Department of Pharmacognosy, Faculty of Pharmacy, M. S. Ramaiah University of Applied Sciences, Bangalore, Karnataka 560054
Email: gowrijp@gmail.com
Received: 28 Feb 2015 Revised and Accepted: 15 Jun 2015
ABSTRACT
Objective: To evaluate the protective effect of ethanol extract of whole plant of Sphaeranthus amaranthoides against paracetamol induced hepatotoxicity in albino wistar rats.
Methods: Liver damage was induced by administration of paracetamol orally at a dose of 2 g/kg body weight. Protective effect of the extract was determined by assessing the levels of serum enzymes like AST, ALT, ALP, total protein, total bilirubin, liver Malondialdehyde and glutathione levels. The extract was standardized by HPTLC method.
Results: Administration of ethanol extract at 400 mg/kg b. wt showed significant (***P<0.001) reduction in elevated serum enzyme levels compared to paracetamol induced animals. Paracetamol induced liver toxicity decreased the liver glutathione level and increased the MDA level. The results of our study showed that ethanol extract at 400 mg/kg significantly increased glutathione content and decreased the MDA level indicating the protective role of Sphaeranthus amaranthoides ethanol extract against paracetamol induced liver toxicity.
Conclusion: Sphaeranthus amaranthoides whole plant possesses potent hepatoprotective activity against paracetamol induced hepatotoxicity.
Keywords: Sphaeranthus amaranthoides, Hepatoprotective, Paracetamol, Biochemical parameters, Lipid peroxidation.
INTRODUCTION
Paracetamol is one of the common Over the Counter (OTC) drug widely used as analgesics. It shows hepatotoxicity at higher doses. Paracetamol overdoses may cause mitochondrial dysfunction due to the covalent binding with mitochondrial proteins and results in insufficient mitochondrial respiration and ATP synthesis. Ninety percent of paracetamol is metabolized into phenolic glucuronide and sulfate by glucuronyltransferase and sulfotransferase.
Nearly 5 to 10 % is metabolized in to N-acetyl-p-benzo-quinoneimine (NAPQI) by cytochrome P450 (preferably by the enzyme CYP2E1). NAPQI forms covalent bonds with cellular macromolecules and affects the general cellular structure and function, leading to liver damage [1].
In traditional systems of medicine, many plants have been used for the treatment and control of liver disorders [2, 3]. Phytoconstituents derived from plants have gained much importance recently due to its diversified biological and pharmacological properties including antioxidant and hepatoprotective activity. Despite extensive research, to identify a drug in the modern medicine to cure liver disorders Silymarin a natural flavonoid from Silybum marianum (L.) Gaertn is the drug of choice to cure liver disorders [4]. Hence extensive research has been carried out to identify hepatoprotective agents from medicinal plants.
Sphaeranthus amaranthoides Burm. f belonging to Asteraceae is a fragrant herb distributed in moist places throughout the plains of Southern India. Sphaeranthus amaranthoides is considered as a substitute for the drug Munditika in Ayurveda [5], the accepted source for which is Sphaeranthus indicus Linn [6, 7]. The plant is also used in the Siddha system of medicine and referred as Sivakaranthai [5]. Munditika is traditionally used to treat various diseases like jaundice (kamala), fever (jwara), epilepsy (apasmara), gastric disorders (udararoga) and painful swellings (sotha) [8]. Antioxidant and wound healing [9] activity has been reported for S. amaranthoides. However no work has been reported on the hepatoprotective activity of whole plant of S. amaranthoides against paracetamol induced liver toxicity in rats, though some work has been carried out on D-galactosamine induced hepatitis in rats [10].
