The predominantly administered anticancer drug for NSCLC is paclitaxel (PTX). A chitosan derivative, [N-((2-hydroxy-3-trimethylammonium) propyl) chitosan chloride (HTCC)] was scrutinized as a carrier for PTX [99]. These PTX-loaded HTCC nanoparticles (HTCC-NP: PTX) were evaluated for invitro cell viability and they posses better accumulation in subcutaneous tumor tissues as a consequence of hoisted permeability and retention (EPR) effect. In a study demonstrated by Ventura et al. chitosan-dextran-based delivery system was used to deliver gemcitabine and they showed the efficacy of gemcitabine against NSCLS cells [100].
Dendrimers
Dendrimers carries its own importance in the field of cancer diagnosis and therapeutics [101]. The utility of wide range of surface functionalization of dendrimers with therapeutic, targeting and diagnostic molecules dispense the scope for effective therapy and diagnosis of lung cancer. The ibuprofen delivery by poly (amidoamine) (PAMAM) dendrimers and hyper branched polyol polymers has been studied in A549 human lung epithelial carcinoma cells. In recent past, Starpharma Holdings Ltd (pharmacy company) has came up with dendrimer-doxorubicin formulation which on intratracheal administration to rats shown to yield significantly augmented efficacy in preventing lung metastases as compared to that of the drug alone [102]. A new insight to deliver nucleic acids by dendrimers came into existing when a research group reported increased penetration efficiency and improved stability of small interfering RNA (siRNA) by using surface-engineered poly (propyleneimine) (PPI) dendrimers. The specificity and efficacy of these nanoparticles were then strengthened by invivo experiments [103]. In a studies investigated by Rahbek, successfully transfected H199 human lung cancer cell line with pre-miRNA EGFP by a similar rHB-based formulation [104]. Liu et al. have successfully conjugated fluorescent-labeled molecule (FITC) and lung cancer-targeting peptide (LCTP) on the surface of acetylated derivative of PAMAM (4G) dendrimer [105]. This system showed concentration and time dependent cellular uptake under invitro conditions and in athymic mice, it was hence established as a potential drug carrier for targeted cancer nanotheranostic.
Poly (ethyleneimine)
With regard to gene therapy for cancer cells, the polymer which is used frequently for this purpose is PEI due its capacity to form highly stable polyplexes with nucleic acids. For the purpose to hoist the hydrophobicity of PEI-based delivery system and thereby permits its facile transit across the membrane, cholesterol molecule has been conjugated to PEI. Due to mucoadhesive nature, a team of research group scrutinized PEI-derived aerosol system for topical gene delivery (p53) to the lungs of B16-F10 murine melanoma mice model [106]. Zhou et al. demonstrated PEI-based carrier for delivery of therapeutic gene which destruct the expression of metastatic signals by lung cancer cells [108]. In another studies performed by Hong et al. they developed glycerol triacrylate-spermine (GT-SPE), a polyspermine as a gene carrier for transfection of lung cancer cells with small hairpin Akt1 (shAkt1) RNA. The delivery of shAkt1 in a K-ras (LA1) lung cancer mice model was shown to procure apoptosis in target lung cancer cells [107].
PEG-based copolymeric systems
Among few PEG-based combinational polymeric drug delivery systems, the most predominant one were PEG-PCL and PEGPEI. A notable development in the transfection efficiency of PEI-based gene delivery polymers against the lung tumor cells was obtained by Kleemann et al. when they conjugated protein transduction domain [HaIV-1 TAT] over PEI by means of hetero bi-functional PEG spacer molecules [109]. The efficacy of TAT-PEG-PEI composite was trailed by the level of expression of luciferase in A549 cells and in mice after intratracheal instillation. In another studies performed by Dhananjay et al. they showed Akt1 shRNA delivery in lung cancer cells using a novel biodegradable polymeric carrier molecule consisting of PEI-PEG copolymer. The Akt1 shRNA-mediated silencing of oncoprotein Akt1 induced specific apoptosis in lung cancer cells [110].