MATERIALS AND METHODS
Collection of plant material
The whole plant of S. amaranthoides in flowering condition was collected from Komaneri village of Thuthukudi district; Tamil Nadu in January 2011. The collected plant material was identified and authenticated by Dr. S. N. Yoganarasimhan, Taxonomist and Research coordinator, Faculty of Pharmacy, M. S. Ramaiah University of Applied Sciences, Bangalore. Taxonomic identification was carried out using available literature [11]. A voucher herbarium specimen (Gowri 044) has been deposited in the Department of Pharmacognosy, Faculty of Pharmacy, M. S. Ramaiah University of Applied Sciences, Bangalore along with the sample of crude drug. The plant material was thoroughly washed with water to remove the adhering dirt and sandy material, cut into small pieces and shade dried.
Chemicals and reagents
Paracetamol was procured from Yarrow Chem Products, Mumbai, India. HPTLC plates were obtained from MERCK, Germany. All the other reagents and solvents used were of analytical grade.
Preparation of ethanol extract
Coarsely powdered whole plant material (100 g) was extracted with 95% (V/V) alcohol using soxhlet apparatus. The extract was filtered and concentrated using rotary evaporator under reduced temperature.
Preliminary phytochemical screening
The Preliminary phytochemical screening of ethanol extract was carried out following standard methods [12-15].
HPTLC fingerprint studies for flavonoids
HPTLC analysis was performed using Camag HPTLC system equipped with Linomat V applicator and a TLC scanner 3, equipped with WinCATS-4 software. Documentation of the developed chromatogram was done by using CAMAG Reprostar 3 with 12bit CCD camera, controlled by WinCATS-4 software. A precoated aluminium plate with silica gel 60F254 (10×10) was used as stationary phase. Ethanol extract (5 mg/ml) was prepared by dissolving the extract in methanol and 4 µl was applied on the plate using Camag micro syringe of 100 µl capacities. The plates were developed using CHCl3: Methanol (90:10) as mobile phase [16] in a Camag twin trough chamber to a distance of 9 cm each, the plate was scanned at 365 nm.
Experimental animals
Healthy Albino rats (Wistar strain) of either sex (170–200 g) were used for the study. The animals were bred and maintained in the animal house of Faculty of Pharmacy, M. S. Ramaiah University of Applied Sciences, Bangalore. Animal house was well maintained under standard hygienic conditions, at room temperature and humidity (60±10%) with 12 h day and night cycle. The animals were provided with standard pellet diet and water ad libitum. The study was approved by the Institutional Animal Ethical Committee (IAEC certificate no. MSRCP/P-10/2010).
Acute toxicity studies
Female Albino rats of Wistar strain in the weight range 170-200 g were used for acute toxicity studies. The animals were fasted overnight and administered with a dose up to 2000 mg/kg body weight and observed for any behavioral and neurological changes for first 2 hrs and for any toxicity or mortality for 72 hrs [17, 18].
Experimental protocol
Liver damage was induced by administration of Paracetamol orally at the dose of 2 g/kg b. wt [19]. The animals were divided in to 5 groups of 6 animals each. Group I was maintained as normal control and administered 10% Tween 80 solution (1 ml/kg b. w., p. o) once daily for 5 d. Group II was maintained as positive control and administered with paracetamol (2 g/kg b. wt., p. o) on 2nd and 3rd day. Group III was administered with standard Silymarin (100 mg/kg b. wt. p. o) once daily for 5 days and paracetamol (2 g/kg b. wt, p. o) on 2nd and 3rd day, 30 min after Silymarin administration. Group IV & V were administered ethanol extract at a dose of 200 & 400 mg/kg, once daily for 5 days and were administered with paracetamol (2 g/kg b. wt, p. o) on 2nd and 3rd day, 30 min after extracts administration. On 6th day, 18 h after the last dose of paracetamol, all the animals were anaesthetized for collection of blood from retro-orbital plexus.
Separation of serum and estimation of biochemical parameters
The blood was collected from the retro-orbital plexus using a heparinized capillary tube. Blood was allowed to stand for 30 min to clot and serum was separated by centrifugation at 10000 rpm for 10 min. The separated serum was used for the estimation of SGPT (ALT), SGOT (AST), alkaline phosphatase, total proteins, total bilirubin, total cholesterol and triglycerides. The biochemical parameters were estimated by using a Semi-automatic B4B® Diagnostic Division Chemistry Analyzer CA-2005, using diagnostic kits obtained from Agappe Diagnostic Ltd, Kerala.