Metal-based nanoparticles for inhalation drug delivery
Every day, we regularly get in touch with metal nanoparticles (MNPs) through various means such as food, medicine, water and cosmetics, as they are globally used in a variety of daily things. Some of these MNPs have attained cytotoxic effects on lung cells. Some of the MNPs which are used in lung cancer therapy and diagnosis are showed in table 4. Among various nanoparticles, gold nanoparticles (AuNPs) have been effectively studied for lung cancer therapy and diagnosis. In a studies performed by Hu et al. a photothermal therapeutic agent has been developed by hollow Au/Ag nanostructures along with a dendritic morphology for the eradication of A549 lung cancer cells [121]. Additionally, AuNPs cross linked with methotrexate, an analog of folic acid, also developed a cytotoxic effect in LL2 (Lewis lung carcinoma) [87]. In 2012, Barash et al. proposed a nanodevice based on AuNPs sensors that categorize the lung cancer histology by recognizing the lung cancer-specific patterns of volatile organic compound profiles. Silica nanoparticles are globally used in diverse biomedical applications such as biomarkers for tumor identification, biosensors for bio-molecular assay and drug delivery agents in cancer therapy due to its biocompatibility and swift renal clearance. In a studies performed by Yoon et al. they reported that the A549 lung cancer cells taken up the multifunctional magnetic nanoparticles such as cobalt ferrite with high specificity, encapsulated inside silica shell along with imaging agent (FITC–organic dye) and a tumor-targeting antibody (Ab CD-10) [122]. The cytotoxicity of silver nanoparticles (Ag NPs) to various cell lines is evaluated by necrosis and apoptosis mechanisms, which are in turn facilitated by altering up-regulating apoptotic signaling molecules and membrane structure [123-125]. Supermagnetic iron oxide is extensively used as a MRI imaging agent, which if combined with a suitable carrier molecules and targeting agents, can be used for cancer therapeutic applications [196]. In an investigation to develop such a theranostic system for pulmonary carcinoma, these NPs along with the anticancer drug doxo, were inculcated within MFM system [96].
Inhalation drug delivery devices
The formulations for inhalation drug should comprise a precise particle size, in the range of 1–3 µm to acquire substantial alveolar deposition. Inhaled molecules with this size becomes captured in the alveoli and taken up in vesicles by alveolar epithelial cells, so that they can be fetched across and released on the other side in the narrow interstitial fluid partition between the epithelial cells. Molecules are then taken up inside the vesicles by the endothelial cells transported across the girth of these cells and delivered into the alveolar capillary bloodstream. Aerosols are an effectual method to release therapeutic agents to the lungs.
Nebulizers, Metered dose inhalers (MDIs) and Dry powder inhalers (DPIs) are commonly used to generate aerosols [140, 141]. All three types of devices use diverse mechanisms for delivery of drugs and hence require various types of drug formulations. Images of some of the available and approved inhaler devices are shown in fig. 6.

Fig. 6: Images of some currently available inhaler devices: Dry Powder Inhalers-(A) Aerolizer®(B) Easyhaler®, (C) Turbohaler®, (D) Diskhaler®, (E) Novolizer®, (F) Clickhaler®, (G) MAGhaler®, (H) Spinhaler® and (I) Handihaler®, Nebulizers–(J) Pari Trek S® Portable Nebulized (K) Mechanism of Nebulizer (L) Nebulizers designed for Mice and Rat, Meter Dose Inhalers–(M) Image and Mechanism
Nebulizers
Nebulizers represent a remarkable technology for drug delivery to the lungs. Nebulizers have been used for decades to medicate different respiratory diseases. They usually work by inhalation through a face mask and can be used in respiratory problems. Moreover, they can deliver substantial quantities of suspensions and solutions as small droplets which require remarkably compact patient coordination. At present, there were two basic types of nebulizers, i.e., ultrasonic nebulizers and jet nebulizers. Jet nebulizers take benefits of the energy provided by flowing of compressed gas and distribute the liquid substance in the reservoir cup into a fine mist. Jet nebulizers are extensively used but are rather scarce (50% loss when continuously operated and only 10% deposited to the lungs) in comparison with the novel devices described below [142]. Their performance is mainly dependent on the compressor used [143-144]. The ultrasonic nebulizers utilize a piezoelectric crystal that vibrates at a high frequency (1–3 MHz) to fabricate a mist of liquid in the nebulizer. Ultrasonic nebulizer solutions are faster than jet nebulizers but are not suit for suspensions. Besides, the piezoelectric crystal can heat and inactivate protein-based drugs [145]. Kleinstreuer et al. have showed data concerning the optimal conjugation of particle size, inhalation waveform and particle release position that may release inhaled drug aerosols effectively to the respective areas [146-147]. Nebulizers produce ultra fine droplets (1 mm) with a maximum degree of polydispersity and particles outsize than the droplet size have been reported not to be aerosolized [148]. Due to this rationale, nebulizers may not be suitable for delivering huge particles to the lungs.
Metered dose inhalers (MDIs)
Metered dose inhalers (MDIs) are pressurized repository that contain drug that is either suspended or dissolved in a liquid propellant (usually hydrofluoroalkanes-HFA) [149]. The aerosol is discharge through a nozzle at a high velocity of>30 msec). When operated, the device discharge a metered volume of propellant and drug through a valve system [150]. However dosing with MDIs is usually more reproducible than DPIs, MDIs are mostly more tedious to use because they need coordination between activation and inhalation to secure optimal deposition of drug in the lungs [149, 151]. Another drawback of MDIs is their use of HFA propellants, which have been associated with global warming [149]. In addition, MMDIs also contain surface active agents like surfactants which may influence lung performance [149].
Dry powder inhalers (DPIs)
DPIs are breath-actuated devices that administer a dry powder drug via shear-induced aerosolization [150]. Due to this, the actual dose delivered from a DPI is mainly dependent on the flow rate of inspiration and can sometimes be tough to replicate [149-152]. Dry powder inhalers were fabricated to vanquish poor actuation-inhalation coordination. Factors affecting disaggregation are hoisted humidity, slow inhalation flow rate, quick and large variance in temperature. Failure to use the device properly is a usual error and therefore a dose is not released directly [153]. Dry powder inhalers that are at present in the market are breath-actuated and still rely on the flow rate of inhalation of the patient to attain utmost drug dose inhalation [154-155]. In addition, inhalers that utilize electro hydrodynamic spray or electrospray are also being explored. In this mechanism, nebulization of the liquid droplets depends solely on dispersion and electric charging occurs due to the Coulombic forces between droplets. This technique has been shown to keep the structure of proteins and has been referred as a method to release insulin to the lungs for the treatment of diabetes [156]. Moreover, electrospray offers superior control over droplet size dispensation being able to reach monodispersity [157-158]. One disadvantage of electrospray is that highly conductive solutions such as salt solutions may be extremely conductive (and thus will not hold a charge) to reach the target droplet size [157].
Soft mist inhalers
At present, there is only one drug system of this particular type is available, which is a mechanical achievement of exceptional value. It relies on the energy of a spring to force the solution through an immensely fine nozzle system [159-160]. It fabricates a fine aerosol with reasonably elevated lung deposition [161-163].
Inhalation studies on pulmonary carcinoma
With regard to pulmonary carcinoma, there is enough published data regarding aerosol delivery of chemotherapy in animal models, cancer cell cultures and in phase I/II human studies (table 5). For the first time, Tatsamura et al. in 1993 published the reports of aerosolized chemotherapy in lung cancer [24]. In this preliminary study, 5-fluorouracil (5-FU) (250 mg in 5 mL) was delivered via inhalation using a nebulizer in patients with NSCLC. Six clinical responses were observed including four imperfect responses and two complete responses without any other significant pulmonary or systemic side effects. Later, many research group have been investigated various respiratory diseases via inhalation drug delivery system.
Table 5: Published studies using inhalation chemotherapy for Lung cancer
| S. No. | Authors | Drugs | Subjects | Inhalation device | Reference |
| 1. | Zarogoulidis et al. | CARBO | Human | Nebulizer | 180 |
| 2. | Tatsumura et al. | 5-FU | Human | Supersonic Nebulizer | 181 |
| 3. | Tatsumura et al. | 5-FU | Human | Nebulizer | 24 |
| 4. | Wattenberg et al. | 5-FU | Animal | Nebulizer | 182 |
| 5. | Hitzman et al. | 5-FU | In vitro, Animal | Nebulizer | 183 |
| 6. | Hershey et al. | PTX DOX | Animal | Nebulizer | 178 |
| 7. | Koshkina et al. | 9-NX PTX | Animal | Nebulizer | 184 |
| 8. | Knight et al. | PTX CYS A | Animal | Nebulizer | 185 |
| 9. | Wittgen et al. | CIS | Human | Nebulizer | 186 |
| 10. | Wittgen et al. | CIS | Human | Jet Nebulizer | 187-188 |
| 11. | Selting et al. | CIS | Animal | Nebulizer | 20 |
| 12. | Tseng et al. | CIS | In vitro, Animal | Nebulizer | 7 |