Isolation of liver
The animals were sacrificed by excess of ether anaesthesia; liver was carefully removed and washed with ice cold saline solution. A portion of liver was preserved in 10% neutral formalin for histopathological studies.
Preparation of liver homogenate and estimation of liver enzymes level
Liver homogenates were prepared in 0.15M Potassium chloride for estimation of Malondialdehyde and in phosphate buffer pH (7.4) for estimation of glutathione. The MDA [20, 21] and reduced glutathione levels [22] in liver tissues were determined.
Statistical analysis
Data were expressed as mean±SEM values and tested with One Way Analysis of Variance (ANOVA) followed by Tukey-Kramer Multiple comparison test. Values were considered statistically significant with P<0.001.
RESULTS
Preliminary Phytochemical screening
The ethanol extract obtained was a dark green semisolid mass with a yield of 5.25 % w/w. The studies showed the presence of alkaloids, carbohydrates, phenolic compounds like tannins & flavonoids, saponins and proteins.
HPTLC studies
Phenolic compounds like flavonoids are reported to possess hepato protective activity and hence HPTLC for flavonoids is undertaken in this study.
The HPTLC analysis of ethanol extract for flavonoids at 365 nm revealed 12 phyto constituents having Rf values 0.03, 0.08, 0.15, 0.18, 0.23, 0.27, 0.42, 0.57, 0.74, 0.84, 0.91, 0.98 out of which spots with Rf values 0.06, 0.27, 0.57, 0.74, 0.91 are prominent when compared to other spots.

Fig. 1: Chromatogram of ethanol extract of S. amaranthoides at 365 nm for flavonoids

Fig. 2: HPTLC finger print profile of ethanol extract of S. amaranthoides at 365 nm
Hepatoprotective studies
Acute toxicity studies of ethanolic extract of Sphaeranthus amaranthoides did not show any mortality or toxic symptoms up to 2000 mg/kg b. wt. Hence, 1/5th and 1/10th of the highest dose tested is fixed as the dose for further pharmacological activity. Table 1 and 2 shows the elevated level of AST, ALT, ALP, total biluribin, total cholesterol and triglycerides in animals treated with paracetamol (2 g/kg body weight) which is indicative of severe liver necrosis. Administration of ethanolic extract at the doses of 200 and 400 mg/kg remarkably prevented paracetamol induced hepatotoxicity in a dose dependent manner. There was a significant (P<0.001) restoration of these enzyme levels on administration of ethanol extract.
Table 1: Effect of ethanol extract of S. amaranthoides on biochemical parameters in paracetamol intoxicated rats
| Group | AST(U/l) | ALT(U/l) | ALP(U/l) | TP(g/dl) |
Normal control (Tween 80) |
71.61±5.43 | 35.49±9.96 | 32.56±1.43 | 6.78±0.87 |
Positive control (Paracetamol induced) |
365.63±29.18 | 125.80±20.93 | 100.42±0.09 | 3.08±0.03 |
| Silymarin(100 mg/kg) | 112.21±4.23*** | 56.85±1.56*** | 39.87±0.18*** | 6.18±0.19*** |
Ethanol extract (200 mg/kg) |
253.78±10.41*** | 98.15±0.728 ns | 72.11±4.12ns | 3.84±0.19** |
Ethanol extract (400 mg/kg) |
205.45±11.50*** | 65.62±3.20*** | 57.08±14*** | 5.54±0.37*** |
All values are expressed as mean±SEM, One way Anova followed by Tukey Kramer multiple comparison test (n = 6). The significance on comparison with positive control group ***P<0.001, ** P<0.01,nsP>0.05.