| 13. | Gagnadoux et al. | GEM | Animal | Micro sprayer | 189 |
| 14. | Koshkina et al. | GEM | In vitro, Animal | Jet nebulizer | 184 |
| 15. | Gagnadoux et al. | GEM | In vitro, Animal | Nebulizer | 190 |
| 16. | Min et al. | GEM | Animal | Nebulizer | 191 |
| 17. | Lemarie et al. | GEM | Human | Nebulizer | 173 |
| 18. | Azarmi et al. | DOX | In vitro | Spray freeze-drying | 192-193 |
| 19. | Otterson et al. | DOX | Human | Nebulizer | 194 |
| 20. | Roa et al. | DOX | Animal | DP-4M insufflator | 117 |
| 21. | Knight et al. | 9NC | Animal | Nebulizer | 175 |
| 22. | Lawson et al. | 9NC | Animal | Nebulizer | 195 |
Abbreviations: DOX, doxorubicin; CIS, cisplatin; PTX, paclitaxel; 9NC, 9-nitro-camptothecin; CARBO, carboplatin; GEM, gemcitabine; 5-FU, 5-fluorouracil and CYS A, cyclosporine
In the studies performed by Ying yang et al. and his group, they showed the chemopreventive efficacy of Polyphenon E on lung tumor induced invivo model [21]. Polyphenon E (Poly E) was administered by aerosol delivery to A/J mice beginning 2 weeks after carcinogen treatment and continuing daily by inhalation throughout the remainder of the study (20 weeks). Poly E decreased tumor load by 59%. These results indicate that aerosol delivery of Poly E may be a useful chemopreventive protocol in subjects at high risk for lung cancer (fig 7.3). In addition, the chemopreventive efficacies of many compounds were investigated by means of inhalation drug delivery system. Budesonide [164], Isotretinoin [165], Transferrin-conjugated liposomes [28], Celecoxib [166, 167], Urocanic acid [168], Diindolylmethane derivative [169], Cyclosporine [22] and many such compounds were well studied using inhalation drug delivery for the treatment of lung cancer.
In the studies revealed by Ching-Li Tseng et al. and his group, they came out with simple aerosol delivery for the treatment of lung cancer by administering biotinylated-EGF-conjugated gelatin nanoparticles targets to the EGFR-overexpression cancer cells invivo (fig 7.2) [11]. In another study, a tumor targeted mesoporous silica nanoparticles (MSN)-based drug delivery system (DDS) was developed for inhalation treatment of lung cancer [170]. The system was able to effectively deliver the anticancer drugs (doxorubicin and cisplatin) combined with two types of siRNA targeted to MRP1 and BCL2 mRNA inside the cancer cells in non-small cell lung carcinoma. Wang et al. [171] investigated the cytotoxic properties of farnesol nebulized by two different nebulizers Proneb Ultra compressor (Pari, Sternberg, Germany)] driven by a [Pari LC Star and LC Plus (vented, valved jet nebulizers) in two NSCLC cell lines (NCIH460 ET A549). This study showed the cytotoxic properties invitro of farnesol are not altered by nebulization. Gemcitabine (GCB) is a chemotherapeutic agent, has been shown to be effective in the treatment of NSCLC [172], both as monotherapy and in combination with other drugs The GCB formulation does not possess any chemical compound incompatible with aerosol delivery. These benefits, combined with solubility in saline and the dearth of irritant effects make GCB an attractive candidate for local administration. Likewise, cytotoxic properties have been observed with nebulized GCB against NCI-H460 and A549 NSCLC cells [173]. It caused 50% growth inhibition similar to that previously observed with non-nebulized GCB. Diverse proof concept studies of aerosolized chemotherapy have been demonstrated in invivo models of metastatic lung cancer [174-176].
In these studies, animals were exposed to the aerosol generated by a jet nebulizer in a sealed plastic box (fig. 6. L). Amount of drug settled in the lungs was estimated by taking into consideration that the concentration of drug in aerosol volume, the volume of air inspired by the animal/min, the estimated deposition index and the period of treatment (30 to 120 min). Using this strategy, the efficacy of aerosolized chemotherapy with liposome-encapsulated 9-nitrocamptothecin (L-9NC) was investigated in two different experimental lung metastasis models [175]. A curative effect of aerosolized L-9NC was observed with fewer lung metastases in treated mice. In another study, the antitumor potential of a liposomal formulation of paclitaxel delivered to the lungs by aerosol was studied in the RENCA (Murine Renal Cell Carcinoma) model [174].
Aerosols were initiated the day after renal carcinoma cell inoculation and were delivered for 2 weeks of time. A control group of mice received aerosols of blank liposomes. The study showed a preventive effect of liposomal paclitaxel aerosols delivered 3 days per week with a lessen number of visible lung metastases and prolonged survival compared to control groups. In the studies performed by Ho-Young Lee et al. showed the inhibition of oncogenic K-ras signaling by aerosolized gene delivery in a mice model of human lung cancer [177].

Fig. 7.1: An illustrated cartoon for the understanding of anti-tumor effects of pulmonary administered Dox PLGA MPs in lung cancer [27]

Fig. 7.2: The invivo fluorescence images of tumor-induced mice following aerosol delivery 24 h later by treatment with different nanoparticles solution: PBS-treated group (a), GP-Av-treated group (b), and GP-Av-bEGF conjugate-treated group (c). FITC green fluorescence spectra were obtained from live mice xenografted with the human lung adenocarcinoma cells (A549) [11]

Fig. 7.3: Efficacy of aerosolized Poly E against B(a)P-induced mouse lung tumorigenesis. Light photomicrographs of representative adenomas from the control group (a & c) and the Poly E group (b & d) at 100x and 400x magnifications, respectively [21]

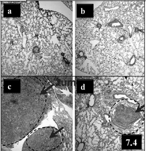
Fig. 7.4: Histology of lung tissues in the four study groups at 4 weeks after B16F10 cell implantation (5 X105 ea, 0 day) and/or pulmonary administration of Dox PLGA MPs (5, 14 day). (a) age-matched treatment naive control mouse; (b) Dox PLGA MP administered mouse; (c) B16F10-implanted mouse; and (d) B16F10-implanted and Dox PLGA MPs administered mouse [27]
In a study performed by Hershey et al. treated 24 anesthetized dogs with developed stages of spontaneous primary lung cancer or metastases with doxorubicin or paclitaxel aerosols administered twice weekly [178]. Tumor suppression was achieved in 25% of dogs with significant tumors without any systemic side effects usually associated with i.v. administration of these drugs and without pulmonary toxicity in the dogs treated with paclitaxel. In a studies demonstrated by Ajay Gautham et al. clearly explained the aerosol delivery of PEI–p53 complexes which inhibits B16-F10 lung metastases through regulation of angiogenesis [179]. Insoo Kim et al. in 2012 and his group fabricated doxorubicin-loaded highly porous large PLGA microparticles for the treatment of metastatic lung cancer via inhalation and they found Dox PLGA MPs have great potential as a long-term inhalation agent for the treatment of lung cancer (fig 7.1 & 7.4) [27]. At present, the study of inhaled doxorubicin combined with platinum-based therapy by Gregory et al. is in the phase I/II clinical trial for advanced NSCLC [180].
CONCLUSION
While nanomaterials renders significant assurance in medicine and healthcare, the potential risk enforced by natural and engineered nanomaterials has also been of concern. This is due to their enhanced activity at the nano-level. The unity of nanotechnology and pulmonary delivery of drug aerosols develops a new and intoxicating boundary for pharmaceutical dosage and design to elevate bioavailability and patient compliance, as assisted by the results of studies using nanoparticles as either therapeutic or diagnostic agents for lung and systemic diseases. Inhaled chemotherapy dispenses feasible treatment modality and offers many advantages. The reduction in particle size leads to an elevation in surface area leading to enhanced dissolution rate and also relatively equal distribution of drug dose among the alveoli. In addition, by inculcating the drugs in nanoparticles, one can attain a dose that is higher than that offered by a pure aqueous solution, which is thermodynamically restricted by the aqueous solubility of the drug. Nanocarrier systems can spare the benefits of sustained-release in the lung tissue leading to reduced dosing frequency and improved patient compliance. Local delivery of inhalable nanocarriers may be an optimistic alternative to oral or intravenous administration, thus minimizing the incidence of side effects associated with a high drug serum concentration.
AKNOWLEDGEMENT
The Authors R.R and T.D sincerely acknowledge University Grants Commission (UGC), New Delhi, India for the financial assistance in the form of UGC-BSR Research Fellowship. Also, R.R honestly thank Dr. A. Antony Joseph Velanganni, Assistant Professor, Molecular Oncology Lab, Bharathidasan University, Tiruchirappali and Dr. T. Ambrose, Professor, Loyola College, Chennai for critically reading this manuscript, their helpful comments and encouraging remarks.
CONFLICT OF INTERESTS
Declared None
REFERENCES