Table 2: Effect of ethanol extract of S. amaranthoides on serum levels of total bilirubin, TC and TG in paracetamol intoxicated rats
| Group | TB (mg/dl) | TC (mg/dl) | TG (mg/dl) |
| Normal control | 0.172±0.002 | 82.06 C±28.53 | 112.2±34.27 |
| Positive control | 1.234±0.08 | 318.57±25.35 | 248.35±61.42 |
| Silymarin(100 mg/kg) | 0.321±0.032*** | 183.43±5.023*** | 159.07±5.20*** |
Ethanol extract (200 mg/kg) |
1.001±0.031ns | 230.43±11.87*** | 201.68±4.64* |
Ethanol extract (400 mg/kg) |
0.712±0.023*** | 190.64±9.31*** | 175.71±6.16*** |
All values are expressed as mean±SEM, One way Anova followed by Tukey Kramer multiple comparison test (n = 6). The significance on comparison with positive control group ***P<0.001, * P<0.05,nsP>0.05.
Since oxidative stress is one of the causes for paracetamol induced hepatotoxicity, liver antioxidant enzymes like GSH and MDA levels were measured [23]. Table 3 shows a reduction in the level of reduced glutathione in liver tissue of paracetamol intoxicated rats, but pretreatment with 400 mg/kg of the extract significantly (***P<0.001) increased the GSH level in the liver tissue. Further there was a significant increase in MDA level in paracetamol induced group when compared to the normal group, indicating the extent of lipid peroxidation. This was significantly (P<0.001) decreased in animals treated with 400 mg/kg of ethanol extract indicating the protective role of ethanol extract against paracetamol induced toxicity.
Table 3: Effect of ethanol extract of S. amaranthoides on contents of MDA and GSH in liver homogenates of paracetamol intoxicated rats
| Group | GSH(nmoles/100 mg tissue) | MDA (nmoles/100 mg tissue) |
| Normal control | 46.34±2.413 | 0.287±0.094 |
| Positive control | 24.34±0.758 | 0.902±0.044 |
| Silymarin(100 mg/kg) | 47.68±1.223*** | 0.348±0.021*** |
Ethanol extract (200 mg/kg) |
30.59±1.038* | 0.529±0.031*** |
Ethanol extract (400 mg/kg) |
41.26±0.678*** | 0.404±0.020*** |
All values are expressed as mean±SEM, One way Anova followed by Tukey Kramer multiple comparison test (n = 6). The significance on comparison with positive control group ***P<0.001, * P<0.05
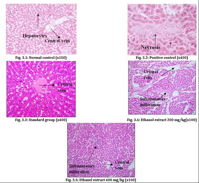
Histopathalogical study
Fig. 3 shows the histopathology of livers of animals treated with paracetamol and ethanol extract. Histopathalogical profile of liver of control animals showed normal perivenular, periportal and midzonal hepatocytes (fig. 3.1). Liver section of animals treated with paracetamol showed distorted liver architecture with more hepatocytes showing degenerative changes and necrosis (fig. 3.2). The liver section of animals treated with 200 mg/kg of ethanol extract showed distorted architecture. The periportal region shows inflammatory infiltration and some of the sinusoids appear disrupted (fig. 3.4), whereas liver section of animals treated with 400 mg/kg dose showed intact architecture with normal sinusoids (fig. 3.5). The above results confirmed the hepato protective effect of ethanol extract of whole plant of S. amaranthoides in paracetamol induced hepatotoxicity in rats.
DISCUSSION
Paracetamol, a widely used analgesic and antipyretic drug, produces acute liver damage at higher doses. Acetaminophen induced hepatotoxicity is one of the main cause for acute liver failure (ALF)[24]. Acute paracetamol poisoning is now most common cause of liver failure in many developed countries like UK, US, Australia and Canada [25, 26]. Overdose of paracetamol causes necrosis of the centrilobular hepatocytes characterized by nuclear pyknosis and eosinophilic cytoplasm followed by large excessive hepatic lesion. The covalent binding of N-acetyl-P-benzo quinoneimine, an oxidative product of paracetamol to sulphydryl group of protein result in lipid peroxidative degradation of glutathione level and thereby produces cell necrosis in the liver [27, 28]. Hepatic cellular damage may result in leakage of enzymes like Alanine aminotransferase (ALT) and aspartate amino-transferase (AST) into the blood, which can be measured as indicators of cell damage. Their levels are markedly elevated in hepatitis and other acute liver damage. ALT level is most commonly used to determine hepatic damage than AST. In the present study, hepato protective activity of ethanol extract of whole plant of S. amaranthoides at doses 200 and 400 mg/kg was assessed by measuring the level of various serum enzymes like AST, ALT, ALP, TP and TB. However, treatment with 200 and 400 mg/kg of ethanolic extract of S. amaranthoides significantly reduced the elevated levels of AST, ALT, ALP, total biluribin, total cholesterol and triglycerides (***P<0.001) when compared with the paracetamol intoxicated group.
Fig. 3: Histopathological sections of livers of animals treated with paracetamol and ethanol extract of S. amaranthoides
The mechanism of increased ROS and RNS in paracetamol induced liver toxicity has been reported extensively. At safe dose level the metabolite of paracetamol was efficiently detoxified by glutathione (endogenous antioxidant) forming an acetaminophen-glutathione conjugate. However, at toxic doses the metabolite depletes the hepatic glutathione by 80–90% [29]. Lipid peroxidation is a complex process by which poly-unsaturated fatty acids in cellular membranes undergo reaction with oxygen resulting in formation of alkenals, alkanals, hydroxy alkenals and Malondialdehyde (MDA). Malondialdehyde is a secondary product of lipid peroxidation, which can be used as an index to measure the extent of lipid peroxidation. There was a significant increase in MDA level and reduction in the level of reduced glutathione in liver tissue of paracetamol intoxicated group (P<0.001) as compared to normal control. Pretreatment with 200 and 400 mg/kg of ethanol extract of S. amaranthoides significantly reduced the lipid peroxide MDA content and increased the GSH level in the liver tissue(***P<0.001). Histopathological reports of the liver samples also support the protective role of S. amaranthoides.
Hepatoprotective activity of ethanol extract of S. amaranthoides in D-galactosamine induced hepatitis in rats has been reported by Swarnalatha et al. In their study the protective role of ethanol extract of S. amaranthoides was assessed by measuring the levels of serum and liver enzymes. D-galactosamine induced liver damage resembles viral hepatitis [30] and the hepato necrotic process may involve different pathogenic mechanism such as inhibition of RNA synthesis [31], free radical dependant pathway [32] and modification of phospholipid composition of mitochondria membrane [33]. Ethanolic extract significantly (P<0.001) reduced the elevated levels of ALT, AST and ALP and increased the reduced glutathione level in the liver tissues of D-galactosamine intoxicated rats. The findings of our present study correlates with the reported D-galactosamine induced liver toxicity. Since the plant is effective in scavenging the free radicals generated by both D-galactosamine and paracetamol induced liver toxicity, S. amaranthoides can be effectively used to treat drug induced hepatotoxicity. This hepatoprotective activity study substantiates the use of S. amaranthoides in Ayurveda as an alternate source for the drug, Munditika.
The phytochemical screening and the HPTLC analysis of the ethanol extract showed the presence of phenolic compounds like flavonoids and tannins. Several studies have correlated the hepatoprotective potential of plants with the presence of flavonoids [34]. Hence the protective role of S. amaranthoides in paracetamol induced hepatotoxicity may be due to the presence of these secondary metabolites.
CONCLUSION
The result of the present study indicates that the ethanol extract of S. amaranthoides whole plant possesses hepatoprotective activity against paracetamol induced hepatotoxicity. This study supports the traditional use of S. amaranthoides as an alternate source for S. indicus which is used for the treatment of kamala (Jaundice) in Ayurveda.
ACKNOWLEDGEMENT
The authors are thankful to Dr. V. Chelladurai for helping in the collection of authentic plant material and also to Gokula Education Foundation, Bangalore for providing facilities to carry out the research work.
CONFLICT OF INTERESTS
Declared None.
REFERENCES